Moderator:-Dr. Poonam Nanwani
Speaker:- Dr. Narmada Prasad Tiwari
Histologically, many of the pediatric neoplasms have
more primitive origin characterized by sheets of
cells ,with small , round nuclei.
Because of their primitive histologic appearance
many childhood tumor have been collectively referred
to as small round blue cell tumor.
The differential diagnosis of such tumors are:-
Neuroblastoma
Wilms tumour(Nephroblastoma)
Rhabdomyosarcoma
Ewing’s sarcoma/PNET
Medulloblastoma
Retinoblastoma
Lymphoma
NEUROBLASTOMA
 most common extracranial solid tumor of
childhood
most frequently diagnosed tumor of infancy.
Median age at diagnosis is 21 months.
Most occur sporadically.
1 to 2% occur familial- Germ line mutation in the
anaplastic lymphoma kinase (ALK) gene
Clinical course-
In childhood 40% of neuroblastoma arise in
adrenal medulla.
Other sites-along sympathetic chain
post. Mediastinum
neck, brain.
• under 2 year - large abdominal mass, fever
,weight loss.
About 90% of neuroblastoma regardless of
location produce catecholamines.
Neuroblastoma – size- minute nodules to large
masses
Gross-
Neuorblastoma Morphology
Small round blue cell tumor
neuorpil formation (fibers, i.e., axons dendrites, mostly
unmyelinated)
rosette formation
immunochemistry – neuron specific enolase
EM – secretory granules (catecholamine)
Usual features of anaplasia
high mitotic rate is unfavorable
evidence of Schwann cell or ganglion differentiation
favorable
Histologically
Undifferentiated type
Differentiating type
Poorly differentiated type
Neuroblastoma may metastasize widely through the
hematogenous & lymphatic system, particularly to
liver, CNS, bone, lymph nodes and bone marrow.
Prognostic factors in neuroblastoma
Variable Favourable Unfavourable
(1) Stage 1, 2A,2B,4S 3,4
(2) Age <18 month > 18 month
(3)Histology:-
(a)Evidence of schwannnian stroma
& gangliocytic differentiation.
(b) Mitosis-karyorrhexis index
Present
< 200/5000 cells
Absent
>200/5000 cells
(4) DNA ploidy Hyperdiploidy or
near triploidy
Near diploid
(5) N-Myc Not amplified Amplified
(6) Chromosome 17q gain Absent Present
(7) Chromosome 1 p loss Absent Present
(8) Chromosome 11q loss Absent Present
(9) Trk A expression Present Absent
(10)TrkB expression Absent Present
(11) Telomerase expression Low or Absent Highly
expressed.
WILMS’ TUMOR(NEPHROBLASTOMA)
Age:- 3 -6 years
Sex:- No sex predeliction
Clinical features-Large abdominal mass
Hematuria
Pain in abdomen
Hypertension
Molecular Genetic
Genetic loci predisposing to wilms’ tumor are
WT1 ( located on chromosome 11p 13 )
WT2 ( located on chromosome 11p 15.5 )
- Mutations of B catenin gene-14-20%
- Conditions associated with wilms’ tumor are:-
WAGR syndrome:-
Wilms’ tumor
Aniridia
Genital anomalies
Retardation
Beckwith wiedemann Syndrome:-
Omphalocele
Macroglossia
Hemihypertrophy of organs
Denys Drash Syndrome:-
Gonadal dysgenesis( male psuedohermaphroditism)
Early onset nephropathy
Gross:- solid, well circumscribed.
On cut-:-solid & pale gray & often exhibit areas of
cystic changes, necrosis & hemorrhage.
Microscopically :- Three major component are
identified.
I- Undifferentiated blastema
II – Mesenchymal ( stromal) tissue
III – Epithelial tissue
Blastematous - small round to oval cells,
scanty cytoplasm
The mesenchymal element- spindle cell
fibroblast like configuration.
Epithelial component- embryonic glomerular
and tubular structures.
Additional morphological features-
Ciliated,mucinous, squamous or transitional
epithelium, neuroepithelium,mature adipose
tissue,Cartilage & bone
Anaplastic wilms tumour
Spread and metastasis-
Local spread
Lymph nodes-15% cases
Distant metastasis- lungs, liver and peritoneum.
Rhabdomyosarcoma:-
Rhabdomyosrcoma is the most common soft tissue
sarcoma of childhood & adolescence, usually appear
before age 20 year.
Types:-
Embryonal (most common)
Alveolar Rhabdomyosarcoma
Pleomorphic (least common)
Morphology:-
Pleomorphic Rhabdomyosarcoma:- It is least
common.
Site:- Extremities & thigh.
Age:- Adult
Grossly :- It is confined within fascial compartment
& have the shape of muscle from which it arises.
Microscopically:-Pleomorphic type
Tumor is
pleomorphic with
giant cells.
Embryonal rhabdomyosarcoma
Clinical Feature:-Arise from unsegmented &
undifferentiated mesoderm.
Site:- Common in head & neck region
Orbit
Nasopharynx
Bile duct
Urogenital tract
Age :- 3 -12 years, can occur in adults also.
Grossly-poorly circumscribed, white,soft.
Embryonal
rhabdomyosarcoma
composed
predominantly of round
cells.
There is perivascular
pseudorosette around
blood vessels.
Microscopically(Embryonal type)
Tumor cells
are small &
spindle
shaped.
Oval
eccentric
nuclei
acidophilic
cytoplasm.
Botryoid type
When beneath a mucosal
membrane , such as vagina,
urinary bladder or nasal
cavity it frequently form
large polypoid mass
resembling a bunch of
grapes- Hence name
“Sarcoma Botryoides”
Dense zone of
undifferentiated tumor cells
immediately beneath the
epithelium , aformation of
known as Nicholson’s
Cambium Layer.
Alveolar rhabdomyosarcoma
Common Site:- Forearm
Arm
Perirectal & perianal region
Head and neck region.
Age- 10-25 yrs.
Alveolar type
Microscopically( alveolar type)
Tumor cells are
small,round are
sepearted in nest by
connective tissue septa
Special techniques-
Special Stains:-
PTAH
Masson’s trichome
Silver impregnation technique
Immunohistochemically:- Markers are
Myogenin
Desmin
Sarcomeric actin
Myosin
Myoglobin
Tropomyosin a actinin,titin, Z protein
Vimentin
Enzymes( creatine kinase)
Neurofilament & S-100 protein
CARP- cardiac ankyrin related protein
EWINGS SARCOMA
Ewing’s sarcoma limited neural differentiation.
PNET show more neural features.
Age:- 5 to 20 years (commonly)
Infancy or adulthood rarely
Sex:- Male predilection.
It generally arise in medullary cavity of shaft from
which it permeate the cortex & invade the soft
tissue.
EWINGS SARCOMACommon site- Long bones( femur,tibia,
humerus,fibula).
Rare site- Bone of pelvis, rib , vertebra, mandible,
clavicle.
Clinical features:
Pain
Fever
Leuckocytosis
Genetic Predisposition:-
Over 95% show reciprocal translocation of
chromosome 11 : 22 (q24 : q 12).
This leads to fusion of EWS gene with FLI-1.
This tranlocation can be detected by RT-PCR.
This can be used for the detection of primary and
metastatic or residual disease in tissue & body fluids
including blood.
The EWS rearrangement has also been detected by
FISH technique.
Radiograph:-
Ewing’s sarcoma of
fibula.
Onion skin appearance
Gross-
Microscopically:-
Histochemically:-
Immunohistochemically:-
Positive for Vimentin.
Neuron specific enolase
Neurofilament
Leu 7
CD -99
Medulloblastoma
 5-10 yrs.
Site:- Commonly arise from Cerebellum.
Rapid growth may occlude the flow of CSF leading to
hydrocephalous.
The tumor - circumscribed, gray & friable.
 microscopic - extremely cellular.
 small cells with scanty cytoplasm & hyperchromatic
nuclei that frequently crescent shaped.
Abundant mitosis.
Variants of medulloblastoma:-
- Classical Medulloblastoma
- Desmoplastic Medulloblastoma
- Neuroblastic medulloblastoma
- Anaplastic Medulloblastoma
Medulloblastoma
Desmoplastic
medulloblastoma
:-Micronodular zone of
reduced cellularity( “
pale island”)
“Neuroblastic “
medulloblastoma.
This variant of
medulloblastoma is
typified by the linear
streaming of rounded,
‘neurocytic’ tumor cell
nuclei within amassed
cytoplasmic processes
Large cell/anaplastic
medulloblastoma.
Showing prominent
nucleoli &
pronunced mitotic &
apoptotic activity .
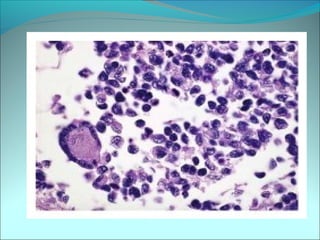
LYMPHOMA(Chronic lymphocytic leukemia/small
lymphocytic lymphoma
Age:- median age is 60 years.
Sex ratio:- 2:1 male to female
Clinical feature:- Mostly asymptomatic
Morphology:-
SLL/CLL:- Low power
view show diffuse
effacement of nodal
architecture.
-1.with absolute lymphocytosis.
2.associated with monoclonal gammopathy
3. hypogammaglobulinemia
10-15% cases – autoimmune hemolytic anemia.
May transform into diffuse large B cell lymphoma-
richter transformation.
IHC- CD20,CD23,CD5, .
RETINOBLASTOMA
Retinoblastoma is the
most common intraocular
neoplasm of children- 16
mths- 2 yrs.
It characteristically
present as a LEUKOCORIA
/ strabisumus .
Bilateral in 30% > 90%
familial cases.
Trilateral retinoblastoma
Genetic:- congenital.
Sporadiac – 60%
Familial – 40%
Autosomal dominant
Gene located on Chromosome –
13q14( retinoblastoma Rb gene)
Knudsons 2 hit hypothesis-
Genetic mutation in both allele are necessary to
produce retinoblastoma.
Hereditary retinoblastoma – somatic Mutation in
second allele.
Sporadic retinoblastoma – both mutations are
somatic.
GROSS:-flat or elevated
Endophytic type:- This is protrude into vitrous.
Exophytic type:-They may grow between retina &
pigmented epithelium.
Microscopic:-
Retinoblastoma with typical “ Flexner – wintersteiner rosettes”.
Prognosis-
Invasion of optic nerve.
Invasion of uveal tract.
Invasion of meninges.
IHC- NSE,GFAP,S-100 protein retinal binding
protein, retinal S antigen.
Long term survivors- osteosarcoma,
rhabdomyosarcoma.
THANK YOU
Small round cell_tumor_DR NARMADA
Small round cell_tumor_DR NARMADA

Small round cell_tumor_DR NARMADA

Editor's Notes

  • #7 Neuroblastoma. The tumor has a nodular appearance with areas of hemorrhage and calcification. The kidney is present just to the left of the tumor
  • #10 Neuroblastoma, undifferentiated. The tumor is composed of undifferentiated neuroblasts with occasional cells with prominent nucleoli that suggest an attempt at differentiation toward immature ganglion cells. Neuropil is absent.
  • #11 Neuroblastoma, poorly differentiated. This tumor contains prominent Homer Wright pseudorosettes and undifferentiated neuroblasts. Neuroblastoma, differentiating. The tumor has abundant neuropil, Schwannian stroma, and ganglion cells (immature and mature) that constitute less than 50% of tumor cells.
  • #17 Grossly, most Wilms tumors are solitary, well circumscribed, rounded, and of soft consistency. Their size is extremely variable, and their median weight is 550 g. The cut section is predominantly solid and pale gray or tan and often exhibits areas of cystic change, necrosis, and hemorrhage (Fig)
  • #18 shown in C is more homogeneous and nodular, and that shown in D has extensive areas of infarct-like necrosis.
  • #20 A , Low-power microscopic view showing a combination of blastema, stroma, epithelial tubular formations, and immature glomeruli. B , High-power view showing blastema, stroma, and immature tubular formations. A , Low-power microscopic view showing a combination of blastema, stroma, epithelial tubular formations, and immature glomeruli. B , High-power view showing blastema, stroma, and immature tubular formations. A , Low-power microscopic view showing a combination of blastema, stroma, epithelial tubular formations, and immature glomeruli. B , High-power view showing blastema, stroma, and immature tubular formations.
  • #21 Triphasic Wilms tumor
  • #22 Mucinous epithelium in Wilms tumor
  • #23 Anaplastic Wilms tumor, with nuclear pleomorphism and multipolar mitotic figures, Anaplastic Wilms tumor, showing multipolar mitotic figure. Each arm of the abnormal figure is as large as the adjacent normal-sized metaphase plate
  • #27 the tumor is very pleomorphic, with numerous tumor giant cells [1383] (Fig. 25.152). Making a differential diagnosis with pleomorphic liposarcoma and other types of pleomorphic sarcoma is so difficult that a diagnosis of pleomorphic rhabdomyosarcoma should not be made unless there is incontrovertible evidence of skeletal muscle differentiation in the form of cross striations (good luck!) or through the demonstration of specific ultrastructural or immunohistochemical markers (see subsequent discussion). One should be very careful to avoid the following pitfalls: (1) entrapped non-neoplastic skeletal muscle fibers; (2) release of myoglobin from necrotic muscle with subsequent nonspecific absorption by tumor cells, which thus become immunoreactive; [1301] and (3) presence of skeletal muscle differentiation in other malignant tumors. [1303] In regard to the latter event, it is somewhat ironic that the best evidence of skeletal muscle differentiation in malignant tumors is often found not in rhabdomyosarcoma per se but rather in tumors such as MPNST (see p. 2169), malignant thymoma (see Chapter 8), mixed müllerian tumor of the female genital tract (see Chapter 19), malignant germ cell tumors (particularly extragonadal ones), medulloblastoma
  • #29 Embryonal rhabdomyosarcoma composed predominantly of round cells. There is a perivascular pseudorosette around a blood vessel
  • #30 the tumor cells are small and spindle shaped. Some have a deeply acidophilic cytoplasm (Fig. 25.153). A feature of diagnostic value is the presence of highly cellular areas usually surrounding blood vessels
  • #33 Gross appearance of alveolar rhabdomyosarcoma. The tumor is embedded within skeletal muscle.
  • #34 Microscopically, small, round, or oval tumor cells are seen separated in nests by connective tissue septa (Fig. 25.158). The tumor cells in contact with these fibrous strands remain firmly attached to them, but the others tend to detach because of a lack of cohesiveness
  • #35 The deep acidophilia of the cytoplasm and the presence of occasional multinucleated giant cells are important diagnostic features
  • #36 PTAH( Phosphotungstic acid-haematoxylin  stain
  • #42 Roentgenogram of Ewing tumor shows a destructive lesion with periosteal new bone formation giving rise to an onionskin appearance
  • #43 Gross appearance of a large Ewing tumor of the femur with pathologic fracture. The tumor is soft and fleshy.
  • #44 Diffuse pattern of growth and monotonous cytologic appearance in Ewing sarcoma/PNET
  • #45 (A) High-power appearance of uniform round nuclei and indistinct cytoplasmic borders. (B) High-power view of “large-cell” tumor. The nuclei are more pleomorphic than in classic Ewing tumor
  • #51 The classic medulloblastoma is a highly cellular neoplasm composed of diminutive, undifferentiated-looking elements possessed of little definable cytoplasm and prone to nuclear moldingof small, ostensibly undifferentiated cells closely arrayed in packed sheets (Fig. 28.91). Nuclei are often densely hyperchromatic, round or angulated, invested with little or no definable cytoplasm and so prone to deformation (‘molding’) by their neighbors. A swirling or fascicular architecture may be encountered,
  • #52 Medulloblastoma. Homer Wright rosettes consist of tumor cell nuclei disposed in circular fashion about tangled cytoplasmic processes. These structures are indicative of differentiation along neuronal lines.
  • #53 Desmoplastic/nodular medulloblastoma. Micronodular zones of reduced cellularity (‘pale islands’) are a striking feature of this medulloblastoma variant.
  • #54 Medulloblastoma with extensive nodularity. This variant of medulloblastoma is typified by the linear streaming of rounded, ‘neurocytic’ tumor cell nuclei within amassed cytoplasmic processes
  • #55 Large cell/anaplastic medulloblastoma. Cellular enlargement, often prominent nucleoli, and pronounced mitotic and apoptotic activity are features of this virulent medulloblastoma subtype
  • #58 Low-power view of small lymphocytic lymphoma. A monotonous proliferation of small lymphocytes effaces the architecture of the node
  • #63 Bilateral retinoblastoma showing a white mass consisting of detached retina and neoplastic tissue immediately behind the lens in each eye.
  • #64 retinoblastomas are composed of dense masses of small round cells with hyperchromatic nuclei and scanty cytoplasm [300] (Fig. 30.65). Trabecular and nesting formations are common. [302]
  • #65 Retinoblastoma is composed of small hyperchromatic tumor cells with scant cytoplasm, and the tumor cells often surround a central lumen that is lined by basement membrane material (Flexner-Wintersteiner rosettes).
  • #66 Necrosis is often present in retinoblastomas (arrow). Viable neoplastic cells frequently surround the blood vessels. Nonneoplastic retina is present at the left side of this photomicrograph