DEFINITIONS
Pneumoconiosis is an occupational lung disease and 
a restrictive lung disease caused by the inhalation of 
dust.
The term "pneumoconiosis" comes from the
Greek pneumon, meaning lung, and konis, meaning
dust. 
The term is usually taken to mean either fibrosis of 
the lungs due to accumulations of dust of organic or 
inorganic origin. 
Cont’d
DUST: is material which is reduced to fine particulate 
size by various natural or artificial means such as 
grinding or crushing.
FIBRE: is defined as a particle the length of which 
exceeds the diameter by 10 times or more.
EPIDEMIOLOGY
 Currently the global work force is about 2.6 billion
and it is growing continously.
 About 40 million new jobs are gotten yearly
 About 75% of these new jobs are in the developing
nations, which have very poor occupational health
services, poor governmental policies, weak political
will, e.t.c
 It is estimated that approximately 2.4 million
united states worker have been exposed to
crystalline silica or asbestos during mining or non-
mining industries-(16th edition of Harrison’s principle of medicine)
Medical Lecture Notes – All Subjects
USMLE Exam (America) – Practice
epidemiology (ctd)
The exact magnitude of occupational disease
is not known, especially the lung diseases,of
which pneumoconises is chief. The reasons
which include;
             - symptomless
- late diagnosis
- mimicking other lung pathology
- employers covering up
- lack of government policies e.t.c,
CLASSIFICATION OF
PNEUMOCONIOSIS
 1. SILICOSIS - pneumoconiosis, caused by
inhalation of dust, composed of free silicon
dioxide (SiO2).
 2. SILICATOSIS - pneumoconiosis, caused by
inhalation of mineral dust, which includes
dioxide of silicon and other elements:
magnesium, aluminum, iron, calcium
(asbestosis, talcosis, kaolinosis, cementosis).
CLASSIFICATION OF
PNEUMOCONIOSIS
 3.METALOCONIOSIS – pneumoconiosis, caused
by inhalation of metal dust: iron, aluminum,
barium, manganese (siderosis, aluminosis,
baritosis).
 4.CARBOCONIOSIS – pneumoconiosis, caused
by inhalation of dust, composed of
carbonaceous dust: anthracite coal, coke,
graphite, soot (anthracosis, graphitosis). 
CLASSIFICATION OF
PNEUMOCONIOSIS
 5. PNEUMOCONIOSIS CAUSED BY THE MIXED
DUST
(anthracosilicosis, siderosilicosis).
 6. PNEUMOCONIOSIS CAUSED BY AN
ORGANIC DUST
(bisinosis, corn pneumoconiosis)
CLASSIFICATION OF PNEUMOCONIOSIS
according to the character of form, size
and contours of opacity on
roentgenogram
CLASSIFICATIONCLASSIFICATION
NodularNodular
InterstitialInterstitial
(diffuse-(diffuse-
sclerotic)sclerotic)
NodalNodal
CLASSIFICATION OF
PNEUMOCONIOSIS
according to the
degree of expressiveness of clinical and
roentgenologic manifestations
CLASSIFICATIONCLASSIFICATION
I stageI stage ІІ stageІІ stage ІІІ stageІІІ stage
SILICOSIS( grinder’s disease)
Among the occupational lung 
diseases, it’s the major cause of 
permanent disability and mortality.  
It was found out that the incubation 
period may vary from a few months up 
to 6yrs.
CONT’D
CAUSES: Free silica dust or silicon 
dioxide inhaled either in crystalline or 
amorphous varieties. The commonest 
crystalline form is quartz.
OCCUPATIONAL EXPOSURE:  
mining, enameling, grinding, 
sandblasting, quarries 
  
PATHOLOGY
The histologic lesion is the ‘silicotic 
nodule’ ranging from 3 to 4 mm in 
diameter.
 These  nodules are caused by death of 
microphages containing silica particles 
with the release of silica and the 
intracellular enzymes causing more 
and more fibrosis.
CLINICAL FEATURES
May be symptomless initially
Irritant cough
Dyspnoea on exertion
Chest pain
Cyanosis
Pulmonary hypertension
RADIOLOGY FINDINGS
Shows egg- shell hilar calcification and progressive
massive fibrosis. it also shows snow-storm appearance
in the lung fields.
 Emphysematous bullae are present in the upper
zones then later affect the lower lobes.
COMPLICATIONS
Tuberculosis (silicotuberculosis)
Chronic bronchitis
Cor pulmonale
Pleural effusion
Caplan’s syndrome
CONTROL
Control is by prevention as there is no
treatment.
Rigorous dust control measures E.g
personal protective equipment i.e.
masks or respirator with mechanical
filters or with oxygen substitution,
hydroblasting
Regular physical examination of
workers
SILICATOSIS
Asbestosis - is defined as
fibrosis of the lungs caused by
asbestos dust.
Asbestos dust cause other
diseases which together with
asbestosis are termed asbestos-
related disease.
CONT’D
Asbestos are silicates of varying composition;
the silica is combined with such bases as
magnesium, iron, calcium, sodium and
aluminium.
Asbestos has a unique combination of several useful
properties such as
 it is heat, acid and fire resistant
It is light, ductile, malleable .
 it can withstand a lot of weight.
CONT’D
There are two main types; chrysolite and amphiboles;
Chrysolite (white asbestos) which is a pure magnesium
silicate
Amphiboles which contain a varying amount of other
minerals such as iron and calcium. The commonest
varieties are

1. Crocidolite(blue asbestos)
2. Amosite(brown asbestos)
3. Others ; anthrophyllite , tremolite and actinolite
CONT’D
CAUSE: asbestos dust
OCCUPATIONAL EXPOSURE: ship building, motor gaskets,
locomotive brake pad .
 PATHOLOGY
Nodular areas more in lower lobes of lungs.
 Histologically, alveolitis with mononuclear infiltration. there is
fibrosis and calcification of the pleura.


CLINICAL FEATURES
 asymptomatic in mild cases
Increasing dyspnoea
finger clubbing
Cyanosis
Right heart failure
Fine basal crepitations
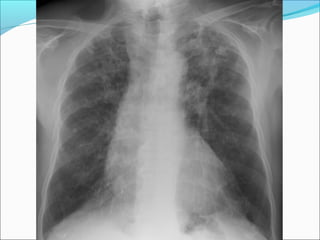
RADIOLOGICAL FINDINGS
DIAGNOSIS
Occupational history
Signs and symptoms
Radiological findings
Decreased total lung capacity, vital capacity and
residue volume
COMPLICATIONS
Lung cancer
Mesothelioma of the pleura and
peritoneum
Cor pulmonale
Pleural effusion
Caplan’s syndrome
CONTROL
There is no cure, primary prevention
is key
Pre-employment and periodic
medical examination for workers
Dust control measures. Many
countries have adopted a permissible
limit of exposure to airborne
concentrations of asbestos to 2
COAL WORKER'S
PNEUMOCONIOSIS
Coal worker's pneumoconiosis is a lung
disease that results from breathing in dust
from coal over a long period of time.
It was formally called anthracosis and
anthraco-silicosis when it occurred
together with silicosis.
CONT’D
It has 2 phases;
 simple pneumoconiosis: this is
associated with little ventilatory
impairement.
 Progressive massive fibrosis
or complicated: this causes
severe respiratory disability and
premature death.
CAUSESCAUSES: Coal (anthracene) dust inhaled alone or as
mixed silica dust.
The following factors increase the risk of coal worker’s
pneumoconiosis:
Type of dust: Coal rankings are as follows:
High: This coal is older and has the least amount of
volatile matter (eg, anthracite coal [hard and shiny]).
Medium: This coal is of moderate age and has a
greater amount of volatile matter (eg, bituminous
coal).
CONT’D
• Low: This coal is younger and has the
greatest amount of volatile matter (eg,
lignite coal [brown ]).
 Age at first exposure
Length of time spent underground
Smoking
Size of dust particles
OCCUPATIONAL EXPOSURE: Coal
mining at coal face
PATHOLOGY
This results in inflammation of the
lungs, which then leads to fibrosis
along with nodular lesions in the
lungs, and finally, the centers of these
lesions may even become necrotic,
causing large size cavities in the lungs.
It is characterized by black
pigmentation of the lung parenchyme.
CLINICAL FEATURES
Chronic cough
Shortness of breath
Weight loss
Fever
Features of heart failure
Fine basal crepitations
Finger clubbing
RADIOLOGICAL FINDINGS
There are typically rounded
opacities of varying sizes in upper
zones. These opacities can be
round or irregular in outline.
They may calcify and coalesce into
large masses in PMF
DIAGNOSIS
Occupational history
Signs and symptoms
Decreased forced expiratory
volume
Decreased total lung capacity
X-ray findings
COMPLICATIONS
Pleural effusion
Cor pulmonale
Caplan’s syndrome: is when
complicated coal worker's
pneumoconiosis occurs along
with rheumatoid arthritis
CONTROL
Prevention is the best, especially as
stoppage of further exposure in PMF
does not lead to a better prognosis.
Dust control at coalface.
Environmental monitoring and
personal protection
Periodic medical examination
BYSSINOSIS
Byssinosis is due to inhalation of cotton
fibre dust over a long period of time.
 The main hazard occur when handling
the machines used for cleaning those
plant products of their impurities.
OCCUPATIONAL EXPOSURE: textile
workers with cotton, hemp , flax, jute or
kapok
CLINICAL FEATURES
Chronic cough which is
unproductive.
Progressive dyspnoea
Cyanosis
haemoptysis
dyspnoea
Chest tightness
RADIOLOGICAL FINDINGS
No specific changes
Advanced cases show the changes
characteristic of chronic bronchitis
and emphysema.
DIAGNOSIS
History of exposure
Signs and symptoms
X-ray findings
Decreased total lung capacity and vital capacity
CONTROL
Primary prevention is the key
Dust control programme
Proper dust control by exhaust ventilation
BAGASSOSIS
It is caused by inhalation of bagasse or sugar-cane dust
after the sugar water has been pressed out. It was first
reported in Indian in 1955.
It has been shown to be due to a thermophilic actinomycete
for which the name thermoactinomyces sacchari was
suggested.
OCCUPATIONAL EXPOSURE: sugar cane work places and
exposure to bagasse.
CLINICAL FEATURES
Acute fever
Breathlessness
Cough
Haemoptysis
X-ray features of bronchitis in
acute cases; otherwise normal.
DIAGNOSIS
Occupational history
Clinical presentation
Radiological findings
COMPLICATIONS
emphysema
bronchiectasis
CONTROL
Early disposal of sugar cane flax
Dust contro: such as wet process, personal protective
equipment i.e. masks or respirator with mechanical
filters or with oxygen.
Medical control: initial medical examination and
periodical medical check up of workers.
Bagasse control: by keeping the moisture content
above 20% and spraying the bagasse with 2%
propionic acid,a widely used fungicide.
BERYLLIOSIS
This is due to exposure to beryllium which is used in
nuclear industries and in manufacturing of x-ray
tubes and aircrafts.
PATHOLOGY
Biopsy of the lesions show changes similar to
sarcoidosis with non caseating granulomas and
interstitial fibrosis
CLINICAL FEATURES
Cough
breathlessness
CONTROL
Steroids may help in controlling the progression of
the disease.
Dust control
FARMER’S LUNG
Is due to inhalation of mouldy hay or grain dust.
In grain dust or hay with a moisture content of over 30%,
bacteria and fungi grow rapidly causing a rise of
temperature to 40-50degree celsius.
This heat encourages the growth of thermophlilic
actinomycetes of which Micropolyspora faeni is the main
cause of farmer’s lung
CLINICAL FEATURES
Acute fever
Cough
Breathlessness
 COMPLICATION

Cor pumonale
Pulmonary damage
CONCLUSION
Pneumoconiosis still remains a very important public health
topic in the face of increasing populations globally and the
quest to satisfy the needs of the teeming population.
The imperative to protect the workers is that of the employer
and so all measures should be taken to ensure this.

Personal protection should be a supporting measure. It’s
therefore important to control dust in the industry either by
substitution or adoption of permissible limit of exposure.
Preemployment, routine medical check up have a great role in
early detection and mitigation in workers.

THANK
YOU

Pneumoconiosis