Irritant contact dermatitis
- Ipshita johri.
Definition
• ICD is a cutaneous inflammatory disorder
resulting from activation of innate immune
system by direct cytotoxic effect of a physical
or chemical agent.
• Acute- erythema, edema, vesiculation and
erosion.
• Chronic- lichenification, hyperkeratosis and
fissures.
Epidemiology
• Most common occupational skin disease ( 70-
80%)
• Rubber, soaps, cleansers, wet work, resins,
acrylics, nickel
• Clinical manifestations of ICD are determined by:
– Properties of the irritating substance
– Host factors
– Environmental factors including concentration, mechanical
pressure, temperature, humidity, pH, and duration of contact
– Cold alone may also reduce the plasticity , with consequent
cracking of the stratum corneum
– Occlusion, excessive humidity, and maceration increase
percutaneous absorption of water-soluble substances
• Important predisposing characteristics of the individual include:
– Age, race, sex, pre-existing skin disease, anatomic region
exposed, and sebaceous activity
– Both infants and elderly are affected more by ICD because of
their less robust epidermal layer
– Patients with darkly pigmented skin seem to be more resistant
to irritant reactions
– Other skin disease such as active atopic dermatitis may
predispose an individual to develop ICD
– The most commonly affected sites are exposed areas such as
the hands and the face, with hand involvement in
approximately 80% of patients and face involvement in 10%
Exogenous causes of ICD in Occupational Dermatology Clinic, Skin and Cancer
Foundation, Australia
(total 621 patients over the period 1993–2002)
Australasian Journal of Dermatology (2008) 49, 1–11
Acids
Inorganic and organic acids can be
corrosive to the skin
Cause epidermal damage via protein
denaturation and cytotoxicity
Symptoms include erythema, vesication,
and necrosis
Hydrofluoric and sulfuric acid can cause
the most severe burns
Acids
 Chromic acid causes
ulcerations known as
‘chrome holes’ and often
perforates the nasal septum
 Chemical burns and irritant
dermatitis from nitric acid
can cause a distinctive
yellow discoloration
 In general, organic acids are
less irritating than inorganic
acids
 Formic acid has the greatest
corrosive potential of the
organic acids
Examples of chrome holes www.cdc.gov/niosh/ocderm
Alkalis
 Strong Alkalis include sodium,
ammonium, potassium hydroxide,
sodium and potassium carbonate,
and calcium oxide
 Found in soaps, detergents,
bleaches, ammonia preparations,
drain pipe cleaner, toilet bowl
cleansers, and oven cleaner
 Often more painful and damaging
than acids
 No vesicles, necrotic skin that
appears dark brown then black,
ultimately becomes hard, dry, and
cracked
 Alkalis disrupt barrier and
denature proteins with
subsequent fatty acid
saponification
Alkalis
Cement mixed with
water can cause
ulcerative damage due
to alkalinity
Changes appear 8 to 12
hours after exposure
Chronic irritant cement
dermatitis may also
develop over months to
years
Hand dermatitis due to contact with cement
dermnetnz.org/dermatitis/chrome
Metal Salts
 Include:
• arsenic trioxide- folliculitis
• beryllium compounds, calcium oxide - ulceration
• copper salts- greenish black color of skin, hair , “metal
fume” fever.
• inorganic mercury- bluish linear pigmentation of tongue and
gums.
• thimerosal, and selenium
Solvents
Act mainly by dissolving the intercellular lipid barrier of
the epidermis
Prolonged skin contact can result in severe burns and
well as systemic toxicity
Examples include: chlorinated hydrocarbons,
petrochemicals.
benzene- petechial eruption
Trichloroethylene- Degreaser’s flush
Professional paint and crayon illustrator with bilateral palmar
dermatitis secondary to repeated contact with paint solvents.
Extensive patch testing excluded allergic contact dermatitis
Detergents and Cleansers
 Include any surface active agent (surfactant) that
concentrates at the oil-water interfaces and has both
emulsifying and cleansing properties
 Found in skin cleansers, cosmetics, and household
cleaning products
 Surfactants cause protein denaturation of the stratum
corneum, impairing barrier function
 Anionic detergents such as alkyl sulfates and alkyl
carboxylate salts are the most irritating
Disinfectants
• Include, alcohols,
aldehydes, phenolic
compounds,
halogenated
compounds, surfactants,
dyes, oxidizing agents,
and mercury
compounds
• Weak toxic agents that
can cause chronic ICD
Practicing dentist with moderately severe irritant hand dermatitis from
chronic exposure to disinfecting solutions and antiseptics. The results of
patch testing, latex challenge testing, and RAST testing were negative.
Food
 Agriculture, fishing, catering, and
food processing
 Often work without gloves, in
damp working conditions with
frequent hand washing
 Mechanical, thermal, and
climatic factors
 Nearly 100% of exposed persons
in food handling and fishing
professions may be affected by
chronic irritant hand dermatitis
Water
 Ubiquitous skin irritant
 Tropical immersion foot,
seen during Vietnam War
 Hairdressers, hospital
cleaners, cannery workers,
bartenders
 Irritancy of water is
exacerbated by occlusion
9 year old is an habitual hand washer
who develops a contact irritant
dermatitis every winter. At times she
washes over 10 times a day.
Pathogenesis of ICD
• Denaturation of epidermal keratins
• Disruption of the permeability barrier
• Damage to cell membranes
• Direct cytotoxic effects
Acute phase
Upregulate ICAM-1, T-Lymphocyte activation, leukocyte recruitment.
TNF-α, IL-1α, IL-1β, IL-6
Damage to keratinocytes
Penetration through permeability barrier
Chronic phase
• Stratum corneum is disrupted
• Loss of cohesion bw corneocytes, desquamation,increased
transepidermal water loss.
triggers
• Lipid synthesis, keratinocyte proliferation
• hyperkeratosis
result
• Increased epidermal turnover
• Chronic eczematoid irritant reaction.
Clinical features
Acute Irritant Contact Dermatitis
• Burning, stinging, painful sensations can occur
immediately within seconds after exposure or
may be delayed up to 24 hour
LESION
Erythema with a dull, nonglistening surface 
vesiculation (blister formation)  erosion 
crusting  shedding of crusts and scaling or
erythema  necrosis  shedding of necrotic
tissue  ulceration  healing
21
Chemical irritant dermatitis occurs
after doing mehendi
Chronic Irritant Contact Dermatitis
• Prolonged and repeated exposures of the skin to
irritants results to a chronic disturbance of the
barrier function, subsequently, elicit a chronic
inflammatory response.
• Stinging and itching, pain as fissures develop
LESION
Dryness  chapping  erythema  hyperkeratosis
and scaling  fissures and crusting
• Lichenification, vesicles, pustules, and erosions
27
Different types of irritant contact dermatitis:
1. Acute delayed irritant contact dermatitis
2. Irritant reaction ICD
3. Cumulative contact dermatitis
4. Asteatotic Dermatitis
5. Traumatic Irritant Contact Dermatitis
6. Subjective or sensory ICD
7. Pustular and Acneiform Irritant Contact
Dermatitis
8. Airborne Irritant Contact Dermatitis
9. Frictional Irritant Contact Dermatitis
10. Contact urticaria
Acute delayed ICD
• Retarded inflammatory response
characterstic of certain irritants such as
anthralin , benzalkonium chloride (
preservative/ disinfectant) and ethylene
oxide.
• Seen 8-24 hours exposure.
• This form of ICD is commonly seen during
patch testing.
Cumulative Irritant Contact
Dermatitis
• Consequence of multiple
sub-threshold skin insults,
without sufficient time
between them for
complete barrier function
repair
• lesions are less sharply
demarcated
• Itching and pain due to
fissures of hyperkeratotic
skin.
• Skin findings include
lichenification,
hyperkeratosis, xerosis,
erythema, and vesicles
Asteatotic Dermatitis
• Exsiccation eczematid ICD
• Seen mainly during the
winter months in elderly
individuals who frequently
bath without
remoisturizing
• Skin appears dry with
ichthyosiform scale and
patches of eczema craquele
Traumatic Irritant Contact
Dermatitis
• May develop after acute skin trauma, such as
burns, lacerations, or acute ICD
• Patients should be asked if they have cleansed
with strong soaps or detergents
• Characterized by eczematous lesions most
commonly on the hands, that persist
• Healing is delayed with redness, infiltration,
scale, and fissuring in the affected areas
Subjective or sensory Irritant Contact
Dermatitis
• Reports of stinging or burning in the absence of
visible cutaneous signs of irritation
• Response to irritants such as lactic or sorbic
acid,hydroxy acids, azelaic acid, benzoyl peroxide,
mequinol, tretinoin.
Pustular and Acneiform Irritant
Contact Dermatitis
 Result to certain irritants such as
metals, croton oil, mineral oils,
tars, greases, cutting and metal
working fluids, and naphthalenes
 Should be considered in
conditions in which folliculitis or
acneiform lesions develop in
setting outside of typical acne
 Pustules are sterile and transient
 Milia may develop in response to
occlusive clothing, adhesive tape,
ultraviolet and infrared radiation Chloracne. Note heavy involvement of
retroauricular skin with comedones and
cysts
Airborne Irritant Contact Dermatitis
 Develops on irritant-
exposed skin of the face
and periorbital regions
 Often simulates
photoallergic reactions
 Involvement of the upper
eyelids, philtrum,
submental regions and
wilkinson’s triangle help
to differentiate from
photoallergic reaction
Frictional Irritant Contact Dermatitis
 Results from repeated low-
grade frictional trauma
 Plays adjuvant role in ACD
and ICD
 Characterized by
hyperkeratosis, acanthosis,
and lichenification, often
progressing to hardening,
thickening, and increased
toughness 9 year old girl demonstrates a lichenified
hyperpigmented round plaque on the top of her thumb
produced by chronic thumbsucking.
www.dermatlas.org
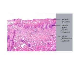
Pathology of ICD
• Variable mix of inflammation, necrosis of epidermal
keratinocytes, and mild spongiosis
• Combination of an upper dermal perivascular infiltrate of
lymphocytes with minimal extension of inflammatory cells into
the overlying epidermis, and widely scattered necrotic
keratinocytes is most typical picture
• True features of interface dermatitis are absent, and spongiosis
should be focal or absent
• Over time additional histologic findings include acanthosis with
mild hypergranulosis and hyperkeratosis
Differential diagnosis
Differentiation between ICD and ACD
J Allergy Clin Immunol 2010;125:S138-49.
Management
 Avoidance of causative irritants at home or in the
workplace is the primary TX
 Engineering controls to reduce exposure in the workplace
 Shielding and personal protection such as gloves and
special clothing
 Pre-exposure protection by protective creams, removal of
irritants by mild cleaning agents, and enhancement of
barrier function generation by emollients and moisturizers
 Emphasizing personal and occupational hygiene
 Establishing educational programs to increase awareness
in the workplace
History of occupational exposure
• Job description; occupational gestures and characteristics
of working milieu
• Potential allergens and irritants in working environment
• Characteristics of exposure: dose, frequency and site
• Concomitant exposure factors: temperature, humidity,
occlusion, friction.
• Time relationship to occupation; effect of holidays and
time off work
• Personal protective measures at work (gloves, masks and
barrier creams)
• Other workers similarly affected?
History of nonoccupational exposure
• Domestic products: cleansers and detergents
• Skin care products, fragrances, nail and hair
products
• Pharmaceutical products (under prescription and
over the counter)
• Personal protective measures at home (gloves)
• Jewellery and clothing
• Homework and hobbies
Treatment
• Restoration of barrier function by use of
Emolients- lipid rich.
• Moisturizers containing ceramide.
• Systemic corticosteroids- acute inflammation
• Severe cases- PUVA, NB-UVB, azathioprine,
cyclosporin, methotrexate, systemic
retinoids.
Prognosis
• In many individuals, ICD resolves spontaneously
even with continuous exposure – “
accomodation” or “hardening”.
Mechanism-
• Improvement of physical barrier via formation
of a thicker stratum corneum and granulosum
and increased formation of ceramide 1.
• Increased skin permeability to irritants and
changes in vascular reactivity that allow faster
removal of irritants.
• Immunologic alterations that favour an anti-
inflammatory response to irritants, eg.
Increased ratio of IL-1RA (anti-inflammatory
cytokine) to IL-1α ( proinflammatory
cytokine)
• A systemic hyporeactive state following
repetetive exposure to low- dose irritants.
Irritant contact dermatitis

Irritant contact dermatitis

  • 1.
  • 2.
    Definition • ICD isa cutaneous inflammatory disorder resulting from activation of innate immune system by direct cytotoxic effect of a physical or chemical agent. • Acute- erythema, edema, vesiculation and erosion. • Chronic- lichenification, hyperkeratosis and fissures.
  • 3.
    Epidemiology • Most commonoccupational skin disease ( 70- 80%) • Rubber, soaps, cleansers, wet work, resins, acrylics, nickel
  • 4.
    • Clinical manifestationsof ICD are determined by: – Properties of the irritating substance – Host factors – Environmental factors including concentration, mechanical pressure, temperature, humidity, pH, and duration of contact – Cold alone may also reduce the plasticity , with consequent cracking of the stratum corneum – Occlusion, excessive humidity, and maceration increase percutaneous absorption of water-soluble substances
  • 5.
    • Important predisposingcharacteristics of the individual include: – Age, race, sex, pre-existing skin disease, anatomic region exposed, and sebaceous activity – Both infants and elderly are affected more by ICD because of their less robust epidermal layer – Patients with darkly pigmented skin seem to be more resistant to irritant reactions – Other skin disease such as active atopic dermatitis may predispose an individual to develop ICD – The most commonly affected sites are exposed areas such as the hands and the face, with hand involvement in approximately 80% of patients and face involvement in 10%
  • 6.
    Exogenous causes ofICD in Occupational Dermatology Clinic, Skin and Cancer Foundation, Australia (total 621 patients over the period 1993–2002) Australasian Journal of Dermatology (2008) 49, 1–11
  • 7.
    Acids Inorganic and organicacids can be corrosive to the skin Cause epidermal damage via protein denaturation and cytotoxicity Symptoms include erythema, vesication, and necrosis Hydrofluoric and sulfuric acid can cause the most severe burns
  • 8.
    Acids  Chromic acidcauses ulcerations known as ‘chrome holes’ and often perforates the nasal septum  Chemical burns and irritant dermatitis from nitric acid can cause a distinctive yellow discoloration  In general, organic acids are less irritating than inorganic acids  Formic acid has the greatest corrosive potential of the organic acids Examples of chrome holes www.cdc.gov/niosh/ocderm
  • 9.
    Alkalis  Strong Alkalisinclude sodium, ammonium, potassium hydroxide, sodium and potassium carbonate, and calcium oxide  Found in soaps, detergents, bleaches, ammonia preparations, drain pipe cleaner, toilet bowl cleansers, and oven cleaner  Often more painful and damaging than acids  No vesicles, necrotic skin that appears dark brown then black, ultimately becomes hard, dry, and cracked  Alkalis disrupt barrier and denature proteins with subsequent fatty acid saponification
  • 10.
    Alkalis Cement mixed with watercan cause ulcerative damage due to alkalinity Changes appear 8 to 12 hours after exposure Chronic irritant cement dermatitis may also develop over months to years Hand dermatitis due to contact with cement dermnetnz.org/dermatitis/chrome
  • 11.
    Metal Salts  Include: •arsenic trioxide- folliculitis • beryllium compounds, calcium oxide - ulceration • copper salts- greenish black color of skin, hair , “metal fume” fever. • inorganic mercury- bluish linear pigmentation of tongue and gums. • thimerosal, and selenium
  • 12.
    Solvents Act mainly bydissolving the intercellular lipid barrier of the epidermis Prolonged skin contact can result in severe burns and well as systemic toxicity Examples include: chlorinated hydrocarbons, petrochemicals. benzene- petechial eruption Trichloroethylene- Degreaser’s flush
  • 13.
    Professional paint andcrayon illustrator with bilateral palmar dermatitis secondary to repeated contact with paint solvents. Extensive patch testing excluded allergic contact dermatitis
  • 14.
    Detergents and Cleansers Include any surface active agent (surfactant) that concentrates at the oil-water interfaces and has both emulsifying and cleansing properties  Found in skin cleansers, cosmetics, and household cleaning products  Surfactants cause protein denaturation of the stratum corneum, impairing barrier function  Anionic detergents such as alkyl sulfates and alkyl carboxylate salts are the most irritating
  • 15.
    Disinfectants • Include, alcohols, aldehydes,phenolic compounds, halogenated compounds, surfactants, dyes, oxidizing agents, and mercury compounds • Weak toxic agents that can cause chronic ICD Practicing dentist with moderately severe irritant hand dermatitis from chronic exposure to disinfecting solutions and antiseptics. The results of patch testing, latex challenge testing, and RAST testing were negative.
  • 16.
    Food  Agriculture, fishing,catering, and food processing  Often work without gloves, in damp working conditions with frequent hand washing  Mechanical, thermal, and climatic factors  Nearly 100% of exposed persons in food handling and fishing professions may be affected by chronic irritant hand dermatitis
  • 17.
    Water  Ubiquitous skinirritant  Tropical immersion foot, seen during Vietnam War  Hairdressers, hospital cleaners, cannery workers, bartenders  Irritancy of water is exacerbated by occlusion 9 year old is an habitual hand washer who develops a contact irritant dermatitis every winter. At times she washes over 10 times a day.
  • 18.
    Pathogenesis of ICD •Denaturation of epidermal keratins • Disruption of the permeability barrier • Damage to cell membranes • Direct cytotoxic effects
  • 19.
    Acute phase Upregulate ICAM-1,T-Lymphocyte activation, leukocyte recruitment. TNF-α, IL-1α, IL-1β, IL-6 Damage to keratinocytes Penetration through permeability barrier
  • 20.
    Chronic phase • Stratumcorneum is disrupted • Loss of cohesion bw corneocytes, desquamation,increased transepidermal water loss. triggers • Lipid synthesis, keratinocyte proliferation • hyperkeratosis result • Increased epidermal turnover • Chronic eczematoid irritant reaction.
  • 21.
    Clinical features Acute IrritantContact Dermatitis • Burning, stinging, painful sensations can occur immediately within seconds after exposure or may be delayed up to 24 hour LESION Erythema with a dull, nonglistening surface  vesiculation (blister formation)  erosion  crusting  shedding of crusts and scaling or erythema  necrosis  shedding of necrotic tissue  ulceration  healing 21
  • 26.
    Chemical irritant dermatitisoccurs after doing mehendi
  • 27.
    Chronic Irritant ContactDermatitis • Prolonged and repeated exposures of the skin to irritants results to a chronic disturbance of the barrier function, subsequently, elicit a chronic inflammatory response. • Stinging and itching, pain as fissures develop LESION Dryness  chapping  erythema  hyperkeratosis and scaling  fissures and crusting • Lichenification, vesicles, pustules, and erosions 27
  • 30.
    Different types ofirritant contact dermatitis: 1. Acute delayed irritant contact dermatitis 2. Irritant reaction ICD 3. Cumulative contact dermatitis 4. Asteatotic Dermatitis 5. Traumatic Irritant Contact Dermatitis 6. Subjective or sensory ICD 7. Pustular and Acneiform Irritant Contact Dermatitis 8. Airborne Irritant Contact Dermatitis 9. Frictional Irritant Contact Dermatitis 10. Contact urticaria
  • 31.
    Acute delayed ICD •Retarded inflammatory response characterstic of certain irritants such as anthralin , benzalkonium chloride ( preservative/ disinfectant) and ethylene oxide. • Seen 8-24 hours exposure. • This form of ICD is commonly seen during patch testing.
  • 32.
    Cumulative Irritant Contact Dermatitis •Consequence of multiple sub-threshold skin insults, without sufficient time between them for complete barrier function repair • lesions are less sharply demarcated • Itching and pain due to fissures of hyperkeratotic skin. • Skin findings include lichenification, hyperkeratosis, xerosis, erythema, and vesicles
  • 34.
    Asteatotic Dermatitis • Exsiccationeczematid ICD • Seen mainly during the winter months in elderly individuals who frequently bath without remoisturizing • Skin appears dry with ichthyosiform scale and patches of eczema craquele
  • 35.
    Traumatic Irritant Contact Dermatitis •May develop after acute skin trauma, such as burns, lacerations, or acute ICD • Patients should be asked if they have cleansed with strong soaps or detergents • Characterized by eczematous lesions most commonly on the hands, that persist • Healing is delayed with redness, infiltration, scale, and fissuring in the affected areas
  • 36.
    Subjective or sensoryIrritant Contact Dermatitis • Reports of stinging or burning in the absence of visible cutaneous signs of irritation • Response to irritants such as lactic or sorbic acid,hydroxy acids, azelaic acid, benzoyl peroxide, mequinol, tretinoin.
  • 37.
    Pustular and AcneiformIrritant Contact Dermatitis  Result to certain irritants such as metals, croton oil, mineral oils, tars, greases, cutting and metal working fluids, and naphthalenes  Should be considered in conditions in which folliculitis or acneiform lesions develop in setting outside of typical acne  Pustules are sterile and transient  Milia may develop in response to occlusive clothing, adhesive tape, ultraviolet and infrared radiation Chloracne. Note heavy involvement of retroauricular skin with comedones and cysts
  • 38.
    Airborne Irritant ContactDermatitis  Develops on irritant- exposed skin of the face and periorbital regions  Often simulates photoallergic reactions  Involvement of the upper eyelids, philtrum, submental regions and wilkinson’s triangle help to differentiate from photoallergic reaction
  • 39.
    Frictional Irritant ContactDermatitis  Results from repeated low- grade frictional trauma  Plays adjuvant role in ACD and ICD  Characterized by hyperkeratosis, acanthosis, and lichenification, often progressing to hardening, thickening, and increased toughness 9 year old girl demonstrates a lichenified hyperpigmented round plaque on the top of her thumb produced by chronic thumbsucking. www.dermatlas.org
  • 40.
    Pathology of ICD •Variable mix of inflammation, necrosis of epidermal keratinocytes, and mild spongiosis • Combination of an upper dermal perivascular infiltrate of lymphocytes with minimal extension of inflammatory cells into the overlying epidermis, and widely scattered necrotic keratinocytes is most typical picture • True features of interface dermatitis are absent, and spongiosis should be focal or absent • Over time additional histologic findings include acanthosis with mild hypergranulosis and hyperkeratosis
  • 42.
  • 43.
    Differentiation between ICDand ACD J Allergy Clin Immunol 2010;125:S138-49.
  • 47.
    Management  Avoidance ofcausative irritants at home or in the workplace is the primary TX  Engineering controls to reduce exposure in the workplace  Shielding and personal protection such as gloves and special clothing  Pre-exposure protection by protective creams, removal of irritants by mild cleaning agents, and enhancement of barrier function generation by emollients and moisturizers  Emphasizing personal and occupational hygiene  Establishing educational programs to increase awareness in the workplace
  • 48.
    History of occupationalexposure • Job description; occupational gestures and characteristics of working milieu • Potential allergens and irritants in working environment • Characteristics of exposure: dose, frequency and site • Concomitant exposure factors: temperature, humidity, occlusion, friction. • Time relationship to occupation; effect of holidays and time off work • Personal protective measures at work (gloves, masks and barrier creams) • Other workers similarly affected?
  • 51.
    History of nonoccupationalexposure • Domestic products: cleansers and detergents • Skin care products, fragrances, nail and hair products • Pharmaceutical products (under prescription and over the counter) • Personal protective measures at home (gloves) • Jewellery and clothing • Homework and hobbies
  • 52.
    Treatment • Restoration ofbarrier function by use of Emolients- lipid rich. • Moisturizers containing ceramide. • Systemic corticosteroids- acute inflammation • Severe cases- PUVA, NB-UVB, azathioprine, cyclosporin, methotrexate, systemic retinoids.
  • 53.
    Prognosis • In manyindividuals, ICD resolves spontaneously even with continuous exposure – “ accomodation” or “hardening”. Mechanism- • Improvement of physical barrier via formation of a thicker stratum corneum and granulosum and increased formation of ceramide 1. • Increased skin permeability to irritants and changes in vascular reactivity that allow faster removal of irritants.
  • 54.
    • Immunologic alterationsthat favour an anti- inflammatory response to irritants, eg. Increased ratio of IL-1RA (anti-inflammatory cytokine) to IL-1α ( proinflammatory cytokine) • A systemic hyporeactive state following repetetive exposure to low- dose irritants.