IMAGING IN ISCHEMIC STROKE
DR. SANDRA JOHNS
1st year PGRD
Definition
A NEUROLOGICAL DEFICITOF
▪ Sudden onset
▪ With focal rather than global dysfunction
▪ In which, after adequate investigations,
symptoms are presumed to be of non-
traumatic vascular origin
▪ and lasts for >24 hours
Functional loss of cell
CYTOTOXICEDEMA,
CELL DEATH
Increased water content
VASOGENIC EDEMA
MASS EFFECT
GLIOSIS
MINUTES
12-24 hrs
24hrs-2wks
PATHOPHYSIOLOGY
Reduced blood flow
Autoregulation
Role of imaging in ischemic stroke
▪ To rule out mimics esp hemorrhage
▪ To suggest the therapeutic role
▪ To establish the etiology
Stroke – Temporal phases
▪ Early Hyperacute – 0-6hrs
▪ Late Hyperacute 6 to 24 hrs
▪ Acute- 24 hrs to one week
▪ Subacute- 1 to 3 weeks
▪ Chronic- > 3wks
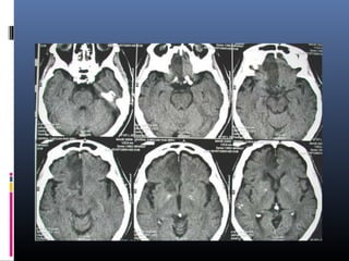
NCCT in stroke
▪ Very sensitive in detecting hemorrhage
▪ Other mimics ruled out-
ISCHEMIA SUSPECTED
Early CT findings
A) Hypoattenuating grey matter structures
B)Presence of one or more hyperattenuating
arteries
C)Early Mass effect
Obscuration of lentiform
nucleus
▪ Proximal MCA occlusion
Lenticulostriate Perforator
arteries
Insular ribbon sign
▪ Hypoattenuation of insular cortex
NCCT in acute stroke
▪ OTHER EARLY SIGNS
Loss of grey white matter differentiation
Early mass effect-
Narrowing of sylvian fissure
Loss of cortical sulci
Hyperdense MCA sign
ONLY REVERSIBLE EARLYSIGN
▪ MCA occluded by fresh thrombus
▪ -specificity- 100%, sensitivity -30%
▪ Hyperdense MCA can also be seen
➢high
hematocrit level
➢calcification
in such cases –
usually bilateral
Hyperdense artery sign
▪ Hyperedense basilar artery sign
NCCT
▪ Importance of window settings
Normal settings- w80 HU,C- 20HU
W- 8HU- C-32 HU
SENSITIVITYINCREASED
NCCT
▪ Advantages
very useful to exclude hemorrhage
widely accessible
convenient
short imaging time
▪ Disadvantages
findings are subtle
not useful for ischemic penumbra
Not useful for posterior fossa infarcts
MRI in stroke
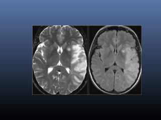
DWI
Most sensitive sequence in stroke imaging
High intensity in DWI indicate restriction of the
ability of water proton to diffuse extracellularly.
DWI- stroke
▪ Hyperacute stroke-Cytotoxic edema
▪ Lesion appears bright
Conventional MRI in acute
stroke- T2 and FLAIR
• These sequences detect 80%
infarct before 24 hrs
• It can be negative upto 2 to 4
hrs
Temporal sensitivity
Spacial sensitivity
After 55 min
After 5 hrs
Post contrast techniques
▪ Acute- Meningeal enhancement adjacent to
infarct
• Subacute -Gyriform enhancement
• Meningeal enhancement decrease by 1 wk
Conventional MR imaging
Hyperacute infarct Subacute infarct
Pseudonormalization of DWI
Occurs between 10 - 15 days
Types of infarcts
▪ Large artery occlusions
▪ Lacunar infarcts
▪ Watershed infarcts
▪ Embolic infarcts
▪ Venous infarcts
Territorial blood supply
Rt MCA infarct
Territorial blood
supply
Lt PCA I territory
Rt PICA
infarct
SCAinfarct
Lacunar infarcts
▪ Upto 1.5 cm in size
▪ Occlusion of perforating arteries
▪ Deep grey matter , deep white
matter,brainstem
▪ Multiple
Chronic Lacunar
infarcts
VRS
Watershed infarcts
▪ Junction of large arterial territories
▪ Chronic large vessel stenosis precipitated
by hypotension
▪ DWI , PW helpful in etiology
WATERSHED INFARCTS
Embolic infarcts
CTA
▪ Fast, thin section,volumetric spiralCT
examination performed with a time-
optimized bolus of contrast material for the
opacification of vessels.
CTA- Source images
▪ Occlusion ,stenosis or
significant calcification
of an Extracranial
internal carotid artery
▪ Detection of hyperacute
infarct
▪ Substraction perfusion
CTA- adv
▪ Volume rendering.
▪ Groups of voxels within defined attenuation
thresholds are selected,and a color as well as
an “opacity” is assigned
MIP
SSD
VRT
Basilar artery
calcifications
CTA- comparison
▪ Degree of stenosis-Axial,VR images
▪ Calcification- axial, MIP
▪ Anatomical, spacial relationship-axial,VRT
MRA - techniques
▪ TOF techniques
use of gradient pulses withTRshorter than
background tissue– Flow related
enhancement of inflowing nuclei
▪ 2D technique- individual slices
useful in slow flow states
▪ 3D techniques-A volume of slab
useful in high flow states
Better spacial resolution
CE MRA
RAPID 3D GRADIENT ECHO (GRE) SEQUENCE FIRST PASS MRA USINGA
SELECTIVELY LARGE BOLUS OF GADOLINIUM BASEDCONTRAST.
▪
ADVANTAGES :
NOT SUSCEPTIBLETO SIGNAL LOSS FROMTURBULENCEOR SLOW FLOW
COMPAREDWITHTOF OR PCTECHNIQUE
▪ ALLOWS BETTERVESSELTO BACKGROUNDCONTRASTCOMPAREDWITH
TOF /PC
▪ SHORTER IMAGINGTIME
▪ LESS SUSCEPTIBLETO MOTIONARTIFACTS
▪ ALLOWS IDENTIFICATION OF SLOW FLOW IN NEARLYOCCLUDEDVESSEL
▪ ALLOWS MORE ACCURATEASSESSMENTOF STENOSIS &VISUALIZATION
OF ULCERATED PLAGUE
Evaluation of etiology
Ischemic penumbra
▪ Functionally impaired, morphologically intact
▪ Between thresholds of electrophysiological
dysfunction and tissue damage
Normal blood flow
parametres
Tissue CBF(ML/100g/mn)
Normal 50-60
Oligaemic 35
Penumbra( salvagable) 2o
Infarct <10
Imaging - ischemic penumbra
▪ Functional studies
CT perfusion
MR perfusion
CT perfusion principles
CBF
CBV
MTT
TTP
CT- perfusion parameters
▪
▪
▪
▪
CEREBRAL BLOODVOLUME the volume of blood
per unit of brain tissue
CEREBRAL BLOOD FLOW the volume of blood
flow per unit of brain tissue per minute
MEANTRANSITTIME, the time difference
between the arterial inflow and venous
outflow
TIMETO PEAK ENHANCEMENT the time from the
beginning of contrast material injection to
peak enhancement
CT perfusion - Interpretation
M TT CBF CBV
Arterial stenosis normal normal
Oligaemia
(>60%)
near normal
Penumbra
(>30%)
Normal or
increased
Infarct
(<30%) (<40%)
CBV CBF MTT
INFARCT WITH SALVAGABLE PENUMBRA
MTT CBF CBV
COMPLETED infarct
MR perfusion interpretation
Parameters
CBF
CBV
MTT
Interpretation by Deconvolution
technique same as in CT perfusion
Maps of CBF are taken to assess mismatch
with DWI
DWI- perfusion mismatch

imaginginstroke.pptx