ATINOMYCETES
PHYLUM: Actinobacteria
Sub class: Actinobacteridae
Order: Actinomycetales
ACTINOMYCETES
• Large, wide, diverse group of Gram positive bacilli
• Form chains or filaments
• World-wide distribution
• in soil esp. Streptomyces & aquatic environment
• Decompose organic matter aerobically;
mineralize it; Bio-degradation & Role in carbon
• Industrial Producers of anti-biotics eg
tetracyclines, macrolides, aminoglycosides
• Role as Pathogens
CHARACTERISTICS
• Most aerobes, few AnO2
• Gram positive
• High G & C content
• Grow on and below agar
• Cells remain together after division to form
elongated chains 1 um in width; may branch
• Extent varies: short chains. Filaments,coccobacil
• Form mycelia & asexual conidia
• Thin walled, asexual structures
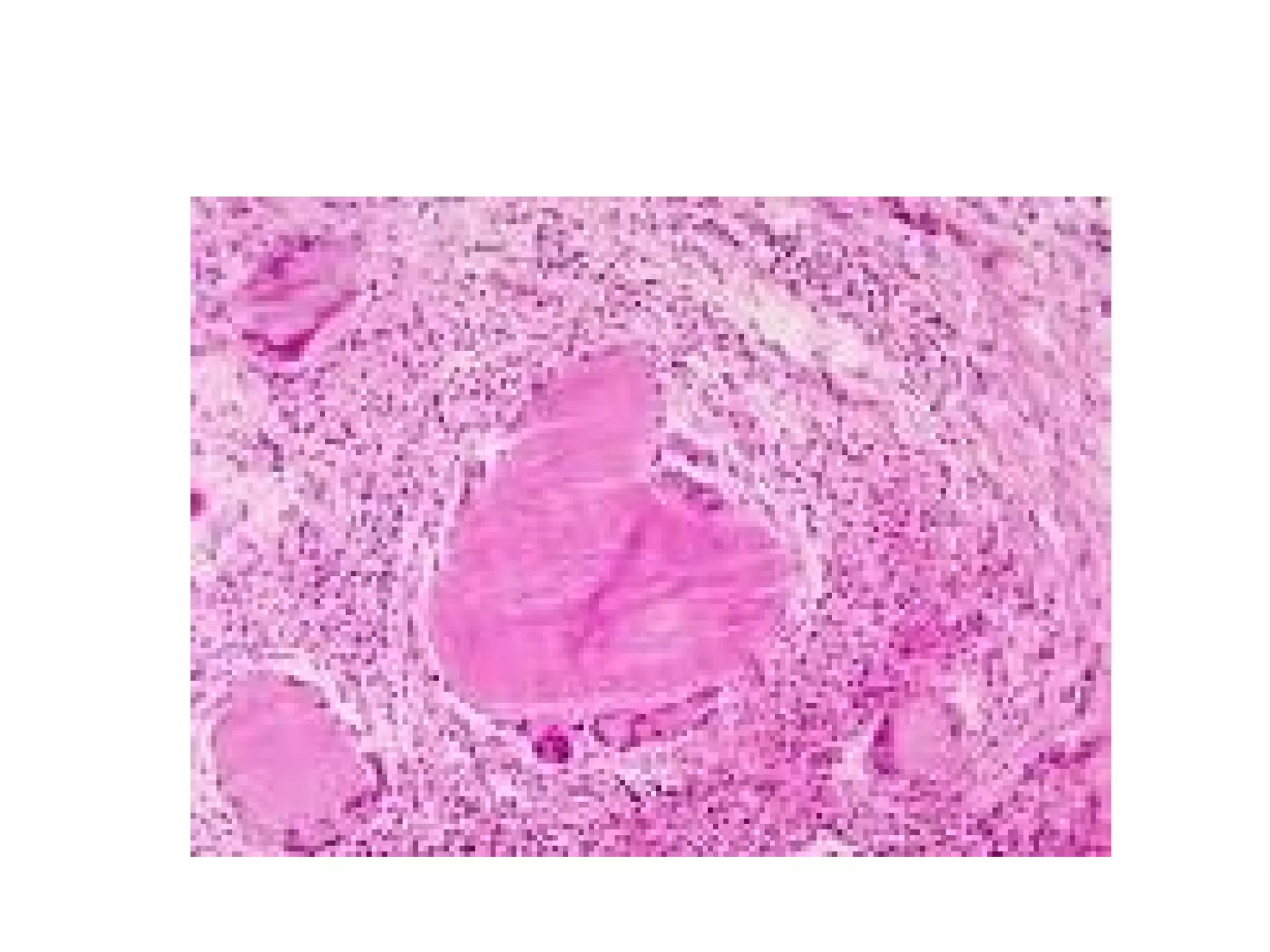
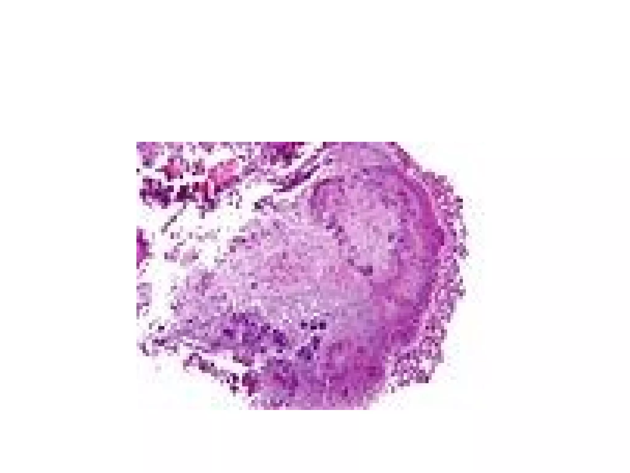
GRAM SMEAR
SUB –ORDER
ACTINOMYCINEAE
• Straight or slightly curved rods
• AnO2 or Facultative An02
• Exist in oral/ nasal mucosa
• A israelli
• A bovis
• Cause infection, trauma, surgery of:
face, oral cavity, teeth, neck, thorax, abdomen
SUB 0RDER
CORYNEBACTERINEAE
• Corynebacterium
• Mycobacterium
• Nocardia/ Rhodococcus
SUB-ORDER
3 Genera
• STREPTPMYCINIAE
• Aerial hyphae; form spores
ACID-FAST CLASSIFICATION
1. TRUE ACID FAST:
Mycobacteria
2. WEAK ACID-FAST:
Nocardia
Rhodococcus
3. ACID-FAST NEGATIVE
Streptomyces
Actiomadura
MORPHOLOGY
• Aerobic
• Cell wall: shorter chained mycolic acids
• Growth Media: many ; Several days—weeks
• Colonies: Heaped, irregular, waxy
• Colour: white—orange---red
• Gram : positive
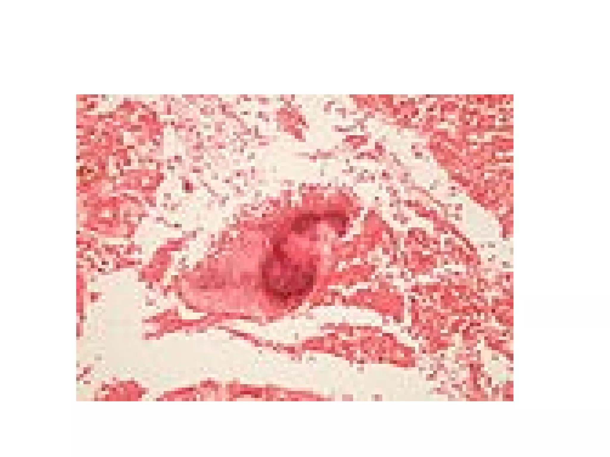
• Acid-fast: weak; more with 1-4% H2SO4
• Enzymes: catalase positive, urease positive
• Praffin: digested
Genus: NOCARDIA
• N nova
• N farcinica
• N asteroides
• N brasiliensis
• Form filaments; aerial hyphae, fragment to coccobacilli
• Cause different diseases
• Unique drug susceptibility: R to Ciprofloxacin
• Pathogens; non pathogenic
• World-wide in soil and water
PATHOLOGY
• Inhalation
• Pulmonary infection:
• Acute
• Chronic
• Dissemination: brain, skin
• Not transmitted between person to person
d/d: Streptomyces; they are non-pathogenic
• Rapid-growing Mycobacteria; mcroscop/macro
PATHOGENESIS
OPPORTUNISTIC INFECTION
Impaired cell –mediated immunity
• 1. corticosteroids
• 2. Organ transplant
• 3. AIDS
• 4. TB
• 5. ALCOHOLISM
CLINICAL FEATURES
• CHRONIC LOBAR PNEUMONIA
• Fever
• Weight loss
• Chest pain
• D/D: TB, other infections
• Pulmonary consolidation, abscess formation
• NO granuloma, caeseation,
• Spread: BRAIN, skin, kidney, eye
LAB DIAGNOSIS
• Sputum
• Pus
• CSF
• Biopsy
• Gram stain: positive bacilli, coccobacilli,
branching filaments
• AFB: modified stain
• Growth: most media
• Serology: not useful
Microscopy from culture
Streptomyces:CAESIN HYDROLYSIS
Caesin hydrolysis ; Nocardia negative
12 Strepto; 3 N brasiliensis; 9 N
asteroides
PYRUVATE AGAR: white colonies
Sabourad’s agar
TREATMENT
• Trimethoprim-sulfamethoxsazole
• If no response
• Amikin
• Imepenem
• Minocycline
• Linezolid
• Cefotaxime
• Surgical drainage; resection
• Nocardia NOT inhibited by Ciprofloxacin
EMERGING ACTINOMYECETES
• OPPORTUNISTIC: IMMUNO-COMPROMISED
• GORDONIA
• Tsukamurella
• Stain: Modified acid-fast stain positive
• Gram: coryne-form; no branch
• Colonies: orange, wrinkled
• Non-sterile sources as sputa: disregard as
flora/contaminants
Tsuka-murella
• White- orange colonies
• Stain: long, straight or curved rods
IDENTIFICATION:
• Genera: cell wall fatty-acid analysis
• Gene sequencing: 16SrRNA
Infections:
• Post-op wound
• Blood-stream through catheter
• Ear
• Pulmonary
T/M:
• Gordonia: Vanco, carbepenems, linezolid
Aminoglycosides, fluoroquinolones
• Tsuka murella: SXT, fluoroquinolones,
clarithromycin, carbepenems
Madura medurae
• Morphology:
• Pale orange, pink or red, waxy, heaped and
folded. Dry, irregular and tough.
• Grows very slowly (may take more than 4
weeks to grow). Adhere to agar.
• First found in Madura, India. Produces
branching bacilli, non-acid-fast.
Madura medurae
d/d
ACTINOMYCOSIS
• Due to AnO2
• Gram positive
Causative bacteria
• N asteroids
• N brasiliensis: AFB
• Streptomysessomaliensis
• Actinomadura madurae
• IDENTIFY: biochemically
• chromatographically
Early T/m: various combinations
• Streptomycin, SXT, dapsone
STREPTOMYCES
• Sabourad’s
• White, chalky, dry,hard
• Adhere to medium; do not get off
• Sometime brittle, break easily
• Earthy smell
STREPTOMYCES

[Micro] actinomyces

  • 1.
    ATINOMYCETES PHYLUM: Actinobacteria Sub class:Actinobacteridae Order: Actinomycetales
  • 2.
    ACTINOMYCETES • Large, wide,diverse group of Gram positive bacilli • Form chains or filaments • World-wide distribution • in soil esp. Streptomyces & aquatic environment • Decompose organic matter aerobically; mineralize it; Bio-degradation & Role in carbon • Industrial Producers of anti-biotics eg tetracyclines, macrolides, aminoglycosides • Role as Pathogens
  • 3.
    CHARACTERISTICS • Most aerobes,few AnO2 • Gram positive • High G & C content • Grow on and below agar • Cells remain together after division to form elongated chains 1 um in width; may branch • Extent varies: short chains. Filaments,coccobacil • Form mycelia & asexual conidia • Thin walled, asexual structures
  • 4.
  • 5.
    SUB –ORDER ACTINOMYCINEAE • Straightor slightly curved rods • AnO2 or Facultative An02 • Exist in oral/ nasal mucosa • A israelli • A bovis • Cause infection, trauma, surgery of: face, oral cavity, teeth, neck, thorax, abdomen
  • 6.
    SUB 0RDER CORYNEBACTERINEAE • Corynebacterium •Mycobacterium • Nocardia/ Rhodococcus SUB-ORDER 3 Genera • STREPTPMYCINIAE • Aerial hyphae; form spores
  • 7.
    ACID-FAST CLASSIFICATION 1. TRUEACID FAST: Mycobacteria 2. WEAK ACID-FAST: Nocardia Rhodococcus 3. ACID-FAST NEGATIVE Streptomyces Actiomadura
  • 11.
    MORPHOLOGY • Aerobic • Cellwall: shorter chained mycolic acids • Growth Media: many ; Several days—weeks • Colonies: Heaped, irregular, waxy • Colour: white—orange---red • Gram : positive • Acid-fast: weak; more with 1-4% H2SO4 • Enzymes: catalase positive, urease positive • Praffin: digested
  • 16.
    Genus: NOCARDIA • Nnova • N farcinica • N asteroides • N brasiliensis • Form filaments; aerial hyphae, fragment to coccobacilli • Cause different diseases • Unique drug susceptibility: R to Ciprofloxacin • Pathogens; non pathogenic • World-wide in soil and water
  • 17.
    PATHOLOGY • Inhalation • Pulmonaryinfection: • Acute • Chronic • Dissemination: brain, skin • Not transmitted between person to person d/d: Streptomyces; they are non-pathogenic • Rapid-growing Mycobacteria; mcroscop/macro
  • 18.
    PATHOGENESIS OPPORTUNISTIC INFECTION Impaired cell–mediated immunity • 1. corticosteroids • 2. Organ transplant • 3. AIDS • 4. TB • 5. ALCOHOLISM
  • 19.
    CLINICAL FEATURES • CHRONICLOBAR PNEUMONIA • Fever • Weight loss • Chest pain • D/D: TB, other infections • Pulmonary consolidation, abscess formation • NO granuloma, caeseation, • Spread: BRAIN, skin, kidney, eye
  • 20.
    LAB DIAGNOSIS • Sputum •Pus • CSF • Biopsy • Gram stain: positive bacilli, coccobacilli, branching filaments • AFB: modified stain • Growth: most media • Serology: not useful
  • 22.
  • 23.
  • 24.
    Caesin hydrolysis ;Nocardia negative
  • 25.
    12 Strepto; 3N brasiliensis; 9 N asteroides
  • 26.
  • 27.
  • 28.
    TREATMENT • Trimethoprim-sulfamethoxsazole • Ifno response • Amikin • Imepenem • Minocycline • Linezolid • Cefotaxime • Surgical drainage; resection • Nocardia NOT inhibited by Ciprofloxacin
  • 29.
    EMERGING ACTINOMYECETES • OPPORTUNISTIC:IMMUNO-COMPROMISED • GORDONIA • Tsukamurella • Stain: Modified acid-fast stain positive • Gram: coryne-form; no branch • Colonies: orange, wrinkled • Non-sterile sources as sputa: disregard as flora/contaminants
  • 30.
    Tsuka-murella • White- orangecolonies • Stain: long, straight or curved rods IDENTIFICATION: • Genera: cell wall fatty-acid analysis • Gene sequencing: 16SrRNA
  • 31.
    Infections: • Post-op wound •Blood-stream through catheter • Ear • Pulmonary T/M: • Gordonia: Vanco, carbepenems, linezolid Aminoglycosides, fluoroquinolones • Tsuka murella: SXT, fluoroquinolones, clarithromycin, carbepenems
  • 32.
    Madura medurae • Morphology: •Pale orange, pink or red, waxy, heaped and folded. Dry, irregular and tough. • Grows very slowly (may take more than 4 weeks to grow). Adhere to agar. • First found in Madura, India. Produces branching bacilli, non-acid-fast.
  • 33.
  • 34.
    d/d ACTINOMYCOSIS • Due toAnO2 • Gram positive
  • 35.
    Causative bacteria • Nasteroids • N brasiliensis: AFB • Streptomysessomaliensis • Actinomadura madurae • IDENTIFY: biochemically • chromatographically Early T/m: various combinations • Streptomycin, SXT, dapsone
  • 36.
    STREPTOMYCES • Sabourad’s • White,chalky, dry,hard • Adhere to medium; do not get off • Sometime brittle, break easily • Earthy smell
  • 37.

Editor's Notes

  • #23 fragmentation
  • #28 SMALL,ROUND, WHITE TO ORANGE, GRITTY , ADHERE TO MEDIUM; GET OFF WITH DIFFICULTY
  • #38 WHITE CHALKY