1
 James Ewing originally described it in 1921.
 Ewing first described the tumour as an
"endothelioma of bone" believing that it arose
from the blood vessels of bone tissue.
2
History of Ewing’s Sarcoma
• He later recognised that the histopathologic
features were more complex and went on to
describe it as a "endothelial myeloma"
• He described the histopathology as "broad sheets
of small polyhedral cells with pale cytoplasm, small
hyperchromatic nuclei, well-defined cell borders
and complete absence of inter-cellular material"
3
• Ewing's sarcoma is an unusual disease
comprising about 4-6% of all primary bone
tumors.
• Although it has been reported as occurring at
all ages, by far the majority develops within
the first two decades of life. In the second
decade, it is the most common primary
neoplasm of bone after osteosarcoma.
• The usual site of occurrence is in the
diaphysis of long bones, less often in ribs,
pelvis and vertebrae. 4
Epidemiology
• Involvement of the head and neck in Ewing's
sarcoma is very unusual, accounting for
approximately 1% to 4% of cases.
• Males are affected somewhat more commonly than
females; the ratio is 3:2.
• Unlike osteosarcoma, Ewing's sarcoma has a
predilection for whites; blacks and Asians are
uncommonly affected.
5
 Cell of origin is unknown.
 Previously a diagnosis of exclusion.
 Reciprocal translocation.
6
7
 Gross: soft, tan, gray tissue
 Micro: nests of small round cells
 No osteoid or chondroid production
 Surface cell glycoprotein
8
EZRIN
 Membrane-cytoskeleton linker protein
 Initially identified as a determinant of cell shape
 Plays a critical role in cell motility and
attachment
 Activatation initiated by threonine
phosphorylation at position 567
 Subsequent tyrosine phosphorylation allows for
interaction with signal transduction pathways
Band 4.1 homology a-helixN C
Y143 T567Y353
F-actin
Binding
1. Ezrin is highly and ubiquitously expressed in
Ewing’s sarcoma.
2. Expression of a Ezrin containing a non-
phosphorylatable mutation at threonine 567
functions as dominant negative.
3. These dominant negative effects are observed on
AKT, as well as 4EBP1 genes.
 Lymphoma
 Osteomyelitis
 Osteogenic Sarcoma
 Metastatic neuroblastoma
11
 Symptoms of Ewing's sarcoma vary from person to
person and depending on the location and size of
the cancer.
 The most common symptoms are pain and swelling
or tenderness in the affected area.
 Pain may become very intense when the tumour is
located near important nerves, like in the sacrum,
pelvis or spine.
 Swelling is often seen, especially when the log
bones of the arms or legs are affected.
12
 Local warmth, inflammation
 Pleural effusions
 Neurological signs if spinal involvement
 ESR, LDH, anemia, leukocytosis
13
 Includes:
◦ Ewing tumor of bone.
◦ Extra osseous Ewing.
◦ PNET (PRIMITIVE NEURO-EPITHELIAL TUMOUR)
14
 Expression of CD99 surface protein.
 More than 90% of ESFTs have an 11,22
translocation.
 PNETs are distinguished from other types of
Ewing sarcoma by evidence of neural
differentiation.
15
D
16
 At present, there is no formal staging system
for Ewing's sarcoma/primitive neuroepithelial
tumor.
 Patients are grouped depending on whether
cancer is found in only one part of the body
(localized disease) or whether cancer has
spread from one part of the body to another
(metastatic disease).
17
Staging of Ewing’s Sarcoma
• Localized
The cancer cells have not been shown to have spread beyond the
bone in which the cancer began or are found only in the bone and
nearby tissues.
Metastatic
The cancer cells have spread from the bone in which the cancer
began to other parts of the body. The cancer most often spreads to
the lung, other bones, and bone marrow .Spread of cancer to the
lymph nodes or the central nervous system (brain and spinal cord)
is less common.
Recurrent
Recurrent disease means that the cancer has come back (recurred)
after it has been treated. It may come back in the tissues where it
first started or it may come back in another part of the body.
18
• Localized Ewing's sarcoma/primitive neuroepithelial tumor
Treatment for localized Ewing's sarcoma/primitive neuroepithelial
tumor depends on where the cancer is found in the body.
If the cancer is in the bone below the elbow or knee or in the jaw,
skull, face, shoulder blade, collar bone, or segments of the spinal
column, treatment may be one of the following:
1. Combination chemotherapy
2. Surgery and combination chemotherapy.
3. Radiation therapy and combination chemotherapy.
4. A clinical trial of chemotherapy and new ways of giving radiation
therapy.
5. A clinical trial of chemotherapy followed by surgery, with or
without
radiation therapy.
6. Clinical trials are also evaluating new doses and combinations of
chemotherapy.
19
 Metastatic Ewing's sarcoma/primitive neuroepithelial tumor
Treatment may be one of the following:
1. Combination chemotherapy.
2. Radiation therapy plus combination chemotherapy.
3. Combination chemotherapy plus surgery to remove cancer
that has spread to the lungs.
4. Clinical trials are evaluating new doses and combinations
of chemotherapy with or without radiation treatment.
20
 Location
 Tumor Size
 Metastases at diagnosis
 Response to chemotherapy
21
22
23
Findings:
1. An expansile lytic lesion of
distal the 5th metatarsal.
2. Cortical thinning.
24
DR.KIRAN KAILAS
25
26
27
DR.KIRAN KAILAS
28
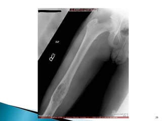
DR.KIRAN KAILAS
29
30

Ewing's sarcoma

  • 1.
  • 2.
     James Ewingoriginally described it in 1921.  Ewing first described the tumour as an "endothelioma of bone" believing that it arose from the blood vessels of bone tissue. 2
  • 3.
    History of Ewing’sSarcoma • He later recognised that the histopathologic features were more complex and went on to describe it as a "endothelial myeloma" • He described the histopathology as "broad sheets of small polyhedral cells with pale cytoplasm, small hyperchromatic nuclei, well-defined cell borders and complete absence of inter-cellular material" 3
  • 4.
    • Ewing's sarcomais an unusual disease comprising about 4-6% of all primary bone tumors. • Although it has been reported as occurring at all ages, by far the majority develops within the first two decades of life. In the second decade, it is the most common primary neoplasm of bone after osteosarcoma. • The usual site of occurrence is in the diaphysis of long bones, less often in ribs, pelvis and vertebrae. 4
  • 5.
    Epidemiology • Involvement ofthe head and neck in Ewing's sarcoma is very unusual, accounting for approximately 1% to 4% of cases. • Males are affected somewhat more commonly than females; the ratio is 3:2. • Unlike osteosarcoma, Ewing's sarcoma has a predilection for whites; blacks and Asians are uncommonly affected. 5
  • 6.
     Cell oforigin is unknown.  Previously a diagnosis of exclusion.  Reciprocal translocation. 6
  • 7.
  • 8.
     Gross: soft,tan, gray tissue  Micro: nests of small round cells  No osteoid or chondroid production  Surface cell glycoprotein 8
  • 9.
    EZRIN  Membrane-cytoskeleton linkerprotein  Initially identified as a determinant of cell shape  Plays a critical role in cell motility and attachment  Activatation initiated by threonine phosphorylation at position 567  Subsequent tyrosine phosphorylation allows for interaction with signal transduction pathways Band 4.1 homology a-helixN C Y143 T567Y353 F-actin Binding
  • 10.
    1. Ezrin ishighly and ubiquitously expressed in Ewing’s sarcoma. 2. Expression of a Ezrin containing a non- phosphorylatable mutation at threonine 567 functions as dominant negative. 3. These dominant negative effects are observed on AKT, as well as 4EBP1 genes.
  • 11.
     Lymphoma  Osteomyelitis Osteogenic Sarcoma  Metastatic neuroblastoma 11
  • 12.
     Symptoms ofEwing's sarcoma vary from person to person and depending on the location and size of the cancer.  The most common symptoms are pain and swelling or tenderness in the affected area.  Pain may become very intense when the tumour is located near important nerves, like in the sacrum, pelvis or spine.  Swelling is often seen, especially when the log bones of the arms or legs are affected. 12
  • 13.
     Local warmth,inflammation  Pleural effusions  Neurological signs if spinal involvement  ESR, LDH, anemia, leukocytosis 13
  • 14.
     Includes: ◦ Ewingtumor of bone. ◦ Extra osseous Ewing. ◦ PNET (PRIMITIVE NEURO-EPITHELIAL TUMOUR) 14
  • 15.
     Expression ofCD99 surface protein.  More than 90% of ESFTs have an 11,22 translocation.  PNETs are distinguished from other types of Ewing sarcoma by evidence of neural differentiation. 15
  • 16.
  • 17.
     At present,there is no formal staging system for Ewing's sarcoma/primitive neuroepithelial tumor.  Patients are grouped depending on whether cancer is found in only one part of the body (localized disease) or whether cancer has spread from one part of the body to another (metastatic disease). 17
  • 18.
    Staging of Ewing’sSarcoma • Localized The cancer cells have not been shown to have spread beyond the bone in which the cancer began or are found only in the bone and nearby tissues. Metastatic The cancer cells have spread from the bone in which the cancer began to other parts of the body. The cancer most often spreads to the lung, other bones, and bone marrow .Spread of cancer to the lymph nodes or the central nervous system (brain and spinal cord) is less common. Recurrent Recurrent disease means that the cancer has come back (recurred) after it has been treated. It may come back in the tissues where it first started or it may come back in another part of the body. 18
  • 19.
    • Localized Ewing'ssarcoma/primitive neuroepithelial tumor Treatment for localized Ewing's sarcoma/primitive neuroepithelial tumor depends on where the cancer is found in the body. If the cancer is in the bone below the elbow or knee or in the jaw, skull, face, shoulder blade, collar bone, or segments of the spinal column, treatment may be one of the following: 1. Combination chemotherapy 2. Surgery and combination chemotherapy. 3. Radiation therapy and combination chemotherapy. 4. A clinical trial of chemotherapy and new ways of giving radiation therapy. 5. A clinical trial of chemotherapy followed by surgery, with or without radiation therapy. 6. Clinical trials are also evaluating new doses and combinations of chemotherapy. 19
  • 20.
     Metastatic Ewing'ssarcoma/primitive neuroepithelial tumor Treatment may be one of the following: 1. Combination chemotherapy. 2. Radiation therapy plus combination chemotherapy. 3. Combination chemotherapy plus surgery to remove cancer that has spread to the lungs. 4. Clinical trials are evaluating new doses and combinations of chemotherapy with or without radiation treatment. 20
  • 21.
     Location  TumorSize  Metastases at diagnosis  Response to chemotherapy 21
  • 22.
  • 23.
    23 Findings: 1. An expansilelytic lesion of distal the 5th metatarsal. 2. Cortical thinning.
  • 24.
  • 25.
  • 26.
  • 27.
  • 28.
  • 29.
  • 30.