JOURNAL CLUB
PRESENTATION
Thanks to Dr. Babar Yasin
PG-IV For tis slide presentation
Pitfalls in the Diagnosis of
Follicular Epithelial Proliferations
of the Thyroid
 Ozgur Mete, MD*w and Sylvia L. Asa, MD, PhD*w
INTRODUCTION
Diagnosis of follicular epithelial neoplasms --- area
of controversy.
Major issues:
- Recognition of the diagnostic nuclear features of
papillary thyroid carcinoma and reactive cytologic
atypia.
- Definitions of capsular invasion, vascular invasion,
and extrathyroidal extension.
- Challenges related to oncocytic change, malignant
transformation in benign nodules, focal
dedifferentiation, and the application of ancillary
tools in thyroid pathology.
ARE MORPHOLOGIC CRITERIA ABLE TO
DISTINGUISH HYPERPLASTIC FOLLICULAR
LESIONS FROM FOLLICULAR ADENOMAS?
Hyperplasia -- reversible process
Morphologically hyperplastic follicular
lesions:
- Multiple
- Poorly encapsulated benign follicular
epithelial proliferations
- Heterogeneous cytology and architecture
- Indistinguishable from the surrounding
parenchyma.
Follicular Neoplasms:
- Solitary
- Encapsulated follicular epithelial proliferations
- Uniform cytology and architecture
- Totally different from the surrounding parenchyma
- The distinction from follicular carcinoma is based
on invasive behavior.
- Distinction from follicular variant papillary
carcinoma is based on nuclear features
Follicular adenomas – monoclonal proliferations of
follicular epithelia.
Hyperlasia – polyclonal proliferation of untransformed
cells
Multiple monoclonal and polyclonal nodules coexist in
multinodular goiters.
Some nodules may exhibit a distinct area of monoclonal
proliferation in the background of polyclonal proliferation.
Malignancy occurs in the background of benign nodules in
multinodular goiter as well as in solitary adenomas.
Benign nodules with prominent true papillary architecture,
identified sometimes as solitary lesions but also in the
setting of multinodular goiter, have been called “papillary
hyperplastic nodules.”
Clonal lesions that harbor activating somatic mutations
“hot” or “warm” on thyroid scan.
Benign nodules with papillary architecture are monoclonal
and therefore they should be classified as a variant of
follicular adenoma
Classical morphologic criteria to distinguish
hyperplasia from adenoma are not valid in
the setting of multinodular goiter.
The terminology been used to describe this
disorder, includes “colloid nodules,”
“adenomatoid nodules,” and the obviously
incorrect “hyperplasic nodules.”
The author recommends the unifying
terminology “follicular nodular disease” for
the nodules of multinodular goiter
WHAT ARE THE CRITERIA FOR THE
DIAGNOSIS
OF WELL-DIFFERENTIATED THYROID
CARCINOMA?
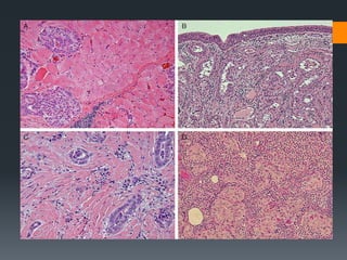
Papillary thyroid carcinoma – Nuclear features
Follicular thyroid carcinoma - Capsular and/or vascular
invasion
Low magnification to analyze the “texture” of the thyroid
nodules.
Texture - density of colloid, nuclear size, and contrast
because of nuclear basophilia.
The second step is to decide if the lesion exhibits nuclear
features of PTC.
In the absence of nuclear features of PTC, the diagnosis of
malignancy (FTC) can be rendered when there is
unequivocal evidence of capsular and/o vascular invasion.
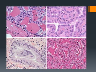
WHAT ARE THE DIAGNOSTIC NUCLEAR
FEATURES OF PAPILLARY THYROID
CARCINOMA?
Nuclear Enlargement
The nuclear/cytoplasmic ratio is increased.
Nuclear overlapping, nuclear crowding, and loss of
the basal polarization of nuclei.
The last feature is particularly important when
dealing with benign follicular lesions that exhibit
papillary architecture.
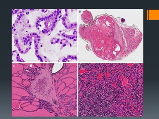
Nuclear Membrane Irregularities
Hallmark of PTC - loss of nuclear roundness. Oval or
elongated nuclei are one form of irregularity.
A “raisinoid” or “cerebriform” appearance, because of
indentations, or “angulated” nuclear membrane
irregularities, are important features of PTC.
The more nuclear membranes fold into themselves, the
more florid nuclear features such as “grooves” or
“intranuclear pseudoinclusions” .
The most florid feature, the intranuclear cytoplasmic
pseudoinclusion, results from deep invaginations of the
cytoplasm. (Not required)
 NUCLEAR PSEUDO INCLUSION/ PSEUDO-PSEUDO
INCLUSIONS
 The diameter, content, and edge features of the inclusions.
 The nuclear inclusion must contain material similar to the
cell cytoplasm
 It must have sharply defined edges
Peripheral Chromatin Margination
 Hypo chromatic nuclei because of peripheral margination of
chromatin and clearing of nucleoplasm
 Chromatin margination results in the optically clear or
ground-glass appearance of the nuclei.
Prominent Micronucleoli
 Multiple small eccentric micronucleoli that are distinct from
the single, usually central nucleolus of nontumorous thyroid
follicular epithelial cells
WHAT OTHER FEATURES
ARE CHARATERISTIC
OF PAPILLARY THYROID
CARCINOMAS?
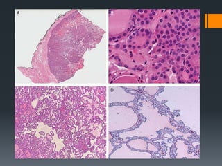
Architectural and Colloid Changes
Follicular variant PTCs often have
distorted or irregularly shaped
follicles.
 This feature may be focal.
They also usually contain thick,
hypereosinophilic colloid that has a
peculiar scalloped appearance at the
periphery of the follicles
Multinucleated Giant Cells of
Macrophage
Derivation
 Not specific
 Benign conditions including palpation thyroiditis, de
Quervain’s thyroiditis, and at sites of previous fine-needle
aspiration.
Psammoma Bodies
Hallmark of PTC
Basophilic concentrically laminated spherical
bodies.
The presence of psammoma bodies should prompt
a thorough search for other features of PTC
Identification of a psammoma body in a
perithyroidal or cervical lymph node is a sign of
micrometastatic PTC – Deeper levels.
HOW CAN REACTIVE CYTOLOGIC
ATYPIA BE DISTINGUISHED FROM THE
ATYPIA OF PAPILLARY THYROID
CARCINOMA?
Areas of degeneration that contain hemorrhage, stromal
fibrosis, foreign body material (such as talc after an
FNA), lymphocytic infiltration, or hemosiderin-laden
macrophages, may exhibit nuclear membrane nuclear
irregularities that can mimic the nuclear features of PTC.
With the increasing use of FNA most lesions have areas
of reactive change.
The acronym “WHAFFT” (worrisome histologic
alterations following FNA of thyroid) has been used for
these.
The diagnosis of PTC should be considered
when nuclear atypia is seen well away from
sites of degeneration.
The follicular epithelium of chronic
lymphocytic thyroiditis exhibits nuclear
alterations resembling those of PTC.
These changes occur within follicles that
maintain a lobular architecture and are
clearly reactive.
CAN BENIGN NODULES
UNDERGO MALIGNANT
TRANSFORMATION?
Benign nodules can sometimes exhibit unifocal or
multifocal malignant transformation to follicular
variant PTC.
Areas of reactive atypia in a degenerate nodule
should be distinguished from areas of malignant
transformation in a benign follicular nodule.
The identification of a single small focus of PTC in an
otherwise benign lesion may represent a solitary
focus of transformation or potentially a trapped pre-
existing or unrelated papillary microcarcinoma and
shoud be staged based on the size of the focus.
Follicular nodules – MULTIFOCAL ATYPIA
This may suggest multifocal transformation to
PTC.
Therefore staging based on the size of the entire
nodule.
HOW SHOULD NODULES WITH
ONCOCYTIC CHANGE BE
CLASSIFIED?
Oncocytic change is not specific to any thyroid lesion.(Benign
conditions such as thyroiditis, follicular nodular disease, or in
thyroids of patients who have a previous history of head and
neck radiotherapy or systemic chemotherapy.)
Oncocytic change is also seen in all forms of thyroid
malignancies. Criteria for diagnosing oncocytic lesions are
not different from those of their nononcocytic counterparts,
including nuclear features of PTC or capsular and/or vascular
invasion.
Oncocytes may have hyperchromatic nuclei and large,
cherry-red nucleoli that can confound the diagnosis of PTC
based on nuclear criteria.
Nuclear membrane irregularities is the main key to diagnose
PTC in the absence of degeneration or inflammation.
Oncocytic and clear cell variants of medullary thyroid
carcinoma (MTC) may easily mimic oncocytic and clear
cell follicular lesions or neoplasms.
Nesting or insular architecture, Polygonal cells, Indistinct
cell borders (well-defined cell borders of follicular
epithelial cells).
Nuclei with salt-and-pepper chromatin.
Neuroendocrine secretory granules that give the cell
cytoplasm a basophilic and/or amphophilic granular
appearance (MTC) ----- Oncocytic change in follicular
epithelial cells -- deeply eosinophilic granular cytoplasm
and/or a degree of cytoplasmic clearing, which reflects
the mitochondrial dilatation.
WHAT ARE THE DEFINITIONS
OF CAPSULAR
AND VASCULAR INVASION?
Follicular epithelial neoplasm that exhibits capsular
and/or vascular invasion in the absence of nuclear
features of PTC is diagnosed as FTC.
Many pathologists consider a single focus of capsular
invasion to be a sign of malignancy when nuclear
features of PTC are absent.
Others have questioned if capsular without vascular
invasion qualifies for a diagnosis of a malignancy??
Most experts require the presence of tumor penetrating
through the entire thickness of the capsule of a lesion,
others consider it sufficient to identify the presence of
incomplete capsular Transgression.
Sites of previous biopsy can result in artefactual
capsular dehiscence and pseudoinvasion.
Bulging of tumor under intact endothelium,
intravascular tumor casts without thrombus and
intravascular tumor nests covered with intact
endothelium do not predict metastatic behavior.
Tumor cells invading through a vessel wall and
thrombus adherent to intravascular tumor predicts
an unusually high risk of distant hematogenous
spread.
CAP
WHAT IS THE SIGNIFICANCE OF
EXTRATHYROIDAL
EXTENSION?
 Although many people refer to invasion of a thyroid capsule by thyroid
tumors, the only capsule that can be invaded is a tumor capsule. The
thyroid gland has no anatomic capsule. Rather, the thyroid is covered by
an incomplete thin pseudocapsule that contains varying proportions of
fibrous and adipose tissue.
 Criteria for defining minimal (pT3) extrathyroidal extension (ETE) are
problematic, because the presence of tumor cells in fibroadipose tissue
does not qualify as ETE.
 The hallmark of ETE is at least skeletal muscle invasion in the lateral
lobes.
 Does not apply in the isthmus, because normal isthmic parenchyma
includes skeletal muscle fibers of Soemmerring muscle intermingled with
thyroid follicles.
 The assessment of ETE in the isthmus requires input from preoperative
and intraoperative findings in addition to histologic examination looking
for invasion into other neck structures such as laryngeal cartilage or
esophagus.
CAP
 The criteria defining minimally invasive follicular carcinoma
are controversial and still evolving. The WHO classification
system allows for this term to encompass encapsulated
lesions with capsular and/or small-caliber sized
angioinvasion, even if angioinvasion is extensive.
 However, it is apparent in the literature that even within this
group there is a survival difference between tumors with only
capsular invasion (so called “true minimally invasive”
follicular carcinomas) and those that are angioinvasive, with
the latter being more aggressive. It is thus appropriate to
further stratify minimally invasive tumors into these
subcategories.
HOW IS DEDIFFERENTIATION
DEFINED AND
WHAT IS ITS SIGNIFICANCE?
Poorly differentiated thyroid carcinoma (PDTC) --
intermediate form of thyroid cancer between well-
differentiated PTC or FTC and undifferentiated or
anaplastic thyroid carcinoma.
The Turin consensus defined PDTC as a neoplasm
derived from follicular epithelial cells with a
solid/trabecular/insular growth pattern, absence of
conventional nuclear features of PTC and
presence of at least one of the following features:
- convoluted nuclei
- mitotic activity (>3/10HPF)
- necrosis.
 This consensus did not clarify precisely the required minimum
percentage of these changes to classify a follicular neoplasm as
PDTC.
 Because the clinical course will be driven by the presence of the
worst component, Authors believe that any amount of
dedifferentiation should be reported in the surgical pathology
consultation report.
 “PTC/FTC with focal dedifferentiation” when these changes
occur in <30% of an otherwise well-differentiated thyroid
carcinoma.
 Lesions with more than this component are diagnosed as poorly
differentiated carcinoma, and authors specify it as “arising in
PTC or FTC” if there is an associated well-differentiated
component
WHEN SHOULD ANCILLARY
TOOLS BE USED IN
THE DIAGNOSIS OF
DIFFERENTIATED
FOLLICULAR EPITHELIAL
NEOPLASMS?
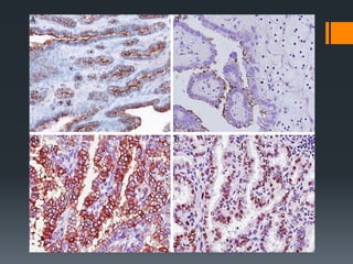
Immunohistochemisty is usually used to identify the
cellular origin of a thyroid lesion, to support the
diagnosis of malignancy, to predict the risk of lymph
node metastasis, or to highlight nuclear membrane
changes.
Thyroglobulin is the most specific marker for thyroid
follicular epithelium (technical limitations because of its
tendency to diffuse widely throughout adjacent tissue)
 TTF-1 is positive in both follicular epithelial cells and
parafollicular C-cells. TTF-1 is also characteristically
found in lung carcinomas and some high-grade
neuroendocrine carcinomas from other sites.
Markers of neuroendocrine differentiation (including
synaptophysin and chromogranins) are positive in MTC,
intrathyroidal parathyroid lesions, paragangliomas, or
metastatic neuroendocrine carcinomas.
The presence of tyrosine hydroxylase and the negativity
for low molecular weight keratins supports the diagnosis
of paraganglioma.
Positivity for monoclonal carcinoembryonic antigen and
calcitonin is diagnostic of MTC.
Parathyroid lesions are distinguished by their
immunoreactivity for PTH and Gcm2 (glial cells missing
2).
 If the lesion is clearly of thyroid follicular cell derivation, but malignancy
is not unequivocal, there are several useful markers that can be
applied. HBME-1, cytokeratin 19 (CK19), and galectin-3 are useful to
support the diagnosis of malignancy
 HBME-1 positivity with an apical and/or membranous pattern is
suggestive of malignancy, but when negative, it does not exclude
malignancy.
 Diffuse and membranous CK19 throughout the lesion is usually
helpful, but focal strong staining can be seen at sites of degeneration
and diffuse strong staining is common in lymphocytic thyroiditis, so
careful assessment of the pattern of reactivity is important.
 Recently, emerin immunohistochemistry has been used to highlight
nuclear membrane irregularities seen in PTC.
 Molecular testing for BRAF mutations and RET/PTC gene
rearrangements can be applied to cytology and histology
specimens from suspicious thyroid nodules.
 Image analysis using genetic programming software (GPS) is a
new and evolving ancillary tool that builds automatic feature
extraction algorithms, utilizing spectral and spatial signatures of
image features.
 The authors have undertaken a feasibility study to analyze the
texture pattern of follicular variant PTC and benign follicular
lesions using GPS. The preliminary results are promising, as GPS
can recognize benign and malignant areas in digitalized
hematoxylin and eosin–stained slides.
 Ongoing studies will be needed to validate this exciting new
technology

Journal club presentation thyroid

  • 1.
    JOURNAL CLUB PRESENTATION Thanks toDr. Babar Yasin PG-IV For tis slide presentation
  • 2.
    Pitfalls in theDiagnosis of Follicular Epithelial Proliferations of the Thyroid  Ozgur Mete, MD*w and Sylvia L. Asa, MD, PhD*w
  • 3.
    INTRODUCTION Diagnosis of follicularepithelial neoplasms --- area of controversy. Major issues: - Recognition of the diagnostic nuclear features of papillary thyroid carcinoma and reactive cytologic atypia. - Definitions of capsular invasion, vascular invasion, and extrathyroidal extension. - Challenges related to oncocytic change, malignant transformation in benign nodules, focal dedifferentiation, and the application of ancillary tools in thyroid pathology.
  • 4.
    ARE MORPHOLOGIC CRITERIAABLE TO DISTINGUISH HYPERPLASTIC FOLLICULAR LESIONS FROM FOLLICULAR ADENOMAS?
  • 5.
    Hyperplasia -- reversibleprocess Morphologically hyperplastic follicular lesions: - Multiple - Poorly encapsulated benign follicular epithelial proliferations - Heterogeneous cytology and architecture - Indistinguishable from the surrounding parenchyma.
  • 6.
    Follicular Neoplasms: - Solitary -Encapsulated follicular epithelial proliferations - Uniform cytology and architecture - Totally different from the surrounding parenchyma - The distinction from follicular carcinoma is based on invasive behavior. - Distinction from follicular variant papillary carcinoma is based on nuclear features
  • 7.
    Follicular adenomas –monoclonal proliferations of follicular epithelia. Hyperlasia – polyclonal proliferation of untransformed cells Multiple monoclonal and polyclonal nodules coexist in multinodular goiters. Some nodules may exhibit a distinct area of monoclonal proliferation in the background of polyclonal proliferation. Malignancy occurs in the background of benign nodules in multinodular goiter as well as in solitary adenomas.
  • 8.
    Benign nodules withprominent true papillary architecture, identified sometimes as solitary lesions but also in the setting of multinodular goiter, have been called “papillary hyperplastic nodules.” Clonal lesions that harbor activating somatic mutations “hot” or “warm” on thyroid scan. Benign nodules with papillary architecture are monoclonal and therefore they should be classified as a variant of follicular adenoma
  • 9.
    Classical morphologic criteriato distinguish hyperplasia from adenoma are not valid in the setting of multinodular goiter. The terminology been used to describe this disorder, includes “colloid nodules,” “adenomatoid nodules,” and the obviously incorrect “hyperplasic nodules.” The author recommends the unifying terminology “follicular nodular disease” for the nodules of multinodular goiter
  • 11.
    WHAT ARE THECRITERIA FOR THE DIAGNOSIS OF WELL-DIFFERENTIATED THYROID CARCINOMA?
  • 12.
    Papillary thyroid carcinoma– Nuclear features Follicular thyroid carcinoma - Capsular and/or vascular invasion Low magnification to analyze the “texture” of the thyroid nodules. Texture - density of colloid, nuclear size, and contrast because of nuclear basophilia. The second step is to decide if the lesion exhibits nuclear features of PTC. In the absence of nuclear features of PTC, the diagnosis of malignancy (FTC) can be rendered when there is unequivocal evidence of capsular and/o vascular invasion.
  • 14.
    WHAT ARE THEDIAGNOSTIC NUCLEAR FEATURES OF PAPILLARY THYROID CARCINOMA?
  • 15.
    Nuclear Enlargement The nuclear/cytoplasmicratio is increased. Nuclear overlapping, nuclear crowding, and loss of the basal polarization of nuclei. The last feature is particularly important when dealing with benign follicular lesions that exhibit papillary architecture.
  • 16.
    Nuclear Membrane Irregularities Hallmarkof PTC - loss of nuclear roundness. Oval or elongated nuclei are one form of irregularity. A “raisinoid” or “cerebriform” appearance, because of indentations, or “angulated” nuclear membrane irregularities, are important features of PTC. The more nuclear membranes fold into themselves, the more florid nuclear features such as “grooves” or “intranuclear pseudoinclusions” . The most florid feature, the intranuclear cytoplasmic pseudoinclusion, results from deep invaginations of the cytoplasm. (Not required)
  • 17.
     NUCLEAR PSEUDOINCLUSION/ PSEUDO-PSEUDO INCLUSIONS  The diameter, content, and edge features of the inclusions.  The nuclear inclusion must contain material similar to the cell cytoplasm  It must have sharply defined edges
  • 18.
    Peripheral Chromatin Margination Hypo chromatic nuclei because of peripheral margination of chromatin and clearing of nucleoplasm  Chromatin margination results in the optically clear or ground-glass appearance of the nuclei.
  • 19.
    Prominent Micronucleoli  Multiplesmall eccentric micronucleoli that are distinct from the single, usually central nucleolus of nontumorous thyroid follicular epithelial cells
  • 21.
    WHAT OTHER FEATURES ARECHARATERISTIC OF PAPILLARY THYROID CARCINOMAS?
  • 22.
    Architectural and ColloidChanges Follicular variant PTCs often have distorted or irregularly shaped follicles.  This feature may be focal. They also usually contain thick, hypereosinophilic colloid that has a peculiar scalloped appearance at the periphery of the follicles
  • 23.
    Multinucleated Giant Cellsof Macrophage Derivation  Not specific  Benign conditions including palpation thyroiditis, de Quervain’s thyroiditis, and at sites of previous fine-needle aspiration.
  • 24.
    Psammoma Bodies Hallmark ofPTC Basophilic concentrically laminated spherical bodies. The presence of psammoma bodies should prompt a thorough search for other features of PTC Identification of a psammoma body in a perithyroidal or cervical lymph node is a sign of micrometastatic PTC – Deeper levels.
  • 26.
    HOW CAN REACTIVECYTOLOGIC ATYPIA BE DISTINGUISHED FROM THE ATYPIA OF PAPILLARY THYROID CARCINOMA?
  • 27.
    Areas of degenerationthat contain hemorrhage, stromal fibrosis, foreign body material (such as talc after an FNA), lymphocytic infiltration, or hemosiderin-laden macrophages, may exhibit nuclear membrane nuclear irregularities that can mimic the nuclear features of PTC. With the increasing use of FNA most lesions have areas of reactive change. The acronym “WHAFFT” (worrisome histologic alterations following FNA of thyroid) has been used for these. The diagnosis of PTC should be considered when nuclear atypia is seen well away from sites of degeneration.
  • 28.
    The follicular epitheliumof chronic lymphocytic thyroiditis exhibits nuclear alterations resembling those of PTC. These changes occur within follicles that maintain a lobular architecture and are clearly reactive.
  • 30.
    CAN BENIGN NODULES UNDERGOMALIGNANT TRANSFORMATION?
  • 31.
    Benign nodules cansometimes exhibit unifocal or multifocal malignant transformation to follicular variant PTC. Areas of reactive atypia in a degenerate nodule should be distinguished from areas of malignant transformation in a benign follicular nodule. The identification of a single small focus of PTC in an otherwise benign lesion may represent a solitary focus of transformation or potentially a trapped pre- existing or unrelated papillary microcarcinoma and shoud be staged based on the size of the focus.
  • 32.
    Follicular nodules –MULTIFOCAL ATYPIA This may suggest multifocal transformation to PTC. Therefore staging based on the size of the entire nodule.
  • 33.
    HOW SHOULD NODULESWITH ONCOCYTIC CHANGE BE CLASSIFIED?
  • 34.
    Oncocytic change isnot specific to any thyroid lesion.(Benign conditions such as thyroiditis, follicular nodular disease, or in thyroids of patients who have a previous history of head and neck radiotherapy or systemic chemotherapy.) Oncocytic change is also seen in all forms of thyroid malignancies. Criteria for diagnosing oncocytic lesions are not different from those of their nononcocytic counterparts, including nuclear features of PTC or capsular and/or vascular invasion. Oncocytes may have hyperchromatic nuclei and large, cherry-red nucleoli that can confound the diagnosis of PTC based on nuclear criteria. Nuclear membrane irregularities is the main key to diagnose PTC in the absence of degeneration or inflammation.
  • 35.
    Oncocytic and clearcell variants of medullary thyroid carcinoma (MTC) may easily mimic oncocytic and clear cell follicular lesions or neoplasms. Nesting or insular architecture, Polygonal cells, Indistinct cell borders (well-defined cell borders of follicular epithelial cells). Nuclei with salt-and-pepper chromatin. Neuroendocrine secretory granules that give the cell cytoplasm a basophilic and/or amphophilic granular appearance (MTC) ----- Oncocytic change in follicular epithelial cells -- deeply eosinophilic granular cytoplasm and/or a degree of cytoplasmic clearing, which reflects the mitochondrial dilatation.
  • 37.
    WHAT ARE THEDEFINITIONS OF CAPSULAR AND VASCULAR INVASION?
  • 38.
    Follicular epithelial neoplasmthat exhibits capsular and/or vascular invasion in the absence of nuclear features of PTC is diagnosed as FTC. Many pathologists consider a single focus of capsular invasion to be a sign of malignancy when nuclear features of PTC are absent. Others have questioned if capsular without vascular invasion qualifies for a diagnosis of a malignancy?? Most experts require the presence of tumor penetrating through the entire thickness of the capsule of a lesion, others consider it sufficient to identify the presence of incomplete capsular Transgression. Sites of previous biopsy can result in artefactual capsular dehiscence and pseudoinvasion.
  • 39.
    Bulging of tumorunder intact endothelium, intravascular tumor casts without thrombus and intravascular tumor nests covered with intact endothelium do not predict metastatic behavior. Tumor cells invading through a vessel wall and thrombus adherent to intravascular tumor predicts an unusually high risk of distant hematogenous spread.
  • 40.
  • 41.
    WHAT IS THESIGNIFICANCE OF EXTRATHYROIDAL EXTENSION?
  • 42.
     Although manypeople refer to invasion of a thyroid capsule by thyroid tumors, the only capsule that can be invaded is a tumor capsule. The thyroid gland has no anatomic capsule. Rather, the thyroid is covered by an incomplete thin pseudocapsule that contains varying proportions of fibrous and adipose tissue.  Criteria for defining minimal (pT3) extrathyroidal extension (ETE) are problematic, because the presence of tumor cells in fibroadipose tissue does not qualify as ETE.  The hallmark of ETE is at least skeletal muscle invasion in the lateral lobes.  Does not apply in the isthmus, because normal isthmic parenchyma includes skeletal muscle fibers of Soemmerring muscle intermingled with thyroid follicles.  The assessment of ETE in the isthmus requires input from preoperative and intraoperative findings in addition to histologic examination looking for invasion into other neck structures such as laryngeal cartilage or esophagus.
  • 43.
    CAP  The criteriadefining minimally invasive follicular carcinoma are controversial and still evolving. The WHO classification system allows for this term to encompass encapsulated lesions with capsular and/or small-caliber sized angioinvasion, even if angioinvasion is extensive.  However, it is apparent in the literature that even within this group there is a survival difference between tumors with only capsular invasion (so called “true minimally invasive” follicular carcinomas) and those that are angioinvasive, with the latter being more aggressive. It is thus appropriate to further stratify minimally invasive tumors into these subcategories.
  • 45.
    HOW IS DEDIFFERENTIATION DEFINEDAND WHAT IS ITS SIGNIFICANCE?
  • 46.
    Poorly differentiated thyroidcarcinoma (PDTC) -- intermediate form of thyroid cancer between well- differentiated PTC or FTC and undifferentiated or anaplastic thyroid carcinoma. The Turin consensus defined PDTC as a neoplasm derived from follicular epithelial cells with a solid/trabecular/insular growth pattern, absence of conventional nuclear features of PTC and presence of at least one of the following features: - convoluted nuclei - mitotic activity (>3/10HPF) - necrosis.
  • 47.
     This consensusdid not clarify precisely the required minimum percentage of these changes to classify a follicular neoplasm as PDTC.  Because the clinical course will be driven by the presence of the worst component, Authors believe that any amount of dedifferentiation should be reported in the surgical pathology consultation report.  “PTC/FTC with focal dedifferentiation” when these changes occur in <30% of an otherwise well-differentiated thyroid carcinoma.  Lesions with more than this component are diagnosed as poorly differentiated carcinoma, and authors specify it as “arising in PTC or FTC” if there is an associated well-differentiated component
  • 49.
    WHEN SHOULD ANCILLARY TOOLSBE USED IN THE DIAGNOSIS OF DIFFERENTIATED FOLLICULAR EPITHELIAL NEOPLASMS?
  • 50.
    Immunohistochemisty is usuallyused to identify the cellular origin of a thyroid lesion, to support the diagnosis of malignancy, to predict the risk of lymph node metastasis, or to highlight nuclear membrane changes. Thyroglobulin is the most specific marker for thyroid follicular epithelium (technical limitations because of its tendency to diffuse widely throughout adjacent tissue)  TTF-1 is positive in both follicular epithelial cells and parafollicular C-cells. TTF-1 is also characteristically found in lung carcinomas and some high-grade neuroendocrine carcinomas from other sites.
  • 51.
    Markers of neuroendocrinedifferentiation (including synaptophysin and chromogranins) are positive in MTC, intrathyroidal parathyroid lesions, paragangliomas, or metastatic neuroendocrine carcinomas. The presence of tyrosine hydroxylase and the negativity for low molecular weight keratins supports the diagnosis of paraganglioma. Positivity for monoclonal carcinoembryonic antigen and calcitonin is diagnostic of MTC. Parathyroid lesions are distinguished by their immunoreactivity for PTH and Gcm2 (glial cells missing 2).
  • 52.
     If thelesion is clearly of thyroid follicular cell derivation, but malignancy is not unequivocal, there are several useful markers that can be applied. HBME-1, cytokeratin 19 (CK19), and galectin-3 are useful to support the diagnosis of malignancy  HBME-1 positivity with an apical and/or membranous pattern is suggestive of malignancy, but when negative, it does not exclude malignancy.  Diffuse and membranous CK19 throughout the lesion is usually helpful, but focal strong staining can be seen at sites of degeneration and diffuse strong staining is common in lymphocytic thyroiditis, so careful assessment of the pattern of reactivity is important.  Recently, emerin immunohistochemistry has been used to highlight nuclear membrane irregularities seen in PTC.
  • 54.
     Molecular testingfor BRAF mutations and RET/PTC gene rearrangements can be applied to cytology and histology specimens from suspicious thyroid nodules.  Image analysis using genetic programming software (GPS) is a new and evolving ancillary tool that builds automatic feature extraction algorithms, utilizing spectral and spatial signatures of image features.  The authors have undertaken a feasibility study to analyze the texture pattern of follicular variant PTC and benign follicular lesions using GPS. The preliminary results are promising, as GPS can recognize benign and malignant areas in digitalized hematoxylin and eosin–stained slides.  Ongoing studies will be needed to validate this exciting new technology