Chest X-ray
Interpretation
Bucky Boaz, ARNP-C
Introduction
 Routinely obtained
 Pulmonary specialist consultation
 Inherent physical exam limitations
 Chest x-ray limitations
 Physical exam and chest x-ray provide
compliment
Essentials Before Getting
Started
 Exposure
– Overexposure
– Underexposure
 Sex of Patient
– Male
– Female
Essentials Before Getting
Started
 Path of x-ray beam
– PA
– AP
 Patient Position
– Upright
– Supine
Essentials Before Getting
Started
 Breath
– Inspiration
– Expiration
Systematic Approach
 Bony Framework
 Soft Tissues
 Lung Fields and Hila
 Diaphragm and Pleural Spaces
 Mediastinum and Heart
 Abdomen and Neck
Systematic Approach
 Bony Fragments
– Ribs
– Sternum
– Spine
– Shoulder girdle
– Clavicles
Systematic Approach
 Soft Tissues
– Breast shadows
– Supraclavicular areas
– Axillae
– Tissues along side of
breasts
Systematic Approach
 Lung Fields and Hila
– Hilum
 Pulmonary arteries
 Pulmonary veins
– Lungs
 Linear and fine nodular
shadows of pulmonary
vessels
– Blood vessels
– 40% obscured by other
tissue
Systematic Approach
 Diaphragm and
Pleural Surfaces
– Diaphragm
 Dome-shaped
 Costophrenic angles
– Normal pleural is not
visible
– Interlobar fissures
Systematic Approach
 Mediastinum and
Heart
– Heart size on PA
– Right side
 Inferior vena cava
 Right atrium
 Ascending aorta
 Superior vena cava
Systematic Approach
 Mediastinum and
Heart
– Left side
 Left ventricle
 Left atrium
 Pulmonary artery
 Aortic arch
 Subclavian artery and
vein
Systematic Approach
 Abdomen and Neck
– Abdomen
 Gastric bubble
 Air under diaphragm
– Neck
 Soft tissue mass
 Air bronchogram
Summary of Density
 Air
 Water
 Bone
 Tissue
Tissue
Pitfalls to Chest X-ray
Interpretation
 Poor inspiration
 Over or under penetration
 Rotation
 Forgetting the path of the x-ray beam
Lung Anatomy
 Trachea
 Carina
 Right and Left Pulmonary
Bronchi
 Secondary Bronchi
 Tertiary Bronchi
 Bronchioles
 Alveolar Duct
 Alveoli
Lung Anatomy
 Right Lung
– Superior lobe
– Middle lobe
– Inferior lobe
 Left Lung
– Superior lobe
– Inferior lobe
Lung Anatomy on Chest X-ray
 PA View:
– Extensive overlap
– Lower lobes extend
high
 Lateral View:
– Extent of lower lobes
Lung Anatomy on Chest X-ray
 The right upper lobe
(RUL) occupies the upper
1/3 of the right lung.
 Posteriorly, the RUL is
adjacent to the first three
to five ribs.
 Anteriorly, the RUL
extends inferiorly as far as
the 4th right anterior rib
Lung Anatomy on Chest X-ray
 The right middle lobe
is typically the
smallest of the three,
and appears triangular
in shape, being
narrowest near the
hilum
Lung Anatomy on Chest X-ray
 The right lower lobe is the
largest of all three lobes,
separated from the others by
the major fissure.
 Posteriorly, the RLL extend
as far superiorly as the 6th
thoracic vertebral body, and
extends inferiorly to the
diaphragm.
 Review of the lateral plain
film surprisingly shows the
superior extent of the RLL.
Lung Anatomy on Chest X-ray
 These lobes can be separated
from one another by two
fissures.
 The minor fissure separates
the RUL from the RML, and
thus represents the visceral
pleural surfaces of both of
these lobes.
 Oriented obliquely, the
major fissure extends
posteriorly and superiorly
approximately to the level of
the fourth vertebral body.
Lung Anatomy on Chest X-ray
 The lobar architecture
of the left lung is
slightly different than
the right.
 Because there is no
defined left minor
fissure, there are only
two lobes on the left;
the left upper
Lung Anatomy on Chest X-ray
 Left lower lobes
Lung Anatomy on Chest X-ray
 These two lobes are
separated by a major
fissure, identical to that
seen on the right side,
although often slightly
more inferior in location.
 The portion of the left
lung that corresponds
anatomically to the right
middle lobe is
incorporated into the left
upper lobe.
The Normal Chest X-ray
 PA View:
1. Aortic arch
2. Pulmonary trunk
3. Left atrial appendage
4. Left ventricle
5. Right ventricle
6. Superior vena cava
7. Right hemidiaphragm
8. Left hemidiaphragm
9. Horizontal fissure
The Normal Chest X-ray
 Lateral View:
1. Oblique fissure
2. Horizontal fissure
3. Thoracic spine and
retrocardiac space
4. Retrosternal space
The Silhouette Sign
 An intra-thoracic radio-
opacity, if in anatomic
contact with a border of
heart or aorta, will obscure
that border. An intra-
thoracic lesion not
anatomically contiguous
with a border or a normal
structure will not
obliterate that border.
Putting It All Together
Understanding Pathological
Changes
 Most disease states replace air with a
pathological process
 Each tissue reacts to injury in a predictable
fashion
 Lung injury or pathological states can be
either a generalized or localized process
Liquid Density
Liquid density Increased air density
Generalized Localized
Diffuse alveolar
Diffuse interstitial
Mixed
Vascular
Infiltrate
Consolidation
Cavitation
Mass
Congestion
Atelectasis
Localized airway obstruction
Diffuse airway obstruction
Emphysema
Bulla
Consolidation
 Lobar consolidation:
– Alveolar space filled with
inflammatory exudate
– Interstitium and
architecture remain intact
– The airway is patent
– Radiologically:
 A density corresponding to
a segment or lobe
 Airbronchogram, and
 No significant loss of lung
volume
Atelectasis
 Loss of air
 Obstructive atelectasis:
– No ventilation to the lobe
beyond obstruction
– Radiologically:
 Density corresponding to a
segment or lobe
 Significant loss of volume
 Compensatory
hyperinflation of normal
lungs
Stages of Evaluating an
Abnormality
1. Identification of abnormal shadows
2. Localization of lesion
3. Identification of pathological process
4. Identification of etiology
5. Confirmation of clinical suspension
 Complex problems
 Introduction of contrast medium
 CT chest
 MRI scan
Case 1
A single, 3cm relatively thin-walled cavity is noted in the left
midlung. This finding is most typical of squamous cell carcinoma
(SCC). One-third of SCC masses show cavitation
Case 2
LUL Atelectasis: Loss of heart borders/silhouetting. Notice
over inflation on unaffected lung
Case 3
Right Middle and Left Upper Lobe Pneumonia
Case 4
Cavitation:cystic changes in the area of consolidation due to the
bacterial destruction of lung tissue. Notice air fluid level.
Cavitation
Case 5
Tuberculosis
Case 6
COPD: increase in heart diameter, flattening of the diaphragm, and
increase in the size of the retrosternal air space. In addition the
upper lobes will become hyperlucent due to destruction of the lung
tissue.
Chronic emphysema effect on the lungs
Case 7
Pseudotumor: fluid has filled the minor fissure creating a density that
resembles a tumor (arrow). Recall that fluid and soft tissue are
indistinguishable on plain film. Further analysis, however, reveals a
classic pleural effusion in the right pleura. Note the right lateral gutter
is blunted and the right diaphram is obscurred.
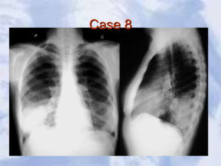
Case 8
Pneumonia:a large pneumonia consolidation in the right lower
lobe. Knowledge of lobar and segmental anatomy is important in
identifying the location of the infection
Case 9
CHF:a great deal of accentuated interstitial markings,
Curly lines, and an enlarged heart. Normally indistinct
upper lobe vessels are prominent but are also masked
by interstitial edema.
24 hours after diuretic therapy
Case 10
Chest wall lesion: arising off the chest wall and not the lung
Case 11
Pleural effusion: Note loss of left hemidiaphragm. Fluid drained
via thoracentesis
Case 12
Lung Mass
Case 13
Small Pneumothorax: LUL
Case 15
Right Middle Lobe Pneumothorax: complete lobar collapse
Post chest tube insertion and re-expansion
Case 16
Metastatic Lung Cancer: multiple nodules seen
Case 17
Right upper lower lobe pulmonary nodule
Case 18
Tuberculosis
Case 19
Perihilar mass: Hodgkin’s disease
Case 20
Widened Mediastinum: Aortic Dissection
A widened mediastinum can be indicative of several pathologies
aortic aneurysm]
aortic dissection]
aortic unfolding
. Ruptured Aorta
hilar lymphadenopathy
anthrax inhalation. A widened mediastinum was found in 7 of the first 10 victims
infected by anthrax (Bacillus anthracis) in 2001
esophageal rupture - presents usually with pneumomediastinum and pleural
effusion. It is diagnosed with water soluble swallowed contrast.
mediastinal mass
mediastinitis
cardiac tamponade]
pericardial effusion
thoracic vertebrae fractures in trauma patients.
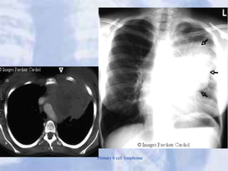
Primary b cell lymphoma
Achalasia
1.Check the rotation of the film. A badly rotated film can make the mediastinum appear
widened.
2.Decide whether the enlargement is at the top, middle or bottom of the mediastinum. If at
the top it is likely to be thyroid, thymus or innominate artery. If in the middle or bottom of
the mediastinum it could be lymphadenopathy, aortic widening, dilatation of the
oesophagus or a hiatal hernia.
3.If the shadowing is at the top then look at the position of the trachea. An enlarged thyroid
will displace or narrow the trachea. This will not happen with a tortuous innominate artery
– a common finding in the elderly.
4.Look at the right side of the trachea. The white edge of the trachea should be less than 2–3
mm wide on an erect film. An increase in its width suggests either an enlarged superior vena
cava or a paratracheal mass. This rule does not apply to supine films.
5.If you suspect an enlarged thyroid then look at the outline of the shadow. A thyroid has a
well-defined outline that tends to become less clear as one moves up the neck.
6.If you suspect widening of the aorta then try and follow its outline, remembering that
Caudad displacement of Left Main Bronchus Rightward
deviation of trachea Rightward deviation of NG tube Caudad
Bronchus Intermedius Tear Presentation 2 day f/u
pneumomediastinum Chest tube Persistent pneumothorax
Case 21
Pulmonary artery stenosis with cardiomegally likely
secondary to stenosis.
 Look at the x-ray results :
 Diffuse spider webbing ?
 Egg-shell calcifications present ?
 Is the cardiac image obscured ?
 Are there spots on the lungs ?
 Are fractures present ?
 Fluid lines present ?
Left Pneumothorax
CWP - Black Lung
Flail Chest
Cancer - Tumor In Right Lung
 Chronic Obstructive Disease
 asthma
 bronchitis
 emphysema
 bronchiectasis
 Restrictive Lung Disease
 sarcoidosis
 tuberculosis
 pneumonia
 ARDS
 IRDS
 Valley Fever
 Occupational Lung Disease
 psiticosis
 byssinosis - white lung
 CWP - black lung
 silicosis
 asbestosis
 pidgeon breeders disease
Medical Findings
 CT scan of thorax, pelvis WNL
 CT scan of brain showed atrophy - WNL
 X-Ray of chest showed some diffuse
cloudiness in L > R - no masses

cxr.ppt

  • 1.
  • 2.
    Introduction  Routinely obtained Pulmonary specialist consultation  Inherent physical exam limitations  Chest x-ray limitations  Physical exam and chest x-ray provide compliment
  • 3.
    Essentials Before Getting Started Exposure – Overexposure – Underexposure  Sex of Patient – Male – Female
  • 4.
    Essentials Before Getting Started Path of x-ray beam – PA – AP  Patient Position – Upright – Supine
  • 5.
    Essentials Before Getting Started Breath – Inspiration – Expiration
  • 6.
    Systematic Approach  BonyFramework  Soft Tissues  Lung Fields and Hila  Diaphragm and Pleural Spaces  Mediastinum and Heart  Abdomen and Neck
  • 7.
    Systematic Approach  BonyFragments – Ribs – Sternum – Spine – Shoulder girdle – Clavicles
  • 8.
    Systematic Approach  SoftTissues – Breast shadows – Supraclavicular areas – Axillae – Tissues along side of breasts
  • 9.
    Systematic Approach  LungFields and Hila – Hilum  Pulmonary arteries  Pulmonary veins – Lungs  Linear and fine nodular shadows of pulmonary vessels – Blood vessels – 40% obscured by other tissue
  • 10.
    Systematic Approach  Diaphragmand Pleural Surfaces – Diaphragm  Dome-shaped  Costophrenic angles – Normal pleural is not visible – Interlobar fissures
  • 11.
    Systematic Approach  Mediastinumand Heart – Heart size on PA – Right side  Inferior vena cava  Right atrium  Ascending aorta  Superior vena cava
  • 12.
    Systematic Approach  Mediastinumand Heart – Left side  Left ventricle  Left atrium  Pulmonary artery  Aortic arch  Subclavian artery and vein
  • 13.
    Systematic Approach  Abdomenand Neck – Abdomen  Gastric bubble  Air under diaphragm – Neck  Soft tissue mass  Air bronchogram
  • 14.
    Summary of Density Air  Water  Bone  Tissue Tissue
  • 15.
    Pitfalls to ChestX-ray Interpretation  Poor inspiration  Over or under penetration  Rotation  Forgetting the path of the x-ray beam
  • 16.
    Lung Anatomy  Trachea Carina  Right and Left Pulmonary Bronchi  Secondary Bronchi  Tertiary Bronchi  Bronchioles  Alveolar Duct  Alveoli
  • 17.
    Lung Anatomy  RightLung – Superior lobe – Middle lobe – Inferior lobe  Left Lung – Superior lobe – Inferior lobe
  • 18.
    Lung Anatomy onChest X-ray  PA View: – Extensive overlap – Lower lobes extend high  Lateral View: – Extent of lower lobes
  • 19.
    Lung Anatomy onChest X-ray  The right upper lobe (RUL) occupies the upper 1/3 of the right lung.  Posteriorly, the RUL is adjacent to the first three to five ribs.  Anteriorly, the RUL extends inferiorly as far as the 4th right anterior rib
  • 20.
    Lung Anatomy onChest X-ray  The right middle lobe is typically the smallest of the three, and appears triangular in shape, being narrowest near the hilum
  • 21.
    Lung Anatomy onChest X-ray  The right lower lobe is the largest of all three lobes, separated from the others by the major fissure.  Posteriorly, the RLL extend as far superiorly as the 6th thoracic vertebral body, and extends inferiorly to the diaphragm.  Review of the lateral plain film surprisingly shows the superior extent of the RLL.
  • 22.
    Lung Anatomy onChest X-ray  These lobes can be separated from one another by two fissures.  The minor fissure separates the RUL from the RML, and thus represents the visceral pleural surfaces of both of these lobes.  Oriented obliquely, the major fissure extends posteriorly and superiorly approximately to the level of the fourth vertebral body.
  • 23.
    Lung Anatomy onChest X-ray  The lobar architecture of the left lung is slightly different than the right.  Because there is no defined left minor fissure, there are only two lobes on the left; the left upper
  • 24.
    Lung Anatomy onChest X-ray  Left lower lobes
  • 25.
    Lung Anatomy onChest X-ray  These two lobes are separated by a major fissure, identical to that seen on the right side, although often slightly more inferior in location.  The portion of the left lung that corresponds anatomically to the right middle lobe is incorporated into the left upper lobe.
  • 26.
    The Normal ChestX-ray  PA View: 1. Aortic arch 2. Pulmonary trunk 3. Left atrial appendage 4. Left ventricle 5. Right ventricle 6. Superior vena cava 7. Right hemidiaphragm 8. Left hemidiaphragm 9. Horizontal fissure
  • 27.
    The Normal ChestX-ray  Lateral View: 1. Oblique fissure 2. Horizontal fissure 3. Thoracic spine and retrocardiac space 4. Retrosternal space
  • 28.
    The Silhouette Sign An intra-thoracic radio- opacity, if in anatomic contact with a border of heart or aorta, will obscure that border. An intra- thoracic lesion not anatomically contiguous with a border or a normal structure will not obliterate that border.
  • 29.
  • 31.
    Understanding Pathological Changes  Mostdisease states replace air with a pathological process  Each tissue reacts to injury in a predictable fashion  Lung injury or pathological states can be either a generalized or localized process
  • 32.
    Liquid Density Liquid densityIncreased air density Generalized Localized Diffuse alveolar Diffuse interstitial Mixed Vascular Infiltrate Consolidation Cavitation Mass Congestion Atelectasis Localized airway obstruction Diffuse airway obstruction Emphysema Bulla
  • 33.
    Consolidation  Lobar consolidation: –Alveolar space filled with inflammatory exudate – Interstitium and architecture remain intact – The airway is patent – Radiologically:  A density corresponding to a segment or lobe  Airbronchogram, and  No significant loss of lung volume
  • 34.
    Atelectasis  Loss ofair  Obstructive atelectasis: – No ventilation to the lobe beyond obstruction – Radiologically:  Density corresponding to a segment or lobe  Significant loss of volume  Compensatory hyperinflation of normal lungs
  • 35.
    Stages of Evaluatingan Abnormality 1. Identification of abnormal shadows 2. Localization of lesion 3. Identification of pathological process 4. Identification of etiology 5. Confirmation of clinical suspension  Complex problems  Introduction of contrast medium  CT chest  MRI scan
  • 36.
  • 37.
    A single, 3cmrelatively thin-walled cavity is noted in the left midlung. This finding is most typical of squamous cell carcinoma (SCC). One-third of SCC masses show cavitation
  • 38.
  • 39.
    LUL Atelectasis: Lossof heart borders/silhouetting. Notice over inflation on unaffected lung
  • 40.
  • 41.
    Right Middle andLeft Upper Lobe Pneumonia
  • 42.
  • 43.
    Cavitation:cystic changes inthe area of consolidation due to the bacterial destruction of lung tissue. Notice air fluid level.
  • 44.
  • 45.
  • 46.
  • 47.
  • 48.
    COPD: increase inheart diameter, flattening of the diaphragm, and increase in the size of the retrosternal air space. In addition the upper lobes will become hyperlucent due to destruction of the lung tissue.
  • 49.
  • 50.
  • 51.
    Pseudotumor: fluid hasfilled the minor fissure creating a density that resembles a tumor (arrow). Recall that fluid and soft tissue are indistinguishable on plain film. Further analysis, however, reveals a classic pleural effusion in the right pleura. Note the right lateral gutter is blunted and the right diaphram is obscurred.
  • 52.
  • 53.
    Pneumonia:a large pneumoniaconsolidation in the right lower lobe. Knowledge of lobar and segmental anatomy is important in identifying the location of the infection
  • 54.
  • 55.
    CHF:a great dealof accentuated interstitial markings, Curly lines, and an enlarged heart. Normally indistinct upper lobe vessels are prominent but are also masked by interstitial edema.
  • 56.
    24 hours afterdiuretic therapy
  • 57.
  • 58.
    Chest wall lesion:arising off the chest wall and not the lung
  • 59.
  • 60.
    Pleural effusion: Noteloss of left hemidiaphragm. Fluid drained via thoracentesis
  • 61.
  • 62.
  • 63.
  • 64.
  • 65.
  • 66.
    Right Middle LobePneumothorax: complete lobar collapse
  • 67.
    Post chest tubeinsertion and re-expansion
  • 68.
  • 69.
    Metastatic Lung Cancer:multiple nodules seen
  • 70.
  • 71.
    Right upper lowerlobe pulmonary nodule
  • 72.
  • 73.
  • 74.
  • 75.
  • 76.
  • 77.
  • 78.
    A widened mediastinumcan be indicative of several pathologies aortic aneurysm] aortic dissection] aortic unfolding . Ruptured Aorta hilar lymphadenopathy anthrax inhalation. A widened mediastinum was found in 7 of the first 10 victims infected by anthrax (Bacillus anthracis) in 2001 esophageal rupture - presents usually with pneumomediastinum and pleural effusion. It is diagnosed with water soluble swallowed contrast. mediastinal mass mediastinitis cardiac tamponade] pericardial effusion thoracic vertebrae fractures in trauma patients.
  • 80.
  • 81.
  • 83.
    1.Check the rotationof the film. A badly rotated film can make the mediastinum appear widened. 2.Decide whether the enlargement is at the top, middle or bottom of the mediastinum. If at the top it is likely to be thyroid, thymus or innominate artery. If in the middle or bottom of the mediastinum it could be lymphadenopathy, aortic widening, dilatation of the oesophagus or a hiatal hernia. 3.If the shadowing is at the top then look at the position of the trachea. An enlarged thyroid will displace or narrow the trachea. This will not happen with a tortuous innominate artery – a common finding in the elderly. 4.Look at the right side of the trachea. The white edge of the trachea should be less than 2–3 mm wide on an erect film. An increase in its width suggests either an enlarged superior vena cava or a paratracheal mass. This rule does not apply to supine films. 5.If you suspect an enlarged thyroid then look at the outline of the shadow. A thyroid has a well-defined outline that tends to become less clear as one moves up the neck. 6.If you suspect widening of the aorta then try and follow its outline, remembering that
  • 87.
    Caudad displacement ofLeft Main Bronchus Rightward deviation of trachea Rightward deviation of NG tube Caudad
  • 89.
    Bronchus Intermedius TearPresentation 2 day f/u pneumomediastinum Chest tube Persistent pneumothorax
  • 94.
  • 95.
    Pulmonary artery stenosiswith cardiomegally likely secondary to stenosis.
  • 96.
     Look atthe x-ray results :  Diffuse spider webbing ?  Egg-shell calcifications present ?  Is the cardiac image obscured ?  Are there spots on the lungs ?  Are fractures present ?  Fluid lines present ?
  • 97.
  • 98.
  • 99.
  • 100.
    Cancer - TumorIn Right Lung
  • 101.
     Chronic ObstructiveDisease  asthma  bronchitis  emphysema  bronchiectasis
  • 102.
     Restrictive LungDisease  sarcoidosis  tuberculosis  pneumonia  ARDS  IRDS  Valley Fever
  • 103.
     Occupational LungDisease  psiticosis  byssinosis - white lung  CWP - black lung  silicosis  asbestosis  pidgeon breeders disease
  • 104.
    Medical Findings  CTscan of thorax, pelvis WNL  CT scan of brain showed atrophy - WNL  X-Ray of chest showed some diffuse cloudiness in L > R - no masses