MRI in neck imaging
What is T1 ,T2,FAT SUPPRESSED SEQUENCE…?




                                T2                 FAT
   T1                                              SUPPRESSED
Dark CSF , bright fat        Bright CSF , bright    Bright CSF , dark fat
                             fat
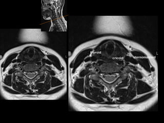
Why ideally at 1.5 T MRI..?




0.2 T MRI
                          1.5 T advanced MRI
supraglottis
glottis
Case 1
• Recurrent pain and
  swelling right
  submandibular
  region , ?
  Submandibular
  sialdenitis.
MR SIALOGRAM


                                    Longitudinal projection
Axial projection




                     Dilated right submandibular duct with calculi. Normal left
                     submandibular duct.
MR sialogram showing
submandibular and parotid
ducts.

                            • MR sialogram compares
                              favorably with digital
                              sialography in
                              visualization of ducts
                              and more easier to
                              perform.
Case 2
• Slow growing neck mass on left side.
T1 axial          T2 axial




                              A mass seen at left
                              carotid bifurcation.




Post contrast T1
axial
Angiogram showing Tumor at

carotid bifurcation displacing

internal and external carotid

arteries




           Salt and pepper sign
Diagnosis- carotid body tumor
• Characteristically is a hypervascular tumor
  located at carotid bifurcation.
• It is a paraganglioma or chemodectoma.
Case 3
• 31 year old male presenting with multiple
  cranial nerve palsies on right side.
Nasopharyngeal tumor extending to skull
base and to right cavernous sinus axial fat
suppressed STIR sequence
Post contrast T1 showing entire extent of tumor.
Diagnosis- nasopharyngeal carcinoma
• MRI is ideal to assess extent of tumor , in
  particular intracranial/ perineural extension.
Case 4
• Large swelling in left side of neck
Large left posterior triangle mass with
neuroforaminal extension.
Tumor extension seen within neural foramen   Normal angio
and inside spinal canal.
Diagnosis -Neurogenic tumor
• MRI is ideal in assessing intraspinal /
  neuroforaminal extension.
Case 5
• Left vocal cord palsy.
Thickening of aryepiglottic fold on left side.
Assymetric vocal cords
So , is there a mass in larynx..?

• Direct laryngoscopy – no mass.
• Remember that chages seen in MRI are
  secondary to recurrent laryngeal palsy.
• They do not represent tumor.
• Larynx imaging findings should always be
  correlated with laryngoscopy findings
CT versus MRI in neck masses
• Which modality is tough decision.
• In general pediatric patients , upper neck , skull base
  lesions are better assessed with MRI.
• Lower neck masses , suspicious of bone involvement
  are better assessed with CT.
• MRI can be done without contrast , CT will need
  contrast generally.
• In thyroid malignancy , preoperative contrast CT is
  contraindicated.

MRI in neck imaging

  • 1.
    MRI in neckimaging
  • 2.
    What is T1,T2,FAT SUPPRESSED SEQUENCE…? T2 FAT T1 SUPPRESSED Dark CSF , bright fat Bright CSF , bright Bright CSF , dark fat fat
  • 3.
    Why ideally at1.5 T MRI..? 0.2 T MRI 1.5 T advanced MRI
  • 6.
  • 7.
  • 9.
    Case 1 • Recurrentpain and swelling right submandibular region , ? Submandibular sialdenitis.
  • 10.
    MR SIALOGRAM Longitudinal projection Axial projection Dilated right submandibular duct with calculi. Normal left submandibular duct.
  • 11.
    MR sialogram showing submandibularand parotid ducts. • MR sialogram compares favorably with digital sialography in visualization of ducts and more easier to perform.
  • 12.
    Case 2 • Slowgrowing neck mass on left side.
  • 13.
    T1 axial T2 axial A mass seen at left carotid bifurcation. Post contrast T1 axial
  • 14.
    Angiogram showing Tumorat carotid bifurcation displacing internal and external carotid arteries Salt and pepper sign
  • 15.
    Diagnosis- carotid bodytumor • Characteristically is a hypervascular tumor located at carotid bifurcation. • It is a paraganglioma or chemodectoma.
  • 16.
    Case 3 • 31year old male presenting with multiple cranial nerve palsies on right side.
  • 18.
    Nasopharyngeal tumor extendingto skull base and to right cavernous sinus axial fat suppressed STIR sequence
  • 19.
    Post contrast T1showing entire extent of tumor.
  • 20.
    Diagnosis- nasopharyngeal carcinoma •MRI is ideal to assess extent of tumor , in particular intracranial/ perineural extension.
  • 21.
    Case 4 • Largeswelling in left side of neck
  • 22.
    Large left posteriortriangle mass with neuroforaminal extension.
  • 23.
    Tumor extension seenwithin neural foramen Normal angio and inside spinal canal.
  • 24.
    Diagnosis -Neurogenic tumor •MRI is ideal in assessing intraspinal / neuroforaminal extension.
  • 25.
    Case 5 • Leftvocal cord palsy.
  • 26.
    Thickening of aryepiglotticfold on left side.
  • 27.
  • 28.
    So , isthere a mass in larynx..? • Direct laryngoscopy – no mass. • Remember that chages seen in MRI are secondary to recurrent laryngeal palsy. • They do not represent tumor. • Larynx imaging findings should always be correlated with laryngoscopy findings
  • 29.
    CT versus MRIin neck masses • Which modality is tough decision. • In general pediatric patients , upper neck , skull base lesions are better assessed with MRI. • Lower neck masses , suspicious of bone involvement are better assessed with CT. • MRI can be done without contrast , CT will need contrast generally. • In thyroid malignancy , preoperative contrast CT is contraindicated.