CYSTIC RENAL MASSES
PRESENTOR : DR NAVNI GARG
OVERVIEW
OLD CLASSIFICATION OF CYSTIC RENAL MASSES
BOSNIAK CLASSIFICATION
ROLE OFVARIOUS RADIOLOGICAL MODALITIES IN
EVALUATING CYSTIC RENAL MASSES
VARIOUS CYSTIC RENAL MASSES
CLASSIFICATION OF CYSTIC RENAL
MASSES
ELKIN & BERNSTEIN, 1969
RENAL DYSPLASIA
1. Multicystic kidney
2. Focal and segmental cystic dysplasia
3. Multiple cysts associated with lower urinary tract obstruction
POLYCYSTIC DISEASE
1. Childhood polycystic disease – AR
2. Adult polycystic disease –AD
CORTICAL CYSTS
1. Simple cyst
2. Multilocular cystic nephroma
3. Syndromes associated with cysts
4. Haemodialysis associated cysts (acquired)
MEDULLARY CYSTS
1. Calyceal cyst (diverticulum)
2. Pyelogenic cyst
3. Medullary sponge kidney
4. Papillary necrosis
5. Juvenile nephronophthisis (medullary cystic disease)
MISCELLANEOUS INTRARENAL CYSTS
1. Inflammatory
(a) Tuberculosis
(b) Calculus disease
(c) Hydatid
(d) Obliterative pyelonephritis
2. Neoplastic
cystic degeneration of parenchymal carcinoma
malignant changes in wall of simple cysts
cystadenoma
3. Traumatic – intrarenal haematoma
EXTRAPARENCHYMAL RENAL CYSTS
1. Parapelvic cyst
2. Peripelvic cyst
OTHER CLASSIFICATIONS
BOSNIAK CLASSIFICATION, 1986
DR MORTON A BOSNIAK
1986 : BOSNIAK CLASSIFICATION , 4 CATEGORIES
1993 : MODIFIED BOSNIAK CLASSIFICATION ,ADDED
ADDITIONAL CATEGORY II F
CATEGORY I
 Benign lesions
 Thin wall
 Well defined interface with parenchyma
 No septations
 No calcification
 Density : 0 – 20 HU
 No enhancement
 Example – Simple renal cyst
CATEGORY II

 Cysts complicated by prior infection or haemorrhage
 Benign cystic lesion with hairline thin septa
 Fine calcification in walls/ septa
 Atleast one fourth of the lesion’s circumference should extend outside the
kidney so that the smoothness of the wall can be evaluated
 Minimal perceived post contrast enhancement
 Non enhancing high attenuation (40-100 HU) lesion < 3 cm in diameter
THIN SEPTA HEMORRAGIC CYST
CATEGORY II F
 F = Follow up
 More complex cyst
 Increase in number of septa
and calcifications
 Non enhancing high
attenuation lesions > 3 cm
 May advance to category III
with time and require 6
month follow up
CATEGORY III
 Indeterminate cystic masses
 Thick, irregular calcification in walls or septa
 Irregular borders
 Thickened or enhancing septa
 Uniform wall thickening or that contain small non enhancing nodules
 Examples –
multilocular cystic nephroma
lymphangioma
hydatid cyst
cystic renal cell carcinoma
CATEGORY IV
 Malignant cystic masses
 Shaggy thickened walls
 Thick septations
 Coarse calcifications
 Density > 20 HU
 Enhancing
 Example – Renal cell carcinoma
S
I II IIF III IV
DENSITY WATER Water
density or
40-100 HU
(<3 CM
SIZE)
40-100 HU
(>3CM)
WALL HAIRLINE
THIN
THIN MAY BE
THICKENED
THICKENED
SEPTA _ FEW
HAIRLINE
THIN
MULTIPLE
HAIRLINE
THIN,MAY BE
THICKENED
THICKENED
CALCIFICATION _ THIN
(<1MM) IN
WALL/
SEPTA
CAN BE
THICK/
NODULAR
NODULAR
THICK
SOLID
COMPONENT
_ _ _ +/- +
ENHANCEMENT _ _ _ WALL +
SEPTA+
SOLID -
ENHANCING
SOFT TISSUE
COMPONENT
RISK OF 1.7 18.5 > 18.5 33 92.5
WORKING INTERPRETATION OF BOSNIAK
CLASSIFICATION
CATEGORY I
We know it’s a cyst
CATEGORY II
We are still pretty certain it’s a cyst
CATEGORY III
We don’t know what it is
CATEGORY IV
Its probably a tumor
All the parameters should be assessed before classifying a lesion !
HOW USEFUL IS BOSNIAK
CLASSIFICATION?
It accurately identifies Category I & Category IV lesions
There are inter observer variations in Category II & Category III
lesions
Cannot efficiently characterize Category III lesions
INTERPRETATION PITFALLS
A small lesion with the same number and type of septa as a
large lesion will appear more complex.
Enhancement of hyperdense or heavily calcified lesions is
difficult to assess, especially when the lesion is small
Pseudoenhancement occurs when a cyst (generally < 2 cm)
is surrounded by enhancing parenchyma during peak
enhancement and artifactually appears to enhance. It should
be suspected when a lesion is homogeneous and measures
less than 10 HU on an unenhanced scan.
Rarely lymphoma, myomatous hamartoma , RCC and
metastasis measure greater than 20 HU on unenhanced scans.
ROLE OFVARIOUS RADIOLOGICAL
MODALITIES IN CYSTIC RENAL MASSES
MODALITIES
Ultrasound
Color Doppler
Computed tomography
Magnetic resonance imaging
USG/CT guided cyst aspiration
Angiography
Tc-99m DMSA Scintigraphy
ULTRASOUND
Differentiates between solid and cystic lesions
Features of cyst are
(a)Anechoic
(b) Posterior acoustic enhancement
(c) Sharply marginated smooth walls
Cyst septations yield strong back
echoes and may create reverberation
artifacts within the cyst.
Calcification within the cyst may cause
shadowing.
COLOR DOPPLER
To assess the vascularity
Vascularity within a nodule or septum greatly increases the
likelihood of malignancy.
TISSUE HARMONIC IMAGING
Hemorragic or proteinaceous cysts may contain low level
echoes or even layers of echoes.
THI helps in confirming this by eliminating dirty echoes
within an otherwise pristine cyst.
USG CAN BE EMPLOYEDTO DIRECT PERCUTANEOUS
THERAPIES SUCH AS RFA AND CRYOTHERAPY OF
COMPLEX RENAL LESIONS.
CONTRAST ENHANCED USG
CONTRAST ENHANCED USG MAY BE
HELPFUL IN PATIENTSWHO REQUIRE
FOLLOW UPTO REDUCETHE RADIATION
EXPOSURE
CEUSG IS APPROPRIATE IN THE BOSNIAK CLASSIFICATION OF
RENAL CYSTS
PITFALLS OF USG
Can miss carcinoma within a cluster of cysts
Vascular malformations may mimic cysts
Artifactual echoes
Complex cyst require further evaluation
COMPUTED TOMOGRAPHY
TECHNIQUE
Pre and post contrast images
2.5 to 5 mm thick slides
Images acquired :
Unenhanced CT
Corticomedullary phase ( 20-30 seconds)
Nephrographic phase ( 80-100 seconds)
Delayed ( 10 minutes )
CHANGE IN ATTENUATION INTERPRETATION
< 10 HU TYPICAL OF BENIGN CYST
VERY RARELY RENAL CYSTIC TUMOR
10-15 HU SUSPICIOUS FOR MALIGNANCY
COULD BE DUE TO VOLUME AVERAGING,
IMPERFECT PLACEMENT OF REGION OF
INTEREST, MOTION ARTIFACT
>15 HU PATHOLOGICAL PROCESS : MALIGNANCY,
CYSTIC ANGIOMYOLIPOMA , ONCOCYTOMA ,
INFECTIONS
ROLE OF DUAL ENERGY CT SCAN
DECT has ability to identify presence of iodine in body
tissues
We can generate virtual noncontrast images to reproduce the
baseline unenhanced attenuation, this allows reduction in
radiation doses.
It is also possible to produce an “iodine overlay,” in which the
presence of iodine in the tissues is indicated by a
superimposed color map
In this we do not rely on increase in attenuation to measure
enhancement instead,we directly visualise the presence of
iodine in lesion.
Since renal cysts do not have blood flow,an iodine-overlay
image should show a cyst as devoid of iodine signal
This method may prove beneficial beyond the current
practice of determining enhancement in a renal mass because
it has potential to reduce the effect of renal cyst
pseudoenhancement.
EVALUATION OF RENAL CYST
True unenhanced
Contrast enhanced
Virtual unenhanced
Iodine overlay
MAGNETIC RESONANCE IMAGING
TECHNIQUE
T1W Gradient echo : high signal protein ,hemorrage , fat
T2W HASTE : septa or nodules within the cystic fluid
POST CONTRASTT1W Serial images at 5,10,20 minutes
MAGNETIC RESONANCE IMAGING
ADVANTAGES :Demonstrates
 additional septa
 wall/septal thickening
Enhancement
Superior contrast resolution
Enhancement within a calcified cystic lesion : calcification is usually less
apparent on MRI thus making enhancement more apparent.
Substraction imaging : hemorragic cysts appear hyperintense on bothT1 and
T2 and don’t enhance after contrast administration. Substraction imaging can
help in identifying presence of enhancement in these high signal lesions.
DISADVANTAGES
Poor in demonstrating calcifications
RENAL CYST PUNCTURE AND ASPIRATION
Ultrasound or CT guided
Of doubtful utility
INDICATIONS
Infected cyst – diagnostic or therapeutic
Indeterminate cyst on USG/CT
Decompression
DISADVANTAGES
Though if positive confirms malignancy but
a negative aspirate doesn’t rule out
malignancy
Multiloculated cyst
Risk of needle track seeding
NUCLEAR MEDICINE
Tc 99m scintigram
Cyst and solid tumor appear as cold defect
CYSTIC RENAL MASSES
SIMPLE RENAL CYSTS
MC renal masses
ETIOLOGY
Probably secondary to
tubular obstruction
IVU
Radiolucent mass
Pencil thin wall
Claw or beak sign
USG
Anechoic with posterior
acoustic enhancement
CT CRITERIA MRI CRITERIA
Sharp margination and
demarcation from
surrounding renal
parenchyma
Smooth thin wall
Homogenous water density
content (0-20 HU)
No contrast enhancement
Sharp margination and
demarcation from
surrounding renal
parenchyma
Smooth thin wall
Homogeneous contents
with signal characteristics
of water
No contrast enhancement
OCCASIONALLY A, SOLID RENALTUMORS MAY
OBSTRUCTTHETUBULES OF ADJACENT NORMAL
RENAL PARENCHYMA RESULTING INTUBULAR
DILATATION AND SECONDARY CYST FORMATION
( SENTINEL CYST ). THEREFOREWHENEVER A SIMPLE
CYST IS DETECTED,THE ADJACENT PARENCHYMA
SHOULD BE CAREFULLY EVALUATED FORTHE
PRESENCE OF AN ADJACENT SOLID MASS.
COMPLEX CYSTS
Anything which is not a simple cyst
RADIOLOGICAL FINDINGS
 Thick wall
 Irregularity at the base of the cyst
 Septations
 Calcifications
 High attenuation values
 Contrast enhancement
HEMORRHAGIC CYST
Cyst containing blood
Common in
 polycystic renal disease
 malignant cysts
 trauma
Presentation - acute or insidious
Most hemorrhagic cysts < 3 cm are benign
RADIOLOGICAL FINDINGS
1. Hyperdense cyst
2. Settling debris
3. MRI – most commonly hyperintense onT1 andT2 weighted
sequences.They may show fluid-iron levels because of dependant
settling of methemoglobin containing sediments.
POLYCYSTIC KIDNEYS
If you can count the number of cysts, they are simple
cysts ; if you can’t, it’s polycystic
CHILDHOOD POLYCYSTIC DISEASE
 AR
 Ectasia of renal collecting ducts
 Subtypes :
Perinatal
Neonatal
Infantile
Juvenile
 Associations –
 Oligohydramnios
 Potter’s syndrome
 Respiratory failure
 Periportal fibrosis (sequelae) causing PHTN
Tubular ectasia is confined mainly to the renal medulla with
only occasional macrocysts
Renal cortex is less severely affected
Severity of disease is inversely related to age of the patient
Hepatic and renal involvement are inversely proportional to
each other.
IVU : striated
nephrogram due to
accumulation of
contrast in dilated
tubules
USG: Diffusely
echogenic kidneys
NCCT – smooth, enlarged kidneys, low in attenuation due to
large fluid volume in dilated ducts
CECT – Striated nephrogram, hepatic fibrosis and features of
portal hypertension
ADULT POLYCYSTIC KIDNEYS
AD
Pathology : cysts of varying size gradually replace renal
parenchyma
C/F :
 Presents between 20 and 39 years
 Hypertension
 Renal insufficiency
 Hematuria
 Renal stones
 Complications of multiple cysts
Associated with cysts in liver > pancreas > brain> spleen >
ovaries > testes
Associated with cardiac valvular disorders , abdominal and
inguinal hernias, aneurysm of cerebral and coronary arteries
Colonic diverticula : 80%
SPIDERY COLLECTING
SYSTEM WITH STRETCHED
CALYCES
NUMEROUS SMOOTHLY
MARGINATED
RADIOLUCENCIES
THROUGHOUT THE CORTEX
AND MEDULLA (SWISS
CHEESE APPEARNCE).
ADULT POLYCYSTIC KIDNEYS
CT/ MRI : multiple renal cysts of varying size
There may be features of complex cyst
The risk of renal cancer in patients with
ADPKD who are not undergoing dialysis is
not increased.However patients undergoing
dialysis are at greater risk for development
of renal malignancy relative to general
population.
3 MAIN CRITERIA : FAMILY HISTORY, AGE, TYPE/NUMBER OF CYSTS
D/D
 Multiple simple cysts (less diffuse, no family history)
 Von Hippel-Lindau disease (cerebellar hemangioblastoma,
retinal hemangiomas, occasionally pheochromocytomas)
  Acquired uremic cystic disease (kidneys small, no renal
function, transplant)
Infantile PCKD (usually microscopic cysts) 
MULTICYSTIC DYSPLASTIC
KIDNEYS
MC cystic disease in infants
M > F
Females have higher chances of bilateral
disease
May be associated with contralateral
abnormalities like obstruction of the
ureteropelvic junction,renal agenesis,renal
hypoplasia,VUR
May be associated with cleft palate, ductal
plate malformation of the liver,cardiac
abnormalities
MECHANISM :
In utero failure of ureteric
bud to connect with the
nephrons in the metanephric
blastaema
PATHOLOGY :
Kidney – non functioning and
converted into a multicystic
dysplastic mass
Ureter – atretic
Renal artery – hypoplastic/
atretic
TYPES
Pelvoinfundibular atresia : no discernible renal pelvis is seen.
Kidney may be small/normal or enlarged. Contains multiple
non communicating cysts.No exretion of contrast by kidneys.
No perfusion on renal scintigraphy.
Hydronephrotic type : Dilatation of renal pelvis and calyces
with parenchymal cysts that donot communicate with the
collecting system
Newborn shows no normal renal parenchyma and the
right renal fossa filled with multiple simple appearing
cystic structures c/w MCDK. The cysts did NOT
communicate thereby excluding hydronephrosis
MECKEL GRUBER SYNDROME : occipital encephalocele,
polydactyly, cystic dysplastic kidneys
MULTILOCULAR CYSTIC NEPHROMA
Tumor of primitive renal tissue
originating from metanephric
blastaema
Pathology – cyst with septa that
contain renal tissue of variable
maturity
Bimodal age distribution.
 Under the age of 5 years, cystic
nephroma occurs most frequently in
males, whereas the adult group has a
female predominance (91%) and
mean age of 55 years
Septate cystic mass with
multiple loculations,
hairlike septa,peripheral
and curvilinear
calcifications,irregular
borders, and minimal
contrast enhancement.
Extension into the
central sinus and into the
renal pelvis can also be
found
IVU – Multiple non enhancing areas bulging into renal pelvis
USG/CT/MRI –
Well defined multiloculated mass with an apparent capsule
Little or no enhancement
Calcification is usually not a feature
D/D : OTHER MULTILOCULAR CYSTIC LESIONS
DIFFERENTIALS
Septated renal cyst
Inflammatory – renal abscess
focal xanthogranulomatous pyelonephritis
hydatid disease
Segmental multicystic kidneys
Tumors – cystic renal cell carcinoma
Wilm’s tumor
UNILATERAL/LOCALISED RENAL CYSTIC
DISEASE
One kidney is replaced by renal cysts and other kidney is
normal.
Represents dilated ducts and tubules
No liver cysts, No renal failure, normal excretion of contrast
 Cysts are seen to be
separated by enhancing
bands of normal renal
parenchyma.
Individual smaller cysts are
often present in the renal
parenchyma adjacent to
main loculated mass.
LOCALIZED CYSTIC
DISEASE CYSTIC NEOPLASM
Unencapsulated : no
capsule between cluster of
cysts and renal parenchyma
Several small parenchymal
cysts not contained within
the main cluster of cysts
No mural irregularities
Encapsulated
Mural irregularities may be
present
Localized cystic disease
of kidney with multiple
simple cysts separated by
attenuated enhancing
renal tissue (arrow).
Well-encapsulated mass in
middle portion of left
kidney with multiple
enhancing septae (solid
arrow). Mass of cystic
locules is encompassed in
single large encapsulated
mass (open arrow).
Enhancing tissue seen in
lesion represents tumor
tissue.
ACQUIRED CYSTIC DISEASE OF KIDNEY
INCIDENCE :
Upto 80% of patients on chronic hemodialysis or peritoneal
dialysis develop renal cysts
Usually after 5-10 years of HD
8-16% develop neoplasm
CT is modality of choice
 Multiple small or
moderate size cysts
Affected kidneys are
small
Atleast 3 cysts in each
kidney who has CRF not
due to hereditary renal
cystic disease
Cysts both in cortex and
medulla
There is increased incidence of RCC in patients undergoing
dialysis.
Small RCC is more common than large masses
More in males as compared to females
CYSTS SECONDARY TO NON MALIGNANT RENAL
PATHOLOGY
OBLITERATIVE PYELONEPHRITIS
Constriction of major or minor calyx produces
cyst like structures
 Similar appearance seen in tuberculosis
HYDATID CYST
ETIOLOGY :
Echinococcus granulosis
E multilocularis
Three types :
Closed cyst
Pseudoclosed cyst
Open cyst
CLOSED CYST
Have an intact cyst lining and
adventitia and do not
communicate with the renal
collecting system
Rounded mass (with or without
calcification) causing elongation
and splaying of the infundibula
and calyces and, occasionally,
obliteration of one or more
calyces from pressure.
PSEUDOCLOSED CYST
 Exposed cyst with absence
of pericyst; the cyst is in
close contact with urine.
Contrast media can
interpose itself in crescent-
like fashion in the space
between the laminated
ectocyst and the pericyst,
producing the "goblet" or
"wine-glass" sign
(Surraco's sign)
OPEN TYPE
 Resulting from rupture
and discharge of daughter
cysts
Communicating with the
renal collecting system,
contrast medium from
either an intravenous or
retrograde urogram can
spread around the cyst or
fill it 
In this open type of hydatid cyst, an intermittent or permanent
communication exists between the hydatid and the
pyelocalyceal system so that contrast medium flows directly
into the cyst. Usually there is a typical mottled appearance of
contrast, insinuating itself among a mass of daughter cysts
but, occasionally, if the cyst contents are tightly packed, the
contrast will be compressed between the contents and cyst
wall to produce an extensive false crescent sign.
MILK OF CALCIUM RENAL CYST
Not a true cyst
Communicating or closed off calyceal diverticulum
Lined with trasitional epithelium
Contains particulate colloidal suspension of various calcium salts
Plain X ray
Supine position – full moon sign
Horizontal beam – half moon
US/CT/MRI
Half moon shift
Echogenic debris layering at the dependent part of a small cyst. There
is change in the fluid-debris interphase with change in position. There
is minimal acoustic shadowing due to a relatively large amount of
calcium debris.
PSEUDOCYST
URINOMA (Uriniferous Perirenal Pseudocyst)
Any obstructive process may cause extravasation into perirenal spaces
Wall is formed by the fibrous capsule
May cause secondary ureteral obstrction
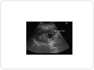
CALYCEAL CYST (DIVERTICULUM)
An intraparenchymal cavity lined by transitional
epithelium which communicates with a minor
calyx, either centrally or at fornix
Do not receive any drainage from nephrons
IVU – well defined opaque rounded area adjacent
but peripheral to a minor calyx
D/D – small cyst & hydrocalyx
RISK – calculus, infection & hematuria
PYEL0GENIC CYST
Similar to calyceal diverticulum but connect to pelvis proper
D/D - Hydropelvis
RENAL SINUS CYSTS/
EXTRAPARENCHYMAL
PARAPELVIC CYST – simple renal cyst originating from the
renal parenchyma, which are primarily expanding within the renal
sinus
PERIPELVIC CYST – cysts originating from the sinus
structures. Most likely lymphatic in origin
PARAPELVIC CYST
Usually single or few
Resemble simple renal cortical cyst in morphology
May cause compression of the pelvicalyceal system resulting
in hydronephrosis
PERIPELVIC CYST
Usually bilateral
Lymphatic in origin
Multilocular or unilocular
Water attenuation cysts closely abutting pelvis and
infundibuli
Don’t communicate with renal collecting system
Differentiation from
hydronephrosis/dilated
renal pelvis is made on
CECT scan ( surrounding
halo of renal sinus fat) and
delayed images.
D/D
 Renal sinus lipomatosis (fat attenuation )
Lymphoma or invasive transitional cell carcinoma (soft tissue
attenuation)
CYSTS ASSOCIATED WITH
MALIGNANCY
3 MAIN AREAS
ACQUIRED CYSTIC RENAL DISEASE
VHL
TUBEROUS SCLEROSIS
CYSTIC RENAL CELL CARCINOMA
About 10% of RCC mainfest as fluid filled cystic mass
FOUR PATTERNS
Intrinsic unilocular cystic growth
 Intrinsic multilocular cystic growth
 Origin in the epithelium of a simple cyst
Cystic necrotic tumor
Cystic RCC is seen on MRI and CT as a water-attenuation
mass with an enhancing thick wall or septa sometimes with
associated soft-tissue nodules
 Nodular and septal enhancement is the most sensitive
finding to discriminate cystic RCC from complex benign
lesions .
MULTILOCULAR CYSTIC RCC
20-76 years of age
Low grade tumor
Characterized by septate variably sized cysts separated from
the kidney by a fibrous capsule.The cyst fluid may be serous
or hemorrhagic and thus can be of water attenuation or
higher.
Asymmetric septal thickening may be seen
May show septal or wall calcification
Cystic clear cell carcinoma is distinguished from multilocular
cystic RCC by the presence of fewer loculations,thicker and
more nodular septa, and expansile
enhancing mural nodules.
MIXED EPITHELIAL AND STROMAL
TUMOR
Benign neoplasm
Characterized by a biphasic proliferation of epithelium and
stroma and admixed solid and cystic regions that have
variable cellularity and growth patterns.
Tumor nearly always occurs in women (≈ 7:33 male-to-
female ratio), especially in perimenopausal women (median
age, 52 years
Bosniak III or IV lesion with septa, curvilinear calcifications,
and a delayed enhancing solid component.Areas ofT2
hypointensity suggesting fibrotic component may be seen.
SYNDROMES ASSOCIATED WITH RENAL CYSTS
LAURENCE MOON BIEDL SYNDROME
 Obesity
 MR
 Retinitis pigmentosa
 Hypogonadism
TUBEROUS SCLEROSIS
 MR
 Renal AML
 Renal cysts
 Hamartomas
VON HIPPEL LINDAU DISEASE
 Cerebellar hemangioblastomas
 Retinal angiomas
 Pancreatic cysts
 Islet cell tumors
 Phaeochromocytoma
 Endolymphatic sac tumors
 Cystadenomas of epididymis
 Multifocal renal carcinomas and renal cysts
A CHECK LIST FOR CYSTS
 Age
 Chief symptom
 Size
 Shape
 Number
 Location
 Margins
 Contents
 Walls
 Septa
 Calcification
 Solid areas
 Vascularity
 Enhancement
 Relation to Pelvis, Renal artery and vein
 USG
 Hyper/Iso/Hypoechoic
Complex
Through transmission
 CT
Hyper/Iso/Hypodense
Complex
HU
 MRI
Hyper/Iso/Hypointense
Complex
Apperances onT1,T2,VIBE
APPROACH TO AN INCIDENTAL RENAL MASS
THANK YOU ALL

Cystic renal masses

  • 1.
  • 2.
    OVERVIEW OLD CLASSIFICATION OFCYSTIC RENAL MASSES BOSNIAK CLASSIFICATION ROLE OFVARIOUS RADIOLOGICAL MODALITIES IN EVALUATING CYSTIC RENAL MASSES VARIOUS CYSTIC RENAL MASSES
  • 3.
    CLASSIFICATION OF CYSTICRENAL MASSES ELKIN & BERNSTEIN, 1969 RENAL DYSPLASIA 1. Multicystic kidney 2. Focal and segmental cystic dysplasia 3. Multiple cysts associated with lower urinary tract obstruction POLYCYSTIC DISEASE 1. Childhood polycystic disease – AR 2. Adult polycystic disease –AD CORTICAL CYSTS 1. Simple cyst 2. Multilocular cystic nephroma 3. Syndromes associated with cysts 4. Haemodialysis associated cysts (acquired)
  • 4.
    MEDULLARY CYSTS 1. Calycealcyst (diverticulum) 2. Pyelogenic cyst 3. Medullary sponge kidney 4. Papillary necrosis 5. Juvenile nephronophthisis (medullary cystic disease) MISCELLANEOUS INTRARENAL CYSTS 1. Inflammatory (a) Tuberculosis (b) Calculus disease (c) Hydatid (d) Obliterative pyelonephritis 2. Neoplastic cystic degeneration of parenchymal carcinoma malignant changes in wall of simple cysts cystadenoma 3. Traumatic – intrarenal haematoma EXTRAPARENCHYMAL RENAL CYSTS 1. Parapelvic cyst 2. Peripelvic cyst
  • 5.
  • 6.
  • 7.
    1986 : BOSNIAKCLASSIFICATION , 4 CATEGORIES 1993 : MODIFIED BOSNIAK CLASSIFICATION ,ADDED ADDITIONAL CATEGORY II F
  • 8.
    CATEGORY I  Benignlesions  Thin wall  Well defined interface with parenchyma  No septations  No calcification  Density : 0 – 20 HU  No enhancement  Example – Simple renal cyst
  • 9.
    CATEGORY II   Cystscomplicated by prior infection or haemorrhage  Benign cystic lesion with hairline thin septa  Fine calcification in walls/ septa  Atleast one fourth of the lesion’s circumference should extend outside the kidney so that the smoothness of the wall can be evaluated  Minimal perceived post contrast enhancement  Non enhancing high attenuation (40-100 HU) lesion < 3 cm in diameter
  • 10.
  • 11.
    CATEGORY II F F = Follow up  More complex cyst  Increase in number of septa and calcifications  Non enhancing high attenuation lesions > 3 cm  May advance to category III with time and require 6 month follow up
  • 12.
    CATEGORY III  Indeterminatecystic masses  Thick, irregular calcification in walls or septa  Irregular borders  Thickened or enhancing septa  Uniform wall thickening or that contain small non enhancing nodules  Examples – multilocular cystic nephroma lymphangioma hydatid cyst cystic renal cell carcinoma
  • 14.
    CATEGORY IV  Malignantcystic masses  Shaggy thickened walls  Thick septations  Coarse calcifications  Density > 20 HU  Enhancing  Example – Renal cell carcinoma
  • 16.
    S I II IIFIII IV DENSITY WATER Water density or 40-100 HU (<3 CM SIZE) 40-100 HU (>3CM) WALL HAIRLINE THIN THIN MAY BE THICKENED THICKENED SEPTA _ FEW HAIRLINE THIN MULTIPLE HAIRLINE THIN,MAY BE THICKENED THICKENED CALCIFICATION _ THIN (<1MM) IN WALL/ SEPTA CAN BE THICK/ NODULAR NODULAR THICK SOLID COMPONENT _ _ _ +/- + ENHANCEMENT _ _ _ WALL + SEPTA+ SOLID - ENHANCING SOFT TISSUE COMPONENT RISK OF 1.7 18.5 > 18.5 33 92.5
  • 18.
    WORKING INTERPRETATION OFBOSNIAK CLASSIFICATION CATEGORY I We know it’s a cyst CATEGORY II We are still pretty certain it’s a cyst CATEGORY III We don’t know what it is CATEGORY IV Its probably a tumor
  • 20.
    All the parametersshould be assessed before classifying a lesion !
  • 22.
    HOW USEFUL ISBOSNIAK CLASSIFICATION? It accurately identifies Category I & Category IV lesions There are inter observer variations in Category II & Category III lesions Cannot efficiently characterize Category III lesions
  • 23.
    INTERPRETATION PITFALLS A smalllesion with the same number and type of septa as a large lesion will appear more complex. Enhancement of hyperdense or heavily calcified lesions is difficult to assess, especially when the lesion is small Pseudoenhancement occurs when a cyst (generally < 2 cm) is surrounded by enhancing parenchyma during peak enhancement and artifactually appears to enhance. It should be suspected when a lesion is homogeneous and measures less than 10 HU on an unenhanced scan. Rarely lymphoma, myomatous hamartoma , RCC and metastasis measure greater than 20 HU on unenhanced scans.
  • 24.
  • 25.
    MODALITIES Ultrasound Color Doppler Computed tomography Magneticresonance imaging USG/CT guided cyst aspiration Angiography Tc-99m DMSA Scintigraphy
  • 26.
    ULTRASOUND Differentiates between solidand cystic lesions Features of cyst are (a)Anechoic (b) Posterior acoustic enhancement (c) Sharply marginated smooth walls Cyst septations yield strong back echoes and may create reverberation artifacts within the cyst. Calcification within the cyst may cause shadowing.
  • 27.
    COLOR DOPPLER To assessthe vascularity Vascularity within a nodule or septum greatly increases the likelihood of malignancy.
  • 28.
    TISSUE HARMONIC IMAGING Hemorragicor proteinaceous cysts may contain low level echoes or even layers of echoes. THI helps in confirming this by eliminating dirty echoes within an otherwise pristine cyst. USG CAN BE EMPLOYEDTO DIRECT PERCUTANEOUS THERAPIES SUCH AS RFA AND CRYOTHERAPY OF COMPLEX RENAL LESIONS.
  • 29.
  • 30.
    CONTRAST ENHANCED USGMAY BE HELPFUL IN PATIENTSWHO REQUIRE FOLLOW UPTO REDUCETHE RADIATION EXPOSURE CEUSG IS APPROPRIATE IN THE BOSNIAK CLASSIFICATION OF RENAL CYSTS
  • 31.
    PITFALLS OF USG Canmiss carcinoma within a cluster of cysts Vascular malformations may mimic cysts Artifactual echoes Complex cyst require further evaluation
  • 32.
    COMPUTED TOMOGRAPHY TECHNIQUE Pre andpost contrast images 2.5 to 5 mm thick slides Images acquired : Unenhanced CT Corticomedullary phase ( 20-30 seconds) Nephrographic phase ( 80-100 seconds) Delayed ( 10 minutes )
  • 33.
    CHANGE IN ATTENUATIONINTERPRETATION < 10 HU TYPICAL OF BENIGN CYST VERY RARELY RENAL CYSTIC TUMOR 10-15 HU SUSPICIOUS FOR MALIGNANCY COULD BE DUE TO VOLUME AVERAGING, IMPERFECT PLACEMENT OF REGION OF INTEREST, MOTION ARTIFACT >15 HU PATHOLOGICAL PROCESS : MALIGNANCY, CYSTIC ANGIOMYOLIPOMA , ONCOCYTOMA , INFECTIONS
  • 34.
    ROLE OF DUALENERGY CT SCAN DECT has ability to identify presence of iodine in body tissues We can generate virtual noncontrast images to reproduce the baseline unenhanced attenuation, this allows reduction in radiation doses. It is also possible to produce an “iodine overlay,” in which the presence of iodine in the tissues is indicated by a superimposed color map In this we do not rely on increase in attenuation to measure enhancement instead,we directly visualise the presence of iodine in lesion.
  • 35.
    Since renal cystsdo not have blood flow,an iodine-overlay image should show a cyst as devoid of iodine signal This method may prove beneficial beyond the current practice of determining enhancement in a renal mass because it has potential to reduce the effect of renal cyst pseudoenhancement.
  • 36.
    EVALUATION OF RENALCYST True unenhanced Contrast enhanced Virtual unenhanced Iodine overlay
  • 37.
    MAGNETIC RESONANCE IMAGING TECHNIQUE T1WGradient echo : high signal protein ,hemorrage , fat T2W HASTE : septa or nodules within the cystic fluid POST CONTRASTT1W Serial images at 5,10,20 minutes
  • 38.
    MAGNETIC RESONANCE IMAGING ADVANTAGES:Demonstrates  additional septa  wall/septal thickening Enhancement Superior contrast resolution Enhancement within a calcified cystic lesion : calcification is usually less apparent on MRI thus making enhancement more apparent. Substraction imaging : hemorragic cysts appear hyperintense on bothT1 and T2 and don’t enhance after contrast administration. Substraction imaging can help in identifying presence of enhancement in these high signal lesions. DISADVANTAGES Poor in demonstrating calcifications
  • 40.
    RENAL CYST PUNCTUREAND ASPIRATION Ultrasound or CT guided Of doubtful utility INDICATIONS Infected cyst – diagnostic or therapeutic Indeterminate cyst on USG/CT Decompression DISADVANTAGES Though if positive confirms malignancy but a negative aspirate doesn’t rule out malignancy Multiloculated cyst Risk of needle track seeding
  • 41.
    NUCLEAR MEDICINE Tc 99mscintigram Cyst and solid tumor appear as cold defect
  • 42.
  • 43.
    SIMPLE RENAL CYSTS MCrenal masses ETIOLOGY Probably secondary to tubular obstruction IVU Radiolucent mass Pencil thin wall Claw or beak sign USG Anechoic with posterior acoustic enhancement
  • 44.
    CT CRITERIA MRICRITERIA Sharp margination and demarcation from surrounding renal parenchyma Smooth thin wall Homogenous water density content (0-20 HU) No contrast enhancement Sharp margination and demarcation from surrounding renal parenchyma Smooth thin wall Homogeneous contents with signal characteristics of water No contrast enhancement
  • 45.
    OCCASIONALLY A, SOLIDRENALTUMORS MAY OBSTRUCTTHETUBULES OF ADJACENT NORMAL RENAL PARENCHYMA RESULTING INTUBULAR DILATATION AND SECONDARY CYST FORMATION ( SENTINEL CYST ). THEREFOREWHENEVER A SIMPLE CYST IS DETECTED,THE ADJACENT PARENCHYMA SHOULD BE CAREFULLY EVALUATED FORTHE PRESENCE OF AN ADJACENT SOLID MASS.
  • 46.
    COMPLEX CYSTS Anything whichis not a simple cyst RADIOLOGICAL FINDINGS  Thick wall  Irregularity at the base of the cyst  Septations  Calcifications  High attenuation values  Contrast enhancement
  • 47.
    HEMORRHAGIC CYST Cyst containingblood Common in  polycystic renal disease  malignant cysts  trauma Presentation - acute or insidious Most hemorrhagic cysts < 3 cm are benign RADIOLOGICAL FINDINGS 1. Hyperdense cyst 2. Settling debris 3. MRI – most commonly hyperintense onT1 andT2 weighted sequences.They may show fluid-iron levels because of dependant settling of methemoglobin containing sediments.
  • 48.
    POLYCYSTIC KIDNEYS If youcan count the number of cysts, they are simple cysts ; if you can’t, it’s polycystic CHILDHOOD POLYCYSTIC DISEASE  AR  Ectasia of renal collecting ducts  Subtypes : Perinatal Neonatal Infantile Juvenile  Associations –  Oligohydramnios  Potter’s syndrome  Respiratory failure  Periportal fibrosis (sequelae) causing PHTN
  • 49.
    Tubular ectasia isconfined mainly to the renal medulla with only occasional macrocysts Renal cortex is less severely affected Severity of disease is inversely related to age of the patient Hepatic and renal involvement are inversely proportional to each other.
  • 50.
    IVU : striated nephrogramdue to accumulation of contrast in dilated tubules USG: Diffusely echogenic kidneys
  • 51.
    NCCT – smooth,enlarged kidneys, low in attenuation due to large fluid volume in dilated ducts CECT – Striated nephrogram, hepatic fibrosis and features of portal hypertension
  • 52.
    ADULT POLYCYSTIC KIDNEYS AD Pathology: cysts of varying size gradually replace renal parenchyma C/F :  Presents between 20 and 39 years  Hypertension  Renal insufficiency  Hematuria  Renal stones  Complications of multiple cysts
  • 53.
    Associated with cystsin liver > pancreas > brain> spleen > ovaries > testes Associated with cardiac valvular disorders , abdominal and inguinal hernias, aneurysm of cerebral and coronary arteries Colonic diverticula : 80%
  • 54.
    SPIDERY COLLECTING SYSTEM WITHSTRETCHED CALYCES NUMEROUS SMOOTHLY MARGINATED RADIOLUCENCIES THROUGHOUT THE CORTEX AND MEDULLA (SWISS CHEESE APPEARNCE).
  • 55.
    ADULT POLYCYSTIC KIDNEYS CT/MRI : multiple renal cysts of varying size There may be features of complex cyst
  • 56.
    The risk ofrenal cancer in patients with ADPKD who are not undergoing dialysis is not increased.However patients undergoing dialysis are at greater risk for development of renal malignancy relative to general population.
  • 57.
    3 MAIN CRITERIA: FAMILY HISTORY, AGE, TYPE/NUMBER OF CYSTS
  • 62.
    D/D  Multiple simple cysts(less diffuse, no family history)  Von Hippel-Lindau disease (cerebellar hemangioblastoma, retinal hemangiomas, occasionally pheochromocytomas)   Acquired uremic cystic disease (kidneys small, no renal function, transplant) Infantile PCKD (usually microscopic cysts) 
  • 63.
    MULTICYSTIC DYSPLASTIC KIDNEYS MC cysticdisease in infants M > F Females have higher chances of bilateral disease May be associated with contralateral abnormalities like obstruction of the ureteropelvic junction,renal agenesis,renal hypoplasia,VUR May be associated with cleft palate, ductal plate malformation of the liver,cardiac abnormalities
  • 64.
    MECHANISM : In uterofailure of ureteric bud to connect with the nephrons in the metanephric blastaema PATHOLOGY : Kidney – non functioning and converted into a multicystic dysplastic mass Ureter – atretic Renal artery – hypoplastic/ atretic
  • 65.
    TYPES Pelvoinfundibular atresia :no discernible renal pelvis is seen. Kidney may be small/normal or enlarged. Contains multiple non communicating cysts.No exretion of contrast by kidneys. No perfusion on renal scintigraphy. Hydronephrotic type : Dilatation of renal pelvis and calyces with parenchymal cysts that donot communicate with the collecting system
  • 66.
    Newborn shows nonormal renal parenchyma and the right renal fossa filled with multiple simple appearing cystic structures c/w MCDK. The cysts did NOT communicate thereby excluding hydronephrosis
  • 67.
    MECKEL GRUBER SYNDROME: occipital encephalocele, polydactyly, cystic dysplastic kidneys
  • 68.
    MULTILOCULAR CYSTIC NEPHROMA Tumorof primitive renal tissue originating from metanephric blastaema Pathology – cyst with septa that contain renal tissue of variable maturity Bimodal age distribution.  Under the age of 5 years, cystic nephroma occurs most frequently in males, whereas the adult group has a female predominance (91%) and mean age of 55 years
  • 69.
    Septate cystic masswith multiple loculations, hairlike septa,peripheral and curvilinear calcifications,irregular borders, and minimal contrast enhancement. Extension into the central sinus and into the renal pelvis can also be found
  • 70.
    IVU – Multiplenon enhancing areas bulging into renal pelvis USG/CT/MRI – Well defined multiloculated mass with an apparent capsule Little or no enhancement Calcification is usually not a feature
  • 73.
    D/D : OTHERMULTILOCULAR CYSTIC LESIONS DIFFERENTIALS Septated renal cyst Inflammatory – renal abscess focal xanthogranulomatous pyelonephritis hydatid disease Segmental multicystic kidneys Tumors – cystic renal cell carcinoma Wilm’s tumor
  • 74.
    UNILATERAL/LOCALISED RENAL CYSTIC DISEASE Onekidney is replaced by renal cysts and other kidney is normal. Represents dilated ducts and tubules No liver cysts, No renal failure, normal excretion of contrast
  • 75.
     Cysts areseen to be separated by enhancing bands of normal renal parenchyma. Individual smaller cysts are often present in the renal parenchyma adjacent to main loculated mass.
  • 77.
    LOCALIZED CYSTIC DISEASE CYSTICNEOPLASM Unencapsulated : no capsule between cluster of cysts and renal parenchyma Several small parenchymal cysts not contained within the main cluster of cysts No mural irregularities Encapsulated Mural irregularities may be present
  • 78.
    Localized cystic disease ofkidney with multiple simple cysts separated by attenuated enhancing renal tissue (arrow). Well-encapsulated mass in middle portion of left kidney with multiple enhancing septae (solid arrow). Mass of cystic locules is encompassed in single large encapsulated mass (open arrow). Enhancing tissue seen in lesion represents tumor tissue.
  • 79.
    ACQUIRED CYSTIC DISEASEOF KIDNEY INCIDENCE : Upto 80% of patients on chronic hemodialysis or peritoneal dialysis develop renal cysts Usually after 5-10 years of HD 8-16% develop neoplasm
  • 80.
    CT is modalityof choice  Multiple small or moderate size cysts Affected kidneys are small Atleast 3 cysts in each kidney who has CRF not due to hereditary renal cystic disease Cysts both in cortex and medulla
  • 81.
    There is increasedincidence of RCC in patients undergoing dialysis. Small RCC is more common than large masses More in males as compared to females
  • 82.
    CYSTS SECONDARY TONON MALIGNANT RENAL PATHOLOGY OBLITERATIVE PYELONEPHRITIS Constriction of major or minor calyx produces cyst like structures  Similar appearance seen in tuberculosis
  • 83.
    HYDATID CYST ETIOLOGY : Echinococcusgranulosis E multilocularis Three types : Closed cyst Pseudoclosed cyst Open cyst
  • 84.
    CLOSED CYST Have anintact cyst lining and adventitia and do not communicate with the renal collecting system Rounded mass (with or without calcification) causing elongation and splaying of the infundibula and calyces and, occasionally, obliteration of one or more calyces from pressure.
  • 85.
    PSEUDOCLOSED CYST  Exposed cystwith absence of pericyst; the cyst is in close contact with urine. Contrast media can interpose itself in crescent- like fashion in the space between the laminated ectocyst and the pericyst, producing the "goblet" or "wine-glass" sign (Surraco's sign)
  • 86.
    OPEN TYPE  Resulting fromrupture and discharge of daughter cysts Communicating with the renal collecting system, contrast medium from either an intravenous or retrograde urogram can spread around the cyst or fill it 
  • 87.
    In this open typeof hydatid cyst, an intermittent or permanent communication exists between the hydatid and the pyelocalyceal system so that contrast medium flows directly into the cyst. Usually there is a typical mottled appearance of contrast, insinuating itself among a mass of daughter cysts but, occasionally, if the cyst contents are tightly packed, the contrast will be compressed between the contents and cyst wall to produce an extensive false crescent sign.
  • 89.
    MILK OF CALCIUMRENAL CYST Not a true cyst Communicating or closed off calyceal diverticulum Lined with trasitional epithelium Contains particulate colloidal suspension of various calcium salts Plain X ray Supine position – full moon sign Horizontal beam – half moon US/CT/MRI Half moon shift
  • 90.
    Echogenic debris layeringat the dependent part of a small cyst. There is change in the fluid-debris interphase with change in position. There is minimal acoustic shadowing due to a relatively large amount of calcium debris.
  • 91.
    PSEUDOCYST URINOMA (Uriniferous PerirenalPseudocyst) Any obstructive process may cause extravasation into perirenal spaces Wall is formed by the fibrous capsule May cause secondary ureteral obstrction
  • 92.
    CALYCEAL CYST (DIVERTICULUM) Anintraparenchymal cavity lined by transitional epithelium which communicates with a minor calyx, either centrally or at fornix Do not receive any drainage from nephrons IVU – well defined opaque rounded area adjacent but peripheral to a minor calyx D/D – small cyst & hydrocalyx RISK – calculus, infection & hematuria
  • 94.
    PYEL0GENIC CYST Similar tocalyceal diverticulum but connect to pelvis proper D/D - Hydropelvis
  • 95.
    RENAL SINUS CYSTS/ EXTRAPARENCHYMAL PARAPELVICCYST – simple renal cyst originating from the renal parenchyma, which are primarily expanding within the renal sinus PERIPELVIC CYST – cysts originating from the sinus structures. Most likely lymphatic in origin
  • 96.
    PARAPELVIC CYST Usually singleor few Resemble simple renal cortical cyst in morphology May cause compression of the pelvicalyceal system resulting in hydronephrosis
  • 97.
    PERIPELVIC CYST Usually bilateral Lymphaticin origin Multilocular or unilocular Water attenuation cysts closely abutting pelvis and infundibuli Don’t communicate with renal collecting system
  • 98.
    Differentiation from hydronephrosis/dilated renal pelvisis made on CECT scan ( surrounding halo of renal sinus fat) and delayed images.
  • 99.
    D/D  Renal sinuslipomatosis (fat attenuation ) Lymphoma or invasive transitional cell carcinoma (soft tissue attenuation)
  • 100.
  • 101.
    3 MAIN AREAS ACQUIREDCYSTIC RENAL DISEASE VHL TUBEROUS SCLEROSIS
  • 102.
    CYSTIC RENAL CELLCARCINOMA About 10% of RCC mainfest as fluid filled cystic mass FOUR PATTERNS Intrinsic unilocular cystic growth  Intrinsic multilocular cystic growth  Origin in the epithelium of a simple cyst Cystic necrotic tumor
  • 103.
    Cystic RCC isseen on MRI and CT as a water-attenuation mass with an enhancing thick wall or septa sometimes with associated soft-tissue nodules  Nodular and septal enhancement is the most sensitive finding to discriminate cystic RCC from complex benign lesions .
  • 105.
    MULTILOCULAR CYSTIC RCC 20-76years of age Low grade tumor Characterized by septate variably sized cysts separated from the kidney by a fibrous capsule.The cyst fluid may be serous or hemorrhagic and thus can be of water attenuation or higher. Asymmetric septal thickening may be seen May show septal or wall calcification
  • 106.
    Cystic clear cellcarcinoma is distinguished from multilocular cystic RCC by the presence of fewer loculations,thicker and more nodular septa, and expansile enhancing mural nodules.
  • 107.
    MIXED EPITHELIAL ANDSTROMAL TUMOR Benign neoplasm Characterized by a biphasic proliferation of epithelium and stroma and admixed solid and cystic regions that have variable cellularity and growth patterns. Tumor nearly always occurs in women (≈ 7:33 male-to- female ratio), especially in perimenopausal women (median age, 52 years Bosniak III or IV lesion with septa, curvilinear calcifications, and a delayed enhancing solid component.Areas ofT2 hypointensity suggesting fibrotic component may be seen.
  • 109.
    SYNDROMES ASSOCIATED WITHRENAL CYSTS LAURENCE MOON BIEDL SYNDROME  Obesity  MR  Retinitis pigmentosa  Hypogonadism TUBEROUS SCLEROSIS  MR  Renal AML  Renal cysts  Hamartomas VON HIPPEL LINDAU DISEASE  Cerebellar hemangioblastomas  Retinal angiomas  Pancreatic cysts  Islet cell tumors  Phaeochromocytoma  Endolymphatic sac tumors  Cystadenomas of epididymis  Multifocal renal carcinomas and renal cysts
  • 110.
    A CHECK LISTFOR CYSTS  Age  Chief symptom  Size  Shape  Number  Location  Margins  Contents  Walls  Septa  Calcification  Solid areas  Vascularity  Enhancement  Relation to Pelvis, Renal artery and vein  USG  Hyper/Iso/Hypoechoic Complex Through transmission  CT Hyper/Iso/Hypodense Complex HU  MRI Hyper/Iso/Hypointense Complex Apperances onT1,T2,VIBE
  • 111.
    APPROACH TO ANINCIDENTAL RENAL MASS
  • 112.