1.Upper urinary tract trauma
2.Renal and ureteric calculi
Dr.Aftab Qadir
1.Renal trauma
โ€ข Up to 90% of renal injury is due to blunt injury
โ€ข 10% of patients with significant abdominal trauma
โ€ข Pre exisiting renal abnormalities e.g. vulnerable position
โ€ข Pediatric kidney is also more vulnerable
Imaging is done in patient
โ€ข gross haematuria or microscopic haematuria with other
signs of renal damage e.g. shock
โ€ข history of sustained substantial trauma to the renal area
Imaging
IVU
โ€ข It may offer confirmation for the presence of a
functioning contra lateral kidney
โ€ข The absence of unilateral excretion suggests a major
vascular injury
โ€ข Disruption of the pelvicalyceal system may be seen as
extravasation of opacified urine.
One shot intravenous Urography
Ultrasound
Extensively used in trauma.
โ€ข Subcapsular and perinephric haematoma can be seen
โ€ข Acutely seen as echo-poor areas, becoming more
heterogeneous and echogenic with time.
โ€ข Disruption of renal parenchyma with capsular tears.
โ€ข Color flow and spectral Doppler may allow diagnosis of
pedicle injuries.
โ€ข Significant renal injuries may be missed, with up to 80%
of parenchymal lesions being overlooked.
Detecting hemoperitoneum
CT
โ€ข Currently the imaging modality of choice
โ€ข Entire abdomen, including the liver and spleen evaluated
for coexistent injuries
โ€ข Multiplanar reformatted and three-dimensional images
โ€ข Haematoma may be parenchymal, subcapsular,
perinephric or any combination of these
โ€ข Early and delayed scans are done
โ€ข Subcapsular blood is seen as a cresentic low-density area
following the convexity of the outer aspect of the renal
cortex.
โ€ข Perinephric haematoma surrounds the kidney as it
enlarges mostly posterior, displacing the kidney forwards
โ€ข If the collection is predominantly medial, pelviureteric
disruption should be considered.
โ€ข Renal lacerations/tears appear as irregular low-density
linear areas crossing the parenchyma .
โ€ข Fractures are lacerations that extend from the hilum to
the external surface of the kidney
โ€ข Multiple renal fragments are referred to as a shattered
kidney
โ€ข The commonest vascular injury to the kidney is renal
artery disruption/avulsion, which appears as
non-perfusion of the kidney.
Renal contusion (category I) in a 46-year-old man who had sustained
blunt abdominal trauma. Contrast-enhanced nephrographic-phase
helical CT scan demonstrates a focal area of decreased contrast
enhancement in the interpolar region of the left kidney (arrowhead).
Subcapsular hematoma (category I) in a 40-year-old man who had
sustained blunt abdominal trauma.
Contrast-enhanced helical CT scan demonstrates a subcapsular fluid
collection (straight white arrows) flattening the posterolateral contour of
the left kidney. There is minimal cortical laceration (black arrow). Note
also the subcutaneous emphysema in the left side of the back (curved
arrow)
Simple renal laceration (category I) in a 30-year-old woman who had
sustained blunt abdominal trauma.
Contrast-enhanced multidetector helical CT scan reveals a small,
hypoattenuating laceration crossing the interpolar region of the left kidney
(white arrow) associated with a limited perinephric hematoma.
A hepatic laceration (black arrow) and hemoperitoneum in the Morrison
pouch (arrowheads) are also seen.
(a) Contrast-enhanced generalized-nephrographic-phase helical CT scan
reveals what appears to be only a large perinephric hematoma (H) secondary
to a distinct renal laceration (not shown). Because this is an early-phase
image, there is no contrast material in the collecting system. The descending
colon (C) is displaced anteriorly by the hematoma. (b) Excretory-phase CT
scan demonstrates extensive extravasation of contrast-enhanced urine
admixed with the hematoma, a finding that demonstrates that the laceration
has disrupted the integrity of the collecting system.
Subsegmental renal infarction (category I) in a 47-year-old man who had
sustained blunt abdominal trauma. Contrast-enhanced CT scan demonstrates
a sharply demarcated, wedge-shaped area of decreased attenuation in the
interpolar region of the right kidney (solid arrow). Note also the evidence of
subtle hemorrhage in the right renal hilum (open arrow).
Major renal laceration without involvement of the collecting system (category
II) in a 32-year-old woman who had sustained blunt abdominal trauma.
Contrast-enhanced helical CT scan reveals a laceration in the posterolateral
aspect of the middle portion of the left kidney (arrows) associated with
perinephric hematoma.
Contrast CT showing large predominantly posterior
perinephric hemorrhage.
Demonstrating traumatic rupture of a pre-existing pelviureteric
junction obstruction following relatively minor trauma.
There is copious extravasation of urine and contrast medium
Contrast CT showing a fracture through the centre of the kidney with
considerable circumferential perinephric haemorrhage (A).
Two months after conservative management there has been impressive
healing of the kidney and resorption of most of the haemorrhage (B).
Ruptured renal cyst with pericystic fluid
Most widely used imaging classification of renal injuries is
by Federle.
โ€ข categorizing injuries into four groups (minor, major,
catastrophic and injuries to the pelviureteric junction).
The American Association of Surgery (AAST) have
described a surgical classification
AmericanAssociationofSurgery ofTrauma(AAST)
โ€ข 95% of renal trauma is represented by minor lacerations
and parenchymal contusions and does not require
surgery.
โ€ข Most major lacerations will heal without intervention,
even with a shattered kidney
โ€ข Perinephric collections of urine or blood will tend to
resorb over time.
โ€ข Large and/or infected collections may be treated with
percutaneous drainage.
Contrast CT of traumatic renal arterial avulsion. The left kidney is
completely non-enhancing (non-perfused). There is a small amount
of blood along the line of the renal vessels and a modest
haemorrhage related to the spleen.
Stab wound resulting in laceration of the lower pole of the right kidney
with considerable associated hematoma shown on contrast CT
Ureteric trauma
โ€ข constitutes less than I % of urinary tract trauma.
โ€ข more frequent in children
โ€ข acquired through medical intervention, e.g.
gynecological surgery for malignancy.
โ€ข On IVU there may be mild to moderate fullness of the
pelvicalyceal system and extravasations at the site of the
tear
โ€ข contrast extravasations, formation of a urinoma and
occasionally ureteric discontinuity.
โ€ข Fistulation into other structures may occur
Bilateral extravasation from the distal ureters following radical pelvic surgery.
The ureters also show smooth tapered stricturing in the pelvis with bilateral
hydronephrosis and dilatation of the proximal ureters, worse on the right
Damage to the left ureter during pelvic surgery with severe distal
ureteric stricturing, extravasation and fistulation into the vagina arrow
indicates contrast in the vagina.
69 year old male. Contrast enhanced (left) and delayed (right) CT scans
demonstrating low density fluid around the left kidney and ureter, and
contrast extravasation from the proximal left ureter
Complications in Renal Injury
Early complications
โ€ข urinary extravasation and urinoma formation, delayed
bleeding, infected urinoma, perinephric abscess, sepsis,
arteriovenous fistula, pseudoaneurysm
Late complications
โ€ข include hydronephrosis, hypertension, calculus
formation, and chronic pyelonephritis
Recommended article
โ€ข Imaging of Renal Trauma: A Comprehensive Review
โ€ข http://pubs.rsna.org/doi/full/10.1148/radiographics.21.3.g0
1ma11557
โ€ข Abdominal Trauma Imaging
โ€ข http://www.intechopen.com/books/abdominal-
surgery/abdominal-trauma-imaging
โ€ข Current Role of Emergency US in Patients with Major Trauma
โ€ข http://pubs.rsna.org/doi/full/10.1148/rg.281075047
2.Renal and ureteric calculi
Renal calculi
โ€ข Form due to minerals crystallizing out of urine in a normal
urinary tract.
โ€ข Hyperealciuria is the most common
โ€ข Highly radiopaque, particularly calcium phosphate calculi.
โ€ข Small-bowel disease or resection predisposes particularly
to the formation of oxalate calculi, which may have a
speculated or punctate appearance
โ€ข Calculus may become large and branching (staghorn, i.e.
extending into adjacent calyces
โ€ข Over 90% of calculi are radiopaque on plain films
โ€ข Virtually all are seen on CT
โ€ข Small calculi that remain in the calyces are generally
asymptomatic
โ€ข Migration of small calculi into the ureter is common and
presents with colic.
โ€ข There is usually haematuria
KUB
โ€ข Plain abdominal radiography
โ€ข assessing total stone burden, as well as the size, shape
โ€ข location of urinary calculi
โ€ข Calcium-containing are radiopaque
โ€ข the progress of the stone can be easily monitored with a
follow-up KUB
Many calcifications on the KUB radiograph are:
โ€ข phleboliths, vascular calcifications, calcified lymph
nodes, appendicoliths, granulomas or even bowel
contents.
Larger calculus in the left lower pole major calyx.
Plain film showing large right staghorn calculus.
IVU
โ€ข The traditional modality for investigating ureteric calculi
โ€ข In most patients with ureteric colic there is some degree
of obstruction, manifested by delay in the appearance of
the nephrogram and contrast excretion into the
pelvicalyceal system.
โ€ข The affected kidney is often modestly enlarged
โ€ข Calculi are seen as filling defects on the post contrast film
โ€ข Acute ureteral obstruction causes an intense persistent
nephrograms.
โ€ข CT scanning has replaced IVP
Intravenous pyelogram (IVP) demonstrating dilation of
the right renal collecting system and right ureter
consistent with right ureterovesical stone.
Full length film from an IVU series (A) showing stasis and mild fullness in the
left ureter and considerable oedema around the vesicoureteric junction due
to a small calculus visible on the plain film (B
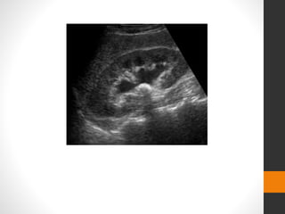
โ€ข Ultrasound usually demonstrates mild hydronephrosis
sensitivity (95%) but at the cost of a low specificity of
around 67%
โ€ข Highly echogenic foci with dense distal acoustic
shadowing
โ€ข Vesicoureteric junction
โ€ข relies on indirect visualization clues to identify stones
โ€ข less accurate than IVP or CT in diagnosis of ureteral
stones
โ€ข does not help in the evaluation of kidney function.
Ultrasound
โ€ข 35% of patients acute ureteral obstruction do not
demonstrate any significant hydroureteronephrosis
โ€ข not reliable for small stones smaller than 5 mm
โ€ข dependent on operator skill
Grades of hydronephrosis
โ€ข Sonographic Mimics of Renal Calculi
โ€ข http://www.jultrasoundmed.org/content/23/10/1361.full
โ€ข CT KUB is very good at picking up small and large calcified
stones in the kidneys
โ€ข unenhanced CT scan of the abdomen and pelvis very narrow
cuts taken through the kidneys and bladder areas
โ€ข contrast obscures calcific densities
โ€ข the patientโ€™s bladder is filled, which facilitates viewing the
ureterovesical junction
Advantages of CT scanning
โ€ข It can reveal other pathology (e.g., AAAs, appendicitis,
pancreatitis, cholecystis, ovarian disorders, diverticular
disease, renal carcinoma).
โ€ข It can be performed quickly (< 5 min acquisition time)
โ€ข It avoids the use of IV contrast materials.
โ€ข The density of the stone can assist in predicting stone
composition and response to shockwave lithotripsy.
โ€ข Spiral CT is now increasingly replacing the IVU
โ€ข sensitivity of 94%, and specificity of 97%
โ€ข exposes the patient to a significant radiation
โ€ข Essentially all ureteric calculi are radiopaque on CT
โ€ข Calculi usually demonstrate a rim of soft tissue, which helps
distinguish them.
โ€ข The obstructed kidney may also be enlarged
โ€ข There is often stranding within the perinephric fat
โ€ข The pyramids may normally appear remarkably dense on
unenhanced CT (white pyramid sign)
Bilateral calcific densities near the vesicoureteric junctions. Right calcific
density (red arrow) is completely surrounded by a soft tissue density rim
consistent with a ureteric stone surrounded by an oedematous ureter wall
(soft tissue rim sign). The left calcific density (green arrow) cannot be a
ureteric stone as it is completely surrounded by fat density and it is
therefore a phlebolith.
Computed tomography shows a stone, of calcific density, at the level of right
distal ureter, which determines periureteral inflammation and produces a
mild hydroureteronephrosis in the ipsilateral kidney.
Non contrast helical CT scan of the abdomen demonstrating a stone
at the right vesicoureteric junction.
Hydronephrosis and hydroureter
Major causes of obstructive hydronephrosis:
โ€ข Calculi-renal pelvic (hydronephrosis alone), ureteric
โ€ข Pelviureteric junction obstruction
โ€ข Tumours
โ€ข Inflammatory mass lesions
โ€ข Retroperitoneal fibrosis
โ€ข Pregnancy hydronephrosis and hydroureter.
โ€ข prolonged obstruction there may be almost complete
cortical loss.
โ€ข Spectral analysis of interlobar or arcuate arteries may
demonstrate increase in the resistive index in the
obstructed kidney. This reflects reduction in the blood
flow and is seen in a number of other conditions,
including acute renal parenchymal disease.
โ€ข A resistive index above 0.70, or more than 0.08 more
than the contralateral kidney, is suggestive of obstruction
in the appropriate clinical situation.
Few Cases
Subcapsular hematoma (Page kidney) in a 30-year-old woman with a history
of a seizure disorder who presented with right flank pain and hypertension.
Contrast-enhanced spiral CT scan demonstrates a subcapsular fluid collection
(H) flattening the right kidney. The patient underwent successful US-guided
percutaneous drainage of the hematoma.
What we see on the right is not a laceration, because it is not linear.
It is not a contusion, because it is sharply demarcated.
This is an post traumatic segmental infarction.
Axial contrast-enhanced CT scan image in venous phase: Shattered
kidney with ureteropelvic junction rupture and extravasation of
contrast media and avulsion of renal hilum that devascularizes the
kidney (grade V AAST renal injury)
Renal hematoma and a small perirenal hematoma
Thank You

Renal trauma and calculi

  • 1.
    1.Upper urinary tracttrauma 2.Renal and ureteric calculi Dr.Aftab Qadir
  • 2.
    1.Renal trauma โ€ข Upto 90% of renal injury is due to blunt injury โ€ข 10% of patients with significant abdominal trauma โ€ข Pre exisiting renal abnormalities e.g. vulnerable position โ€ข Pediatric kidney is also more vulnerable Imaging is done in patient โ€ข gross haematuria or microscopic haematuria with other signs of renal damage e.g. shock โ€ข history of sustained substantial trauma to the renal area
  • 4.
    Imaging IVU โ€ข It mayoffer confirmation for the presence of a functioning contra lateral kidney โ€ข The absence of unilateral excretion suggests a major vascular injury โ€ข Disruption of the pelvicalyceal system may be seen as extravasation of opacified urine. One shot intravenous Urography
  • 6.
    Ultrasound Extensively used intrauma. โ€ข Subcapsular and perinephric haematoma can be seen โ€ข Acutely seen as echo-poor areas, becoming more heterogeneous and echogenic with time. โ€ข Disruption of renal parenchyma with capsular tears. โ€ข Color flow and spectral Doppler may allow diagnosis of pedicle injuries. โ€ข Significant renal injuries may be missed, with up to 80% of parenchymal lesions being overlooked. Detecting hemoperitoneum
  • 8.
    CT โ€ข Currently theimaging modality of choice โ€ข Entire abdomen, including the liver and spleen evaluated for coexistent injuries โ€ข Multiplanar reformatted and three-dimensional images โ€ข Haematoma may be parenchymal, subcapsular, perinephric or any combination of these โ€ข Early and delayed scans are done
  • 9.
    โ€ข Subcapsular bloodis seen as a cresentic low-density area following the convexity of the outer aspect of the renal cortex. โ€ข Perinephric haematoma surrounds the kidney as it enlarges mostly posterior, displacing the kidney forwards โ€ข If the collection is predominantly medial, pelviureteric disruption should be considered. โ€ข Renal lacerations/tears appear as irregular low-density linear areas crossing the parenchyma .
  • 10.
    โ€ข Fractures arelacerations that extend from the hilum to the external surface of the kidney โ€ข Multiple renal fragments are referred to as a shattered kidney โ€ข The commonest vascular injury to the kidney is renal artery disruption/avulsion, which appears as non-perfusion of the kidney.
  • 11.
    Renal contusion (categoryI) in a 46-year-old man who had sustained blunt abdominal trauma. Contrast-enhanced nephrographic-phase helical CT scan demonstrates a focal area of decreased contrast enhancement in the interpolar region of the left kidney (arrowhead).
  • 12.
    Subcapsular hematoma (categoryI) in a 40-year-old man who had sustained blunt abdominal trauma. Contrast-enhanced helical CT scan demonstrates a subcapsular fluid collection (straight white arrows) flattening the posterolateral contour of the left kidney. There is minimal cortical laceration (black arrow). Note also the subcutaneous emphysema in the left side of the back (curved arrow)
  • 13.
    Simple renal laceration(category I) in a 30-year-old woman who had sustained blunt abdominal trauma. Contrast-enhanced multidetector helical CT scan reveals a small, hypoattenuating laceration crossing the interpolar region of the left kidney (white arrow) associated with a limited perinephric hematoma. A hepatic laceration (black arrow) and hemoperitoneum in the Morrison pouch (arrowheads) are also seen.
  • 14.
    (a) Contrast-enhanced generalized-nephrographic-phasehelical CT scan reveals what appears to be only a large perinephric hematoma (H) secondary to a distinct renal laceration (not shown). Because this is an early-phase image, there is no contrast material in the collecting system. The descending colon (C) is displaced anteriorly by the hematoma. (b) Excretory-phase CT scan demonstrates extensive extravasation of contrast-enhanced urine admixed with the hematoma, a finding that demonstrates that the laceration has disrupted the integrity of the collecting system.
  • 15.
    Subsegmental renal infarction(category I) in a 47-year-old man who had sustained blunt abdominal trauma. Contrast-enhanced CT scan demonstrates a sharply demarcated, wedge-shaped area of decreased attenuation in the interpolar region of the right kidney (solid arrow). Note also the evidence of subtle hemorrhage in the right renal hilum (open arrow).
  • 16.
    Major renal lacerationwithout involvement of the collecting system (category II) in a 32-year-old woman who had sustained blunt abdominal trauma. Contrast-enhanced helical CT scan reveals a laceration in the posterolateral aspect of the middle portion of the left kidney (arrows) associated with perinephric hematoma.
  • 17.
    Contrast CT showinglarge predominantly posterior perinephric hemorrhage.
  • 18.
    Demonstrating traumatic ruptureof a pre-existing pelviureteric junction obstruction following relatively minor trauma. There is copious extravasation of urine and contrast medium
  • 19.
    Contrast CT showinga fracture through the centre of the kidney with considerable circumferential perinephric haemorrhage (A). Two months after conservative management there has been impressive healing of the kidney and resorption of most of the haemorrhage (B).
  • 20.
    Ruptured renal cystwith pericystic fluid
  • 21.
    Most widely usedimaging classification of renal injuries is by Federle. โ€ข categorizing injuries into four groups (minor, major, catastrophic and injuries to the pelviureteric junction). The American Association of Surgery (AAST) have described a surgical classification
  • 24.
  • 26.
    โ€ข 95% ofrenal trauma is represented by minor lacerations and parenchymal contusions and does not require surgery. โ€ข Most major lacerations will heal without intervention, even with a shattered kidney โ€ข Perinephric collections of urine or blood will tend to resorb over time. โ€ข Large and/or infected collections may be treated with percutaneous drainage.
  • 27.
    Contrast CT oftraumatic renal arterial avulsion. The left kidney is completely non-enhancing (non-perfused). There is a small amount of blood along the line of the renal vessels and a modest haemorrhage related to the spleen.
  • 28.
    Stab wound resultingin laceration of the lower pole of the right kidney with considerable associated hematoma shown on contrast CT
  • 29.
    Ureteric trauma โ€ข constitutesless than I % of urinary tract trauma. โ€ข more frequent in children โ€ข acquired through medical intervention, e.g. gynecological surgery for malignancy. โ€ข On IVU there may be mild to moderate fullness of the pelvicalyceal system and extravasations at the site of the tear โ€ข contrast extravasations, formation of a urinoma and occasionally ureteric discontinuity. โ€ข Fistulation into other structures may occur
  • 30.
    Bilateral extravasation fromthe distal ureters following radical pelvic surgery. The ureters also show smooth tapered stricturing in the pelvis with bilateral hydronephrosis and dilatation of the proximal ureters, worse on the right
  • 31.
    Damage to theleft ureter during pelvic surgery with severe distal ureteric stricturing, extravasation and fistulation into the vagina arrow indicates contrast in the vagina.
  • 32.
    69 year oldmale. Contrast enhanced (left) and delayed (right) CT scans demonstrating low density fluid around the left kidney and ureter, and contrast extravasation from the proximal left ureter
  • 33.
    Complications in RenalInjury Early complications โ€ข urinary extravasation and urinoma formation, delayed bleeding, infected urinoma, perinephric abscess, sepsis, arteriovenous fistula, pseudoaneurysm Late complications โ€ข include hydronephrosis, hypertension, calculus formation, and chronic pyelonephritis
  • 34.
    Recommended article โ€ข Imagingof Renal Trauma: A Comprehensive Review โ€ข http://pubs.rsna.org/doi/full/10.1148/radiographics.21.3.g0 1ma11557 โ€ข Abdominal Trauma Imaging โ€ข http://www.intechopen.com/books/abdominal- surgery/abdominal-trauma-imaging โ€ข Current Role of Emergency US in Patients with Major Trauma โ€ข http://pubs.rsna.org/doi/full/10.1148/rg.281075047
  • 35.
  • 36.
    Renal calculi โ€ข Formdue to minerals crystallizing out of urine in a normal urinary tract. โ€ข Hyperealciuria is the most common โ€ข Highly radiopaque, particularly calcium phosphate calculi. โ€ข Small-bowel disease or resection predisposes particularly to the formation of oxalate calculi, which may have a speculated or punctate appearance โ€ข Calculus may become large and branching (staghorn, i.e. extending into adjacent calyces
  • 39.
    โ€ข Over 90%of calculi are radiopaque on plain films โ€ข Virtually all are seen on CT
  • 40.
    โ€ข Small calculithat remain in the calyces are generally asymptomatic โ€ข Migration of small calculi into the ureter is common and presents with colic. โ€ข There is usually haematuria
  • 42.
    KUB โ€ข Plain abdominalradiography โ€ข assessing total stone burden, as well as the size, shape โ€ข location of urinary calculi โ€ข Calcium-containing are radiopaque โ€ข the progress of the stone can be easily monitored with a follow-up KUB Many calcifications on the KUB radiograph are: โ€ข phleboliths, vascular calcifications, calcified lymph nodes, appendicoliths, granulomas or even bowel contents.
  • 43.
    Larger calculus inthe left lower pole major calyx.
  • 44.
    Plain film showinglarge right staghorn calculus.
  • 45.
    IVU โ€ข The traditionalmodality for investigating ureteric calculi โ€ข In most patients with ureteric colic there is some degree of obstruction, manifested by delay in the appearance of the nephrogram and contrast excretion into the pelvicalyceal system. โ€ข The affected kidney is often modestly enlarged โ€ข Calculi are seen as filling defects on the post contrast film โ€ข Acute ureteral obstruction causes an intense persistent nephrograms. โ€ข CT scanning has replaced IVP
  • 46.
    Intravenous pyelogram (IVP)demonstrating dilation of the right renal collecting system and right ureter consistent with right ureterovesical stone.
  • 47.
    Full length filmfrom an IVU series (A) showing stasis and mild fullness in the left ureter and considerable oedema around the vesicoureteric junction due to a small calculus visible on the plain film (B
  • 50.
    โ€ข Ultrasound usuallydemonstrates mild hydronephrosis sensitivity (95%) but at the cost of a low specificity of around 67% โ€ข Highly echogenic foci with dense distal acoustic shadowing โ€ข Vesicoureteric junction โ€ข relies on indirect visualization clues to identify stones โ€ข less accurate than IVP or CT in diagnosis of ureteral stones โ€ข does not help in the evaluation of kidney function. Ultrasound
  • 51.
    โ€ข 35% ofpatients acute ureteral obstruction do not demonstrate any significant hydroureteronephrosis โ€ข not reliable for small stones smaller than 5 mm โ€ข dependent on operator skill
  • 55.
  • 58.
    โ€ข Sonographic Mimicsof Renal Calculi โ€ข http://www.jultrasoundmed.org/content/23/10/1361.full
  • 59.
    โ€ข CT KUBis very good at picking up small and large calcified stones in the kidneys โ€ข unenhanced CT scan of the abdomen and pelvis very narrow cuts taken through the kidneys and bladder areas โ€ข contrast obscures calcific densities โ€ข the patientโ€™s bladder is filled, which facilitates viewing the ureterovesical junction
  • 60.
    Advantages of CTscanning โ€ข It can reveal other pathology (e.g., AAAs, appendicitis, pancreatitis, cholecystis, ovarian disorders, diverticular disease, renal carcinoma). โ€ข It can be performed quickly (< 5 min acquisition time) โ€ข It avoids the use of IV contrast materials. โ€ข The density of the stone can assist in predicting stone composition and response to shockwave lithotripsy.
  • 61.
    โ€ข Spiral CTis now increasingly replacing the IVU โ€ข sensitivity of 94%, and specificity of 97% โ€ข exposes the patient to a significant radiation โ€ข Essentially all ureteric calculi are radiopaque on CT โ€ข Calculi usually demonstrate a rim of soft tissue, which helps distinguish them. โ€ข The obstructed kidney may also be enlarged โ€ข There is often stranding within the perinephric fat โ€ข The pyramids may normally appear remarkably dense on unenhanced CT (white pyramid sign)
  • 62.
    Bilateral calcific densitiesnear the vesicoureteric junctions. Right calcific density (red arrow) is completely surrounded by a soft tissue density rim consistent with a ureteric stone surrounded by an oedematous ureter wall (soft tissue rim sign). The left calcific density (green arrow) cannot be a ureteric stone as it is completely surrounded by fat density and it is therefore a phlebolith.
  • 64.
    Computed tomography showsa stone, of calcific density, at the level of right distal ureter, which determines periureteral inflammation and produces a mild hydroureteronephrosis in the ipsilateral kidney.
  • 65.
    Non contrast helicalCT scan of the abdomen demonstrating a stone at the right vesicoureteric junction.
  • 66.
    Hydronephrosis and hydroureter Majorcauses of obstructive hydronephrosis: โ€ข Calculi-renal pelvic (hydronephrosis alone), ureteric โ€ข Pelviureteric junction obstruction โ€ข Tumours โ€ข Inflammatory mass lesions โ€ข Retroperitoneal fibrosis โ€ข Pregnancy hydronephrosis and hydroureter.
  • 67.
    โ€ข prolonged obstructionthere may be almost complete cortical loss. โ€ข Spectral analysis of interlobar or arcuate arteries may demonstrate increase in the resistive index in the obstructed kidney. This reflects reduction in the blood flow and is seen in a number of other conditions, including acute renal parenchymal disease. โ€ข A resistive index above 0.70, or more than 0.08 more than the contralateral kidney, is suggestive of obstruction in the appropriate clinical situation.
  • 68.
  • 70.
    Subcapsular hematoma (Pagekidney) in a 30-year-old woman with a history of a seizure disorder who presented with right flank pain and hypertension. Contrast-enhanced spiral CT scan demonstrates a subcapsular fluid collection (H) flattening the right kidney. The patient underwent successful US-guided percutaneous drainage of the hematoma.
  • 71.
    What we seeon the right is not a laceration, because it is not linear. It is not a contusion, because it is sharply demarcated. This is an post traumatic segmental infarction.
  • 72.
    Axial contrast-enhanced CTscan image in venous phase: Shattered kidney with ureteropelvic junction rupture and extravasation of contrast media and avulsion of renal hilum that devascularizes the kidney (grade V AAST renal injury)
  • 73.
    Renal hematoma anda small perirenal hematoma
  • 74.

Editor's Notes

  • #3ย Vulnaerable ๏ƒ (as with transplant kidneys, horseshoe kidneys and crossed fused ectopia , often combined with increased bulk (tumours, especially angiomyolipomas and renal cell carcinomas, cysts and hydronephrosis from any cause) more anterior location and proximity to the rigid superior iliac crest and spine
  • #5ย one-shot intravenous pyelography This procedure frequently consists of more than just one exposure and should include a scout radiograph as well as additional images obtained immediately after intravenous administration of iodinated contrast material and again 5โ€“10 minutes later. IVU It has now largely been replaced by cross- sectional imaging ย primary role for intravenous urography is the assessment of gross function and the evaluation of the uninjured kidney in hemodynamically unstable patients
  • #7ย US is well accepted as a method for detecting hemoperitoneum in patients with suspected intraperitoneal injuries following blunt trauma but is limited compared with CT in the evaluation of the renal parenchyma.
  • #8ย Renal and perirenal hematoma after renal laceration No flow in the hematoma
  • #9ย Early and delayed CT scans through the kidneys are necessary Motion artifacts can be minimized with the shorter acquisition time
  • #11ย  There may be some peripheral perfusion preserved due to the early take-off of the capsular artery.
  • #15ย ย urine extravasation from the collecting system in a 9-year-old boy who had sustained blunt abdominal trauma.ย 
  • #24ย Michael Federle placed renal injuries into four categories: Minor injury: renal contusion. intrarenal and subcapsular hematoma. minor laceration with limited perinephric hematoma without extension to the collecting system or medulla. small subsegmental infarct. Major injury: major laceration into medulla or collecting system. segmental infarct. Catastrophical injury: Maceration of the kidney Total devascularization due to arterial occlusion. Rupture collecting system.
  • #25ย In grade I there is nothing wrong with the parenchyma, just contusion or subcapsular hematoma. Grade II and III injuries are either less or greater than 1 cm lacerations, but with no injury to the collecting system. Grade IV is injury to the collecting system or large lacerations Grade V is a shattered or devascularized kidney.
  • #28ย Patient with car accident: renal contusion (arrow in a), multiple laceration involving the hilum (arrow in b) with hematoma inside the perirenal space (*), and a partial devascularization (arrow in c). Surgical treatment required nephrectomy was successful. In a different patient (d), a subcapsular hematoma (#) determines compression of renal parenchyma. Non operative management was successful.ย 
  • #31ย Unlike renal and bladder trauma it is usually penetrating. It is occasionally due to severe deceleration with avulsion, usually at the pelviureteric junction, less often the upper third of the ureter and very rarely elsewhere in community-acquired injuries
  • #38ย particularly calcium number of causes hyperparathyroidism associated with abnormal metabolic states pelviureteric junction obstruction. presence of infection
  • #44ย approximately 85% of all upper urinary tract calculi Pleboliths ๏ƒ demonstrates a lucent center
  • #46ย Multiple punctate calculi in hyperoxaluria secondary to small bowel resection.
  • #48ย The delay varies from a few minutes to 24 h or more depending on the severity of the obstruction. There is generally some distension of the pelvis and the ureter down to the calculus, with a standing column of contrast in the ureter above the calculus. This is often best demonstrated on prone films and is usually relatively mild compared to the degree of dilatation that occurs in chronic obstruction. There may be extravasation of contrast from rupture of one of the fornices associated with high pressure in the obstructed system leading to pyelosinus and pyelolymphatic extravasation. The vast majority of calculi progress down the ureter into the bladder over a variable period of time; at least 95% of patients with calculi less than 4 mm diameter would he expected to pass them spontaneously. The time taken to pass the calculus relates to its size, calculi of 2 mm diameter taking a mean of 8 days, calculi over 4 mm a mean of 22.1 days. Calculi most commonly arrest (usually temporarily) over the sacrum, as the ureter crosses the iliac artery, or at the vesicoureteric junction in the intramural ureter, both sites of relative narrowing. The main advantage of IVP is the clear outline of the entire urinary system that it provides, making visualization of even mild hydronephrosis relatively easy
  • #49ย Dense nephrogram with delay in appearance of contrast inthe left collecting system characteristic of high-grade obstruction (A). Eventually contrast outlines a mildly distended ureter down to a calculus atthe left vesicoureteric junction (B) with the calculus just visible on the plain film
  • #53ย Radiolucent urate calculus, not visible on plain film, appearing as a well-defined filling defect in the collecting system of the left kidney (A). A larger mass is also visible distorting the left pelvicalyceal system. CT confirms that the small filling defect is a urate calculus (B) and the larger one a parapelvic cyst (C)
  • #54ย CT showing modest perinephric stranding characteristic of significant obstruction from a ureteric calculus (A). In addition to these changes this second case shows a small fluid collection adjacent to the anterior lip of the renal hilum indicating a forniceal rupture (B). The acute generally mild, as demonstrated in this third example (C), but the asymmetry between the sides is useful (although this patient demonstrates a slightly full extrarenal pelvis on the asymptomatic side). There is mild perinephric stranding on the symptomatic (left) side but considerable ill-definition around the pelvis, suggesting some extravasation into the renal sinus. This can be seen to track down along the dilated ureter, giving it a shaggy appearance (D).
  • #55ย A stone easily identified with renal ultrasonography but not visible on the plain radiograph may be a uric acid or cystine stone The resistive index is calculated as peak systolic velocity minus end-diastolic velocity divided by peak systolic velocity
  • #58ย Small calculus in the distal dilated ureter seen as an echogenic focus on ultrasound.
  • #61ย Ultrasound showing a relatively marked hydronephrosis
  • #62ย Small solitary renal calculus on ultrasound seen as anechogenic focus with marked distal acoustic shadowing.
  • #63ย Mimmics Arrows mark a segmental artery. Arcuate artery (arrow). Note its orthogonal relationship to the ultrasound beam and its double-channel appearance. Renal pyramids. Echogenic tips of the renal pyramids as seen in mild hydronephrosis Milk of calcium cyst with reverberation echoes(The โ€œmilk of calciumโ€ is typically seen as an echogenic layer of intracystic material, which reverberates and sometimes gravitates to the dependent portion of the cyst) Junctional parenchymal defect (arrow)
  • #66ย Disadvantages of CT scanning include the following: It cannot be used to assess individual renal function or degree of obstruction. It can fail to reveal some unusual radiolucent stones, such as those caused by indinavir and atazanavir, which are typically invisible on the CT scan (though some serve as a nidus for deposition of calcium oxalate or calcium phosphate deposition and thus become radiopaque). Because of this possibility, IVP with contrast should be used for patients taking indinavir or atazanavir. Sulfadiazine stones are also difficult to visualize on CT because of relatively low attenuation.ย [24] It is relatively expensive. It exposes the patient to a relatively high radiation dose (and thus should not be performed on pregnant women). Precise identification of small distal stones is occasionally difficult. Stone size as measured on CT KUB correlates poorly with actual size of the stone measured after spontaneous passage.ย [25]ย For this reason, caution should be used in counseling patients on the likelihood of spontaneous stone passage when stone size is determined using CT-based measurement. Although CT scans can be used to estimate the overall size, width, and location of a stone, they can only approximate its shape.ย [26]ย Stone location can be described in anatomical terms, but the CT scan lacks the surgical orientation that most urologists prefer. It is not suitable for tracking the progress of the stone over time, supporting the recommendation for KUB radiography along with the CT scan.
  • #67ย CT has the potential advantage of making alternative relevant diagnoses (diverticulitis, appendicitis, cholecystitis, etc.) in patients with acute abdominal pain perform the CT with the minimum mAs. avoid misdiagnosing iliac artery calcification or phleholiths as calculi.
  • #72ย A large renal pelvis alone is not hydronephrosis, it may simply represent a prominent extrarenal pelvis, which is a normal variant Hydronephrosis is dilatation of the renal pelvis and calyces. With chronic obstruction the signs are more pronounced and diffuse cortical loss develops.
  • #76ย Left simpleย ureteroceleย with a calculus.