ccaassee pprreesseennttaattiioonn 
DDrr.. IImmttiiaazz AAhhmmaadd.. 
PPGGRR-- IIVV(( mmeeddiicciinnee))
BBiiooddaattaa 
PPaattiieenntt ppeerrvvaaiizz aahhmmaadd ss//oo hhaajjii 
iissmmaaiill,, 5555,, mmaallee,, mmaarrrriieedd,, rreessiiddeenntt ooff 
GGuujjrraatt (( vviillllaaggee ttaarroovvaall)),, ddrriivveerr bbyy 
pprrooffeessssiioonn,, aaddmmiitttteedd iinn wwmmww oonn 
55//77//1144 tthhrroouugghh OOPPDD.. WWiitthh 
ccoommppllaaiinnttss ooff::-- 
2
PPrreesseennttiinngg ccoommppllaaiinntt 
FFeevveerr……………………………….. ………………..............................33..55 mmoonntthhss 
WWeeaakknneessss ooff RRtt.. SSiiddee ooff bbooddyy………….... ………………..22 mmoonntthhss 
AApphhaassiiaa…………………………………………………………………………..22 mmoonntthhss 
PPaaiinn aanndd nnuummbbnneessss iinn lleefftt lleegg bbeellooww 
kknneeee………………………………………………………….. 2200 ddaayyss 
3
HHiissttoorryy ooff pprreesseennttiinngg iillllnneessss 
PPaattiieenntt wwaass iinn uussuuaall ssttaattee ooff hheeaalltthh 33..55 mmoonntthhss aaggoo 
wwhheenn hhee ggoott iinnttrraagglleeuutteeaall iinnooccuullaattiioonn ffoorr bbooddyy 
aacchheess aanndd ppaaiinnss.. 
SSiittee ooff iinnjjeeccttiioonn ggoott rreedd aanndd sswwoolllleenn nneexxtt ddaayy .. 
oovveerr 44--55 ddaayyss iitt ggoott ppuuss aanndd eexxttrreemmeellyy ppaaiinnffuull.. 
IItt wwaass aassssoocciiaatteedd wwiitthh hhiigghh ggrraaddee ffeevveerr,, rriiggoorr aanndd 
cchhiillllss.. 
LLooccaall ssuurrggeeoonn ddiidd iinncciissiioonn aanndd ddrraaiinnaaggee ooff tthhee 
aabbsscceessss.. 
4
CCoonntt…….. 
 PPaaiinn sseettttlleedd bbuutt ffeevveerr ppeerrssiisstteedd.. IItt wwaass iinniittiiaallllyy 
hhiigghh ggrraaddee tthheenn llooww ggrraaddee,, iinntteerrmmiitttteenntt.. 
 FFeevveerr wwaass aassssoocciiaatteedd wwiitthh mmiilldd ccoouugghh,, sshhoorrttnneessss 
ooff bbrreeaatthh,, ppaallppiittaattiioonn,, aannoorreexxiiaa aanndd wweeiigghhtt lloossss.. 
 IItt wwaass nnoott aassssoocciiaatteedd wwiitthh eeaarr,, nnaassaall aanndd 
uurreetthheerraall ddiisscchhaarrggee.. 
 NNoo hhiissttoorryy ooff ggeenniittaall aanndd oorraall uullcceerrss.. 
 NNoo hhiissttoorryy ooff jjooiinntt ppaaiinnss,, aanndd rraasshh.. 
 ffeevveerr wwaass rreelliivveedd bbyy aannttiippyyrreettiiccss ffoorr ttiimmee bbeeiinngg.. 
5
CCoonntt…….. 
 PPaattiieenntt ttooookk AATTTT.. ffoorr 1100 ddaayyss aass aaddvviisseedd bbyy 
ssoommee llooccaall GGPP.. 
 CCoonnddiittiioonn ddiiddnn’’tt iimmpprroovvee aanndd hhee ssttooppppeedd AATTTT.. 
BByy hhiimmsseellff.. 
 11mmoonntthh aafftteerr,, ppaattiieenntt ggoott RRtt.. SSiiddeedd wweeaakknneessss 
aanndd aapphhaassiiaa.. IItt wwaass ssuuddddeenn iinn oonnsseett.. NNoo hhiissttoorryy 
ooff ttrraauummaa oorr ffaallll.. hhee rreemmaaiinneedd ccoonnsscciioouuss dduurriinngg 
tthhee eevveenntt.. 
6
CCoonntt…….. 
 SShhoorrttnneessss aanndd ppaallppiittaattiioonn wwoorrsseenn oovveerr nneexxtt 
wweeeekk aanndd ppaattiieenntt ggoott PPNNDD,, oorrtthhooppnneeaa aanndd cchheesstt 
ddiissccoommffoorrtt.. IItt wwaass aassssoocciiaatteedd wwiitthh bbiillaatteerraall ppeeddaall 
sswweelllliinngg.. 
 HHee rreemmaaiinneedd aaddmmiitttteedd iinn ssoommee pprriivvaattee hhoossppiittaall,, 
wwoorrkkeedd uupp,, aanndd rreecceeiivveedd ssoommee mmaannaaggeemmeenntt.. 
 DDyyssooppnneeaa aanndd wweeaakknneessss iimmpprroovveedd.. 
 2200 ddaayyss aaggoo ppaattiieenntt ddeevveellooppeedd aaccuuttee ppaaiinn iinn hhiiss 
lleefftt lleegg.. IItt wwaass bbeellooww kknneeee.. SSuuddddeenn iinn oonnsseett 
wwhheenn hhee wwaass iinn bbeedd.. 7
CCoonntt…….. 
 PPaaiinn wwoorrsseenn wwhhiillee wwaallkkiinngg.. hhee ffeelltt tthhaatt hhiiss 
lleefftt lleegg wwaass ccoolldd aass ccoommppaarreedd ttoo rriigghhtt oonnee.. 
NNoo ssiiggnniiffiiccaanntt ccoolloorr cchhaannggee bbeettwweeeenn ttwwoo 
lleeggss.. 
 NNoo hhiissttoorryy ppaaiinn ttoo aannyy ootthheerr ppaarrtt ooff bbooddyy.. 
 NNoo hh//oo bblluuee ddiissccoolloorraattiioonn ooff ddiiggiittss 
 NNoo hhiissttoorryy ooff vviissuuaall iimmppaaiirrmmeenntt.. 
8
PPaasstt hhiissttoorryy 
 TThheerree iiss hhiissttoorryy ooff aappppeennddeeccttoommyy 44 yyeeaarrss aaggoo.. 
 NNoo hhiissttoorryy ooff hhyyppeerrtteennssiioonn,, ddiiaabbeetteess mmeelllliittuuss,, 
CCVVAA,, iisscchheemmiicc hheeaarrtt ddiisseeaassee aanndd ttuubbeerrccuulloossiiss.. 
 NNoo ppaasstt hhiissttoorryy ooff mmeeddiiccaall aaddmmiissssiioonnss 
 NNoo ppaasstt hhiissttoorryy ooff rreeppeeaatteedd iinnffeeccttiioonnss aanndd 
wwoouunnddss 
 NNoo hhiissttoorryy ooff ccaarrddiiaacc ssuurrggeerryy 
9
PPeerrssoonnaall hhiissttoorryy 
 HHee iiss ddrriivveerr,, vviissiittss ddiiffffeerreenntt cciittiieess.. 
 hhee iiss SSmmookkeerr aanndd aallccoohhoolliicc.. NNoott aaddddiicctt 
 NNoo hhiissttoorryy ooff ii//vv DDrruugg aabbuussee 
 MMaarrrriieedd wwiitthh 44 kkiiddss,, 
 NNoo hhiissttoorryy ooff eexxttrraa mmaarriittaall sseexxuuaall ccoonnttaacctt.. 
 LLiivveess wwiitthh hhiiss ffaammiillyy iinn vviillllaaggee.. ggoooodd rreellaattiioonnss 
wwiitthh kkiitthh aanndd kkiinn,, 
 NNoorrmmaall bboowwll aanndd bbllaaddddeerr hhaabbiittss.. 
 NNoo hhiissttoorryy ooff ffoorreeiiggnn ttrraavveell.. 10
FFaammiillyy hhiissttoorryy 
 BBeelloonnggss ttoo wweellll--ooffff ffaammiillyy 
 33 bbrrootthheerr wwoorrkkss iinn SSppaaiinn.. 
 NNoo ffaammiillyy hhiissttoorryy ooff ccoonnttaaggiioouuss ddiisseeaassee.. 
 NNoo ffaammiillyy hh//oo ooff TTBB.. 
 hh//oo iiff HHTTNN ,,DDMM aanndd IIHHDD iiss pprreesseenntt iinn 
ffaammiillyy.. 
11
DDrruugg aanndd vvaacccciinnaattiioonn hhiissttoorryy 
NNoo hh//oo ooff ddrruugg aalllleerrggyy rreeccoorrddeedd yyeett.. 
NNoo rreeccoorrdd ooff vvaacccciinnaattiioonn aavvaaiillaabbllee.. 
12
SSyysstteemmiicc rreevviieeww 
 NNoo hh//oo ppaaiinn iinn aabbddoommeenn,, lloossee mmoottiioonnss.. 
VVoommiittiinngg.. 
 NNoo hhiissttoorryy ooff hheeaaddaacchhee aanndd iimmppaaiirrmmeenntt ooff 
vviissiioonn.. 
 NNoo hhiissttoorryy ooff hheemmaattuurriiaa,, ppyyuurriiaa aanndd bbuurrnniinngg 
mmiiccttuurraattiioonn.. 
 NNoo hhiissttoorryy ooff rraasshh aanndd jjooiinntt ppaaiinn 
 NNoo hhiissttoorryy ooff iinnvvoolluunnttaarryy mmoovveemmeennttss 
13
GGeenneerraall pphhyyssiiccaall eexxaammiinnaattiioonn 
AA mmiiddddllee aaggeedd mmaann ooff nnoorrmmaall hheeiigghhtt aanndd bbuuiilltt 
,,ssiittttiinngg ccoommffoorrttaabbllyy iinn bbeedd,, wweellll oorriieenntteedd iinn ttiimmee 
ssppaaccee aanndd ppeerrssoonn,, hhaavviinngg ii//vv ccaannnnuullaa iinn hhiiss rrtt..aarrmm.. 
VViittaallss::-- 
PPuullssee:: 8844//mmiinntt.. HHiigghh vvoolluummee 
BBpp:: 12200//2200mmmmhhgg.. pp..pp:: 10000mmmmhhgg.. 
RR//RR:: 155//mmnntt 
TTeemmpp:: 9999FF 
14
CCoonntt…….. 
 PPaalllloorr:: ++vvee tthhyyrrooiidd:: nnoott eennllaarrggeedd 
 CCyynnoossiiss:: --vvee 
 CClluubbbbiinngg:: ggrraaddee --11 
 SSpplliinntteerr::--vvee 
 JJaannwwaayy lleessiioonnss:: --vvee 
 OOssllaarr nnooddeess::--vvee 
 JJaauunnddiiccee::--vvee 
 JJvvpp:: nnoott rraaiisseedd 
 EEddeemmaa::--vvee 15
CCVVSS 
PPuullssee :: 
8844//mmnntt.. 
RReegguullaarrllyy rreegguullaarr 
HHiigghh vvoolluummee 
WWaatteerr hhaammmmeerr ++vvee 
NNoo rraaddiioo-- rraaddiiaall aanndd rraaddiioo-- ffeemmoorraall ddeellaayy 
AAllll tthhee ppuullsseess ppaallppaabbllee eexxcceepptt lleefftt ppoosstteerriioorr 
ttiibbiiaall aanndd ddoorrssaalllliiss ppeeddiissuuss aarrtteerryy 
16
pprreeccoorrddiiuumm 
IInnssppeeccttiioonn && ppaallppaattiioonn:: 
LLeefftt cchheesstt bbuullggeedd.. 
EElllliippttiiccaall.. 
MMoovviinngg wwiitthh rreessppiirraattiioonn 
AAppeexx bbeeaatt :: lleefftt..66tthh iinntteerrccoossttaall ssppaaccee iinn aanntteerriioorr 
aaxxiillllaarryy lliinnee,, oonn lleefftt llaatteerraall ppoossiittiioonn.. 
NNoo ssoouunndd ppaallppaabbllee.. 
DDiiaassttoolliicc tthhrriillll aatt AA11 aarreeaa ++vvee 
PPaarraasstteerrnnaall hheeaavvee:: --vvee 17
pprreeccoorrddiiuumm 
AAuussccuullttaattiioonn:: 
SS11 aanndd SS22 ssoofftt.. AAtt tthheeiirr rreessppeeccttiivvee aarreeaass.. 
SSyyssttoolliicc mmuurrmmuurr ooff ggrraaddee 22 aatt mmiittrraall aarreeaa 
++vvee.. AAcccceennttuuaatteedd wwiitthh eexxpp.. AAnndd lltt.. llaatteerraall 
DDiiaassttoolliicc mmuurrmmuurr ooff ggrraaddee 44 aatt aaoorrttiicc aarreeaa 
++vvee.. aacccceennttuuaatteedd wwiitthh eexxpp.. AAnndd lleeaanniinngg 
ffoorrwwaarrdd 
NNoo ccaarroottiidd bbrruuiitt.. 
18
VVaassccuullaarr ssyysstteemm 
 AAllll tthhee ppuullsseess ppaallppaabbllee eexxcceepptt lleefftt ppoosstteerriioorr ttiibbiiaall 
aanndd ddoorrssaalllliiss ppeeddiissuuss aarrtteerryy.. 
 RRaayynnaauudd:: --vvee 
 WWaattssoonn’’ss wwaatteerr hhaammmmeerr ppuullssee :: ++vvee 
 PPiissttooll sshhoott ffeemmoorraall :: ++vvee 
 DDuurroozziieezz’’ss ssiiggnn:: ++vvee 
 DDee mmuusssseett’’ss ssiiggnn:: --vvee 
 MMuueelllleerr ssiinngg:: --vvee 
 CCoorrrriiggaannss ssiiggnn:: --vvee 
 QQuuiinncckkee ssiiggnn:: --vvee 19
CCNNSS 
HHiiggeerr mmeennttaall ffuunnccttiioonnss:: 
IInnttaacctt eexxcceepptt ssppeeeecchh…….... EExxpprreessssiivvee aapphhaassiiaa 
(( eessppeecciiaallllyy nnoommiinnaattiioonn ccoommppoonneenntt iiss aaffffeecctteedd 
mmoorree)) 
CCrraanniiaall nneerrvveess:: 
AAllll tthhee ccrraanniiaall nneerrvveess iinnttaacctt.. 
((iinniittiiaallllyy ppaattiieenntt hhaadd lltt.. ssiiddee ddeevviiaattiioonn ooff aannggllee ooff 
mmoouutthh nnooww iittss nnoorrmmaall)) 
20
MMoottoorr ssyysstteemm:: 
RRtt.. LLtt.. 
BBuullkk;; NN NN 
ppoowweerr:: 44//55 55//55 
TToonnee:: NN NN 
RReefflleexxeess:: NN NN 
PPllaanntteerrss:: uupp ddoowwnn 
21
SSeennssoorryy:: 
LLeefftt lleegg hhaass ttiinngglliinngg sseennssaattiioonn bbeellooww mmiidd ccaallff.. 
IItt iiss ppaaiinnffuull,, ccoolldd aass ccoommppaarreedd ttoo RRtt.. SShhiinn.. 
IIttss ppaallee aanndd hhaass lleessss hhaaiirr aass ccoommppaarreedd ttoo RRtt..sshhiinn 
OOtthheerrwwiissee aallll tthhee sseennssaattiioonnss aarree iinnttaacctt.. 
CCeerreebbeelllluumm:: 
iinnttaacctt 
22
SSiinnggss ooff mmeenniinnggeeaall iirrrriittaattiioonn:: 
NNeeggaattiivvee 
FFuunnddoossccooppyy:: 
nnoorrmmaall 
23
GGIITT 
 SSpplleeeenn ppaallppaabbllee 44ccmm bbeellooww LLtt.. ccoossttaall 
mmaarrggiinn.. 
 IItt ssmmooootthh,, nnoottcchh ppaallppaabbllee.. 
 IIttss tteennddeerr.. 
RReesstt ooff GGIITT eexxaammiinnaattiioonn nnoorrmmaall.. 
24
RReessppiirraattoorryy ssyysstteemm 
NNoorrmmaall aatt tthhee ttiimmee ooff eexxaammiinnaattiioonn.. 
25
ssuummmmaayy 
AA mmiiddddllee aaggeedd mmaann,, cchhrroonniicc aallccoohhoolliicc aanndd ssmmookkeerr,, 
ggoott ppaallppiittaattiioonn,, sshhoorrttnneessss ooff bbrreeaatthh,, oonn 
bbaacckkggrroouunndd ooff iinnjjeeccttiioonn ssiittee aabbsscceessss aanndd ffeevveerr oovveerr 
11 mmoonntthh.. HHee ggoott RRtt.. ssiiddeedd uunnccrroosssseedd hheemmiipplleeggiiaa,, 
aanndd lleefftt lloowweerr lliimmbb iisscchheemmiiaa iinn nneexxtt oonnee mmoonntthh.. 
OOnn eexxaammiinnaattiioonn:: hhee hhaass wwaatteerr hhaammmmeerr ppuullssee,, wwiiddee 
ppuullssee pprreessssuurree,, aabbsseenntt lleefftt ppoosstt..ttiibbiiaall aanndd ddoorrssaalliiss 
ppeeddiissuuss aarrttrryy,, RRtt.. HHeemmiippaarreessiiss aanndd sspplleennoommeeggaallllyy,, 
NNoorrmmaall ffuunndduuss,, nnoo sskkiinn lleessiioonnss aanndd jjooiinntt 
iinnvvoollvveemmeenntt 26
DDiiffffeerreennttiiaall ddiiaaggnnoossiiss 
 IInnffeeccttiivvee eennddooccaarrddiittiiss wwiitthh eemmbboolliicc ccoommpplliiccaattiioonnss.. 
 AArrtteerriiaall mmyyxxoommaa.. 
 RRuuppttuurreedd aatthheerroommaa iinn aaoorrttaa wwiitthh mmuullttii--oorrggaann 
eemmbboollii.. 
 VVaassccuulliittiiss.. 
 AAccqquuiirreedd hhyyppeerrccooaagguullaabbllee ssttaattee ee..gg.. 
pprrootteeiinn cc,, ss ddeeffiicciieennccyy,, ppoollyyccyytthheemmiiaa,, eettcc.. 
 sseeppssiiss 
 SSiicckkllee cceellll ttrraaiitt.. 
27
iinnvveessttiiggaattiioonnss 
CCBBCC:: 
HHBB:: 1133 gg//ddLL 
TTLLCC:: 1144xx 110033 
DDLLCC:: nnoorrmmaall 
EESSRR:: 1155//11sstt hhrr.. 
CCRRPP:: 1155..66 (( NN:: 00..55)) 
28
 LLFFTT’’ss:: NNoorrmmaall 
 GGAAMMAA GGTT:: 855 (( NN:: 5555)) 
 CCrreeaattiinniinnee:: 1166//66 2222//66 2244//66 11//77 
22..11 55..44 44..99 22..44 
UUrreeaa:: 4466 111122 110000 877 
29
 NNaa:: 113300 
 KK:: 33..33 
 CCll:: 110011 
 PPTT:: 2222 
 AAPPTTTT:: 338 
 IINNRR:: 11..99 
 CCPPKK:: 2299 ((NN)) 
30
CCKKMMBB:: 1100 
SSGGOOTT:: 3311 
LLDDHH:: 992277 (( NN:: 446600)) 
AABBGG’’ss ::NNoorrmmaall 
31
UURRIINNEE CC//EE:: 
BBlloooodd:: ++++++ 
RRBBCC’’ss:: 22--00--2255//HHFFPP 
WWBBCC’’ss :: 8--1100//HHFFPP 
UUrriinnee pprroottiieenn:: ..899ggmm// 2244 hhrr 
32
HHBBssAAgg:: --vvee 
AAnnttii.. HHCCVV:: ++vvee PPCCRR:: ddeetteecctteedd:: 
vviirreemmiiaa:: llooww.. 
AAnnttii.. HHIIVV:: --vvee 
VVDDRRLL::--vvee 
MMPP sslliiddee:: --vvee 
33
AANNAA:: --vvee 
AAnnttii SSMMAA:: --vvee 
AAnnttii mmiittoocchhoonnddrriiaall aannttiibbooddyy:: --vvee 
AAnnttii..cceennttrroommeerree:: --vvee 
CC33:: 111199 ((NN)) 
CC44:: 118 ((NN)) 
34
BBlloooodd ccuullttuurree 
 NNoo ggrroowwtthh ddeetteecctteedd aafftteerr 7722 hhrr ooff 
iinnccuubbaattiioonn 
35
EECCGG 
36
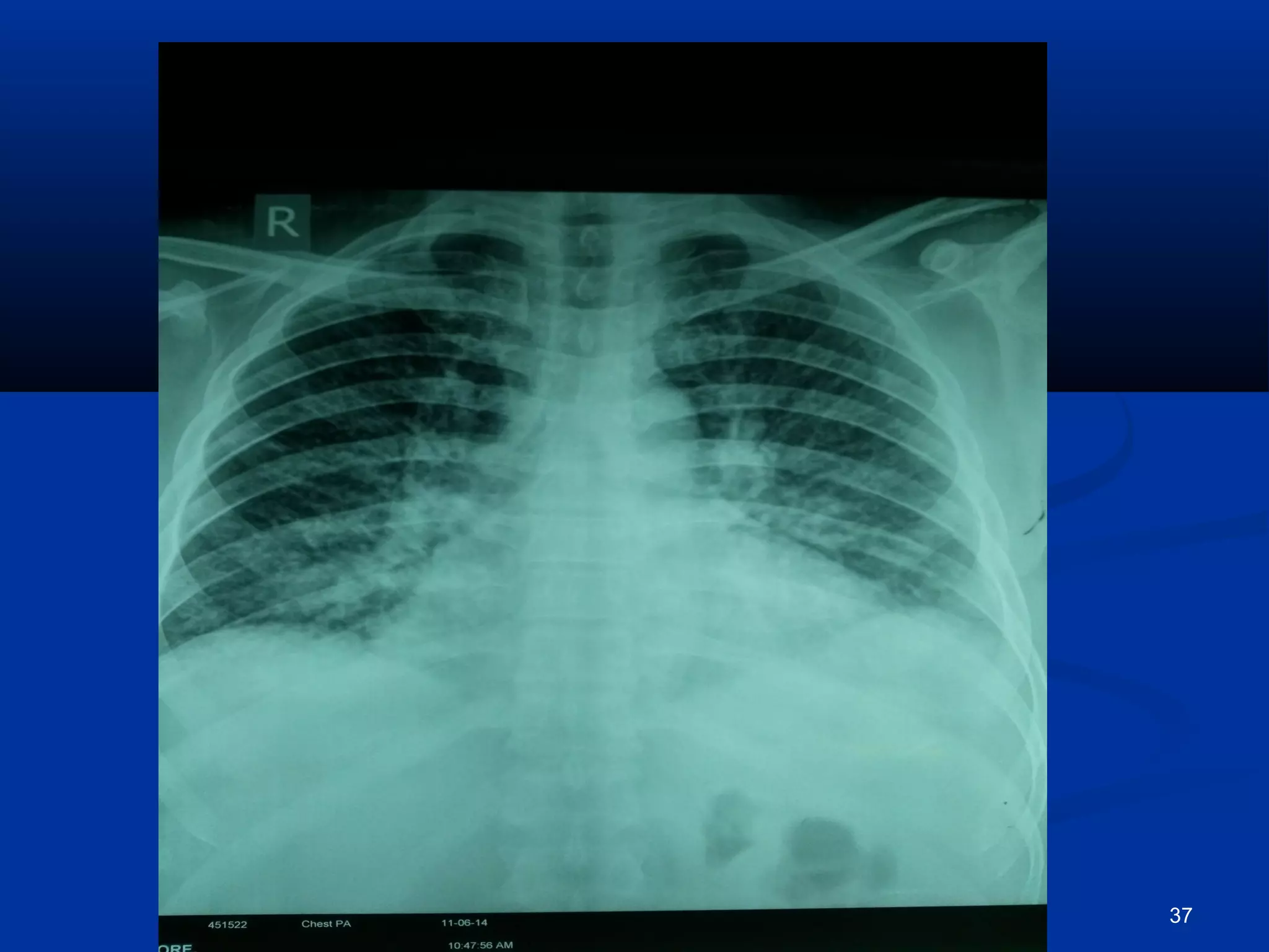
CCXXRR--PPAA 
37
PPlleeuurraall fflluuiidd:: 
CClleeaarr 
TTrraannssuuddaattiivvee;; 
38
UUSSGG..aabbddoommeenn 
 SSpplleeeennoommeeggaallllyy 
RRtt.. pplleeuurraall eeffffuussiioonn 
39
aannggiiooggrraapphhyy 
 nnoorrmmaall 
40
EEcchhooccaarrddiiooggrraapphhyy 
41
42
43
CCTT..bbrraaiinn 
44
45
46
DDoopppplleerr ssttuuddyy ooff lleefftt lleegg 
47
48
CCaassee ssuummmmaarryy 
AA mmiiddddllee aaggeedd mmaann,, cchhrroonniicc aallccoohhoolliicc aanndd ssmmookkeerr,, 
ggoott ppaallppiittaattiioonn,, sshhoorrttnneessss ooff bbrreeaatthh,, oonn 
bbaacckkggrroouunndd ooff iinnjjeeccttiioonn ssiittee aabbsscceessss aanndd ffeevveerr oovveerr 
11 mmoonntthh.. HHee ggoott RRtt.. ssiiddeedd uunnccrroosssseedd hheemmiipplleeggiiaa,, 
aanndd lleefftt lloowweerr lliimmbb iisscchheemmiiaa iinn nneexxtt oonnee mmoonntthh.. 
OOnn eexxaammiinnaattiioonn:: hhee hhaass wwaatteerr hhaammmmeerr ppuullssee,, wwiiddee 
ppuullssee pprreessssuurree,, aabbsseenntt lleefftt ppoosstt..ttiibbiiaall aanndd ddoorrssaalliiss 
ppeeddiissuuss aarrttrryy,, RRtt.. HHeemmiippaarreessiiss aanndd sspplleennoommeeggaallllyy,, 
NNoorrmmaall ffuunndduuss nnoo sskkiinn lleessiioonnss,, 
49
 HHee hhaass lleeuuccooccyyttoossiiss,, 
 RRaaiisseedd CCRRPP 
 RRaaiisseedd LLDDHH 
 UURRIINNEE :: nneepphhrriittiicc ppiiccttuurree 
 PPlleeuurraall fflluuiidd:: ttrraannssuuddaattiivvee.. (( ttrraannssiieenntt)) 
 BBlloooodd ccuullttuurree :: - vvee 
 HHCCVV:: ++vvee .. AAuuttooiimmmmuunnee sseerroollooggyy :: -vvee.. 
 AAnnggiiooggrraapphhyy:: nnoorrmmaall 
 CCTT.. bbrraaiinn,, EECCHHOO,, aanndd DDoopppplleerr II sshhoowweedd yyoouu.. 50
FFiinnaall ddiiaaggnnoossiiss 
IInnffeeccttiivvee eennddooccaarrddiittiiss wwiitthh 
iinnffeeccttiivvee eemmbboolliicc ccoommpplliiccaattiioonnss 
(( CCVVAA,, ppeerriipphheerraall vveesssseell 
eemmbboolliissmm,, sspplleennoommaaggaallllyy)),, 
ccuurrrreennttllyy hhee iiss iinn NNHHYY-11 
51
ppllaann 
 LLoowweerr lliimmbb vveesssseell aannggiiooggrraamm.. 
 OOppiinniioonn ffoorrmm ccaarrddiiaacc ssuurrggeerryy ffoorr rreemmoovviinngg 
mmoobbiillee vveeggeettaattiioonn''ss ffrroomm aaoorrttiicc vvaallvvee.. 
 CCaassee wwiillll bbee ddiissccuusssseedd iinn ccaatthh.. CCoonnffeerreennccee oonn 
FFrriiddaayy 
 HHoolldd tthhee aannttiibbiioottiicc tthheerraappyy ffoorr 22 ddaayyss ttoo rreeppeeaatt 
tthhee bblloooodd ccuullttuurreess.. 
 RReeppeeaatt IINNRR aanndd PPTT.. rreegguullaarrllyy.. 
52
TTrreeaattmmeenntt 
 HHee rreecceeiivveedd vvaannccoommyycciinnee aanndd cceeffttrriiooxxoonnee iinn 
DDooccttoorr’’ss hhoossppiittaall.. 
 NNooww hhee iiss rreecceeiivviinngg :: 
 VVaannccoommyycciinnee 
 CC-ttrrooxx hhoolldd nnooww 
 TTrraammaall 
 AAddaallaatt 
 PPlleettaall 
 WWaarrffaarriinnee.. 55mmgg 1111//22 ttaabb,, ddaaiillyy …….. NNooww IINNRR:: 11..55 53
pprrooggrreessss 
 HHee iiss aaffeebbrriillee && AAccttiivvee 
 SShhoorrttnneessss ooff bbrreeaatthh sseettttlleedd 
 RRtt.. SSiiddeedd WWeeaakknneessss iimmpprroovviinngg 
 LLeefftt ppoosstt.. ttiibbiiaall aarrtteerryy ggoott jjuusstt ppaallppaabbllee.. 
DDoorrssaalliiss ppeeddiissuuss nnoott ppaallppaabbllee yyeett.. ppaaiinn iinn lleegg 
iimmpprroovveedd.. lleevveell ooff ccoollddnneessss iinn lleefftt lleegg ddeeccrreeaasseedd 
ttoo lloowweerr 11//33rrdd 
RRFFTT’’ss ggoott bbaacckk ttoo nnoorrmmaall.. 
CCXXRR-PPAA .. FFiinnddiinnggss ooff ppuullmmoonnaarryy eeddeemmaa rreessoollvveedd 54
55
IInnffeeccttvviivvee EEnnddooccaarrddiittiiss 
56
DDeeffiinniittiioonnss,, ggeenneerraall iinnffoorrmmaattiioonn 
• IInnffeeccttiivvee eennddooccaarrddiittiiss 
– iinnffllaammmmaattoorryy pprroocceessss oonn--ggooiinngg iinnssiiddee 
eennddooccaarrddiiuumm 
– dduuee ttoo iinnffeeccttiioonn aafftteerr eennddootthheelliiuumm 
ddaammaaggee 
– mmoosstt oofftteenn iinnvvoollvviinngg aaoorrttiicc aanndd mmiittrraall 
vvaallvveess
DDeeffiinniittiioonnss,, ggeenneerraall iinnffoorrmmaattiioonn 
-- ccoonnttiinnuueedd 
AAccoorrddiinngg ttoo llooccaalliissaattiioonn:: 
• LLeefftt ssiiddeedd IIEE:: 
– NNaattiivvee vvaallvvee IIEE ((NNVVEE)) 
– PPrroosstthheettiicc vvaallvvee IIEE((PPVVEE)) 
• EEaarrllyy << 11 yyeeaarr aafftteerr ssuurrggeerryy 
• LLaattee >>11 yyeeaarr aafftteerr ssuurrggeerryy 
• RRiigghhtt ssiiddeedd IIEE 
• DDeevviiccee-- rreellaatteedd IIEE ((IICCDD))
DDeeffiinniittiioonnss,, ggeenneerraall iinnffoorrmmaattiioonn 
-- ccoonnttiinnuueedd 
AAccoorrddiinngg ttoo tthhee mmooddee ooff aaccqquuiissiittiioonn:: 
• HHeeaalltthh--ccaarree aassssoocciiaatteedd IIEE:: 
– NNoossooccoommiiaall 
– NNoonn-nnoossooccoommiiaall 
• CCoommmmuunniittyy aaccqquuiirreedd IIEE 
• IInnttrraavveennoouuss ddrruugg aabbuussee--aassssoocciiaatteedd IIEE
DDeeffiinniittiioonnss,, ggeenneerraall iinnffoorrmmaattiioonn 
-- ccoonnttiinnuueedd 
 AAccttiivvee IIEE 
 RReeccuurrrreennccee 
RReellppssee 
RReeiinnffeeccttiioonn
DDeeffiinniittiioonnss,, ggeenneerraall iinnffoorrmmaattiioonn 
-- ccoonnttiinnuueedd 
 33-1100//110000 000000//yyeeaarr 
 MMaaxxiimmuumm aatt tthhee aaggee ooff 7700-8800 
 MMoorree ccoommmmoonn iinn wwoommeenn 
 SSttaapphhyyllooccooccccuuss aauurreeuuss iiss tthhee mmoosstt ccoommmmoonn 
ppaatthhooggeenn 
 SSttrreeppttooccooccccaall IIEE iiss ssttiillll tthhee mmoosstt ccoommmmoonn 
iinn ddeevveellooppiinngg ccoouunnttrriieess
CCoommmmoonn ccaauusseess ooff ccuullttuurree ppoossiittiivvee 
eennddooccaarrddiittiiss 
SSttrreeppttooccooccccuuss vviirriiddaannss.. 
SSttaapphhyyllooccooccccuuss aauurreeuuss 
SSttrreeppttooccooccccuuss ffaaeeccaalluuss 
eenntteerrooccooccccii 
62
ccaauusseess ooff ccuullttuurree nneeggaattiivvee eennddooccaarrddiittiiss 
 BBrruucceellllaa 
 CCooxxiieellllaa bbuurrnneettttii 
 CChhllaammyyddiiaa sspppp 
 MMyyccooppllaassmmaa sspppp 
 LLeeggiioonneellllaa sspppp 
 HHiissttooppllaassmmoossiiss 
 LLiibbmmaannnn ssaaccss eennddooccaarrddiittiiss 
63
GGrraamm nneeggaattiivvee oorrggaanniissmmss 
 PP.. aaeerruuggiinnoossaa mmoosstt ccoommmmoonn 
 HHAACCEEKK -- ssllooww ggrroowwiinngg,, ffaassttiiddiioouuss oorrggaanniissmmss 
tthhaatt mmaayy nneeeedd 33 wweeeekkss ttoo ggrrooww oouutt ooff ccuullttuurree 
 HHaaeemmoopphhiilluuss sspp.. 
 AAccttiinnoobbaacciilllluuss 
 CCaarrddiioobbaacctteerriiuumm 
 EEiikkeenneellllaa 
 KKiinnggeellllaa 
IInn tthhiiss ccaassee bblloooodd ccuullttuurree ddoonn’’tt mmeeeett tthhee mmaajjoorr 
ccrriitteerraa
IInnffeeccttiivvee EEnnddooccaarrddiittiiss 
 PPaatthhooggeenneessiiss 
Endothelial damage 
Platelet-fibrin thrombi 
Microorganism adherence
CClliinniiccaall ssyymmppttoommss 
FFeevveerr –– oovveerr 9900%% ooff ppaattiieennttss 
NNeeww iinnttrraa-ccaarrddiiaacc mmuurrmmuurr - aabboouutt 
8855%% ooff ppaattiieennttss 
RRootthh ssppoottss,, ppeetteecchhiiaaee,, 
gglloommeerruulloonneepphhrriittiiss –– uupp ttoo 3300%% ooff 
ppaattiieennttss
JJaanneewwaayy LLeessiioonnss
SSpplliinntteerr HHeemmoorrrrhhaaggee
OOsslleerr’’ss NNooddeess
SSuubbccoonnjjuunnccttiivvaall HHeemmoorrrrhhaaggeess
RRootthh’’ss SSppoottss
DDuukkee ccrriitteerriiaa 
MMaajjoorr ccrriitteerriiaa 
11.. BBlloooodd ccuullttuurree ppoossiittiivvee ffoorr 
ttyyppiiccaall IIEE--ccaauussiinngg 
mmiiccrroooorrggaanniissmm 
22.. EEvviiddeennccee ooff eennddooccaarrddiiaall 
iinnvvoollvveemmeenntt oonn eecchhoo.. 
MMiinnoorr ccrriitteerriiaa 
11.. PPrreeddiissppoossiittiioonn –– hheeaarrtt 
ccoonnddiittiioonn oorr ii..vv.. ddrruugg aabbuussee 
22.. FFeevveerr –– tteemmpp.. >>3388 °°CC 
33.. VVaassccuullaarr pphheennoommeennaa –– aarrtteerriiaall 
eemmbboollii eettcc.. 
44.. IImmmmuunnoollooggiicc pphheennoommeennaa –– 
gglloommeerruulloonneepphhrriittiiss,, OOsslleerr’’ss 
nnooddeess,, RRootthh’’ss ssppoottss 
55.. MMiiccrroobbiioollooggiiccaall eevviiddeennccee –– 
ppoossiittiivvee bblloooodd ccuullttuurreess bbuutt ddoo 
nnoott mmeeeett mmaajjoorr ccrriitteerriiaa 
Diagnosis 
• 2 major criteria 
• 1 major and 3 minor 
• 5 minor criteria 
Diagnosis 
• 2 major criteria 
• 1 major and 3 minor 
• 5 minor criteria
DDuukkee CCrriitteerriiaa 
DDeeffiinniittee 
:: 22 mmaajjoorr ccrriitteerriiaa 
:: 11 mmaajjoorr aanndd 33 mmiinnoorr ccrriitteerriiaa 
:: 55 mmiinnoorr ccrriitteerriiaa 
:: ppaatthhoollooggyy//hhiissttoollooggyy ffiinnddiinnggss 
PPoossssiibbllee :: 11 mmaajjoorr aanndd 11 mmiinnoorr ccrriitteerriiaa 
:: 33 mmiinnoorr ccrriitteerriiaa 
 RReejjeecctteedd :: ffiirrmm aalltteerrnnaattee ddiiaaggnnoossiiss 
:: rreessoolluuttiioonn ooff mmaanniiffeessttaattiioonnss ooff IIEE wwiitthh 
44 ddaayyss aannttiimmiiccrroobbiiaall tthheerraappyy oorr lleessss
CClliinniiccaall ssyymmppttoommss –– wwhheenn ttoo 
ssuussppeecctt?? 
• SSeeppssiiss ooff uunnkknnoowwnn oorriiggiinn 
• FFeevveerr ccooeexxssiissttiinngg wwiitthh:: 
– IInnttrraaccaarrddiiaacc iimmppllaannttaabbllee mmaatteerriiaall 
– IIEE hhiissttoorryy 
– CCoonnggeenniittaall hheeaarrtt ddiisseeaassee oorr vvaallvvee ddiisseeaassee 
– IIEE rriisskk ffaaccttoorrss 
– CCoonnggeessttiivvee hheeaarrtt ffaaiilluurree ssyymmppttoommss 
– NNeeww hheeaarrtt bblloocckk 
– PPoossiittiivvee bblloooodd ccuullttuurreess 
– FFooccaall nneeuurroollooggiiccaall ssiiggnnss wwiitthhoouutt kknnoowwnn aaeettiioollooggyy 
– PPeerriipphheerraall aabbsscceesseessss ((kkiiddnneeyy,, sspplleeeenn,, bbrraaiinn,, vveerrtteebbrraall 
ccoolluummnn))
BBlloooodd ccuullttuurreess 
 AAllwwaayyss bbeeffoorree ssttaarrttiinngg aannttiibbiioottiiccss 
 AAllwwaayyss ttrriippllee ssaammpplleess –– aaeerroobbee,, aannaaeerroobbee aanndd 
mmyyccoottiicc ,, 1100 mmll eeaacchh 
 TThhrreeee sseettss ooff ssaammpplleess rreeqquuiirreedd
EEcchhooccaarrddiiooggrraapphhyy 
• TTrraannsstthhoorraacciicc ((TTTTEE)) aanndd ttrraannssooeessoopphhaaggeeaall 
((TTEEEE)) 
• ffuunnddaammeennttaall iimmppoorrttaannccee iinn ddiiaaggnnoossiiss,, 
mmaannaaggeemmeenntt,, aanndd ffoollllooww--uupp 
• SShhoouulldd bbee ppeerrffoorrmmeedd aass ssoooonn aass tthhee IIEE iiss 
ssuussppeecctteedd 
• SSeennssiittiivviittyy ooff TTEEEE iiss bbiiggggeerr tthhaann TTTTEE ((vvss 900-- 
110000%% vvss.. 4400--6633%% )) 
• TTEEEE iiss ffiirrsstt cchhooiiccee ttoo ffiinndd IIEE ccoommpplliiccaattiioonnss
EEcchhooccaarrddiiooggrraapphhyy 
EEcchhooccaarrddiiooggrraapphhiicc ffiinnddiinnggss iinn IIEE 
• VVeeggeettaattiioonn 
• AAbbsscceessss 
• PPsseeuuddooaanneeuurryyssmm 
• PPeerrffoorraattiioonn 
• FFiissttuullaa 
• VVaallvvee aanneeuurryyssmm 
• DDiisshheennccee ooff pprroosstthheettiicc vvaallvvee
TTrreeaattmmeenntt bbaassiiccss 
 SSuucceessss rreelliieess oonn eerraaddiiccaattiioonn ooff ppaatthhooggeenn 
 BBaacctteerriicciiddaall rreeggiimmeenntt sshhoouulldd bbee uusseedd 
 DDrruugg cchhooiiccee dduuee ttoo ppaatthhooggeenn 
 SSuurrggeerryy iiss uusseedd mmaaiinnllyy ttoo ccooppee wwiitthh ssttrruuccttuurraall 
ccoommpplliiccaattiioonnss
TTrreeaattmmeenntt bbaassiiccss -- ccoonnttiinnuueedd 
• NNVVEE ssttaannddaarrdd tthheerraappyy -- iitt ttaakkeess 22--66 wweeeekkss ttoo 
eerraaddiiccaattee tthhee ppaatthhooggeenn 
• PPVVEE –– lloonnggeerr rreeggiimmee iiss nneecceesssseerryy –– oovveerr 66 
wweeeekkss 
• IInn SSttrreeppttooccooccccaall IIEE sshhoorrtteerr,, 22 wweeeekk ccoouurrssee,, ccaann 
bbee uusseedd wwhheenn ccoommbbiinniinngg ββ--llaakkttaammss wwiitthh 
aammiinnooggllyyccoossiiddeess 
• MMoosstt wwiiddeellyy uusseedd ddrruuggss –– aammooxxyyccyylliinn,, 
ggeennttaammyycciinn 
• IInn ccaassee ooff ββ--llaakkttaammss aalllleerrggyy -- vvaannccoommyycciinn
IInnddiiccaattiioonnss ffoorr ssuurrggeerryy iinn 
eennddooccaarrddiittiiss 
NNaattiivvee vvaallvvee:: 
AAccuuttee AARR oorr MMRR wwiitthh hheeaarrtt ffaaiilluurree.. 
AAnnnnuullaarr oorr aaoorrttiicc rroooott aabbsscceessss.. 
FFuunnggaall eennddooccaarrddiittiiss.. 
EEvviiddeennccee ooff ppeerrssiisstteenntt iinnffeeccttiioonn ddeessppiittee 
aapppprroopprriiaattee aannttiibbiioottiicc tthheerraappyy ffoorr 1100 ddaayyss.. 
80
PPrroosstthheettiicc vvaallvvee:: 
SSaammee aass nnaattiivvee vvaallvvee pplluuss:: 
EEaarrllyy PPVVEE iinn ffiirrsstt 22 mmoonntthhss oorr lleessss aafftteerr 
ssuurrggeerryy.. 
MMuurrmmuurrss ssuuggggeessttiivvee ooff vvaallvvee ddyyssffuunnccttiioonn 
MMooddeerraattee ttoo sseevveerr hheeaarrtt ffaaiilluurree.. 
CCoonndduuccttiioonnss aabbnnoorrmmaalliittiieess iinn EECCGG.. 
SSttaapphh.. AAuurreeuuss ccuullttuurreedd ffrroomm bblloooodd.. 81
CCoommpplliiccaattiioonnss 
11.. CCoonnggeessttiivvee hheeaarrtt ffaaiilluurree 
• MMoosstt ccoommmmoonn ccoommpplliiccaattiioonn 
• MMaaiinn iinnddiiccaattiioonn ttoo ssuurrggiiccaall ttrreeaattmmeenntt 
• ~~6600%% ooff IIEE ppaattiieennttss 
11.. UUnnccoonnttrroolllleedd iinnffeeccttiioonn 
• PPeerrssiissttiinngg iinnffeeccttiioonn 
• PPeerriivvaallvvuullaarr eexxtteennssiioonn iinn iinnffeeccttiivvee eennddooccaarrddiittiiss 
11.. SSyysstteemmiicc eemmbboolliissmm 
• BBrraaiinn,, sspplleeeenn aanndd lluunnggss 
• 3300%% ooff IIEE ppaattiieennttss 
• MMaayy bbee tthhee ffiirrsstt ssyymmppttoomm
CCoommpplliiccaattiioonnss -- ccoonnttiinnuueedd 
55.. NNeeuurroollooggiicc eevveennttss 
66.. AAccuuttee rreennaall ffaaiilluurree 
77.. RRhheeuummaattiicc pprroobblleemmss 
88.. MMyyooccaarrddiittiiss
PPrroopphhyyllaaxxiiss 
• FFiirrsstt aanndd mmoosstt iimmppoorrttaanntt –– pprrooppeerr oorraall hhyyggiieennee 
• RReegguullaarr ddeennttaall rreevviieeww 
• AAnnttiibbiioottiiccss oonnllyy iinn hhiigghh--rriisskk ggrroouupp ppaattiieennttss 
– PPrroosstthheettiicc vvaallvvee oorr ffoorreeiiggnn mmaatteerriiaall uusseedd ffoorr hheeaarrtt rreeppaaiirr 
– HHiissttoorryy ooff IIEE 
– CCoonnggeenniittaall hheeaarrtt ddiisseeaassee 
• CCyyaannoottiicc wwiitthhoouutt ccoorrrreeccttiioonn oorr wwiitthh rreessiidduuaall lliicckkeeaaggee 
• CCHHDD wwiitthhoouutt lliicckkeeaaggee bbuutt uupp ttoo 66 mmoonntthhss aafftteerr ssuurrggeerryy 
– UUssee aammooxxyycciilliinn oorr aammppiiccyylliinn 3300--6600 mmiinn pprriioorr ttoo 
iinntteerrvveennttiioonn
SSuummmmaarryy 
11.. IIEE iiss rraarree bbuutt sseerriioouuss ddiisseeaassee,, wwiitthh hhiigghh mmoorrttaalliittyy 
rraattee 
22.. EEvveerryy ccaassee ooff ffeevveerr ooff uunnkknnoowwnn oorriiggiinn sshhoouulldd bbee 
ssuussppeecctteedd ffoorr IIEE 
33.. BBlloooodd ccuullttuurreess aarree eesssseennttiiaall ffoorr ddiiaaggnnoossiiss 
44.. TTTTEE//TTEEEE iiss tthhee bbeesstt mmeetthhoodd ttoo mmoonniittoorr aanndd 
ffoollllooww--uupp ooff IIEE 
55.. AAnnttiibbiioottiiccss aarree mmaaiinn ttrreeaattmmeenntt 
66.. CCHHFF iiss tthhee mmoosstt ccoommmmoonn ccoommpplliiccaattiioonn 
77.. PPhhaarrmmaaccoollooggiiccaall pprroopphhyyllaaxxiiss iiss rreesseerrvveedd ffoorr aa 
nnaarrrrooww ggrroouupp ooff hhiigghh rriisskk ppaattiieennttss
Antiplatelet aanndd aannttiiccooaagguullaattiioonn iinn eemmbboolliicc 
ccoommpplliiccaattiioonnss ooff IIEE.. 
 AAnnttiippllaatteelleett//aannttiiccooaagguullaattiioonn aaggeennttss iissssuueess :: 
 TThhee uussee ooff aannttiippllaatteelleett aanndd aannttiiccooaagguullaanntt aaggeennttss iiss iinn ggeenneerraall nnoott 
tthhee tthheerraappeeuuttiicc rreeggiimmeenn ttoo bbee uusseedd iinn tthhee ttrreeaattmmeenntt ooff iinnffeeccttiivvee 
eennddooccaarrddiittiiss.. 
 MMoosstt aauutthhoorriittiieess bbeelliieevvee tthhaatt eeffffeeccttiivvee aannttiibbiioottiicc ttrreeaattmmeenntt 
iiss tthhee ttrreeaattmmeenntt ooff cchhooiiccee bbeeccaauussee tthhee bbeenneeffiitt ooff 
aannttiiccooaagguullaattiioonn hhaass nnoott bbeeeenn sshhoowwnn,, ppaarrttiiccuullaarrllyy iinn nnaattiivvee-- 
vvaallvvee eennddooccaarrddiittiiss.. IInn tthhee sseettttiinngg ooff aann iisscchheemmiicc ssttrrookkee aanndd 
iinn IICCHHss,, iitt iiss ccoommmmoonnllyy aaggrreeeedd tthhaatt aannttiiccooaagguullaanntt aaggeennttss 
sshhoouulldd bbee ssttooppppeedd.. HHoowweevveerr iinn ppeerriipphheerraall lliimmbb iisscchheemmiiaa 
aannttiiccoogguullaattiioonn ccaann bbee uusseedd wwhheenn bblloooodd ccuullttuurreess aarree 
nneeggaattiivvee aattlleeaasstt 22 wweeeekkss aafftteerr aannttiibbiioottiicc tthheerraappyy 
Mark D. Johnson, MDa,∗ 
Charles D. Johnson, MD, FACCb 86
tthhaannxx 
87

Infective endocarditis case presentation by dr imtiaz

  • 1.
    ccaassee pprreesseennttaattiioonn DDrr..IImmttiiaazz AAhhmmaadd.. PPGGRR-- IIVV(( mmeeddiicciinnee))
  • 2.
    BBiiooddaattaa PPaattiieenntt ppeerrvvaaiizzaahhmmaadd ss//oo hhaajjii iissmmaaiill,, 5555,, mmaallee,, mmaarrrriieedd,, rreessiiddeenntt ooff GGuujjrraatt (( vviillllaaggee ttaarroovvaall)),, ddrriivveerr bbyy pprrooffeessssiioonn,, aaddmmiitttteedd iinn wwmmww oonn 55//77//1144 tthhrroouugghh OOPPDD.. WWiitthh ccoommppllaaiinnttss ooff::-- 2
  • 3.
    PPrreesseennttiinngg ccoommppllaaiinntt FFeevveerr………………………………..………………..............................33..55 mmoonntthhss WWeeaakknneessss ooff RRtt.. SSiiddee ooff bbooddyy………….... ………………..22 mmoonntthhss AApphhaassiiaa…………………………………………………………………………..22 mmoonntthhss PPaaiinn aanndd nnuummbbnneessss iinn lleefftt lleegg bbeellooww kknneeee………………………………………………………….. 2200 ddaayyss 3
  • 4.
    HHiissttoorryy ooff pprreesseennttiinnggiillllnneessss PPaattiieenntt wwaass iinn uussuuaall ssttaattee ooff hheeaalltthh 33..55 mmoonntthhss aaggoo wwhheenn hhee ggoott iinnttrraagglleeuutteeaall iinnooccuullaattiioonn ffoorr bbooddyy aacchheess aanndd ppaaiinnss.. SSiittee ooff iinnjjeeccttiioonn ggoott rreedd aanndd sswwoolllleenn nneexxtt ddaayy .. oovveerr 44--55 ddaayyss iitt ggoott ppuuss aanndd eexxttrreemmeellyy ppaaiinnffuull.. IItt wwaass aassssoocciiaatteedd wwiitthh hhiigghh ggrraaddee ffeevveerr,, rriiggoorr aanndd cchhiillllss.. LLooccaall ssuurrggeeoonn ddiidd iinncciissiioonn aanndd ddrraaiinnaaggee ooff tthhee aabbsscceessss.. 4
  • 5.
    CCoonntt……..  PPaaiinnsseettttlleedd bbuutt ffeevveerr ppeerrssiisstteedd.. IItt wwaass iinniittiiaallllyy hhiigghh ggrraaddee tthheenn llooww ggrraaddee,, iinntteerrmmiitttteenntt..  FFeevveerr wwaass aassssoocciiaatteedd wwiitthh mmiilldd ccoouugghh,, sshhoorrttnneessss ooff bbrreeaatthh,, ppaallppiittaattiioonn,, aannoorreexxiiaa aanndd wweeiigghhtt lloossss..  IItt wwaass nnoott aassssoocciiaatteedd wwiitthh eeaarr,, nnaassaall aanndd uurreetthheerraall ddiisscchhaarrggee..  NNoo hhiissttoorryy ooff ggeenniittaall aanndd oorraall uullcceerrss..  NNoo hhiissttoorryy ooff jjooiinntt ppaaiinnss,, aanndd rraasshh..  ffeevveerr wwaass rreelliivveedd bbyy aannttiippyyrreettiiccss ffoorr ttiimmee bbeeiinngg.. 5
  • 6.
    CCoonntt……..  PPaattiieennttttooookk AATTTT.. ffoorr 1100 ddaayyss aass aaddvviisseedd bbyy ssoommee llooccaall GGPP..  CCoonnddiittiioonn ddiiddnn’’tt iimmpprroovvee aanndd hhee ssttooppppeedd AATTTT.. BByy hhiimmsseellff..  11mmoonntthh aafftteerr,, ppaattiieenntt ggoott RRtt.. SSiiddeedd wweeaakknneessss aanndd aapphhaassiiaa.. IItt wwaass ssuuddddeenn iinn oonnsseett.. NNoo hhiissttoorryy ooff ttrraauummaa oorr ffaallll.. hhee rreemmaaiinneedd ccoonnsscciioouuss dduurriinngg tthhee eevveenntt.. 6
  • 7.
    CCoonntt……..  SShhoorrttnneessssaanndd ppaallppiittaattiioonn wwoorrsseenn oovveerr nneexxtt wweeeekk aanndd ppaattiieenntt ggoott PPNNDD,, oorrtthhooppnneeaa aanndd cchheesstt ddiissccoommffoorrtt.. IItt wwaass aassssoocciiaatteedd wwiitthh bbiillaatteerraall ppeeddaall sswweelllliinngg..  HHee rreemmaaiinneedd aaddmmiitttteedd iinn ssoommee pprriivvaattee hhoossppiittaall,, wwoorrkkeedd uupp,, aanndd rreecceeiivveedd ssoommee mmaannaaggeemmeenntt..  DDyyssooppnneeaa aanndd wweeaakknneessss iimmpprroovveedd..  2200 ddaayyss aaggoo ppaattiieenntt ddeevveellooppeedd aaccuuttee ppaaiinn iinn hhiiss lleefftt lleegg.. IItt wwaass bbeellooww kknneeee.. SSuuddddeenn iinn oonnsseett wwhheenn hhee wwaass iinn bbeedd.. 7
  • 8.
    CCoonntt……..  PPaaiinnwwoorrsseenn wwhhiillee wwaallkkiinngg.. hhee ffeelltt tthhaatt hhiiss lleefftt lleegg wwaass ccoolldd aass ccoommppaarreedd ttoo rriigghhtt oonnee.. NNoo ssiiggnniiffiiccaanntt ccoolloorr cchhaannggee bbeettwweeeenn ttwwoo lleeggss..  NNoo hhiissttoorryy ppaaiinn ttoo aannyy ootthheerr ppaarrtt ooff bbooddyy..  NNoo hh//oo bblluuee ddiissccoolloorraattiioonn ooff ddiiggiittss  NNoo hhiissttoorryy ooff vviissuuaall iimmppaaiirrmmeenntt.. 8
  • 9.
    PPaasstt hhiissttoorryy TThheerree iiss hhiissttoorryy ooff aappppeennddeeccttoommyy 44 yyeeaarrss aaggoo..  NNoo hhiissttoorryy ooff hhyyppeerrtteennssiioonn,, ddiiaabbeetteess mmeelllliittuuss,, CCVVAA,, iisscchheemmiicc hheeaarrtt ddiisseeaassee aanndd ttuubbeerrccuulloossiiss..  NNoo ppaasstt hhiissttoorryy ooff mmeeddiiccaall aaddmmiissssiioonnss  NNoo ppaasstt hhiissttoorryy ooff rreeppeeaatteedd iinnffeeccttiioonnss aanndd wwoouunnddss  NNoo hhiissttoorryy ooff ccaarrddiiaacc ssuurrggeerryy 9
  • 10.
    PPeerrssoonnaall hhiissttoorryy HHee iiss ddrriivveerr,, vviissiittss ddiiffffeerreenntt cciittiieess..  hhee iiss SSmmookkeerr aanndd aallccoohhoolliicc.. NNoott aaddddiicctt  NNoo hhiissttoorryy ooff ii//vv DDrruugg aabbuussee  MMaarrrriieedd wwiitthh 44 kkiiddss,,  NNoo hhiissttoorryy ooff eexxttrraa mmaarriittaall sseexxuuaall ccoonnttaacctt..  LLiivveess wwiitthh hhiiss ffaammiillyy iinn vviillllaaggee.. ggoooodd rreellaattiioonnss wwiitthh kkiitthh aanndd kkiinn,,  NNoorrmmaall bboowwll aanndd bbllaaddddeerr hhaabbiittss..  NNoo hhiissttoorryy ooff ffoorreeiiggnn ttrraavveell.. 10
  • 11.
    FFaammiillyy hhiissttoorryy BBeelloonnggss ttoo wweellll--ooffff ffaammiillyy  33 bbrrootthheerr wwoorrkkss iinn SSppaaiinn..  NNoo ffaammiillyy hhiissttoorryy ooff ccoonnttaaggiioouuss ddiisseeaassee..  NNoo ffaammiillyy hh//oo ooff TTBB..  hh//oo iiff HHTTNN ,,DDMM aanndd IIHHDD iiss pprreesseenntt iinn ffaammiillyy.. 11
  • 12.
    DDrruugg aanndd vvaacccciinnaattiioonnhhiissttoorryy NNoo hh//oo ooff ddrruugg aalllleerrggyy rreeccoorrddeedd yyeett.. NNoo rreeccoorrdd ooff vvaacccciinnaattiioonn aavvaaiillaabbllee.. 12
  • 13.
    SSyysstteemmiicc rreevviieeww NNoo hh//oo ppaaiinn iinn aabbddoommeenn,, lloossee mmoottiioonnss.. VVoommiittiinngg..  NNoo hhiissttoorryy ooff hheeaaddaacchhee aanndd iimmppaaiirrmmeenntt ooff vviissiioonn..  NNoo hhiissttoorryy ooff hheemmaattuurriiaa,, ppyyuurriiaa aanndd bbuurrnniinngg mmiiccttuurraattiioonn..  NNoo hhiissttoorryy ooff rraasshh aanndd jjooiinntt ppaaiinn  NNoo hhiissttoorryy ooff iinnvvoolluunnttaarryy mmoovveemmeennttss 13
  • 14.
    GGeenneerraall pphhyyssiiccaall eexxaammiinnaattiioonn AA mmiiddddllee aaggeedd mmaann ooff nnoorrmmaall hheeiigghhtt aanndd bbuuiilltt ,,ssiittttiinngg ccoommffoorrttaabbllyy iinn bbeedd,, wweellll oorriieenntteedd iinn ttiimmee ssppaaccee aanndd ppeerrssoonn,, hhaavviinngg ii//vv ccaannnnuullaa iinn hhiiss rrtt..aarrmm.. VViittaallss::-- PPuullssee:: 8844//mmiinntt.. HHiigghh vvoolluummee BBpp:: 12200//2200mmmmhhgg.. pp..pp:: 10000mmmmhhgg.. RR//RR:: 155//mmnntt TTeemmpp:: 9999FF 14
  • 15.
    CCoonntt……..  PPaalllloorr::++vvee tthhyyrrooiidd:: nnoott eennllaarrggeedd  CCyynnoossiiss:: --vvee  CClluubbbbiinngg:: ggrraaddee --11  SSpplliinntteerr::--vvee  JJaannwwaayy lleessiioonnss:: --vvee  OOssllaarr nnooddeess::--vvee  JJaauunnddiiccee::--vvee  JJvvpp:: nnoott rraaiisseedd  EEddeemmaa::--vvee 15
  • 16.
    CCVVSS PPuullssee :: 8844//mmnntt.. RReegguullaarrllyy rreegguullaarr HHiigghh vvoolluummee WWaatteerr hhaammmmeerr ++vvee NNoo rraaddiioo-- rraaddiiaall aanndd rraaddiioo-- ffeemmoorraall ddeellaayy AAllll tthhee ppuullsseess ppaallppaabbllee eexxcceepptt lleefftt ppoosstteerriioorr ttiibbiiaall aanndd ddoorrssaalllliiss ppeeddiissuuss aarrtteerryy 16
  • 17.
    pprreeccoorrddiiuumm IInnssppeeccttiioonn &&ppaallppaattiioonn:: LLeefftt cchheesstt bbuullggeedd.. EElllliippttiiccaall.. MMoovviinngg wwiitthh rreessppiirraattiioonn AAppeexx bbeeaatt :: lleefftt..66tthh iinntteerrccoossttaall ssppaaccee iinn aanntteerriioorr aaxxiillllaarryy lliinnee,, oonn lleefftt llaatteerraall ppoossiittiioonn.. NNoo ssoouunndd ppaallppaabbllee.. DDiiaassttoolliicc tthhrriillll aatt AA11 aarreeaa ++vvee PPaarraasstteerrnnaall hheeaavvee:: --vvee 17
  • 18.
    pprreeccoorrddiiuumm AAuussccuullttaattiioonn:: SS11aanndd SS22 ssoofftt.. AAtt tthheeiirr rreessppeeccttiivvee aarreeaass.. SSyyssttoolliicc mmuurrmmuurr ooff ggrraaddee 22 aatt mmiittrraall aarreeaa ++vvee.. AAcccceennttuuaatteedd wwiitthh eexxpp.. AAnndd lltt.. llaatteerraall DDiiaassttoolliicc mmuurrmmuurr ooff ggrraaddee 44 aatt aaoorrttiicc aarreeaa ++vvee.. aacccceennttuuaatteedd wwiitthh eexxpp.. AAnndd lleeaanniinngg ffoorrwwaarrdd NNoo ccaarroottiidd bbrruuiitt.. 18
  • 19.
    VVaassccuullaarr ssyysstteemm AAllll tthhee ppuullsseess ppaallppaabbllee eexxcceepptt lleefftt ppoosstteerriioorr ttiibbiiaall aanndd ddoorrssaalllliiss ppeeddiissuuss aarrtteerryy..  RRaayynnaauudd:: --vvee  WWaattssoonn’’ss wwaatteerr hhaammmmeerr ppuullssee :: ++vvee  PPiissttooll sshhoott ffeemmoorraall :: ++vvee  DDuurroozziieezz’’ss ssiiggnn:: ++vvee  DDee mmuusssseett’’ss ssiiggnn:: --vvee  MMuueelllleerr ssiinngg:: --vvee  CCoorrrriiggaannss ssiiggnn:: --vvee  QQuuiinncckkee ssiiggnn:: --vvee 19
  • 20.
    CCNNSS HHiiggeerr mmeennttaallffuunnccttiioonnss:: IInnttaacctt eexxcceepptt ssppeeeecchh…….... EExxpprreessssiivvee aapphhaassiiaa (( eessppeecciiaallllyy nnoommiinnaattiioonn ccoommppoonneenntt iiss aaffffeecctteedd mmoorree)) CCrraanniiaall nneerrvveess:: AAllll tthhee ccrraanniiaall nneerrvveess iinnttaacctt.. ((iinniittiiaallllyy ppaattiieenntt hhaadd lltt.. ssiiddee ddeevviiaattiioonn ooff aannggllee ooff mmoouutthh nnooww iittss nnoorrmmaall)) 20
  • 21.
    MMoottoorr ssyysstteemm:: RRtt..LLtt.. BBuullkk;; NN NN ppoowweerr:: 44//55 55//55 TToonnee:: NN NN RReefflleexxeess:: NN NN PPllaanntteerrss:: uupp ddoowwnn 21
  • 22.
    SSeennssoorryy:: LLeefftt lleegghhaass ttiinngglliinngg sseennssaattiioonn bbeellooww mmiidd ccaallff.. IItt iiss ppaaiinnffuull,, ccoolldd aass ccoommppaarreedd ttoo RRtt.. SShhiinn.. IIttss ppaallee aanndd hhaass lleessss hhaaiirr aass ccoommppaarreedd ttoo RRtt..sshhiinn OOtthheerrwwiissee aallll tthhee sseennssaattiioonnss aarree iinnttaacctt.. CCeerreebbeelllluumm:: iinnttaacctt 22
  • 23.
    SSiinnggss ooff mmeenniinnggeeaalliirrrriittaattiioonn:: NNeeggaattiivvee FFuunnddoossccooppyy:: nnoorrmmaall 23
  • 24.
    GGIITT  SSpplleeeennppaallppaabbllee 44ccmm bbeellooww LLtt.. ccoossttaall mmaarrggiinn..  IItt ssmmooootthh,, nnoottcchh ppaallppaabbllee..  IIttss tteennddeerr.. RReesstt ooff GGIITT eexxaammiinnaattiioonn nnoorrmmaall.. 24
  • 25.
    RReessppiirraattoorryy ssyysstteemm NNoorrmmaallaatt tthhee ttiimmee ooff eexxaammiinnaattiioonn.. 25
  • 26.
    ssuummmmaayy AA mmiiddddlleeaaggeedd mmaann,, cchhrroonniicc aallccoohhoolliicc aanndd ssmmookkeerr,, ggoott ppaallppiittaattiioonn,, sshhoorrttnneessss ooff bbrreeaatthh,, oonn bbaacckkggrroouunndd ooff iinnjjeeccttiioonn ssiittee aabbsscceessss aanndd ffeevveerr oovveerr 11 mmoonntthh.. HHee ggoott RRtt.. ssiiddeedd uunnccrroosssseedd hheemmiipplleeggiiaa,, aanndd lleefftt lloowweerr lliimmbb iisscchheemmiiaa iinn nneexxtt oonnee mmoonntthh.. OOnn eexxaammiinnaattiioonn:: hhee hhaass wwaatteerr hhaammmmeerr ppuullssee,, wwiiddee ppuullssee pprreessssuurree,, aabbsseenntt lleefftt ppoosstt..ttiibbiiaall aanndd ddoorrssaalliiss ppeeddiissuuss aarrttrryy,, RRtt.. HHeemmiippaarreessiiss aanndd sspplleennoommeeggaallllyy,, NNoorrmmaall ffuunndduuss,, nnoo sskkiinn lleessiioonnss aanndd jjooiinntt iinnvvoollvveemmeenntt 26
  • 27.
    DDiiffffeerreennttiiaall ddiiaaggnnoossiiss IInnffeeccttiivvee eennddooccaarrddiittiiss wwiitthh eemmbboolliicc ccoommpplliiccaattiioonnss..  AArrtteerriiaall mmyyxxoommaa..  RRuuppttuurreedd aatthheerroommaa iinn aaoorrttaa wwiitthh mmuullttii--oorrggaann eemmbboollii..  VVaassccuulliittiiss..  AAccqquuiirreedd hhyyppeerrccooaagguullaabbllee ssttaattee ee..gg.. pprrootteeiinn cc,, ss ddeeffiicciieennccyy,, ppoollyyccyytthheemmiiaa,, eettcc..  sseeppssiiss  SSiicckkllee cceellll ttrraaiitt.. 27
  • 28.
    iinnvveessttiiggaattiioonnss CCBBCC:: HHBB::1133 gg//ddLL TTLLCC:: 1144xx 110033 DDLLCC:: nnoorrmmaall EESSRR:: 1155//11sstt hhrr.. CCRRPP:: 1155..66 (( NN:: 00..55)) 28
  • 29.
     LLFFTT’’ss:: NNoorrmmaall  GGAAMMAA GGTT:: 855 (( NN:: 5555))  CCrreeaattiinniinnee:: 1166//66 2222//66 2244//66 11//77 22..11 55..44 44..99 22..44 UUrreeaa:: 4466 111122 110000 877 29
  • 30.
     NNaa:: 113300  KK:: 33..33  CCll:: 110011  PPTT:: 2222  AAPPTTTT:: 338  IINNRR:: 11..99  CCPPKK:: 2299 ((NN)) 30
  • 31.
    CCKKMMBB:: 1100 SSGGOOTT::3311 LLDDHH:: 992277 (( NN:: 446600)) AABBGG’’ss ::NNoorrmmaall 31
  • 32.
    UURRIINNEE CC//EE:: BBlloooodd::++++++ RRBBCC’’ss:: 22--00--2255//HHFFPP WWBBCC’’ss :: 8--1100//HHFFPP UUrriinnee pprroottiieenn:: ..899ggmm// 2244 hhrr 32
  • 33.
    HHBBssAAgg:: --vvee AAnnttii..HHCCVV:: ++vvee PPCCRR:: ddeetteecctteedd:: vviirreemmiiaa:: llooww.. AAnnttii.. HHIIVV:: --vvee VVDDRRLL::--vvee MMPP sslliiddee:: --vvee 33
  • 34.
    AANNAA:: --vvee AAnnttiiSSMMAA:: --vvee AAnnttii mmiittoocchhoonnddrriiaall aannttiibbooddyy:: --vvee AAnnttii..cceennttrroommeerree:: --vvee CC33:: 111199 ((NN)) CC44:: 118 ((NN)) 34
  • 35.
    BBlloooodd ccuullttuurree NNoo ggrroowwtthh ddeetteecctteedd aafftteerr 7722 hhrr ooff iinnccuubbaattiioonn 35
  • 36.
  • 37.
  • 38.
    PPlleeuurraall fflluuiidd:: CClleeaarr TTrraannssuuddaattiivvee;; 38
  • 39.
    UUSSGG..aabbddoommeenn  SSpplleeeennoommeeggaallllyy RRtt.. pplleeuurraall eeffffuussiioonn 39
  • 40.
  • 41.
  • 42.
  • 43.
  • 44.
  • 45.
  • 46.
  • 47.
  • 48.
  • 49.
    CCaassee ssuummmmaarryy AAmmiiddddllee aaggeedd mmaann,, cchhrroonniicc aallccoohhoolliicc aanndd ssmmookkeerr,, ggoott ppaallppiittaattiioonn,, sshhoorrttnneessss ooff bbrreeaatthh,, oonn bbaacckkggrroouunndd ooff iinnjjeeccttiioonn ssiittee aabbsscceessss aanndd ffeevveerr oovveerr 11 mmoonntthh.. HHee ggoott RRtt.. ssiiddeedd uunnccrroosssseedd hheemmiipplleeggiiaa,, aanndd lleefftt lloowweerr lliimmbb iisscchheemmiiaa iinn nneexxtt oonnee mmoonntthh.. OOnn eexxaammiinnaattiioonn:: hhee hhaass wwaatteerr hhaammmmeerr ppuullssee,, wwiiddee ppuullssee pprreessssuurree,, aabbsseenntt lleefftt ppoosstt..ttiibbiiaall aanndd ddoorrssaalliiss ppeeddiissuuss aarrttrryy,, RRtt.. HHeemmiippaarreessiiss aanndd sspplleennoommeeggaallllyy,, NNoorrmmaall ffuunndduuss nnoo sskkiinn lleessiioonnss,, 49
  • 50.
     HHee hhaasslleeuuccooccyyttoossiiss,,  RRaaiisseedd CCRRPP  RRaaiisseedd LLDDHH  UURRIINNEE :: nneepphhrriittiicc ppiiccttuurree  PPlleeuurraall fflluuiidd:: ttrraannssuuddaattiivvee.. (( ttrraannssiieenntt))  BBlloooodd ccuullttuurree :: - vvee  HHCCVV:: ++vvee .. AAuuttooiimmmmuunnee sseerroollooggyy :: -vvee..  AAnnggiiooggrraapphhyy:: nnoorrmmaall  CCTT.. bbrraaiinn,, EECCHHOO,, aanndd DDoopppplleerr II sshhoowweedd yyoouu.. 50
  • 51.
    FFiinnaall ddiiaaggnnoossiiss IInnffeeccttiivveeeennddooccaarrddiittiiss wwiitthh iinnffeeccttiivvee eemmbboolliicc ccoommpplliiccaattiioonnss (( CCVVAA,, ppeerriipphheerraall vveesssseell eemmbboolliissmm,, sspplleennoommaaggaallllyy)),, ccuurrrreennttllyy hhee iiss iinn NNHHYY-11 51
  • 52.
    ppllaann  LLoowweerrlliimmbb vveesssseell aannggiiooggrraamm..  OOppiinniioonn ffoorrmm ccaarrddiiaacc ssuurrggeerryy ffoorr rreemmoovviinngg mmoobbiillee vveeggeettaattiioonn''ss ffrroomm aaoorrttiicc vvaallvvee..  CCaassee wwiillll bbee ddiissccuusssseedd iinn ccaatthh.. CCoonnffeerreennccee oonn FFrriiddaayy  HHoolldd tthhee aannttiibbiioottiicc tthheerraappyy ffoorr 22 ddaayyss ttoo rreeppeeaatt tthhee bblloooodd ccuullttuurreess..  RReeppeeaatt IINNRR aanndd PPTT.. rreegguullaarrllyy.. 52
  • 53.
    TTrreeaattmmeenntt  HHeerreecceeiivveedd vvaannccoommyycciinnee aanndd cceeffttrriiooxxoonnee iinn DDooccttoorr’’ss hhoossppiittaall..  NNooww hhee iiss rreecceeiivviinngg ::  VVaannccoommyycciinnee  CC-ttrrooxx hhoolldd nnooww  TTrraammaall  AAddaallaatt  PPlleettaall  WWaarrffaarriinnee.. 55mmgg 1111//22 ttaabb,, ddaaiillyy …….. NNooww IINNRR:: 11..55 53
  • 54.
    pprrooggrreessss  HHeeiiss aaffeebbrriillee && AAccttiivvee  SShhoorrttnneessss ooff bbrreeaatthh sseettttlleedd  RRtt.. SSiiddeedd WWeeaakknneessss iimmpprroovviinngg  LLeefftt ppoosstt.. ttiibbiiaall aarrtteerryy ggoott jjuusstt ppaallppaabbllee.. DDoorrssaalliiss ppeeddiissuuss nnoott ppaallppaabbllee yyeett.. ppaaiinn iinn lleegg iimmpprroovveedd.. lleevveell ooff ccoollddnneessss iinn lleefftt lleegg ddeeccrreeaasseedd ttoo lloowweerr 11//33rrdd RRFFTT’’ss ggoott bbaacckk ttoo nnoorrmmaall.. CCXXRR-PPAA .. FFiinnddiinnggss ooff ppuullmmoonnaarryy eeddeemmaa rreessoollvveedd 54
  • 55.
  • 56.
  • 57.
    DDeeffiinniittiioonnss,, ggeenneerraall iinnffoorrmmaattiioonn • IInnffeeccttiivvee eennddooccaarrddiittiiss – iinnffllaammmmaattoorryy pprroocceessss oonn--ggooiinngg iinnssiiddee eennddooccaarrddiiuumm – dduuee ttoo iinnffeeccttiioonn aafftteerr eennddootthheelliiuumm ddaammaaggee – mmoosstt oofftteenn iinnvvoollvviinngg aaoorrttiicc aanndd mmiittrraall vvaallvveess
  • 58.
    DDeeffiinniittiioonnss,, ggeenneerraall iinnffoorrmmaattiioonn -- ccoonnttiinnuueedd AAccoorrddiinngg ttoo llooccaalliissaattiioonn:: • LLeefftt ssiiddeedd IIEE:: – NNaattiivvee vvaallvvee IIEE ((NNVVEE)) – PPrroosstthheettiicc vvaallvvee IIEE((PPVVEE)) • EEaarrllyy << 11 yyeeaarr aafftteerr ssuurrggeerryy • LLaattee >>11 yyeeaarr aafftteerr ssuurrggeerryy • RRiigghhtt ssiiddeedd IIEE • DDeevviiccee-- rreellaatteedd IIEE ((IICCDD))
  • 59.
    DDeeffiinniittiioonnss,, ggeenneerraall iinnffoorrmmaattiioonn -- ccoonnttiinnuueedd AAccoorrddiinngg ttoo tthhee mmooddee ooff aaccqquuiissiittiioonn:: • HHeeaalltthh--ccaarree aassssoocciiaatteedd IIEE:: – NNoossooccoommiiaall – NNoonn-nnoossooccoommiiaall • CCoommmmuunniittyy aaccqquuiirreedd IIEE • IInnttrraavveennoouuss ddrruugg aabbuussee--aassssoocciiaatteedd IIEE
  • 60.
    DDeeffiinniittiioonnss,, ggeenneerraall iinnffoorrmmaattiioonn -- ccoonnttiinnuueedd  AAccttiivvee IIEE  RReeccuurrrreennccee RReellppssee RReeiinnffeeccttiioonn
  • 61.
    DDeeffiinniittiioonnss,, ggeenneerraall iinnffoorrmmaattiioonn -- ccoonnttiinnuueedd  33-1100//110000 000000//yyeeaarr  MMaaxxiimmuumm aatt tthhee aaggee ooff 7700-8800  MMoorree ccoommmmoonn iinn wwoommeenn  SSttaapphhyyllooccooccccuuss aauurreeuuss iiss tthhee mmoosstt ccoommmmoonn ppaatthhooggeenn  SSttrreeppttooccooccccaall IIEE iiss ssttiillll tthhee mmoosstt ccoommmmoonn iinn ddeevveellooppiinngg ccoouunnttrriieess
  • 62.
    CCoommmmoonn ccaauusseess ooffccuullttuurree ppoossiittiivvee eennddooccaarrddiittiiss SSttrreeppttooccooccccuuss vviirriiddaannss.. SSttaapphhyyllooccooccccuuss aauurreeuuss SSttrreeppttooccooccccuuss ffaaeeccaalluuss eenntteerrooccooccccii 62
  • 63.
    ccaauusseess ooff ccuullttuurreenneeggaattiivvee eennddooccaarrddiittiiss  BBrruucceellllaa  CCooxxiieellllaa bbuurrnneettttii  CChhllaammyyddiiaa sspppp  MMyyccooppllaassmmaa sspppp  LLeeggiioonneellllaa sspppp  HHiissttooppllaassmmoossiiss  LLiibbmmaannnn ssaaccss eennddooccaarrddiittiiss 63
  • 64.
    GGrraamm nneeggaattiivvee oorrggaanniissmmss  PP.. aaeerruuggiinnoossaa mmoosstt ccoommmmoonn  HHAACCEEKK -- ssllooww ggrroowwiinngg,, ffaassttiiddiioouuss oorrggaanniissmmss tthhaatt mmaayy nneeeedd 33 wweeeekkss ttoo ggrrooww oouutt ooff ccuullttuurree  HHaaeemmoopphhiilluuss sspp..  AAccttiinnoobbaacciilllluuss  CCaarrddiioobbaacctteerriiuumm  EEiikkeenneellllaa  KKiinnggeellllaa IInn tthhiiss ccaassee bblloooodd ccuullttuurree ddoonn’’tt mmeeeett tthhee mmaajjoorr ccrriitteerraa
  • 65.
    IInnffeeccttiivvee EEnnddooccaarrddiittiiss PPaatthhooggeenneessiiss Endothelial damage Platelet-fibrin thrombi Microorganism adherence
  • 66.
    CClliinniiccaall ssyymmppttoommss FFeevveerr–– oovveerr 9900%% ooff ppaattiieennttss NNeeww iinnttrraa-ccaarrddiiaacc mmuurrmmuurr - aabboouutt 8855%% ooff ppaattiieennttss RRootthh ssppoottss,, ppeetteecchhiiaaee,, gglloommeerruulloonneepphhrriittiiss –– uupp ttoo 3300%% ooff ppaattiieennttss
  • 67.
  • 68.
  • 69.
  • 70.
  • 71.
  • 72.
    DDuukkee ccrriitteerriiaa MMaajjoorrccrriitteerriiaa 11.. BBlloooodd ccuullttuurree ppoossiittiivvee ffoorr ttyyppiiccaall IIEE--ccaauussiinngg mmiiccrroooorrggaanniissmm 22.. EEvviiddeennccee ooff eennddooccaarrddiiaall iinnvvoollvveemmeenntt oonn eecchhoo.. MMiinnoorr ccrriitteerriiaa 11.. PPrreeddiissppoossiittiioonn –– hheeaarrtt ccoonnddiittiioonn oorr ii..vv.. ddrruugg aabbuussee 22.. FFeevveerr –– tteemmpp.. >>3388 °°CC 33.. VVaassccuullaarr pphheennoommeennaa –– aarrtteerriiaall eemmbboollii eettcc.. 44.. IImmmmuunnoollooggiicc pphheennoommeennaa –– gglloommeerruulloonneepphhrriittiiss,, OOsslleerr’’ss nnooddeess,, RRootthh’’ss ssppoottss 55.. MMiiccrroobbiioollooggiiccaall eevviiddeennccee –– ppoossiittiivvee bblloooodd ccuullttuurreess bbuutt ddoo nnoott mmeeeett mmaajjoorr ccrriitteerriiaa Diagnosis • 2 major criteria • 1 major and 3 minor • 5 minor criteria Diagnosis • 2 major criteria • 1 major and 3 minor • 5 minor criteria
  • 73.
    DDuukkee CCrriitteerriiaa DDeeffiinniittee :: 22 mmaajjoorr ccrriitteerriiaa :: 11 mmaajjoorr aanndd 33 mmiinnoorr ccrriitteerriiaa :: 55 mmiinnoorr ccrriitteerriiaa :: ppaatthhoollooggyy//hhiissttoollooggyy ffiinnddiinnggss PPoossssiibbllee :: 11 mmaajjoorr aanndd 11 mmiinnoorr ccrriitteerriiaa :: 33 mmiinnoorr ccrriitteerriiaa  RReejjeecctteedd :: ffiirrmm aalltteerrnnaattee ddiiaaggnnoossiiss :: rreessoolluuttiioonn ooff mmaanniiffeessttaattiioonnss ooff IIEE wwiitthh 44 ddaayyss aannttiimmiiccrroobbiiaall tthheerraappyy oorr lleessss
  • 74.
    CClliinniiccaall ssyymmppttoommss ––wwhheenn ttoo ssuussppeecctt?? • SSeeppssiiss ooff uunnkknnoowwnn oorriiggiinn • FFeevveerr ccooeexxssiissttiinngg wwiitthh:: – IInnttrraaccaarrddiiaacc iimmppllaannttaabbllee mmaatteerriiaall – IIEE hhiissttoorryy – CCoonnggeenniittaall hheeaarrtt ddiisseeaassee oorr vvaallvvee ddiisseeaassee – IIEE rriisskk ffaaccttoorrss – CCoonnggeessttiivvee hheeaarrtt ffaaiilluurree ssyymmppttoommss – NNeeww hheeaarrtt bblloocckk – PPoossiittiivvee bblloooodd ccuullttuurreess – FFooccaall nneeuurroollooggiiccaall ssiiggnnss wwiitthhoouutt kknnoowwnn aaeettiioollooggyy – PPeerriipphheerraall aabbsscceesseessss ((kkiiddnneeyy,, sspplleeeenn,, bbrraaiinn,, vveerrtteebbrraall ccoolluummnn))
  • 75.
    BBlloooodd ccuullttuurreess AAllwwaayyss bbeeffoorree ssttaarrttiinngg aannttiibbiioottiiccss  AAllwwaayyss ttrriippllee ssaammpplleess –– aaeerroobbee,, aannaaeerroobbee aanndd mmyyccoottiicc ,, 1100 mmll eeaacchh  TThhrreeee sseettss ooff ssaammpplleess rreeqquuiirreedd
  • 76.
    EEcchhooccaarrddiiooggrraapphhyy • TTrraannsstthhoorraacciicc((TTTTEE)) aanndd ttrraannssooeessoopphhaaggeeaall ((TTEEEE)) • ffuunnddaammeennttaall iimmppoorrttaannccee iinn ddiiaaggnnoossiiss,, mmaannaaggeemmeenntt,, aanndd ffoollllooww--uupp • SShhoouulldd bbee ppeerrffoorrmmeedd aass ssoooonn aass tthhee IIEE iiss ssuussppeecctteedd • SSeennssiittiivviittyy ooff TTEEEE iiss bbiiggggeerr tthhaann TTTTEE ((vvss 900-- 110000%% vvss.. 4400--6633%% )) • TTEEEE iiss ffiirrsstt cchhooiiccee ttoo ffiinndd IIEE ccoommpplliiccaattiioonnss
  • 77.
    EEcchhooccaarrddiiooggrraapphhyy EEcchhooccaarrddiiooggrraapphhiicc ffiinnddiinnggssiinn IIEE • VVeeggeettaattiioonn • AAbbsscceessss • PPsseeuuddooaanneeuurryyssmm • PPeerrffoorraattiioonn • FFiissttuullaa • VVaallvvee aanneeuurryyssmm • DDiisshheennccee ooff pprroosstthheettiicc vvaallvvee
  • 78.
    TTrreeaattmmeenntt bbaassiiccss SSuucceessss rreelliieess oonn eerraaddiiccaattiioonn ooff ppaatthhooggeenn  BBaacctteerriicciiddaall rreeggiimmeenntt sshhoouulldd bbee uusseedd  DDrruugg cchhooiiccee dduuee ttoo ppaatthhooggeenn  SSuurrggeerryy iiss uusseedd mmaaiinnllyy ttoo ccooppee wwiitthh ssttrruuccttuurraall ccoommpplliiccaattiioonnss
  • 79.
    TTrreeaattmmeenntt bbaassiiccss --ccoonnttiinnuueedd • NNVVEE ssttaannddaarrdd tthheerraappyy -- iitt ttaakkeess 22--66 wweeeekkss ttoo eerraaddiiccaattee tthhee ppaatthhooggeenn • PPVVEE –– lloonnggeerr rreeggiimmee iiss nneecceesssseerryy –– oovveerr 66 wweeeekkss • IInn SSttrreeppttooccooccccaall IIEE sshhoorrtteerr,, 22 wweeeekk ccoouurrssee,, ccaann bbee uusseedd wwhheenn ccoommbbiinniinngg ββ--llaakkttaammss wwiitthh aammiinnooggllyyccoossiiddeess • MMoosstt wwiiddeellyy uusseedd ddrruuggss –– aammooxxyyccyylliinn,, ggeennttaammyycciinn • IInn ccaassee ooff ββ--llaakkttaammss aalllleerrggyy -- vvaannccoommyycciinn
  • 80.
    IInnddiiccaattiioonnss ffoorr ssuurrggeerryyiinn eennddooccaarrddiittiiss NNaattiivvee vvaallvvee:: AAccuuttee AARR oorr MMRR wwiitthh hheeaarrtt ffaaiilluurree.. AAnnnnuullaarr oorr aaoorrttiicc rroooott aabbsscceessss.. FFuunnggaall eennddooccaarrddiittiiss.. EEvviiddeennccee ooff ppeerrssiisstteenntt iinnffeeccttiioonn ddeessppiittee aapppprroopprriiaattee aannttiibbiioottiicc tthheerraappyy ffoorr 1100 ddaayyss.. 80
  • 81.
    PPrroosstthheettiicc vvaallvvee:: SSaammeeaass nnaattiivvee vvaallvvee pplluuss:: EEaarrllyy PPVVEE iinn ffiirrsstt 22 mmoonntthhss oorr lleessss aafftteerr ssuurrggeerryy.. MMuurrmmuurrss ssuuggggeessttiivvee ooff vvaallvvee ddyyssffuunnccttiioonn MMooddeerraattee ttoo sseevveerr hheeaarrtt ffaaiilluurree.. CCoonndduuccttiioonnss aabbnnoorrmmaalliittiieess iinn EECCGG.. SSttaapphh.. AAuurreeuuss ccuullttuurreedd ffrroomm bblloooodd.. 81
  • 82.
    CCoommpplliiccaattiioonnss 11.. CCoonnggeessttiivveehheeaarrtt ffaaiilluurree • MMoosstt ccoommmmoonn ccoommpplliiccaattiioonn • MMaaiinn iinnddiiccaattiioonn ttoo ssuurrggiiccaall ttrreeaattmmeenntt • ~~6600%% ooff IIEE ppaattiieennttss 11.. UUnnccoonnttrroolllleedd iinnffeeccttiioonn • PPeerrssiissttiinngg iinnffeeccttiioonn • PPeerriivvaallvvuullaarr eexxtteennssiioonn iinn iinnffeeccttiivvee eennddooccaarrddiittiiss 11.. SSyysstteemmiicc eemmbboolliissmm • BBrraaiinn,, sspplleeeenn aanndd lluunnggss • 3300%% ooff IIEE ppaattiieennttss • MMaayy bbee tthhee ffiirrsstt ssyymmppttoomm
  • 83.
    CCoommpplliiccaattiioonnss -- ccoonnttiinnuueedd 55.. NNeeuurroollooggiicc eevveennttss 66.. AAccuuttee rreennaall ffaaiilluurree 77.. RRhheeuummaattiicc pprroobblleemmss 88.. MMyyooccaarrddiittiiss
  • 84.
    PPrroopphhyyllaaxxiiss • FFiirrssttaanndd mmoosstt iimmppoorrttaanntt –– pprrooppeerr oorraall hhyyggiieennee • RReegguullaarr ddeennttaall rreevviieeww • AAnnttiibbiioottiiccss oonnllyy iinn hhiigghh--rriisskk ggrroouupp ppaattiieennttss – PPrroosstthheettiicc vvaallvvee oorr ffoorreeiiggnn mmaatteerriiaall uusseedd ffoorr hheeaarrtt rreeppaaiirr – HHiissttoorryy ooff IIEE – CCoonnggeenniittaall hheeaarrtt ddiisseeaassee • CCyyaannoottiicc wwiitthhoouutt ccoorrrreeccttiioonn oorr wwiitthh rreessiidduuaall lliicckkeeaaggee • CCHHDD wwiitthhoouutt lliicckkeeaaggee bbuutt uupp ttoo 66 mmoonntthhss aafftteerr ssuurrggeerryy – UUssee aammooxxyycciilliinn oorr aammppiiccyylliinn 3300--6600 mmiinn pprriioorr ttoo iinntteerrvveennttiioonn
  • 85.
    SSuummmmaarryy 11.. IIEEiiss rraarree bbuutt sseerriioouuss ddiisseeaassee,, wwiitthh hhiigghh mmoorrttaalliittyy rraattee 22.. EEvveerryy ccaassee ooff ffeevveerr ooff uunnkknnoowwnn oorriiggiinn sshhoouulldd bbee ssuussppeecctteedd ffoorr IIEE 33.. BBlloooodd ccuullttuurreess aarree eesssseennttiiaall ffoorr ddiiaaggnnoossiiss 44.. TTTTEE//TTEEEE iiss tthhee bbeesstt mmeetthhoodd ttoo mmoonniittoorr aanndd ffoollllooww--uupp ooff IIEE 55.. AAnnttiibbiioottiiccss aarree mmaaiinn ttrreeaattmmeenntt 66.. CCHHFF iiss tthhee mmoosstt ccoommmmoonn ccoommpplliiccaattiioonn 77.. PPhhaarrmmaaccoollooggiiccaall pprroopphhyyllaaxxiiss iiss rreesseerrvveedd ffoorr aa nnaarrrrooww ggrroouupp ooff hhiigghh rriisskk ppaattiieennttss
  • 86.
    Antiplatelet aanndd aannttiiccooaagguullaattiioonniinn eemmbboolliicc ccoommpplliiccaattiioonnss ooff IIEE..  AAnnttiippllaatteelleett//aannttiiccooaagguullaattiioonn aaggeennttss iissssuueess ::  TThhee uussee ooff aannttiippllaatteelleett aanndd aannttiiccooaagguullaanntt aaggeennttss iiss iinn ggeenneerraall nnoott tthhee tthheerraappeeuuttiicc rreeggiimmeenn ttoo bbee uusseedd iinn tthhee ttrreeaattmmeenntt ooff iinnffeeccttiivvee eennddooccaarrddiittiiss..  MMoosstt aauutthhoorriittiieess bbeelliieevvee tthhaatt eeffffeeccttiivvee aannttiibbiioottiicc ttrreeaattmmeenntt iiss tthhee ttrreeaattmmeenntt ooff cchhooiiccee bbeeccaauussee tthhee bbeenneeffiitt ooff aannttiiccooaagguullaattiioonn hhaass nnoott bbeeeenn sshhoowwnn,, ppaarrttiiccuullaarrllyy iinn nnaattiivvee-- vvaallvvee eennddooccaarrddiittiiss.. IInn tthhee sseettttiinngg ooff aann iisscchheemmiicc ssttrrookkee aanndd iinn IICCHHss,, iitt iiss ccoommmmoonnllyy aaggrreeeedd tthhaatt aannttiiccooaagguullaanntt aaggeennttss sshhoouulldd bbee ssttooppppeedd.. HHoowweevveerr iinn ppeerriipphheerraall lliimmbb iisscchheemmiiaa aannttiiccoogguullaattiioonn ccaann bbee uusseedd wwhheenn bblloooodd ccuullttuurreess aarree nneeggaattiivvee aattlleeaasstt 22 wweeeekkss aafftteerr aannttiibbiioottiicc tthheerraappyy Mark D. Johnson, MDa,∗ Charles D. Johnson, MD, FACCb 86
  • 87.