DR. SUNIL KUMAR SHARMA
SENIOR RESIDENT,DEPT. OF NEUROLOGY
G.M.C. & M.B.S. HOSPITAL, KOTA
Goals
• Understand how imaging studies help in
stroke diagnosis and management through examining
findings in patients at different stages of ischemic
stroke.
• Know the advantages of different tests in
ischemic stroke imaging.
Stroke
Stroke is a common term meaning a neurological
condition due to vascular lesions of the brain caused
by hemorrahage, embolism, thrombosis, or ruptured
aneurysm.
Stroke Types
 Most common stroke etiologies:
 1) Cerebral Infarction - 80%
 2) Primary Intracranial Hemorrhage - 15%
 3) Nontraumatic subarachnoid hemorrhage - 5%
* FOCUS: Cerebral Infarction
Ischemic stroke
 Ischemic stroke results because of significantly
diminished blood supply to all parts(global ischemia)
or selected areas(focal/regional)ischemia of the brain.
 Symptoms and clinical behavior is determined by the
vascular territory affected.
Ischemic stroke
 Large vessel occlusion(ICA,MCA,PCA)-40-50%
 Small vessels (lacunar) infarct-25%
 Cardiac emboli (AF,MI,IE,mechanical prosthetic heart
valves,valvular heart disease,DCMP).-15%
 Blood disorders- 5%.
 Nonatheromatous occlusion(e.g. vasculitis
,vasculopathy)-5%
Menu of Radiological Tests
 CT: w/ or w/o contrast
 CT angiogram (CTA)
 CT perfusion imaging
 MR: w/ or w/o contrast
 T1 or T2 weighted (T1WI, T2WI)
 FLAIR
 Diffusion weighted image (DWI) Susceptibility
 MR angiogram
 MR perfusion imaging
The imaging
manifestations
of cerebral
ischemia vary
significantly
with time
CT w/o Contrast Test of Choice in
Emergencies
 1) Distinguish between ischemic and hemorrhagic
stroke
 2) Normal CT in patient with <4.5 hrs of
symptoms can begin rtPA therapy if no other
contraindications exist.
*If abnormal findings are seen on CT, it’s too late to start
rtPA
Hyperacute: <12 hrs
• Normal 50-60%
• Hyperdense artery (dense MCA sign)
• Obscuration of the lenticular nucleus(early frank
hypodensity of LN is strongly A/W later hemorrhagic
transformation)
 Hyperdense artery
• Hyperdense MCA sign (25% of unselected acute infarct)
• Hyperdense MCA sign 35-50% of MCA stroke
• Caused by acute intraluminal thrombus
 FALSE POSITIVE
 HIGH HEMATOGRIT LEVEL
 MCA CALCIFICATION
But in such cases the hyperattenuation is usually bilateral!!!
Dense MCA sign
Dense MCA sign
Acute: 12-24 hrs
• Low density basal ganglia
• loss of gray-white interfaces (insular ribbon sign)
• sulcal effacement
Insular ribbon sign
 Hypodensity and loss of
gray and white matter
differentiation
• right insula
 “Insular Ribbon Sign”
1-3 days
• Increase mass effect
• Wedge-shaped low density area that involves
both gray and white matter
• Hemorrhagic transformation (basal ganglia and
cortex are common sites)
4-7 days
 Gyral enhancement
 Mass effect, edema
persist
1-8 weeks
 Contrast enhancement persists.
 Mass effect resolves.
 The swelling starts to subside and small amounts of
cortical petechial hemorrhages results in elevation of
the attenuation of the cortex. This is known as the CT
fogging phenomenon .
 Imaging a stroke at this time can be misleading as the
affected cortex will appear near normal.
2’nd and 9’th days post stroke
images
Chronic Infarcts
 Months to years
• Encepholomalacic change, volume loss
• Calcification rare
Lacunar Infarcts
• Small deep cerebral infarcts.
• 3-15 mm in diameter ,mostly 10 mm.
• Typically located in the basal ganglia and thalamus
• Small infarcts are often multiple
• Most true lacunar infarcts are not seen on CT
•
Hypoxic-Ischemic
Encephalopathy
Hypoxic-Ischemic Injury
• Consequence of global perfusion or oxygenation
disturbance
• Common causes – severe prolonged hypotension,
cardiac arrest with successful resuscitation, profound
neonatal asphyxia, cabonmonxide inhalation (
Decrease CBF)
• May be caused by RBC oxygenation is faulty
• Two basic patterns: “border zone infarcts” and
“generalized cortical necrosis.
Hypoxic-Ischemic Injury
• The most frequently and severely affected area is the
parietooccipital region at the confluence between the ACA,
MCA, and PCA territories.
• The basal ganglia are also common sites
• In premature infants HIE manifestations are those of
periventricular leukomalacia
• Most common observed on NECT is a low density band at
the interface between major vascular territories.
• The basal ganglia and parasagittal areas are the most
frequent sites.
CT ANGIOGRAPHY
CT angiography typically involves a volumetric helical
acquisition that extends from the aortic arch to the circle of
Willis.
 The examination is performed by using a time-optimized
bolus of contrast material for vessel enhancement.
 CT angiographic demonstration of a significant thrombus
burden can guide appropriate therapy in the form of
intraarterial or mechanical thrombolysis.
 Identification of carotid artery disease and visualization of
the aortic arch may provide clues to the cause of the
ischemic event and guidance for the interventional
neuroradiologist
CT Perfusion (CTP)
Basic concept…..
 With CT and MR-diffusion we can get a good impression of
the area that is infarcted.
 But, we cannot preclude a large ischemic penumbra (tissue
at risk).
 With perfusion studies we monitor the first pass of an
iodinated contrast agent bolus through the cerebral
vasculature.
 Areas of decreased perfusion will tell us which area is at
risk
CT PERFUSION
 PARAMETERS ASSESSED
 CBV – VOLUME OF BLOOD PER UNIT OF BRAIN TISSUE
(N 4-5ML/100GM)
 CBF – VOLUME OF BLOOD FLOW PER UNIT OF BRAIN
TISSUE PER MINUTE (N 50-60ML/100GM/MINUTE)
 MTT – TIME DIFFERENCE BETWEEN THE ARTERIAL
INFLOW AND VENOUS OUTFLOW
 TIME TO PEAK ENHANCEMENT – TIME FROM THE
BEGINNING OF CONTRAST INJECTION TO MAXIMUM
CONTRAST CONCENTRATION .
INTERPRETATION OF PCT
 INFARCTED AREA
 SEVERELY DECREASED CBF (<30%) AND CBV (<40%)
 PROLONGED MTT
 PENUMBRA
 INCREASED MTT
 MODERATELY DECREASED CBF (>60%)
 INCREASED CBV (80-100% OR HIGHER)
OR
 INCREASED MTT
 MARKEDLY REDUCED CBF (>30%)
 MODERATELY REDUCED CBV (>60%)
 CT perfusion maps of cerebral blood volume (a) and cerebral
blood flow (b) show, in the left hemisphere, a region of
decreased blood volume (white oval) that corresponds to the
ischemic core and a larger region of decreased blood flow (black
oval in b) that includes the ischemic core and a peripheral region
of salvageable tissue. The difference between the two maps
(black oval white oval) is the penumbra.
Alberta Stroke Programe Early CT
Score (ASPECTS)
 The Alberta Stroke Programe Early CT Score
(ASPECTS) is a 10-point quantitative topographic CT
scan score used in patients with middle cerebral
artery (MCA) stroke.
 Segmental assessment of MCA territory is made and 1
point is removed from the initial score of 10 if there is
evidence of infarction in that region.
Alberta Stroke Programe Early CT
Score (ASPECTS)
 caudate
 putamen
 internal capsule
 insular cortex
 M1: "anterior MCA cortex," corresponding to frontal
operculum
 M2: "MCA cortex lateral to insular ribbon"
corresponding to anterior temporal lobe
 M3: "posterior MCA cortex" corresponding to posterior
temporal lobe
Alberta Stroke Programe Early CT
Score (ASPECTS)
• M4: "anterior MCA territory immediately superior to
M1"
• M5: "lateral MCA territory immediately superior to
M2"
• M6: "posterior MCA territory immediately superior to
M3"
Alberta Stroke Programe Early CT
Score (ASPECTS)
 (M1 to M3 are at the level of the basal ganglia and M4
to M6 are at the level of the ventricles immediately
above the basal ganglia)
 An ASPECTS score less than or equal to 7 predicts
worse functional outcome at 3 months as well as
symptomatic haemorrhage.
CONVENTIONAL MRI
 Spin echo images more sensitive and specific than CT
in acute stroke.
 Sequences
 T1
 T2
 FLAIR
 GRE
ACUTE STROKE
 HYPER ON T2 AND FLAIR
 LOSS OF GRAY WHITE MATTER
DIFFERENTIATION
 SULCAL EFFACEMENT
 MASS EFFECT
 LOSS OF FLOW VOID IN T2WI IN VESSEL
 BLOOMING IN GRE IF HRGE
 LESS SENSITIVE THAN DWI IN FIRST FEW HOURS
MRI acute ischemia
MR ANGIOGRAPHY
 Sensitive for intravascular thrombus.
 MR angiograms in two patients with acute stroke
symptoms reveal flow gaps in the left proximal middle
cerebral artery (arrow in a) and the basilar artery (arrows
in b). Both findings were due to intravascular thrombi
Diffusion-Weighted Imaging
 The normal motion of water molecules within living
tissues is random.
 Acute stroke causes excess intracellular water
accumulation or “cytotoxic edema”, with an overall
decreased rate of water molecular diffusion within the
affected tissue.
Diffusion-Weighted Imaging
 Areas of cerebral infarct appear brighter compared to
normal tissue.
 Takes few secs to 2 minutes
Acute stroke–induced
cytotoxic edema in the
right cerebellar
hemisphere. Diffusion-
weighted MR image
shows areas of signal
intensity increase due to
the restricted mobility
of water molecules
CLINICAL APP OF DWI
 Changes in DWI occur with in 30min of onset of
ischemia with corresponding reduction in ADC and
seen up to 5 days
 Mild hyperintense DWI with pseudonormal ADC from
1 -4wks
 After several wks DWI signal varies (T2 effect) with
increased ADC
 DWI alone cannot be used and should always be
compared with ADC to assess the age of infarct
Acute stroke of the posterior circulation in a 77-year-old man.
(a) Diffusion weighted MR image shows bilateral areas of
increased signal intensity (arrows) in the thalami and occipital
lobes. (b) ADC map shows decreased ADC values in the same
areas (arrows). These findings are indicative of acute
ischemia.
ACCURACY
 CT/ CONVENTIONAL MRI
 SENSITIVITY AND SPECIFICITY < 50%
 DWI
 SENSITIVITY 88-100%
 SPECIFICITY 86-100%
 FALSE -VE DWI
 LACUNAR INFARCTS OF BRAIN STEM
 SMALL DEEP GREY MATTER INFARCTS
 FALSE +VE DWI
 ABSCESS
 CELLULAR TUMOURS LIKE LYMPHOMA
Perfusion-Weighted imaging
 Allows the measurement of capillary perfusion of the
brain
 Uses a MR contrast agent
 The contrast bolus passage causes a nonlinear signal
decrease in proportion to the perfusion cerebral blood
volume
 Meaning, it can identify areas of hypoperfusion, the
reversible ischemia, as well (unlike DWI)
MR PERFUSION
 LESION WHICH SHOWS CHANGES BOTH IN DWI
AND PERFUSION MR – INFARCT CORE
 LESION WHICH SHOWS CHANGES ONLY IN
PERFUSION - PENUMBRA
Comparison of PWI and DWI
 DWI  Depicts irreversibly damaged infarct
 PWI  Reflects the complete area of hypoperfusion
 The volume difference between these two, the
PWI/DWI mismatch would be the PENUMBRA!
 If there is no difference in PWI and DWI, no
penumbra is present
 (a) Diffusion-
 weighted MR image
 shows an area of mildly
increased signal intensity in
the right parietal lobe
(arrows). The ADC values in
this region were decreased.
 (b) Perfusion-weighted MR
image shows a larger area
with increased time to peak
enhancement (arrows) in the
right cerebral hemisphere.
 The mismatch
between the perfusion
and diffusion images is
indicative
of a large penumbra.
Miscellaneous techniques
 Transcranial doppler ultrasound(TCD)
 MRS
Transcranial doppler
ultrasound(TCD)
 Sensitive to vascular anatomy and blood flow.
 Primarily used for monitoring of post SAH &
posttraumatic vasospasm.
 Can be used in acute MCA occlusion.
 Unobtainable MCA flow signal or significantly
depressed MCA flow velocity.
MRS
 Can be used to observe Ischemia induced changes in
cerebral metabolism.
 Characterised by decreased N-acetyl aspartate,
creatine & phosphocreatine resonance & elevated
lactate.
Acute stroke imaging protocol
References
 Diagnostic Neuroradiology; Anne G. osborn(2007).
 Bradleys;Neurology In clinical practice,6’th edition
(2012).
THANK YOU

Imaging in ischemic stroke18 11-15 final

  • 1.
    DR. SUNIL KUMARSHARMA SENIOR RESIDENT,DEPT. OF NEUROLOGY G.M.C. & M.B.S. HOSPITAL, KOTA
  • 2.
    Goals • Understand howimaging studies help in stroke diagnosis and management through examining findings in patients at different stages of ischemic stroke. • Know the advantages of different tests in ischemic stroke imaging.
  • 3.
    Stroke Stroke is acommon term meaning a neurological condition due to vascular lesions of the brain caused by hemorrahage, embolism, thrombosis, or ruptured aneurysm.
  • 4.
    Stroke Types  Mostcommon stroke etiologies:  1) Cerebral Infarction - 80%  2) Primary Intracranial Hemorrhage - 15%  3) Nontraumatic subarachnoid hemorrhage - 5% * FOCUS: Cerebral Infarction
  • 5.
    Ischemic stroke  Ischemicstroke results because of significantly diminished blood supply to all parts(global ischemia) or selected areas(focal/regional)ischemia of the brain.  Symptoms and clinical behavior is determined by the vascular territory affected.
  • 6.
    Ischemic stroke  Largevessel occlusion(ICA,MCA,PCA)-40-50%  Small vessels (lacunar) infarct-25%  Cardiac emboli (AF,MI,IE,mechanical prosthetic heart valves,valvular heart disease,DCMP).-15%  Blood disorders- 5%.  Nonatheromatous occlusion(e.g. vasculitis ,vasculopathy)-5%
  • 7.
    Menu of RadiologicalTests  CT: w/ or w/o contrast  CT angiogram (CTA)  CT perfusion imaging  MR: w/ or w/o contrast  T1 or T2 weighted (T1WI, T2WI)  FLAIR  Diffusion weighted image (DWI) Susceptibility  MR angiogram  MR perfusion imaging
  • 8.
  • 9.
    CT w/o ContrastTest of Choice in Emergencies  1) Distinguish between ischemic and hemorrhagic stroke  2) Normal CT in patient with <4.5 hrs of symptoms can begin rtPA therapy if no other contraindications exist. *If abnormal findings are seen on CT, it’s too late to start rtPA
  • 10.
    Hyperacute: <12 hrs •Normal 50-60% • Hyperdense artery (dense MCA sign) • Obscuration of the lenticular nucleus(early frank hypodensity of LN is strongly A/W later hemorrhagic transformation)
  • 11.
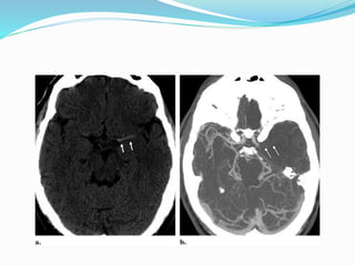
     Hyperdense artery •Hyperdense MCA sign (25% of unselected acute infarct) • Hyperdense MCA sign 35-50% of MCA stroke • Caused by acute intraluminal thrombus  FALSE POSITIVE  HIGH HEMATOGRIT LEVEL  MCA CALCIFICATION But in such cases the hyperattenuation is usually bilateral!!! Dense MCA sign
  • 12.
  • 14.
    Acute: 12-24 hrs •Low density basal ganglia • loss of gray-white interfaces (insular ribbon sign) • sulcal effacement
  • 16.
    Insular ribbon sign Hypodensity and loss of gray and white matter differentiation • right insula  “Insular Ribbon Sign”
  • 17.
    1-3 days • Increasemass effect • Wedge-shaped low density area that involves both gray and white matter • Hemorrhagic transformation (basal ganglia and cortex are common sites)
  • 19.
    4-7 days  Gyralenhancement  Mass effect, edema persist
  • 20.
    1-8 weeks  Contrastenhancement persists.  Mass effect resolves.  The swelling starts to subside and small amounts of cortical petechial hemorrhages results in elevation of the attenuation of the cortex. This is known as the CT fogging phenomenon .  Imaging a stroke at this time can be misleading as the affected cortex will appear near normal.
  • 21.
    2’nd and 9’thdays post stroke images
  • 23.
    Chronic Infarcts  Monthsto years • Encepholomalacic change, volume loss • Calcification rare
  • 25.
    Lacunar Infarcts • Smalldeep cerebral infarcts. • 3-15 mm in diameter ,mostly 10 mm. • Typically located in the basal ganglia and thalamus • Small infarcts are often multiple • Most true lacunar infarcts are not seen on CT •
  • 27.
  • 28.
    Hypoxic-Ischemic Injury • Consequenceof global perfusion or oxygenation disturbance • Common causes – severe prolonged hypotension, cardiac arrest with successful resuscitation, profound neonatal asphyxia, cabonmonxide inhalation ( Decrease CBF) • May be caused by RBC oxygenation is faulty • Two basic patterns: “border zone infarcts” and “generalized cortical necrosis.
  • 29.
    Hypoxic-Ischemic Injury • Themost frequently and severely affected area is the parietooccipital region at the confluence between the ACA, MCA, and PCA territories. • The basal ganglia are also common sites • In premature infants HIE manifestations are those of periventricular leukomalacia • Most common observed on NECT is a low density band at the interface between major vascular territories. • The basal ganglia and parasagittal areas are the most frequent sites.
  • 32.
    CT ANGIOGRAPHY CT angiographytypically involves a volumetric helical acquisition that extends from the aortic arch to the circle of Willis.  The examination is performed by using a time-optimized bolus of contrast material for vessel enhancement.  CT angiographic demonstration of a significant thrombus burden can guide appropriate therapy in the form of intraarterial or mechanical thrombolysis.  Identification of carotid artery disease and visualization of the aortic arch may provide clues to the cause of the ischemic event and guidance for the interventional neuroradiologist
  • 34.
    CT Perfusion (CTP) Basicconcept…..  With CT and MR-diffusion we can get a good impression of the area that is infarcted.  But, we cannot preclude a large ischemic penumbra (tissue at risk).  With perfusion studies we monitor the first pass of an iodinated contrast agent bolus through the cerebral vasculature.  Areas of decreased perfusion will tell us which area is at risk
  • 35.
    CT PERFUSION  PARAMETERSASSESSED  CBV – VOLUME OF BLOOD PER UNIT OF BRAIN TISSUE (N 4-5ML/100GM)  CBF – VOLUME OF BLOOD FLOW PER UNIT OF BRAIN TISSUE PER MINUTE (N 50-60ML/100GM/MINUTE)  MTT – TIME DIFFERENCE BETWEEN THE ARTERIAL INFLOW AND VENOUS OUTFLOW  TIME TO PEAK ENHANCEMENT – TIME FROM THE BEGINNING OF CONTRAST INJECTION TO MAXIMUM CONTRAST CONCENTRATION .
  • 36.
    INTERPRETATION OF PCT INFARCTED AREA  SEVERELY DECREASED CBF (<30%) AND CBV (<40%)  PROLONGED MTT  PENUMBRA  INCREASED MTT  MODERATELY DECREASED CBF (>60%)  INCREASED CBV (80-100% OR HIGHER) OR  INCREASED MTT  MARKEDLY REDUCED CBF (>30%)  MODERATELY REDUCED CBV (>60%)
  • 37.
     CT perfusionmaps of cerebral blood volume (a) and cerebral blood flow (b) show, in the left hemisphere, a region of decreased blood volume (white oval) that corresponds to the ischemic core and a larger region of decreased blood flow (black oval in b) that includes the ischemic core and a peripheral region of salvageable tissue. The difference between the two maps (black oval white oval) is the penumbra.
  • 38.
    Alberta Stroke ProgrameEarly CT Score (ASPECTS)  The Alberta Stroke Programe Early CT Score (ASPECTS) is a 10-point quantitative topographic CT scan score used in patients with middle cerebral artery (MCA) stroke.  Segmental assessment of MCA territory is made and 1 point is removed from the initial score of 10 if there is evidence of infarction in that region.
  • 39.
    Alberta Stroke ProgrameEarly CT Score (ASPECTS)  caudate  putamen  internal capsule  insular cortex  M1: "anterior MCA cortex," corresponding to frontal operculum  M2: "MCA cortex lateral to insular ribbon" corresponding to anterior temporal lobe  M3: "posterior MCA cortex" corresponding to posterior temporal lobe
  • 40.
    Alberta Stroke ProgrameEarly CT Score (ASPECTS) • M4: "anterior MCA territory immediately superior to M1" • M5: "lateral MCA territory immediately superior to M2" • M6: "posterior MCA territory immediately superior to M3"
  • 41.
    Alberta Stroke ProgrameEarly CT Score (ASPECTS)  (M1 to M3 are at the level of the basal ganglia and M4 to M6 are at the level of the ventricles immediately above the basal ganglia)  An ASPECTS score less than or equal to 7 predicts worse functional outcome at 3 months as well as symptomatic haemorrhage.
  • 44.
    CONVENTIONAL MRI  Spinecho images more sensitive and specific than CT in acute stroke.  Sequences  T1  T2  FLAIR  GRE
  • 45.
    ACUTE STROKE  HYPERON T2 AND FLAIR  LOSS OF GRAY WHITE MATTER DIFFERENTIATION  SULCAL EFFACEMENT  MASS EFFECT  LOSS OF FLOW VOID IN T2WI IN VESSEL  BLOOMING IN GRE IF HRGE  LESS SENSITIVE THAN DWI IN FIRST FEW HOURS
  • 46.
  • 47.
    MR ANGIOGRAPHY  Sensitivefor intravascular thrombus.  MR angiograms in two patients with acute stroke symptoms reveal flow gaps in the left proximal middle cerebral artery (arrow in a) and the basilar artery (arrows in b). Both findings were due to intravascular thrombi
  • 48.
    Diffusion-Weighted Imaging  Thenormal motion of water molecules within living tissues is random.  Acute stroke causes excess intracellular water accumulation or “cytotoxic edema”, with an overall decreased rate of water molecular diffusion within the affected tissue.
  • 49.
    Diffusion-Weighted Imaging  Areasof cerebral infarct appear brighter compared to normal tissue.  Takes few secs to 2 minutes
  • 50.
    Acute stroke–induced cytotoxic edemain the right cerebellar hemisphere. Diffusion- weighted MR image shows areas of signal intensity increase due to the restricted mobility of water molecules
  • 51.
    CLINICAL APP OFDWI  Changes in DWI occur with in 30min of onset of ischemia with corresponding reduction in ADC and seen up to 5 days  Mild hyperintense DWI with pseudonormal ADC from 1 -4wks  After several wks DWI signal varies (T2 effect) with increased ADC  DWI alone cannot be used and should always be compared with ADC to assess the age of infarct
  • 52.
    Acute stroke ofthe posterior circulation in a 77-year-old man. (a) Diffusion weighted MR image shows bilateral areas of increased signal intensity (arrows) in the thalami and occipital lobes. (b) ADC map shows decreased ADC values in the same areas (arrows). These findings are indicative of acute ischemia.
  • 53.
    ACCURACY  CT/ CONVENTIONALMRI  SENSITIVITY AND SPECIFICITY < 50%  DWI  SENSITIVITY 88-100%  SPECIFICITY 86-100%  FALSE -VE DWI  LACUNAR INFARCTS OF BRAIN STEM  SMALL DEEP GREY MATTER INFARCTS  FALSE +VE DWI  ABSCESS  CELLULAR TUMOURS LIKE LYMPHOMA
  • 54.
    Perfusion-Weighted imaging  Allowsthe measurement of capillary perfusion of the brain  Uses a MR contrast agent  The contrast bolus passage causes a nonlinear signal decrease in proportion to the perfusion cerebral blood volume  Meaning, it can identify areas of hypoperfusion, the reversible ischemia, as well (unlike DWI)
  • 55.
    MR PERFUSION  LESIONWHICH SHOWS CHANGES BOTH IN DWI AND PERFUSION MR – INFARCT CORE  LESION WHICH SHOWS CHANGES ONLY IN PERFUSION - PENUMBRA
  • 56.
    Comparison of PWIand DWI  DWI  Depicts irreversibly damaged infarct  PWI  Reflects the complete area of hypoperfusion  The volume difference between these two, the PWI/DWI mismatch would be the PENUMBRA!  If there is no difference in PWI and DWI, no penumbra is present
  • 57.
     (a) Diffusion- weighted MR image  shows an area of mildly increased signal intensity in the right parietal lobe (arrows). The ADC values in this region were decreased.  (b) Perfusion-weighted MR image shows a larger area with increased time to peak enhancement (arrows) in the right cerebral hemisphere.  The mismatch between the perfusion and diffusion images is indicative of a large penumbra.
  • 58.
    Miscellaneous techniques  Transcranialdoppler ultrasound(TCD)  MRS
  • 59.
    Transcranial doppler ultrasound(TCD)  Sensitiveto vascular anatomy and blood flow.  Primarily used for monitoring of post SAH & posttraumatic vasospasm.  Can be used in acute MCA occlusion.  Unobtainable MCA flow signal or significantly depressed MCA flow velocity.
  • 60.
    MRS  Can beused to observe Ischemia induced changes in cerebral metabolism.  Characterised by decreased N-acetyl aspartate, creatine & phosphocreatine resonance & elevated lactate.
  • 61.
  • 62.
    References  Diagnostic Neuroradiology;Anne G. osborn(2007).  Bradleys;Neurology In clinical practice,6’th edition (2012).
  • 63.