Head & Neck
Paranasal Sinuses & Nose
Mohamed Zaitoun
Assistant Lecturer-Diagnostic Radiology
Department , Zagazig University Hospitals
Egypt
FINR (Fellowship of Interventional
Neuroradiology)-Switzerland
zaitoun82@gmail.com
Knowing as much as
possible about your enemy
precedes successful battle
and learning about the
disease process precedes
successful management
Paranasal Sinuses & Nose
a) Acute Sinusitis
b) Mucous Retention Cyst
c) Polyps
d) Destructive Sinusitis
e) Fungal Sinusitis
f) Mucocele
g) Inverted Papilloma
h) Benign Tumors
i) Malignant Tumors
j) Small or Absent Sinuses
h) Opaque Maxillary Antrum
k) Mass in the Maxillary Antrum
a) Acute Sinusitis :
1-Incidence
2-Types
3-Radiographic Features
1-Incidence :
-Frequency of involvement : maxillary >
ethmoidal , frontal > sphenoidal sinus
-Sinusitis is frequently associated with upper
respiratory tract infections due to
occlusion of draining ostia
2-Types :
a) Infectious sinusitis :
-Acute
-Subacute
-Chronic
b) Noninfectious (allergic)
c) Dental infection and sinusitis (20% maxillary
antrum)
3-Radiographic Features :
-Opacified sinus partial or complete
-Mucosal thickening
-Air fluid levels
-Chronic sinusitis : mucosal hyperplasia ,
pseudopolyps & hyperostosis of bone
-Complications :
1-Erosion through bone :
-Subperiosteal abscess
-Frontal sinus superficially (Pott puffy tumor), CT typically
demonstrates an opacified frontal sinus with stranding
and swelling of the overlying scalp, bone algorithm will
often demonstrate a defect in the anterior wall of the
sinus, contrast may demonstrate a focal abscess, and
may also allow intracranial complications to be
better delineated
-Frontal or ethmoidal sinuses into orbit
2-Dural venous sinus thrombosis
3-Intracranial extension :
-Meningitis
-Subdural empyema
-Cerebral abscess formation
-Focal cerebritis
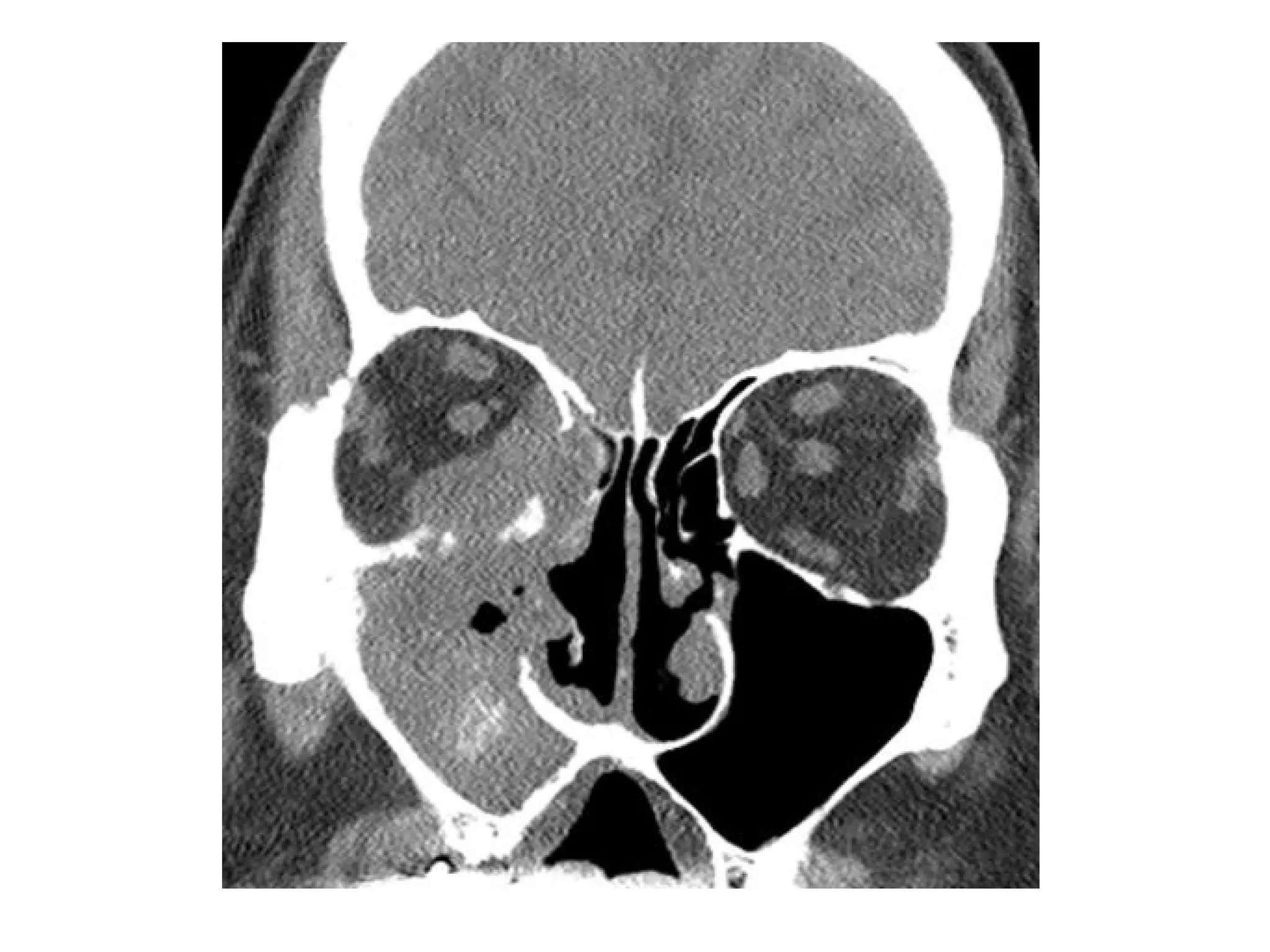
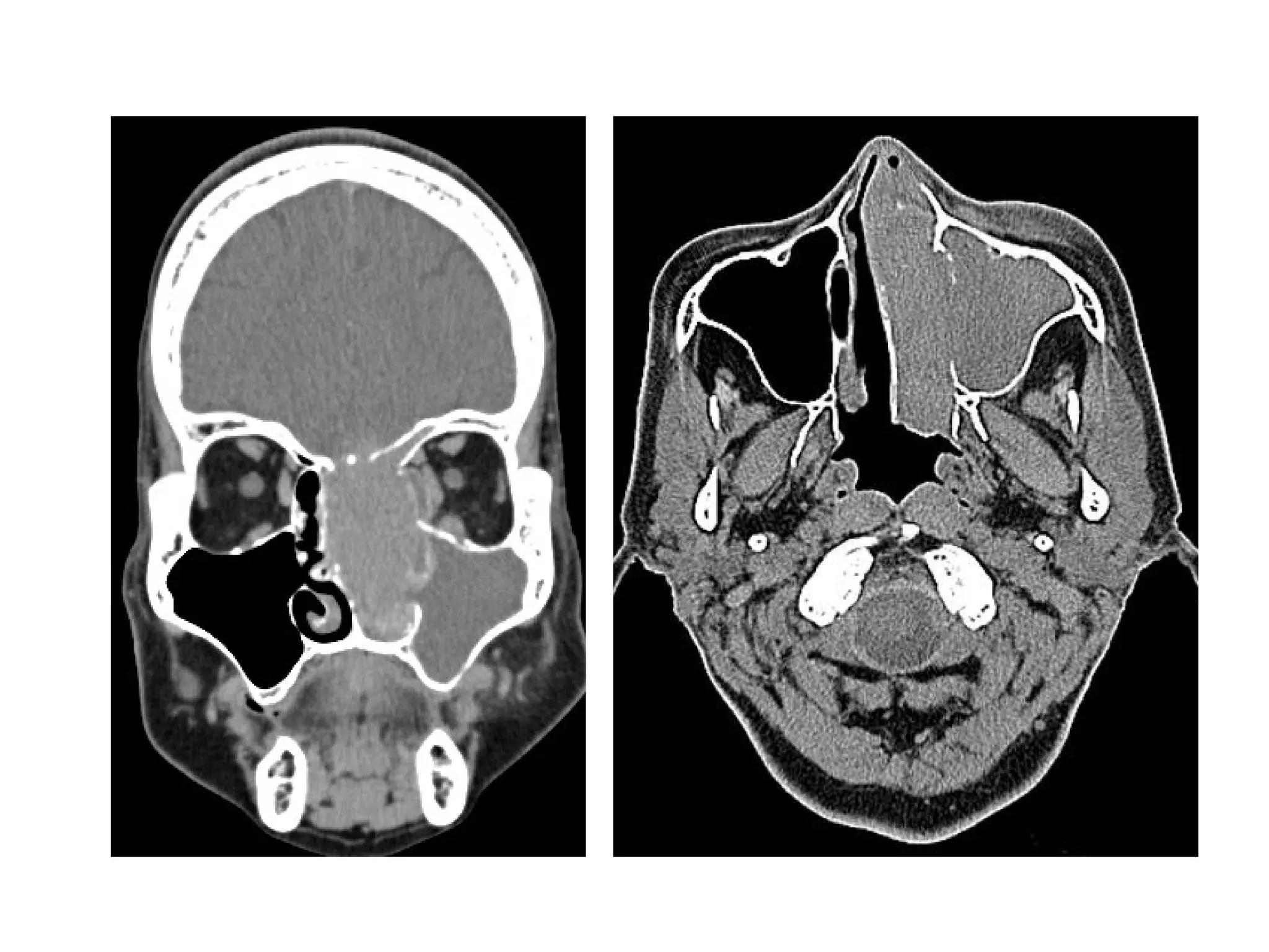
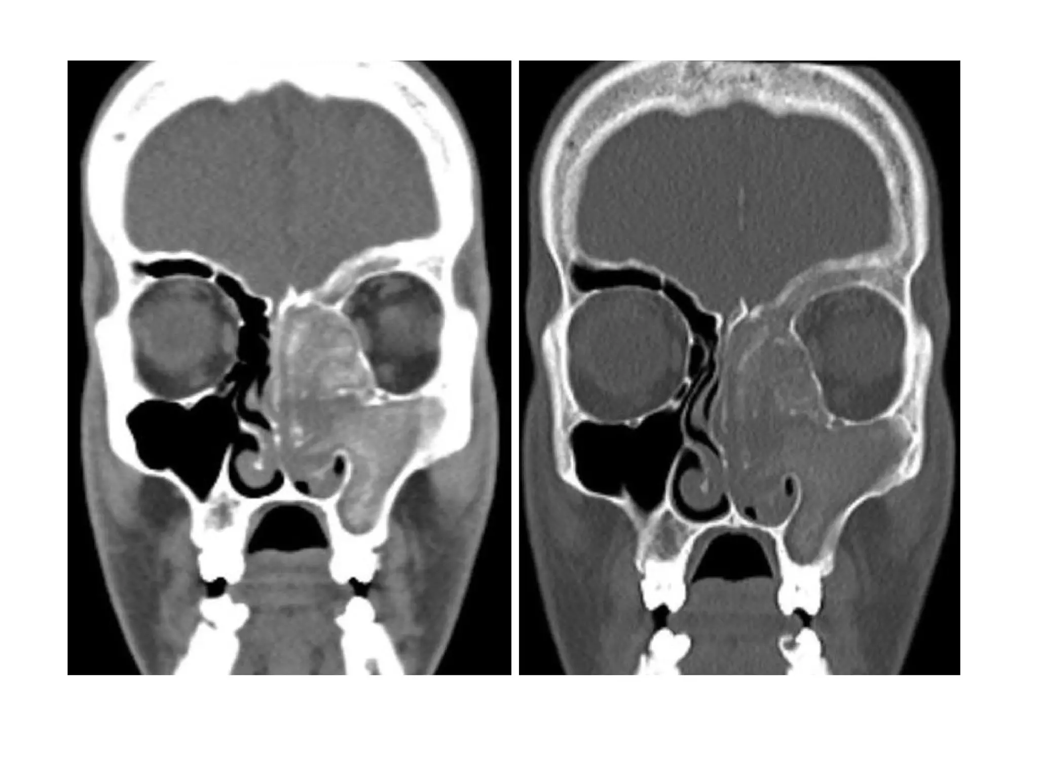
Sinusitis with orbital subperiosteal abscess
Sinusitis with orbital subperiosteal abscess
Pott puffy tumor: a) Axial and b) sagittal CT+C in a soft tissue window showing
opacification of the frontal sinus with heterogeneous material (*) and a subperiosteal
abscess (white arrow) due to frontal sinusitis, note the small subdural fluid collection
(black arrow) indicating subdural empyema, c) Sagittal T1+C in another patient
showing a large subperiosteal abscess (long arrow), and a large extra-axial empyema
(short arrow), d) Axial CT image in a bone window in the same patient showing
erosion of the tabula externa (arrow) adjacent to the soft tissue mass, indicative of
osteomyelitis of the frontal bone
Pott puffy tumor
Pott puffy tumor, abnormal tissue in the frontal sinus (yellow arrow),
subperiosteal abscess (red arrow) and the fluid-fluid level (green arrow) in
the large intracranial lesion which has ring enhancement, all abnormalities
are continuous meaning there is frontal bony destruction, the restricted
diffusion also supports the diagnosis of brain abscess
Preseptal abscess, CT+C in soft tissue window showing a
heterogeneous collection in the right eyelid with rim-enhancement
(*) indicative of preseptal abscess; note the adjacent opacification of
the ethmoid sinus (E) indicative of ethmoiditis
Orbital cellulitis, CT+C in a soft tissue window showing opacification of the left
ethmoid sinuses (E), infiltration and thickening of the eyelid (short white
arrow) indicative of preseptal cellulitis, and infiltration of the
postseptal/orbital fat (long white arrow) adjacent to the lamina papyracea
(black arrow) indicative of orbital cellulitis and possibly early subperiosteal
abscess
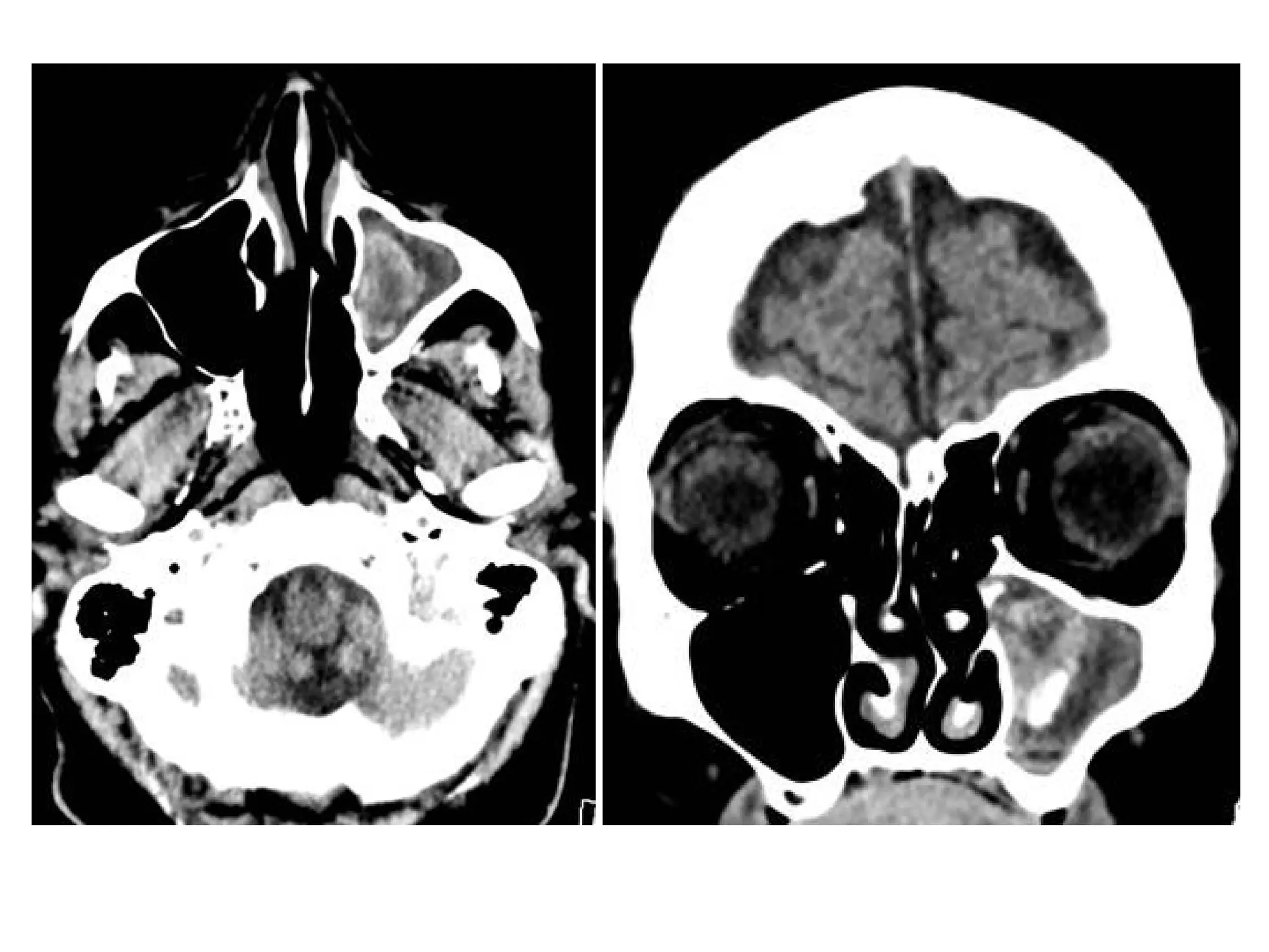
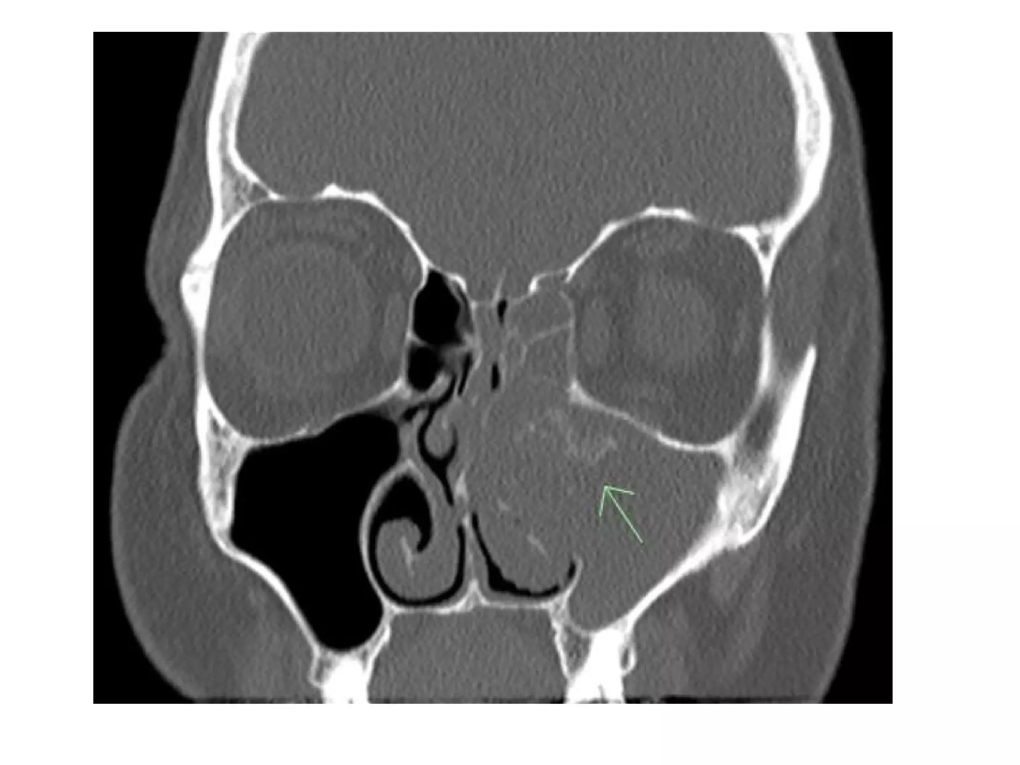
Subperiosteal abscess, (a) axial CT+C in a soft tissue window showing
opacified ethmoid sinuses; preseptal cellulitis (*); and a small crescent
shaped soft tissue mass (arrow) adjacent to the lamina papyracea, (b)
Coronal CT+C in another patient with opacification of the right ethmoid sinus
(E) and a crescent shaped fluid collection adjacent to the medio-superior
orbital wall
Orbital abscess, (a) Axial CT+C in a soft tissue window showing severe right
sided proptosis with the entire right eyeball lying anterior to the
interzygomatic line (dotted line), (b) Coronal image in the same patient
showing a large intraorbital fluid collection with a thick enhancing rim (*) and
sharp angles in relation to the orbital wall (long arrow), the floor of the frontal
sinus shows a bony dehiscence (short arrow)
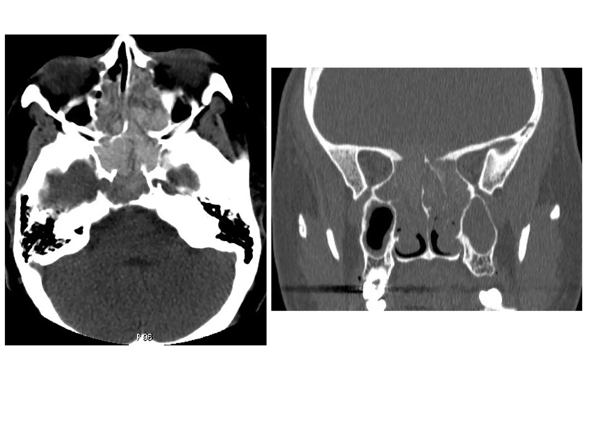
Cavernous sinus thrombosis, normal patient (a) Axial CT+C in a soft tissue window at the
level of the skull base showing normal enhancement of the cavernous sinus (arrows),
(b) CT+C in a different patient showing filling defects in the cavernous sinus with
slight enlargement on the left side (arrow), indicative of thrombosis, axial images at
different levels in the same patient showing (c) opacification of the sphenoid (arrow)
and ethmoid sinuses in bone window and d) an extradural fluid collection with
meningeal enhancement suspicious for empyema in soft tissue window
Cavernous sinus thrombosis, (a) Axial T1+C showing filling defects bilaterally in
the cavernous sinus (arrows) and fluid in the sphenoid sinus, (b) Axial T1+C
in the same patient showing a filling defect in the right ophthalmic vein
(arrow), the findings are indicative of cavernous sinus thrombosis and
thrombophlebitis in the ophthalmic vein caused by sphenoiditis
Dural arteriovenous fistula, T1+C (A) shows multiple tortuous flow
voids (arrow) adjacent to the right sigmoid sinus, selective right ECA
(B) and ICA (lateral view) (C) angiograms shows a DAVF type 1 with
feeders (arrow) from the posterior meningeal branch of the middle
meningeal artery and dural branches (arrow) from the cavernous
ICA draining antegradely through the sigmoid sinus
Leptomeningitis: coronal T1+C of a patient that developed subdural
empyema due to frontal sinusitis (not shown), the image shows
increased enhancement of the leptomeninges of the frontal lobes
(arrow), indicating leptomeningitis
Epidural and subdural empyema, (a) CT+C in soft tissue window in a patient with frontal
sinusitis (not shown) showing an extra-axial fluid collection passing the midline (short
arrow) anterior to the falx cerebri, the adjacent meninges are thickened and show
strong enhancement (long arrow), these findings are indicative of an epidural
empyema, (b) An extra-axial fluid collection in another patient with frontal sinusitis
(not shown) running along the falx cerebri instead of passing it anteriorly (short
arrow), again, the meninges are thickened and show increased enhancement (long
arrow), these findings indicate subdural empyema
Subdural empyema
Cerebral abscess, patient who had recently been treated for sinusitis
and now presented with a seizure, the CT shows an abnormality in
the left temporal lobe with shaggy thick rim enhancement, and a
large amount of vasogenic edema
Brain abscess, (a) CT+C showing an intra-axial fluid collection in the frontal lobe with rim
enhancement (short arrow) and surrounding edema, in addition, a subdural collection with
thickening and enhancement of the meninges is present (long arrow), (b) Axial T1+C, (c) DWI
and (d) ADC map in the same patient showing a fluid collection in the frontal sinus with mucosal
enhancement and restricted diffusion (long white arrow), a subdural fluid collection with
thickened, enhancing meninges, and restricted diffusion (black arrow), and a fluid collection with
rim enhancement in the left frontal lobe with restricted diffusion (short white arrow) and
surrounding edema, the findings are indicative of frontal sinusitis with pus formation, subdural
empyema and brain abscess
Focal cerebritis, (a) Axial CT in bone window showing an opacified right frontal sinus with
a bony defect in the posterior sinus wall (arrow), (b) CT+C in a soft tissue window in
the same patient showing a focal area of hypodensity in the right frontal lobe (short
arrow) with faint enhancement in the centre, in addition, a subdural fluid collection
can be seen (long arrow), (c) Axial FLAIR of the same patient showing an area of
hyperintensity in the left frontal lobe (short arrow), these findings indicate frontal
sinusitis with bony erosion causing subdural empyema and focal cerebritis
b) Mucous Retention Cyst :
1-Incidence
2-Radiographic Features
1-Incidence :
-10% of population
-Cysts occur from blockage of duct draining
glands
-Most commonly in maxillary sinus (floor)
2-Radiographic Features :
-On radiographs, they are radiopaque, dome-
shaped structures with a rounded edge, located
on the floor of the maxillary sinus
-Cysts adhere to sinus cavity wall without causing
bony expansion (in contradistinction to
mucocele)
-Rounded soft tissue mass on MRI
-MRI signal intensity depends on protein content :
Low T1 , high T2 : serous content
High T1 , high T2 : high protein content
Dark T1 and T2 : viscous content
T1 T2 T1+C
c) Polyps :
1-Incidence
2-Radiographic Features
3-Sinonasal Polyposis
4-Antrochoanal Polyp
1-Incidence :
-Most common tumors of sinonasal cavity
-Diseases associated with sinonasal polyps
include :
1-Polypoid rhinosinusitis (allergy)
2-Infection
3-Endocrine disorders
4-Rhinitis medica (aspirin)
2-Radiographic Features :
-Location : ethmoidal sinus > nose
-Soft tissue polyps are typically round
-Bony expansion and remodeling
-Very hyperintense on T2
-Mucoceles may form as a result of blocked
draining ostia
3-Sinonasal Polyposis :
-Refers to the presence of multiple benign polyps
in the nasal cavity and paranasal sinuses
-Extensive mucosal polyps occupying and
obliterating the nasal cavity and the paranasal
sinuses
-Associated local benign bone remodelling or
erosion (as opposed to a mucocoele where the
entire sinus is expanded)
4-Antrochoanal Polyp :
-A solitary polyp that arises within the maxillary
sinus but passes through and enlarges the sinus
ostium or more commonly an accessory ostium
-The nasal cavity is therefore extended posteriorly
into the nasopharynx through the posterior
chonca
-Represent only approximately 3-6% of sinonasal
polyps
-CT :
1-Defined mass with mucin density is seen arising
within the maxillary sinus
2-Widening of maxillary ostium and extending in to
nasopharynx
3-No associated bony destruction but rather
smooth enlargement of sinus
-MRI :
*T1 : intermediate to low signal
*T2 : high homogeneous T2 signal
*T1+C : peripheral enhancement
Antrochoanal polyp, axial (A) and coronal (B) CT show complete
opacification of the right maxillary sinus with extension into the right
middle meatus and inferior aspect of the right nasal cavity, there is
thickening of the sinus walls but no sinus expansion
d) Destructive Sinusitis :
-Causes :
1-Mucormycosis
2-Aspergillosis
3-Wegener's granulomatosis
4-Neoplasm
e) Fungal Sinusitis :
1-Etiology
2-Classification
3-Radiographic Features
1-Etiology :
a) Diabetes
b) Prolonged antibiotic or steroid therapy
c) Immunocompromised patient
2-Classification :
-Broadly categorized as either invasive or
noninvasive
-Invasive fungal sinusitis is defined by the
presence of fungal hyphae within the mucosa,
submucosa, bone, or blood vessels of the
paranasal sinuses
-Invasive fungal sinusitis is subdivided into acute
invasive fungal sinusitis, chronic invasive fungal
sinusitis, and chronic granulomatous invasive
fungal sinusitis
-Noninvasive fungal sinusitis is defined by the
absence of hyphae within the mucosal and other
tissues of the paranasal sinuses
-Noninvasive fungal sinusitis is subdivided into
allergic fungal sinusitis and fungus ball (fungal
mycetoma)
a) Acute Invasive Fungal Sinusitis
b) Chronic Invasive Fungal Sinusitis
c) Chronic Granulomatous Invasive Fungal
Sinusitis
d) Allergic Fungal Sinusitis
e) Fungus Ball
a) Acute Invasive Fungal Sinusitis :
-Acute invasive fungal sinusitis is a rapidly progressing
infection seen predominantly in immunocompromised
patients and patients with poorly controlled diabetes and
rarely in healthy individuals, it is the most lethal form of
fungal sinusitis, with a reported mortality of 50%-80%
-Noncontrast CT demonstrates hypoattenuating mucosal
thickening or an area of soft-tissue attenuation within the
lumen of the involved paranasal sinus and nasal cavity
-There is a predilection for unilateral involvement of the
ethmoid and sphenoid sinuses
-Aggressive bone destruction of the sinus walls occurs
rapidly with intracranial and intraorbital extension of the
inflammation
Acute invasive zygomycosis in a 42-year-old man, CT+C shows right
ethmoid and sphenoid sinusitis with destruction of the lateral wall of
the right sphenoid sinus (arrow), there is invasion of the right
cavernous sinus with occlusion of the right ICA
Acute invasive fungal sinusitis in a 39-year-old woman with diabetic ketoacidosis and
acute left eye pain, (a) Axial unenhanced CT scan shows sinus disease in the
ethmoid, maxillary, and sphenoid sinuses. Note the left-sided facial swelling, (b) Axial
CT+C shows lack of enhancement in the left cavernous sinus (arrows) secondary to
thrombosis from invasive fungal sinusitis, (c) Axial CT scan obtained craniad
to b shows proptosis and periorbital inflammatory soft-tissue thickening on the left
side (arrow)
Acute invasive aspergillosis in a 37-year-old man with acquired
immunodeficiency syndrome who presented with proptosis of the left eye,
axial unenhanced CT scans (a obtained craniad to b) show soft-tissue
thickening in the left posterior ethmoid air cells, which is destroying the
medial wall of the orbit and extending into the retro-orbital soft tissues
(arrow)
Acute invasive zygomycosis in a 59-year-old man, (a) Axial unenhanced CT scan shows
increased attenuation in the right anterior and posterior ethmoid air cells and right
sphenoid sinus with soft-tissue thickening in the orbital apex (arrow), (b) Coronal
unenhanced CT scan shows destruction of the medial wall and floor of the right orbit
and disease extension into the orbit (arrows), (c) Axial unenhanced CT scan obtained
caudad to a shows destruction of the posterior wall of the right maxillary sinus and
obliteration of the periantral fat plane immediately posterior to the sinus (arrows)
Acute invasive fungal sinusitis due to zygomycosis in a 57-year-old diabetic man, (a) axial
CT+C shows increased attenuation in the left anterior and posterior ethmoid air cells
with destruction of the medial wall of the left orbit (arrow). (b) Coronal CT+C shows a
subperiosteal abscess occupying the inferomedial aspect of the left orbit and
displacing the medial and inferior rectus muscles laterally (arrows), note also the
destruction of the orbital floor (arrowhead) and the increased attenuation in the
adjacent left maxillary sinus
b) Chronic Invasive Fungal Sinusitis :
-Inhaled fungal organisms are deposited in the nasal passageways and
paranasal sinuses, insidious progression occurs over several
months to years in which fungal organisms invade the mucosa,
submucosa, blood vessels, and bony walls of the paranasal sinuses
-This results in significant morbidity and may even be fatal
-A hyperattenuating soft-tissue collection is seen at noncontrast CT
within one or more of the paranasal sinuses, it may be masslike and
mimic a malignancy with destruction of the sinus walls and
extension beyond the sinus confines
-There is decreased signal intensity on T1 and markedly decreased
signal intensity on T2, mottled lucencies or irregular bone
destruction may be seen in the paranasal sinuses
-There may also be sclerotic changes in the bony walls of the affected
sinuses representing chronic sinus disease, Infiltration of the
periantral soft tissues about the maxillary sinus is an indicator of
invasive disease
-Differentiation between chronic invasive fungal sinusitis and malignant
neoplasm may not be possible based on imaging findings
Chronic invasive fungal sinusitis due to zygomycosis in a 44-year-old man,
axial (a, b) and coronal (c, d) unenhanced CT scans show bilateral mucosal
thickening in the maxillary sinuses, bone invasion is noted in the form of
mottled areas of low attenuation in the zygomatic process of the right
maxillary bone; this finding is best visualized on the images obtained with
bone windows (arrows in b and d), there is also invasion into the soft tissues
of the right cheek (arrowheads in a and c)
Chronic invasive fungal sinusitis due to zygomycosis in a 47-year-old woman, axial
unenhanced CT scans (a obtained caudad to b) show increased attenuation in the left
maxillary sinus, note the absence of the normal fat planes along the posterior wall of
the left maxillary sinus, there is extension of infection beyond the walls of the
maxillary sinus into the anterior and posterior periantral soft tissues (arrows),
corresponding images obtained with bone windows showed osseous sclerotic
changes in the left maxillary sinus, findings consistent with chronic sinus inflammatory
changes
c) Chronic Granulomatous Invasive Fungal
Sinusitis :
-Also known as primary paranasal granuloma and
indolent fungal sinusitis, chronic granulomatous
invasive fungal sinusitis is primarily found in
Africa (Sudan) and Southeast Asia, with a few
cases reported in the United States
-Cross-sectional imaging findings are expected to
be similar to those of chronic invasive fungal
sinusitis
d) Allergic Fungal Sinusitis :
-The most common form of fungal sinusitis
-There is usually involvement of multiple sinuses if
not pansinusitis and rhinitis, disease tends to be
bilateral, and there is a frequent nasal
component, the majority of the sinuses show
near-complete opacification and are expanded
-Noncontrast CT demonstrates hyperattenuating
allergic mucin within the lumen of the paranasal
sinus
Allergic fungal sinusitis due to Bipolaris in a 22-year-old man with a long history
of nasal obstruction, axial unenhanced CT scans show expansion of and
increased attenuation in the anterior ethmoid, posterior ethmoid, sphenoid,
and frontal sinuses bilaterally, there is characteristic hyperattenuating
material within these sinuses (black arrows), note also the smooth thinning
of the posterior wall of the left frontal sinus (white arrows in b)
Allergic fungal sinusitis due to Bipolaris in a 26-year-old man, (a, b) Coronal CT scans
(a obtained posterior to b) show characteristic expansile, hyperattenuating material in
the sphenoid, ethmoid, and right maxillary sinuses (arrows), extension into the nasal
cavity (*) from the bilateral ethmoid sinuses and right maxillary sinus is noted, (c,
d) Corresponding images obtained with bone windows show smooth erosion of the
roofs of the posterior ethmoid sinuses (arrowheads in c) with intracranial extension,
which is possibly limited by the dura, there is also smooth erosion of the medial wall
of the right orbit (arrows in d) with intraorbital extension, which is possibly limited by
the periosteum
e) Fungus Ball :
-Also known as mycetoma, fungus ball is a
relatively uncommon manifestation of fungal
sinusitis
-Fungus ball appears as a mass within the lumen
of a paranasal sinus and is usually limited to one
sinus
-The maxillary sinus is the most commonly
involved sinus
-A fungus ball typically appears hyperattenuating
at noncontrast CT due to dense matted fungal
hyphae and may demonstrate punctate
calcifications
Mucor fungus ball in a 49-year-old woman with chronic sinus pressure
and halitosis, unenhanced CT scan shows isoattenuating to
hyperattenuating material filling the right maxillary sinus with central
calcific areas of increased attenuation (long arrow), note the
circumferential thickening of the osseous walls of the sinus (short
arrows), a finding consistent with a chronic inflammatory process
Aspergillus fungus ball in a 60-year-old woman with mixed connective tissue
disorder and a history of cryoglobulinemia and Sjögren syndrome, axial
unenhanced CT scan shows the typical hyperattenuating fungus ball with
calcific foci in the left maxillary sinus (long arrow), note the sclerotic
thickening of the osseous walls of the sinus (short arrows) from chronic
sinus inflammation
3-Radiographic Features :
-Bony destruction and rapid extension into
adjacent anatomic spaces
-Indistinguishable from tumor, biopsy
required
-Aspergillosis may appear hyperdense on
CT and hypointense on T1
-If sphenoidal sinus alone is involved,
consider aspergillosis
f) Mucocele :
1-Incidence
2-Location
3-Radiographic Features
1-Incidence :
-True cystic lesion lined by sinus mucosa
-Mucoceles occur as a result of complete
obstruction of sinus ostium (inflammation ,
trauma & tumor)
-The bony walls of the sinus are remodeled
as the pressure of secretions increases
-In pediatric patients , consider cystic
fibrosis
2-Location :
-frontal 65% > ethmoidal 25% > maxillary
>10%
-Sphenoidal (rare)
-Patients with polyposis may have multiple
mucoceles
3-Radiographic Features :
-Rounded soft tissue density
-Typically isodense on CT
-MR signal intensity :
Low T1 , high T2 : serous content
High T1 , high T2 : high protein content
Dark T1 and T2 : viscous content
-Distortion and expansion of bony sinus walls
-Nonenhancement unless infected (mucopyocele) ,
rim enhancement
-Complication : breakthrough into orbit or anterior
cranial fossa
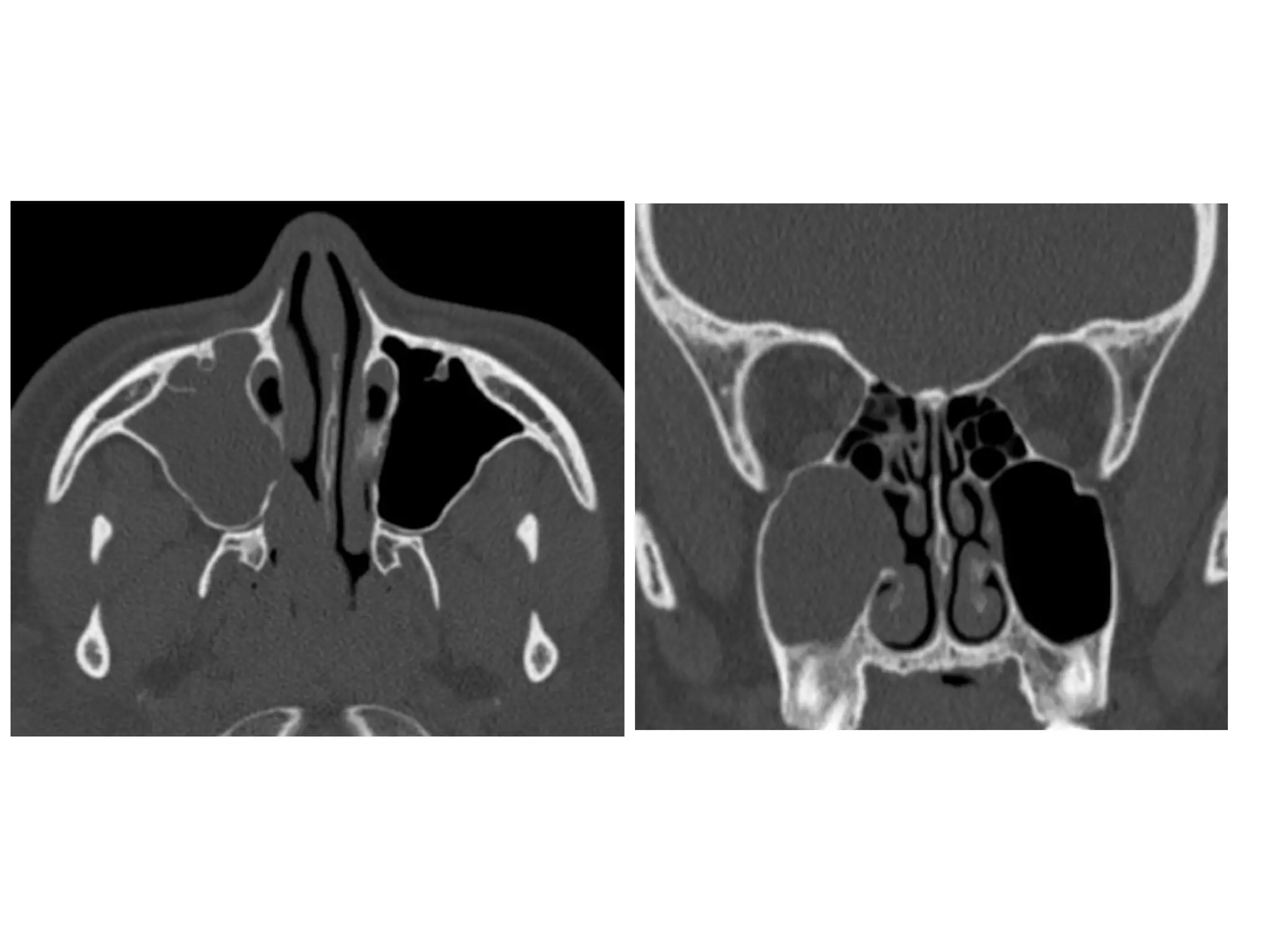
Mucocele of the frontal sinus
Ethmoid mucocele
Right ethmoid mucocele, coronal soft tissue (A) and axial bone
algorithm (B) CT images show a completely opacified, mucus-filled
and expanded right ethmoid sinus, focal dehiscence or erosion of
the right lamina papyracea (arrow, B) is seen
Mucocele of the sphenoid and ethmoid sinuses
Axial unenhanced CT image shows opacification of the left sphenoid
sinus due to a mass (arrow) causing slight expansion of the sinus,
some parts of the sinus wall are thin and some are thick
T1 T2 T1+C
g) Inverted Papilloma :
1-Incidence
2-Radiographic Features
3-Differetial Diagnosis
1-Incidence :
-Unilateral polypoid lesion of the nasal cavity
and paranasal sinuses
-Associated with HPV and malignancy
-Commonly occur on the lateral wall of the
nasal cavity, most frequently related to
middle turbinate and maxillary ostium
2-Radiographic Features :
a) CT :
-Non-specific, demonstrating a soft tissue
density mass with some enhancement
-The location of the mass is one of the few
clues toward the correct diagnosis
-Calcification is sometimes observed which
is helpful, as is focal hyperostosis which
tends to occur at the site of tumor origin
CT images of a patient with inverted papilloma, A and B, Axial and coronal CT
images show focal plaquelike hyperostosis in part of right ethmoid sinuses
(arrows), C, Although tumor extends to the right maxillary sinus and nasal
cavity, no additional foci of hyperostosis are seen, intraoperative endoscopic
examination confirmed the limitation of tumor origin to the ethmoid sinuses
Coronal CT image in a patient with inverted papilloma shows localized
cone-shaped hyperostosis of the superior wall of the posterior
ethmoid sinus (white arrow), intraoperative endoscopic examination
confirmed that the origin of tumor was located at the superior wall of
the right posterior ethmoid sinus
Inverted papilloma, (a) Axial and (b) coronal CT show total opacification of the
left maxillary sinus with medial bulging of the medial sinus wall into the nasal
cavity, this was an inverted papilloma with the origin in the left maxillary
sinus, a characteristic feature of many inverted papillomas is focal
hyperkeratosis (arrows) at the origin of the tumor
b) MRI :
*T1 : isointense to muscle
*T2 : hyperintense to muscle , alternating
hypointense lines
*T1+C : heterogenous enhancement ,
alternating hypointense lines
CT and MR images of patients with inverted papilloma of the maxillary sinus, A, Axial CT
image of a patient with inverted papilloma shows cone-shaped focal hyperostosis
involving the posterior wall of the left maxillary sinus (arrows), B, Sagittal T2 of the
patient clearly shows the centrifugal pattern of tumor growth with a hyperostotic focus
(white arrow) at the posterior wall of the left maxillary sinus, which was confirmed to
be a tumor origin by surgery, C, Axial CT image of another patient shows cone-
shaped hyperostosis (arrow) involving the anterior wall of the left maxillary sinus,
which was proved to be the origin of inverted papilloma by intraoperative endoscopy
3-Differetial Diagnosis :
1-Sinonasal carcinoma :
-Unfortunately imaging is unable to confidently distinguish
between inverted papilloma , inverted papilloma with
malignancy and pure malignancy
2-Antrochoanal polyp :
-Only peripheral enhancement (if any)
3-Inflammatory polyp :
-Only peripheral enhancement (if any)
4-Juvenile nasopharyngeal angiofibroma (JNA)
5-Olfactory neuroblastoma
6-Paranasal sinus mucocoele
h) Benign Tumors :
1-Osteoma (most common paranasal sinus
tumor)
2-Papilloma
3-Fibroosseous lesions
4-Neurogenic tumors
5-Giant cell granuloma
Osteoma, (a) Axial and (b) coronal CT shows a high density, sclerotic
osteoma localized in the left frontal recess (arrows), with time, the
osteoma may grow and obstruct mucociliary clearance from the left
frontal sinus
Osteoma, (a,b) Axial & coronal CT shows a large osteoma with ground-
glass appearance (arrows) occupying the left posterior ethmoid
sinus. The osteoma bulges into the orbit and displaces the sphenoid
sinus posteriorly, (c) axial T2 demonstrates the signal void of the
osteoma
Frontal sinus osteoma
i) Malignant Tumors :
1-Types
2-Tumor Spread
1-Types :
a) SCC , 90 % :
-Maxillary sinus , 80 %
-Ethmoidal sinus , 15%
b) Less common tumors , 10% :
-Adenoid cystic carcinoma
-Esthesioneuroblastoma (arises from olfactory epithelial
cells, commonly extends through cribriform plate)
-Lymphoepithelioma
-Mucoepidermoid carcinoma
-Mesenchymal tumors : fibrosarcoma , rhabdomyosarcoma
, osteosarcoma & chondrosarcoma
-Metastases from lung , kidney & breast
2-Tumor Spread :
a) Direct Invasion :
-Maxillary sinus :
Posterior extension : infratemporal fossa , pterygopalatine
fossa
Superior extension : orbit
-Ethmoidal or frontal sinus : frontal lobe
b) Lymph node metastases :
-Submandibular , lateral pharyngeal & jugulodigastric
nodes
c) Perineural spread :
-Pterygopalatine fossa
-Connection to middle cranial fossa via foramen rotundum
Maxillary sinus squamous cell carcinoma, (a) Axial CT shows erosion of the
lateral nasal wall and lacrimal duct (arrow) and growth into the middle
meatus (asterisk) consistent with a T2 cancer, (b) Coronal CT in another
patient with a carcinoma mimicking a nasal polyp, however, the lateral nasal
wall is eroded (arrow)
Maxillary sinus squamous cell carcinoma, (a) Coronal CT and (b) coronal T1+C
with fat saturation, CT is highly suspicious of tumor growth into the anterior
orbit (arrow), however, the T1+C with fat saturation confirms that the periost
acts as a strong barrier against tumor growth into the orbit (arrowheads)
Maxillary sinus squamous cell carcinoma, (a) Axial CT and (b) T2 demonstrate
a tumor (black arrowheads) extending to the skin of the cheek (white
arrowhead), the bony erosion of the lateral maxillary sinus wall and the
pterygoid plates (arrows) are better visualized using CT; the extension of the
tumor and distinction from obstructed fluid-filled sinuses and surrounding
edematous soft tissue are best evaluated using MR imaging
Ethmoid sinus adenocarcinoma, (a) Coronal CT shows opacification of the left
nasal cavity, anterior ethmoid sinus and frontal recess, the clue to a
malignant process is the erosion of the lateral lamella (arrow), (b) CT+C
coronal CT shows an intracranial component (arrowheads) verified at (c)
coronal CT+C, there is no meningeal enhancement due to the dural barrier
Chondrosarcoma, (a) Axial CT of a well-delineated tumor of the maxillary and
ethmoid sinuses, and nasal cavity (arrowheads), (b) Axial T2 shows high
signal of the chondroid matrix with sparse, low signal areas of septa and
calcifications, (c) T1+C shows contrast uptake in the septa and low signal in
the surrounding chondroid matrix
B-cell lymphoma, (a) Axial and (b) coronal CT demonstrate advanced opacification of
both maxillary sinuses (white arrowheads), At MR imaging, (c) axial T2 and (d)
coronal T1+C demonstrate a large, bulky tumor on both sides of the maxillary sinus
walls. MR imaging shows that the medial part of the right maxillary sinus contains
mucus (black arrowheads) and that the epicentre of the tumor masses (asterisk) is
close to the lateral sinus wall, which is a common finding in sinonasal B-cell
lymphomas
Adenoid cystic carcinoma, coronal CT mimics the features of a simple
polyp filling the left nasal cavity (arrowheads) and slightly
remodelling the bones
Olfactory neuroblastoma, (a) Axial CT shows an expansile soft tissue mass remodelling
the ethmoid bones (arrows), at MR imaging, (b) axial T2 shows a well-delineated
tumor with homogeneous low signal (arrows) with surrounding high signal sinonasal
fluid, (c) Axial T1 and (d) sagittal T1+C delineate the tumor (arrows) from the adjacent
dark signal fluid-filled sphenoid sinus (asterisk). The sagittal image demonstrates the
close relationship between the tumor and the ethmoid roof, (e) Axial DWI and (f) ADC
map shows the characteristic low diffusion signal intensities (arrows) of a malignant
tumor
Sinonasal undifferentiated carcinoma, (a) Coronal CT, (b) coronal T1+C with fat
saturation and (c) coronal flair sequence demonstrating a highly aggressive tumor
(arrows) with destruction of the lamina papyracea (black arrowheads) and the
ethmoid roof (white arrowheads), the tumor enhances strongly after intravenous
contrast medium and the fluid attenuated inversion recovery sequence demonstrates
brain edema (arrowheads), immunohistologic examination concluded with SNUC
j) Small or Absent Sinuses :
a) Congenital :
1-Normal variant (5 % of population)
2-Congenital Hypothyroidism
3-Down’s syndrome (frontal sinuses absent
in 90 %)
4-Kartagner’s syndrome
b) Acquired :
-Secondary to overgrowth of bony wall :
1-Paget’s disease
2-Fibrous dysplasia
3-Hemolytic anaemia
4-Postoperative
h) Opaque Maxillary Antrum :
a) Traumatic :
1-Fracture
2-Overlying soft tissue swelling
3-Postoperative
4-Epistaxis
5-Barotrauma
b) Inflammatory :
1-Sinusitis
2-Allergy
3-Mucocele
c) Neoplastic :
1-Carcinoma (usually associated with bone
destruction & soft tissue mass)
2-Lymphoma
d) Others :
1-FD
2-Cysts (dentigerous or mucous retention cyst)
3-Wegner’s granulomatosis
4-Anatomical
5-Radiographic (overtilted view)
k) Mass in the Maxillary Antrum :
1-Cyst :
-Mucous retention cyst
-Dentigerous cyst
2-Trauma (herniation of orbital muscle through fracture)
3-Neoplastic :
-Polyps
-Carcinoma
4-Wegner’s granulomatosis :
-Usually present in 40-50 years old
-Mucosal thickening progresses to formation of soft tissue
mass with extensive bony destruction
Diagnostic Imaging of Paranasal sinuses and Nose

Diagnostic Imaging of Paranasal sinuses and Nose

  • 1.
    Head & Neck ParanasalSinuses & Nose
  • 2.
    Mohamed Zaitoun Assistant Lecturer-DiagnosticRadiology Department , Zagazig University Hospitals Egypt FINR (Fellowship of Interventional Neuroradiology)-Switzerland zaitoun82@gmail.com
  • 5.
    Knowing as muchas possible about your enemy precedes successful battle and learning about the disease process precedes successful management
  • 6.
    Paranasal Sinuses &Nose a) Acute Sinusitis b) Mucous Retention Cyst c) Polyps d) Destructive Sinusitis e) Fungal Sinusitis f) Mucocele g) Inverted Papilloma h) Benign Tumors i) Malignant Tumors j) Small or Absent Sinuses h) Opaque Maxillary Antrum k) Mass in the Maxillary Antrum
  • 7.
    a) Acute Sinusitis: 1-Incidence 2-Types 3-Radiographic Features
  • 8.
    1-Incidence : -Frequency ofinvolvement : maxillary > ethmoidal , frontal > sphenoidal sinus -Sinusitis is frequently associated with upper respiratory tract infections due to occlusion of draining ostia
  • 9.
    2-Types : a) Infectioussinusitis : -Acute -Subacute -Chronic b) Noninfectious (allergic) c) Dental infection and sinusitis (20% maxillary antrum)
  • 10.
    3-Radiographic Features : -Opacifiedsinus partial or complete -Mucosal thickening -Air fluid levels -Chronic sinusitis : mucosal hyperplasia , pseudopolyps & hyperostosis of bone
  • 14.
    -Complications : 1-Erosion throughbone : -Subperiosteal abscess -Frontal sinus superficially (Pott puffy tumor), CT typically demonstrates an opacified frontal sinus with stranding and swelling of the overlying scalp, bone algorithm will often demonstrate a defect in the anterior wall of the sinus, contrast may demonstrate a focal abscess, and may also allow intracranial complications to be better delineated -Frontal or ethmoidal sinuses into orbit 2-Dural venous sinus thrombosis 3-Intracranial extension : -Meningitis -Subdural empyema -Cerebral abscess formation -Focal cerebritis
  • 15.
    Sinusitis with orbitalsubperiosteal abscess
  • 16.
    Sinusitis with orbitalsubperiosteal abscess
  • 17.
    Pott puffy tumor:a) Axial and b) sagittal CT+C in a soft tissue window showing opacification of the frontal sinus with heterogeneous material (*) and a subperiosteal abscess (white arrow) due to frontal sinusitis, note the small subdural fluid collection (black arrow) indicating subdural empyema, c) Sagittal T1+C in another patient showing a large subperiosteal abscess (long arrow), and a large extra-axial empyema (short arrow), d) Axial CT image in a bone window in the same patient showing erosion of the tabula externa (arrow) adjacent to the soft tissue mass, indicative of osteomyelitis of the frontal bone
  • 18.
  • 19.
    Pott puffy tumor,abnormal tissue in the frontal sinus (yellow arrow), subperiosteal abscess (red arrow) and the fluid-fluid level (green arrow) in the large intracranial lesion which has ring enhancement, all abnormalities are continuous meaning there is frontal bony destruction, the restricted diffusion also supports the diagnosis of brain abscess
  • 20.
    Preseptal abscess, CT+Cin soft tissue window showing a heterogeneous collection in the right eyelid with rim-enhancement (*) indicative of preseptal abscess; note the adjacent opacification of the ethmoid sinus (E) indicative of ethmoiditis
  • 21.
    Orbital cellulitis, CT+Cin a soft tissue window showing opacification of the left ethmoid sinuses (E), infiltration and thickening of the eyelid (short white arrow) indicative of preseptal cellulitis, and infiltration of the postseptal/orbital fat (long white arrow) adjacent to the lamina papyracea (black arrow) indicative of orbital cellulitis and possibly early subperiosteal abscess
  • 22.
    Subperiosteal abscess, (a)axial CT+C in a soft tissue window showing opacified ethmoid sinuses; preseptal cellulitis (*); and a small crescent shaped soft tissue mass (arrow) adjacent to the lamina papyracea, (b) Coronal CT+C in another patient with opacification of the right ethmoid sinus (E) and a crescent shaped fluid collection adjacent to the medio-superior orbital wall
  • 23.
    Orbital abscess, (a)Axial CT+C in a soft tissue window showing severe right sided proptosis with the entire right eyeball lying anterior to the interzygomatic line (dotted line), (b) Coronal image in the same patient showing a large intraorbital fluid collection with a thick enhancing rim (*) and sharp angles in relation to the orbital wall (long arrow), the floor of the frontal sinus shows a bony dehiscence (short arrow)
  • 24.
    Cavernous sinus thrombosis,normal patient (a) Axial CT+C in a soft tissue window at the level of the skull base showing normal enhancement of the cavernous sinus (arrows), (b) CT+C in a different patient showing filling defects in the cavernous sinus with slight enlargement on the left side (arrow), indicative of thrombosis, axial images at different levels in the same patient showing (c) opacification of the sphenoid (arrow) and ethmoid sinuses in bone window and d) an extradural fluid collection with meningeal enhancement suspicious for empyema in soft tissue window
  • 25.
    Cavernous sinus thrombosis,(a) Axial T1+C showing filling defects bilaterally in the cavernous sinus (arrows) and fluid in the sphenoid sinus, (b) Axial T1+C in the same patient showing a filling defect in the right ophthalmic vein (arrow), the findings are indicative of cavernous sinus thrombosis and thrombophlebitis in the ophthalmic vein caused by sphenoiditis
  • 26.
    Dural arteriovenous fistula,T1+C (A) shows multiple tortuous flow voids (arrow) adjacent to the right sigmoid sinus, selective right ECA (B) and ICA (lateral view) (C) angiograms shows a DAVF type 1 with feeders (arrow) from the posterior meningeal branch of the middle meningeal artery and dural branches (arrow) from the cavernous ICA draining antegradely through the sigmoid sinus
  • 27.
    Leptomeningitis: coronal T1+Cof a patient that developed subdural empyema due to frontal sinusitis (not shown), the image shows increased enhancement of the leptomeninges of the frontal lobes (arrow), indicating leptomeningitis
  • 28.
    Epidural and subduralempyema, (a) CT+C in soft tissue window in a patient with frontal sinusitis (not shown) showing an extra-axial fluid collection passing the midline (short arrow) anterior to the falx cerebri, the adjacent meninges are thickened and show strong enhancement (long arrow), these findings are indicative of an epidural empyema, (b) An extra-axial fluid collection in another patient with frontal sinusitis (not shown) running along the falx cerebri instead of passing it anteriorly (short arrow), again, the meninges are thickened and show increased enhancement (long arrow), these findings indicate subdural empyema
  • 29.
  • 30.
    Cerebral abscess, patientwho had recently been treated for sinusitis and now presented with a seizure, the CT shows an abnormality in the left temporal lobe with shaggy thick rim enhancement, and a large amount of vasogenic edema
  • 31.
    Brain abscess, (a)CT+C showing an intra-axial fluid collection in the frontal lobe with rim enhancement (short arrow) and surrounding edema, in addition, a subdural collection with thickening and enhancement of the meninges is present (long arrow), (b) Axial T1+C, (c) DWI and (d) ADC map in the same patient showing a fluid collection in the frontal sinus with mucosal enhancement and restricted diffusion (long white arrow), a subdural fluid collection with thickened, enhancing meninges, and restricted diffusion (black arrow), and a fluid collection with rim enhancement in the left frontal lobe with restricted diffusion (short white arrow) and surrounding edema, the findings are indicative of frontal sinusitis with pus formation, subdural empyema and brain abscess
  • 32.
    Focal cerebritis, (a)Axial CT in bone window showing an opacified right frontal sinus with a bony defect in the posterior sinus wall (arrow), (b) CT+C in a soft tissue window in the same patient showing a focal area of hypodensity in the right frontal lobe (short arrow) with faint enhancement in the centre, in addition, a subdural fluid collection can be seen (long arrow), (c) Axial FLAIR of the same patient showing an area of hyperintensity in the left frontal lobe (short arrow), these findings indicate frontal sinusitis with bony erosion causing subdural empyema and focal cerebritis
  • 33.
    b) Mucous RetentionCyst : 1-Incidence 2-Radiographic Features
  • 34.
    1-Incidence : -10% ofpopulation -Cysts occur from blockage of duct draining glands -Most commonly in maxillary sinus (floor)
  • 35.
    2-Radiographic Features : -Onradiographs, they are radiopaque, dome- shaped structures with a rounded edge, located on the floor of the maxillary sinus -Cysts adhere to sinus cavity wall without causing bony expansion (in contradistinction to mucocele) -Rounded soft tissue mass on MRI -MRI signal intensity depends on protein content : Low T1 , high T2 : serous content High T1 , high T2 : high protein content Dark T1 and T2 : viscous content
  • 39.
  • 40.
    c) Polyps : 1-Incidence 2-RadiographicFeatures 3-Sinonasal Polyposis 4-Antrochoanal Polyp
  • 41.
    1-Incidence : -Most commontumors of sinonasal cavity -Diseases associated with sinonasal polyps include : 1-Polypoid rhinosinusitis (allergy) 2-Infection 3-Endocrine disorders 4-Rhinitis medica (aspirin)
  • 42.
    2-Radiographic Features : -Location: ethmoidal sinus > nose -Soft tissue polyps are typically round -Bony expansion and remodeling -Very hyperintense on T2 -Mucoceles may form as a result of blocked draining ostia
  • 45.
    3-Sinonasal Polyposis : -Refersto the presence of multiple benign polyps in the nasal cavity and paranasal sinuses -Extensive mucosal polyps occupying and obliterating the nasal cavity and the paranasal sinuses -Associated local benign bone remodelling or erosion (as opposed to a mucocoele where the entire sinus is expanded)
  • 50.
    4-Antrochoanal Polyp : -Asolitary polyp that arises within the maxillary sinus but passes through and enlarges the sinus ostium or more commonly an accessory ostium -The nasal cavity is therefore extended posteriorly into the nasopharynx through the posterior chonca -Represent only approximately 3-6% of sinonasal polyps
  • 51.
    -CT : 1-Defined masswith mucin density is seen arising within the maxillary sinus 2-Widening of maxillary ostium and extending in to nasopharynx 3-No associated bony destruction but rather smooth enlargement of sinus -MRI : *T1 : intermediate to low signal *T2 : high homogeneous T2 signal *T1+C : peripheral enhancement
  • 53.
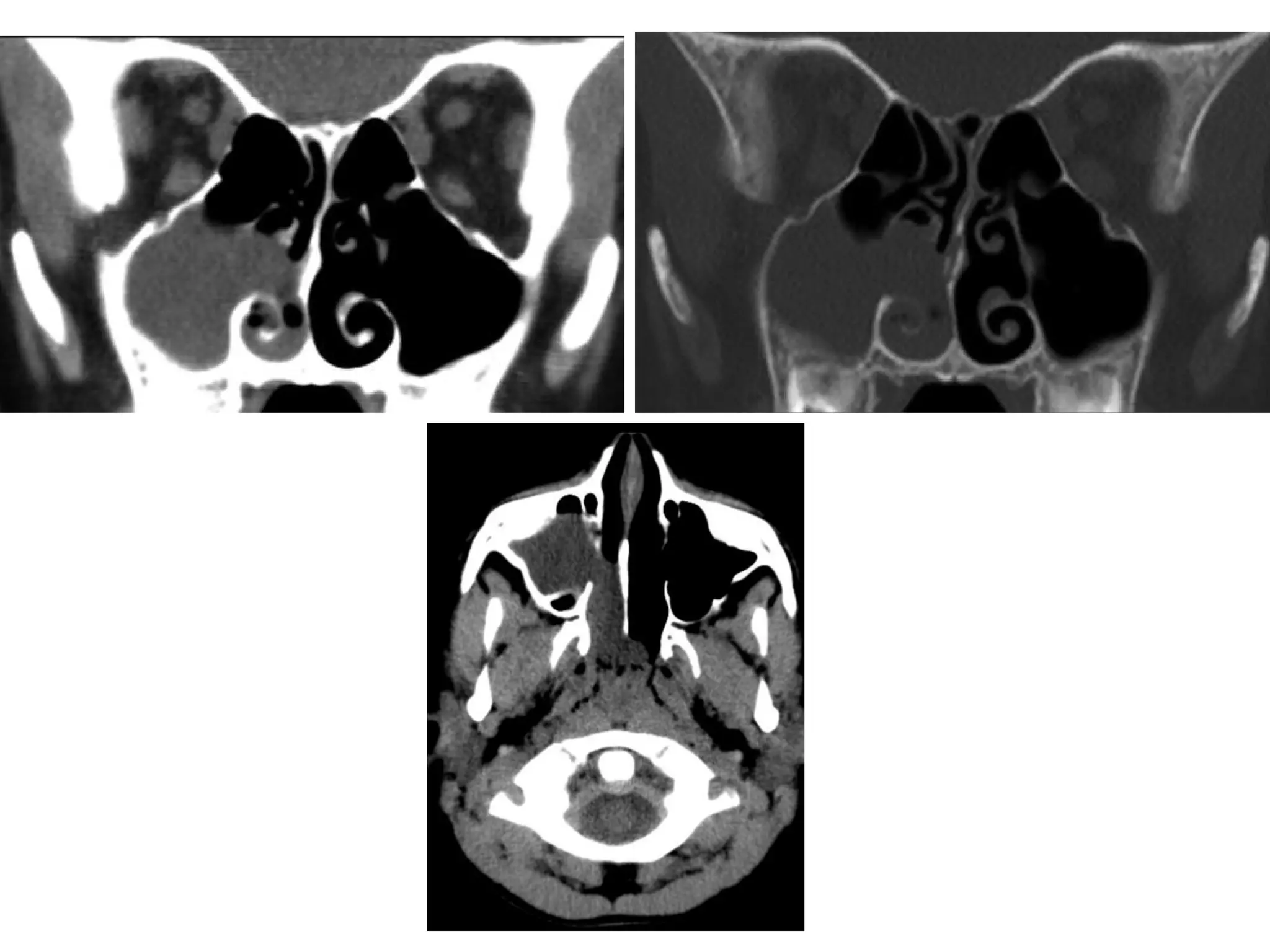
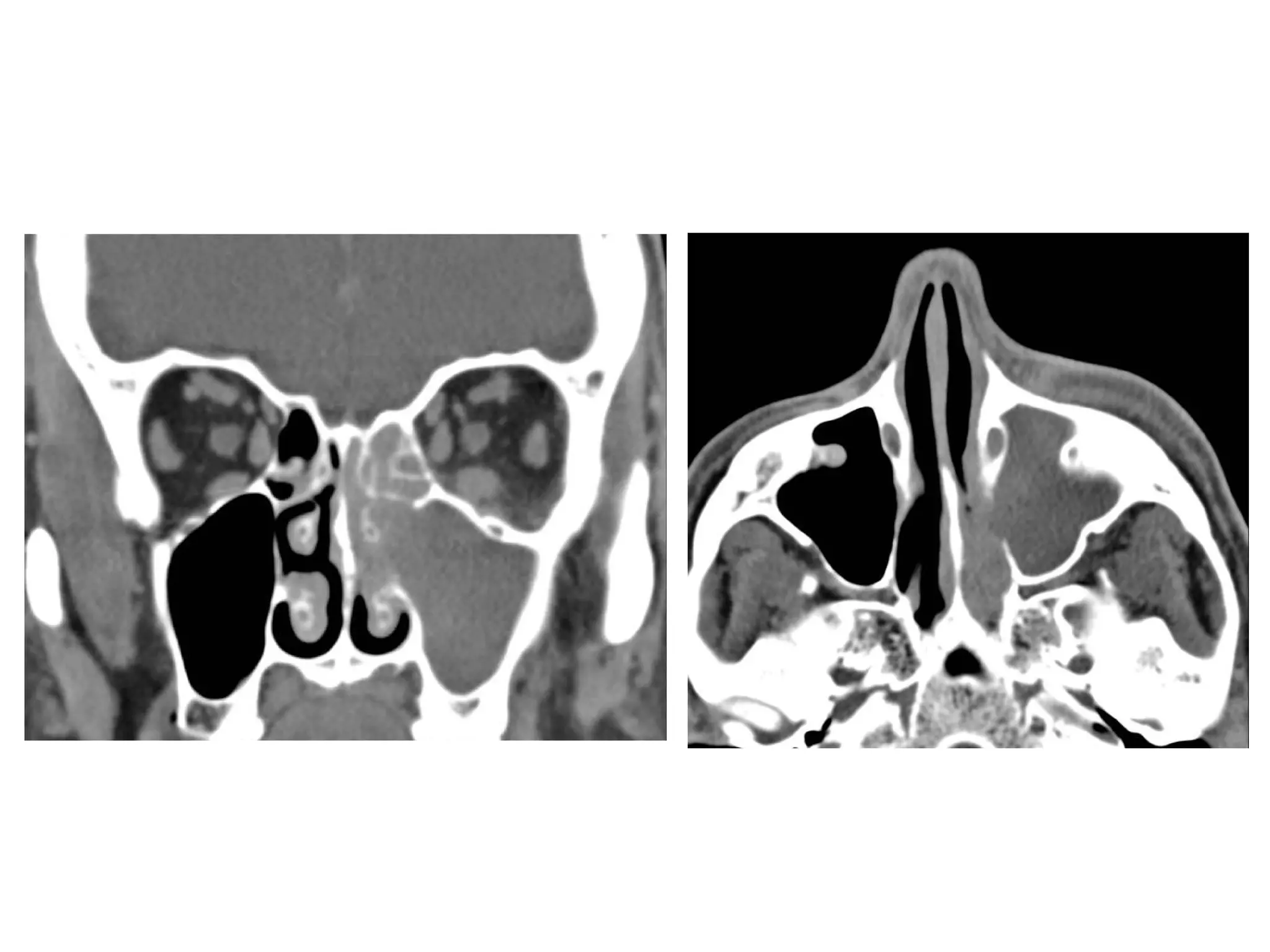
    Antrochoanal polyp, axial(A) and coronal (B) CT show complete opacification of the right maxillary sinus with extension into the right middle meatus and inferior aspect of the right nasal cavity, there is thickening of the sinus walls but no sinus expansion
  • 59.
    d) Destructive Sinusitis: -Causes : 1-Mucormycosis 2-Aspergillosis 3-Wegener's granulomatosis 4-Neoplasm
  • 60.
    e) Fungal Sinusitis: 1-Etiology 2-Classification 3-Radiographic Features
  • 61.
    1-Etiology : a) Diabetes b)Prolonged antibiotic or steroid therapy c) Immunocompromised patient
  • 62.
    2-Classification : -Broadly categorizedas either invasive or noninvasive -Invasive fungal sinusitis is defined by the presence of fungal hyphae within the mucosa, submucosa, bone, or blood vessels of the paranasal sinuses -Invasive fungal sinusitis is subdivided into acute invasive fungal sinusitis, chronic invasive fungal sinusitis, and chronic granulomatous invasive fungal sinusitis -Noninvasive fungal sinusitis is defined by the absence of hyphae within the mucosal and other tissues of the paranasal sinuses -Noninvasive fungal sinusitis is subdivided into allergic fungal sinusitis and fungus ball (fungal mycetoma)
  • 63.
    a) Acute InvasiveFungal Sinusitis b) Chronic Invasive Fungal Sinusitis c) Chronic Granulomatous Invasive Fungal Sinusitis d) Allergic Fungal Sinusitis e) Fungus Ball
  • 64.
    a) Acute InvasiveFungal Sinusitis : -Acute invasive fungal sinusitis is a rapidly progressing infection seen predominantly in immunocompromised patients and patients with poorly controlled diabetes and rarely in healthy individuals, it is the most lethal form of fungal sinusitis, with a reported mortality of 50%-80% -Noncontrast CT demonstrates hypoattenuating mucosal thickening or an area of soft-tissue attenuation within the lumen of the involved paranasal sinus and nasal cavity -There is a predilection for unilateral involvement of the ethmoid and sphenoid sinuses -Aggressive bone destruction of the sinus walls occurs rapidly with intracranial and intraorbital extension of the inflammation
  • 65.
    Acute invasive zygomycosisin a 42-year-old man, CT+C shows right ethmoid and sphenoid sinusitis with destruction of the lateral wall of the right sphenoid sinus (arrow), there is invasion of the right cavernous sinus with occlusion of the right ICA
  • 66.
    Acute invasive fungalsinusitis in a 39-year-old woman with diabetic ketoacidosis and acute left eye pain, (a) Axial unenhanced CT scan shows sinus disease in the ethmoid, maxillary, and sphenoid sinuses. Note the left-sided facial swelling, (b) Axial CT+C shows lack of enhancement in the left cavernous sinus (arrows) secondary to thrombosis from invasive fungal sinusitis, (c) Axial CT scan obtained craniad to b shows proptosis and periorbital inflammatory soft-tissue thickening on the left side (arrow)
  • 67.
    Acute invasive aspergillosisin a 37-year-old man with acquired immunodeficiency syndrome who presented with proptosis of the left eye, axial unenhanced CT scans (a obtained craniad to b) show soft-tissue thickening in the left posterior ethmoid air cells, which is destroying the medial wall of the orbit and extending into the retro-orbital soft tissues (arrow)
  • 68.
    Acute invasive zygomycosisin a 59-year-old man, (a) Axial unenhanced CT scan shows increased attenuation in the right anterior and posterior ethmoid air cells and right sphenoid sinus with soft-tissue thickening in the orbital apex (arrow), (b) Coronal unenhanced CT scan shows destruction of the medial wall and floor of the right orbit and disease extension into the orbit (arrows), (c) Axial unenhanced CT scan obtained caudad to a shows destruction of the posterior wall of the right maxillary sinus and obliteration of the periantral fat plane immediately posterior to the sinus (arrows)
  • 69.
    Acute invasive fungalsinusitis due to zygomycosis in a 57-year-old diabetic man, (a) axial CT+C shows increased attenuation in the left anterior and posterior ethmoid air cells with destruction of the medial wall of the left orbit (arrow). (b) Coronal CT+C shows a subperiosteal abscess occupying the inferomedial aspect of the left orbit and displacing the medial and inferior rectus muscles laterally (arrows), note also the destruction of the orbital floor (arrowhead) and the increased attenuation in the adjacent left maxillary sinus
  • 71.
    b) Chronic InvasiveFungal Sinusitis : -Inhaled fungal organisms are deposited in the nasal passageways and paranasal sinuses, insidious progression occurs over several months to years in which fungal organisms invade the mucosa, submucosa, blood vessels, and bony walls of the paranasal sinuses -This results in significant morbidity and may even be fatal -A hyperattenuating soft-tissue collection is seen at noncontrast CT within one or more of the paranasal sinuses, it may be masslike and mimic a malignancy with destruction of the sinus walls and extension beyond the sinus confines -There is decreased signal intensity on T1 and markedly decreased signal intensity on T2, mottled lucencies or irregular bone destruction may be seen in the paranasal sinuses -There may also be sclerotic changes in the bony walls of the affected sinuses representing chronic sinus disease, Infiltration of the periantral soft tissues about the maxillary sinus is an indicator of invasive disease -Differentiation between chronic invasive fungal sinusitis and malignant neoplasm may not be possible based on imaging findings
  • 72.
    Chronic invasive fungalsinusitis due to zygomycosis in a 44-year-old man, axial (a, b) and coronal (c, d) unenhanced CT scans show bilateral mucosal thickening in the maxillary sinuses, bone invasion is noted in the form of mottled areas of low attenuation in the zygomatic process of the right maxillary bone; this finding is best visualized on the images obtained with bone windows (arrows in b and d), there is also invasion into the soft tissues of the right cheek (arrowheads in a and c)
  • 73.
    Chronic invasive fungalsinusitis due to zygomycosis in a 47-year-old woman, axial unenhanced CT scans (a obtained caudad to b) show increased attenuation in the left maxillary sinus, note the absence of the normal fat planes along the posterior wall of the left maxillary sinus, there is extension of infection beyond the walls of the maxillary sinus into the anterior and posterior periantral soft tissues (arrows), corresponding images obtained with bone windows showed osseous sclerotic changes in the left maxillary sinus, findings consistent with chronic sinus inflammatory changes
  • 75.
    c) Chronic GranulomatousInvasive Fungal Sinusitis : -Also known as primary paranasal granuloma and indolent fungal sinusitis, chronic granulomatous invasive fungal sinusitis is primarily found in Africa (Sudan) and Southeast Asia, with a few cases reported in the United States -Cross-sectional imaging findings are expected to be similar to those of chronic invasive fungal sinusitis
  • 76.
    d) Allergic FungalSinusitis : -The most common form of fungal sinusitis -There is usually involvement of multiple sinuses if not pansinusitis and rhinitis, disease tends to be bilateral, and there is a frequent nasal component, the majority of the sinuses show near-complete opacification and are expanded -Noncontrast CT demonstrates hyperattenuating allergic mucin within the lumen of the paranasal sinus
  • 77.
    Allergic fungal sinusitisdue to Bipolaris in a 22-year-old man with a long history of nasal obstruction, axial unenhanced CT scans show expansion of and increased attenuation in the anterior ethmoid, posterior ethmoid, sphenoid, and frontal sinuses bilaterally, there is characteristic hyperattenuating material within these sinuses (black arrows), note also the smooth thinning of the posterior wall of the left frontal sinus (white arrows in b)
  • 78.
    Allergic fungal sinusitisdue to Bipolaris in a 26-year-old man, (a, b) Coronal CT scans (a obtained posterior to b) show characteristic expansile, hyperattenuating material in the sphenoid, ethmoid, and right maxillary sinuses (arrows), extension into the nasal cavity (*) from the bilateral ethmoid sinuses and right maxillary sinus is noted, (c, d) Corresponding images obtained with bone windows show smooth erosion of the roofs of the posterior ethmoid sinuses (arrowheads in c) with intracranial extension, which is possibly limited by the dura, there is also smooth erosion of the medial wall of the right orbit (arrows in d) with intraorbital extension, which is possibly limited by the periosteum
  • 81.
    e) Fungus Ball: -Also known as mycetoma, fungus ball is a relatively uncommon manifestation of fungal sinusitis -Fungus ball appears as a mass within the lumen of a paranasal sinus and is usually limited to one sinus -The maxillary sinus is the most commonly involved sinus -A fungus ball typically appears hyperattenuating at noncontrast CT due to dense matted fungal hyphae and may demonstrate punctate calcifications
  • 82.
    Mucor fungus ballin a 49-year-old woman with chronic sinus pressure and halitosis, unenhanced CT scan shows isoattenuating to hyperattenuating material filling the right maxillary sinus with central calcific areas of increased attenuation (long arrow), note the circumferential thickening of the osseous walls of the sinus (short arrows), a finding consistent with a chronic inflammatory process
  • 83.
    Aspergillus fungus ballin a 60-year-old woman with mixed connective tissue disorder and a history of cryoglobulinemia and Sjögren syndrome, axial unenhanced CT scan shows the typical hyperattenuating fungus ball with calcific foci in the left maxillary sinus (long arrow), note the sclerotic thickening of the osseous walls of the sinus (short arrows) from chronic sinus inflammation
  • 85.
    3-Radiographic Features : -Bonydestruction and rapid extension into adjacent anatomic spaces -Indistinguishable from tumor, biopsy required -Aspergillosis may appear hyperdense on CT and hypointense on T1 -If sphenoidal sinus alone is involved, consider aspergillosis
  • 88.
  • 89.
    1-Incidence : -True cysticlesion lined by sinus mucosa -Mucoceles occur as a result of complete obstruction of sinus ostium (inflammation , trauma & tumor) -The bony walls of the sinus are remodeled as the pressure of secretions increases -In pediatric patients , consider cystic fibrosis
  • 90.
    2-Location : -frontal 65%> ethmoidal 25% > maxillary >10% -Sphenoidal (rare) -Patients with polyposis may have multiple mucoceles
  • 91.
    3-Radiographic Features : -Roundedsoft tissue density -Typically isodense on CT -MR signal intensity : Low T1 , high T2 : serous content High T1 , high T2 : high protein content Dark T1 and T2 : viscous content -Distortion and expansion of bony sinus walls -Nonenhancement unless infected (mucopyocele) , rim enhancement -Complication : breakthrough into orbit or anterior cranial fossa
  • 92.
    Mucocele of thefrontal sinus
  • 93.
  • 94.
    Right ethmoid mucocele,coronal soft tissue (A) and axial bone algorithm (B) CT images show a completely opacified, mucus-filled and expanded right ethmoid sinus, focal dehiscence or erosion of the right lamina papyracea (arrow, B) is seen
  • 95.
    Mucocele of thesphenoid and ethmoid sinuses
  • 96.
    Axial unenhanced CTimage shows opacification of the left sphenoid sinus due to a mass (arrow) causing slight expansion of the sinus, some parts of the sinus wall are thin and some are thick
  • 97.
  • 98.
    g) Inverted Papilloma: 1-Incidence 2-Radiographic Features 3-Differetial Diagnosis
  • 99.
    1-Incidence : -Unilateral polypoidlesion of the nasal cavity and paranasal sinuses -Associated with HPV and malignancy -Commonly occur on the lateral wall of the nasal cavity, most frequently related to middle turbinate and maxillary ostium
  • 101.
    2-Radiographic Features : a)CT : -Non-specific, demonstrating a soft tissue density mass with some enhancement -The location of the mass is one of the few clues toward the correct diagnosis -Calcification is sometimes observed which is helpful, as is focal hyperostosis which tends to occur at the site of tumor origin
  • 102.
    CT images ofa patient with inverted papilloma, A and B, Axial and coronal CT images show focal plaquelike hyperostosis in part of right ethmoid sinuses (arrows), C, Although tumor extends to the right maxillary sinus and nasal cavity, no additional foci of hyperostosis are seen, intraoperative endoscopic examination confirmed the limitation of tumor origin to the ethmoid sinuses
  • 103.
    Coronal CT imagein a patient with inverted papilloma shows localized cone-shaped hyperostosis of the superior wall of the posterior ethmoid sinus (white arrow), intraoperative endoscopic examination confirmed that the origin of tumor was located at the superior wall of the right posterior ethmoid sinus
  • 104.
    Inverted papilloma, (a)Axial and (b) coronal CT show total opacification of the left maxillary sinus with medial bulging of the medial sinus wall into the nasal cavity, this was an inverted papilloma with the origin in the left maxillary sinus, a characteristic feature of many inverted papillomas is focal hyperkeratosis (arrows) at the origin of the tumor
  • 107.
    b) MRI : *T1: isointense to muscle *T2 : hyperintense to muscle , alternating hypointense lines *T1+C : heterogenous enhancement , alternating hypointense lines
  • 108.
    CT and MRimages of patients with inverted papilloma of the maxillary sinus, A, Axial CT image of a patient with inverted papilloma shows cone-shaped focal hyperostosis involving the posterior wall of the left maxillary sinus (arrows), B, Sagittal T2 of the patient clearly shows the centrifugal pattern of tumor growth with a hyperostotic focus (white arrow) at the posterior wall of the left maxillary sinus, which was confirmed to be a tumor origin by surgery, C, Axial CT image of another patient shows cone- shaped hyperostosis (arrow) involving the anterior wall of the left maxillary sinus, which was proved to be the origin of inverted papilloma by intraoperative endoscopy
  • 109.
    3-Differetial Diagnosis : 1-Sinonasalcarcinoma : -Unfortunately imaging is unable to confidently distinguish between inverted papilloma , inverted papilloma with malignancy and pure malignancy 2-Antrochoanal polyp : -Only peripheral enhancement (if any) 3-Inflammatory polyp : -Only peripheral enhancement (if any) 4-Juvenile nasopharyngeal angiofibroma (JNA) 5-Olfactory neuroblastoma 6-Paranasal sinus mucocoele
  • 110.
    h) Benign Tumors: 1-Osteoma (most common paranasal sinus tumor) 2-Papilloma 3-Fibroosseous lesions 4-Neurogenic tumors 5-Giant cell granuloma
  • 111.
    Osteoma, (a) Axialand (b) coronal CT shows a high density, sclerotic osteoma localized in the left frontal recess (arrows), with time, the osteoma may grow and obstruct mucociliary clearance from the left frontal sinus
  • 112.
    Osteoma, (a,b) Axial& coronal CT shows a large osteoma with ground- glass appearance (arrows) occupying the left posterior ethmoid sinus. The osteoma bulges into the orbit and displaces the sphenoid sinus posteriorly, (c) axial T2 demonstrates the signal void of the osteoma
  • 113.
  • 115.
    i) Malignant Tumors: 1-Types 2-Tumor Spread
  • 116.
    1-Types : a) SCC, 90 % : -Maxillary sinus , 80 % -Ethmoidal sinus , 15% b) Less common tumors , 10% : -Adenoid cystic carcinoma -Esthesioneuroblastoma (arises from olfactory epithelial cells, commonly extends through cribriform plate) -Lymphoepithelioma -Mucoepidermoid carcinoma -Mesenchymal tumors : fibrosarcoma , rhabdomyosarcoma , osteosarcoma & chondrosarcoma -Metastases from lung , kidney & breast
  • 117.
    2-Tumor Spread : a)Direct Invasion : -Maxillary sinus : Posterior extension : infratemporal fossa , pterygopalatine fossa Superior extension : orbit -Ethmoidal or frontal sinus : frontal lobe b) Lymph node metastases : -Submandibular , lateral pharyngeal & jugulodigastric nodes c) Perineural spread : -Pterygopalatine fossa -Connection to middle cranial fossa via foramen rotundum
  • 118.
    Maxillary sinus squamouscell carcinoma, (a) Axial CT shows erosion of the lateral nasal wall and lacrimal duct (arrow) and growth into the middle meatus (asterisk) consistent with a T2 cancer, (b) Coronal CT in another patient with a carcinoma mimicking a nasal polyp, however, the lateral nasal wall is eroded (arrow)
  • 119.
    Maxillary sinus squamouscell carcinoma, (a) Coronal CT and (b) coronal T1+C with fat saturation, CT is highly suspicious of tumor growth into the anterior orbit (arrow), however, the T1+C with fat saturation confirms that the periost acts as a strong barrier against tumor growth into the orbit (arrowheads)
  • 120.
    Maxillary sinus squamouscell carcinoma, (a) Axial CT and (b) T2 demonstrate a tumor (black arrowheads) extending to the skin of the cheek (white arrowhead), the bony erosion of the lateral maxillary sinus wall and the pterygoid plates (arrows) are better visualized using CT; the extension of the tumor and distinction from obstructed fluid-filled sinuses and surrounding edematous soft tissue are best evaluated using MR imaging
  • 121.
    Ethmoid sinus adenocarcinoma,(a) Coronal CT shows opacification of the left nasal cavity, anterior ethmoid sinus and frontal recess, the clue to a malignant process is the erosion of the lateral lamella (arrow), (b) CT+C coronal CT shows an intracranial component (arrowheads) verified at (c) coronal CT+C, there is no meningeal enhancement due to the dural barrier
  • 122.
    Chondrosarcoma, (a) AxialCT of a well-delineated tumor of the maxillary and ethmoid sinuses, and nasal cavity (arrowheads), (b) Axial T2 shows high signal of the chondroid matrix with sparse, low signal areas of septa and calcifications, (c) T1+C shows contrast uptake in the septa and low signal in the surrounding chondroid matrix
  • 123.
    B-cell lymphoma, (a)Axial and (b) coronal CT demonstrate advanced opacification of both maxillary sinuses (white arrowheads), At MR imaging, (c) axial T2 and (d) coronal T1+C demonstrate a large, bulky tumor on both sides of the maxillary sinus walls. MR imaging shows that the medial part of the right maxillary sinus contains mucus (black arrowheads) and that the epicentre of the tumor masses (asterisk) is close to the lateral sinus wall, which is a common finding in sinonasal B-cell lymphomas
  • 124.
    Adenoid cystic carcinoma,coronal CT mimics the features of a simple polyp filling the left nasal cavity (arrowheads) and slightly remodelling the bones
  • 125.
    Olfactory neuroblastoma, (a)Axial CT shows an expansile soft tissue mass remodelling the ethmoid bones (arrows), at MR imaging, (b) axial T2 shows a well-delineated tumor with homogeneous low signal (arrows) with surrounding high signal sinonasal fluid, (c) Axial T1 and (d) sagittal T1+C delineate the tumor (arrows) from the adjacent dark signal fluid-filled sphenoid sinus (asterisk). The sagittal image demonstrates the close relationship between the tumor and the ethmoid roof, (e) Axial DWI and (f) ADC map shows the characteristic low diffusion signal intensities (arrows) of a malignant tumor
  • 126.
    Sinonasal undifferentiated carcinoma,(a) Coronal CT, (b) coronal T1+C with fat saturation and (c) coronal flair sequence demonstrating a highly aggressive tumor (arrows) with destruction of the lamina papyracea (black arrowheads) and the ethmoid roof (white arrowheads), the tumor enhances strongly after intravenous contrast medium and the fluid attenuated inversion recovery sequence demonstrates brain edema (arrowheads), immunohistologic examination concluded with SNUC
  • 127.
    j) Small orAbsent Sinuses : a) Congenital : 1-Normal variant (5 % of population) 2-Congenital Hypothyroidism 3-Down’s syndrome (frontal sinuses absent in 90 %) 4-Kartagner’s syndrome
  • 128.
    b) Acquired : -Secondaryto overgrowth of bony wall : 1-Paget’s disease 2-Fibrous dysplasia 3-Hemolytic anaemia 4-Postoperative
  • 129.
    h) Opaque MaxillaryAntrum : a) Traumatic : 1-Fracture 2-Overlying soft tissue swelling 3-Postoperative 4-Epistaxis 5-Barotrauma b) Inflammatory : 1-Sinusitis 2-Allergy 3-Mucocele
  • 130.
    c) Neoplastic : 1-Carcinoma(usually associated with bone destruction & soft tissue mass) 2-Lymphoma d) Others : 1-FD 2-Cysts (dentigerous or mucous retention cyst) 3-Wegner’s granulomatosis 4-Anatomical 5-Radiographic (overtilted view)
  • 131.
    k) Mass inthe Maxillary Antrum : 1-Cyst : -Mucous retention cyst -Dentigerous cyst 2-Trauma (herniation of orbital muscle through fracture) 3-Neoplastic : -Polyps -Carcinoma 4-Wegner’s granulomatosis : -Usually present in 40-50 years old -Mucosal thickening progresses to formation of soft tissue mass with extensive bony destruction