7/24/2022 1
7/24/2022 2
Prepared By:
RN Arpana Bhusal
BNS
7/24/2022 3
 Introduction
 Definition
 Classification
 Clinical features
 Types
7/24/2022 4
 Diagnostic tests
 Treatment
 Prevention
 Complication
7/24/2022 5
 Occupational lung diseases are lung problems that
are made worse in certain work environments.
They are caused by long-term exposure to certain
irritants that are breathed into the lungs. These
lung diseases may have lasting effects, even after
the exposure ends.
 Most occupational lung diseases are caused by
repeated, long-term exposure, but even a severe,
single exposure to a hazardous agent can damage
the lungs. Occupational lung diseases are
preventable. Smoking can increase both the
severity of an occupational lung disease and the
risk of lung cancer.
7/24/2022 6
 Among the occupational diseases, silicosis is the
major cause of permanent disability and mortality.
It is caused by inhalation of dust containing free
silica or silicon dioxide.
 Particles between 0.5 to 3 micron are the most
dangerous because they reach the interior of the
lungs with case.
7/24/2022 7
 Occupational lung disease are usually defined as
diseases arising out of or in the course of
employment in lungs.
(or)
 Damage to the lung caused by dust or fumes or
noxious substances inhaled by the workers in
certain specific occupations is known as
“occupational lung diseases”.
7/24/2022 8
Occupational disease are grouped as under:
 Diseases due to physical agents ( heat, cold, light,
pressure, noise)
 Diseases due to chemical agents ( Gases, dusts)
 Diseases due to biological agents (anthrax,
encephalitis, fungal infections)
 Diseases of psychological origin (hypertension,
peptic ulcer)
 Occupational cancer (cancer of skin, lung)
7/24/2022 9
 Chronic cough
 Dyspnea on exertion
 Fatigue
 Loss of appetite
7/24/2022 10
 Chest pain
 Acute silicosis patients may also have fever and
experience rapid, unintended weight loss
 Impairment of total lung capacity(TLC)
 Shortness of breath
7/24/2022 11
Pneumoconiosis
1. Asbestosis
2. Silicosis
3. Coal miner’s lung/coal worker’s pneumoconiosis
4. Bagasosis
5. Bysinosis
7/24/2022 12
 The term‘Pneumoconiosis’ was coined by Zenker
to define a group of lung diseases caused by
inhalation of dust that are breathed in and then
deposited deep in lungs causing damage
 It can be defined as the non-neoplastic reaction of
lungs to inhaled minerals or organic dust and the
resultant alteration in their structure excluding
asthma, bronchitis and emphysema.
 It is also known as “ Black lung disease”
 Usually, pneumoconiosis apears 20–30 years after
constant exposure to offending agents (metal
mining of gold, silver, lead, copper).
7/24/2022 13
7/24/2022 14
 Hx:
-History of working around coal, asbestos, or silica,
lungs disease related symptoms,
-chest X-ray :X-ray abnormalities: we can diagnosed
by having a routine X-ray during the time of
employee.
 Pathology: Alveolar macrophages engulf
offending agents, causing inflammation and
fibrosis of the lung parenchyma in
pneumoconiosis.
 Respiratory insufficiency is the ultimate
consequence of the pneumoconioses.
7/24/2022 15
 Signs and symptoms: dyspnea, shortness of
breath, cough, sputum production, cor pulmonale,
and clubbing.
 Chest x-ray findings include small irregular
opacities, interstitial densities, ground glass
appearance, and honeycombing.
7/24/2022 16
7/24/2022 17
 Asbestosis is an occupational lung disease caused
by prolonged inhalation of asbestos dust. The
result is lung parenchymal fibrosis which results in
respiratory compromise.
 Signs and symptoms: exertional dyspnea and
reduced exercise tolerance, cough and wheezing
(especially among smokers), chest wall pain, and
ultimately respiratory failure.
 History of exposure to asbestos is needed to
consider the diagnosis.
7/24/2022 18
7/24/2022 19
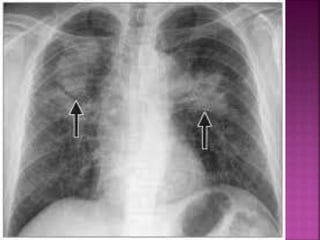
 On chest x-ray, diffuse or local pleural thickening,
pleural plaques, and calcifications at the level of
the diaphragm are seen. Pleural effusions are
commonly seen, and the interstitial lungs process
associated with asbestosis usually involves the
lower lung fields.
7/24/2022 20
7/24/2022 21
 For diagnosis a lung biopsy is usually needed; the
classic barbell-shaped asbestos fiber is found.
 No specific treatment is offered. Patients with
asbestos exposure should strongly be advised to
stop smoking since their risk of lung cancer is 75
times higher than that of the normal population.
7/24/2022 22
7/24/2022 23
 Silicosis is an occupational lung disease caused by
inhalation of silica dust in lung parenchyma tissue
reaction to it. It is seen in individuals who work in
mining, quarrying, tunneling, glass and pottery
making, and sandblasting.
 Silicon dioxide or silica is the most abundant
compound in the earth’s crust, where it is mostly
found in the crystalline form known as quartz.
7/24/2022 24
 Mining
 Tunnelling
 Stone masonry
 Sand blasting
 Fettling and foundry work
 Ceramics
 Brick-making
 Silica flour manufacture
7/24/2022 25
7/24/2022 26
7/24/2022 27
7/24/2022 28
 Silicosis causes similar symptoms to asbestosis
except the acute form of silicosis, which is caused
by massive exposure that causes lung failure in
months.
 Pathology: Silica enters and cause inflammatory
reactions with pathologic lesions being the hyaline
nodule.
7/24/2022 29
7/24/2022 30
7/24/2022 31
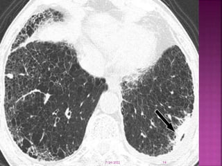
 There are 3 key elements to diagnosis of silicosis :
Patient history should reveal exposure to sufficient silica
dust to cause this illness.
Chest X-Ray revealing findings consistent with silicosis. In
silicosis there are nodules (1–10 mm) seen throughout the
lungs that are most prominent in the upper lobes.
There are no underlying illnesses that are more likely to
causing the abnormalities
 Physical examination is usually unremarkable unless there
is complication. PFT may reveal air flow limitation,
restrictive defects, ↓diffusion capacity, mixed defects or
may be normal
7/24/2022 32
 Silicosis is an irreversible & progressive condition with
no cure. There is no effective therapy for silicosis. Death
occurs usually because of progressive respiratory
insufficiency
 Treatment options currently focus on alleviating
symptoms & preventing complications including
stopping further exposure to silica & other lung irritants,
including tobacco smoking, cough suppressants,
antibiotics for bacterial lung infection, ATT for those
with active TB,
-chest physiotherapy to help bronchial drainage of mucus,
-O2 administration to treat hypoxemia, bronchodilators to
facilitate breathing.
7/24/2022 33
 Lung transplantation to replace damaged lung
tissue is the most effective treatment.
7/24/2022 34
 Coal miners are exposed to dust that contains mixture
of coal, mica and silica in varying proportions
 Coal- workers’ pneumoconiosis is virtually confined to
underground coal-miners, it may occur in any place
where a worker is exposed to high levels of coal dust in
poorly ventilated conditions. Thus it has been
described in coal trimmers, loading coal in the holds of
ships, and in men and women sorting coal on surface
screens.
7/24/2022 35
7/24/2022 36
 The risk of development and progression of coal
miner’s lung (CWP) is related:
 the amount of coal dust exposure
 higher rank (hardness) of coals
 and increased silica content of inhaled dust.
 Simple CWP is seen in 12% of all miners.
 Patients clinically present as they would with any
other occupational lung disease.
7/24/2022 37
7/24/2022 38
 On chest x-ray, small round densities are seen in
the parenchyma, usually involving the upper half
of the lungs.
 Complicated or progressive massive fibrosis is
diagnosed by the presence of larger densities from
1 cm in diameter to the entire lobe.
 Increased levels of IgA, IgG, C3, antinuclear
antibodies (ANA), and rheumatoid factor are also
seen.
7/24/2022 39
7/24/2022 40
7/24/2022 41
7/24/2022 42
 Bagasse is the residue after sugar is
extracted from cane. It is a fibrous material
used in the manufacture of paper, board sand
building materials
 Typically it becomes contaminated with
thermophilic actinomycetes when lying in the
hot and humid conditions where sugarcane is
processed.
 Although the disease commonly affects
workers handling the bagasse it may also
occur wherever mouldy material is imported
7/24/2022 43
7/24/2022 44
7/24/2022 45
7/24/2022 46
7/24/2022 47
 Byssinosis is a lung disease caused by
occupational exposure to dust from cotton,
hemp or flax.
or
 Byssinosis is a term applied to a complex of
symptoms associated with the manufacture of
cotton, flax, jute dust and hemp
 Other names for byssinosis include Monday fever,
brown lung disease, mill fever or cotton workers'
lung.
 Up to one-third of people exposed to cotton dust
for the first time develop an acute airway
reaction.
7/24/2022 48
7/24/2022 49
 people with asthma and is associated with
increased bronchial reactivity
 A sensation of oppression in the chest or
difficulty in breathing on the first day of the
working week. As light rise in temperature
with cough and wheeze. The symptoms
usually occur after about 2–4h of exposure.
7/24/2022 50
 Textile workers(1ststage of processing of
cotton)
 Smoking
 Impaired lung function
 History of respiratory allergy
 Bronchitis
 Asthma
 Infections
 Exposure >20 years
7/24/2022 51
 Byssinosis is common among textile workers,
who often inhale significant amounts of
cotton dust.
 Cotton dust may stimulate inflammation that
damages the normal structure of the lung.
 It causes the release of histamine, which
constricts the air passages.
 As a result, breathing becomes difficult.
 Over time the dust accumulates in the lung,
producing a typical discoloration that gives
the disease its name BROWN LUNG DISEASE.
7/24/2022 52
 Tightness in the chest
 Wheezing
 Coughing
 Dyspnea
 Fever
7/24/2022 53
 Muscle and joint pain
 Shivering
 Tiredness
 Dry cough
The condition is worse at the beginning of the
week or upon acute exposure after a period
away from the work environment. Hence the
other common name for byssinosis –Monday
fever.
7/24/2022 54
7/24/2022 55
 Detailed medical history
 Physical examination
 Pulmonary function test
 Chest X-ray
 CT scan
7/24/2022 56
 Appearance of the Patient
Weight loss is present in the chronic form of
the syndrome.
 Vital Signs
Fever and tachypnea are often present.
 Auscultation
Diffuse fine bi basilar crackles over lower
lung fields often are present.
 Extremities
Clubbing is observed in 50% of patients with
the chronic form of the syndrome. Muscle
wasting is also observed in the chronic form of
the syndrome.
7/24/2022 57
 Byssinosis is generally not serious.
 But if left untreated it can lead to chronic
illnesses such as emphysema and chronic
bronchitis.
 When exposure of fiber stops, the illness will
clear up.
 In case of long time exposure there is
irreversible damage to lungs.
7/24/2022 58
 In acute settings patients are encouraged to
consider alternate occupations or at least
reduce the exposure in the work
environment.
 Smokers should be encouraged to stop
smoking.
 Physical activity and breathing exercises may
help in management.
7/24/2022 59
 Bronchodilators help to relax and widen
(dilate) the airways.
 Bronchodilators include beta-adrenergic
drugs (both those for quick relief of
symptoms and those for long-term control),
anti cholinergics, and methyl xanthines.
 Corticosteroids are given only in severe
cases.
 Immuno modulators and Antihistamines can
also be used.
7/24/2022 60
 Oxygen therapy is given in case of hypoxia -
diminished blood oxygen levels (oxygen
saturation levels of <92%).
 Nebulizers used in chronic byssinosis.
7/24/2022 61
 Steaming of raw cotton to reduce particle
formation.
 Quit smoking.
 Wear protective gears.
 Increase ventilation.
 Avoid long term exposure.
7/24/2022 62
 History & physical examination
 Chest x-ray –snow storm appearance in the lung
fields.
 CT Scan
 Sputum test –helps to evaluate other lung diseases,
like TB
7/24/2022 63
 There is no cure for silicosis right now. Treatments
can help to reduce symptoms.
 Medications-inhaled steroids reduce lung mucus.-
Bronchodilators help to relax breathing passages.
 Oxygen therapy
 Lung transplant –if you have advanced lung
damage
7/24/2022 64
 Limit the time exposed to silica.
 Use respirators that protect you from inhaling
silica
 Stop smoking.
 Avoid secondhand smoke and areas with lot of
dust, air pollution and allergens.
7/24/2022 65
7/24/2022 66
7/24/2022 67
 SILICOTUBERCULOSIS –Silica is cytotoxic to
alveolar macrophages so patients are at risk of
tuberculosis.
 Autoimmune disorder –rheumatoid arthritis,
scleroderma.
 Malignancy
7/24/2022 68
 Mandal G.N, Textbook of medical surgical nursing
(adult nursing) published by Makalu publication
house, 3rd edition, page no. 66-67
 Brunner and siddarth, Textbook of Medical-
Surgical Nursing, 13th edition, page no. 573-582,
605
 https://www.google.com/search?client=firefox-b-
d&q=pneumonia 2078/03/09@8pm
 https://www.google.com/search?q=occupational+l
ung+disease&client 2078/03/11@11am
7/24/2022 69
7/24/2022 70
7/24/2022 71

Occupational lungs disease

  • 1.
  • 2.
  • 3.
    Prepared By: RN ArpanaBhusal BNS 7/24/2022 3
  • 4.
     Introduction  Definition Classification  Clinical features  Types 7/24/2022 4
  • 5.
     Diagnostic tests Treatment  Prevention  Complication 7/24/2022 5
  • 6.
     Occupational lungdiseases are lung problems that are made worse in certain work environments. They are caused by long-term exposure to certain irritants that are breathed into the lungs. These lung diseases may have lasting effects, even after the exposure ends.  Most occupational lung diseases are caused by repeated, long-term exposure, but even a severe, single exposure to a hazardous agent can damage the lungs. Occupational lung diseases are preventable. Smoking can increase both the severity of an occupational lung disease and the risk of lung cancer. 7/24/2022 6
  • 7.
     Among theoccupational diseases, silicosis is the major cause of permanent disability and mortality. It is caused by inhalation of dust containing free silica or silicon dioxide.  Particles between 0.5 to 3 micron are the most dangerous because they reach the interior of the lungs with case. 7/24/2022 7
  • 8.
     Occupational lungdisease are usually defined as diseases arising out of or in the course of employment in lungs. (or)  Damage to the lung caused by dust or fumes or noxious substances inhaled by the workers in certain specific occupations is known as “occupational lung diseases”. 7/24/2022 8
  • 9.
    Occupational disease aregrouped as under:  Diseases due to physical agents ( heat, cold, light, pressure, noise)  Diseases due to chemical agents ( Gases, dusts)  Diseases due to biological agents (anthrax, encephalitis, fungal infections)  Diseases of psychological origin (hypertension, peptic ulcer)  Occupational cancer (cancer of skin, lung) 7/24/2022 9
  • 10.
     Chronic cough Dyspnea on exertion  Fatigue  Loss of appetite 7/24/2022 10
  • 11.
     Chest pain Acute silicosis patients may also have fever and experience rapid, unintended weight loss  Impairment of total lung capacity(TLC)  Shortness of breath 7/24/2022 11
  • 12.
    Pneumoconiosis 1. Asbestosis 2. Silicosis 3.Coal miner’s lung/coal worker’s pneumoconiosis 4. Bagasosis 5. Bysinosis 7/24/2022 12
  • 13.
     The term‘Pneumoconiosis’was coined by Zenker to define a group of lung diseases caused by inhalation of dust that are breathed in and then deposited deep in lungs causing damage  It can be defined as the non-neoplastic reaction of lungs to inhaled minerals or organic dust and the resultant alteration in their structure excluding asthma, bronchitis and emphysema.  It is also known as “ Black lung disease”  Usually, pneumoconiosis apears 20–30 years after constant exposure to offending agents (metal mining of gold, silver, lead, copper). 7/24/2022 13
  • 14.
  • 15.
     Hx: -History ofworking around coal, asbestos, or silica, lungs disease related symptoms, -chest X-ray :X-ray abnormalities: we can diagnosed by having a routine X-ray during the time of employee.  Pathology: Alveolar macrophages engulf offending agents, causing inflammation and fibrosis of the lung parenchyma in pneumoconiosis.  Respiratory insufficiency is the ultimate consequence of the pneumoconioses. 7/24/2022 15
  • 16.
     Signs andsymptoms: dyspnea, shortness of breath, cough, sputum production, cor pulmonale, and clubbing.  Chest x-ray findings include small irregular opacities, interstitial densities, ground glass appearance, and honeycombing. 7/24/2022 16
  • 17.
  • 18.
     Asbestosis isan occupational lung disease caused by prolonged inhalation of asbestos dust. The result is lung parenchymal fibrosis which results in respiratory compromise.  Signs and symptoms: exertional dyspnea and reduced exercise tolerance, cough and wheezing (especially among smokers), chest wall pain, and ultimately respiratory failure.  History of exposure to asbestos is needed to consider the diagnosis. 7/24/2022 18
  • 19.
  • 20.
     On chestx-ray, diffuse or local pleural thickening, pleural plaques, and calcifications at the level of the diaphragm are seen. Pleural effusions are commonly seen, and the interstitial lungs process associated with asbestosis usually involves the lower lung fields. 7/24/2022 20
  • 21.
  • 22.
     For diagnosisa lung biopsy is usually needed; the classic barbell-shaped asbestos fiber is found.  No specific treatment is offered. Patients with asbestos exposure should strongly be advised to stop smoking since their risk of lung cancer is 75 times higher than that of the normal population. 7/24/2022 22
  • 23.
  • 24.
     Silicosis isan occupational lung disease caused by inhalation of silica dust in lung parenchyma tissue reaction to it. It is seen in individuals who work in mining, quarrying, tunneling, glass and pottery making, and sandblasting.  Silicon dioxide or silica is the most abundant compound in the earth’s crust, where it is mostly found in the crystalline form known as quartz. 7/24/2022 24
  • 25.
     Mining  Tunnelling Stone masonry  Sand blasting  Fettling and foundry work  Ceramics  Brick-making  Silica flour manufacture 7/24/2022 25
  • 26.
  • 27.
  • 28.
  • 29.
     Silicosis causessimilar symptoms to asbestosis except the acute form of silicosis, which is caused by massive exposure that causes lung failure in months.  Pathology: Silica enters and cause inflammatory reactions with pathologic lesions being the hyaline nodule. 7/24/2022 29
  • 30.
  • 31.
  • 32.
     There are3 key elements to diagnosis of silicosis : Patient history should reveal exposure to sufficient silica dust to cause this illness. Chest X-Ray revealing findings consistent with silicosis. In silicosis there are nodules (1–10 mm) seen throughout the lungs that are most prominent in the upper lobes. There are no underlying illnesses that are more likely to causing the abnormalities  Physical examination is usually unremarkable unless there is complication. PFT may reveal air flow limitation, restrictive defects, ↓diffusion capacity, mixed defects or may be normal 7/24/2022 32
  • 33.
     Silicosis isan irreversible & progressive condition with no cure. There is no effective therapy for silicosis. Death occurs usually because of progressive respiratory insufficiency  Treatment options currently focus on alleviating symptoms & preventing complications including stopping further exposure to silica & other lung irritants, including tobacco smoking, cough suppressants, antibiotics for bacterial lung infection, ATT for those with active TB, -chest physiotherapy to help bronchial drainage of mucus, -O2 administration to treat hypoxemia, bronchodilators to facilitate breathing. 7/24/2022 33
  • 34.
     Lung transplantationto replace damaged lung tissue is the most effective treatment. 7/24/2022 34
  • 35.
     Coal minersare exposed to dust that contains mixture of coal, mica and silica in varying proportions  Coal- workers’ pneumoconiosis is virtually confined to underground coal-miners, it may occur in any place where a worker is exposed to high levels of coal dust in poorly ventilated conditions. Thus it has been described in coal trimmers, loading coal in the holds of ships, and in men and women sorting coal on surface screens. 7/24/2022 35
  • 36.
  • 37.
     The riskof development and progression of coal miner’s lung (CWP) is related:  the amount of coal dust exposure  higher rank (hardness) of coals  and increased silica content of inhaled dust.  Simple CWP is seen in 12% of all miners.  Patients clinically present as they would with any other occupational lung disease. 7/24/2022 37
  • 38.
  • 39.
     On chestx-ray, small round densities are seen in the parenchyma, usually involving the upper half of the lungs.  Complicated or progressive massive fibrosis is diagnosed by the presence of larger densities from 1 cm in diameter to the entire lobe.  Increased levels of IgA, IgG, C3, antinuclear antibodies (ANA), and rheumatoid factor are also seen. 7/24/2022 39
  • 40.
  • 41.
  • 42.
  • 43.
     Bagasse isthe residue after sugar is extracted from cane. It is a fibrous material used in the manufacture of paper, board sand building materials  Typically it becomes contaminated with thermophilic actinomycetes when lying in the hot and humid conditions where sugarcane is processed.  Although the disease commonly affects workers handling the bagasse it may also occur wherever mouldy material is imported 7/24/2022 43
  • 44.
  • 45.
  • 46.
  • 47.
  • 48.
     Byssinosis isa lung disease caused by occupational exposure to dust from cotton, hemp or flax. or  Byssinosis is a term applied to a complex of symptoms associated with the manufacture of cotton, flax, jute dust and hemp  Other names for byssinosis include Monday fever, brown lung disease, mill fever or cotton workers' lung.  Up to one-third of people exposed to cotton dust for the first time develop an acute airway reaction. 7/24/2022 48
  • 49.
  • 50.
     people withasthma and is associated with increased bronchial reactivity  A sensation of oppression in the chest or difficulty in breathing on the first day of the working week. As light rise in temperature with cough and wheeze. The symptoms usually occur after about 2–4h of exposure. 7/24/2022 50
  • 51.
     Textile workers(1ststageof processing of cotton)  Smoking  Impaired lung function  History of respiratory allergy  Bronchitis  Asthma  Infections  Exposure >20 years 7/24/2022 51
  • 52.
     Byssinosis iscommon among textile workers, who often inhale significant amounts of cotton dust.  Cotton dust may stimulate inflammation that damages the normal structure of the lung.  It causes the release of histamine, which constricts the air passages.  As a result, breathing becomes difficult.  Over time the dust accumulates in the lung, producing a typical discoloration that gives the disease its name BROWN LUNG DISEASE. 7/24/2022 52
  • 53.
     Tightness inthe chest  Wheezing  Coughing  Dyspnea  Fever 7/24/2022 53
  • 54.
     Muscle andjoint pain  Shivering  Tiredness  Dry cough The condition is worse at the beginning of the week or upon acute exposure after a period away from the work environment. Hence the other common name for byssinosis –Monday fever. 7/24/2022 54
  • 55.
  • 56.
     Detailed medicalhistory  Physical examination  Pulmonary function test  Chest X-ray  CT scan 7/24/2022 56
  • 57.
     Appearance ofthe Patient Weight loss is present in the chronic form of the syndrome.  Vital Signs Fever and tachypnea are often present.  Auscultation Diffuse fine bi basilar crackles over lower lung fields often are present.  Extremities Clubbing is observed in 50% of patients with the chronic form of the syndrome. Muscle wasting is also observed in the chronic form of the syndrome. 7/24/2022 57
  • 58.
     Byssinosis isgenerally not serious.  But if left untreated it can lead to chronic illnesses such as emphysema and chronic bronchitis.  When exposure of fiber stops, the illness will clear up.  In case of long time exposure there is irreversible damage to lungs. 7/24/2022 58
  • 59.
     In acutesettings patients are encouraged to consider alternate occupations or at least reduce the exposure in the work environment.  Smokers should be encouraged to stop smoking.  Physical activity and breathing exercises may help in management. 7/24/2022 59
  • 60.
     Bronchodilators helpto relax and widen (dilate) the airways.  Bronchodilators include beta-adrenergic drugs (both those for quick relief of symptoms and those for long-term control), anti cholinergics, and methyl xanthines.  Corticosteroids are given only in severe cases.  Immuno modulators and Antihistamines can also be used. 7/24/2022 60
  • 61.
     Oxygen therapyis given in case of hypoxia - diminished blood oxygen levels (oxygen saturation levels of <92%).  Nebulizers used in chronic byssinosis. 7/24/2022 61
  • 62.
     Steaming ofraw cotton to reduce particle formation.  Quit smoking.  Wear protective gears.  Increase ventilation.  Avoid long term exposure. 7/24/2022 62
  • 63.
     History &physical examination  Chest x-ray –snow storm appearance in the lung fields.  CT Scan  Sputum test –helps to evaluate other lung diseases, like TB 7/24/2022 63
  • 64.
     There isno cure for silicosis right now. Treatments can help to reduce symptoms.  Medications-inhaled steroids reduce lung mucus.- Bronchodilators help to relax breathing passages.  Oxygen therapy  Lung transplant –if you have advanced lung damage 7/24/2022 64
  • 65.
     Limit thetime exposed to silica.  Use respirators that protect you from inhaling silica  Stop smoking.  Avoid secondhand smoke and areas with lot of dust, air pollution and allergens. 7/24/2022 65
  • 66.
  • 67.
  • 68.
     SILICOTUBERCULOSIS –Silicais cytotoxic to alveolar macrophages so patients are at risk of tuberculosis.  Autoimmune disorder –rheumatoid arthritis, scleroderma.  Malignancy 7/24/2022 68
  • 69.
     Mandal G.N,Textbook of medical surgical nursing (adult nursing) published by Makalu publication house, 3rd edition, page no. 66-67  Brunner and siddarth, Textbook of Medical- Surgical Nursing, 13th edition, page no. 573-582, 605  https://www.google.com/search?client=firefox-b- d&q=pneumonia 2078/03/09@8pm  https://www.google.com/search?q=occupational+l ung+disease&client 2078/03/11@11am 7/24/2022 69
  • 70.
  • 71.