CT Head in Primary Effects
of CNS Trauma
Dr. Manmohan Shrestha
Head Injury
 Neurotrauma is the common cause of death and disability
worldwide.
 Of all head injured patient-
10% sustain fatal brain injury.
5-10% neurotrauma survivors have permanent serious neurologic deficits
20-40% have moderate disability.
A number have minimal brain trauma
Etiology
Falls
Common in children and elderly
Gunshot wounds
Most common in adolescents and young adults
Motor vehicle and auto-pedestrian collisions
All ages
Classification of Head Trauma
Using GCS
Mild/Minor (GCS-13-15)
Moderate (GCS 9-12)
Severe (GCS <=8)
Pathoetiologically
Primary injuries – occur at the time of initial trauma.
Secondary injuries – which occur later
Primary injuries
 Scalp and skull injuries
 Missile and penetrating injuries
 Epidural hematoma
 Subdural hematoma
 Traumatic subarachnoid hemorrhage
 Cerebral contusion
 Diffuse axonal injury
 Pneumocephalus
MDCT
 Workhorse of brain trauma imaging
 In head trauma, thin-sectioned NECT scans from the foramen magnum to the
vertex with both soft tissue and bone algorithm should be obtained.
 Coronal and sagittal reformatted images from the axial source data are
extremely helpful.
 The scout view should always be displayed and evaluated as part of study.
Who and when to image?
 Major and widely used appropriateness criteria for imaging acute head
trauma have been published:
I. The American College of Radiology appropriateness criteria
II. New Orleans Criteria
III. The Canadian Head CT Rule
The American College of Radiology
appropriateness criteria
 NECT in mild closed head injury with the presence of a focal neurologic deficit
and/or other risk factors
 All traumatized children under 2 years of age & patients over 60 years of age
 Repeat CT of patients with head injury should be obtained if there is sudden clinical
deterioration, regardless of initial imaging findings.
New Orleans Criteria in Minor Head Injury
 CT indicated if GCS =15 Plus any of the following-
Headache
Vomiting
Patient>60 yrs.
Intoxication (drugs, alcohol)
Anterograde amnesia
Seizure
The Canadian Head CT Rule in Mild Head
Trauma
 Inclusion criteria
 Patient has suffered minor head trauma with resultant:
 loss of consciousness
 GCS 13-15
 confusion
 amnesia after the event
 Exclusion criteria
 anticoagulant medication or bleeding disorder
 age <16 years
 seizure
 High risk factors
 GCS <15 two hours post injury
 suspected open skull fracture
 sign of base of skull fracture
 vomiting more than twice
 age >65 years
 Medium risk factors
 amnesia post event >30 min
 dangerous mechanism of injury
pedestrian struck by motor vehicle
occupant ejected from motor vehicle
fall from >3 feet or 5 stairs
Interpretation-
• Risk factors – YES – CT Head required
• Risk factors – NO – CT Head not required
Skull fractures
 Usually occur following significant head injury and may herald
underlying neurological pathology.
 Objective – to depict the location & extent of fractures and
identify associated injuries to vital structures.
 Aids in surgical planning and in the prevention of
complication such as CSF leak.
Skull fractures
 Skull base fractures
 Cranial vault fracture
 Temporal bone fracture
 Orbit fractures
 Facial bone (Le fort) fractures
 Zygomaticomaxillary fracture
 Nasoorbitoethmoid fracture
 Mandible fracture
Presentation
 head injury following impact trauma, e.g. fall, RTC
 symptoms associated with underlying injury
 Extradural hemorrhage
 Subdural hemorrhage
 Subarachnoid hemorrhage
 there may be an associated base of skull injury
 CSF rhinorrhea
 Battle’s sign
 Raccoon eyes
Battle’s sign
 also called mastoid ecchymosis,
 is an indication of fracture of middle cranial fossa of the skull
 consists of bruising over the mastoid process, as a result of extravasation of blood
along the path of the posterior auricular artery.
Racoon eyes/Panda eyes sign
 Periorbital ecchymosis
 Sign of
 Basal skull fracture
 Subgaleal hematoma
 Craniotomy that ruptured the meninges
Skull Base Fractures
Anterior
 Frequently associated with sinonasal
cavity &/or orbital injuries
 Majority have facial fractures
Middle
 Look for the involvement of sphenoid
bone, clivus, caverernous sinuses and
carotid canal.
Posterior
 May be isolated or associated with
transverse petrous fractures
 May extend into the transverse or
sigmoid sinuses, jugular foramen or
hypoglossal canal.
possibility of endangerment of
nearby structures including:
 Cranial nerves
 Internal carotid artery
 Cavernous sinus
Facial bone (Le Fort) fractures
(Midface)
 involve separation of all or a portion of the midface from the skull base
 the pterygoid plates of the sphenoid bone need to be involved as these
connect the midface to the sphenoid bone dorsally.
3types
 Le Fort I
 Horizontal fracture through the maxilla that involves the piriform aperture.
 Le Fort II
 Pyramidal fracture that involves the nasofrontal junction, infraorbital rims,
medial orbital walls, orbital floors and the zygomaticomaxillary suture lines.
 Le Fort III
 Craniofacial separation
 Consists of nasofrontal junction fractures that extend laterally
through the orbital walls and zygomatic arches.
Le Fort I – Floating palate
Le Fort II – Floating maxilla
Le Fort III – Floating face
Le Fort I
Le Fort II
Skull fractures
A. Linear – sharply marginated lucent lines, low impact injury
B. Depressed – fragments imploded inwardly,
High impact injury.
C. Elevated – elevated rotated skull segment
D. Basilar
E. Diastatic
 Usually affect children <3 yrs. old
 Follows a cranial suture and causes it to separate
 Usually accompanied by linear skull fracture
F. “Growing skull fracture”
 Difficult in acute stage
 Progressively widening
 Lucent lesion with rounded, scalloped margins
 CSF and soft tissue trapped within expanding fracture.
Linear fracture
Depressed fracture
Ping pong/ Pond skull fracture
 called a 'ping pong' fracture because it resembles a ping
pong ball that has been indented inwards with a finger.
 Depressed skull fracture of the infant skull caused by inner
buckling of the calvarium.
 Fracture line is not visualized radiologically.
 It is seen in newborns because of the soft and resilient nature
of their bones (like greenstick fracture of long bones)
 Periosteum and dura are intact
 Pathology – birth trauma or postnatal blunt traumas
Elevated fracture
Growing skull fracture/Leptomeningeal cyst
Trauma 1 month ago. Recent right parietal progressive
scalp swelling
Difficult in acute stage
Progressively widening
Lucent lesion with rounded,
scalloped margins
CSF and soft tissue trapped within
expanding fracture.
occur secondary to skull fractures
causing dural tears, allowing
the leptomeninges and/or cerebral
parenchyma to herniate into it.
• Rt. parietal widened linear fracture.
• Area of encephalomalacia under the fracture
• Rt. parietal small subgaleal small cyst of CSF density.
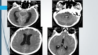
Temporal bone fractures
 Types (acc. to long. axis of petrous temporal bone)
 Longitudinal
 Transverse
 Mixed
 Complications
 facial and other cranial nerve injuries
 vertigo and hearing loss
 cerebrospinal fluid (CSF) leak
 CSF fistula
 meningitis
 post-traumatic cholesteatoma
 Ossicular chain dislocation.
Pneumolabyrinth
Ossicular chain
dislocation
Skull Fractures !!
When to worry ??
Overlies a dural venous sinus
Overlies the middle meningeal artery
Overlies “eloquent cortex” ( Sensory-Motor cortex)
Depressed > “table-width”
Open/compound
Traverses Internal carotid artery canal
Temporal bone fractures.
Missile and penetrating injury
 Cranial trauma from high-velocity projectile (typically gunshot wound) or with
sharp object.
General features
Best diagnostic clue
Single or multiple intracranial foreign
bodies, missile tract
Pneumocephalus, entry +- exit wound.
Size
Small linear tract if small caliber and low
velocity
Large linear tract if large caliber and
high velocity
Skull fractures
 Intracranial hemorrhage
EDH, SDH,SAH
Haemorrhagic tract
Intracerebral or intraventricular
hemorrhage
 Vascular injury
Pseudoaneurysm, dissection, AV fistula
 CSF leak
 Secondary effects
Ischaemia and infarction
Brain herniation
CT findings
NECT
Best assessment of extent of soft tissue injury
Identify entry & exit wounds
Bone CT
Osseous entry and exit sites and pnemocephalus
Metallic fragments easier to evaluate
Coup-Contrecoup Injury
damage is located both at the site of impact and on the opposite side of the head
Coup-Contrecoup Injury
Subgaleal hematoma
 Under aponeurosis (galea) of occipitofrontalis muscle.
 External to periosteum
 Not limited by sutures
 Can be extensive, even life threatening
85 years old, fall from height
Epidural Hematoma (EDH)
Definition – Blood collection between inner table of skull
and outer (periosteal ) layer of dura.
Types –
 Classic
 Arterial
 Unilateral
 Supratentorial
 biconvex
 Variant
 Unusual location, unusual etiology & unusual shape/density
EDH Classic
 Best diagnostic clue
 Hyperdense, biconvex, extraaxial collection on NECT
 Location
 Nearly all at coup site
90-95%Unilateral
 Arterial
 Adjacent to skull fracture
 Supratentorial (65% temporoparietal, 35% frontal/parietooccipital )
5-10% posterior fossa
 Size
 Variable, rapid expansion
 Attains maximum size at 36 hours
 Morphology
 Biconvex/lentiform extraaxial collection
 Arterial EDH’s usually do not cross sutures except if sutural diastasis/fracture is present.
Etiology
Most often near Middle Meningeal Artery groove
Associated abnormalities
Skull fracture in 95%, may cross MMA groove
Presentation
Classic lucid interval – 50% of cases
Initial LOC – Subsequent asymptomatic time – Symptom or
coma onset
Headache, nausea, vomiting, seizures, focal neurological deficits
Homogenous hyperdense biconvex epidural
Hematoma in in right temporal convexity.
NECT
• Acute EDH 2/3 hyperdense,1/3 mixed
• Low density swirl sign –active bleeding with
unretracted clot
• Acute EDH with retracted clot = 60-90 HU
Swirl’s Sign
Figure - Delayed epidural hematoma. A, Acute subdural hematoma over the
left parietal convexity. Note the small hemorrhagic contusion in the left parietal
lobe. B, The patient has undergone craniectomy and drainage of the subdural
hematoma. Note the new posterior parieto-occipital epidural hematoma.
Posterior fossa EDH – delayed
symptom onset, slow expansion,
increased mortality
Q) Why EDH do not cross the sagittal suture lines ?
 Because the right halve is separated from the left halve by a deep fold in the outermost
membrane enveloping the brain, the Dura mater, called the Falx Cerebri which runs
along the Sagittal suture which at the base is affixed to the skull so can't be crossed
from right to left or the other way around:
EDH Variant / Venous EDH
Unusual etiology
Venous, not arterial
Fracture crossed dural venous sinus
Most common sites
Anterior middle cranial fossa
Vertex
Clival
Unusual shape
Easily overlooked
Coronal, sagittal reformats key to diagnosis
Anterior middle cranial fossa
 When fracture crosses sphenoparietal sinus
 Virtually all have associated skull fractures – greater sphenoid wing/zygomaticomaxillary
 Do not require surgery
 1-2 cm maximum diameter
Vertex EDH
 Uncommon
 Linear &/or diastatic fracture
crosses superior sagittal sinus
 Usually crosses midline
Clival EDH
 Very rare
 Linear fracture crosses basisphenoid
 Lacerates clival venous plexus
 Asymptomatic unless associated vascular or cranial nerve injury
 Sagittal reformatted images key to diagnosis
Subdural Hematoma (SDH)
 Defn – collection of blood between dura and arachnoid mater
 Best diagnostic clue
 CT – crescentic, extraaxial collection spread diffusely over affected hemisphere
 Location
 Supratentorial convexity> interhemispheric, peritentorial
 Morphology
 Crescent shaped, extraaxial
 May cross sutures, not dural attachments
 May extend along falx, tentorium, and anterior and middle fossa floors.
Etiology
Tearing of bridging cortical veins
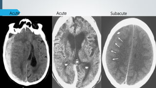
Age of SDH
 Hyperacute – upto 12 hours
 Acute – 12-48 hours
 Subacute – 3 days to 3 weeks
 Chronic – 3 weeks to months
Poor prognosis
Surgery required if thickness>10mm, midline shift
CT Findings
 Hyperacute
 Heterogenous or hypodense
 Acute
 60% homogenously hyperdense
 40% mixed hyper-, hypodense with active bleeding (Swirl sign)
 Subacute
 Iso to hypodense
 GM-WM junction displaced medially
 Progression from hyper to iso to hypodense over nearly 3 weeks.
 Recurrent hemorrhage results in mixed density.
 Chronic
 Typically follows CSF density
 Calcification can be seen along periphery of chronic collections, typically those
present for many years
** If no new hemorrhage, density decreases by +- 1.5 HU
Acute SubacuteAcute
Chronic Acute on chronic
Unilateral isodense SDH & Importance of window width
 If isodense SDH suspected, use wide window.
 If unilateral isodense, look for –
 unexplained mass effect
 Ventricular or pineal displacement
 Absence of visible sulci on the affected side
Bilateral isodense SDH
 Squeezing together of the frontal horns to give a “rabbit’s ears” appearance &
effacement of the basal cisterns.
 Appears as pseudosubarachnoid hemorrhage
 Apparent increased attenuation (though HU remains 30-40), within the basal cisterns which
simulates SAH.
CT Comma Sign
 characteristic sign seen in head trauma.
 It is the presence of concurrent epidural and subdural hematomas, which gives the
characteristic appearance of this sign as a "comma" shape.
Traumatic Subarachnoid Hemorrhage
 Circle of Willis floats in CSF in Subarachnoid space
Traumatic SAH (tSAH)
 Blood contained between pia & arachnoid membranes
 Epidemiology – 33% with moderate TBI, 60% with severe TBI.
 Best diagnostic clue – High density on NECT
 Location
Focal –adjacent to contusion, EDH, SDH, fracture, laceration
Sylvian fissure, inferior frontal subarachnoid spaces most common
Diffuse – in subarachnoid space &/or basal cisterns
 Pathology – bleeding from cortical arteries/veins.
 Associated abnormalities
 Contusions
 EDH
 SDH
 Diffuse axonal injury
 Poor prognosis
 Amount of tSAH on initial CT correlates with delayed ischemia
 Associated with moderate to severe TBI results in increased morbidity & mortality.
 Complications
 Acute hydrocephalus – obstruction of aqueduct or 4th ventricle by clotted SAH
 Delayed hydrocephalus – defective CSF resorption
 vasospasm
Fisher scale
 grade 1
 no subarachnoid (SAH) or intraventricular haemorrhage (IVH) detected
 incidence of symptomatic vasospasm: 21% 3
 grade 2
 diffuse thin (<1 mm) SAH
 no clots
 incidence of symptomatic vasospasm: 25%
 grade 3
 localized clots and/or layers of blood >1 mm in thickness
 no IVH
 incidence of symptomatic vasospasm: 37%
 grade 4
 diffuse or no SAH
 ICH or IVH present
 incidence of symptomatic vasospasm: 31%
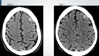
Cerebral contusion
 Brain surface injuries involving gray and continuous subcortical white matter.
 Epidemiology – 2nd most common primary traumatic neuronal injury.
 Presentation
 Varies with severity, from mild confusion to cerebral dysfunction , seizures.
Location
 Common
 Anterior inferior frontal lobes
 Anterior inferior temporal lobes
 Less common
 Parietal/occipital lobes
 Posterior fossa
 Injury at contrecoup site is
usually more severe
Morphology
Early
Patchy ill-defined superficial foci of punctate or linear
hemorrhage along gyral crests.
24-48 hours
Existing lesions enlarge & become more hemorrhagic,
new lesions may appear.
Chronic
Encephalomalacia with volume loss
Multiple, bilateral lesions in 90% of cases.
CT findings
 Early
 Patchy, ill-defined, low-density edema with small foci of
hyperdense hemorrhage
 24-48 hours
 Edema, hemorrhage and mass effect often increase
 New foci of edema and hemorrhage may occur.
 Chronic
 Become isodense (at 2 weeks ) then hypodense
 Encephalomalacia with volume loss (at 1 month)
 Repeat CT recommended if initial exam negative but symptoms persist for
24-48 hours.
 Enhancement occurs at acute & subacute stage in areas of
blood-brain-barrier breakdown
Hemorrhagic contusions with surrounding edema
Subacute contusion with ring enhancement
 D/D of ring enhancing lesions
 Common
Some primary brain tumor (e.g. anaplastic astrocytoma)
Metastatic brain tumor
Abscess
Granuloma
Resolving hematoma
Subacute infarct
 Less common
Thrombosed vascular malformation
Demyelinating disease (e.g. multiple sclerosis)
 Uncommon
 Thrombosed aneurysm
 CNS lymphoma in AIDS
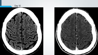
Day 0 Day 1
Day 10
Diffuse Axonal Injury (DAI)
 Traumatic axonal stretch injury.
 Most common primary traumatic neuronal injury
 Etiology
 caused by rotational forces that produce shear strain, resulting in tissue damage. Shear strain is
maximum at the junction of tissues with different densities, such as the gray–white junction
 Best diagnostic clue
 Microbleeds
 Punctate lesions at corticomedullary junction, corpus callosum, deep gray matter, brainstem.
 Location
 GM-WM interface specially frontotemporal lobes.
 Corpus callosum (3/4 splenium, posterior body)
 Brainstem, specially dorsolateral midbrain & upper pons
 Deep GM, internal/external capsule, tegmentum, fornix, corona radiata, cerebellar peduncles.
Presentation
 Transient LOC, retrograde amnesia
 LOC at moment of impact
 Immediate coma typical
 Greater impairment than with cerebral contusions, intracerebral hematoma,
extra axial hematomas
 Symptoms are disproportionate to imaging findings.
 Prognosis
 Clinical abnormality may persist for months or longer – headache, memory and
cognitive impairment, personality change.
 Severe DAI rarely causes death – 90% may remain in persistent vegetative state
 Brainstem damage associated with immediate or early death
 Neurocognitive deficits may persist in 100% of severe, 67% of moderate and 10 %
of mild TBI
NECT
 Not very sensitive
 Often normal (50-80%)
 >30% with negative CT have positive MR.
 Nonhemorrhagic : small , hypodense foci
 Hemorrhagic : small hyperdense foci (20-50%)
 Size – punctate to 15 mm
 They typically become more evident over the first few days as oedema
develops around them. They may be associated with significant and
disproportionate cerebral swelling.
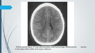
Diffuse axonal injury. CT scan demonstrates small hemorrhagic diffuse axonal injuries
in the deep white matter and corpus callosum.
Multiple hemorrhagic foci post MVA, involving the left thalamus and corpus callosum's splenium,
compatible with DAI.
Pneumocephalus
Presence of air within skull
Called pneumatocele if focal
Location –
Extracerebral : Epidural, subdural, subarachnoid
Intracerebral : Brain parenchyma, cerebral ventricles
Intravesicular : Arteries, veins, venous sinuses.
 Etiology in head trauma
Mechanism – dural tear allows abnormal communication & introduction of
air
Blunt trauma produces skull &/or paranasal sinus fractures
Air cell involvement – Frontal> Ethmoid> Sphenoid > Mastoid.
Knife and other penetrating instruments.
When associated with a dural tear, they may be complicated by CSF
leakage, empyema, meningitis, or brain abscess. Most posttraumatic CSF
leaks cease spontaneously, and the responsible fractures may never be
visualized
 Epidemiology
Present in 3% of all skull fractures
8% of paranasal sinus fractures
NECT
 Very low density (-1000 HU)
 Epidural
Do not move with change of head position
 Subdural
Often forms air-fluid levels
Moves with change of head position.
 Subarachnoid
Multifocal, non-confluent
Droplet-shaped, often within sulci
 Intraventricular
Rarely in isolation
 Intravascular
Most often venous, arterial rare usually fatal.
Tension Pneumocephalus
 “Mount Fuji” sign
 Subdural air separates/compresses frontal lobes
 Causes widened interhemispheric space between frontal lobe tips, mimicking
silhouette of Mount Fuji
 +- mass effect ( on frontal horns)
Ct head

Ct head

  • 1.
    CT Head inPrimary Effects of CNS Trauma Dr. Manmohan Shrestha
  • 2.
    Head Injury  Neurotraumais the common cause of death and disability worldwide.  Of all head injured patient- 10% sustain fatal brain injury. 5-10% neurotrauma survivors have permanent serious neurologic deficits 20-40% have moderate disability. A number have minimal brain trauma
  • 3.
    Etiology Falls Common in childrenand elderly Gunshot wounds Most common in adolescents and young adults Motor vehicle and auto-pedestrian collisions All ages
  • 4.
    Classification of HeadTrauma Using GCS Mild/Minor (GCS-13-15) Moderate (GCS 9-12) Severe (GCS <=8) Pathoetiologically Primary injuries – occur at the time of initial trauma. Secondary injuries – which occur later
  • 5.
    Primary injuries  Scalpand skull injuries  Missile and penetrating injuries  Epidural hematoma  Subdural hematoma  Traumatic subarachnoid hemorrhage  Cerebral contusion  Diffuse axonal injury  Pneumocephalus
  • 6.
    MDCT  Workhorse ofbrain trauma imaging  In head trauma, thin-sectioned NECT scans from the foramen magnum to the vertex with both soft tissue and bone algorithm should be obtained.  Coronal and sagittal reformatted images from the axial source data are extremely helpful.  The scout view should always be displayed and evaluated as part of study.
  • 7.
    Who and whento image?  Major and widely used appropriateness criteria for imaging acute head trauma have been published: I. The American College of Radiology appropriateness criteria II. New Orleans Criteria III. The Canadian Head CT Rule
  • 8.
    The American Collegeof Radiology appropriateness criteria  NECT in mild closed head injury with the presence of a focal neurologic deficit and/or other risk factors  All traumatized children under 2 years of age & patients over 60 years of age  Repeat CT of patients with head injury should be obtained if there is sudden clinical deterioration, regardless of initial imaging findings.
  • 9.
    New Orleans Criteriain Minor Head Injury  CT indicated if GCS =15 Plus any of the following- Headache Vomiting Patient>60 yrs. Intoxication (drugs, alcohol) Anterograde amnesia Seizure
  • 10.
    The Canadian HeadCT Rule in Mild Head Trauma  Inclusion criteria  Patient has suffered minor head trauma with resultant:  loss of consciousness  GCS 13-15  confusion  amnesia after the event  Exclusion criteria  anticoagulant medication or bleeding disorder  age <16 years  seizure
  • 11.
     High riskfactors  GCS <15 two hours post injury  suspected open skull fracture  sign of base of skull fracture  vomiting more than twice  age >65 years  Medium risk factors  amnesia post event >30 min  dangerous mechanism of injury pedestrian struck by motor vehicle occupant ejected from motor vehicle fall from >3 feet or 5 stairs Interpretation- • Risk factors – YES – CT Head required • Risk factors – NO – CT Head not required
  • 12.
    Skull fractures  Usuallyoccur following significant head injury and may herald underlying neurological pathology.  Objective – to depict the location & extent of fractures and identify associated injuries to vital structures.  Aids in surgical planning and in the prevention of complication such as CSF leak.
  • 13.
    Skull fractures  Skullbase fractures  Cranial vault fracture  Temporal bone fracture  Orbit fractures  Facial bone (Le fort) fractures  Zygomaticomaxillary fracture  Nasoorbitoethmoid fracture  Mandible fracture
  • 14.
    Presentation  head injuryfollowing impact trauma, e.g. fall, RTC  symptoms associated with underlying injury  Extradural hemorrhage  Subdural hemorrhage  Subarachnoid hemorrhage  there may be an associated base of skull injury  CSF rhinorrhea  Battle’s sign  Raccoon eyes
  • 15.
    Battle’s sign  alsocalled mastoid ecchymosis,  is an indication of fracture of middle cranial fossa of the skull  consists of bruising over the mastoid process, as a result of extravasation of blood along the path of the posterior auricular artery.
  • 16.
    Racoon eyes/Panda eyessign  Periorbital ecchymosis  Sign of  Basal skull fracture  Subgaleal hematoma  Craniotomy that ruptured the meninges
  • 17.
    Skull Base Fractures Anterior Frequently associated with sinonasal cavity &/or orbital injuries  Majority have facial fractures Middle  Look for the involvement of sphenoid bone, clivus, caverernous sinuses and carotid canal. Posterior  May be isolated or associated with transverse petrous fractures  May extend into the transverse or sigmoid sinuses, jugular foramen or hypoglossal canal. possibility of endangerment of nearby structures including:  Cranial nerves  Internal carotid artery  Cavernous sinus
  • 19.
    Facial bone (LeFort) fractures (Midface)  involve separation of all or a portion of the midface from the skull base  the pterygoid plates of the sphenoid bone need to be involved as these connect the midface to the sphenoid bone dorsally. 3types  Le Fort I  Horizontal fracture through the maxilla that involves the piriform aperture.  Le Fort II  Pyramidal fracture that involves the nasofrontal junction, infraorbital rims, medial orbital walls, orbital floors and the zygomaticomaxillary suture lines.  Le Fort III  Craniofacial separation  Consists of nasofrontal junction fractures that extend laterally through the orbital walls and zygomatic arches.
  • 20.
    Le Fort I– Floating palate Le Fort II – Floating maxilla Le Fort III – Floating face
  • 21.
  • 22.
  • 23.
    Skull fractures A. Linear– sharply marginated lucent lines, low impact injury B. Depressed – fragments imploded inwardly, High impact injury. C. Elevated – elevated rotated skull segment D. Basilar E. Diastatic  Usually affect children <3 yrs. old  Follows a cranial suture and causes it to separate  Usually accompanied by linear skull fracture F. “Growing skull fracture”  Difficult in acute stage  Progressively widening  Lucent lesion with rounded, scalloped margins  CSF and soft tissue trapped within expanding fracture.
  • 24.
  • 25.
  • 26.
    Ping pong/ Pondskull fracture  called a 'ping pong' fracture because it resembles a ping pong ball that has been indented inwards with a finger.  Depressed skull fracture of the infant skull caused by inner buckling of the calvarium.  Fracture line is not visualized radiologically.  It is seen in newborns because of the soft and resilient nature of their bones (like greenstick fracture of long bones)  Periosteum and dura are intact  Pathology – birth trauma or postnatal blunt traumas
  • 28.
  • 29.
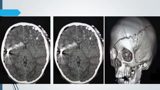
    Growing skull fracture/Leptomeningealcyst Trauma 1 month ago. Recent right parietal progressive scalp swelling Difficult in acute stage Progressively widening Lucent lesion with rounded, scalloped margins CSF and soft tissue trapped within expanding fracture. occur secondary to skull fractures causing dural tears, allowing the leptomeninges and/or cerebral parenchyma to herniate into it. • Rt. parietal widened linear fracture. • Area of encephalomalacia under the fracture • Rt. parietal small subgaleal small cyst of CSF density.
  • 30.
    Temporal bone fractures Types (acc. to long. axis of petrous temporal bone)  Longitudinal  Transverse  Mixed  Complications  facial and other cranial nerve injuries  vertigo and hearing loss  cerebrospinal fluid (CSF) leak  CSF fistula  meningitis  post-traumatic cholesteatoma  Ossicular chain dislocation.
  • 31.
  • 32.
    Skull Fractures !! Whento worry ?? Overlies a dural venous sinus Overlies the middle meningeal artery Overlies “eloquent cortex” ( Sensory-Motor cortex) Depressed > “table-width” Open/compound Traverses Internal carotid artery canal Temporal bone fractures.
  • 33.
    Missile and penetratinginjury  Cranial trauma from high-velocity projectile (typically gunshot wound) or with sharp object.
  • 34.
    General features Best diagnosticclue Single or multiple intracranial foreign bodies, missile tract Pneumocephalus, entry +- exit wound. Size Small linear tract if small caliber and low velocity Large linear tract if large caliber and high velocity Skull fractures  Intracranial hemorrhage EDH, SDH,SAH Haemorrhagic tract Intracerebral or intraventricular hemorrhage  Vascular injury Pseudoaneurysm, dissection, AV fistula  CSF leak  Secondary effects Ischaemia and infarction Brain herniation
  • 35.
    CT findings NECT Best assessmentof extent of soft tissue injury Identify entry & exit wounds Bone CT Osseous entry and exit sites and pnemocephalus Metallic fragments easier to evaluate
  • 37.
    Coup-Contrecoup Injury damage islocated both at the site of impact and on the opposite side of the head
  • 38.
  • 39.
    Subgaleal hematoma  Underaponeurosis (galea) of occipitofrontalis muscle.  External to periosteum  Not limited by sutures  Can be extensive, even life threatening
  • 40.
    85 years old,fall from height
  • 41.
    Epidural Hematoma (EDH) Definition– Blood collection between inner table of skull and outer (periosteal ) layer of dura. Types –  Classic  Arterial  Unilateral  Supratentorial  biconvex  Variant  Unusual location, unusual etiology & unusual shape/density
  • 42.
    EDH Classic  Bestdiagnostic clue  Hyperdense, biconvex, extraaxial collection on NECT  Location  Nearly all at coup site 90-95%Unilateral  Arterial  Adjacent to skull fracture  Supratentorial (65% temporoparietal, 35% frontal/parietooccipital ) 5-10% posterior fossa  Size  Variable, rapid expansion  Attains maximum size at 36 hours  Morphology  Biconvex/lentiform extraaxial collection  Arterial EDH’s usually do not cross sutures except if sutural diastasis/fracture is present.
  • 43.
    Etiology Most often nearMiddle Meningeal Artery groove Associated abnormalities Skull fracture in 95%, may cross MMA groove Presentation Classic lucid interval – 50% of cases Initial LOC – Subsequent asymptomatic time – Symptom or coma onset Headache, nausea, vomiting, seizures, focal neurological deficits
  • 44.
    Homogenous hyperdense biconvexepidural Hematoma in in right temporal convexity. NECT • Acute EDH 2/3 hyperdense,1/3 mixed • Low density swirl sign –active bleeding with unretracted clot • Acute EDH with retracted clot = 60-90 HU
  • 45.
  • 46.
    Figure - Delayedepidural hematoma. A, Acute subdural hematoma over the left parietal convexity. Note the small hemorrhagic contusion in the left parietal lobe. B, The patient has undergone craniectomy and drainage of the subdural hematoma. Note the new posterior parieto-occipital epidural hematoma. Posterior fossa EDH – delayed symptom onset, slow expansion, increased mortality
  • 47.
    Q) Why EDHdo not cross the sagittal suture lines ?  Because the right halve is separated from the left halve by a deep fold in the outermost membrane enveloping the brain, the Dura mater, called the Falx Cerebri which runs along the Sagittal suture which at the base is affixed to the skull so can't be crossed from right to left or the other way around:
  • 48.
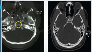
    EDH Variant /Venous EDH Unusual etiology Venous, not arterial Fracture crossed dural venous sinus Most common sites Anterior middle cranial fossa Vertex Clival Unusual shape Easily overlooked Coronal, sagittal reformats key to diagnosis
  • 49.
    Anterior middle cranialfossa  When fracture crosses sphenoparietal sinus  Virtually all have associated skull fractures – greater sphenoid wing/zygomaticomaxillary  Do not require surgery  1-2 cm maximum diameter
  • 50.
    Vertex EDH  Uncommon Linear &/or diastatic fracture crosses superior sagittal sinus  Usually crosses midline
  • 51.
    Clival EDH  Veryrare  Linear fracture crosses basisphenoid  Lacerates clival venous plexus  Asymptomatic unless associated vascular or cranial nerve injury  Sagittal reformatted images key to diagnosis
  • 52.
    Subdural Hematoma (SDH) Defn – collection of blood between dura and arachnoid mater  Best diagnostic clue  CT – crescentic, extraaxial collection spread diffusely over affected hemisphere  Location  Supratentorial convexity> interhemispheric, peritentorial  Morphology  Crescent shaped, extraaxial  May cross sutures, not dural attachments  May extend along falx, tentorium, and anterior and middle fossa floors. Etiology Tearing of bridging cortical veins Age of SDH  Hyperacute – upto 12 hours  Acute – 12-48 hours  Subacute – 3 days to 3 weeks  Chronic – 3 weeks to months Poor prognosis Surgery required if thickness>10mm, midline shift
  • 53.
    CT Findings  Hyperacute Heterogenous or hypodense  Acute  60% homogenously hyperdense  40% mixed hyper-, hypodense with active bleeding (Swirl sign)  Subacute  Iso to hypodense  GM-WM junction displaced medially  Progression from hyper to iso to hypodense over nearly 3 weeks.  Recurrent hemorrhage results in mixed density.  Chronic  Typically follows CSF density  Calcification can be seen along periphery of chronic collections, typically those present for many years ** If no new hemorrhage, density decreases by +- 1.5 HU
  • 54.
  • 55.
  • 56.
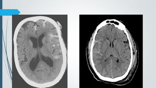
    Unilateral isodense SDH& Importance of window width  If isodense SDH suspected, use wide window.  If unilateral isodense, look for –  unexplained mass effect  Ventricular or pineal displacement  Absence of visible sulci on the affected side
  • 57.
    Bilateral isodense SDH Squeezing together of the frontal horns to give a “rabbit’s ears” appearance & effacement of the basal cisterns.  Appears as pseudosubarachnoid hemorrhage  Apparent increased attenuation (though HU remains 30-40), within the basal cisterns which simulates SAH.
  • 58.
    CT Comma Sign characteristic sign seen in head trauma.  It is the presence of concurrent epidural and subdural hematomas, which gives the characteristic appearance of this sign as a "comma" shape.
  • 59.
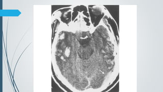
    Traumatic Subarachnoid Hemorrhage Circle of Willis floats in CSF in Subarachnoid space
  • 60.
    Traumatic SAH (tSAH) Blood contained between pia & arachnoid membranes  Epidemiology – 33% with moderate TBI, 60% with severe TBI.  Best diagnostic clue – High density on NECT  Location Focal –adjacent to contusion, EDH, SDH, fracture, laceration Sylvian fissure, inferior frontal subarachnoid spaces most common Diffuse – in subarachnoid space &/or basal cisterns  Pathology – bleeding from cortical arteries/veins.  Associated abnormalities  Contusions  EDH  SDH  Diffuse axonal injury
  • 61.
     Poor prognosis Amount of tSAH on initial CT correlates with delayed ischemia  Associated with moderate to severe TBI results in increased morbidity & mortality.  Complications  Acute hydrocephalus – obstruction of aqueduct or 4th ventricle by clotted SAH  Delayed hydrocephalus – defective CSF resorption  vasospasm
  • 62.
    Fisher scale  grade1  no subarachnoid (SAH) or intraventricular haemorrhage (IVH) detected  incidence of symptomatic vasospasm: 21% 3  grade 2  diffuse thin (<1 mm) SAH  no clots  incidence of symptomatic vasospasm: 25%  grade 3  localized clots and/or layers of blood >1 mm in thickness  no IVH  incidence of symptomatic vasospasm: 37%  grade 4  diffuse or no SAH  ICH or IVH present  incidence of symptomatic vasospasm: 31%
  • 65.
    Cerebral contusion  Brainsurface injuries involving gray and continuous subcortical white matter.  Epidemiology – 2nd most common primary traumatic neuronal injury.  Presentation  Varies with severity, from mild confusion to cerebral dysfunction , seizures.
  • 66.
    Location  Common  Anteriorinferior frontal lobes  Anterior inferior temporal lobes  Less common  Parietal/occipital lobes  Posterior fossa  Injury at contrecoup site is usually more severe
  • 67.
    Morphology Early Patchy ill-defined superficialfoci of punctate or linear hemorrhage along gyral crests. 24-48 hours Existing lesions enlarge & become more hemorrhagic, new lesions may appear. Chronic Encephalomalacia with volume loss Multiple, bilateral lesions in 90% of cases.
  • 68.
    CT findings  Early Patchy, ill-defined, low-density edema with small foci of hyperdense hemorrhage  24-48 hours  Edema, hemorrhage and mass effect often increase  New foci of edema and hemorrhage may occur.  Chronic  Become isodense (at 2 weeks ) then hypodense  Encephalomalacia with volume loss (at 1 month)  Repeat CT recommended if initial exam negative but symptoms persist for 24-48 hours.  Enhancement occurs at acute & subacute stage in areas of blood-brain-barrier breakdown
  • 69.
    Hemorrhagic contusions withsurrounding edema
  • 71.
    Subacute contusion withring enhancement  D/D of ring enhancing lesions  Common Some primary brain tumor (e.g. anaplastic astrocytoma) Metastatic brain tumor Abscess Granuloma Resolving hematoma Subacute infarct  Less common Thrombosed vascular malformation Demyelinating disease (e.g. multiple sclerosis)  Uncommon  Thrombosed aneurysm  CNS lymphoma in AIDS
  • 72.
  • 73.
  • 74.
    Diffuse Axonal Injury(DAI)  Traumatic axonal stretch injury.  Most common primary traumatic neuronal injury  Etiology  caused by rotational forces that produce shear strain, resulting in tissue damage. Shear strain is maximum at the junction of tissues with different densities, such as the gray–white junction  Best diagnostic clue  Microbleeds  Punctate lesions at corticomedullary junction, corpus callosum, deep gray matter, brainstem.  Location  GM-WM interface specially frontotemporal lobes.  Corpus callosum (3/4 splenium, posterior body)  Brainstem, specially dorsolateral midbrain & upper pons  Deep GM, internal/external capsule, tegmentum, fornix, corona radiata, cerebellar peduncles.
  • 75.
    Presentation  Transient LOC,retrograde amnesia  LOC at moment of impact  Immediate coma typical  Greater impairment than with cerebral contusions, intracerebral hematoma, extra axial hematomas  Symptoms are disproportionate to imaging findings.  Prognosis  Clinical abnormality may persist for months or longer – headache, memory and cognitive impairment, personality change.  Severe DAI rarely causes death – 90% may remain in persistent vegetative state  Brainstem damage associated with immediate or early death  Neurocognitive deficits may persist in 100% of severe, 67% of moderate and 10 % of mild TBI
  • 76.
    NECT  Not verysensitive  Often normal (50-80%)  >30% with negative CT have positive MR.  Nonhemorrhagic : small , hypodense foci  Hemorrhagic : small hyperdense foci (20-50%)  Size – punctate to 15 mm  They typically become more evident over the first few days as oedema develops around them. They may be associated with significant and disproportionate cerebral swelling.
  • 77.
    Diffuse axonal injury.CT scan demonstrates small hemorrhagic diffuse axonal injuries in the deep white matter and corpus callosum.
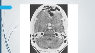
  • 78.
    Multiple hemorrhagic focipost MVA, involving the left thalamus and corpus callosum's splenium, compatible with DAI.
  • 79.
    Pneumocephalus Presence of airwithin skull Called pneumatocele if focal Location – Extracerebral : Epidural, subdural, subarachnoid Intracerebral : Brain parenchyma, cerebral ventricles Intravesicular : Arteries, veins, venous sinuses.
  • 80.
     Etiology inhead trauma Mechanism – dural tear allows abnormal communication & introduction of air Blunt trauma produces skull &/or paranasal sinus fractures Air cell involvement – Frontal> Ethmoid> Sphenoid > Mastoid. Knife and other penetrating instruments. When associated with a dural tear, they may be complicated by CSF leakage, empyema, meningitis, or brain abscess. Most posttraumatic CSF leaks cease spontaneously, and the responsible fractures may never be visualized  Epidemiology Present in 3% of all skull fractures 8% of paranasal sinus fractures
  • 81.
    NECT  Very lowdensity (-1000 HU)  Epidural Do not move with change of head position  Subdural Often forms air-fluid levels Moves with change of head position.  Subarachnoid Multifocal, non-confluent Droplet-shaped, often within sulci  Intraventricular Rarely in isolation  Intravascular Most often venous, arterial rare usually fatal.
  • 83.
    Tension Pneumocephalus  “MountFuji” sign  Subdural air separates/compresses frontal lobes  Causes widened interhemispheric space between frontal lobe tips, mimicking silhouette of Mount Fuji  +- mass effect ( on frontal horns)

Editor's Notes