Interface dermatitis
By: Dr. Daulat Ram Dhaked
Introduction
• Primary pathology involves the "interface,“
• Pattern of inflammation in which lymphocytes aggregate around
the dermal-epidermal junction, obscuring the junction at
scanning magnification.
• T-cell-mediated cytokine damage is most likely mechanism
• -> cytotoxic damage, or apoptosis of keratinocytes
• -> become detached from their neighbors,
• -> become round,
• -> undergo a sequence of events,
– degradation of nuclear DNA,
– lysis of nuclei
– coagulation of proteins in cytoplasm, without spilling enzymes

• Termed as dyskeratotic cells,
• When they find their way into papillary dermis, termed as
colloid, cytoid or Civatte bodies
Morphological changes
1.Primary changes
A) Basal cell vacuolization
(Vacuolar alteration):
• Most prominent feature
• Partial or complete destruction
of basal cells and other
structures due to expansion of
cytoplasm produces tiny
vacuoles along dermoepidermal
junction,
• Total absence of basal cell with
spinous keratinocytes abutting
papillary dermis results in
squamatization of basal layer.
• Confluent basal cell damage
results in formation of clefts and
subepidermal vesicles.

Vacuolar changes of basal cells with
sparse perivascular lymphocytic
infiltrate. Morbilliform drug eruption (H
and E, ×100)
B) Apoptotic keratinocytes
(Colloid or Civatte bodies) :
• Seen as
small, rounded, eosinoph
ilic, hyaline, anucleate
structures,
• Are slightly smaller than
basal keratinocyte.
• May be seen in basal
layer, in upper papillary
dermis, individually or in
clumps, or in mid- and
upper spinous layers,
Colloid (Civatte) bodies at dermoepidermal junction with basal cell
vacuolization with melanophages in
the upper papillary dermis. Lupus
erythematosus (H and E, ×400)
C) Obscuring of dermoepidermal junction by
inflammatory cells :
• Lymphocytes are M/c
• Eosinophils, neutrophils
, mast cells, and
histiocytes may be
seen.
• Obliterates clear
distinction between
epidermis and papillary
dermis
• Density of inflammatory
infiltrate is variable
Several lymphocytes in basal cell layer
obscuring dermo-epidermal junction with
basal cell vacuolization and few apoptotic
keratinocytes in lower spinous zone.
Erythema multiforme (H and E, ×400)
2. Secondary changes
A) Epidermal changes:
• Depend on disease, time of biopsy in course of
evolution or devolution of disease, and site of
biopsy.
• Acanthosis, hypergranulosis
• Thick compact orthokeratotic stratum corneum
• Thin and atrophic epidermis,
• Irregular epidermal hyperplasia
B) Papillary dermal changes:
• Secondary to basal cell damage.
• Papillary dermis undergoes
expansion to accommodate
inflammatory infiltrate,
• Fibrosis or sclerosis,
• "Incontinence" of melanin into
papillary dermis
• Melanophages in papillary dermis
C) Other changes
• Mucin deposits in reticular dermis
• Perivascular and periadnexal
infiltrates of lymphocytes in midand deep reticular dermis,
• lymphocytic lobular panniculitis

Thickened papillary dermis with sparse lymphocytic
infiltrate and numerous melanophages. persisting basal
cell vacuolization. Lichen planus pigmentosus

Sclerosis of thickened papillary dermis with
smudging of dermo-epidermal junction. Note
bluish-grey mucin in upper reticular dermis. LE
Classification of Interface Dermatitis
1. Histologically, classified as:
a) Prominent basal cell vacuolization
(Vacuolar-interface dermatitis):
•Basal cell vacuolization is most
prominent
•Variable perivascular and
interstitial infiltrates of
lymphocytes.

b) Prominent infiltrate in papillary
dermis aligned in lichenoid pattern
(Lichenoid-interface dermatitis):
•Dense band-like infiltrate in
papillary dermis
•Basal cell vacuolization may be
inconspicuous or absent.
2. Le Boit’s classification depending on epidermal
changes
a) Acute cytotoxic type:
• Characterized by basal cell vacuolization with lymphocytes
infiltrating lower epidermis
• Scattered necrotic keratinocytes at various levels in epidermis.
• Entire process is rapid, Does not interfere with epidermal
keratinization,
• Horny layer is unaffected and maintains its normal basket
weave arrangement.
• EM is prototype.
• Few necrotic keratinocytes: Early EM, morbilliform drug and
viral eruptions,
• Numerous necrotic keratinocytes: Fully developed EM, acute
LE, TEN, radiation and chemotherapy-induced skin damage, FDE
(eosinophils, neutrophils, and melanophages), pityriasis
lichenoides (parakeratosis).
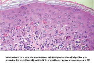
Numerous necrotic keratinocytes scattered in lower spinous zone with lymphocytes
obscuring dermo-epidermal junction. Note normal basket weave stratum corneum. EM
E M . There is obscuration of the dermoepidermal junction with vacuolar alteration of the basal
keratinocytes (A and B). Necrotic keratinocytes may be individual or confluent (B). The process
may progress to frank subepidermal vesiculation (C). Toxic epidermal necrosis with
confluent, fullthickness epidermal necrosis (D). Note the preservation of the basket-weave horn.
Density of dermal inflammatory infiltrate is inversely proportionate to epidermal damage. Fairly
dense in EM, Very sparse or even absent in TEN. Eosinophils are not seen as a rule
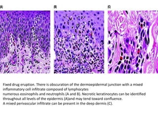
Fixed drug eruption. There is obscuration of the dermoepidermal junction with a mixed
inflammatory cell infiltrate composed of lymphocytes
numerous eosinophils and neutrophils (A and B). Necrotic keratinocytes can be identified
throughout all levels of the epidermis (A)and may tend toward confluence.
A mixed perivascular infiltrate can be present in the deep dermis (C).
b) Premature terminal differentiation:
• Refers to an early development of a thick granular layer and
compact stratum corneum
• A/w dense lichenoid infiltrates of lymphocytes.
• LP is prototype
• Dense lymphocytic infiltrates: LP, lichenoid
keratosis, lichenoid drug reaction especially
photolichenoid, acute GVHD, DLE, lichen striatus.
• Few lymphocytes: Dermatomyositis, lichenoid GVHD.
• Mixed infiltrates: Lichenoid drug reaction
(eosinophils), keratosis lichenoides chronica (plasma cells).

c) Irregular epidermal hyperplasia: variant of above
• Show marked irregular epidermal hyperplasia
• Seen in hypertrophic LP, verrucous DLE, and some longstanding lichenoid drug eruptions.
Lichen planus. There is compact orthokeratosis with no parakeratosis, wedgeshaped
hypergranulosis, jagged acanthosis of the epidermis, and a band-like lymphocytic
infiltrate obscures the dermoepidermal junction (A–C). Necrotic keratinocytes are in the
lower one-third of the epidermis with colloid bodies in the superficial papillary dermis (D)
Lichenoid dermatitis involving contiguous
follicular infundibula. Hypertrophic lichen
planus

Wedge shaped hypergranulosis, lichenoid
lymphocytic infiltrate at base of
infundibulum, few colloid bodies at dermoepidermal junction
Clumps of numerous colloid bodies in upper papillary dermis with numerous
melanophages. Lichen planus pigmentosus
• Lichenoid drug eruption. The histologic presentation can be identical to
lichen planus (A). Differentiating features may include focal pararkeratosis,
necrotic keratinocytes in all layers of the epidermis, and eosinophils within
the infiltrate (B and C).
• Lichenoid pigmented purpura. There is a band-like lymphocytic infiltrate
that does not obscure the dermoepidermal junction (A).
• Extravasated erythrocytes and/or hemosiderin-laden macrophages are a
prominent feature (B and C).
Lichen nitidus. There is a
•
lymphohistiocytic infiltrate filling
the papillary dermis with
"claw-like" hyperplasia of the
surrounding epidermis.

Lichen striatus. There is a superficial and deep
perivascular and periadnexal lymphohistiocytic
infiltrate with a band-like component that
obscures the dermoepidermal junction (A). Shows
psoriasiform hyperplasia of epidermis Foci of mild
to moderate spongiosis and may show exocytosis
of lymphocytes (B).
Acute graft versus host reaction (GvHR). There is a sparse lymphocytic infiltrate obscuring the
dermoepidermal junction (A).
Lymphocytes are present in the epidermis (exocytosis) with adjacent individually necrotic
keratinocytes (satellite cell necrosis) (B).
Chronic GvHR. There is acanthosis of the epidermis with hypergranulosis and a patchy band-like
lymphocytic infiltrate. The dermis is fibrotic (C).
Superficial and deep perivascular and periadnexal lymphocytic
infiltrates. Note thin epidermis, basal cell vacuolization with
subepidermal clefts that involve follicular infundibular
epithelium, follicular plugging at one end of the sections. LE

Pools of bluish-grey
mucin between
bundles of collagen in
reticular dermis. LE
Systemic lupus erythematosus. There is obscuration of the dermoepidermal junction with
vacuolar alteration of the basal keratinocytes with a sparse lymphocytic infiltrate (A and B).
Dermatomyositis. This may appear identical to systemic lupus erythematosus. There is a sparse
lymphocytic infiltrate with vacuolar alteration of the basal keratinocytes (C). Abundant mucin
interposed between the dermal collagen bundles (D
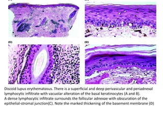
Discoid lupus erythematosus. There is a superficial and deep perivascular and periadnexal
lymphocytic infiltrate with vacuolar alteration of the basal keratinocytes (A and B).
A dense lymphocytic infiltrate surrounds the follicular adnexae with obscuration of the
epithelial-stromal junction(C). Note the marked thickening of the basement membrane (D)
d) Interface dermatitis with psoriasiform hyperplasia:
•
•
•
•
•

Show interface changes as a secondary pathological feature
Not classified as primary interface dermatitis.
Lymphocytes and siderophages: Lichenoid purpura.
Eosinophils predominant: Urticarial pemphigoid, some drug eruptions.
Lymphocytes mostly: Mycosis fungoides, lichen striatus, pityriasis
lichenoides, lichen sclerosus, center of porokeratosis.
• Plasma cells: Secondary syphilis, early acrodermatitis chronica
atrophicans.

e) Interface dermatitis with epidermal atrophy:
• Represents late atrophic phase of several dermatoses
• Plasma cells: Late stage of acrodermatitis chronica atrophicans.
• Band of melanophages: Regressing malignant melanoma, late
pigmented patches of FDE.
• Lymphocytic infiltrate: Atrophic LP, long-standing lesions of LE,
dermatomyositis, poikiloderma, atrophic lesions of lichen sclerosus,
center of porokeratosis.
Lichen sclerosus et atrophicus (LS et A), atrophy, follicular plugging, papillary dermal
edema, and sclerosis with a patchy, band-like predominantly
lymphocytic infiltrate interposed between the altered collagen of the upper dermis and
normal collagen of lower dermis (A and B).
Fully developed LS et A. There is effacement of rete ridge pattern of epidermis with
vacuolar alteration of basal keratinocytes and sclerosis of dermis (C)
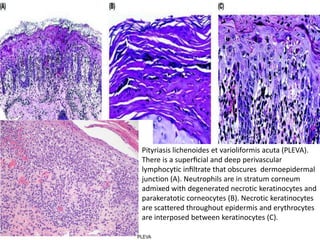
Pityriasis lichenoides et varioliformis acuta (PLEVA).
There is a superficial and deep perivascular
lymphocytic infiltrate that obscures dermoepidermal
junction (A). Neutrophils are in stratum corneum
admixed with degenerated necrotic keratinocytes and
parakeratotic corneocytes (B). Necrotic keratinocytes
are scattered throughout epidermis and erythrocytes
are interposed between keratinocytes (C).
Superficial perivascular lymphocytic infiltrate, SUBTLE VACUOLAR ALTERATIONS,
+/- EXTRAVASTED RBC . Note the thick wafer-like scale containing flat parakeratosis and flecks
of melanin. Pityriasis lichenoides chronica
Interface dermatitis tutorial
Interface dermatitis tutorial

Interface dermatitis tutorial

  • 1.
  • 2.
    Introduction • Primary pathologyinvolves the "interface,“ • Pattern of inflammation in which lymphocytes aggregate around the dermal-epidermal junction, obscuring the junction at scanning magnification. • T-cell-mediated cytokine damage is most likely mechanism • -> cytotoxic damage, or apoptosis of keratinocytes • -> become detached from their neighbors, • -> become round, • -> undergo a sequence of events, – degradation of nuclear DNA, – lysis of nuclei – coagulation of proteins in cytoplasm, without spilling enzymes • Termed as dyskeratotic cells, • When they find their way into papillary dermis, termed as colloid, cytoid or Civatte bodies
  • 3.
    Morphological changes 1.Primary changes A)Basal cell vacuolization (Vacuolar alteration): • Most prominent feature • Partial or complete destruction of basal cells and other structures due to expansion of cytoplasm produces tiny vacuoles along dermoepidermal junction, • Total absence of basal cell with spinous keratinocytes abutting papillary dermis results in squamatization of basal layer. • Confluent basal cell damage results in formation of clefts and subepidermal vesicles. Vacuolar changes of basal cells with sparse perivascular lymphocytic infiltrate. Morbilliform drug eruption (H and E, ×100)
  • 4.
    B) Apoptotic keratinocytes (Colloidor Civatte bodies) : • Seen as small, rounded, eosinoph ilic, hyaline, anucleate structures, • Are slightly smaller than basal keratinocyte. • May be seen in basal layer, in upper papillary dermis, individually or in clumps, or in mid- and upper spinous layers, Colloid (Civatte) bodies at dermoepidermal junction with basal cell vacuolization with melanophages in the upper papillary dermis. Lupus erythematosus (H and E, ×400)
  • 5.
    C) Obscuring ofdermoepidermal junction by inflammatory cells : • Lymphocytes are M/c • Eosinophils, neutrophils , mast cells, and histiocytes may be seen. • Obliterates clear distinction between epidermis and papillary dermis • Density of inflammatory infiltrate is variable Several lymphocytes in basal cell layer obscuring dermo-epidermal junction with basal cell vacuolization and few apoptotic keratinocytes in lower spinous zone. Erythema multiforme (H and E, ×400)
  • 6.
    2. Secondary changes A)Epidermal changes: • Depend on disease, time of biopsy in course of evolution or devolution of disease, and site of biopsy. • Acanthosis, hypergranulosis • Thick compact orthokeratotic stratum corneum • Thin and atrophic epidermis, • Irregular epidermal hyperplasia
  • 7.
    B) Papillary dermalchanges: • Secondary to basal cell damage. • Papillary dermis undergoes expansion to accommodate inflammatory infiltrate, • Fibrosis or sclerosis, • "Incontinence" of melanin into papillary dermis • Melanophages in papillary dermis C) Other changes • Mucin deposits in reticular dermis • Perivascular and periadnexal infiltrates of lymphocytes in midand deep reticular dermis, • lymphocytic lobular panniculitis Thickened papillary dermis with sparse lymphocytic infiltrate and numerous melanophages. persisting basal cell vacuolization. Lichen planus pigmentosus Sclerosis of thickened papillary dermis with smudging of dermo-epidermal junction. Note bluish-grey mucin in upper reticular dermis. LE
  • 8.
    Classification of InterfaceDermatitis 1. Histologically, classified as: a) Prominent basal cell vacuolization (Vacuolar-interface dermatitis): •Basal cell vacuolization is most prominent •Variable perivascular and interstitial infiltrates of lymphocytes. b) Prominent infiltrate in papillary dermis aligned in lichenoid pattern (Lichenoid-interface dermatitis): •Dense band-like infiltrate in papillary dermis •Basal cell vacuolization may be inconspicuous or absent.
  • 9.
    2. Le Boit’sclassification depending on epidermal changes a) Acute cytotoxic type: • Characterized by basal cell vacuolization with lymphocytes infiltrating lower epidermis • Scattered necrotic keratinocytes at various levels in epidermis. • Entire process is rapid, Does not interfere with epidermal keratinization, • Horny layer is unaffected and maintains its normal basket weave arrangement. • EM is prototype. • Few necrotic keratinocytes: Early EM, morbilliform drug and viral eruptions, • Numerous necrotic keratinocytes: Fully developed EM, acute LE, TEN, radiation and chemotherapy-induced skin damage, FDE (eosinophils, neutrophils, and melanophages), pityriasis lichenoides (parakeratosis).
  • 10.
    Numerous necrotic keratinocytesscattered in lower spinous zone with lymphocytes obscuring dermo-epidermal junction. Note normal basket weave stratum corneum. EM
  • 11.
    E M .There is obscuration of the dermoepidermal junction with vacuolar alteration of the basal keratinocytes (A and B). Necrotic keratinocytes may be individual or confluent (B). The process may progress to frank subepidermal vesiculation (C). Toxic epidermal necrosis with confluent, fullthickness epidermal necrosis (D). Note the preservation of the basket-weave horn. Density of dermal inflammatory infiltrate is inversely proportionate to epidermal damage. Fairly dense in EM, Very sparse or even absent in TEN. Eosinophils are not seen as a rule
  • 12.
    Fixed drug eruption.There is obscuration of the dermoepidermal junction with a mixed inflammatory cell infiltrate composed of lymphocytes numerous eosinophils and neutrophils (A and B). Necrotic keratinocytes can be identified throughout all levels of the epidermis (A)and may tend toward confluence. A mixed perivascular infiltrate can be present in the deep dermis (C).
  • 13.
    b) Premature terminaldifferentiation: • Refers to an early development of a thick granular layer and compact stratum corneum • A/w dense lichenoid infiltrates of lymphocytes. • LP is prototype • Dense lymphocytic infiltrates: LP, lichenoid keratosis, lichenoid drug reaction especially photolichenoid, acute GVHD, DLE, lichen striatus. • Few lymphocytes: Dermatomyositis, lichenoid GVHD. • Mixed infiltrates: Lichenoid drug reaction (eosinophils), keratosis lichenoides chronica (plasma cells). c) Irregular epidermal hyperplasia: variant of above • Show marked irregular epidermal hyperplasia • Seen in hypertrophic LP, verrucous DLE, and some longstanding lichenoid drug eruptions.
  • 14.
    Lichen planus. Thereis compact orthokeratosis with no parakeratosis, wedgeshaped hypergranulosis, jagged acanthosis of the epidermis, and a band-like lymphocytic infiltrate obscures the dermoepidermal junction (A–C). Necrotic keratinocytes are in the lower one-third of the epidermis with colloid bodies in the superficial papillary dermis (D)
  • 15.
    Lichenoid dermatitis involvingcontiguous follicular infundibula. Hypertrophic lichen planus Wedge shaped hypergranulosis, lichenoid lymphocytic infiltrate at base of infundibulum, few colloid bodies at dermoepidermal junction
  • 16.
    Clumps of numerouscolloid bodies in upper papillary dermis with numerous melanophages. Lichen planus pigmentosus
  • 17.
    • Lichenoid drugeruption. The histologic presentation can be identical to lichen planus (A). Differentiating features may include focal pararkeratosis, necrotic keratinocytes in all layers of the epidermis, and eosinophils within the infiltrate (B and C).
  • 18.
    • Lichenoid pigmentedpurpura. There is a band-like lymphocytic infiltrate that does not obscure the dermoepidermal junction (A). • Extravasated erythrocytes and/or hemosiderin-laden macrophages are a prominent feature (B and C).
  • 19.
    Lichen nitidus. Thereis a • lymphohistiocytic infiltrate filling the papillary dermis with "claw-like" hyperplasia of the surrounding epidermis. Lichen striatus. There is a superficial and deep perivascular and periadnexal lymphohistiocytic infiltrate with a band-like component that obscures the dermoepidermal junction (A). Shows psoriasiform hyperplasia of epidermis Foci of mild to moderate spongiosis and may show exocytosis of lymphocytes (B).
  • 20.
    Acute graft versushost reaction (GvHR). There is a sparse lymphocytic infiltrate obscuring the dermoepidermal junction (A). Lymphocytes are present in the epidermis (exocytosis) with adjacent individually necrotic keratinocytes (satellite cell necrosis) (B). Chronic GvHR. There is acanthosis of the epidermis with hypergranulosis and a patchy band-like lymphocytic infiltrate. The dermis is fibrotic (C).
  • 22.
    Superficial and deepperivascular and periadnexal lymphocytic infiltrates. Note thin epidermis, basal cell vacuolization with subepidermal clefts that involve follicular infundibular epithelium, follicular plugging at one end of the sections. LE Pools of bluish-grey mucin between bundles of collagen in reticular dermis. LE
  • 23.
    Systemic lupus erythematosus.There is obscuration of the dermoepidermal junction with vacuolar alteration of the basal keratinocytes with a sparse lymphocytic infiltrate (A and B). Dermatomyositis. This may appear identical to systemic lupus erythematosus. There is a sparse lymphocytic infiltrate with vacuolar alteration of the basal keratinocytes (C). Abundant mucin interposed between the dermal collagen bundles (D
  • 24.
    Discoid lupus erythematosus.There is a superficial and deep perivascular and periadnexal lymphocytic infiltrate with vacuolar alteration of the basal keratinocytes (A and B). A dense lymphocytic infiltrate surrounds the follicular adnexae with obscuration of the epithelial-stromal junction(C). Note the marked thickening of the basement membrane (D)
  • 25.
    d) Interface dermatitiswith psoriasiform hyperplasia: • • • • • Show interface changes as a secondary pathological feature Not classified as primary interface dermatitis. Lymphocytes and siderophages: Lichenoid purpura. Eosinophils predominant: Urticarial pemphigoid, some drug eruptions. Lymphocytes mostly: Mycosis fungoides, lichen striatus, pityriasis lichenoides, lichen sclerosus, center of porokeratosis. • Plasma cells: Secondary syphilis, early acrodermatitis chronica atrophicans. e) Interface dermatitis with epidermal atrophy: • Represents late atrophic phase of several dermatoses • Plasma cells: Late stage of acrodermatitis chronica atrophicans. • Band of melanophages: Regressing malignant melanoma, late pigmented patches of FDE. • Lymphocytic infiltrate: Atrophic LP, long-standing lesions of LE, dermatomyositis, poikiloderma, atrophic lesions of lichen sclerosus, center of porokeratosis.
  • 26.
    Lichen sclerosus etatrophicus (LS et A), atrophy, follicular plugging, papillary dermal edema, and sclerosis with a patchy, band-like predominantly lymphocytic infiltrate interposed between the altered collagen of the upper dermis and normal collagen of lower dermis (A and B). Fully developed LS et A. There is effacement of rete ridge pattern of epidermis with vacuolar alteration of basal keratinocytes and sclerosis of dermis (C)
  • 27.
    Pityriasis lichenoides etvarioliformis acuta (PLEVA). There is a superficial and deep perivascular lymphocytic infiltrate that obscures dermoepidermal junction (A). Neutrophils are in stratum corneum admixed with degenerated necrotic keratinocytes and parakeratotic corneocytes (B). Necrotic keratinocytes are scattered throughout epidermis and erythrocytes are interposed between keratinocytes (C).
  • 28.
    Superficial perivascular lymphocyticinfiltrate, SUBTLE VACUOLAR ALTERATIONS, +/- EXTRAVASTED RBC . Note the thick wafer-like scale containing flat parakeratosis and flecks of melanin. Pityriasis lichenoides chronica