 Most common surgical emergency in
neonates.
 Management depends on timely diagnosis
 Needs radiological assessment
 Outcome excellent
 Refusal to take feed.
 Vomitting.
 Abdominal distention.
 Delayed/failure to pass meconium.
 HIGH INTESTINAL OBSTRUCTION
proximal to ileum i.e. gastric ,duodenal
& jejunal.
 LOW INTESTINAL OBSTRUCTION
distal ileum & colon.
HIGH INTESTINAL OBSTRUCTION
 Rare
 Usually distal
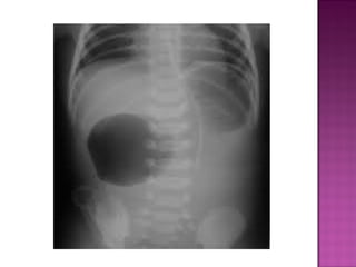
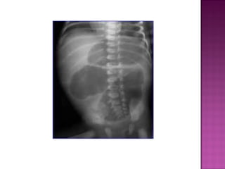
 AXR—gas filled stomach without distal
intestinal air. SINGLE BUBBLE SIGN.
 Can be dx antenatally on ultrasound.
 Congenital failure of recanalization.
 Association with VATER/VACTERL & trisomy
21.
 Post-ampullary.
 Bilous vomitting.
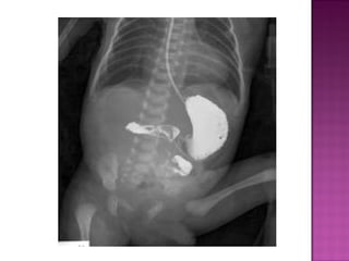
 On AXR gas filled distended stomach &
duodenal cap.
 Absent distal bowel gases,
 Gastro duodenal distention but distal gases
present.
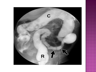
 On contrast– slow transit of contrast distally.
 Small congenital obstructive membrane with
central aperture.
 Failure of normal physloiogical herniation in
embryo
 Leads to narrow mesenteric attachment.
 Predisposes to rotation around superior
mesenteric vessels.
 If untreated bowel ischemia & infarction.
 Abnormal course of duodenum that fail to
cross midline has spiral appearance .
 Intestinal ischemia during intra uterine life.
 Present with bilous vomitting & abdominal
distention.
 Distention of stomach ,duodenum &
jejunum.
LOW INTESTINAL OBSTRUCTION
 Due to intra uterine ischemic insult.
 Bilous vomiting & distention.
 Numerous dilated bowel loops.
 Meconium plugs obstruct colon & distal small
bowel.
 Associated with cystic fibrosis.
 AXR– multiple distended gut loops.
 Contrast study—meconium plugs & micro
colon.
 Meconium plug /small left colon syndrome.
 Benign & self limiting condition.
 Due to immaturity of colonic ganglion cells.
 To infants of diabetic mothers & those who
took MgSO4 for pre eclampsia.
 Contrast studies-
dilated ascending & transverse colon
small descending colon
rectum normal
 Arrest of neuron migration to distal bowel
before 12th
week.
rectosigmoid-75%
splenic flexure-20%
whole colon-5%
 Affected segment narrowed.
 Proximal dilatation.
 Rarely an uncommon condition
 Intra uterine vascular insult
 Proximal to splenic flexure
 Association with VATER
 High/low depending levator ani muscle
 Low –blind ending pouch.
 High-associated with fistula to
bladder,urethra & vagina.
Neonatal intestinal obstruction
Neonatal intestinal obstruction
Neonatal intestinal obstruction
Neonatal intestinal obstruction

Neonatal intestinal obstruction

  • 2.
     Most commonsurgical emergency in neonates.  Management depends on timely diagnosis  Needs radiological assessment  Outcome excellent
  • 3.
     Refusal totake feed.  Vomitting.  Abdominal distention.  Delayed/failure to pass meconium.
  • 4.
     HIGH INTESTINALOBSTRUCTION proximal to ileum i.e. gastric ,duodenal & jejunal.  LOW INTESTINAL OBSTRUCTION distal ileum & colon.
  • 6.
  • 7.
     Rare  Usuallydistal  AXR—gas filled stomach without distal intestinal air. SINGLE BUBBLE SIGN.  Can be dx antenatally on ultrasound.
  • 11.
     Congenital failureof recanalization.  Association with VATER/VACTERL & trisomy 21.  Post-ampullary.  Bilous vomitting.
  • 12.
     On AXRgas filled distended stomach & duodenal cap.  Absent distal bowel gases,
  • 18.
     Gastro duodenaldistention but distal gases present.  On contrast– slow transit of contrast distally.
  • 21.
     Small congenitalobstructive membrane with central aperture.
  • 23.
     Failure ofnormal physloiogical herniation in embryo  Leads to narrow mesenteric attachment.  Predisposes to rotation around superior mesenteric vessels.  If untreated bowel ischemia & infarction.
  • 27.
     Abnormal courseof duodenum that fail to cross midline has spiral appearance .
  • 31.
     Intestinal ischemiaduring intra uterine life.  Present with bilous vomitting & abdominal distention.
  • 32.
     Distention ofstomach ,duodenum & jejunum.
  • 35.
  • 36.
     Due tointra uterine ischemic insult.  Bilous vomiting & distention.  Numerous dilated bowel loops.
  • 39.
     Meconium plugsobstruct colon & distal small bowel.  Associated with cystic fibrosis.  AXR– multiple distended gut loops.  Contrast study—meconium plugs & micro colon.
  • 43.
     Meconium plug/small left colon syndrome.  Benign & self limiting condition.  Due to immaturity of colonic ganglion cells.  To infants of diabetic mothers & those who took MgSO4 for pre eclampsia.
  • 44.
     Contrast studies- dilatedascending & transverse colon small descending colon rectum normal
  • 47.
     Arrest ofneuron migration to distal bowel before 12th week. rectosigmoid-75% splenic flexure-20% whole colon-5%
  • 48.
     Affected segmentnarrowed.  Proximal dilatation.
  • 52.
     Rarely anuncommon condition  Intra uterine vascular insult  Proximal to splenic flexure
  • 55.
     Association withVATER  High/low depending levator ani muscle  Low –blind ending pouch.  High-associated with fistula to bladder,urethra & vagina.