Lung Ultrasound
James Rippey
The Key Message
Think & Understand
Anatomy & Physiology
Pathology
Clinical suspicion
Ultrasound
Understanding Air Ultrasound
Air reflects all ultrasound – mirror like
The appearance depends on the interface
Surfaces
Angles
Size
Movement
Lung Ultrasound is about Artefacts
• Artefacts at the pleural surface
• Focus on pleural surface
• Turn smoothing algorithms off
–Compound imaging
–Tissue Harmonics
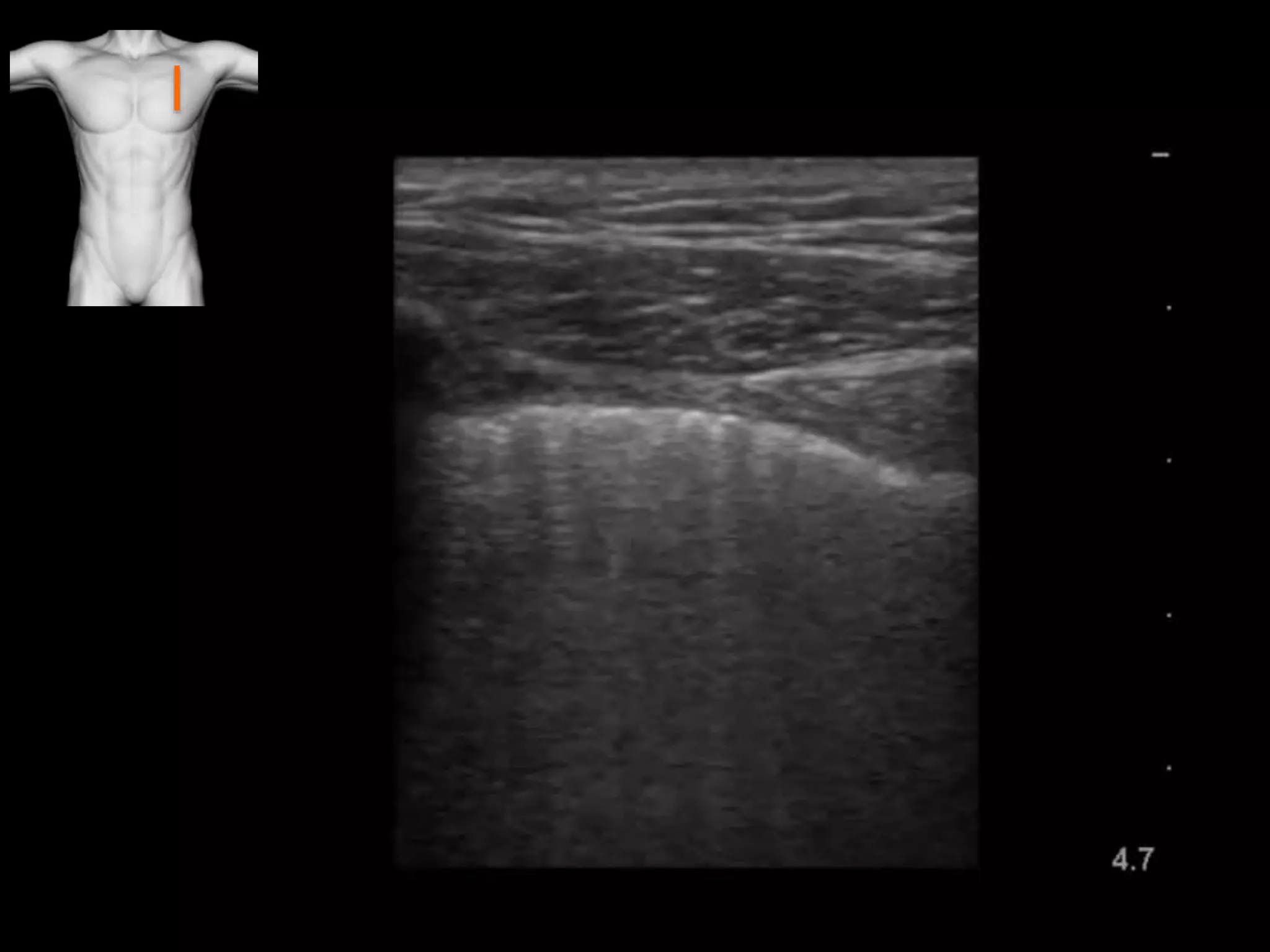
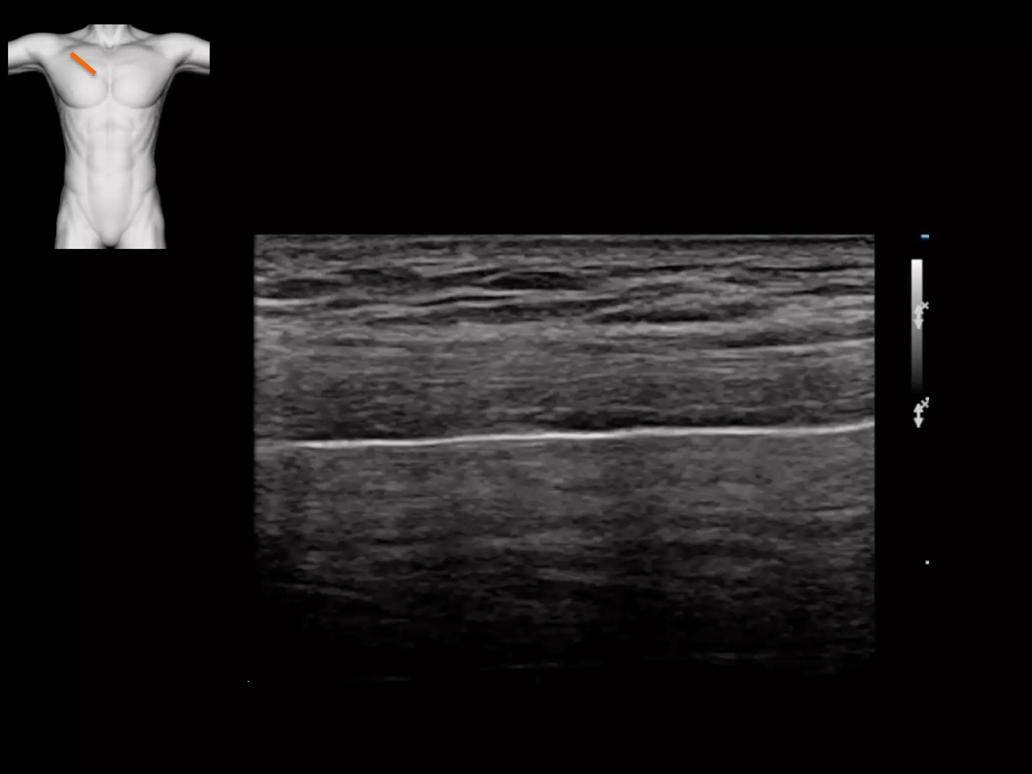
Normal lung and pleura
Pneumothorax
Pneumothorax
Science Experiment 1
• Make a model of:
–Pneumothorax
–Normal lung
–Lung point
Normal lung and pleura
Factors changing the pleural surface or lung sliding.
Asthma, COPD, non-ventilation, sticky lung, pleurodesis
Emphysema
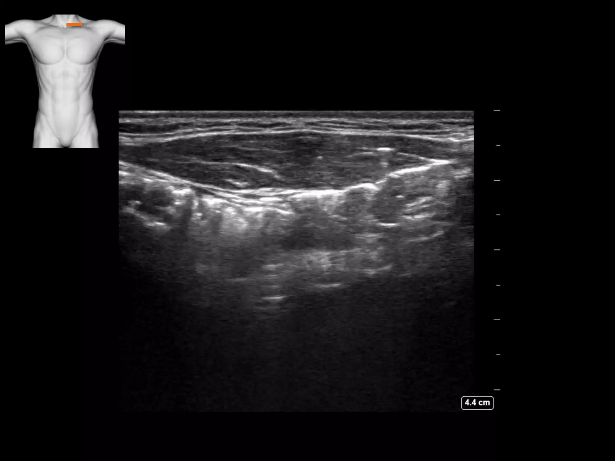
Subcutaneous emphysema
CT COPD with Bullae
Normal lung and pleura
Pulmonary oedema
Pulmonary oedema
The B-Line
Pulmonary oedema
B-lines – pulmonary oedema, pneumonitis, contusion,
early pneumonia, fibrosis, deep to other pathology
Fibrosis
Science Experiment 1
• Make a model of:
–B-lines
Normal lung
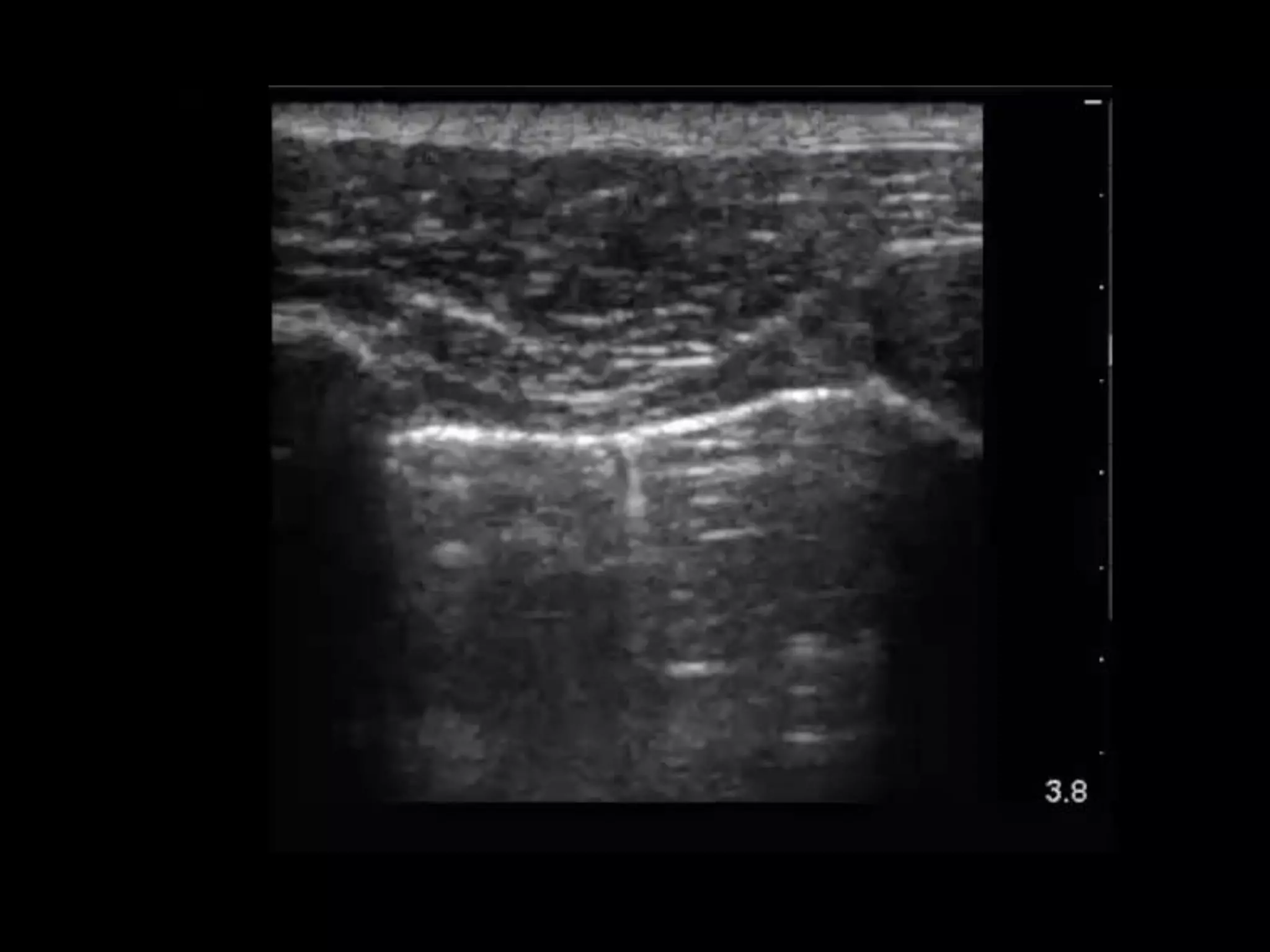
Consolidation
Solid lungs: Hepatisation, air bronchograms,
Atelectasis (compression / resorption), haemorrhage, tumour, infarction
Consolidation
Science Experiment 1
• Make a model of:
–Consolidation
–?Air bronchogram
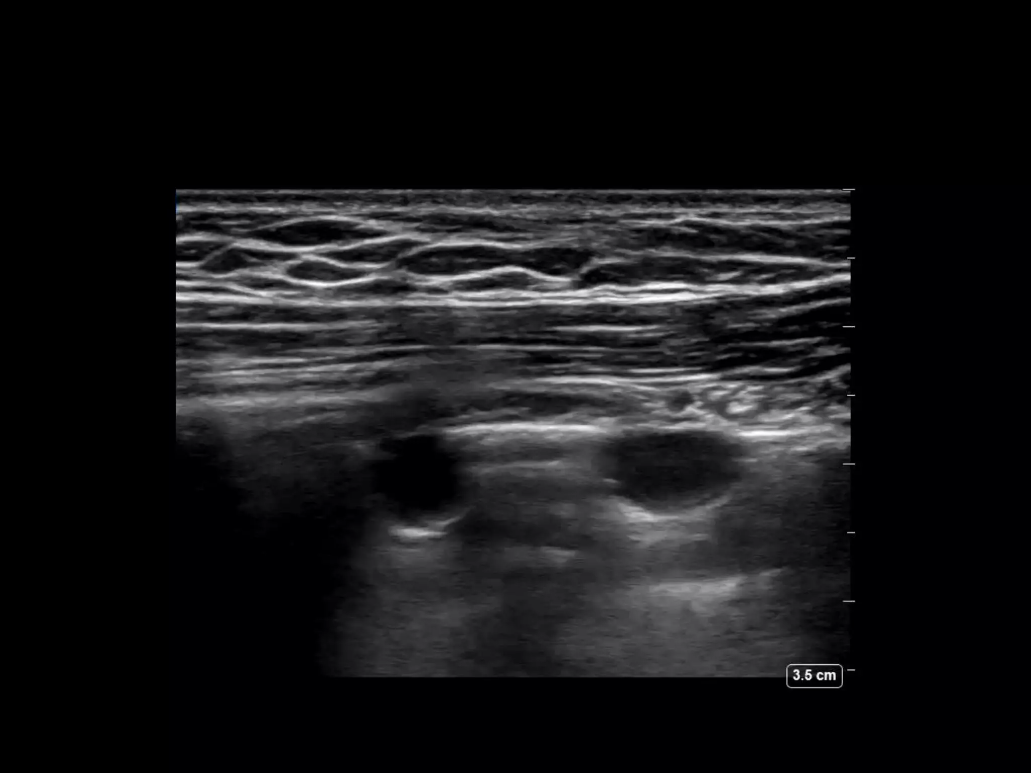
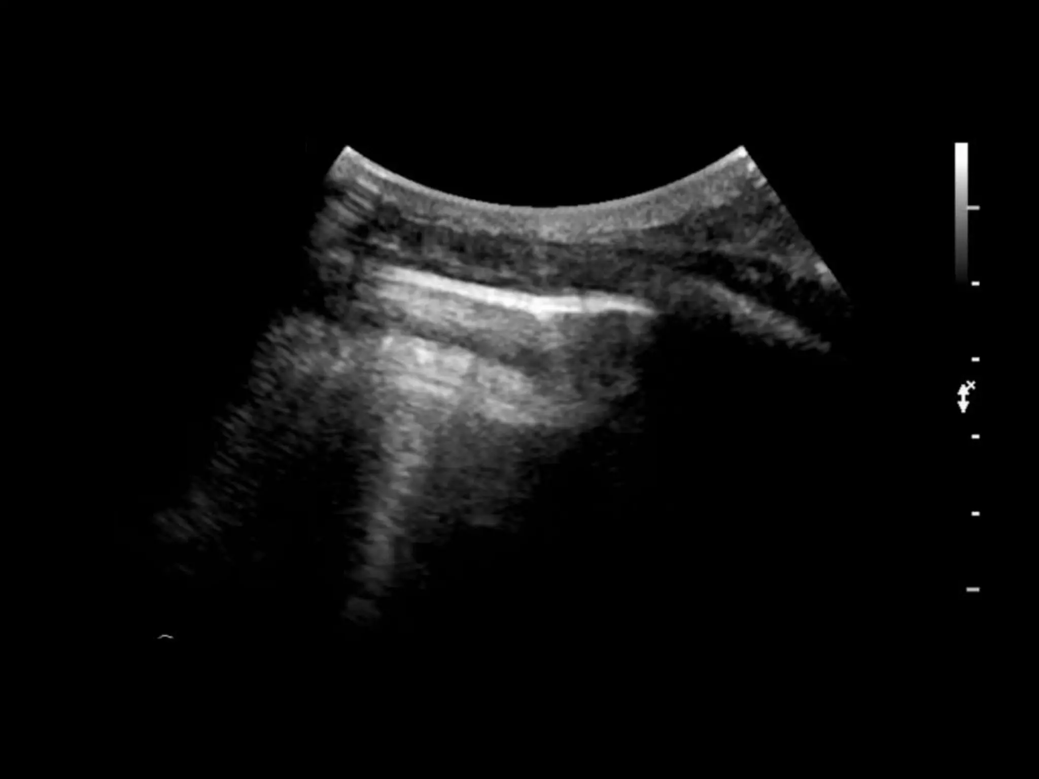
Pleural effusion
Size, anechoic or echogenic, loculated, solid nodules,
pleural thickening, compressive atelectasis
Size, anechoic or echogenic, loculated, solid nodules,
pleural thickening, compressive atelectasis
Science Experiment 1
• Make a model of:
–Pleural effusion
–Empyema
–Atelectatic lung
Lung Ultrasound
Clinical reasoning
Understanding pathology
Ultrasound
Integrate clinically
Let’s Go and Scan!
Case Study 1
• Elderly life long smoker
• Presents with increasing shortness of breath
• A little chest discomfort
• There is a reduction in the normal lung
markings, however at one point a comet tail
artefact is seen
• There is lung sliding
• There is no lung sliding seen, and no
interstitial lung markings are evident
• The appearance is that of pneumothorax
Severe emphysema with apical bullae
Case study 2
• Young man with history of sarcoma
• Increasing shortness of breath
• Large pleural effusion
• Fine echogenic debris suggests exudate,
infection or blood
• Nodules on pleural surfaces suggest
malignancy
• Describe spine sign and descending aorta
visualisation
• Consolidation
• Hepatisation, air bronchograms, shred sign
Case Study 3
• Fevers, cough, widespread aches and pains,
bed bound for several days.
• Increasing shortness of breath
• Worse today with chest pain
Subcutanous emphysema
• There is air lying between the facial planes
• No ribs are seen
• This is surgical emphysema obscuring true
interpretation of the underlying lung
Pneumomediastinum
• Here the carotid and IJ are briefly seen, with
surrounding air in the soft tissues
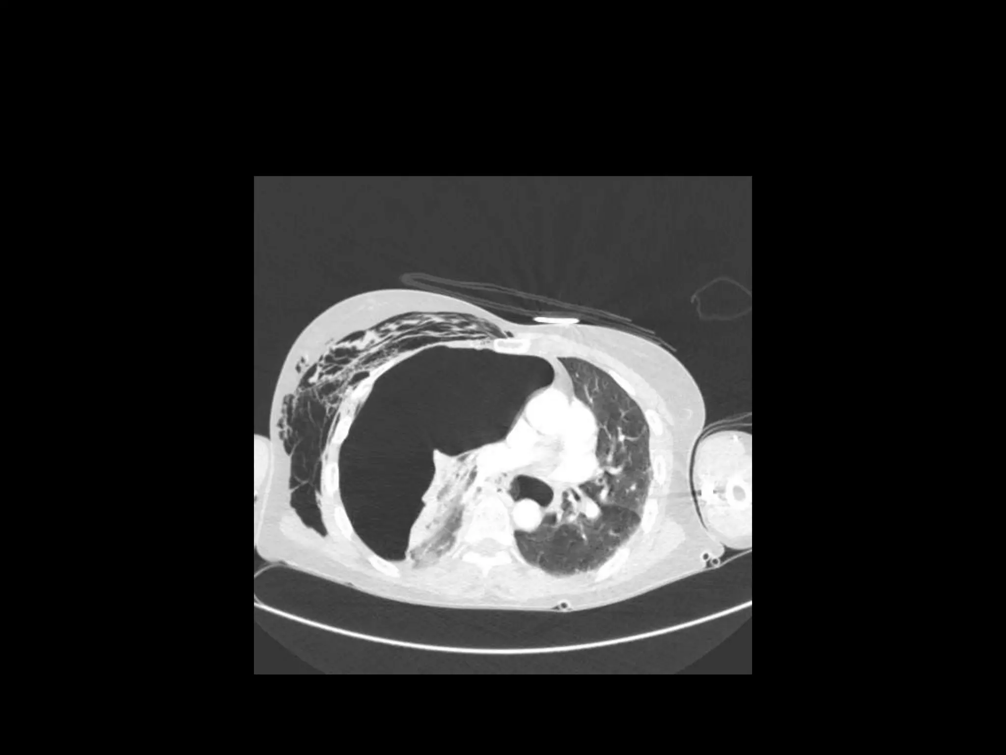
Ultrasound Findings
• Surgical emphysema
• Small pneumothorax
• Widespread patchy consolidation
• H1N1 pneumonitis
Chest X-ray
CT Scan - H1N1 Influenza
Pneumomediastinum
Case study 4
• Young woman, cough, fever, shortness of
breath
• Similar appearance widespread
• Viral pneumonitis
• C profile
Case Study 5
• Acute onset shortness of breath
• Multiple bilateral B-lines
• Small bilateral pleural effusions
• Echo to assess LV function
• Likely acute pulmonary oedema
Case study 6
• Middle aged male presents with increasing
shortness of breath on returning from Africa
• Multiple lung metastases
Case study 7
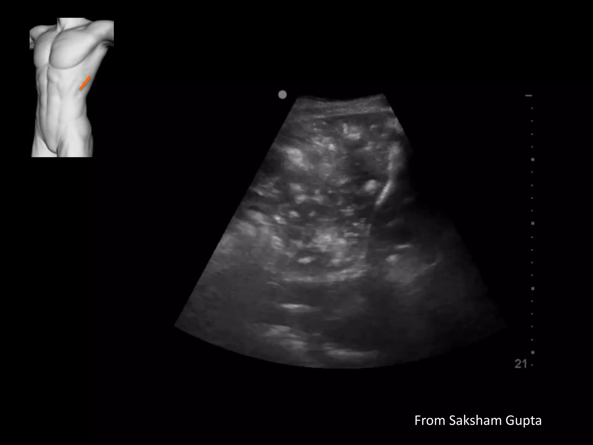
• Alcoholic, poor state of health
• Fever, weight loss
From Saksham Gupta
• Empyema
Case Study 8
• Cough and pleuritic chest pain
Case study 9
• Increasing shortness of breath and
haemoptysis
• Huge solid thoracic tumour
Case study 10
• Pleuritic chest pain and short of breath
• Consolidation, air bronchogram, shred sign
Case study 11
• Young woman
• Recent flight
• Increasing shortness of breath
• This is a rib, you are on the long axis, it may
look like a pneumothorax
• This is sliding the transducer off the rib onto a
pleural space
• Hydropneumothorax
Case Study 12
• Direct chest trauma to right anterior chest
wall
• Remainder of lung fields demonstrated
normal sliding and artefacts
• Localised B-lines at site of trauma
• Pulmonary contusion
Case study 13
• History COPD
• Chest trauma and shortness of breath
• Surgical emphysema
• Tension pneumothorax on CT
• ICC inserted
• Next day increasing shortness of breath
• CXR shows mediastinal shift
• ?New tension – ICC still in
• ?Collapse
• Solid lung, collapse confirmed with ultrasound
• Post chest physio - recovery
Case study 14
• A few more pneumothoraces and lung points!
Lung ultrasound
Lung ultrasound
Lung ultrasound
Lung ultrasound

Lung ultrasound

Editor's Notes

  • #2 Simple Emergency Doctor perspective. History taking pretty integral.
  • #6 Damp sponge sliding
  • #7 Damp sponge sliding
  • #9 No sponge and lung point
  • #10 No sponge and lung point
  • #16 Not sliding, pulsing
  • #17 Dry lung – see if you can find big sponge
  • #25 B-lines – needle ultrasound, ?caviar, Wet sponge
  • #31 Damp sponge sliding
  • #32 Damp sponge sliding
  • #34 Damp sponge sliding
  • #35 Water bag with squashed lung Then with Metamucil
  • #36 Water bag with squashed lung Then with Metamucil