DR VARUN BANSAL
DEPTT OF RADIODIAGNOSIS
FETAL MRI
FETAL MRI
• GIVEN ITS PROVEN UTILITY, WIDESPREAD AVAILABILITY, AND
RELATIVELY LOW COST, SONOGRAPHY IS THE MAIN IMAGING
TOOL IN OBSTETRICS IMAGING. HOWEVER, THE MODALITY HAS
LIMITATIONS, WHICH INCLUDE LACK OF AN ACOUSTIC
WINDOW IN THE FETUS WITH OLIGOHYDRAMNIOS, A SMALL
FIELD OF VIEW, LIMITED SOFT-TISSUE ACOUSTIC CONTRAST,
AND BEAM ATTENUATION BY MATERNAL ADIPOSE TISSUE.
• SUPERIOR TISSUE CONTRAST, A LARGE FIELD OF VIEW, AND
RELATIVE OPERATOR INDEPENDENCE.
• THE EFFECTIVE USE OF THIS IMAGING TOOL IN THE
EVALUATION OF THE FETUS WITH CNS AND NON-CENTRAL
NERVOUS SYSTEM (CNS) CONGENITAL ABNORMALITIES OF THE
BODY, INCLUDING THE THORAX AND THE GASTROINTESTINAL
(GI) AND GENITOURINARY (GU) SYSTEMS, IS REASON FOR
ADOPTING FETAL MRI AS AN ADJUNCT IN OBSTETRIC
IMAGING.
TECHNIQUE OF FETAL MRI
• THE MOTHER SHOULD FAST FOR 4 HR BEFORE THE
EXAMINATION TO REDUCE BOWEL PERISTALSIS ARTIFACTS
AND TO PREVENT POSTPRANDIAL FETAL MOTION AND
SHOULD EMPTY HER BLADDER IMMEDIATELY BEFORE
UNDERGOING MRI.
• SUPINE POSITION, BUT A LEFT LATERAL DECUBITUS POSITION
MAY BE HELPFUL.
• A BODY ARRAY COIL IS WRAPPED AROUND THE MATERNAL
ABDOMEN TO IMPROVE SPATIAL RESOLUTION.
• THE FIRST 2 SEQUENCES - ORTHOGONAL SAGITTAL AND
CORONAL IMAGES WITH RESPECT TO THE MOTHER, OVERALL
VIEW - FETUS , TO EVALUATE FETAL SITUS. THE CERVIX IS
USUALLY INCLUDED IN THESE 2 SEQUENCES TO EVALUATE
FOR LENGTH AND COMPETENCE. THE REMAINING SEQUENCES
- RESPECT TO THE FETUS.
• SEQUENCES UTILIZED INCLUDE THE T2-WEIGHTED HALF-
FOURIER ACQUISITION SINGLE-SHOT TURBO SPIN ECHO
• HASTE, A BLACK-BLOOD SEQUENCE, IS THE WORKHORSE
OF FETAL IMAGING, RESULTING IN FINE ANATOMIC DETAIL.
• TRUFISP IS A WHITE-BLOOD SEQUENCE THAT PROVIDES AN
ALTERNATIVE WAY OF LOOKING AT FETAL ANATOMY.
• EPI - CALCIFICATIONS AND BLOOD PRODUCTS.
• FLASH - EVALUATION OF FETAL STRUCTURES WITH
NORMALLY HIGH T1 SIGNAL, INCLUDING THE THYROID,
LIVER, AND MECONIUM.
• HEMORRHAGE (PLACENTAL, ADRENAL, ETC.) IS SUSPECTED
WHEN T1W BRIGHT SIGNAL IS SEEN IN THESE ANATOMIC
LOCATIONS.
• EVALUATION OF FETAL GOITERS, ALTHOUGH RARE, CAN
ALSO BE DONE THROUGH T1 FLASH SEQUENCES
SAFETY OF MRI IN THE
OBSTETRICAL PATIENT
• MATERNAL RISKS
• SAME AS FOR NON-PREGNANT
• PROLONGED SUPINE POSITIONING.
• GRAVID UTERUS OF SIGNIFICANT SIZE CAN LEAD TO
HYPOTENSION DUE TO COMPRESSION OF THE INFERIOR VENA
CAVA.
• THIS CAN BE AVOIDED BY PLACING THE PATIENT IN A LATERAL
OBLIQUE OR LATERAL DECUBITUS POSITION
FIRST TRIMESTER
• MRI DONE DURING FIRST TRIMESTER IS USUALLY PERFORMED
FOR MATERNAL INDICATIONS AND NOT FOR PRENATAL
DIAGNOSIS.
• THERE ARE LIMITED CASE REPORTS OF UNPLANNED EXPOSURE
TO MRI IN THE FIRST TRIMESTER OF PREGNANCY.
• TO DATE THERE IS INSUFFICIENT EVIDENCE TO UNDERSTAND
THE TRUE RISKS OF FIRST TRIMESTER EXPOSURE TO THE
DEVELOPING FETUS
SECOND AND THIRD TRIMESTERS
• THE HIGH LEVEL OF ACOUSTIC NOISE GENERATED IN AN MRI
SYSTEM MAY BE OF CONCERN FOR BOTH MOTHER AND FETUS.
• THERE ARE NO REPORTS OF SIGNIFICANT ACOUSTIC
IMPAIRMENT RESULTING FROM EXPOSURE TO PRENATAL MRI.
• FETAL MRI IS TYPICALLY PERFORMED AT 1.5 T.
• THE HIGHER FIELD STRENGTH OF 3 T IS ALSO CONSIDERED TO
BE SAFE.
• ARTIFACTS MAY BE MORE PRONOUNCED IN THE SECOND AND
THIRD TRIMESTERS DUE TO THE LARGE AMOUNT OF AMNIOTIC
FLUID AND INCREASED ABDOMINAL GIRTH
USE OF CONTRAST AGENTS IN
OBSTETRICAL MRI
• CATEGORY C DRUG
• GADOLINIUM CROSSES THE PLACENTA AND IS EXCRETED BY THE
FETAL KIDNEYS INTO THE AMNIOTIC FLUID, WHERE IT REMAINS,
EXPOSING THE DEVELOPING FETUS, PARTICULARLY THE LUNGS
AND GASTROINTESTINAL TRACT, FOR AN EXTENDED PERIOD OF
TIME.
• THE 2010 AMERICAN COLLEGE OF RADIOLOGY GUIDELINE FOR
SAFE MRI PRACTICES RECOMMENDS THAT INTRAVENOUS
GADOLINIUM BE AVOIDED DURING PREGNANCY AND USED ONLY IF
IT IS JUDGED ABSOLUTELY ESSENTIAL.
• ONE EXAMPLE OF APPROPRIATE USE COULD BE IN AN
EXAMINATION FOR PLACENTA PERCRETA WHEN PLANNED
DELIVERY IS IMMINENT AND FETAL EXPOSURE TO GADOLINIUM IS
THUS LIMITED
RISKS OF ORAL CONTRAST MEDIA
ADMINISTRATION DURING
LACTATION
• A MINIMAL AMOUNT OF GADOLINIUM IS EXCRETED IN THE
BREAST MILK: 99.2% OF ORALLY ADMINISTRATED MAGNEVIST
(A GANDOLINIUM CONTRAST) IS FECALLY EXCRETED
• ONLY 0.1% OF THE MATERNAL INTRAVENOUS DOSE IS FOUND
IN THE BREAST MILK
• ONLY 1% OF THIS IS SUBSEQUENTLY ABSORBED BY THE INFANT.
• THE AVAILABLE DATA SUGGEST THAT IT IS SAFE FOR THE
MOTHER ANDINFANT TO CONTINUE BREAST-FEEDING AFTER
RECEIVING SUCH ANAGENT.
THORACIC INDICATIONS
• THE FETAL LUNG CONTAINS A SIGNIFICANT AMOUNT OF
ALVEOLAR FLUID, WHICH RESULTS IN HOMOGENEOUSLY
HYPERINTENSE T2 SIGNAL WITH RESPECT TO THE
SURROUNDING CHEST WALL, HEART, AND MEDIASTINAL
CONTENTS IN HASTE SEQUENCES .
• THE THYMUS HAS INTERMEDIATE SIGNAL RELATIVE TO LUNG;
THE TRACHEA AND BRONCHI CAN BE VISUALIZED DUE TO
THEIR FLUID CONTENT, YIELDING BRIGHT SIGNAL ON T2-
WEIGHTED IMAGES.
• T1 IMAGES ARE HELPFUL TO EVALUATE THE LOCATION OF
THE LIVER AND BOWEL IN THE FETUS WITH CONGENITAL
DIAPHRAGMATIC HERNIA.
• NORMAL FETAL LUNGS EXHIBIT A
SIGNAL INTENSITY THAT IS
SLIGHTLY DARKER THAN
AMNIOTIC FLUID .
• AS THE LUNGS MATURE, FLUID
FILLS THE AIRSPACES THAT ARE
INCREASING IN SURFACE AREA,
AND LUNG SIGNAL INTENSITY
INCREASES.
• A NORMAL SCALE HAS BEEN
DEVELOPED FOR RATIOS OF THE
LUNG SIGNAL INTENSITY TO THE
LIVER SIGNAL INTENSITY AT
DIFFERENT GESTATIONAL AGES;
THIS RATIO INCREASES WITH
ADVANCING GESTATIONAL AGE
Coronal T2 HASTE (A and B) and
sagittal T1 FLASH (C) images
demonstrate the normal MR
appearance and signal of the bladder
(BL), heart (H), kidney (K), liver (L), lung
(LG), and stomach (S). Note the T1
hyperintense rectum (arrow) located
just posterior to the bladder
CONGENITAL CYSTIC ADENOMATOID
MALFORMATIONS
• (CCAM) ARE THE MOST COMMONLY DIAGNOSED
PRENATAL LUNG MALFORMATIONS AND
ACCOUNT FOR APPROXIMATELY 30% TO 40% OF
ALL CONGENITAL ANOMALIES.
• THEY ARE CHARACTERIZED BY AN ABNORMAL
BRANCHING OF IMMATURE BRONCHIOLES AND A
LACK OF ALVEOLAR DEVELOPMENT, RESULTING
IN A MASS THAT MAY CONTAIN BOTH CYSTIC
AND SOLID COMPONENTS.
• CCAMS COMMUNICATE WITH THE
TRACHEOBRONCHIAL TREE.
• THE NATURAL HISTORY AND PROGNOSIS OF PRENATAL
CCAMS DEPEND ON
• THE SIZE OF THE MALFORMATION,
• THE DEGREE OF PULMONARY HYPOPLASIA, AND
• THE EXERTION OF MASS EFFECT MANIFESTED BY MEDIASTINAL
SHIFT, CARDIAC COMPRESSION, EVERSION OF THE
HEMIDIAPHRAGM, AND PRESENCE OF FETAL HYDROPS.
• THE PRESENCE OF HYDROPS IS NEARLY UNIFORMLY FATAL
WITHOUT INTERVENTION AND IS AN INDICATION FOR FETAL
SURGERY.
• BY MR, CCAMS PRESENT PRENATALLY AS HOMOGENEOUS OR
HETEROGENEOUS SOLID OR CYSTIC MASSES WITH BLOOD
USUALLY SUPPLIED BY THE PULMONARY CIRCULATION.
BRONCHOPULMONARY
SEQUESTRATIONS
• (BPS) INVOLVES ABNORMAL, NONFUNCTIONING
PULMONARY TISSUE THAT DOES NOT CONNECT WITH THE
NORMAL TRACHEOBRONCHIAL TREE AND RECEIVES ITS
VASCULAR SUPPLY FROM THE SYSTEMIC CIRCULATION.
• INTRALOBAR SEQUESTRATIONS MOST COMMON, 75% -
ENVELOPED BY VISCERAL LUNG PLEURA.
• EXTRALOBAR SEQUESTRATIONS HAVE THEIR OWN PLEURA
LOWER LOBES; THE LEFT IS MORE COMMON THAN THE
RIGHT.
• BY MR, THE CHARACTERISTICS OF BPSS ARE SIMILAR TO
CCAMS: SOLID, T2 HYPERINTENSE MASSES, USUALLY WELL
DEFINED.
• DIFFERENTIATION BETWEEN CCAM AND INTRATHORACIC BPS
MAY BE CHALLENGING, BUT IDENTIFICATION OF A SYSTEMIC
ARTERIAL SUPPLY, MOST COMMONLY THE AORTA, INDICATES
A DIAGNOSIS OF SEQUESTRATION.
• THE DIFFERENTIAL DIAGNOSIS OF AN EXTRALOBAR
SUBDIAPHRAGMATIC BPS INCLUDES ADRENAL HEMORRHAGE
AND NEUROBLASTOMA
- SEQUESTRATIONS OCCUR MORE OFTEN ON THE LEFT
AND PRESENT AS SOLID MASSES WITH SYSTEMIC BLOOD
SUPPLY, WHEREAS NEUROBLASTOMAS OCCUR MORE OFTEN ON
THE RIGHT SIDE.
-ADRENAL HEMORRHAGES MAY DEMONSTRATE T1
BRONCHIAL ATRESIA
• BRONCHIAL ATRESIA (BA) IS CHARACTERIZED BY ATRESIA
OR STENOSIS OF A LOBAR, SEGMENTAL OR SUBSEGMENTAL
BRONCHUS AT OR NEAR ITS ORIGIN, RESULTING IN A
BLINDENDING ATRETIC PROXIMAL BRONCHUS AND A
DISTENDED, FLUID- FILLED DISTAL AIRWAY THAT
CONTAINS VARIABLE AMOUNTS OF MUCUS, ALSO CALLED
MUCOCELE.
• THE RETAINED FLUID RESULTS IN A T2 HYPERINTENSE
DISTAL SOLID APPEARING MASS, WHICH IS THE DISTENDED,
FLUID-FILLED LUNG.
• UPPER LOBE BRONCHI
ARE MORE COMMONLY
AFFECTED; MIDDLE AND
LOWER LOBES ARE RARELY
AFFECTED.
• BY MR, THE FETAL
APPEARANCE OF BA IS
THAT OF A T2
HYPERINTENSE MASS
WITH A CENTRAL CYST
(MUCOCELE) OR
CENTRALLY DILATED
BRONCHI
(BRONCHOCELE). AS
WITH THE OTHER
PULMONARY LESIONS,
MASS EFFECT RESULTING
FOREGUT DUPLICATION CYSTS
• INTRATHORACIC- DIVIDED INTO BRONCHOGENIC, ESOPHAGEAL
DUPLICATION, AND NEUROENTERIC CYSTS.
• BRONCHOGENIC CYSTS REFLECT ABNORMAL BUDDING AND
DEVELOPMENT OF THE VENTRAL FOREGUT DURING THE FIRST
TRIMESTER OF GESTATION.
• ESOPHAGEAL OR ENTERIC DUPLICATION CYSTS RESULT FROM
MALDEVELOPMENT OF THE POSTERIOR DIVISION OF THE EMBRYONIC
FOREGUT .
• NEUROENTERIC CYSTS ARE FOUND IN THE POSTERIOR MEDIASTINUM
AND MAY COMMUNICATE WITH THE SPINAL CANAL, A CONDITION
OFTEN ASSOCIATED WITH UNDERLYING BONY ABNORMALITIES OF THE
SPINE.
CONGENITAL DIAPHRAGMATIC
HERNIA
• (CDH) ARE POTENTIALLY LIFE-THREATENING LESIONS
THAT RESULT FROM AN ANATOMICAL DEFECT IN THE
DIAPHRAGM THAT PERMITS ABDOMINAL CONTENTS TO
HERNIATE INTO THE THORACIC CAVITY.
• LEFT-SIDED HERNIAS ARE THE MOST COMMON TYPE, 85%
• FAILURE OF CLOSURE OF THE FORAMEN OF BOCHDALEK
BETWEEN THE 8TH AND 10TH WEEK OF GESTATION.
• POSTNATAL MORBIDITY AND MORTALITY IS DUE PRIMARILY
TO THE PULMONARY HYPOPLASIA AND PULMONARY
HYPERTENSION - CHRONIC COMPRESSION.
• THE PULMONARY VASCULATURE IS ALSO ABNORMAL WITH A
DECREASE IN THE NUMBER OF VESSELS ALONG WITH
THICKENING AND MUSCULARIZATION OF THE WALL.
INCREASED VASCULAR REACTIVITY ASSOCIATED WITH
HYPOXIA THEN LEADS TO PULMONARY HYPERTENSION.
• DEFINITIVE DIAGNOSIS OF A CDH RELIES ON THE
IDENTIFICATION OF ABDOMINAL CONTENTS WITHIN THE
FETAL THORAX.
FETAL MRI OF THE GI SYSTEM
• MORPHOLOGICAL DEVELOPMENT OF THE GI TRACT OCCURS
PREDOMINANTLY DURING THE FIRST TRIMESTER, WHILE FUNCTION
BEGINS IN THE SECOND TRIMESTER.
• MECONIUM IS PRODUCED AFTER WEEK 13 OF GESTATION FROM
SECRETIONS OF THE LIVER AND INTESTINAL GLANDS, DESQUAMATED
INTESTINAL EPITHELIUM, AND SOME AMNIOTIC FLUID.
• IT SLOWLY MIGRATES FROM THE SMALL BOWEL TO THE RECTUM
WITH ADVANCING GESTATION. AT THE SAME TIME, ANAL SPHINCTER
PRESSURE INCREASES, RESULTING IN A FUNCTIONAL OBSTRUCTION
OF THE ANAL CANAL AT 20 WEEKS AND PROGRESSIVE
ACCUMULATION OF THE MECONIUM IN THE DISTAL LARGE BOWEL.
• BY MRI, MECONIUM HAS T1 BRIGHT SIGNAL , POSSIBLY DUE
TO ITS HIGH PROTEIN CONTENT OR ITS PARAMAGNETIC
MINERAL CONSTITUENTS (IRON, COPPER, AND MANGANESE).
• AT 20 WEEKS AND BEYOND, THE COLON AND RECTUM
BECOME A MECONIUM RESERVOIR AND DEMONSTRATE HIGH
T1, LOW T2 SIGNAL.
• THE ESOPHAGUS, STOMACH AND PROXIMAL SMALL BOWEL,
CONTAIN SWALLOWED AMNIOTIC FLUID, RESULTING IN LOW
T1 AND HIGH T2 SIGNAL.
• ANY VARIATION ON THIS SCHEME MAY REPRESENT
PATHOLOGY.
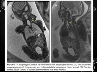
ESOPHAGEAL ATRESIA
• ESOPHAGEAL ATRESIA WITH OR WITHOUT DISTAL FISTULA IS
A DIFFICULT DIAGNOSIS TO MAKE PRENATALLY AND IS
USUALLY BASED ON INDIRECT FINDINGS THAT INCLUDE
POLYHYDRAMNIOS CAUSED BY OBSTRUCTION OF FETAL
SWALLOWING, A PERSISTENTLY SMALL STOMACH AND
POSSIBLY, BUT RARELY SEEN, A DILATED UPPER ESOPHAGEAL
POUCH .
• ABOUT HALF- OTHER ASSOCIATED ANOMALIES GROUPED
UNDER THE ACRONYM OF VACTERL (VERTEBRAL DEFECTS,
ANAL ATRESIA, CARDIAC ANOMALIES, TRACHOESOPHAGEAL
FISTULA, RADIAL DEFECTS, RENAL, AND LIMB,
DUODENAL ATRESIA
• DUE TO LACK OF RECANALIZATION OF THE DUODENAL LUMEN FROM
WEEKS 8 TO 10 OF GESTATION.
• ASSOCIATED WITH OTHER CONGENITAL ANOMALIES, INCLUDING TRISOMY
21 (30% TO 40%), ANORECTAL MALFORMATION, ESOPHAGEAL ATRESIA,
AND CONGENITAL HEART DISEASE.
• THE PRENATAL SONOGRAPHIC FINDINGS OF DUODENAL ATRESIA ARE THE
CLASSIC “DOUBLE BUBBLES,” WHICH MIRROR THE MR FINDINGS,
• THE “BUBBLES” REPRESENT THE DISTENDED STOMACH AND PROXIMAL
DUODENUM.
• POLYHYDRAMNIOS MAY BE PRESENT, AS THE SWALLOWED FLUID CANNOT
ENTER THE PROXIMAL SMALL BOWEL LOOPS.
SMALL BOWEL ATRESIA
• DUE TO THE DISRUPTION OF THE MESENTERIC BLOOD SUPPLY TO THE
AFFECTED SEGMENT OCCURRING AFTER THE 12TH GESTATIONAL
WEEK.
• ISCHEMIC NECROSIS LEADS TO DAMAGE OF THE INTESTINAL
SEGMENT, POSSIBLY LEADING TO FIBROUS SCARRING OR, IN ITS
EXTREME FORM, THE DISAPPEARANCE OF BOWEL.
• IN THE CASE OF THE JEJUNUM, ATRESIAS TEND TO BE MULTIPLE. THE
JEJUNUM HAS THE CAPACITY TO DILATE CONSIDERABLY BEFORE
PERFORATION OCCURS. THIS IS IN CONTRADISTINCTION WITH ILEAL
ATRESIAS, WHICH TEND TO BE SOLITARY, AND WHERE PERFORATION
MAY OCCUR WITH VERY LITTLE DILATATION.
• FETAL ASCITES IN THE SETTING OF BOWEL OBSTRUCTION SUGGESTS
BOWEL PERFORATION
FETAL MRI OF THE GU SYSTEM
• PARTICULARLY HELPFUL IN CASES OF OLIGOHYDRAMNIOS, WHERE
THE ACOUSTIC WINDOW FOR US IS LIMITED.
• ON T2-WEIGHTED SEQUENCES, THE FETAL KIDNEYS ARE SEEN AS
OVOID STRUCTURES WITH INTERMEDIATE SIGNAL .
• THE PRESENCE OF T2 BRIGHT URINE ALLOWS THE VISUALIZATION OF
THE COLLECTING SYSTEM.
• MRI CAN HELP TO EVALUATE THE AREA OF ABNORMALITY WITH
ANALYSIS OF THE COLLECTING SYSTEM, URETERS, BLADDER, AND
URETHRA. BILATERAL VERSUS UNILATERAL INVOLVEMENT IS
ASSESSED.
• THICKNESS OF CORTEX AND SIGNAL INTENSITY (WHEN COMPARED
TO MATERNAL KIDNEYS) CAN HELP IN THE EVALUATION OF POSSIBLE
DYSPLASIA.
• THE COMMON GU INDICATORS FOR FETAL MR INCLUDE
• POLYCYSTIC KIDNEY DISEASE ,
• MULTICYSTIC DYSPLASTIC KIDNEY ,
• URETEROPELVIC JUNCTION (UPJ) OBSTRUCTION , AND
• POSTERIOR URETHRAL VALVES IN THE MALE FETUS
Figures A and B) Posterior urethral valves. 31-week male fetus with
posterior urethral valves. Note the degree of pelvicaliectasis and the charact
keyhole shape of the bladder. K: kidney, B: bladder.
ANTERIOR ABDOMINAL WALL
DEFECTS
• GASTROSCHISIS AND OMPHALOCELES
• GASTROSCHISIS IS DEFINED AS A FULL-THICKNESS
PARAUMBILICAL DEFECT OF THE ABDOMINAL WALL,
TYPICALLY THE RIGHT SIDE, RESULTING IN PROLAPSE OF
THE BOWEL, WHICH IS THEN EXPOSED TO THE AMNIOTIC
FLUID, AS THERE IS NO MEMBRANE COVERING THE DEFECT.
• IN MR, IT IS EASY TO IDENTIFY THE FLOATING LOOPS OF
BOWEL IN THE AMNIOTIC FLUID.
• ASSOCIATED ANOMALIES - RARE EXCEPT ATRESIA OR
STENOSIS.
• THICKENING OR DISTENTION OF THE BOWEL SEGMENTS
MAY INDICATE OBSTRUCTION/ISCHEMIA AND ARE
IMPORTANT PARAMETERS TO REPORT.
OMPHALOCELE
• OMPHALOCELE IS A MIDLINE DEFECT OF THE ABDOMINAL WALL AT
THE SITE OF ATTACHMENT OF THE UMBILICAL CORD.
• THE EXTRUDED ORGANS ARE COVERED BY PARIETAL PERITONEUM.
• BOWEL, LIVER, AND STOMACH MAY PROLAPSE TO THE OMPHALOCELE
SAC.
• OTHER ANOMALIES : CHROMOSOMAL ABNORMALITIES (TRISOMY 13
AND 18) BECKWITHWIEDEMANN SYNDROME; INTESTINAL ATRESIAS
AND ABNORMAL FIXATION OF THE BOWEL, ARE COMMON.
• CAREFUL FETAL SURVEY IS WARRANTED TO EVALUATE THE
COEXISTENCE OF ADDITIONAL CONGENITAL ABNORMALITIES.
• THERE ARE OTHER, RARER TYPES OF CHEST AND
ABDOMINAL WALL DEFECTS, INCLUDING THOSE FOUND IN
THE PENTALOGY OF CANTRELL, LIMB-BODY WALL
COMPLEX , AMNIOTIC BAND SYNDROME, AND BLADDER
AND CLOACAL EXSTROPHY.
NEUROLOGIC INDICATIONS
VENTRICULOMEGALY
• MOST COMMON; SONOGRAPHY. - ATRIAL WIDTH GREATER THAN 10
MM MEASURED AT THE POSTERIOR MARGIN OF THE GLOMUS OF THE
CHOROID PLEXUS ON AN AXIAL PLANE THROUGH THE THALAMI .
• DESPITE THE GROWTH OF THE SURROUNDING BRAIN, THE ATRIAL
DIAMETER IS RELATIVELY CONSTANT FROM 15 TO 35 WEEKS
’GESTATION, SO THE LATERAL VENTRICLES APPEAR
PROPORTIONATELY LARGER EARLY IN GESTATION .
• ASSOCIATED STRUCTURAL ABNORMALITIES INCLUDE NEURAL TUBE
DEFECTS, AGENESIS OF THE CORPUS CALLOSUM, DANDY-WALKER
SYNDROME, HOLOPROSENCEPHALY, CORTICAL MALFORMATIONS,
INTRACRANIAL HEMORRHAGE, AND PORENCEPHALY
• INCLUDING AGENESIS OF THE CORPUS CALLOSUM,
CORTICAL MALFORMATIONS, PERIVENTRICULAR
HETEROTOPIA, PERIVENTRICULAR LEUKOMALACIA,
MULTICYSTIC ENCEPHALOMALACIA, AND INTRACRANIAL
HEMORRHAGE.
• PERIVENTRICULAR WHITE MATTER INJURY MAY MANIFEST
AS FOCAL PERIVENTRICULAR T2 HYPERINTENSITY, FOCAL
DEFECTS IN THE GERMINAL MATRIX, SUBTLE IRREGULARITY
OF THE VENTRICULAR MARGIN, OR LARGE AREAS OF
ABNORMAL SIGNAL IN THE DEVELOPING WHITE MATTER
AND OVERLYING CORTEX. MAY OR MAY NOT BE
ASSOCIATED WITH VOLUME LOSS.
• HEMORRHAGE IS USUALLY DETECTED AS FOCI OF
T1HYPERINTENSITY AND T2 HYPOINTENSITY IN THE
GERMINAL MATRIX, VENTRICLES, OR BRAIN PARENCHYMA.
• BLOOD IN THE VENTRICLES MAY LAYER OR FORM A
DISCRETE CLOT.
AGENESIS OF THE CORPUS
CALLOSUM
• THE CORPUS CALLOSUM REACHES ADULT FORM BY 18–20
WEEKS’ GESTATION .
• MOST PATIENTS WITH CALLOSAL AGENESIS HAVE
NEURODEVELOPMENTAL DISORDERS, INCLUDING
DEVELOPMENTAL DELAY, MENTAL DISABILITY, AND
EPILEPSY
• OTHER ASSOCIATED -DANDY-WALKER SYNDROME,
CHIARI’S MALFORMATION TYPE II, GRAY MATTER
HETEROTOPIA, HOLOPROSENCEPHALY, SCHIZENCEPHALY,
AND ENCEPHALOCELE.
• FINDINGS OF CALLOSAL AGENESIS—INCLUDING ENLARGED
ATRIA AND OCCIPITAL HORNS WITHA TEARDROP
CONfiGURATION OF THE LATERAL VENTRICLES, ABSENCE
OF THE CAVUM SEPTUM PELLUCIDUM,A HIGH-RIDING
THIRD VENTRICLE, AND RADIATING MEDIAL SULCI—CAN BE
DIFfiCULT TO IDENTIFY SONOGRAPHICALLY.
POSTERIOR FOSSA
ABNORMALITIES.—
• DANDY-WALKER SYNDROME, - ADDITIONAL
ABNORMALITIESTHAT INDICATE A WORSE PROGNOSIS,
INCLUDINGAGENESIS OF THE CORPUS CALLOSUM,
POLYMICROGYRIA, NEURONAL HETEROTOPIA, AND
OCCIPITAL ENCEPHALOCELE.
• CHIARI’S MALFORMATION TYPE II MAY ALSO BE
ASSOCIATED WITH OTHER ANOMALIES, SUCH AS CALLOSAL
AGENESIS, POLYMICROGYRIA, GRAY MATTER HETEROTOPIA,
CEREBELLAR DYSPLASIA, SYRINGOHYDROMYELIA AND
DIASTEMATOMYELIA
MALFORMATIONS OF CEREBRAL
CORTICAL DEVELOPMENT.
• NEURONAL PRECURSORS ORIGINATE FROM THE GERMINAL
MATRIX LINING THE VENTRICLES AND MIGRATE TO THE
DEVELOPING CORTEX BETWEEN 7 AND 20 WEEKS’ GESTATION.
• ABNORMALITIES OF NEURONAL DEVELOPMENT AND
MIGRATION MAY BE SONOGRAPHICALLY OCCULT BUT ARE
DETECTABLE ON MRI BECAUSE OF ITS SUPERIOR TISSUE
CONTRAST .
• MRI WAS SUPERIOR TO SONOGRAPHY FOR IDENTIFYING
SCHIZENCEPHALY, LISSENCEPHALY, POLYMICROGYRIA, AND
GRAY MATTER HETEROTOPIA
• SUBEPENDYMAL HETEROTOPIA APPEARS AS NODULES ALONG
THE VENTRICULAR WALLS THAT ARE ISOINTENSE RELATIVE TO
THE GERMINAL MATRIX .
• THESE NODULES ARE RADIOLOGICALLY INDISTINGUISHABLE
FROM THE SUBEPENDYMAL TUBERS OF TUBEROUS SCLEROSIS.
OTHER MANIFESTATIONS OF TUBEROUS SCLEROSIS SUCH AS
TRANSMANTLE DYSPLASIA, CORTICAL TUBERS, AND CARDIAC
RHABDOMYOMA MAY HELP IN DIFFERENTIATION.
• SCHIZENCEPHALY APPEARS AS A GRAY MATTER–LINED CLEFT
BETWEEN THE VENTRICLE AND SUBARACHNOID SPACE .
• SHALLOW SYLVIAN fiSSURES, ABSENCE OF NORMAL
MULTILAYERED BRAIN PARENCHYMA, AND A REDUCTION IN
GESTATIONALLY APPROPRIATE CORTICAL SULCATION ARE THE
CHARACTERISTIC FEATURES OF CLASSICAL LISSENCEPHALY.
MYELOMENINGOCELE AND OTHER
SPINE ANOMALIES
• ABSENCE OF POSTERIOR ELEMENTS OF THE VERTEBRAL
BODIES AT AFFECTED LEVELS AND EXTENSION OF THE
SUBARACHNOID SPACE POSTERIORLY THROUGH THE BONY
SPINA BIFIDA.
• MYELOMENINGOCELES ARE ALMOST ALWAYS SEEN IN
COMBINATION WITH A SMALL POSTERIOR FOSSA AND
HERNIATION OF CEREBELLAR TISSUE INTO THE CERVICAL
SUBARACHNOID SPACE; THIS HINDBRAIN MALFORMATION
IS REFERRED TO AS THE CHIARI II MALFORMATION.
• ASSOCIATED - CALLOSAL AGENESIS/ HYPOGENESIS,
PERIVENTRICULAR NODULAR HETEROTOPIA, CEREBELLAR
DYSPLASIA, SYRINGOHYDROMYELIA, AND
DIASTEMATOMYELIA.
• THE DEGREE OF HINDBRAIN HERNIATION AND
HYDROCEPHALUS CAN ALSO BE EVALUATED WITH FETAL MR
IMAGING .
• FETAL MR IMAGING OF THE SPINE IS ALSO HELPFUL IN CASES
IN WHICH A BONY SPINAL ABNORMALITY IS DETECTED ON
PRENATAL SONOGRAPHY.
• IN PARTICULAR, IT CAN BE USED TO DETECT UNDERLYING
SPINAL CORD ANOMALIES, SUCH AS DIASTEMATOMYELIA AND
SEGMENTAL SPINAL DYSGENESIS.
Sonograms of a fetus at 23
weeks 2 days with evidence
of lumbar spine bony
segmentation anomalies
(arrows).
C and D, Sagittal SSFSE T2-
weighted fetal MR images
obtained on the same day
showing early termination of
the spinal cord (C, arrow)
with additional neural tissue
in the sacral canal (D,
arrow), consistent with
segmental spinal dysgenesis
Coronal
SSFSE T2-weighted MR image
obtained on the same day
showing
splitting of the upper and mid
thoracic cord (arrow), consistent
with a diastematomyelia. E,
Axial SSFSE T2-weighted image
confirming the presence of 2
hemicords in the thoracic spine
(arrow).
CONCLUSION
SUPERIOR SOFT TISSUE CONTRAST, RELATIVE OPERATOR
INDEPENDENCE, AND A LARGE FIELD OF VIEW ARE FACTORS
THAT MAKE FETAL MRI A GREAT ADJUNCT IN OBSTETRIC
IMAGING, AIDING IN THE DIAGNOSIS OF THE FETUS WITH
CONGENITAL ABNORMALITIES AND IN ITS PRE- AND
POSTNATAL MANAGEMENT.
• BECAUSE FETAL MRI INVOLVES MANY DISCIPLINES, INCLUDING
OBSTETRICS, PERINATOLOGY,GENETICS, PEDIATRIC SURGERY,
AND PEDIATRIC NEUROLOGY, THE FUTURE PROMISE OF FETAL
MRI WILL LIKELY BEST BE ACHIEVED THROUGH
MULTIDISCIPLINARY COLLABORATIVE EFFORTS.
• FETAL MRI: A DEVELOPING TECHNIQUE FOR THE DEVELOPING PATIENT
AJR 05
• MAGNETIC RESONANCE IMAGING OF THE FETAL BRAIN AND SPINE: AN
INCREASINGLY IMPORTANT TOOL IN PRENATAL DIAGNOSIS, PART 1
AND 2
• MRI OF FETAL GENITOURINARY ANOMALIES AJR 08
• PRENATAL MRI OF CONGENITAL ABDOMINAL AND CHEST WALL
DEFECTS AJR 07
• SUPPLEMENTAL VALUE OF MRI IN FETAL ABDOMINAL DISEASE
DETECTED ON PRENATAL SONOGRAPHY: PRELIMINARY EXPERIENCE
AJR
• EARLY FORMATIVE STAGE OF HUMAN FOCAL CORTICAL GYRATION
ANOMALIES: FETAL MRI AJNR 2012
• FETAL MAGNETIC RESONANCE IMAGING IN THE EVALUATION OF
FETUSES REFERRED FOR SONOGRAPHICALLY SUSPECTED
THANK YOU

Fetal MRI

  • 1.
    DR VARUN BANSAL DEPTTOF RADIODIAGNOSIS FETAL MRI
  • 2.
    FETAL MRI • GIVENITS PROVEN UTILITY, WIDESPREAD AVAILABILITY, AND RELATIVELY LOW COST, SONOGRAPHY IS THE MAIN IMAGING TOOL IN OBSTETRICS IMAGING. HOWEVER, THE MODALITY HAS LIMITATIONS, WHICH INCLUDE LACK OF AN ACOUSTIC WINDOW IN THE FETUS WITH OLIGOHYDRAMNIOS, A SMALL FIELD OF VIEW, LIMITED SOFT-TISSUE ACOUSTIC CONTRAST, AND BEAM ATTENUATION BY MATERNAL ADIPOSE TISSUE. • SUPERIOR TISSUE CONTRAST, A LARGE FIELD OF VIEW, AND RELATIVE OPERATOR INDEPENDENCE. • THE EFFECTIVE USE OF THIS IMAGING TOOL IN THE EVALUATION OF THE FETUS WITH CNS AND NON-CENTRAL NERVOUS SYSTEM (CNS) CONGENITAL ABNORMALITIES OF THE BODY, INCLUDING THE THORAX AND THE GASTROINTESTINAL (GI) AND GENITOURINARY (GU) SYSTEMS, IS REASON FOR ADOPTING FETAL MRI AS AN ADJUNCT IN OBSTETRIC IMAGING.
  • 3.
    TECHNIQUE OF FETALMRI • THE MOTHER SHOULD FAST FOR 4 HR BEFORE THE EXAMINATION TO REDUCE BOWEL PERISTALSIS ARTIFACTS AND TO PREVENT POSTPRANDIAL FETAL MOTION AND SHOULD EMPTY HER BLADDER IMMEDIATELY BEFORE UNDERGOING MRI. • SUPINE POSITION, BUT A LEFT LATERAL DECUBITUS POSITION MAY BE HELPFUL. • A BODY ARRAY COIL IS WRAPPED AROUND THE MATERNAL ABDOMEN TO IMPROVE SPATIAL RESOLUTION. • THE FIRST 2 SEQUENCES - ORTHOGONAL SAGITTAL AND CORONAL IMAGES WITH RESPECT TO THE MOTHER, OVERALL VIEW - FETUS , TO EVALUATE FETAL SITUS. THE CERVIX IS USUALLY INCLUDED IN THESE 2 SEQUENCES TO EVALUATE FOR LENGTH AND COMPETENCE. THE REMAINING SEQUENCES - RESPECT TO THE FETUS. • SEQUENCES UTILIZED INCLUDE THE T2-WEIGHTED HALF- FOURIER ACQUISITION SINGLE-SHOT TURBO SPIN ECHO
  • 4.
    • HASTE, ABLACK-BLOOD SEQUENCE, IS THE WORKHORSE OF FETAL IMAGING, RESULTING IN FINE ANATOMIC DETAIL. • TRUFISP IS A WHITE-BLOOD SEQUENCE THAT PROVIDES AN ALTERNATIVE WAY OF LOOKING AT FETAL ANATOMY. • EPI - CALCIFICATIONS AND BLOOD PRODUCTS. • FLASH - EVALUATION OF FETAL STRUCTURES WITH NORMALLY HIGH T1 SIGNAL, INCLUDING THE THYROID, LIVER, AND MECONIUM. • HEMORRHAGE (PLACENTAL, ADRENAL, ETC.) IS SUSPECTED WHEN T1W BRIGHT SIGNAL IS SEEN IN THESE ANATOMIC LOCATIONS. • EVALUATION OF FETAL GOITERS, ALTHOUGH RARE, CAN ALSO BE DONE THROUGH T1 FLASH SEQUENCES
  • 6.
    SAFETY OF MRIIN THE OBSTETRICAL PATIENT • MATERNAL RISKS • SAME AS FOR NON-PREGNANT • PROLONGED SUPINE POSITIONING. • GRAVID UTERUS OF SIGNIFICANT SIZE CAN LEAD TO HYPOTENSION DUE TO COMPRESSION OF THE INFERIOR VENA CAVA. • THIS CAN BE AVOIDED BY PLACING THE PATIENT IN A LATERAL OBLIQUE OR LATERAL DECUBITUS POSITION
  • 7.
    FIRST TRIMESTER • MRIDONE DURING FIRST TRIMESTER IS USUALLY PERFORMED FOR MATERNAL INDICATIONS AND NOT FOR PRENATAL DIAGNOSIS. • THERE ARE LIMITED CASE REPORTS OF UNPLANNED EXPOSURE TO MRI IN THE FIRST TRIMESTER OF PREGNANCY. • TO DATE THERE IS INSUFFICIENT EVIDENCE TO UNDERSTAND THE TRUE RISKS OF FIRST TRIMESTER EXPOSURE TO THE DEVELOPING FETUS
  • 8.
    SECOND AND THIRDTRIMESTERS • THE HIGH LEVEL OF ACOUSTIC NOISE GENERATED IN AN MRI SYSTEM MAY BE OF CONCERN FOR BOTH MOTHER AND FETUS. • THERE ARE NO REPORTS OF SIGNIFICANT ACOUSTIC IMPAIRMENT RESULTING FROM EXPOSURE TO PRENATAL MRI. • FETAL MRI IS TYPICALLY PERFORMED AT 1.5 T. • THE HIGHER FIELD STRENGTH OF 3 T IS ALSO CONSIDERED TO BE SAFE. • ARTIFACTS MAY BE MORE PRONOUNCED IN THE SECOND AND THIRD TRIMESTERS DUE TO THE LARGE AMOUNT OF AMNIOTIC FLUID AND INCREASED ABDOMINAL GIRTH
  • 9.
    USE OF CONTRASTAGENTS IN OBSTETRICAL MRI • CATEGORY C DRUG • GADOLINIUM CROSSES THE PLACENTA AND IS EXCRETED BY THE FETAL KIDNEYS INTO THE AMNIOTIC FLUID, WHERE IT REMAINS, EXPOSING THE DEVELOPING FETUS, PARTICULARLY THE LUNGS AND GASTROINTESTINAL TRACT, FOR AN EXTENDED PERIOD OF TIME. • THE 2010 AMERICAN COLLEGE OF RADIOLOGY GUIDELINE FOR SAFE MRI PRACTICES RECOMMENDS THAT INTRAVENOUS GADOLINIUM BE AVOIDED DURING PREGNANCY AND USED ONLY IF IT IS JUDGED ABSOLUTELY ESSENTIAL. • ONE EXAMPLE OF APPROPRIATE USE COULD BE IN AN EXAMINATION FOR PLACENTA PERCRETA WHEN PLANNED DELIVERY IS IMMINENT AND FETAL EXPOSURE TO GADOLINIUM IS THUS LIMITED
  • 10.
    RISKS OF ORALCONTRAST MEDIA ADMINISTRATION DURING LACTATION • A MINIMAL AMOUNT OF GADOLINIUM IS EXCRETED IN THE BREAST MILK: 99.2% OF ORALLY ADMINISTRATED MAGNEVIST (A GANDOLINIUM CONTRAST) IS FECALLY EXCRETED • ONLY 0.1% OF THE MATERNAL INTRAVENOUS DOSE IS FOUND IN THE BREAST MILK • ONLY 1% OF THIS IS SUBSEQUENTLY ABSORBED BY THE INFANT. • THE AVAILABLE DATA SUGGEST THAT IT IS SAFE FOR THE MOTHER ANDINFANT TO CONTINUE BREAST-FEEDING AFTER RECEIVING SUCH ANAGENT.
  • 11.
    THORACIC INDICATIONS • THEFETAL LUNG CONTAINS A SIGNIFICANT AMOUNT OF ALVEOLAR FLUID, WHICH RESULTS IN HOMOGENEOUSLY HYPERINTENSE T2 SIGNAL WITH RESPECT TO THE SURROUNDING CHEST WALL, HEART, AND MEDIASTINAL CONTENTS IN HASTE SEQUENCES . • THE THYMUS HAS INTERMEDIATE SIGNAL RELATIVE TO LUNG; THE TRACHEA AND BRONCHI CAN BE VISUALIZED DUE TO THEIR FLUID CONTENT, YIELDING BRIGHT SIGNAL ON T2- WEIGHTED IMAGES. • T1 IMAGES ARE HELPFUL TO EVALUATE THE LOCATION OF THE LIVER AND BOWEL IN THE FETUS WITH CONGENITAL DIAPHRAGMATIC HERNIA.
  • 12.
    • NORMAL FETALLUNGS EXHIBIT A SIGNAL INTENSITY THAT IS SLIGHTLY DARKER THAN AMNIOTIC FLUID . • AS THE LUNGS MATURE, FLUID FILLS THE AIRSPACES THAT ARE INCREASING IN SURFACE AREA, AND LUNG SIGNAL INTENSITY INCREASES. • A NORMAL SCALE HAS BEEN DEVELOPED FOR RATIOS OF THE LUNG SIGNAL INTENSITY TO THE LIVER SIGNAL INTENSITY AT DIFFERENT GESTATIONAL AGES; THIS RATIO INCREASES WITH ADVANCING GESTATIONAL AGE
  • 13.
    Coronal T2 HASTE(A and B) and sagittal T1 FLASH (C) images demonstrate the normal MR appearance and signal of the bladder (BL), heart (H), kidney (K), liver (L), lung (LG), and stomach (S). Note the T1 hyperintense rectum (arrow) located just posterior to the bladder
  • 14.
    CONGENITAL CYSTIC ADENOMATOID MALFORMATIONS •(CCAM) ARE THE MOST COMMONLY DIAGNOSED PRENATAL LUNG MALFORMATIONS AND ACCOUNT FOR APPROXIMATELY 30% TO 40% OF ALL CONGENITAL ANOMALIES. • THEY ARE CHARACTERIZED BY AN ABNORMAL BRANCHING OF IMMATURE BRONCHIOLES AND A LACK OF ALVEOLAR DEVELOPMENT, RESULTING IN A MASS THAT MAY CONTAIN BOTH CYSTIC AND SOLID COMPONENTS. • CCAMS COMMUNICATE WITH THE TRACHEOBRONCHIAL TREE.
  • 15.
    • THE NATURALHISTORY AND PROGNOSIS OF PRENATAL CCAMS DEPEND ON • THE SIZE OF THE MALFORMATION, • THE DEGREE OF PULMONARY HYPOPLASIA, AND • THE EXERTION OF MASS EFFECT MANIFESTED BY MEDIASTINAL SHIFT, CARDIAC COMPRESSION, EVERSION OF THE HEMIDIAPHRAGM, AND PRESENCE OF FETAL HYDROPS. • THE PRESENCE OF HYDROPS IS NEARLY UNIFORMLY FATAL WITHOUT INTERVENTION AND IS AN INDICATION FOR FETAL SURGERY. • BY MR, CCAMS PRESENT PRENATALLY AS HOMOGENEOUS OR HETEROGENEOUS SOLID OR CYSTIC MASSES WITH BLOOD USUALLY SUPPLIED BY THE PULMONARY CIRCULATION.
  • 18.
    BRONCHOPULMONARY SEQUESTRATIONS • (BPS) INVOLVESABNORMAL, NONFUNCTIONING PULMONARY TISSUE THAT DOES NOT CONNECT WITH THE NORMAL TRACHEOBRONCHIAL TREE AND RECEIVES ITS VASCULAR SUPPLY FROM THE SYSTEMIC CIRCULATION. • INTRALOBAR SEQUESTRATIONS MOST COMMON, 75% - ENVELOPED BY VISCERAL LUNG PLEURA. • EXTRALOBAR SEQUESTRATIONS HAVE THEIR OWN PLEURA LOWER LOBES; THE LEFT IS MORE COMMON THAN THE RIGHT.
  • 19.
    • BY MR,THE CHARACTERISTICS OF BPSS ARE SIMILAR TO CCAMS: SOLID, T2 HYPERINTENSE MASSES, USUALLY WELL DEFINED. • DIFFERENTIATION BETWEEN CCAM AND INTRATHORACIC BPS MAY BE CHALLENGING, BUT IDENTIFICATION OF A SYSTEMIC ARTERIAL SUPPLY, MOST COMMONLY THE AORTA, INDICATES A DIAGNOSIS OF SEQUESTRATION. • THE DIFFERENTIAL DIAGNOSIS OF AN EXTRALOBAR SUBDIAPHRAGMATIC BPS INCLUDES ADRENAL HEMORRHAGE AND NEUROBLASTOMA - SEQUESTRATIONS OCCUR MORE OFTEN ON THE LEFT AND PRESENT AS SOLID MASSES WITH SYSTEMIC BLOOD SUPPLY, WHEREAS NEUROBLASTOMAS OCCUR MORE OFTEN ON THE RIGHT SIDE. -ADRENAL HEMORRHAGES MAY DEMONSTRATE T1
  • 21.
    BRONCHIAL ATRESIA • BRONCHIALATRESIA (BA) IS CHARACTERIZED BY ATRESIA OR STENOSIS OF A LOBAR, SEGMENTAL OR SUBSEGMENTAL BRONCHUS AT OR NEAR ITS ORIGIN, RESULTING IN A BLINDENDING ATRETIC PROXIMAL BRONCHUS AND A DISTENDED, FLUID- FILLED DISTAL AIRWAY THAT CONTAINS VARIABLE AMOUNTS OF MUCUS, ALSO CALLED MUCOCELE. • THE RETAINED FLUID RESULTS IN A T2 HYPERINTENSE DISTAL SOLID APPEARING MASS, WHICH IS THE DISTENDED, FLUID-FILLED LUNG.
  • 22.
    • UPPER LOBEBRONCHI ARE MORE COMMONLY AFFECTED; MIDDLE AND LOWER LOBES ARE RARELY AFFECTED. • BY MR, THE FETAL APPEARANCE OF BA IS THAT OF A T2 HYPERINTENSE MASS WITH A CENTRAL CYST (MUCOCELE) OR CENTRALLY DILATED BRONCHI (BRONCHOCELE). AS WITH THE OTHER PULMONARY LESIONS, MASS EFFECT RESULTING
  • 23.
    FOREGUT DUPLICATION CYSTS •INTRATHORACIC- DIVIDED INTO BRONCHOGENIC, ESOPHAGEAL DUPLICATION, AND NEUROENTERIC CYSTS. • BRONCHOGENIC CYSTS REFLECT ABNORMAL BUDDING AND DEVELOPMENT OF THE VENTRAL FOREGUT DURING THE FIRST TRIMESTER OF GESTATION. • ESOPHAGEAL OR ENTERIC DUPLICATION CYSTS RESULT FROM MALDEVELOPMENT OF THE POSTERIOR DIVISION OF THE EMBRYONIC FOREGUT . • NEUROENTERIC CYSTS ARE FOUND IN THE POSTERIOR MEDIASTINUM AND MAY COMMUNICATE WITH THE SPINAL CANAL, A CONDITION OFTEN ASSOCIATED WITH UNDERLYING BONY ABNORMALITIES OF THE SPINE.
  • 25.
    CONGENITAL DIAPHRAGMATIC HERNIA • (CDH)ARE POTENTIALLY LIFE-THREATENING LESIONS THAT RESULT FROM AN ANATOMICAL DEFECT IN THE DIAPHRAGM THAT PERMITS ABDOMINAL CONTENTS TO HERNIATE INTO THE THORACIC CAVITY. • LEFT-SIDED HERNIAS ARE THE MOST COMMON TYPE, 85% • FAILURE OF CLOSURE OF THE FORAMEN OF BOCHDALEK BETWEEN THE 8TH AND 10TH WEEK OF GESTATION.
  • 26.
    • POSTNATAL MORBIDITYAND MORTALITY IS DUE PRIMARILY TO THE PULMONARY HYPOPLASIA AND PULMONARY HYPERTENSION - CHRONIC COMPRESSION. • THE PULMONARY VASCULATURE IS ALSO ABNORMAL WITH A DECREASE IN THE NUMBER OF VESSELS ALONG WITH THICKENING AND MUSCULARIZATION OF THE WALL. INCREASED VASCULAR REACTIVITY ASSOCIATED WITH HYPOXIA THEN LEADS TO PULMONARY HYPERTENSION. • DEFINITIVE DIAGNOSIS OF A CDH RELIES ON THE IDENTIFICATION OF ABDOMINAL CONTENTS WITHIN THE FETAL THORAX.
  • 28.
    FETAL MRI OFTHE GI SYSTEM • MORPHOLOGICAL DEVELOPMENT OF THE GI TRACT OCCURS PREDOMINANTLY DURING THE FIRST TRIMESTER, WHILE FUNCTION BEGINS IN THE SECOND TRIMESTER. • MECONIUM IS PRODUCED AFTER WEEK 13 OF GESTATION FROM SECRETIONS OF THE LIVER AND INTESTINAL GLANDS, DESQUAMATED INTESTINAL EPITHELIUM, AND SOME AMNIOTIC FLUID. • IT SLOWLY MIGRATES FROM THE SMALL BOWEL TO THE RECTUM WITH ADVANCING GESTATION. AT THE SAME TIME, ANAL SPHINCTER PRESSURE INCREASES, RESULTING IN A FUNCTIONAL OBSTRUCTION OF THE ANAL CANAL AT 20 WEEKS AND PROGRESSIVE ACCUMULATION OF THE MECONIUM IN THE DISTAL LARGE BOWEL.
  • 29.
    • BY MRI,MECONIUM HAS T1 BRIGHT SIGNAL , POSSIBLY DUE TO ITS HIGH PROTEIN CONTENT OR ITS PARAMAGNETIC MINERAL CONSTITUENTS (IRON, COPPER, AND MANGANESE). • AT 20 WEEKS AND BEYOND, THE COLON AND RECTUM BECOME A MECONIUM RESERVOIR AND DEMONSTRATE HIGH T1, LOW T2 SIGNAL. • THE ESOPHAGUS, STOMACH AND PROXIMAL SMALL BOWEL, CONTAIN SWALLOWED AMNIOTIC FLUID, RESULTING IN LOW T1 AND HIGH T2 SIGNAL. • ANY VARIATION ON THIS SCHEME MAY REPRESENT PATHOLOGY.
  • 30.
    ESOPHAGEAL ATRESIA • ESOPHAGEALATRESIA WITH OR WITHOUT DISTAL FISTULA IS A DIFFICULT DIAGNOSIS TO MAKE PRENATALLY AND IS USUALLY BASED ON INDIRECT FINDINGS THAT INCLUDE POLYHYDRAMNIOS CAUSED BY OBSTRUCTION OF FETAL SWALLOWING, A PERSISTENTLY SMALL STOMACH AND POSSIBLY, BUT RARELY SEEN, A DILATED UPPER ESOPHAGEAL POUCH . • ABOUT HALF- OTHER ASSOCIATED ANOMALIES GROUPED UNDER THE ACRONYM OF VACTERL (VERTEBRAL DEFECTS, ANAL ATRESIA, CARDIAC ANOMALIES, TRACHOESOPHAGEAL FISTULA, RADIAL DEFECTS, RENAL, AND LIMB,
  • 32.
    DUODENAL ATRESIA • DUETO LACK OF RECANALIZATION OF THE DUODENAL LUMEN FROM WEEKS 8 TO 10 OF GESTATION. • ASSOCIATED WITH OTHER CONGENITAL ANOMALIES, INCLUDING TRISOMY 21 (30% TO 40%), ANORECTAL MALFORMATION, ESOPHAGEAL ATRESIA, AND CONGENITAL HEART DISEASE. • THE PRENATAL SONOGRAPHIC FINDINGS OF DUODENAL ATRESIA ARE THE CLASSIC “DOUBLE BUBBLES,” WHICH MIRROR THE MR FINDINGS, • THE “BUBBLES” REPRESENT THE DISTENDED STOMACH AND PROXIMAL DUODENUM. • POLYHYDRAMNIOS MAY BE PRESENT, AS THE SWALLOWED FLUID CANNOT ENTER THE PROXIMAL SMALL BOWEL LOOPS.
  • 34.
    SMALL BOWEL ATRESIA •DUE TO THE DISRUPTION OF THE MESENTERIC BLOOD SUPPLY TO THE AFFECTED SEGMENT OCCURRING AFTER THE 12TH GESTATIONAL WEEK. • ISCHEMIC NECROSIS LEADS TO DAMAGE OF THE INTESTINAL SEGMENT, POSSIBLY LEADING TO FIBROUS SCARRING OR, IN ITS EXTREME FORM, THE DISAPPEARANCE OF BOWEL. • IN THE CASE OF THE JEJUNUM, ATRESIAS TEND TO BE MULTIPLE. THE JEJUNUM HAS THE CAPACITY TO DILATE CONSIDERABLY BEFORE PERFORATION OCCURS. THIS IS IN CONTRADISTINCTION WITH ILEAL ATRESIAS, WHICH TEND TO BE SOLITARY, AND WHERE PERFORATION MAY OCCUR WITH VERY LITTLE DILATATION. • FETAL ASCITES IN THE SETTING OF BOWEL OBSTRUCTION SUGGESTS BOWEL PERFORATION
  • 36.
    FETAL MRI OFTHE GU SYSTEM • PARTICULARLY HELPFUL IN CASES OF OLIGOHYDRAMNIOS, WHERE THE ACOUSTIC WINDOW FOR US IS LIMITED. • ON T2-WEIGHTED SEQUENCES, THE FETAL KIDNEYS ARE SEEN AS OVOID STRUCTURES WITH INTERMEDIATE SIGNAL . • THE PRESENCE OF T2 BRIGHT URINE ALLOWS THE VISUALIZATION OF THE COLLECTING SYSTEM. • MRI CAN HELP TO EVALUATE THE AREA OF ABNORMALITY WITH ANALYSIS OF THE COLLECTING SYSTEM, URETERS, BLADDER, AND URETHRA. BILATERAL VERSUS UNILATERAL INVOLVEMENT IS ASSESSED. • THICKNESS OF CORTEX AND SIGNAL INTENSITY (WHEN COMPARED TO MATERNAL KIDNEYS) CAN HELP IN THE EVALUATION OF POSSIBLE DYSPLASIA. • THE COMMON GU INDICATORS FOR FETAL MR INCLUDE • POLYCYSTIC KIDNEY DISEASE , • MULTICYSTIC DYSPLASTIC KIDNEY , • URETEROPELVIC JUNCTION (UPJ) OBSTRUCTION , AND • POSTERIOR URETHRAL VALVES IN THE MALE FETUS
  • 39.
    Figures A andB) Posterior urethral valves. 31-week male fetus with posterior urethral valves. Note the degree of pelvicaliectasis and the charact keyhole shape of the bladder. K: kidney, B: bladder.
  • 40.
    ANTERIOR ABDOMINAL WALL DEFECTS •GASTROSCHISIS AND OMPHALOCELES • GASTROSCHISIS IS DEFINED AS A FULL-THICKNESS PARAUMBILICAL DEFECT OF THE ABDOMINAL WALL, TYPICALLY THE RIGHT SIDE, RESULTING IN PROLAPSE OF THE BOWEL, WHICH IS THEN EXPOSED TO THE AMNIOTIC FLUID, AS THERE IS NO MEMBRANE COVERING THE DEFECT. • IN MR, IT IS EASY TO IDENTIFY THE FLOATING LOOPS OF BOWEL IN THE AMNIOTIC FLUID. • ASSOCIATED ANOMALIES - RARE EXCEPT ATRESIA OR STENOSIS. • THICKENING OR DISTENTION OF THE BOWEL SEGMENTS MAY INDICATE OBSTRUCTION/ISCHEMIA AND ARE IMPORTANT PARAMETERS TO REPORT.
  • 41.
    OMPHALOCELE • OMPHALOCELE ISA MIDLINE DEFECT OF THE ABDOMINAL WALL AT THE SITE OF ATTACHMENT OF THE UMBILICAL CORD. • THE EXTRUDED ORGANS ARE COVERED BY PARIETAL PERITONEUM. • BOWEL, LIVER, AND STOMACH MAY PROLAPSE TO THE OMPHALOCELE SAC. • OTHER ANOMALIES : CHROMOSOMAL ABNORMALITIES (TRISOMY 13 AND 18) BECKWITHWIEDEMANN SYNDROME; INTESTINAL ATRESIAS AND ABNORMAL FIXATION OF THE BOWEL, ARE COMMON. • CAREFUL FETAL SURVEY IS WARRANTED TO EVALUATE THE COEXISTENCE OF ADDITIONAL CONGENITAL ABNORMALITIES.
  • 43.
    • THERE AREOTHER, RARER TYPES OF CHEST AND ABDOMINAL WALL DEFECTS, INCLUDING THOSE FOUND IN THE PENTALOGY OF CANTRELL, LIMB-BODY WALL COMPLEX , AMNIOTIC BAND SYNDROME, AND BLADDER AND CLOACAL EXSTROPHY.
  • 44.
    NEUROLOGIC INDICATIONS VENTRICULOMEGALY • MOSTCOMMON; SONOGRAPHY. - ATRIAL WIDTH GREATER THAN 10 MM MEASURED AT THE POSTERIOR MARGIN OF THE GLOMUS OF THE CHOROID PLEXUS ON AN AXIAL PLANE THROUGH THE THALAMI . • DESPITE THE GROWTH OF THE SURROUNDING BRAIN, THE ATRIAL DIAMETER IS RELATIVELY CONSTANT FROM 15 TO 35 WEEKS ’GESTATION, SO THE LATERAL VENTRICLES APPEAR PROPORTIONATELY LARGER EARLY IN GESTATION . • ASSOCIATED STRUCTURAL ABNORMALITIES INCLUDE NEURAL TUBE DEFECTS, AGENESIS OF THE CORPUS CALLOSUM, DANDY-WALKER SYNDROME, HOLOPROSENCEPHALY, CORTICAL MALFORMATIONS, INTRACRANIAL HEMORRHAGE, AND PORENCEPHALY
  • 46.
    • INCLUDING AGENESISOF THE CORPUS CALLOSUM, CORTICAL MALFORMATIONS, PERIVENTRICULAR HETEROTOPIA, PERIVENTRICULAR LEUKOMALACIA, MULTICYSTIC ENCEPHALOMALACIA, AND INTRACRANIAL HEMORRHAGE. • PERIVENTRICULAR WHITE MATTER INJURY MAY MANIFEST AS FOCAL PERIVENTRICULAR T2 HYPERINTENSITY, FOCAL DEFECTS IN THE GERMINAL MATRIX, SUBTLE IRREGULARITY OF THE VENTRICULAR MARGIN, OR LARGE AREAS OF ABNORMAL SIGNAL IN THE DEVELOPING WHITE MATTER AND OVERLYING CORTEX. MAY OR MAY NOT BE ASSOCIATED WITH VOLUME LOSS. • HEMORRHAGE IS USUALLY DETECTED AS FOCI OF T1HYPERINTENSITY AND T2 HYPOINTENSITY IN THE GERMINAL MATRIX, VENTRICLES, OR BRAIN PARENCHYMA. • BLOOD IN THE VENTRICLES MAY LAYER OR FORM A DISCRETE CLOT.
  • 47.
    AGENESIS OF THECORPUS CALLOSUM • THE CORPUS CALLOSUM REACHES ADULT FORM BY 18–20 WEEKS’ GESTATION . • MOST PATIENTS WITH CALLOSAL AGENESIS HAVE NEURODEVELOPMENTAL DISORDERS, INCLUDING DEVELOPMENTAL DELAY, MENTAL DISABILITY, AND EPILEPSY
  • 48.
    • OTHER ASSOCIATED-DANDY-WALKER SYNDROME, CHIARI’S MALFORMATION TYPE II, GRAY MATTER HETEROTOPIA, HOLOPROSENCEPHALY, SCHIZENCEPHALY, AND ENCEPHALOCELE. • FINDINGS OF CALLOSAL AGENESIS—INCLUDING ENLARGED ATRIA AND OCCIPITAL HORNS WITHA TEARDROP CONfiGURATION OF THE LATERAL VENTRICLES, ABSENCE OF THE CAVUM SEPTUM PELLUCIDUM,A HIGH-RIDING THIRD VENTRICLE, AND RADIATING MEDIAL SULCI—CAN BE DIFfiCULT TO IDENTIFY SONOGRAPHICALLY.
  • 50.
    POSTERIOR FOSSA ABNORMALITIES.— • DANDY-WALKERSYNDROME, - ADDITIONAL ABNORMALITIESTHAT INDICATE A WORSE PROGNOSIS, INCLUDINGAGENESIS OF THE CORPUS CALLOSUM, POLYMICROGYRIA, NEURONAL HETEROTOPIA, AND OCCIPITAL ENCEPHALOCELE. • CHIARI’S MALFORMATION TYPE II MAY ALSO BE ASSOCIATED WITH OTHER ANOMALIES, SUCH AS CALLOSAL AGENESIS, POLYMICROGYRIA, GRAY MATTER HETEROTOPIA, CEREBELLAR DYSPLASIA, SYRINGOHYDROMYELIA AND DIASTEMATOMYELIA
  • 52.
    MALFORMATIONS OF CEREBRAL CORTICALDEVELOPMENT. • NEURONAL PRECURSORS ORIGINATE FROM THE GERMINAL MATRIX LINING THE VENTRICLES AND MIGRATE TO THE DEVELOPING CORTEX BETWEEN 7 AND 20 WEEKS’ GESTATION. • ABNORMALITIES OF NEURONAL DEVELOPMENT AND MIGRATION MAY BE SONOGRAPHICALLY OCCULT BUT ARE DETECTABLE ON MRI BECAUSE OF ITS SUPERIOR TISSUE CONTRAST . • MRI WAS SUPERIOR TO SONOGRAPHY FOR IDENTIFYING SCHIZENCEPHALY, LISSENCEPHALY, POLYMICROGYRIA, AND GRAY MATTER HETEROTOPIA
  • 53.
    • SUBEPENDYMAL HETEROTOPIAAPPEARS AS NODULES ALONG THE VENTRICULAR WALLS THAT ARE ISOINTENSE RELATIVE TO THE GERMINAL MATRIX . • THESE NODULES ARE RADIOLOGICALLY INDISTINGUISHABLE FROM THE SUBEPENDYMAL TUBERS OF TUBEROUS SCLEROSIS. OTHER MANIFESTATIONS OF TUBEROUS SCLEROSIS SUCH AS TRANSMANTLE DYSPLASIA, CORTICAL TUBERS, AND CARDIAC RHABDOMYOMA MAY HELP IN DIFFERENTIATION. • SCHIZENCEPHALY APPEARS AS A GRAY MATTER–LINED CLEFT BETWEEN THE VENTRICLE AND SUBARACHNOID SPACE . • SHALLOW SYLVIAN fiSSURES, ABSENCE OF NORMAL MULTILAYERED BRAIN PARENCHYMA, AND A REDUCTION IN GESTATIONALLY APPROPRIATE CORTICAL SULCATION ARE THE CHARACTERISTIC FEATURES OF CLASSICAL LISSENCEPHALY.
  • 55.
    MYELOMENINGOCELE AND OTHER SPINEANOMALIES • ABSENCE OF POSTERIOR ELEMENTS OF THE VERTEBRAL BODIES AT AFFECTED LEVELS AND EXTENSION OF THE SUBARACHNOID SPACE POSTERIORLY THROUGH THE BONY SPINA BIFIDA. • MYELOMENINGOCELES ARE ALMOST ALWAYS SEEN IN COMBINATION WITH A SMALL POSTERIOR FOSSA AND HERNIATION OF CEREBELLAR TISSUE INTO THE CERVICAL SUBARACHNOID SPACE; THIS HINDBRAIN MALFORMATION IS REFERRED TO AS THE CHIARI II MALFORMATION.
  • 56.
    • ASSOCIATED -CALLOSAL AGENESIS/ HYPOGENESIS, PERIVENTRICULAR NODULAR HETEROTOPIA, CEREBELLAR DYSPLASIA, SYRINGOHYDROMYELIA, AND DIASTEMATOMYELIA. • THE DEGREE OF HINDBRAIN HERNIATION AND HYDROCEPHALUS CAN ALSO BE EVALUATED WITH FETAL MR IMAGING . • FETAL MR IMAGING OF THE SPINE IS ALSO HELPFUL IN CASES IN WHICH A BONY SPINAL ABNORMALITY IS DETECTED ON PRENATAL SONOGRAPHY. • IN PARTICULAR, IT CAN BE USED TO DETECT UNDERLYING SPINAL CORD ANOMALIES, SUCH AS DIASTEMATOMYELIA AND SEGMENTAL SPINAL DYSGENESIS.
  • 57.
    Sonograms of afetus at 23 weeks 2 days with evidence of lumbar spine bony segmentation anomalies (arrows). C and D, Sagittal SSFSE T2- weighted fetal MR images obtained on the same day showing early termination of the spinal cord (C, arrow) with additional neural tissue in the sacral canal (D, arrow), consistent with segmental spinal dysgenesis
  • 58.
    Coronal SSFSE T2-weighted MRimage obtained on the same day showing splitting of the upper and mid thoracic cord (arrow), consistent with a diastematomyelia. E, Axial SSFSE T2-weighted image confirming the presence of 2 hemicords in the thoracic spine (arrow).
  • 59.
    CONCLUSION SUPERIOR SOFT TISSUECONTRAST, RELATIVE OPERATOR INDEPENDENCE, AND A LARGE FIELD OF VIEW ARE FACTORS THAT MAKE FETAL MRI A GREAT ADJUNCT IN OBSTETRIC IMAGING, AIDING IN THE DIAGNOSIS OF THE FETUS WITH CONGENITAL ABNORMALITIES AND IN ITS PRE- AND POSTNATAL MANAGEMENT. • BECAUSE FETAL MRI INVOLVES MANY DISCIPLINES, INCLUDING OBSTETRICS, PERINATOLOGY,GENETICS, PEDIATRIC SURGERY, AND PEDIATRIC NEUROLOGY, THE FUTURE PROMISE OF FETAL MRI WILL LIKELY BEST BE ACHIEVED THROUGH MULTIDISCIPLINARY COLLABORATIVE EFFORTS.
  • 60.
    • FETAL MRI:A DEVELOPING TECHNIQUE FOR THE DEVELOPING PATIENT AJR 05 • MAGNETIC RESONANCE IMAGING OF THE FETAL BRAIN AND SPINE: AN INCREASINGLY IMPORTANT TOOL IN PRENATAL DIAGNOSIS, PART 1 AND 2 • MRI OF FETAL GENITOURINARY ANOMALIES AJR 08 • PRENATAL MRI OF CONGENITAL ABDOMINAL AND CHEST WALL DEFECTS AJR 07 • SUPPLEMENTAL VALUE OF MRI IN FETAL ABDOMINAL DISEASE DETECTED ON PRENATAL SONOGRAPHY: PRELIMINARY EXPERIENCE AJR • EARLY FORMATIVE STAGE OF HUMAN FOCAL CORTICAL GYRATION ANOMALIES: FETAL MRI AJNR 2012 • FETAL MAGNETIC RESONANCE IMAGING IN THE EVALUATION OF FETUSES REFERRED FOR SONOGRAPHICALLY SUSPECTED THANK YOU