Case Presentation from
Department of Family Medicine
By
Nagu Penakacherla MBBS, MEd(USA),
DNB (Family Medicine)
Patient Chief Complaints
• Mrs Lakshmi Bojan 58 years old female came
with chief complaints of
• H/O Fever on & off since 3 months
• Myalgia+
• Severe Headache since 33 months
• Generalized Weakness since 2 weeks
• Dry cough since 1 week
Fever
• low grade
• Intermittent
• Not associated with chills and Rigors
• 8 months
• Patient has shown to almost all hospitals in
South India.
– No h/o seizure
– No h/o bladder, bowel disturbance
– No h/o regurgitation of feeds
– No h/o burning micturition, increased frequency.
– No h/o abdominal pain, vomiting, diarrhea.
– No h/o cough with expectoration, breathlessness
– No h/o skin ulcers, rash, jaundice
Past history
– Not a known diabetic, hypertensive, epileptic,
COPD, IHD.
– No previous similar episodes.
Personal History
• Not a smoker and Not an alcoholic
Family history
• No Family history of Cardiac Ailment
Treatment History
• Patient consulted multiple general physicians
but there was no significant improvement.
General Examination
• Conscious
• Oriented
• febrile +
• Clubbing+ Grade 1
• Pallor +
• No cyanosis
• Not icteric
• No pedal edema
• No petechiae
• No Splinter
hemorrhages
• No Oslers node
• No Janeway lesion
• No Retinal hemorrhage
• CVS:
– S1, S2 heard,
– A pan systolic murmur heard in the Left
Parasternal Area,
– S3 Gallop +.
• RS:
– Normal vesicular breath sounds heard, No Added
Sounds
• P/A
– Soft, Right Hypochondriac tenderness +, Bowel
sounds +, no organomegaly
• CNS
WNL
So patient was admitted in ward on 26th jan and
started evaluating as PUO.
INVESTIGATIONS
WBC- 17.8
Hb - 9.2 g/dl
Platelet count- 3,70,000
CRP -37.7
Blood cultures and Urine Cultures were
negative.
• On 27th Jan Patient became breathless and
started desaturating so she was shifted to
MICU and was intubated and managed as
Acute Coronary syndrome as Trop T was 116.2
and CPK MB was 9.96. Pro BNP was 7868.
Patient was started on antiplatelets and
anticoagulants. Then patient was extubated
on 28th Jan.
Chest Xray showed Flash Pulmonary Edema
and patient started having cough with
productive sputum with blood tinge and used
to become breathless on and off
• On 29th Jan Screening Echo was done which
showed IHD , RWMA +, Myxomatous MV,
dIlated LA, moderae MR, Grade 1 AR,
moderate TR, Severe PAH (PASP 62mmHg), EF
50%, no clots /vegetations.
• On 31st Jan, Lasix infusion was started and
diuresis done , patient was put on NIV.
• Work up for PUO started
• Brucella IgM and IgG – Negative
• Procalcitonin -18.030
• MPS – Negative.
• Sputum for AFB- Negative.
• Upper GI endoscopy done showed pangastritis
• Sigmoidoscopy done showed anal fissures
and hemmorhoids.
• ANA blot- Negative
• Leptospira IgM and IgG – Negative .
• USG Abdomen showed mild hepatomegaly,
mild bilateral pleural effusion , dilated IVC and
Hepatic veins. Patient improved
symptomatically with diuresis.
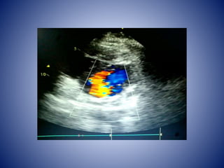
• Trans Esophageal Echocardiography done on
1ST Feb showed Mitral valve Vegetation
measuring 1.2 x 0.7 cm attached to AML, Flail
AML, non coapting leaflets with severe MR,
Aortic vlve – tri leaflets , No AR, pulmonary
valve normal, no PR, Tricuspid valve- mild TR,
Left Atrium mildly dilated , no LA appendage
clot.
• Then patient was advised to get CAG done
shifted to ward on same day.
• Patient was started on Inj VANCOMYCIN on 4th
Feb under ICU Supervision. Patient tolerated
antibiotics well then patient was advised to
continue Inj Vancomycin and Inj Ceftriaxone
on OPD basis. Central Line Insertion was done
on 6th Feb, Patient was discharged with central
line in situ on 6th Feb and was explained about
the need of MVR once the infection settles .
• Patient came back on 10th feb and undergone
CAG on 13th feb which showed Normal
Coronaries.
• Patient underwent MVR with 27mm BiOCAR
VALVE ON 17th Feb.
• Post op Echo done on 10th march showed
• Status post MVR
• Mitral valve Bio prosthesis in situ
• No valvular leak
• Trivial TR
• Grade 1 AR
• Normal LV systolic function.
• No PAH/CLOT/EFFFUSION/VEGETATION
Follow up
Echo done on 29th july
• Status post MVR
• Mitral valve Bio prosthesis in situ
• No valvular and paravalvular leak
• Mild TR
• Moderate PAH
• Grade 1 AR
• No RWMA
• Normal LV systolic function.
• No PAH/CLOT/EFFFUSION/VEGETATION
Discussion About Native Valve
Endocarditis
Definition
• Infective Endocarditis: a microbial infection of the
endocardial surface of the heart
• Common site: heart valve, but may occur at septal
defect, on chordae tendinae or in the mural
endocardium
• Classification:
– acute or subacute-chronic on temporal basis, severity of
presentation and progression
– By organism
– Native valve or prosthetic valve
Characteristic
pathological lesion:
vegetation,
composed of
platelets, fibrin,
microorganisms and
inflammatory cells.
Diagnosis: Duke Criteria
• In 1994 a group at Duke University
standardised criteria for assessing patients
with suspected endocarditis
• Include
-Predisposing Factors
-Blood culture isolates or persistence of
bacteremia
-Echocardiogram findings with other clinical,
laboratory findings
• Definite
: 2 major criteria
: 1 major and 3 minor criteria
: 5 minor criteria
: pathology/histology findings
• Possible : 1 major and 1 minor criteria
: 3 minor criteria
 Rejected: firm alternate diagnosis
: resolution of manifestations of IE
with 4 days antimicrobial therapy or less
• Major clinical criteria
• ●Persistently positive blood cultures for organisms that are
typical causes of endocarditis.
• ●Vegetations or other typical findings of endocarditis
present on echocardiography; these other typical findings
include new or partial dehiscence of a prosthetic valve or
an abscess in the tissues surrounding a heart valve.
• ●Evidence of endocardial damage such as a new
regurgitant murmur.
• ●Serological or culture evidence of infection with Coxiella
burnetii.
• Minor clinical criteria — Minor clinical criteria include the following
• ●Fever
• ●The presence of a predisposing valvular condition or intravenous drug abuse.
• ●"Vascular phenomenon" such as emboli to organs or the brain, hemorrhages in
the mucous membranes around the eyes. Cerebral microhemorrhages detected by
magnetic resonance imaging (MRI) are NOT considered vascular phenomena by
the modified Duke criteria, even though they are more common in patients with IE
than in age matched controls.
• ●"Immunologic phenomenon" such as glomerulonephritis, or lesions such as
Roth's spots (in the retina of the eyes) or "Osler's nodes (nodules on the fingers or
toes)
• ●Positive blood cultures that do not meet the strict definitions of a major
criterion.
• Other minor criteria (including hematuria and splenomegaly) have been proposed
by the St. Thomas group, but important considerations and validations of these
and other criteria have not been undertaken.
Histological Evidence
Modified Dukes Criteria
Echocardiography
• Trans Thoracic Echocardiograpy (TTE)
– rapid, non-invasive – excellent specificity (98%) but poor
sensitivity
– obesity, chronic obstructive pulmonary disease and chest
wall deformities
• Transesophageal Echo (TOE)
– more invasive, sensitivity up to 95%, useful for prosthetic
valves and to evaluate myocardial invasion
– Negative predictive valve of 92%
– TOE more cost effective in those with S. aureus catheter-
associated bacteremia and bacteremia/fever and recent
IVDA
Culture Negative Endocarditis
• Blood culture-negative IE is defined as endocarditis without
etiology following inoculation of three independent blood
samples in a standard blood culture system with negative
cultures after seven days of incubation and subculturing.
• 5-7% of patients with endocarditis will have sterile blood
cultures
• 1 Year study from France
– 44 of 88 cases of CNE, negative cultures were associated
with prior administration of antibiotics
• Withhold empirical therapy until cultures drawn
• ●Cultures are negative in patients with IE for three
major reasons:
• •Previous administration of antimicrobial agents
• •Inadequate microbiological techniques
• •Infection with highly fastidious bacteria or
nonbacterial pathogens (eg, fungi)
• ●The incidence of culture-negative IE is higher in
developing countries.
• ●HACEK organisms can be easily isolated with current
blood culture systems
• ●The local prevalence of infection with pathogens such
as C. burnetii and Bartonella spp, the most common
agents of culture-negative endocarditis, varies widely
in different geographic locations and epidemiologic
settings.
• ●Serology and PCR help on blood samples or removed
valves help to identify fastidious pathogens.
Therapy
• Streptococci/Enterococci
– Determine MIC of Penicillin
– Penicillin +/- aminoglycoside
– Ceftriaxone alone
– Vancomycin +/- aminoglycoside
HACEK Group
– Cefotaxime/ceftriaxone
Therapy
• Staphylococci
– Native valve
• Flucloxacillin +/- aminoglycoside
• Vancomycin +/- aminoglycoside/ rifampicin
– Prosthetic valve
• Flucloxacillin + aminoglycoside + rifampicin
• Vancomycin + aminoglycoside + rifampicin
Thank You

Endocarditis - Interesting Case Presentation

  • 1.
    Case Presentation from Departmentof Family Medicine By Nagu Penakacherla MBBS, MEd(USA), DNB (Family Medicine)
  • 2.
    Patient Chief Complaints •Mrs Lakshmi Bojan 58 years old female came with chief complaints of • H/O Fever on & off since 3 months • Myalgia+ • Severe Headache since 33 months • Generalized Weakness since 2 weeks • Dry cough since 1 week
  • 3.
    Fever • low grade •Intermittent • Not associated with chills and Rigors • 8 months • Patient has shown to almost all hospitals in South India.
  • 4.
    – No h/oseizure – No h/o bladder, bowel disturbance – No h/o regurgitation of feeds – No h/o burning micturition, increased frequency. – No h/o abdominal pain, vomiting, diarrhea. – No h/o cough with expectoration, breathlessness – No h/o skin ulcers, rash, jaundice
  • 5.
    Past history – Nota known diabetic, hypertensive, epileptic, COPD, IHD. – No previous similar episodes.
  • 6.
    Personal History • Nota smoker and Not an alcoholic Family history • No Family history of Cardiac Ailment
  • 7.
    Treatment History • Patientconsulted multiple general physicians but there was no significant improvement.
  • 8.
    General Examination • Conscious •Oriented • febrile + • Clubbing+ Grade 1 • Pallor + • No cyanosis • Not icteric • No pedal edema • No petechiae • No Splinter hemorrhages • No Oslers node • No Janeway lesion • No Retinal hemorrhage
  • 9.
    • CVS: – S1,S2 heard, – A pan systolic murmur heard in the Left Parasternal Area, – S3 Gallop +. • RS: – Normal vesicular breath sounds heard, No Added Sounds • P/A – Soft, Right Hypochondriac tenderness +, Bowel sounds +, no organomegaly • CNS WNL
  • 10.
    So patient wasadmitted in ward on 26th jan and started evaluating as PUO. INVESTIGATIONS WBC- 17.8 Hb - 9.2 g/dl Platelet count- 3,70,000 CRP -37.7 Blood cultures and Urine Cultures were negative.
  • 11.
    • On 27thJan Patient became breathless and started desaturating so she was shifted to MICU and was intubated and managed as Acute Coronary syndrome as Trop T was 116.2 and CPK MB was 9.96. Pro BNP was 7868. Patient was started on antiplatelets and anticoagulants. Then patient was extubated on 28th Jan. Chest Xray showed Flash Pulmonary Edema and patient started having cough with productive sputum with blood tinge and used to become breathless on and off
  • 13.
    • On 29thJan Screening Echo was done which showed IHD , RWMA +, Myxomatous MV, dIlated LA, moderae MR, Grade 1 AR, moderate TR, Severe PAH (PASP 62mmHg), EF 50%, no clots /vegetations. • On 31st Jan, Lasix infusion was started and diuresis done , patient was put on NIV.
  • 14.
    • Work upfor PUO started • Brucella IgM and IgG – Negative • Procalcitonin -18.030 • MPS – Negative. • Sputum for AFB- Negative. • Upper GI endoscopy done showed pangastritis • Sigmoidoscopy done showed anal fissures and hemmorhoids. • ANA blot- Negative • Leptospira IgM and IgG – Negative .
  • 15.
    • USG Abdomenshowed mild hepatomegaly, mild bilateral pleural effusion , dilated IVC and Hepatic veins. Patient improved symptomatically with diuresis. • Trans Esophageal Echocardiography done on 1ST Feb showed Mitral valve Vegetation measuring 1.2 x 0.7 cm attached to AML, Flail AML, non coapting leaflets with severe MR, Aortic vlve – tri leaflets , No AR, pulmonary valve normal, no PR, Tricuspid valve- mild TR, Left Atrium mildly dilated , no LA appendage clot.
  • 18.
    • Then patientwas advised to get CAG done shifted to ward on same day. • Patient was started on Inj VANCOMYCIN on 4th Feb under ICU Supervision. Patient tolerated antibiotics well then patient was advised to continue Inj Vancomycin and Inj Ceftriaxone on OPD basis. Central Line Insertion was done on 6th Feb, Patient was discharged with central line in situ on 6th Feb and was explained about the need of MVR once the infection settles .
  • 19.
    • Patient cameback on 10th feb and undergone CAG on 13th feb which showed Normal Coronaries. • Patient underwent MVR with 27mm BiOCAR VALVE ON 17th Feb. • Post op Echo done on 10th march showed
  • 20.
    • Status postMVR • Mitral valve Bio prosthesis in situ • No valvular leak • Trivial TR • Grade 1 AR • Normal LV systolic function. • No PAH/CLOT/EFFFUSION/VEGETATION
  • 22.
    Follow up Echo doneon 29th july • Status post MVR • Mitral valve Bio prosthesis in situ • No valvular and paravalvular leak • Mild TR • Moderate PAH • Grade 1 AR • No RWMA • Normal LV systolic function. • No PAH/CLOT/EFFFUSION/VEGETATION
  • 25.
    Discussion About NativeValve Endocarditis
  • 26.
    Definition • Infective Endocarditis:a microbial infection of the endocardial surface of the heart • Common site: heart valve, but may occur at septal defect, on chordae tendinae or in the mural endocardium • Classification: – acute or subacute-chronic on temporal basis, severity of presentation and progression – By organism – Native valve or prosthetic valve
  • 27.
    Characteristic pathological lesion: vegetation, composed of platelets,fibrin, microorganisms and inflammatory cells.
  • 28.
    Diagnosis: Duke Criteria •In 1994 a group at Duke University standardised criteria for assessing patients with suspected endocarditis • Include -Predisposing Factors -Blood culture isolates or persistence of bacteremia -Echocardiogram findings with other clinical, laboratory findings
  • 29.
    • Definite : 2major criteria : 1 major and 3 minor criteria : 5 minor criteria : pathology/histology findings • Possible : 1 major and 1 minor criteria : 3 minor criteria  Rejected: firm alternate diagnosis : resolution of manifestations of IE with 4 days antimicrobial therapy or less
  • 30.
    • Major clinicalcriteria • ●Persistently positive blood cultures for organisms that are typical causes of endocarditis. • ●Vegetations or other typical findings of endocarditis present on echocardiography; these other typical findings include new or partial dehiscence of a prosthetic valve or an abscess in the tissues surrounding a heart valve. • ●Evidence of endocardial damage such as a new regurgitant murmur. • ●Serological or culture evidence of infection with Coxiella burnetii.
  • 31.
    • Minor clinicalcriteria — Minor clinical criteria include the following • ●Fever • ●The presence of a predisposing valvular condition or intravenous drug abuse. • ●"Vascular phenomenon" such as emboli to organs or the brain, hemorrhages in the mucous membranes around the eyes. Cerebral microhemorrhages detected by magnetic resonance imaging (MRI) are NOT considered vascular phenomena by the modified Duke criteria, even though they are more common in patients with IE than in age matched controls. • ●"Immunologic phenomenon" such as glomerulonephritis, or lesions such as Roth's spots (in the retina of the eyes) or "Osler's nodes (nodules on the fingers or toes) • ●Positive blood cultures that do not meet the strict definitions of a major criterion. • Other minor criteria (including hematuria and splenomegaly) have been proposed by the St. Thomas group, but important considerations and validations of these and other criteria have not been undertaken.
  • 33.
  • 34.
  • 35.
    Echocardiography • Trans ThoracicEchocardiograpy (TTE) – rapid, non-invasive – excellent specificity (98%) but poor sensitivity – obesity, chronic obstructive pulmonary disease and chest wall deformities • Transesophageal Echo (TOE) – more invasive, sensitivity up to 95%, useful for prosthetic valves and to evaluate myocardial invasion – Negative predictive valve of 92% – TOE more cost effective in those with S. aureus catheter- associated bacteremia and bacteremia/fever and recent IVDA
  • 36.
    Culture Negative Endocarditis •Blood culture-negative IE is defined as endocarditis without etiology following inoculation of three independent blood samples in a standard blood culture system with negative cultures after seven days of incubation and subculturing. • 5-7% of patients with endocarditis will have sterile blood cultures • 1 Year study from France – 44 of 88 cases of CNE, negative cultures were associated with prior administration of antibiotics • Withhold empirical therapy until cultures drawn
  • 37.
    • ●Cultures arenegative in patients with IE for three major reasons: • •Previous administration of antimicrobial agents • •Inadequate microbiological techniques • •Infection with highly fastidious bacteria or nonbacterial pathogens (eg, fungi)
  • 38.
    • ●The incidenceof culture-negative IE is higher in developing countries. • ●HACEK organisms can be easily isolated with current blood culture systems • ●The local prevalence of infection with pathogens such as C. burnetii and Bartonella spp, the most common agents of culture-negative endocarditis, varies widely in different geographic locations and epidemiologic settings. • ●Serology and PCR help on blood samples or removed valves help to identify fastidious pathogens.
  • 39.
    Therapy • Streptococci/Enterococci – DetermineMIC of Penicillin – Penicillin +/- aminoglycoside – Ceftriaxone alone – Vancomycin +/- aminoglycoside HACEK Group – Cefotaxime/ceftriaxone
  • 40.
    Therapy • Staphylococci – Nativevalve • Flucloxacillin +/- aminoglycoside • Vancomycin +/- aminoglycoside/ rifampicin – Prosthetic valve • Flucloxacillin + aminoglycoside + rifampicin • Vancomycin + aminoglycoside + rifampicin
  • 42.