Molecular approach and
Updates in Thyroid Neoplasms
Ipsita Panda
Outline
Introduction to molecular basis of thyroid tumors
Changes in the classification of thyroid tumors
Follicular derived neoplasms
C-cell derived neoplasm
Tumors of uncertain histogenesis
Role of IHC
Molecular testing of thyroid tumors
• Most common endocrine malignancy.
• Differentiated tumors: 90%, (>95%) are of follicular cell origin, whereas the
remaining 3% to 5% are medullary thyroid carcinomas (MTCs) arising from C cells.
• Poorly differentiated and Anaplastic thyroid: 5% and 1%
• Low somatic burden
• Driver mutations: ~90%
Introduction
PTC
FC
2020 Update on Fundamental Mechanisms of Thyroid Cancer. Front. Endocrinol.
• TCGA study has shown strong
correlation between histologic
phenotypes and underlying
genotypes
• BRAFV600E-like group: less
differentiation, reduced expression
of TG nd Throid peroxidase,
papillary pattern with nuclear
features; extra-thyroidal extension
• RAS-like group :highly differentiated
and retain expression of thyroid
differentiation factors like TG and
thyroid peroxidase: follicular pattern
of growth
• RET
• NTRK
• BRAF-Nonv600E
(BRAFK601E)
• PTEN, Pax-8-PPAR
A total of 26 cases were analysed for BRAF v600Emutation. The BRAFv600E mutation (T1799 A transversion) was observed
in 11 out of 26 (42.3%) cases of PTC with LT. The base Thymine was transversed to Adenine in these cases. Following figure
describes the representative chromatograms of Sanger sequencing where the T1799 A transversion was observed.
Annals of Oncology 30: 1856–1883, 2
Borderline and Precursor Lesions of Thyroid Neoplasms: A Missing Link
• Sequential events and multiple steps
carcinogenesis
• Corresponding genetic and epigenetic
alterations, from normal follicular cells,
benign proliferative lesions, benign
follicular adenoma (FA), well-
differentiated carcinoma (WDC), to
poorly differentiated carcinoma (PDC)
and undifferentiated carcinoma (UC) of
thyroid.
Molecular pathology of thyroid tumours of follicular cells: a review of genetic alterations and their clinicopathological relevance Histopathology 2018, 72, 6
4th Edition
5th Edition
• Cell of origin
• Pathological features (cytopathology and histopathology)
• Emphasize molecular based classification
• Biologic behavior
MNG: A clinical diagnosis
D/D: Thyroiditis, Hyperplasia and neoplasms
Colloid Nodules
Hyperplasia
Adenomatoid
Adenomatous Nodules
Thyroid follicular Nodular disease (FND)
• Multifocal non-inflammatory benign proliferation of follicular cells
• Multiple clonal and non-clonal nodules with highly variable
architecture.
• MNG is clinical term referring to an enlarged thyroid gland with
multiple nodules caused by FND.
• Follicular cell proliferations lacking invasive growth and
nuclear features of papillary thyroid carcinoma.
Molecular basis and pathogenesis
• Proliferation of multiple cells in response to growth factors and cytokines.
• Genes that play an important role in the thyroid hormone pathway:
TG, TPO, sodium-iodide symporter NIS, dual oxidase (DUOX2), and TSHR
• MNG inherited in an autosomal dominant inheritance pattern- genetic variants
(RGS12, GRPEL1, CLI6, and WFS1) in familial goitre
• Benign follicular nodules do not metastasize and do not recur when completely
excised.
Clonal Nodules
35 year Female with MNG
S-21612/2022
• Benign non-invasive encapsulated follicular-cell-derived neoplasm that is
characterized by an intrafollicular papillary architecture, lacks nuclear
features of PTC, and is often associated with autonomous hyperfunction.
• Activating TSHR mutations are detected in up to 70%
• GNAS mutations are found in a small subset- McCune Albright syndrome
• Increase in cyclic AMP (cAMP)
Follicular thyroid adenoma with papillary architecture
27/M
, 27/M with thyrotoxicosis
Papillary lesions: D/D
Sandersons Polsters
S-19881/2022
Oncocytic Adnoma of Thyroid
• Term “Hürthle cell” is discouraged
• Distinct genomic alterations in the mitochondrial genome (mtDNA) or in the related
GRIM19 (NDUFA13) gene
• Definition of > 75% oncocytic cytology , Mitoses are usually rare (<3 mitoses per 2 mm2)
• Tumours over 40 mm : poorer prognosis
• May be associated with Cowden syndrome (most frequently associated with a
germline PTEN mutation) and Carney complex (most frequently associated with a
germline PRKAR1A mutation).
Histology Pictures
Essential diagnostic criteria
Essential:
Non-invasive, encapsulated, follicular-
patterned tumour.
Lack of nuclear features of papillary
thyroid carcinoma.
Architecture and cytomorphology of FA
should be distinct from the background
thyroid parenchyma.
Mitoses are usually rare (<3 mitoses per 2 mm2), and coagulative tumour necrosis is absent
Follicular thyroid adenoma
• NRAS > HRAS mutations and KRAS mutations
• PAX8::PPARG rearrangements occur in about 5-10% of FA
• EIF1AX mutations are identified in about 5% of FA
Tumors exhibiting following features are follicular adenoma if no invasion is
found after thorough sampling:
1. Thick fibrous capsule
2. High cellularity, with solid or trabecular growth pattern
3. Diffuse nuclear atypia
4. Readily identifiable mitotic figures
• Intermediate between benign and malignant tumors.
Requires meticulous microscopic examination of the entire tumor capsule/periphery to rule out invasive growth
• Indolent nature
• overtreatment of patients
• Do metastasize but rarel
• Non-invasive encapsulated/well
demarcated follicular cell derived
tumour with a follicular growth
pattern and nuclei of PTC that has
an extremely low malignant
potential.
• RAS-like molecular alterations in
in 52% of tumors.
• A minor solid growth pattern (<30%
of the tumour) is allowed.
A score of 2-3 is necessary for the diagnosis of NIFTP
Essential:
1.Encapsulation or clear demarcation.
2.Follicular growth pattern with all of the following: <1% true papillae; No
bodies; <30% solid/trabecular/insular growth pattern.
3.Nuclear features of papillary carcinoma (nuclear score of 2-3)
4.No vascular or capsular invasion
5.No tumour necrosis
6.Low mitotic count (<3 mitosis / 2mm2)
7.Lack of cytoarchitectural features of papillary carcinoma variants other than
variant (tall cell features, cribriform-morular variant, solid variant, etc).
Desirable:
Immunohistochemistry or molecular testing for BRAF and NRAS mutation.
Subcentimeter
NIFTP
Oncocytic NIFTP
• Low prevelance of NIFTP in Asian
countries (0.5-5%)
• Lobectomy with radiologic
surveillance
• Radioiodine therapy avoided
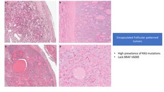
Encapsulated Follicular patterned
tumors
• High prevelance of RAS mutations
• Lack BRAF V600E
Questionable vascular or
capsular invasion
Look for nuclear features
FT-UMP, WDT-UMP
• Term “atypical adenoma” discouraged
• On close follow up-biological potential
unknown
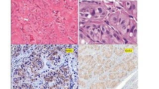
MIB1 GLIS1
• overexpression of the
3′ portions of the GLIS
genes, which induces
• Upregulation of
extracellular
matrix-related genes
including collagen
genes
• PAX-8: GLIS3,
PAX8:GLIS1
• The intratrabecular eosinophilic hyaline
material is negative with the Congo red stain.
• Lobectomy is curative
• Lymph node or distant metastasis in rare cases
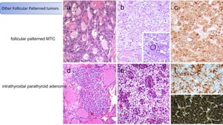
Other Follicular Patterned tumors
follicular patterned MTC
intrathyroidal parathyroid adenoma
• Subtype replaces variant
• Cribriform morular no longer a PTC subtype
• Microcarcinoma is NOT a PTC subtype
• Squamous cell carcinoma is a subtype of Anaplastic cell derived carcinoma
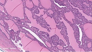
FVPTC
Encapsulated type Infiltrating type
invasion
of blood
vessels or
of the
tumor
capsule.
infiltrativ
e tumors
with florid
nuclear
atypia.
• RAS point mutations
• PAX8::PPARG
• BRAF K601E mutation
• BRAF-like tumor
Follicular carcinoma
• constitutive activation of theWNT/β-catenin pathway that
can occur with familial adenomatous polyposis or
sporadically.
• Angioinvasion occurs in 30% and capsular invasion in 40% o
cases
• Psammoma bodies are rare
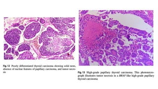
Well differentiated Poorly differentiated Anaplastic
• Ki-67 Index: 10-30%
• Prognosis is intermediate between well and anaplastic carcinoma
• 50% of high grade non-anaplastic thyroid carcinoma-RAI refractory- therapies focusing in molecular signature
RAS Mut BRAF Mut
Endocrine Pathology (2021) 32:63–76
Molecular Pathology of Poorly Differentiated and Anaplastic Thyroid Cancer: What Do Pathologists Need to Know?
Systemic Molecular therapy for Aggressive TC
• Radioactive iodine-refractory thyroid tumours are poorly differentiated carcinomas or advanced
papillary carcinomas
• Two multikinase inhibitors, sorafenib and Lenvatinib: approved by the Food and Drug
• The MAPK/extracellular signal-regulated kinase kinase (MEK1 and MEK2) inhibitor selumetinib
• Aberrant activation of the PI3K–PTEN–AKT pathway : respond to specific treatments with AKT
or mTOR inhibitors.
• Frequent expression of PD-L1 in the neoplastic cells with concurrent PD-1 expression in
inflammatory/immune cells in cases of anaplastic carcinoma (and of other forms of advanced
thyroid tumour) : immunotherapy with PD-1/PD-L1 immune checkpoint inhibitors for patients
with aggressive thyroid cancers.
Molecular pathology of thyroid tumours of follicular cells: a review of genetic alterations and their clinicopathological relevance
Histopathology 2018, 72, 6–31.
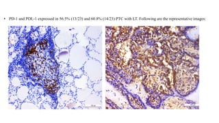
• PD-1 and PDL-1 expressed in 56.5% (13/23) and 60.8% (14/23) PTC with LT. Following are the representative images:
• ATC, squamous cell carcinoma pattern
• ATC can have focal squamous features or be completely squamous.
• Primary thyroid squamous cell carcinoma has similar poor overall
survival as conventional ATC and is now considered a pattern of ATC
• ATC with a squamous cell carcinoma phenotype more frequently
(76%) has a previous or concurrent differentiated thyroid carcinoma
compared to conventional ATC and has frequent BRAF
p.V600E mutation
IHC Follicular
adenoma
Follicular
carcinoma
Follicular
variant of
Papillary
carcinoma
HBME1 Usually - May be + Usually +
Galectin 3 Usually - Usually + Usually +
CK19 Usually - Usually - Usually +
CITED3 - Usually - May be +
IMP3 - May be + May be +
• cut-off value of 4% to separate FTC from FTA with a sensitivity and specificity of 65%
and 83%, respectively.
• Ki-67 constituted an independent predictor of future FTC metastases/recurrence and
death of disease, and a value > 4% was a reliable prognostic marker within individual
pT staging groups.
• NGS panels for pre and post-
operative analyses.
• FNA sample to guide surgical
procedure and post operative
for providing actionable
genetic events in case of
therapy resistant disease
progression.
Use of Molecular IHC
• screening tool for specific genetic
events in PTCs
• BRAF antibody (clone VE1) to screen
for V600E alterations
• pan-RAS Q61R (clone SP174) antibody
that detects the most common
HRAS/NRAS/KRAS Q61R mutations
• pan-TRK staining for NTRK1/3 fusions
and the 5A4
• D5F3 antibodies optimized for the
detection of ALK fusions
• Loss of PTEN
BRAF
Pan-TRK
Pan RAS
ALK
PTEN
Medullary Thyroid carcinoma
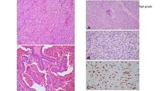
• High-grade MTCs were defined as tumors with at least one of the
following features: mitotic index ≥ 5 per 2 mm2, Ki67 proliferative
index ≥ 5%, or tumor necrosis.
• two-tiered international grading system is a powerful predictor of
adverse outcomes in MTC
• locoregional recurrence, distant metastasis-free, disease-specific,
and overall survival
• 25% are high grade
327 patients with MTC
mitotic activity, Ki67 proliferative index,
and necrosis
High grade
SALL-4
?Diagnosis
Thyroblastoma
• An embryonal high-grade thyroid neoplasm composed of primitive
thyroid-like follicular cells surrounded by a primitive small cell
component and mesenchymal stroma with variable differentiation
• a striking predilection for females (3: 1) with a median age of 43 years
(range: 17 to 65 years)
• DICER1 mutation
• primitive small cells and the stroma show frequent rhabdomyoblastic
differentiation, with desmin and myogenin immunoreactivity but are
negative forTTF1, PAX8 and thyroglobulin.
Thyroblastoma
ThyroidIP.pptx

ThyroidIP.pptx

  • 1.
    Molecular approach and Updatesin Thyroid Neoplasms Ipsita Panda
  • 2.
    Outline Introduction to molecularbasis of thyroid tumors Changes in the classification of thyroid tumors Follicular derived neoplasms C-cell derived neoplasm Tumors of uncertain histogenesis Role of IHC Molecular testing of thyroid tumors
  • 3.
    • Most commonendocrine malignancy. • Differentiated tumors: 90%, (>95%) are of follicular cell origin, whereas the remaining 3% to 5% are medullary thyroid carcinomas (MTCs) arising from C cells. • Poorly differentiated and Anaplastic thyroid: 5% and 1% • Low somatic burden • Driver mutations: ~90% Introduction
  • 4.
    PTC FC 2020 Update onFundamental Mechanisms of Thyroid Cancer. Front. Endocrinol.
  • 5.
    • TCGA studyhas shown strong correlation between histologic phenotypes and underlying genotypes • BRAFV600E-like group: less differentiation, reduced expression of TG nd Throid peroxidase, papillary pattern with nuclear features; extra-thyroidal extension • RAS-like group :highly differentiated and retain expression of thyroid differentiation factors like TG and thyroid peroxidase: follicular pattern of growth • RET • NTRK • BRAF-Nonv600E (BRAFK601E) • PTEN, Pax-8-PPAR
  • 7.
    A total of26 cases were analysed for BRAF v600Emutation. The BRAFv600E mutation (T1799 A transversion) was observed in 11 out of 26 (42.3%) cases of PTC with LT. The base Thymine was transversed to Adenine in these cases. Following figure describes the representative chromatograms of Sanger sequencing where the T1799 A transversion was observed.
  • 8.
    Annals of Oncology30: 1856–1883, 2
  • 9.
    Borderline and PrecursorLesions of Thyroid Neoplasms: A Missing Link • Sequential events and multiple steps carcinogenesis • Corresponding genetic and epigenetic alterations, from normal follicular cells, benign proliferative lesions, benign follicular adenoma (FA), well- differentiated carcinoma (WDC), to poorly differentiated carcinoma (PDC) and undifferentiated carcinoma (UC) of thyroid. Molecular pathology of thyroid tumours of follicular cells: a review of genetic alterations and their clinicopathological relevance Histopathology 2018, 72, 6
  • 10.
  • 11.
    • Cell oforigin • Pathological features (cytopathology and histopathology) • Emphasize molecular based classification • Biologic behavior
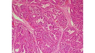
  • 13.
    MNG: A clinicaldiagnosis D/D: Thyroiditis, Hyperplasia and neoplasms Colloid Nodules Hyperplasia Adenomatoid Adenomatous Nodules
  • 14.
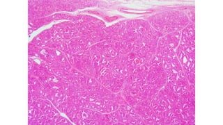
    Thyroid follicular Nodulardisease (FND) • Multifocal non-inflammatory benign proliferation of follicular cells • Multiple clonal and non-clonal nodules with highly variable architecture. • MNG is clinical term referring to an enlarged thyroid gland with multiple nodules caused by FND. • Follicular cell proliferations lacking invasive growth and nuclear features of papillary thyroid carcinoma.
  • 15.
    Molecular basis andpathogenesis • Proliferation of multiple cells in response to growth factors and cytokines. • Genes that play an important role in the thyroid hormone pathway: TG, TPO, sodium-iodide symporter NIS, dual oxidase (DUOX2), and TSHR • MNG inherited in an autosomal dominant inheritance pattern- genetic variants (RGS12, GRPEL1, CLI6, and WFS1) in familial goitre • Benign follicular nodules do not metastasize and do not recur when completely excised. Clonal Nodules
  • 16.
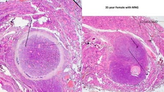
    35 year Femalewith MNG S-21612/2022
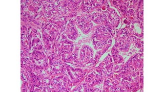
  • 17.
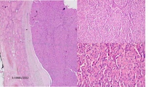
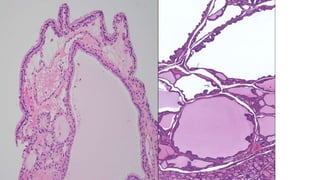
    • Benign non-invasiveencapsulated follicular-cell-derived neoplasm that is characterized by an intrafollicular papillary architecture, lacks nuclear features of PTC, and is often associated with autonomous hyperfunction. • Activating TSHR mutations are detected in up to 70% • GNAS mutations are found in a small subset- McCune Albright syndrome • Increase in cyclic AMP (cAMP) Follicular thyroid adenoma with papillary architecture
  • 20.
    27/M , 27/M withthyrotoxicosis
  • 24.
  • 25.
  • 26.
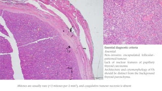
    Oncocytic Adnoma ofThyroid • Term “Hürthle cell” is discouraged • Distinct genomic alterations in the mitochondrial genome (mtDNA) or in the related GRIM19 (NDUFA13) gene • Definition of > 75% oncocytic cytology , Mitoses are usually rare (<3 mitoses per 2 mm2) • Tumours over 40 mm : poorer prognosis • May be associated with Cowden syndrome (most frequently associated with a germline PTEN mutation) and Carney complex (most frequently associated with a germline PRKAR1A mutation).
  • 27.
    Histology Pictures Essential diagnosticcriteria Essential: Non-invasive, encapsulated, follicular- patterned tumour. Lack of nuclear features of papillary thyroid carcinoma. Architecture and cytomorphology of FA should be distinct from the background thyroid parenchyma. Mitoses are usually rare (<3 mitoses per 2 mm2), and coagulative tumour necrosis is absent
  • 28.
    Follicular thyroid adenoma •NRAS > HRAS mutations and KRAS mutations • PAX8::PPARG rearrangements occur in about 5-10% of FA • EIF1AX mutations are identified in about 5% of FA Tumors exhibiting following features are follicular adenoma if no invasion is found after thorough sampling: 1. Thick fibrous capsule 2. High cellularity, with solid or trabecular growth pattern 3. Diffuse nuclear atypia 4. Readily identifiable mitotic figures
  • 29.
    • Intermediate betweenbenign and malignant tumors.
  • 30.
    Requires meticulous microscopicexamination of the entire tumor capsule/periphery to rule out invasive growth • Indolent nature • overtreatment of patients • Do metastasize but rarel
  • 31.
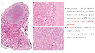
    • Non-invasive encapsulated/well demarcatedfollicular cell derived tumour with a follicular growth pattern and nuclei of PTC that has an extremely low malignant potential. • RAS-like molecular alterations in in 52% of tumors. • A minor solid growth pattern (<30% of the tumour) is allowed.
  • 32.
    A score of2-3 is necessary for the diagnosis of NIFTP
  • 33.
    Essential: 1.Encapsulation or cleardemarcation. 2.Follicular growth pattern with all of the following: <1% true papillae; No bodies; <30% solid/trabecular/insular growth pattern. 3.Nuclear features of papillary carcinoma (nuclear score of 2-3) 4.No vascular or capsular invasion 5.No tumour necrosis 6.Low mitotic count (<3 mitosis / 2mm2) 7.Lack of cytoarchitectural features of papillary carcinoma variants other than variant (tall cell features, cribriform-morular variant, solid variant, etc). Desirable: Immunohistochemistry or molecular testing for BRAF and NRAS mutation.
  • 35.
    Subcentimeter NIFTP Oncocytic NIFTP • Lowprevelance of NIFTP in Asian countries (0.5-5%) • Lobectomy with radiologic surveillance • Radioiodine therapy avoided
  • 36.
    Encapsulated Follicular patterned tumors •High prevelance of RAS mutations • Lack BRAF V600E
  • 38.
    Questionable vascular or capsularinvasion Look for nuclear features FT-UMP, WDT-UMP • Term “atypical adenoma” discouraged • On close follow up-biological potential unknown
  • 40.
  • 41.
    • overexpression ofthe 3′ portions of the GLIS genes, which induces • Upregulation of extracellular matrix-related genes including collagen genes • PAX-8: GLIS3, PAX8:GLIS1 • The intratrabecular eosinophilic hyaline material is negative with the Congo red stain. • Lobectomy is curative • Lymph node or distant metastasis in rare cases
  • 42.
    Other Follicular Patternedtumors follicular patterned MTC intrathyroidal parathyroid adenoma
  • 43.
    • Subtype replacesvariant • Cribriform morular no longer a PTC subtype • Microcarcinoma is NOT a PTC subtype • Squamous cell carcinoma is a subtype of Anaplastic cell derived carcinoma
  • 44.
    FVPTC Encapsulated type Infiltratingtype invasion of blood vessels or of the tumor capsule. infiltrativ e tumors with florid nuclear atypia. • RAS point mutations • PAX8::PPARG • BRAF K601E mutation • BRAF-like tumor
  • 45.
  • 51.
    • constitutive activationof theWNT/β-catenin pathway that can occur with familial adenomatous polyposis or sporadically. • Angioinvasion occurs in 30% and capsular invasion in 40% o cases • Psammoma bodies are rare
  • 53.
    Well differentiated Poorlydifferentiated Anaplastic
  • 54.
    • Ki-67 Index:10-30% • Prognosis is intermediate between well and anaplastic carcinoma • 50% of high grade non-anaplastic thyroid carcinoma-RAI refractory- therapies focusing in molecular signature RAS Mut BRAF Mut
  • 56.
    Endocrine Pathology (2021)32:63–76 Molecular Pathology of Poorly Differentiated and Anaplastic Thyroid Cancer: What Do Pathologists Need to Know?
  • 57.
    Systemic Molecular therapyfor Aggressive TC • Radioactive iodine-refractory thyroid tumours are poorly differentiated carcinomas or advanced papillary carcinomas • Two multikinase inhibitors, sorafenib and Lenvatinib: approved by the Food and Drug • The MAPK/extracellular signal-regulated kinase kinase (MEK1 and MEK2) inhibitor selumetinib • Aberrant activation of the PI3K–PTEN–AKT pathway : respond to specific treatments with AKT or mTOR inhibitors. • Frequent expression of PD-L1 in the neoplastic cells with concurrent PD-1 expression in inflammatory/immune cells in cases of anaplastic carcinoma (and of other forms of advanced thyroid tumour) : immunotherapy with PD-1/PD-L1 immune checkpoint inhibitors for patients with aggressive thyroid cancers. Molecular pathology of thyroid tumours of follicular cells: a review of genetic alterations and their clinicopathological relevance Histopathology 2018, 72, 6–31.
  • 58.
    • PD-1 andPDL-1 expressed in 56.5% (13/23) and 60.8% (14/23) PTC with LT. Following are the representative images:
  • 59.
    • ATC, squamouscell carcinoma pattern • ATC can have focal squamous features or be completely squamous. • Primary thyroid squamous cell carcinoma has similar poor overall survival as conventional ATC and is now considered a pattern of ATC • ATC with a squamous cell carcinoma phenotype more frequently (76%) has a previous or concurrent differentiated thyroid carcinoma compared to conventional ATC and has frequent BRAF p.V600E mutation
  • 60.
    IHC Follicular adenoma Follicular carcinoma Follicular variant of Papillary carcinoma HBME1Usually - May be + Usually + Galectin 3 Usually - Usually + Usually + CK19 Usually - Usually - Usually + CITED3 - Usually - May be + IMP3 - May be + May be +
  • 61.
    • cut-off valueof 4% to separate FTC from FTA with a sensitivity and specificity of 65% and 83%, respectively. • Ki-67 constituted an independent predictor of future FTC metastases/recurrence and death of disease, and a value > 4% was a reliable prognostic marker within individual pT staging groups.
  • 62.
    • NGS panelsfor pre and post- operative analyses. • FNA sample to guide surgical procedure and post operative for providing actionable genetic events in case of therapy resistant disease progression.
  • 63.
    Use of MolecularIHC • screening tool for specific genetic events in PTCs • BRAF antibody (clone VE1) to screen for V600E alterations • pan-RAS Q61R (clone SP174) antibody that detects the most common HRAS/NRAS/KRAS Q61R mutations • pan-TRK staining for NTRK1/3 fusions and the 5A4 • D5F3 antibodies optimized for the detection of ALK fusions • Loss of PTEN BRAF Pan-TRK Pan RAS ALK PTEN
  • 64.
    Medullary Thyroid carcinoma •High-grade MTCs were defined as tumors with at least one of the following features: mitotic index ≥ 5 per 2 mm2, Ki67 proliferative index ≥ 5%, or tumor necrosis. • two-tiered international grading system is a powerful predictor of adverse outcomes in MTC • locoregional recurrence, distant metastasis-free, disease-specific, and overall survival • 25% are high grade 327 patients with MTC mitotic activity, Ki67 proliferative index, and necrosis
  • 65.
  • 66.
  • 67.
    Thyroblastoma • An embryonalhigh-grade thyroid neoplasm composed of primitive thyroid-like follicular cells surrounded by a primitive small cell component and mesenchymal stroma with variable differentiation • a striking predilection for females (3: 1) with a median age of 43 years (range: 17 to 65 years) • DICER1 mutation • primitive small cells and the stroma show frequent rhabdomyoblastic differentiation, with desmin and myogenin immunoreactivity but are negative forTTF1, PAX8 and thyroglobulin. Thyroblastoma

Editor's Notes

  • #4 Distinct sets of driver mutations in cancer genes are found in the four major histologic variants Driver mutations those provide selective advantage thus promoting cancer development
  • #5 Dysregulation of Mitgen activated protein kinase and PI3
  • #6 The TCGA study has shown that there is a strong correlation between histologic phenotypes and underlying genotypes
  • #9 use of molecular targets to treat aggressive radioiodine-resistant thyroid carcinomas
  • #10  Transformation of thyroid follicular cells result in differentiated and undifferentiated TC through multi-step process molecular events that shape the biological and clinical features of thyroid tumours are, in turn, influ- enced by environmental factors, and by the genetic background of the individual, which, in a broad defi- nition, must also include the age-related genetic fea- tures of thyroid tissue. Environmental factors that are well known to play a major role include ionising radi- ation and the availability of iodine in the diet, although there are probably many other factors whose roles need to be fully elucidated TERT promoter mutations are exclusively associated with malignancy
  • #11 Cell of origin Pathological features (cytopathology and histopathology) Emphasize molecular based classification Biologic behavior
  • #12 cytogenesis forms the basis of framework for this new classification, with histology and molecular features defining tumor types and subtypes.
  • #13 Focus on taxonomy
  • #16 foci of malignant transformation can occur within the nodules of multinodular goiter.
  • #17 traditionally been accepted that benign-appearing follicular tumors of the thyroid that are completely surrounded by a fibrous capsule correspond to follicular adenomas, whereas well-circumscribed but unencapsulated tumors correspond to hyperplastic nodules
  • #18 hyperfunctioning follicular adenoma (FA) with papillary architecture occur predominantly in women and were initially described in young women at the age of menarcheEssential: encapsulated thyroid neoplasm composed of follicular epithelial cells with organized intrafollicular papillary architecture, with sub-follicle formation, broad papillae with edematous cores and lacking nuclear atypia, capsular invasion and psammoma bodies.
  • #19 Low power view showing large colloid-filled follicles and complex papillary infoldings of the lining epithelium. centripetal” intrafollicular papillary architecture lacking nuclear features of PTC
  • #25  Short simple non –branching centripetal Monomorphic normochromatic basally oriented nuclei
  • #27 it is actually a misnomer since Hürthle described the C cells of the thyroid gland. follicular adenomas can have focal oncocytic change; t rate compared to those under 40 mm
  • #28 he characteristic histopathologic finding in MNG is nodular hyperplasia. The nodules usually show an admixture of large and small sized follicles, often with papillary formations. A dominant follicular or papillary growth pattern can also be present (see also sections on follicular adenoma). The epithelium lining the follicles and papillae can range from tall-columnar to low-cuboidal. Nuclear features of papillary thyroid carcinoma are absent. Large follicles lined by flattened epithelium and distended with colloid often merge to form large cystic spaces filled with thin colloid, known as “colloid nodules”. Encapsulated cellular nodules with either a follicular or papillary growth pattern morphologically appear similar to “follicular adenoma” and thus have been termed as adenomatous or adenomatoid nodules. It is common to encounter foci of nodular hyperplasia intermixed with foci of haemorrhage (either due to degenerative changes or related to preoperative FNA), haemosiderin-laden macrophages, fibrosis, calcifications and even ossification.
  • #31 presence of diffuse well developed PTC nuclear features does not preclude a diagnosis of NIFTP, these lesions need to be entirely examined histologically.
  • #34 Encapsulation or clear demarcation. Follicular growth pattern with all of the following: <1% true papillae; No psammoma bodies; <30% solid/trabecular/insular growth pattern. Nuclear features of papillary carcinoma (nuclear score of 2-3) No vascular or capsular invasion No tumour necrosis Low mitotic count (<3 mitosis / 2mm2) Lack of cytoarchitectural features of papillary carcinoma variants other than follicular (tall cell features, solid variant, etc).
  • #36 Canini et al., 14.7% of the NIFTP were multifocal, and around 10% were bilateral.33 Unfortunately, no out- come comparison was reported between unifocal and multifocal cases.33 As for whether NIFTP implies increased risk for contralateral tumor, Canberk et al. examined 74 total thyroidectomies with NIFTP as the index lesion.34 Contralateral lesions were found in 13 (18%) cases, including five classical PTC, five follicular variant papillary thyroid microcarcinomas, two NIFTP and one IFVPTC
  • #43 ollicularpatterned medullary thyroid carcinoma (MTC) (a). In this other follicular patterned MTC (b), there are several calcifications simulating psammoma bodies (inset) and positivity for calcitonin (c). Intrathyroidal parathyroid tissue (d). The microscopic aspect of an intrathyroidal parathyroid adenoma is similar to eutopic parathyroid adenomas (e). Intrathyroidal parathyroid adenoma expressing chromogranin A (f) and PTH (g). Calcitonin-negative medullary thyroid carcinoma (h) showing positivity for CGRP (i). Paraganglioma (j) typically shows negativity for calcitonin and S100-positive sustentacular cells (inset) calcitonin, CGRP, and monoclonal CEA in the tumor cells can assist the diagnosis [38, 54]. Intrathyroidal Parathyroid Neoplasms with Follicular Growth Parathyroid adenoma and carcinoma can manifest with an intrathyroidal nodule [2] (Fig. 4d). Intrathyroidal parathyroid adenomas are frequently misdiagnosed as follicular lesion on FNAB specimens. Intrathyroidal parathyroid adenoma (Fig. 4e) must not be interpreted as an evidence of parathyroid carcinoma. The diagnosis of intrathyroidal parathyroid carci- noma requires demonstration of invasive growth. Positivity for chromogranin A, GATA3, GCM2, and PTH can distinguish parathyroid origin [2, 55, 56] (Fig. 4f–g). One should also be aware that parathyroid proliferations can dis- play aberrant reactivity for calcitonin and CGRP; therefore,
  • #46 The entire tumor capsule or tumor normal interface is submitted for histologic evaluation ●  For large lesions, stepwise submission of sections (ie, a limited number initially) until invasion is found or the lesional border is entirely submitted is acceptable ●  Multiple sections can be submitted per block, focusing on the tumor periphery and its junction to the parenchyma ●  In the setting of multinodular disease gross identification of a fine needle tract may be beneficial to capture the lesion of interest ●  For lesions with excessively overt nuclear features of papillary carcinoma but without exclusion criteria on initial sectioning, additional sections of the central portion should be submitted to exclude a conventional papillary thyroid carcinoma component
  • #47 irregular contours of the inner capsular border, capsular pushing by the tumor cells, or tumor cell nests embedded in the capsule are considered by many authors as insufficient for a diagnosis of malignancy
  • #49 The differential diagnosis of thyroid tumors can be split based on those with bland nuclear features (A) versus those with the nuclear atypia of papillary carcinoma (B) (nuclear enlargement/overlap, chromatin pallor, nuclear contour irregularity [including longitudinal nuclear grooves and intranuclear cytoplasmic pseudoinclusions]). An idealized, conceptual matrix that integrates architectural pattern (top row of each figure: macrofollicular, microfollicular, papillary, or solid/ trabecular/insular) and growth pattern at gross or low-magnification examination (left: infiltrative/diffuse or well-circumscribed/encapsulated) can refine the differential diagnosis. Well-circumscribed/encapsulated tumors are further stratified into those without capsular or vascular invasion, those with capsular invasion only, or those with angioinvasion (with or without capsular invasion). (A) For tumors with bland nuclear features, the growth pattern (i.e., circumscription and invasiveness) steers the classification. 1Tumors that are histologically indeterminate for invasion can be classified as “follicular tumor of uncertain malignant potential” (FT-UMP). For tumors with bland nuclear features, the architectural pattern has little effect on tumor classification, with the exception of the solid/ trabecular/insular pattern, which, together with increased mitotic rate (≥3 per ten 40x fields) and necrosis, support classification of a tumors as poorly differentiated thyroid carcinoma (PDTC). (B) For tumors with the nuclear atypia of papillary carcinoma, the architectural and low-magnification growth patterns play equally important roles in tumor classification. Tumors with follicular architecture (macro- or microfollicular) are subclassified as NIFTP, invasive encapsulated follicular variant of papillary thyroid carcinoma (EFV-PTC), or infiltrative follicular variant of papillary thyroid carcinoma (FV-PTC) depending on their circumscription and invasiveness. 2Classification of a tumor as NIFTP requires fulfillment of additional criteria (i.e., less than 30% solid/trabecular/insular architecture, no papillary architecture, no cytologic features of tall-cell or columnar-cell variant papillary carcinoma, no necrosis, less than 3 mitoses per ten 40x fields). 3Follicular-patterned tumors with nuclear atypia and equivocal invasion can be classified as well-differentiated tumor of uncertain malignant potential (WDT-UMP).
  • #53  Morphologic features of cribriform-morular thyroid carcinoma. a Well-circumscribed tumor separated from surrounding thyroid parenchyma with a fibrous capsule. Note anastomosing and cribriform structures and absence of colloid. b Mixed cribriform and solid/morular components. c High-power magnification showing morulae between cribriform spaces. d Tumor composed predominantly of cribriform component with no definite morulae. e High- power magnification of a morule showing spindled cells. Note peculiar nuclear clearing in some cells (arrows). f Beta-catenin immunohistochemistry showing diffuse nuclear and cytoplasmic positivity in cribriform-morular carcinoma. High-power magnification of the tumor (inset) admixture of growth patterns not seen in other thyroid carcinomas 
  • #54 Cribriform-morular thyroid carcinoma. Tumor displays com- plex cribriform architecture with focal morulae (A; arrows indicate morulae). The hallmark of this tumor is the diffuse nuclear and cyto- plasmic beta-catenin expression (B). Unlike follicular cell–derived thyroid carcinomas with differentiated architecture, these tumors are often negative for PAX8 (C) and typically negative for thyroglobu- The cribriform component is diffusely positive for TTF1, whereas the morulae are negative for TTF1 (E; morular structure highlighted) and positive for CDX2 (F; morular structure high- lighted). These tumors tend to show estrogen receptor expression (G). The morulae are also positive for CD5 (H; morular structure high- lighted). Scattered intratumoral lymphoid cells also express CD5 (H)
  • #55 Tumour progression depends on additional changes that dysregulate cell adhesion, the cell cycle, cell survival, and other vital cellular functions. These late events, such as TP53 mutations and TERT pro- moter mutations, mark poorly differentiated an
  • #58 Epigenetic regulatory mechanisms possibly represent major complementary players in progression to both poorly differentiated and anaplatic thyroid carcinoma Histone methyltransverase
  • #65 Molecular immunohistochemistry in follicular cell–derived thyroid carcinoma (FCDTC). Immunohistochemistry may aid in iden- tification of molecular aberrancies with prognostic and/or therapeutic importance. A Mutation-specific BRAF antibody (clone VE1) detect- ing a BRAF V600E mutation in a tall cell variant PTC. B The pan- RAS Q61R (clone SP174) antibody, indicating an underlying HRAS/ NRAS/KRAS Q61R mutation. C Positive pan-TRK staining indicat- ing an NTRK1/3 fusion. D The ALK 5A4 antibody optimized for the detection of therapeutically relevant ALK fusions. E PTEN global loss in a follicular patterned PTC is illustrated. This specimen had several PTEN-immunodeficient follicular patterned nodules. Subse- quently, the patient was found to harbor germline pathogenic PTEN variant, consistent with PTEN-hamartoma tumor syndr