Brain Imaging in TraumaBrain Imaging in Trauma
Level Of ConsciousnessLevel Of Consciousness
Glasgow Coma Scale
Eye Opening Best Verbal Best Motor
Spontaneous 4 Oriented 5 Obeys Command
6
To Voice 3 Confused 4 Localizes 5
To Pain 2 Inappropriate 3 Withdraws 4
None 1 Incomprehensible 2 Flexion 3
None 1 Extension 2
None 1
Primary Brain InjuryPrimary Brain Injury
Classification of TBIClassification of TBI
Primary
◦ Injury to scalp, skull fracture
◦ Surface contusion/laceration
◦ Intracranial hematoma
◦ Diffuse axonal injury, diffuse vascular injury
Secondary
◦ Hypoxia-ischemia, swelling/edema, raised intracranial
pressure
◦ Meningitis/abscess
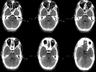
IMAGINGTECHNIQUEIMAGINGTECHNIQUE
CT without contrast is the modality of
choice in acute trauma (fast, available,
sensitive to acute subarachnoid
hemorrhage and skull fractures)
MRI is useful in non-acute head trauma
(higher sensitivity than CT for cortical
contusions, diffuse axonal injury, posterior
fossa abnormalities)
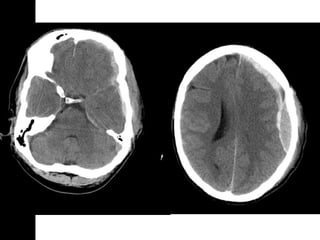
Extraaxial fluid collectionsExtraaxial fluid collections
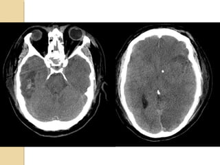
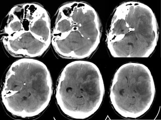
Subarachnoid hemorrhage(SAH)
Subdural hematoma(SDH)
Epidural hematoma
Subdural hygroma
Intraventricular hemorrhage
EPIDURAL HEMATOMAEPIDURAL HEMATOMA
Located between the skull and
periosteum
Due to laceration of the middle
meningeal artery or dural veins
Can cross dural reflections but is limited
by suture lines
Lentiform shape (but concave shape in
SDH)
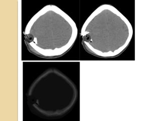
SUBDURAL HEMATOMASUBDURAL HEMATOMA
Occurs between the dura and arachnoid
Can cross the sutures but not the dural
reflections
Due to disruption of the bridging cortical
veins
Hypodense(hyperacute, chronic),
isodense(subacute), hyperdense(acute)
W=33 L=41
Subarachnoid hemorrageSubarachnoid hemorrage
Can originate from direct vessel injury,
contused cortex or intraventricular
hemorrhage.
Look in the interpeduncular cistern and
Sylvian fissure
Usually focal (but diffuse from aneurysm)
Can lead to communicating hydrocephalus
Intraventricular hemorrhageIntraventricular hemorrhage
Most commonly due to rupture of
subependymal vessels
Can occur from reflux of SAH or
contiguous extension of an intracerebral
hemorrhage
Look for blood-cerebrospinal fluid level
in occipital horns
INTRA-AXIAL INJURYINTRA-AXIAL INJURY
Surface contusion/laceration
Intraparenchymal hematoma
White matter shearing injury/diffuse
axonal injury
Post-traumatic infarction
Brainstem injury
CONTUSION/LACERATIONSCONTUSION/LACERATIONS
Most common source of traumatic SAH
Contusion: must involve the superficial gray
matter
Laceration: contusion + tear of pia-arachnoid
Affects the crests of gyri
Hemorrhage present ½ cases and occur at right
angles to the cortical surface
Located near the irregular bony contours: poles
of frontal lobes, temporal lobes, inferior
cerebellar hemispheres
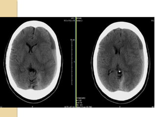
Intraparenchymal hematomaIntraparenchymal hematoma
Focal collections of blood that most
commonly arise from shear-strain injury
to intraparenchymal vessels.
Usually located in the frontotemporal
white matter or basal ganglia
Hematoma within normal brain
DDx: DAI, hemorrhagic contusion
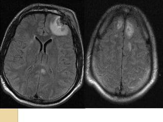
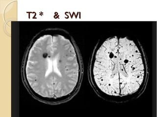
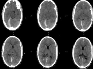
DIFFUSE AXONAL INJURYDIFFUSE AXONAL INJURY
Rarely detected on CT ( 20% of DAI
lesions are hemorrhagic)
MRI:T1,T2,T2 GRE, SWI
DAIDAI
Due to acceleration/deceleration to
whtie matter + hypoxia
Patients have severe LOC at impact
Grade 1: axonal damage in WM only -67%
Grade 2:WM + corpus callosum
(posterior > anterior) – 21%
Grade 3:WM + CC + brainstem
DAIDAI
Hours:
◦ hemorrhages and tissue tears
◦ Axonal swellings
◦ Axonal bulbs
Days/weeks: clusters of microglia and
macrophages, astrocytosis
Months/years:Wallerian degeneration
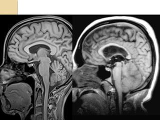
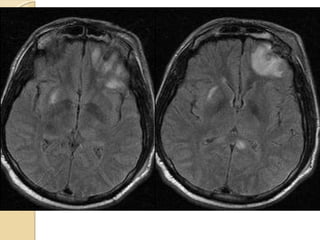
Axial FLAIR imagesAxial FLAIR images
AXIAL FLAIRAXIAL FLAIR
T2 * & SWIT2 * & SWI
BRAINSTEM INJURYBRAINSTEM INJURY
By direct or indirect forces
Most commonly associated with DAI
Involves the dorsolateral midbrain and upper
pons and is usually hemorrhagic
Duret hemorrhage is an example of indirect
damage: tearing of the pontine perforators
leading to hemorrhage in the setting
transtentorial herniation
<20% of brainstem lesions are seen on CT
SUBFALCIAL HERNIATIONSUBFALCIAL HERNIATION
Subfalcial: displacement of the cingulate
gyrus under the free edge of the falx
along with the pericallosal arteries.
Can lead to anterior cerebral artery
infarction
UNCAL HERNIATIONUNCAL HERNIATION
Displacement of the medial temporal lobe
through the tentorial notch
Displacement of the midbrain
Effacement of the suprasellar cistern
Displacement of the contralateral cerebral
peduncle against the tentorium
Widening of the ipsilateral cerebello pontine
angle
Compression of the posterior cerebral artery
DuretDuret
Kernohan - false ipsilateralKernohan - false ipsilateral
UPWARD HERNIATIONUPWARD HERNIATION
Due to posterior fossa mass causing
superior displacement of the vermis
through the tentorial incisura
Compression of the 4th
ventricle and
effacement of the quadrigeminal plate
cistern.
Compression of the superior cerebellar
artery & pca
TONSILLAR HERNIATIONTONSILLAR HERNIATION
Inferior displacement of the cerebellar
tonsils through the foramen magnum
Can lead to posterior cerebellar artery
infarction
Skull FracturesSkull Fractures
Thin skull #’s common place.
Risk of # associated intracranial injuries?
CT to R/o
1. Open
2. Closed
3. Comminuted
4. Diastatic
5. Depressed
SIGNIFICANT SKULL FRACTURESSIGNIFICANT SKULL FRACTURES
“Depressed”: inner table is depressed by
the thickness of the skull.
Overlie major venous sinus, motor
cortex, middle meningeal artery
Pass through sinuses
Look for sutural diastasis (lambdoid)
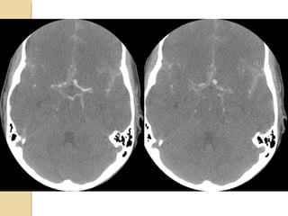
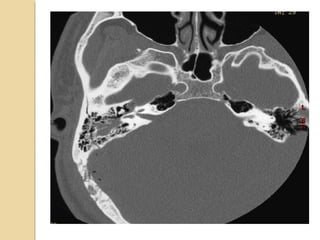
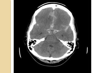
TEMPORAL BONE FRACTURESTEMPORAL BONE FRACTURES
Look for opacification of the mastoid
Longitudinal: 70%, parallel to long axis of
petrous bone, conductive hearing loss
(from ossicular dislocation), facial nerve
paralysis (20%)
Transverse: 20%, sensorineural hearing loss,
facial nerve paralysis (50%)
Complex
Complications: meningitis, abscess
SCALP INJURYSCALP INJURY
SCALP INJURYSCALP INJURY
Cephalohematoma: blood between the bone
and periosteum. Cannot cross the suture lines.
Subgaleal hematoma: blood between the
periosteum and aponeurosis. Can cross the
suture lines.
Caput Succ: swelling across the midline with
scalp moulding. Resolves spontaneously.
POSTTRAUMATIC SEQUELAEPOSTTRAUMATIC SEQUELAE
Carotid-cavernous fistula(CCF)
Dissection/pseudoaneurysm
Infarction
Atrophy/encephalomalacia
Infection
Leptomeningeal cyst
Imaging in head trauma

Imaging in head trauma

  • 1.
    Brain Imaging inTraumaBrain Imaging in Trauma
  • 2.
    Level Of ConsciousnessLevelOf Consciousness Glasgow Coma Scale Eye Opening Best Verbal Best Motor Spontaneous 4 Oriented 5 Obeys Command 6 To Voice 3 Confused 4 Localizes 5 To Pain 2 Inappropriate 3 Withdraws 4 None 1 Incomprehensible 2 Flexion 3 None 1 Extension 2 None 1
  • 3.
  • 4.
    Classification of TBIClassificationof TBI Primary ◦ Injury to scalp, skull fracture ◦ Surface contusion/laceration ◦ Intracranial hematoma ◦ Diffuse axonal injury, diffuse vascular injury Secondary ◦ Hypoxia-ischemia, swelling/edema, raised intracranial pressure ◦ Meningitis/abscess
  • 5.
    IMAGINGTECHNIQUEIMAGINGTECHNIQUE CT without contrastis the modality of choice in acute trauma (fast, available, sensitive to acute subarachnoid hemorrhage and skull fractures) MRI is useful in non-acute head trauma (higher sensitivity than CT for cortical contusions, diffuse axonal injury, posterior fossa abnormalities)
  • 6.
    Extraaxial fluid collectionsExtraaxialfluid collections Subarachnoid hemorrhage(SAH) Subdural hematoma(SDH) Epidural hematoma Subdural hygroma Intraventricular hemorrhage
  • 8.
    EPIDURAL HEMATOMAEPIDURAL HEMATOMA Locatedbetween the skull and periosteum Due to laceration of the middle meningeal artery or dural veins Can cross dural reflections but is limited by suture lines Lentiform shape (but concave shape in SDH)
  • 11.
    SUBDURAL HEMATOMASUBDURAL HEMATOMA Occursbetween the dura and arachnoid Can cross the sutures but not the dural reflections Due to disruption of the bridging cortical veins Hypodense(hyperacute, chronic), isodense(subacute), hyperdense(acute)
  • 12.
  • 15.
    Subarachnoid hemorrageSubarachnoid hemorrage Canoriginate from direct vessel injury, contused cortex or intraventricular hemorrhage. Look in the interpeduncular cistern and Sylvian fissure Usually focal (but diffuse from aneurysm) Can lead to communicating hydrocephalus
  • 19.
    Intraventricular hemorrhageIntraventricular hemorrhage Mostcommonly due to rupture of subependymal vessels Can occur from reflux of SAH or contiguous extension of an intracerebral hemorrhage Look for blood-cerebrospinal fluid level in occipital horns
  • 21.
    INTRA-AXIAL INJURYINTRA-AXIAL INJURY Surfacecontusion/laceration Intraparenchymal hematoma White matter shearing injury/diffuse axonal injury Post-traumatic infarction Brainstem injury
  • 22.
    CONTUSION/LACERATIONSCONTUSION/LACERATIONS Most common sourceof traumatic SAH Contusion: must involve the superficial gray matter Laceration: contusion + tear of pia-arachnoid Affects the crests of gyri Hemorrhage present ½ cases and occur at right angles to the cortical surface Located near the irregular bony contours: poles of frontal lobes, temporal lobes, inferior cerebellar hemispheres
  • 24.
    Intraparenchymal hematomaIntraparenchymal hematoma Focalcollections of blood that most commonly arise from shear-strain injury to intraparenchymal vessels. Usually located in the frontotemporal white matter or basal ganglia Hematoma within normal brain DDx: DAI, hemorrhagic contusion
  • 26.
    DIFFUSE AXONAL INJURYDIFFUSEAXONAL INJURY Rarely detected on CT ( 20% of DAI lesions are hemorrhagic) MRI:T1,T2,T2 GRE, SWI
  • 27.
    DAIDAI Due to acceleration/decelerationto whtie matter + hypoxia Patients have severe LOC at impact Grade 1: axonal damage in WM only -67% Grade 2:WM + corpus callosum (posterior > anterior) – 21% Grade 3:WM + CC + brainstem
  • 28.
    DAIDAI Hours: ◦ hemorrhages andtissue tears ◦ Axonal swellings ◦ Axonal bulbs Days/weeks: clusters of microglia and macrophages, astrocytosis Months/years:Wallerian degeneration
  • 31.
  • 32.
  • 33.
    T2 * &SWIT2 * & SWI
  • 34.
    BRAINSTEM INJURYBRAINSTEM INJURY Bydirect or indirect forces Most commonly associated with DAI Involves the dorsolateral midbrain and upper pons and is usually hemorrhagic Duret hemorrhage is an example of indirect damage: tearing of the pontine perforators leading to hemorrhage in the setting transtentorial herniation <20% of brainstem lesions are seen on CT
  • 40.
    SUBFALCIAL HERNIATIONSUBFALCIAL HERNIATION Subfalcial:displacement of the cingulate gyrus under the free edge of the falx along with the pericallosal arteries. Can lead to anterior cerebral artery infarction
  • 44.
    UNCAL HERNIATIONUNCAL HERNIATION Displacementof the medial temporal lobe through the tentorial notch Displacement of the midbrain Effacement of the suprasellar cistern Displacement of the contralateral cerebral peduncle against the tentorium Widening of the ipsilateral cerebello pontine angle Compression of the posterior cerebral artery
  • 46.
  • 47.
    Kernohan - falseipsilateralKernohan - false ipsilateral
  • 49.
    UPWARD HERNIATIONUPWARD HERNIATION Dueto posterior fossa mass causing superior displacement of the vermis through the tentorial incisura Compression of the 4th ventricle and effacement of the quadrigeminal plate cistern. Compression of the superior cerebellar artery & pca
  • 51.
    TONSILLAR HERNIATIONTONSILLAR HERNIATION Inferiordisplacement of the cerebellar tonsils through the foramen magnum Can lead to posterior cerebellar artery infarction
  • 53.
    Skull FracturesSkull Fractures Thinskull #’s common place. Risk of # associated intracranial injuries? CT to R/o 1. Open 2. Closed 3. Comminuted 4. Diastatic 5. Depressed
  • 54.
    SIGNIFICANT SKULL FRACTURESSIGNIFICANTSKULL FRACTURES “Depressed”: inner table is depressed by the thickness of the skull. Overlie major venous sinus, motor cortex, middle meningeal artery Pass through sinuses Look for sutural diastasis (lambdoid)
  • 57.
    TEMPORAL BONE FRACTURESTEMPORALBONE FRACTURES Look for opacification of the mastoid Longitudinal: 70%, parallel to long axis of petrous bone, conductive hearing loss (from ossicular dislocation), facial nerve paralysis (20%) Transverse: 20%, sensorineural hearing loss, facial nerve paralysis (50%) Complex Complications: meningitis, abscess
  • 59.
  • 60.
    SCALP INJURYSCALP INJURY Cephalohematoma:blood between the bone and periosteum. Cannot cross the suture lines. Subgaleal hematoma: blood between the periosteum and aponeurosis. Can cross the suture lines. Caput Succ: swelling across the midline with scalp moulding. Resolves spontaneously.
  • 61.
    POSTTRAUMATIC SEQUELAEPOSTTRAUMATIC SEQUELAE Carotid-cavernousfistula(CCF) Dissection/pseudoaneurysm Infarction Atrophy/encephalomalacia Infection Leptomeningeal cyst