Dr Isha Deshmukh
Assistant Professor
BJGMC
Pune
• Upper Intestinal Obstruction:
1. Duodenal Atresia
2. Malrotation with Midgut Volvolus
• Small Intestinal Obstruction
1. Jejunal or Ileal Atresia
2. Meconium Ileus
• Hirshprung’s Disease
• Anorectal Malformations
• Meconium plug syndrome
• Colonic Atresias
 Duodenal Atresia more common
 Associated with Down’s syndrome or cardiac
anomalies
 Double Bubble sign on X ray abdomen
 More incidence during fourth and tenth
weeks of intra-uterine life
 Intestinal contents protrude from the
abdominal cavity into the umbilical cord
 If the process of rotation is incomplete i.e
only 180* , then malrotation is said to have
taken place.
 Cecum lies just below the pyrolus and
adjacent to the d.j. Flexure, narrowing the
root of the mesentery; the ascending and
transverse colon are mobile and liable to be
twisted in a clockwise direction Volvolus
Neo-natorum
 Abnormal peritoneal bands  Ladd’s Bands
 Bilious Vomiting
 Bleeding per rectum
 Upper Intestinal Obstruction
 Septicemia
 Plain X ray abdomen
 Barium enema
 USG with Doppler
 The mucous secreted in the intestine is
extremely sticky , like plasticine, and this
leads to adherance of this meconium to the
intestinal mucosa.
 Possible a genetic basis for the disease
 Autosomal Recessive
 Doughy, rubbery substance in the right lower
abdomen.
•Plain X ray abdomen  Dilated bowel
•Conray or gatrograffin enema shows microcolon  congenital
obstruction
 Congenital Aganglionosis of a variable length
of the colon extending proximally from the
anorectal junction.
 The parasympathetic ganglia are absent from
the Meissner’s plexus and the Auerbach’s
plexus of the affected bowel.
 Dilatation and hypertrophy of ganglionic
proximal bowel.
 Presentation – at birth or later
 Delay in passage of meconium beyond 24
hours of life
 Abdominal Distension
 Failure to thrive
• Plain Xray  Features of Intestinal
Obstruction
• Barium Enema  Cone shaped colon at the
junction of the ganglionic and aganglionic
segments .
• Anorectal manometry  internal sphincter
does not relax in response to rectal
distension.
• Full thickness biopsy  Absence of ganglion
cells in the rectal muscle wall .
 Group of anomalies that affect perineum in
either male or female.
 Incidence: 1 in 5000
 Anus does not open normally at usual site
 Opening is severely stenotic or maybe
entirely absent,
 Rectum or anus ends as a blind pouch
• High variety of malformation 
If the rectum is blind ending above the
levator funnel.
• Low variety of malformation 
If the rectum passes through the anorectal
pouch opens out on the skin either at the site of the
anus or anteriorly on the perineal or scrotal raphe
in the male or in the vestibule or vulva in the
female.
• Intermediate variety  Fistula to the posterior
urethra in the male , or vestibule in a female.
 More common in male newborns
 Symptoms around the third week of life
 Projectile vomiting  due to reverse
peristalsis from a hypertrophied stomach &
occurs sometime after feed
 Gastritis
 Altered blood in vomitus
 Dehydration
Dehydration
Sepsis
Shallow breathing
Metabolic Alkalosis
Hypokalemia
Hypernatremia or Hyponatremia
Epigastric fullness
Visible peristalsis  Pyrolic tumor
Embryonal Components of Diaphragm-
 1. The septum transversum
 2. Pleuroperitoneal membranes
 3. Dorsal esophageal mesentry
 4. Anterior abdominal wall
 5. Lung hypoplasia
• Abdominal distension leading to respiratory
distress in a crying baby
• Lung hypoplasia has low respiratory reserves
• Secondary Pulmonary Hypertension
• Failure of PDA to close leads to CCF
• Persistent fetal circulation
• Cyanosis
• Mediastinal Shift
• Occasional Peristaltic Sounds on Chest
auscultation
• Scaphoid abdomen
• Bochdalek’s Hernia : most common type . Failure of
formation of pleuroperitoneal component of
diaphragm. More common on Left side as compared
to right side.
• Morgagni’s hernia : Defect between the costal and
sternal attachments of the diaphragm. More
common on right side.
• Herniated viscera  stomach, spleen, left liver
lobe, varying lengths of the intestine and left
kidney in left sided hernias , and liver in hernias on
the right side.
 Complete Blood count, Coagulation Profile
 Arterial or venous blood gas
 Serum electrolyte levels
 Abdominal and Chest Ultrasound
 Chest Xray & Abdominal Xray
 CT Chest plus Abdominal CT
 2 D-Echo
 Incidence – 1:3000 to 1: 4500
 30% of affected infants are premature.
 Trachea & Esophagus formed from the
primitive foregut around the fourth week of
intra-uterine gestation
 An abnormality in the process causes TEF
• Pooling of saliva
• Frothing at mouth
• Chocking
• Dyspnoea
• Cyanosis
• LRTI, Chemical pneumonitis
• Respiratory distress
• Gastric Distension
 Teratomas are tumors which are composed of
multiple tissue types representing cells from
all the three germ layers.
 Varying degrees of differentiation
 Bones, muscles, neural tissues, teeth, and
epithelial structures
 Present as large bosselated soft tissue mass
in the region of lower sacrum
 Partial or complete choanal stenosis
 Unilateral or bilateral
 Obstruction may be bony or cartilagenous
Clinical features :
1. Respiratory distress in newborn
2. RD relieves on crying
3. Cyanosis
 Herniation of the contents of abdominal
cavity through a defect in anterior abdominal
wall.
 Exompahlos- umbilicus is widely open
allowing herniation of abdominal viscera
 Two types – major and minor
 Gastrochisis – full thickness defect in anterior
abdominal wall next to normally formed
umbilicus
 Multiple system involvement
 Beckwith- Wiedemann syndrome
 Exompahalos, Macroglossia, Giagantism
 With gastrochisis- Association is intestinal
atresias
 Cardiac defects may be present.
 Chromosomal anomalies may be associated.
 Further investigations are needed when the
jaundice does not resolve by two weeks of
life or when the serum conjugated bilirubin
rises more than 2 mg percent
 Rise in conjugated bilirubin – Cholestatic
type
 Intrahepatic cholestasis – infective,
metabolic, endocrine and genetic causes
 Extrahepatic cholestasis – Biliary atresia or
Choledochal cyst
 Atresia of the extrahepatic apparatus
 Result of inflammatory process in fetal life
 Dark colored urine , Chalky white stools
 Inv- HIDA scan , Liver biopsy
 For confirmation – Operative cholangiography
 T/t- Surgery at 2 to 3 weeks of life
 Kasai’s Porto-enterostomy
 Liver transplant if Liver failure
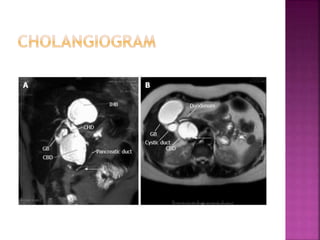
 Congenital dilatation of the biliary system
 Etiology – Congenital abnormality of the
junction of the biliary and pancreatic ducts
which may allow reflux of pancreatic juice
into the biliary tree causing weakening of the
wall of the biliary tree with subsequent
dilatation
 Pain in right hypochondriac region, jaundice and
palpable lump is considered diagnostic
 Features of cholangitis , septicemia, biliary stones
 Eventually – malignancy
 Diagnosis – USG Abdomen , HIDA scan
 Confirmation of pattern of excretion of the bile and
confirmation that the cyst is visible on sonography
in continuation with the biliary tree.
Common pediatric surgical problems
Common pediatric surgical problems
Common pediatric surgical problems

Common pediatric surgical problems

  • 1.
    Dr Isha Deshmukh AssistantProfessor BJGMC Pune
  • 2.
    • Upper IntestinalObstruction: 1. Duodenal Atresia 2. Malrotation with Midgut Volvolus • Small Intestinal Obstruction 1. Jejunal or Ileal Atresia 2. Meconium Ileus • Hirshprung’s Disease • Anorectal Malformations • Meconium plug syndrome • Colonic Atresias
  • 3.
     Duodenal Atresiamore common  Associated with Down’s syndrome or cardiac anomalies  Double Bubble sign on X ray abdomen
  • 5.
     More incidenceduring fourth and tenth weeks of intra-uterine life  Intestinal contents protrude from the abdominal cavity into the umbilical cord  If the process of rotation is incomplete i.e only 180* , then malrotation is said to have taken place.
  • 6.
     Cecum liesjust below the pyrolus and adjacent to the d.j. Flexure, narrowing the root of the mesentery; the ascending and transverse colon are mobile and liable to be twisted in a clockwise direction Volvolus Neo-natorum  Abnormal peritoneal bands  Ladd’s Bands
  • 7.
     Bilious Vomiting Bleeding per rectum  Upper Intestinal Obstruction  Septicemia
  • 8.
     Plain Xray abdomen  Barium enema  USG with Doppler
  • 10.
     The mucoussecreted in the intestine is extremely sticky , like plasticine, and this leads to adherance of this meconium to the intestinal mucosa.  Possible a genetic basis for the disease  Autosomal Recessive  Doughy, rubbery substance in the right lower abdomen.
  • 11.
    •Plain X rayabdomen  Dilated bowel •Conray or gatrograffin enema shows microcolon  congenital obstruction
  • 12.
     Congenital Aganglionosisof a variable length of the colon extending proximally from the anorectal junction.  The parasympathetic ganglia are absent from the Meissner’s plexus and the Auerbach’s plexus of the affected bowel.  Dilatation and hypertrophy of ganglionic proximal bowel.
  • 13.
     Presentation –at birth or later  Delay in passage of meconium beyond 24 hours of life  Abdominal Distension  Failure to thrive
  • 14.
    • Plain Xray Features of Intestinal Obstruction • Barium Enema  Cone shaped colon at the junction of the ganglionic and aganglionic segments . • Anorectal manometry  internal sphincter does not relax in response to rectal distension. • Full thickness biopsy  Absence of ganglion cells in the rectal muscle wall .
  • 16.
     Group ofanomalies that affect perineum in either male or female.  Incidence: 1 in 5000  Anus does not open normally at usual site  Opening is severely stenotic or maybe entirely absent,  Rectum or anus ends as a blind pouch
  • 17.
    • High varietyof malformation  If the rectum is blind ending above the levator funnel. • Low variety of malformation  If the rectum passes through the anorectal pouch opens out on the skin either at the site of the anus or anteriorly on the perineal or scrotal raphe in the male or in the vestibule or vulva in the female. • Intermediate variety  Fistula to the posterior urethra in the male , or vestibule in a female.
  • 21.
     More commonin male newborns  Symptoms around the third week of life  Projectile vomiting  due to reverse peristalsis from a hypertrophied stomach & occurs sometime after feed  Gastritis  Altered blood in vomitus  Dehydration
  • 22.
    Dehydration Sepsis Shallow breathing Metabolic Alkalosis Hypokalemia Hypernatremiaor Hyponatremia Epigastric fullness Visible peristalsis  Pyrolic tumor
  • 24.
    Embryonal Components ofDiaphragm-  1. The septum transversum  2. Pleuroperitoneal membranes  3. Dorsal esophageal mesentry  4. Anterior abdominal wall  5. Lung hypoplasia
  • 25.
    • Abdominal distensionleading to respiratory distress in a crying baby • Lung hypoplasia has low respiratory reserves • Secondary Pulmonary Hypertension • Failure of PDA to close leads to CCF • Persistent fetal circulation • Cyanosis • Mediastinal Shift • Occasional Peristaltic Sounds on Chest auscultation • Scaphoid abdomen
  • 26.
    • Bochdalek’s Hernia: most common type . Failure of formation of pleuroperitoneal component of diaphragm. More common on Left side as compared to right side. • Morgagni’s hernia : Defect between the costal and sternal attachments of the diaphragm. More common on right side. • Herniated viscera  stomach, spleen, left liver lobe, varying lengths of the intestine and left kidney in left sided hernias , and liver in hernias on the right side.
  • 29.
     Complete Bloodcount, Coagulation Profile  Arterial or venous blood gas  Serum electrolyte levels  Abdominal and Chest Ultrasound  Chest Xray & Abdominal Xray  CT Chest plus Abdominal CT  2 D-Echo
  • 30.
     Incidence –1:3000 to 1: 4500  30% of affected infants are premature.  Trachea & Esophagus formed from the primitive foregut around the fourth week of intra-uterine gestation  An abnormality in the process causes TEF
  • 32.
    • Pooling ofsaliva • Frothing at mouth • Chocking • Dyspnoea • Cyanosis • LRTI, Chemical pneumonitis • Respiratory distress • Gastric Distension
  • 34.
     Teratomas aretumors which are composed of multiple tissue types representing cells from all the three germ layers.  Varying degrees of differentiation  Bones, muscles, neural tissues, teeth, and epithelial structures  Present as large bosselated soft tissue mass in the region of lower sacrum
  • 36.
     Partial orcomplete choanal stenosis  Unilateral or bilateral  Obstruction may be bony or cartilagenous Clinical features : 1. Respiratory distress in newborn 2. RD relieves on crying 3. Cyanosis
  • 38.
     Herniation ofthe contents of abdominal cavity through a defect in anterior abdominal wall.  Exompahlos- umbilicus is widely open allowing herniation of abdominal viscera  Two types – major and minor  Gastrochisis – full thickness defect in anterior abdominal wall next to normally formed umbilicus
  • 39.
     Multiple systeminvolvement  Beckwith- Wiedemann syndrome  Exompahalos, Macroglossia, Giagantism  With gastrochisis- Association is intestinal atresias  Cardiac defects may be present.  Chromosomal anomalies may be associated.
  • 42.
     Further investigationsare needed when the jaundice does not resolve by two weeks of life or when the serum conjugated bilirubin rises more than 2 mg percent  Rise in conjugated bilirubin – Cholestatic type  Intrahepatic cholestasis – infective, metabolic, endocrine and genetic causes  Extrahepatic cholestasis – Biliary atresia or Choledochal cyst
  • 43.
     Atresia ofthe extrahepatic apparatus  Result of inflammatory process in fetal life  Dark colored urine , Chalky white stools  Inv- HIDA scan , Liver biopsy  For confirmation – Operative cholangiography  T/t- Surgery at 2 to 3 weeks of life  Kasai’s Porto-enterostomy  Liver transplant if Liver failure
  • 46.
     Congenital dilatationof the biliary system  Etiology – Congenital abnormality of the junction of the biliary and pancreatic ducts which may allow reflux of pancreatic juice into the biliary tree causing weakening of the wall of the biliary tree with subsequent dilatation
  • 47.
     Pain inright hypochondriac region, jaundice and palpable lump is considered diagnostic  Features of cholangitis , septicemia, biliary stones  Eventually – malignancy  Diagnosis – USG Abdomen , HIDA scan  Confirmation of pattern of excretion of the bile and confirmation that the cyst is visible on sonography in continuation with the biliary tree.