NECROSIS
GANGRENE
APOPTOSIS
PATHOLOGIC
CALCIFICATIONS
DR. AKSHAY AGARWAL
DEGENERATION
 Definition : It is defined as a retrogressive change in the
cell following a cell injury , more so in the cytoplasm than
the nucleus, caused by a factor which is not stong enough
to cause cell death.
 It is a reversible cell injury.
 FOUR TYPES :
1. Cellular swelling
2. Fatty change
3. Hyaline change
4. Mucoid change
CELLULAR SWELLING
 It is the most common and earliest form of cell injury .
 Results from impaired regulation of cellular volume
 GROSS: The affected organ is enlarged , pale , the cut surface
bulges out .
 MICROSCOPY :The cells are swollen with cytoplasmic granularity
and they compress the surrounding microvasculature.
HYDROPIC CHANGE : Small clear vacuoles are seen in the cells
Organs affected:
Kidney (Large white kidney ) , islets of Langerhans in DM
FATTY CHANGE
 Occurs due to intracellular accumulation of neutral
fats.
 CAUSES:
Excess alcohol consumption,obesity malnutrition
,starvation ,diabetes mellitus, chronic ilnesses , late
pregnancy, hypoxia , hepatotoxins [ carbontetra
chloride , chloroform , ether,aflatoxins ] certain
drugslike estrogen steroids tetracycline etc.
 Liver is the most common organ affected . Other
organs affected are heart, kidney and skeletal muscle.
 FATTY LIVER
Gross :The organ is enlarged yellow tense glistening capsule and rounded
margins. C/S – bulges and pale yellow and greasy to touch.
MICROSCOPY
 Fat in the cytoplasm of the hepatocytes is seen as
clear area which may vary from minute droplets in the
cytoplasm of a few hepatocytes [microvesicular] to
distension of the entire cytoplasm of most cells by
coaslesced droplets [macrovesicular] pushing the
nucleus to the periphery of the cell.
 Occ. the adjacent cell containing fat, rupture
producing fatty cysts
 Special stains such Sudan III & IV,Sudan black Oil
red O can be employed to demonstrate fat in the
tissue
HYALINE CHANGE
 Hyaline is a glassy homogenous material that stains pink in
H&E sections.
 Two types :
1. Intra cellular (epithelial )
2. Extra cellular (connective tissue)
 Intra cellular (epithelial ) hyaline :
1. Zenkers degeneration in typhoid.
2. Mallory’s hyaline in ALD
3. Russel bodies in plasma cells
 Extra cellular (connective tissue) hyaline
1. Hyaline degeneration of splenic capsule , leiomyomas of uterus.
2. Hyaline arterisclerosis in HT and DM.
3. Copora amylacea in prostate.
MUCOID CHANGE
 Epithelial mucin:
Catarrhal infection, cystic fibrosis, mucin secreting tumors.
 Connective tissue mucin:
Myxiod degeneration in tumors , dissecting aneurysm of
aorta
DEF OF NECROSIS
 Focal death along with degradation of
tissue by hydrolytic enzymes liberated
by cells. accompanied by
inflammatory reaction.
NECROSIS
DEF.-It refers to spectrum of morphological
changes that follows cell death in living tissue
largely resulting from progressive degradative
action of enzymes on lethally injured cell.
 Irreversible cell injury.
 Nucleus – pyknosis, karyolysis, karyorrhexis.
 Cytoplasm – homogenous ,intensely eosinphilic.
TYPES
 Coagulative Necrosis
 Liquefactive Necrosis
 Caseous Necrosis
 Fat Necrosis
 Fibrinoid Necrosis
COAGULATIVE
NECROSIS
 Mc , caused by sudden cessatiion of blood flow.
 Organs commonly affected are kidney , heart , spleen.
Gross :they are pale or anemic & wedge shaped with the
base resting under the capsule & apex pointing towards the
medulla.
Microscopy: the hallmark
of coagulative necrosis is
that architectural outlines
of cells may be preserved
although the cellular
details are lost.
LIQUEFACTIVE
NECROSIS
 Occurs commonly due to ischemic injury and bacterial
and fungal infections.
 Due to degradation of tissue by the action of powerful
hydrolytic enzymes.
 Eg : infarct brain , abcess cavity
well defined,soft with
liquified centre
containing necrotic
debris later a cyst wall
is formed
-
The cystic space contains necrotic
cell debris & macrophages
containing phagocytosed material.
The cyst wall is formed by
proliferating capillaries
,inflammatory cells and
proliferating glials cells.
CASEOUS NECROSIS
 It is found in the centre of tuberculous foci
 It combines features of both coagulative ana liquefactive
necrosis.
GROSS :The necrotic areas appear dry,
cheesy, soft and yellowish
Microscopy :The necrosed foci are
structureless ,granular eosinophilic
The surrounding tissue shows chacteristic
granulomatous
reaction
CAUSES hypoxia,chemical and physical agents.
 Microbial agents and immunologic injury.
 Changes---cell digestion by lytic enzymes.& denaturation of proteins.
manifested morphologically by changes in nucleus &cytoplasm.
 CYTOPLASM ---EOSINOPHILIC/WITH
VACUOLATION OR DYSTROPHIC
CALCIFICATION.
 NUCLEUS—
PYKNOSIS/KARYOLYSIS/KARYORRHEXIS.
Types of necrosis
 5 types.
 1)Coagulative necrosis---common type. caused by ischaemia. less
commonly by bacterial or chemical agents.
 Organs—HEART,KIDNEY & SPLEEN.
 GROSS: Focii of coagulative necrosis ;pale firm &slightly swollen. With
progression, becomes yellowish softer & shrunken .
 Microscopy — cells can be recognized as
merely having ghost architecture. the
nuclear and cytoplasmic characters are
lost. Cells swollen &more eosinophilic
along with nuclear changes described. It is
infiltrated by inflammatory cells.
 Dead cells are phagocytosed./granular
debris/fragments of cells.
Heart, coagulative necrosis
(myocardial infarct) - Gross, cross section
Heart, acute myocardial infarct - High power
 2)Liquifactive necrosis--- combination of ischemic injury and
bacterial or fungal infection. action of strong powerful hydrolytic
enzymes. eg; infarct brain, abscess.
 Gross— soft with liquefied centre containing necrotic debris. Later
cyst wall is formed.
 Microscopy— necrotic cell debris/macrophages with phagocytosed
material. Cyst wall—proliferating capillaries, inflammatory cells, and
gliosis in case of brain. fibroblasts.
Brain, old (cystic) infarct - Gross, coronal
cut surface
Brain, liquefactive necrosis, old
cerebral infarct
 3)caseous necrosis---tuberculous infection.
 Gross—resembles cheese are soft granular
&yellowish
 Microscopy--
 Focus is structureless eosinophilic, contains
granular debris. granulomatus inflammatory
reaction with epitheloid cells, langhans giant
cells.or forein body giant cells. peripheral
mantle of lymphocytes.
Caseous Necrosis
 4)fat necrosis —acute pancreatic
necrosis,traumatic fat necrosis.
 Gross-yellowish white &firm deposits.micro
—cloudy appearance with inflammatory
cells.
 5)Fibrinoid necrosis —fibrin like
material.seen in examples of immunologic
injury.
 Micro—brighitly eosinophilic hyaline
material in vessel walls etc.
P – 215/73. Mesenteric fat necrosis
Omentum, fat necrosis in a case of pancreatitis -
Gross
PATHOLOGIC CALCIFICATION
 When calcium getrs deposited at sites other than bone
and enamel it is called as pathologic or heterotopic
calcification.
 Two types :
1. Dystrophic
2. Metastatic
 DYSTROPHIC
 Deposits of Ca salts in dead and
degenerated tissue.
 Ca metab . is normal
 Sr Ca levels normal
 Causes : necrosis,infarcts,
thrombi,atheromas , Monckebergs
sclerosis etc
 METASTATIC
 Deposits of Ca salts in normal
tissue
 Deranged
 Hypercalcemia
 Hyperparthyroidism,bony
destructive lesions ,prolonged
immobilisation etc
APOPTOSIS.
 Programmed & co-ordinated cell death.
 Physiologic & pathologic processes.
 Morphology: 1.No inflammatory reaction.
2.Death of single cells.3.Cell shrinkage.4.Apoptotic
bodies.5.Cytoplasmic blebs & chromatin condensation.
 Molecular Changes: 1. Lysosomes & other organelles intact.
2.Genetic activation by protooncogenes; onco-
suppressor genes& cytotoxic T-cell mediated target cell killing
“ A FORM OF CELL DEATH DESIGNED TO ELIMINATEA FORM OF CELL DEATH DESIGNED TO ELIMINATE
UNWANTED HOST CELLS THROUGH ACTIVATION OFUNWANTED HOST CELLS THROUGH ACTIVATION OF
COORDINATED , INTERNALLY PROGRAMMED SERIESCOORDINATED , INTERNALLY PROGRAMMED SERIES
OF EVENTS REGULATED BY A SET OF GENE PRODUCTSOF EVENTS REGULATED BY A SET OF GENE PRODUCTS ”
DEFINITION
GENETICALLY DETERMINED
BIOLOGICALLY MEANINGFUL
ACTIVE , SELF , DESTRUCTIVE
PROCESS
PRO-APOPTOTIC ANTI-
APOPTOTIC
Bax , Bad , Bcl-XS , Bak Bcl-2 ,
Bcl-xl
EF , P53 , C-myc A-1 , MCL-
1
NUR-77 , Cyclin-A BAG , PRb
ICE , Ned-2
GENETIC BASIS OF APOPTOSIS
DURING DEVELOPMENT
HOMEOSTASIS OF CELL
POPULATION
AS A DEFENCE MECHANISM IN
IMMUNE
REACTIONS
CELL DEATH BY DISEASE or
NOXIOUS
AGENTS
DURING EMBRIOGENESIS
Implantation
Organogenesis
Developmental involution
Metamorphosis
HORMONE – DEPENDENT INVOLUTION
Menstual loss
Ovarin follicular atresia during Menopause
Regression of lactating breast after weaning
Prostatic atrophy after castration
CELL DELETION IN INTESTINAL CRYPT EPITHELIA
CELL DEATH IN TUMORS
DEATH OF NEUTROPHILS IN ACUTE INFLAMMATION
DEATH OF IMMUNE CELLS
IN DUCT OBSTRUCTION
VIRAL HEPATITIS ( Councilman bodies )
CELL DEATH PRODUCED BY INJURIOUS STIMULI
( In low doses )
CELL SHRINKAGE
CHROMATIN CONDENSATION
FORMATION OF CYTOPLASMIC BLEBS
and APOPTOTIC BODIES
PHAGOCYTOSIS OF APOPTOTIC CELLS
MORPHOLOGIC EVENTS
PROTEIN CLEAVAGE
PROTEIN CROSS – LINKING
DNA BREAKDOWN
PHAGOCYTIC RECOGNITION
BIOCHEMICAL FEATURES
MECHANISM OF APOPTOSIS
SIGNALING PATHWAY
CONTROL and INTEGRATION
STAGE
EXECUTION PHASE
REMOVAL OF DEAD CELLS
SIGNALING PATHWAYS
 MORPHOGENS
 GROWTH FACTORS
 TNFR SUPERFAMILY
 DIFFERENTIATION FACTORS
SIGNAL DETERMINANTS (+ or - )SURVIVAL APOPTOSIS
CONTROL AND INTEGRATION STAGE
FAS – FAS LIGAND MODEL
CYTOTOXIC T –
LYMPHOCYTE
Bcl – 2 FAMILY PROTEINS
MITOCHONDRIAL MEMBRANE DAMAGE
FORMATION OF PORES
DECREASED MEMBRANE POTENTIAL
MITOCHONDRIAL SWELLING
INCREASED PERMIABILITY
CYTOCHROME – C RELEASE
BINDS - Apaf –1
TRIGGERS INITIATOR CASPASE
APOPTOSIS
EXECUTION PHASE
INITIATOR CASPASE EXECUTION CASPASE
CASPASE 9 ACTIVATE CASPASE 3
BINDS Apaf-1 ACTIVATE CASPASE 6
ACTIVATION OF CAS 8 NUCLEAR & CYTOPLASMIC
CHANGES
APOPTOSIS
APOPTOSIS NECROSIS
Cell shrinkage Cell swelling
No inflammatory response Inflammatory response
Death of single cells Death of many contiguous cells
Cytoplasmic blebbing Plasma membrane disruption
Chromatin condensation Nuclear swelling & lysis
Intact lysosomes & other Lysosomal breakdown
organelles
Fragmentation of nucleus & Cell lysis & disentegration
cytoplasm
Phagocytosis by adj ‘ cells Phagocytosis by infl ‘ cells
Physiological & path ‘ stimuli Hypoxia , toxins mainly
Apoptotic bodies Damaged organelles
Programmed cell death Cell death by ATP depletion
Necrosis Apoptosis
Morphological changes
 Loss of membrane integrity
 Begins with swelling of cytoplasm and
mitochondria
 Ends with total cell lysis
 No vesicle formation, complete lysis
 Disintegration (swelling) of organelles
 Membrane blebbing, but no loss of integrity
 Aggregation of chromatin at the nuclear
membrane
 Begins with shrinking of cytoplasm and
condensation of nucleus
 Ends with fragmentation of cell into smaller
bodies
 Formation of membrane bound vesicles
(apoptotic bodies)
 Mitochondria become leaky due to pore
formation involving
proteins of the bcl-2 family.
Necrosis Apoptosis
Physiological significance
 Affects groups of contiguous cells
 Evoked by non-physiological
disturbances (complement
 attack, lytic viruses, hypothermia,
hypoxia, ischemica,
 metabolic poisons)
 Phagocytosis by macrophages
 Significant inflammatory response
 Affects individual cells
 Induced by physiological stimuli (lack of
growth
 factors, changes in hormonal
environment)
 Phagocytosis by adjacent cells or
macrophages
 No inflammatory response
GANGRENE necrosis of tissue with superadded putrifaction.usually coagulative.
 3types.
 DRY GANGREN—seen in distal part of limb due to
ischemia. eg toes & FEET IN ATHEROSCLEROSIS
 THROMBOANGITISOBLITERANCE.RAYNAUDS.
 GROSS-DRY,SHRUNKEN,DARK BLACK.MICRO—
SMUDGING OF TISSUE/INFL.GRANULATION
TISSUE.
Foot, dry gangrene – Clinical presentation
 Wet gangrene —moist tissues. Diabetic foot.high
growth of bacteria.bed sores.venous blockage
commonly than arterial.due to
thrombosis,embolism.
 Gross —soft swollen ,putrid rotten dark. eg-
bowel gangrene.
 Micro —coagulative necrosis with blood,.
uleration, inflammatory infiltrate. No clear line of
demarcation.
P – 779/83. Extensive Gangrene of small intestine.
Gas gangrene
 special form of wet gangrene—gas forming clostridia
infectswounds. ms., colonic operation.
 GROSS—Swollen, oedematous, crepitant/ dark black,
foul smelling.
 Microscopy—ms. fibres show coagulative necrosis with
liquefaction. gm +bacilli can be identified.
Thank You

Necrosis & gangrene pathology calcification

  • 1.
  • 2.
    DEGENERATION  Definition :It is defined as a retrogressive change in the cell following a cell injury , more so in the cytoplasm than the nucleus, caused by a factor which is not stong enough to cause cell death.  It is a reversible cell injury.
  • 3.
     FOUR TYPES: 1. Cellular swelling 2. Fatty change 3. Hyaline change 4. Mucoid change
  • 4.
    CELLULAR SWELLING  Itis the most common and earliest form of cell injury .  Results from impaired regulation of cellular volume  GROSS: The affected organ is enlarged , pale , the cut surface bulges out .  MICROSCOPY :The cells are swollen with cytoplasmic granularity and they compress the surrounding microvasculature. HYDROPIC CHANGE : Small clear vacuoles are seen in the cells Organs affected: Kidney (Large white kidney ) , islets of Langerhans in DM
  • 6.
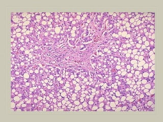
    FATTY CHANGE  Occursdue to intracellular accumulation of neutral fats.  CAUSES: Excess alcohol consumption,obesity malnutrition ,starvation ,diabetes mellitus, chronic ilnesses , late pregnancy, hypoxia , hepatotoxins [ carbontetra chloride , chloroform , ether,aflatoxins ] certain drugslike estrogen steroids tetracycline etc.  Liver is the most common organ affected . Other organs affected are heart, kidney and skeletal muscle.
  • 7.
     FATTY LIVER Gross:The organ is enlarged yellow tense glistening capsule and rounded margins. C/S – bulges and pale yellow and greasy to touch.
  • 8.
    MICROSCOPY  Fat inthe cytoplasm of the hepatocytes is seen as clear area which may vary from minute droplets in the cytoplasm of a few hepatocytes [microvesicular] to distension of the entire cytoplasm of most cells by coaslesced droplets [macrovesicular] pushing the nucleus to the periphery of the cell.  Occ. the adjacent cell containing fat, rupture producing fatty cysts  Special stains such Sudan III & IV,Sudan black Oil red O can be employed to demonstrate fat in the tissue
  • 10.
    HYALINE CHANGE  Hyalineis a glassy homogenous material that stains pink in H&E sections.  Two types : 1. Intra cellular (epithelial ) 2. Extra cellular (connective tissue)
  • 11.
     Intra cellular(epithelial ) hyaline : 1. Zenkers degeneration in typhoid. 2. Mallory’s hyaline in ALD 3. Russel bodies in plasma cells  Extra cellular (connective tissue) hyaline 1. Hyaline degeneration of splenic capsule , leiomyomas of uterus. 2. Hyaline arterisclerosis in HT and DM. 3. Copora amylacea in prostate.
  • 12.
    MUCOID CHANGE  Epithelialmucin: Catarrhal infection, cystic fibrosis, mucin secreting tumors.  Connective tissue mucin: Myxiod degeneration in tumors , dissecting aneurysm of aorta
  • 13.
    DEF OF NECROSIS Focal death along with degradation of tissue by hydrolytic enzymes liberated by cells. accompanied by inflammatory reaction.
  • 14.
    NECROSIS DEF.-It refers tospectrum of morphological changes that follows cell death in living tissue largely resulting from progressive degradative action of enzymes on lethally injured cell.  Irreversible cell injury.  Nucleus – pyknosis, karyolysis, karyorrhexis.  Cytoplasm – homogenous ,intensely eosinphilic.
  • 15.
    TYPES  Coagulative Necrosis Liquefactive Necrosis  Caseous Necrosis  Fat Necrosis  Fibrinoid Necrosis
  • 16.
    COAGULATIVE NECROSIS  Mc ,caused by sudden cessatiion of blood flow.  Organs commonly affected are kidney , heart , spleen.
  • 17.
    Gross :they arepale or anemic & wedge shaped with the base resting under the capsule & apex pointing towards the medulla.
  • 18.
    Microscopy: the hallmark ofcoagulative necrosis is that architectural outlines of cells may be preserved although the cellular details are lost.
  • 19.
    LIQUEFACTIVE NECROSIS  Occurs commonlydue to ischemic injury and bacterial and fungal infections.  Due to degradation of tissue by the action of powerful hydrolytic enzymes.  Eg : infarct brain , abcess cavity
  • 20.
    well defined,soft with liquifiedcentre containing necrotic debris later a cyst wall is formed - The cystic space contains necrotic cell debris & macrophages containing phagocytosed material. The cyst wall is formed by proliferating capillaries ,inflammatory cells and proliferating glials cells.
  • 21.
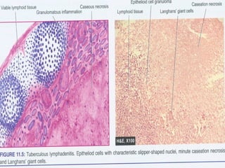
    CASEOUS NECROSIS  Itis found in the centre of tuberculous foci  It combines features of both coagulative ana liquefactive necrosis.
  • 22.
    GROSS :The necroticareas appear dry, cheesy, soft and yellowish
  • 23.
    Microscopy :The necrosedfoci are structureless ,granular eosinophilic The surrounding tissue shows chacteristic granulomatous reaction
  • 24.
    CAUSES hypoxia,chemical andphysical agents.  Microbial agents and immunologic injury.  Changes---cell digestion by lytic enzymes.& denaturation of proteins. manifested morphologically by changes in nucleus &cytoplasm.  CYTOPLASM ---EOSINOPHILIC/WITH VACUOLATION OR DYSTROPHIC CALCIFICATION.  NUCLEUS— PYKNOSIS/KARYOLYSIS/KARYORRHEXIS.
  • 25.
    Types of necrosis 5 types.  1)Coagulative necrosis---common type. caused by ischaemia. less commonly by bacterial or chemical agents.  Organs—HEART,KIDNEY & SPLEEN.  GROSS: Focii of coagulative necrosis ;pale firm &slightly swollen. With progression, becomes yellowish softer & shrunken .
  • 26.
     Microscopy —cells can be recognized as merely having ghost architecture. the nuclear and cytoplasmic characters are lost. Cells swollen &more eosinophilic along with nuclear changes described. It is infiltrated by inflammatory cells.  Dead cells are phagocytosed./granular debris/fragments of cells.
  • 29.
    Heart, coagulative necrosis (myocardialinfarct) - Gross, cross section
  • 30.
    Heart, acute myocardialinfarct - High power
  • 32.
     2)Liquifactive necrosis---combination of ischemic injury and bacterial or fungal infection. action of strong powerful hydrolytic enzymes. eg; infarct brain, abscess.  Gross— soft with liquefied centre containing necrotic debris. Later cyst wall is formed.  Microscopy— necrotic cell debris/macrophages with phagocytosed material. Cyst wall—proliferating capillaries, inflammatory cells, and gliosis in case of brain. fibroblasts.
  • 33.
    Brain, old (cystic)infarct - Gross, coronal cut surface
  • 34.
    Brain, liquefactive necrosis,old cerebral infarct
  • 36.
     3)caseous necrosis---tuberculousinfection.  Gross—resembles cheese are soft granular &yellowish  Microscopy--  Focus is structureless eosinophilic, contains granular debris. granulomatus inflammatory reaction with epitheloid cells, langhans giant cells.or forein body giant cells. peripheral mantle of lymphocytes.
  • 37.
  • 39.
     4)fat necrosis—acute pancreatic necrosis,traumatic fat necrosis.  Gross-yellowish white &firm deposits.micro —cloudy appearance with inflammatory cells.  5)Fibrinoid necrosis —fibrin like material.seen in examples of immunologic injury.  Micro—brighitly eosinophilic hyaline material in vessel walls etc.
  • 40.
    P – 215/73.Mesenteric fat necrosis
  • 41.
    Omentum, fat necrosisin a case of pancreatitis - Gross
  • 42.
    PATHOLOGIC CALCIFICATION  Whencalcium getrs deposited at sites other than bone and enamel it is called as pathologic or heterotopic calcification.  Two types : 1. Dystrophic 2. Metastatic
  • 43.
     DYSTROPHIC  Depositsof Ca salts in dead and degenerated tissue.  Ca metab . is normal  Sr Ca levels normal  Causes : necrosis,infarcts, thrombi,atheromas , Monckebergs sclerosis etc  METASTATIC  Deposits of Ca salts in normal tissue  Deranged  Hypercalcemia  Hyperparthyroidism,bony destructive lesions ,prolonged immobilisation etc
  • 45.
    APOPTOSIS.  Programmed &co-ordinated cell death.  Physiologic & pathologic processes.  Morphology: 1.No inflammatory reaction. 2.Death of single cells.3.Cell shrinkage.4.Apoptotic bodies.5.Cytoplasmic blebs & chromatin condensation.  Molecular Changes: 1. Lysosomes & other organelles intact. 2.Genetic activation by protooncogenes; onco- suppressor genes& cytotoxic T-cell mediated target cell killing
  • 46.
    “ A FORMOF CELL DEATH DESIGNED TO ELIMINATEA FORM OF CELL DEATH DESIGNED TO ELIMINATE UNWANTED HOST CELLS THROUGH ACTIVATION OFUNWANTED HOST CELLS THROUGH ACTIVATION OF COORDINATED , INTERNALLY PROGRAMMED SERIESCOORDINATED , INTERNALLY PROGRAMMED SERIES OF EVENTS REGULATED BY A SET OF GENE PRODUCTSOF EVENTS REGULATED BY A SET OF GENE PRODUCTS ” DEFINITION
  • 47.
  • 48.
    PRO-APOPTOTIC ANTI- APOPTOTIC Bax ,Bad , Bcl-XS , Bak Bcl-2 , Bcl-xl EF , P53 , C-myc A-1 , MCL- 1 NUR-77 , Cyclin-A BAG , PRb ICE , Ned-2 GENETIC BASIS OF APOPTOSIS
  • 49.
    DURING DEVELOPMENT HOMEOSTASIS OFCELL POPULATION AS A DEFENCE MECHANISM IN IMMUNE REACTIONS CELL DEATH BY DISEASE or NOXIOUS AGENTS
  • 50.
    DURING EMBRIOGENESIS Implantation Organogenesis Developmental involution Metamorphosis HORMONE– DEPENDENT INVOLUTION Menstual loss Ovarin follicular atresia during Menopause Regression of lactating breast after weaning Prostatic atrophy after castration
  • 51.
    CELL DELETION ININTESTINAL CRYPT EPITHELIA CELL DEATH IN TUMORS DEATH OF NEUTROPHILS IN ACUTE INFLAMMATION DEATH OF IMMUNE CELLS IN DUCT OBSTRUCTION VIRAL HEPATITIS ( Councilman bodies ) CELL DEATH PRODUCED BY INJURIOUS STIMULI ( In low doses )
  • 52.
    CELL SHRINKAGE CHROMATIN CONDENSATION FORMATIONOF CYTOPLASMIC BLEBS and APOPTOTIC BODIES PHAGOCYTOSIS OF APOPTOTIC CELLS MORPHOLOGIC EVENTS
  • 53.
    PROTEIN CLEAVAGE PROTEIN CROSS– LINKING DNA BREAKDOWN PHAGOCYTIC RECOGNITION BIOCHEMICAL FEATURES
  • 54.
    MECHANISM OF APOPTOSIS SIGNALINGPATHWAY CONTROL and INTEGRATION STAGE EXECUTION PHASE REMOVAL OF DEAD CELLS
  • 56.
    SIGNALING PATHWAYS  MORPHOGENS GROWTH FACTORS  TNFR SUPERFAMILY  DIFFERENTIATION FACTORS SIGNAL DETERMINANTS (+ or - )SURVIVAL APOPTOSIS
  • 57.
    CONTROL AND INTEGRATIONSTAGE FAS – FAS LIGAND MODEL CYTOTOXIC T – LYMPHOCYTE Bcl – 2 FAMILY PROTEINS
  • 60.
    MITOCHONDRIAL MEMBRANE DAMAGE FORMATIONOF PORES DECREASED MEMBRANE POTENTIAL MITOCHONDRIAL SWELLING INCREASED PERMIABILITY CYTOCHROME – C RELEASE BINDS - Apaf –1 TRIGGERS INITIATOR CASPASE APOPTOSIS
  • 61.
    EXECUTION PHASE INITIATOR CASPASEEXECUTION CASPASE CASPASE 9 ACTIVATE CASPASE 3 BINDS Apaf-1 ACTIVATE CASPASE 6 ACTIVATION OF CAS 8 NUCLEAR & CYTOPLASMIC CHANGES APOPTOSIS
  • 63.
    APOPTOSIS NECROSIS Cell shrinkageCell swelling No inflammatory response Inflammatory response Death of single cells Death of many contiguous cells Cytoplasmic blebbing Plasma membrane disruption Chromatin condensation Nuclear swelling & lysis Intact lysosomes & other Lysosomal breakdown organelles Fragmentation of nucleus & Cell lysis & disentegration cytoplasm Phagocytosis by adj ‘ cells Phagocytosis by infl ‘ cells Physiological & path ‘ stimuli Hypoxia , toxins mainly Apoptotic bodies Damaged organelles Programmed cell death Cell death by ATP depletion
  • 67.
    Necrosis Apoptosis Morphological changes Loss of membrane integrity  Begins with swelling of cytoplasm and mitochondria  Ends with total cell lysis  No vesicle formation, complete lysis  Disintegration (swelling) of organelles  Membrane blebbing, but no loss of integrity  Aggregation of chromatin at the nuclear membrane  Begins with shrinking of cytoplasm and condensation of nucleus  Ends with fragmentation of cell into smaller bodies  Formation of membrane bound vesicles (apoptotic bodies)  Mitochondria become leaky due to pore formation involving proteins of the bcl-2 family.
  • 68.
    Necrosis Apoptosis Physiological significance Affects groups of contiguous cells  Evoked by non-physiological disturbances (complement  attack, lytic viruses, hypothermia, hypoxia, ischemica,  metabolic poisons)  Phagocytosis by macrophages  Significant inflammatory response  Affects individual cells  Induced by physiological stimuli (lack of growth  factors, changes in hormonal environment)  Phagocytosis by adjacent cells or macrophages  No inflammatory response
  • 69.
    GANGRENE necrosis oftissue with superadded putrifaction.usually coagulative.  3types.  DRY GANGREN—seen in distal part of limb due to ischemia. eg toes & FEET IN ATHEROSCLEROSIS  THROMBOANGITISOBLITERANCE.RAYNAUDS.  GROSS-DRY,SHRUNKEN,DARK BLACK.MICRO— SMUDGING OF TISSUE/INFL.GRANULATION TISSUE.
  • 70.
    Foot, dry gangrene– Clinical presentation
  • 71.
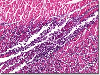
     Wet gangrene—moist tissues. Diabetic foot.high growth of bacteria.bed sores.venous blockage commonly than arterial.due to thrombosis,embolism.  Gross —soft swollen ,putrid rotten dark. eg- bowel gangrene.  Micro —coagulative necrosis with blood,. uleration, inflammatory infiltrate. No clear line of demarcation.
  • 72.
    P – 779/83.Extensive Gangrene of small intestine.
  • 76.
    Gas gangrene  specialform of wet gangrene—gas forming clostridia infectswounds. ms., colonic operation.  GROSS—Swollen, oedematous, crepitant/ dark black, foul smelling.  Microscopy—ms. fibres show coagulative necrosis with liquefaction. gm +bacilli can be identified.
  • 77.