 All mycobacterial species except those
that cause tuberculosis (TB)
 Mycobacterium tuberculosis complex
includes M. tuberculosis
 including M. tuberculosis subsp canetti
 M.bovis
 M. bovis BCG strain
 M. africanum
 M. caprae
 M. microti
 M. pinnipedii
 Leprosy (M. leprae).
 1954 Runyon first NTM classification
 >100 NTM species(150)
 Other names
 Mycobacteria other than tuberculosis (MOTT)
 Atypical
 Environmental
 Opportunistic
 Variable pathogenicity and geographic
regions
 40% cause diseases in human
 Immunosupp host; more virulent lesions
 Water(fresh/salt) soil, food and animals:
 NOT person to person
 cigarette; paper, tobacco, filter
 Does not spread from person to another
 Relatively resistant to chlorination and
ozonization
 Outbreak and Pseudo-outbreak in the hospita
 HIV and dialysis patients
 Improve laboratory methods  reporting
 MAC 40%,rapidly growing 10%,15%
unknown,25% M.gordonae,2.5%
M.kansasii(MW USA and UK) and 1% M.xenopi
(Ontario)
 Rapid Growers
 Days in broth
 < 1 week in solid
media
 M.abscessus
 M.chelonae
 M.fortutum
 M smegmatis
 Slow Growers
 1-2 weeks in broth
2-4 weeks in solid
media
 M.avium
 M.kansasii
 M.scrofulaceum
 M.ulcerans
 M.xenopi
 M.gordonae
 M.leprae cannot be cultured
 M.marinum lower temperature required
 M.haemophilum lower temperature & Fe
 M.ulcerans lower temperature required
 M.genavense very slow growth in broth
 DNA probes for MAC, M. kansasii and M.
gordonae available
 Identification and sensitivity needed
 Highly Virulent Low virulence
 Person-person Environment
contact
PPD + PPD-
S to ATT not typical ATT
 Risk factors
 Immunosuppression ( HIV, Medications )
 Aging esp western population esp MAC
 BCG vaccination rates
 Cystic fibrosis
 Fibronodular bronchiectasis
 Decrease incidence of TB in North America:
relative more incidence of NTM
 Common clinical syndromes:
1. Lymphadenopathy
2. Chronic pulmonary disease
3. Skin and soft tissue infections (often
associated with trauma or a foreign body)
sometimes with extension to bone and joint
4. Disseminated disease.
 Pulmonary disease: 70-75% isolates of
NTM
 Definition
 Usually adults
 Symptoms of cough, sputum production,
weight loss
 Two or more sputum isolates or one isolate
from, BAL, Bx, sterile site
 Distribution of isolates varies regionally
 MAC, rapid growers, M kansassi & M xenopi
 Pulmonary disease
 Common etiological agents
 M. avium complex(MAC)
 M. kansasii: one + sample diagnostic
 M. abscessus
 M. xenopi
 Elderly men with COPD
 Middle aged to elderly Non- smoking women
 CF patients
 Hypersensitivity pneumonitis
 M.Kansasii
 Similar to TB
 US midwest and
south
 AFB positive
 Probe positive
 HIV CD4 <200
pulmonary and
disseminated
 M..xenopi
 UK, Northern
Europe and
Canada, less
common in US
 Rural /farm area
 Very good outcome
 Pulmonary disease
 Treatment
 Treatment with combined antimicrobials
 Resection if localized
 Lymph node disease
 Definition
 Usually <5 years age; well; no h/o contact
 Unilateral submandibular site commonest
 Sub-mental, preauricular
 Onset of symptoms subacute
 Skin induration inflamation,suppuration &
sinus tract formation
 R/O TB
 MAC (80%) is the most common followed
by M. scrofulaceum
 Dx Fine needle or excisional Bx
 Lymph node
disease
 Common
etiological agents
 MAC
 M. kansasii
 M. malmoense
 M. haemophilum
 Uncommon
etiological agents
 M. scrofulaceum
 M.fortuitum/
peregrinum
 M.abscessus/
chelonae
 Lymph node disease
 Treatment
 Surgical resection is usually curative
 Skin/soft tissue/bone/joint and tendons
 Definition
 History of trauma: injection, pedicure,
aucupuncture, surgery, cosmetic surgery
involving implants
 or superficial laceration
 Presence of a foreign body
 May grow in ‘sterilized water’, presence of
chlorine, glutaraldehyde, formaldehyde.
Cause post op infection
 Skin/soft
tissue/bone/joint
and tendons
 Common etiological
agents
 M. marinum
 M.
fortuitum/peregrinu
m
 M.
abscessus/chelonae
 M. ulcerans
 Uncommon
etiological agents
 MAC
 M. kansasii
 M. terrae
 M. haemophilum
 Water ,fish
 Lake, bay,ocean,pool,aquarium
 1-2 month IP  granulomatous nodular –
ulcerative lesions (hands)
 Bx for diagnosis
Fish tank granuloma/ M.marinum
Buruli ulcer /M.ulcerans
 Chronic cutanous
ulcer
 Africa mostly
 Debridment
 Skin/soft tissue/bone/joint and tendons
 Treatment
 Debridement plus combined drug therapy
 C/E Blood ; TLC, DLC
 AB: anti-neutrophil cytoplasmic/ perinuclear
anti neutrophil cytoplasmic AB
 ESR
 Angiotensin converting enzyme
 X-RAY: chest, CAT thorax
 Culture: sputum, BAL
 PPD
 Pulmonary function tests
 Lung biopsy
 Disseminated
 Definition
 HIV or other immunosuppressive disease
 Symptoms: fever, weight loss, diarrhea
 Any site possible
 No trauma necessary
 Disseminated
 Prevention & treatment
 Prevention of MAC in HIV by prophylaxis
 Treat positive blood culture aggressively
 Disseminated
 Common etiological agents
 MAC
 M. genavense
 M. abscessus/chelonae
 M. haemophilum
 Any mycobacterium may cause disease in
association with significant
immunosuppression HIV CD4 < 50), and
any localized lesion may disseminate.
 M.fortutum
 M.abscessus
 M.chelonae
 Skin and soft tissue infection after trauma ,
post-op, cardiac, mammoplasty and cosmetic
 Pulmonary M.abscessus > M.fortutum
 Indolent, progressive
 Cavitary uncommon
 Mild systemic symptoms
 Worldwide –esp in tropical countries
 Transmission rout unknown
 Can not be cultured
 Syndromes
 Lepromatous
 Tuberculoid
 Mixed
 Treatment 6-months to 2 years
 Dapsone + Rif +/- clofazimine
 Principles of Treatment of NTM Disease
 1. Patients evaluated to determine the
significance of an NTM isolate.
 Presence in sterile site
 repeatedly from airway secretions in
association with a compatible clinical and
radiologic picture confirms the diagnosis.
 2. Treatment of rapidly growing
mycobacteria should be guided by in vitro
susceptibilities.
 Other drug susceptibility testing is not
standardized.
 3. Treatment should usually combine at least
two drugs of proven efficacy.
 4. Contact follow-up is not necessary since
NTM are not transmitted from person to
person.
 5. Duration of therapy has not been
determined; in general, 6-12 months is
required following negative cultures.
 6. In soft tissue infections:
 rapidly growing mycobacteria, a
combination of debridement and treatment
with antimicrobials is recommended.
 For selection of antimicrobial agents,
consultation with the laboratory should be
undertaken regarding the reliability of in
vitro testing.
 MAC Clarithromycin or azithromycin +
ethambutol+Rifampin (CARE)
 M. xenopi Rifampin+Ethambiotol +INH
 M. kansasii Rifampin + Ethambutol
 M. malmoense Rifampin or Ethambutol
 M. marinum Rifampin or Clari +
Ethambutol 2-3 months
 Rapid growers doxycycline, amikacin,
imipenem, quinolones, sulfonamides,
cefoxitin, clarithromycin
 M. haemophilum Clarithromycin,
Rifampin Cipro or Amikacin
 M. genavense Clarithromycin,
Rifabutin or AmikacinEthambutol
 M. ulcerans Clarithromycin,
Rifampin, Ethambutol or PAS (
Paraaminosalicylic acid)
 MAC prophylaxis Azithromycin ,
Clarithromycin or Rifabutin 300 if CD4
<50x 106/L

[Micro] atypical mycobacterium

  • 4.
     All mycobacterialspecies except those that cause tuberculosis (TB)  Mycobacterium tuberculosis complex includes M. tuberculosis  including M. tuberculosis subsp canetti  M.bovis  M. bovis BCG strain  M. africanum  M. caprae  M. microti  M. pinnipedii  Leprosy (M. leprae).
  • 7.
     1954 Runyonfirst NTM classification  >100 NTM species(150)  Other names  Mycobacteria other than tuberculosis (MOTT)  Atypical  Environmental  Opportunistic  Variable pathogenicity and geographic regions  40% cause diseases in human  Immunosupp host; more virulent lesions
  • 8.
     Water(fresh/salt) soil,food and animals:  NOT person to person  cigarette; paper, tobacco, filter  Does not spread from person to another  Relatively resistant to chlorination and ozonization  Outbreak and Pseudo-outbreak in the hospita  HIV and dialysis patients  Improve laboratory methods  reporting  MAC 40%,rapidly growing 10%,15% unknown,25% M.gordonae,2.5% M.kansasii(MW USA and UK) and 1% M.xenopi (Ontario)
  • 9.
     Rapid Growers Days in broth  < 1 week in solid media  M.abscessus  M.chelonae  M.fortutum  M smegmatis  Slow Growers  1-2 weeks in broth 2-4 weeks in solid media  M.avium  M.kansasii  M.scrofulaceum  M.ulcerans  M.xenopi  M.gordonae
  • 10.
     M.leprae cannotbe cultured  M.marinum lower temperature required  M.haemophilum lower temperature & Fe  M.ulcerans lower temperature required  M.genavense very slow growth in broth  DNA probes for MAC, M. kansasii and M. gordonae available  Identification and sensitivity needed
  • 11.
     Highly VirulentLow virulence  Person-person Environment contact PPD + PPD- S to ATT not typical ATT
  • 12.
     Risk factors Immunosuppression ( HIV, Medications )  Aging esp western population esp MAC  BCG vaccination rates  Cystic fibrosis  Fibronodular bronchiectasis  Decrease incidence of TB in North America: relative more incidence of NTM
  • 13.
     Common clinicalsyndromes: 1. Lymphadenopathy 2. Chronic pulmonary disease 3. Skin and soft tissue infections (often associated with trauma or a foreign body) sometimes with extension to bone and joint 4. Disseminated disease.
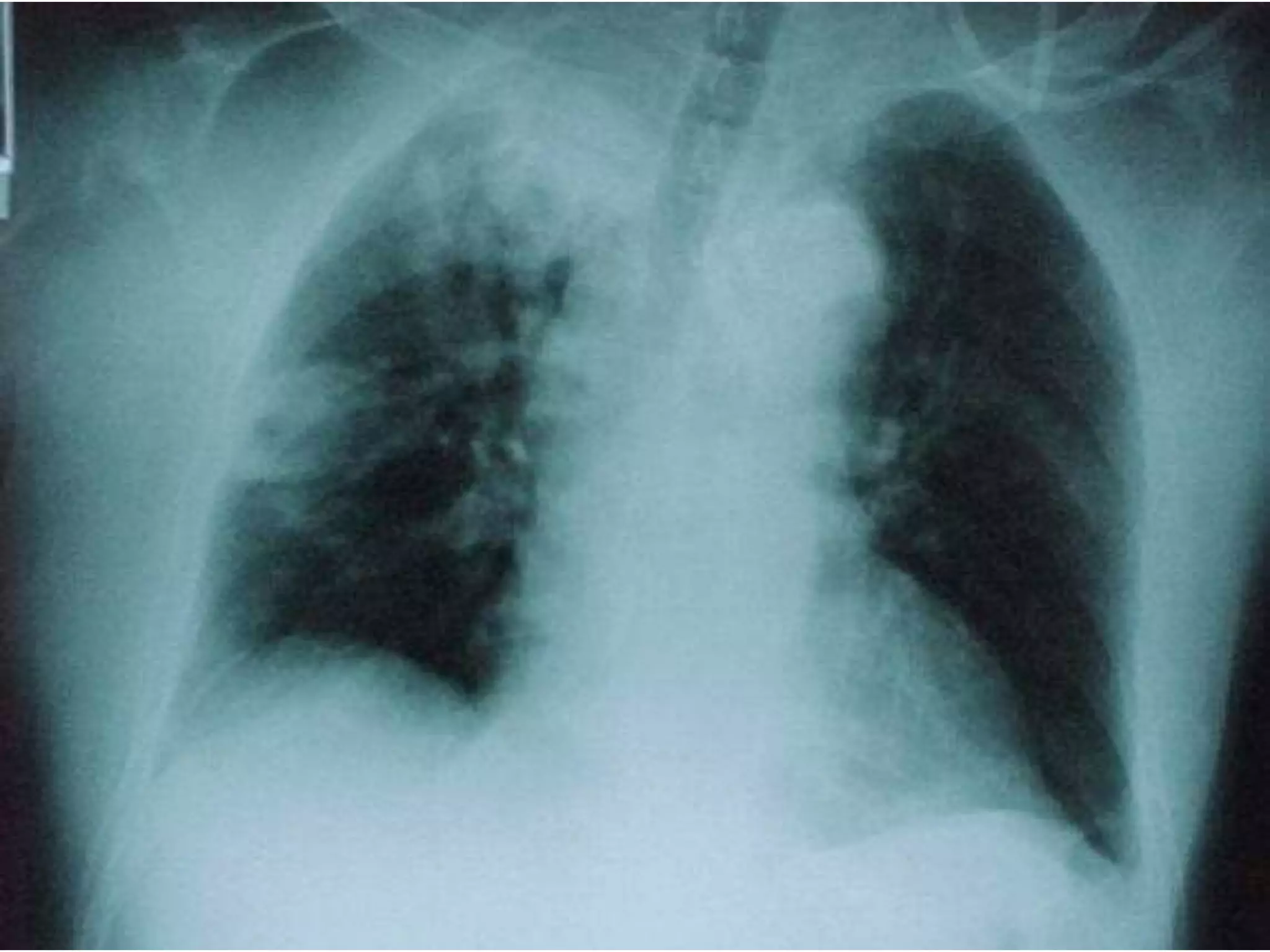
  • 15.
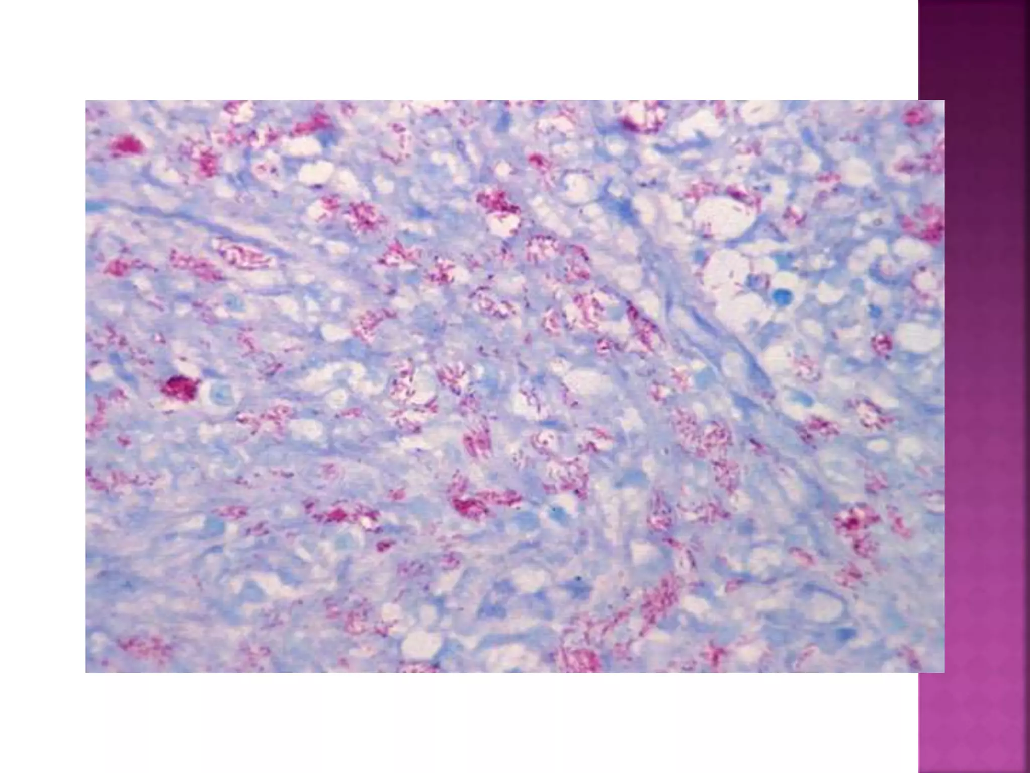
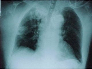
     Pulmonary disease:70-75% isolates of NTM  Definition  Usually adults  Symptoms of cough, sputum production, weight loss  Two or more sputum isolates or one isolate from, BAL, Bx, sterile site  Distribution of isolates varies regionally  MAC, rapid growers, M kansassi & M xenopi
  • 16.
     Pulmonary disease Common etiological agents  M. avium complex(MAC)  M. kansasii: one + sample diagnostic  M. abscessus  M. xenopi
  • 20.
     Elderly menwith COPD  Middle aged to elderly Non- smoking women  CF patients  Hypersensitivity pneumonitis
  • 21.
     M.Kansasii  Similarto TB  US midwest and south  AFB positive  Probe positive  HIV CD4 <200 pulmonary and disseminated  M..xenopi  UK, Northern Europe and Canada, less common in US  Rural /farm area  Very good outcome
  • 22.
     Pulmonary disease Treatment  Treatment with combined antimicrobials  Resection if localized
  • 23.
     Lymph nodedisease  Definition  Usually <5 years age; well; no h/o contact  Unilateral submandibular site commonest  Sub-mental, preauricular  Onset of symptoms subacute  Skin induration inflamation,suppuration & sinus tract formation  R/O TB  MAC (80%) is the most common followed by M. scrofulaceum  Dx Fine needle or excisional Bx
  • 24.
     Lymph node disease Common etiological agents  MAC  M. kansasii  M. malmoense  M. haemophilum  Uncommon etiological agents  M. scrofulaceum  M.fortuitum/ peregrinum  M.abscessus/ chelonae
  • 26.
     Lymph nodedisease  Treatment  Surgical resection is usually curative
  • 27.
     Skin/soft tissue/bone/jointand tendons  Definition  History of trauma: injection, pedicure, aucupuncture, surgery, cosmetic surgery involving implants  or superficial laceration  Presence of a foreign body  May grow in ‘sterilized water’, presence of chlorine, glutaraldehyde, formaldehyde. Cause post op infection
  • 28.
     Skin/soft tissue/bone/joint and tendons Common etiological agents  M. marinum  M. fortuitum/peregrinu m  M. abscessus/chelonae  M. ulcerans  Uncommon etiological agents  MAC  M. kansasii  M. terrae  M. haemophilum
  • 29.
     Water ,fish Lake, bay,ocean,pool,aquarium  1-2 month IP  granulomatous nodular – ulcerative lesions (hands)  Bx for diagnosis
  • 30.
  • 31.
    Buruli ulcer /M.ulcerans Chronic cutanous ulcer  Africa mostly  Debridment
  • 32.
     Skin/soft tissue/bone/jointand tendons  Treatment  Debridement plus combined drug therapy
  • 34.
     C/E Blood; TLC, DLC  AB: anti-neutrophil cytoplasmic/ perinuclear anti neutrophil cytoplasmic AB  ESR  Angiotensin converting enzyme  X-RAY: chest, CAT thorax  Culture: sputum, BAL  PPD  Pulmonary function tests  Lung biopsy
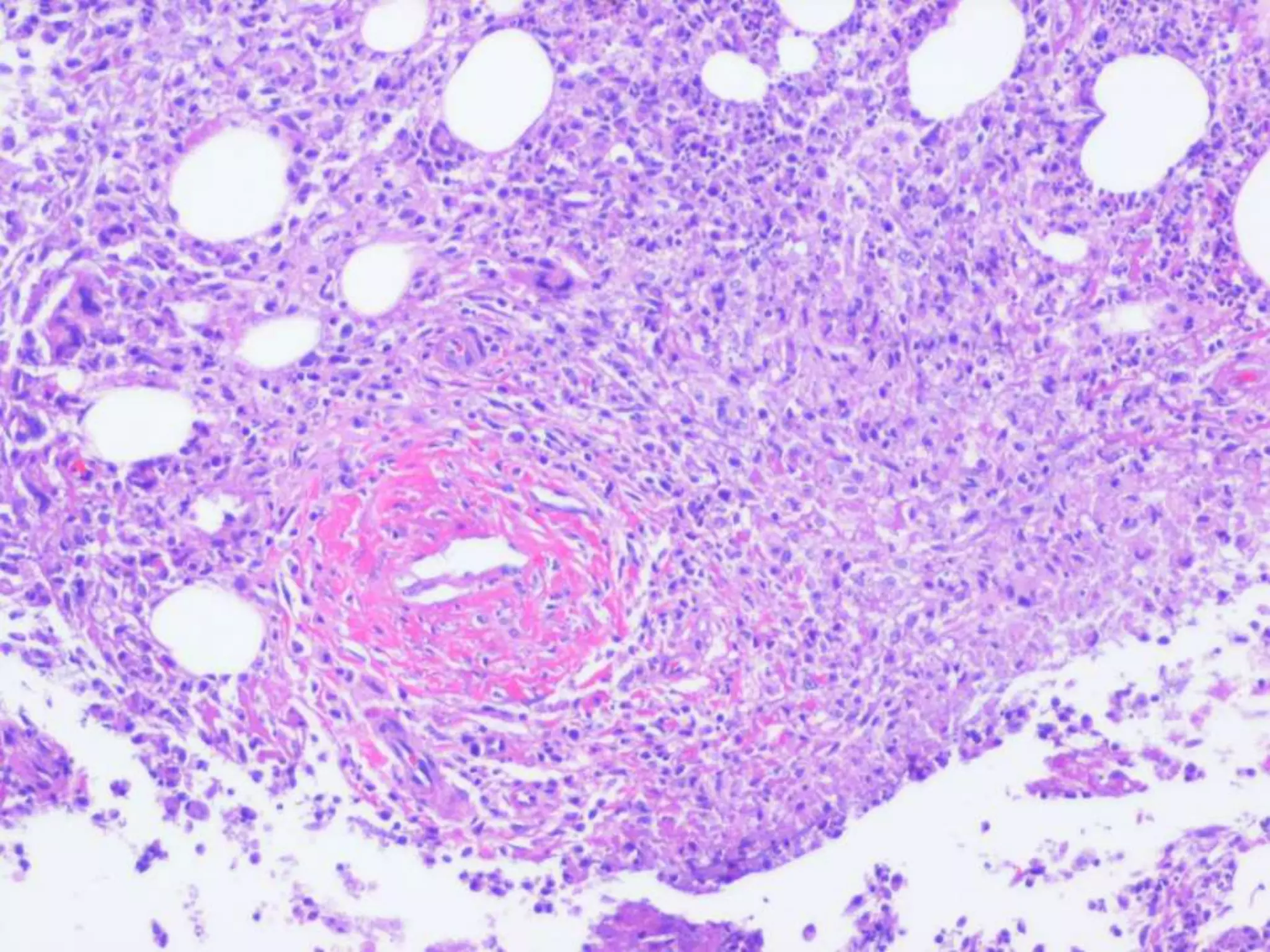
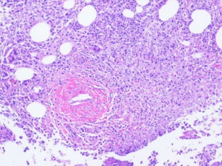
  • 41.
     Disseminated  Definition HIV or other immunosuppressive disease  Symptoms: fever, weight loss, diarrhea  Any site possible  No trauma necessary
  • 42.
     Disseminated  Prevention& treatment  Prevention of MAC in HIV by prophylaxis  Treat positive blood culture aggressively
  • 43.
     Disseminated  Commonetiological agents  MAC  M. genavense  M. abscessus/chelonae  M. haemophilum  Any mycobacterium may cause disease in association with significant immunosuppression HIV CD4 < 50), and any localized lesion may disseminate.
  • 44.
     M.fortutum  M.abscessus M.chelonae  Skin and soft tissue infection after trauma , post-op, cardiac, mammoplasty and cosmetic  Pulmonary M.abscessus > M.fortutum  Indolent, progressive  Cavitary uncommon  Mild systemic symptoms
  • 45.
     Worldwide –espin tropical countries  Transmission rout unknown  Can not be cultured  Syndromes  Lepromatous  Tuberculoid  Mixed  Treatment 6-months to 2 years  Dapsone + Rif +/- clofazimine
  • 49.
     Principles ofTreatment of NTM Disease  1. Patients evaluated to determine the significance of an NTM isolate.  Presence in sterile site  repeatedly from airway secretions in association with a compatible clinical and radiologic picture confirms the diagnosis.  2. Treatment of rapidly growing mycobacteria should be guided by in vitro susceptibilities.  Other drug susceptibility testing is not standardized.
  • 50.
     3. Treatmentshould usually combine at least two drugs of proven efficacy.  4. Contact follow-up is not necessary since NTM are not transmitted from person to person.  5. Duration of therapy has not been determined; in general, 6-12 months is required following negative cultures.
  • 51.
     6. Insoft tissue infections:  rapidly growing mycobacteria, a combination of debridement and treatment with antimicrobials is recommended.  For selection of antimicrobial agents, consultation with the laboratory should be undertaken regarding the reliability of in vitro testing.
  • 52.
     MAC Clarithromycinor azithromycin + ethambutol+Rifampin (CARE)  M. xenopi Rifampin+Ethambiotol +INH  M. kansasii Rifampin + Ethambutol  M. malmoense Rifampin or Ethambutol  M. marinum Rifampin or Clari + Ethambutol 2-3 months  Rapid growers doxycycline, amikacin, imipenem, quinolones, sulfonamides, cefoxitin, clarithromycin
  • 53.
     M. haemophilumClarithromycin, Rifampin Cipro or Amikacin  M. genavense Clarithromycin, Rifabutin or AmikacinEthambutol  M. ulcerans Clarithromycin, Rifampin, Ethambutol or PAS ( Paraaminosalicylic acid)  MAC prophylaxis Azithromycin , Clarithromycin or Rifabutin 300 if CD4 <50x 106/L