CHAIRPERSON-
DRVENKATESH MULIMANI
SPEAKER-
DRVEERESH M
OSTEOSARCOMA
OSTEOSARCOMA
Osteosarcoma
 Malignant tumor characterized by production of
osteoid by malignant cells.
 composed of sarcomatous stroma & malignant
osteoblasts that directly form tumor osteoid ,
although fibrous or cartilagenous elements coexists
or predominate.
 arises in the metaphysis of long bone where
normally growth is more active.
• 2nd
m.c primary malignancy of the bone
• most common malignant tumor of bone in
children & young adult
• accounts for 20% of primary malignacies of the
bone
• incidence 1 to 3 per 1 million per year
 all skeletal locations can be affected ; however,
most primary osteosarcomas occur at the sites of
the most rapid bone growth.
 most common sites are
 the distal end of femur
 the proximal end of tibia
(accounts for more than 50 % of cases)
 the proximal end of humerus
 the proximal end of femur.
most common sites
10 20 30 40 50 60 70 yrs
Osteogenic
Sarcoma
 may affect any age.
 Generally between 10- 25 yrs.
 primary high-grade osteosarcoma - second decade
of life.
 parosteal osteosarcoma - peak incidence in the
third and fourth decades.
 secondary osteosarcomas - in older individuals
 male > female
except parosteal osteosarcoma which is more
common in females
ETIOLOGY
 Oncogenic viruses like Harvey and Moloney
mouse sarcoma virus(RNA virus) and polyoma
and SV 40 (DNA virus)
 Radiation exposure above 2000 rads with latent
period of 4 yrs.
 Chemical agents like 20-methyl
cholanthrene,beryllium compounds.
Clinical features
• Symptoms
1)Progressive pain-
results from microinfarctions .
2)night pain
only about 25% of patients experience this
phenomenon
3)Swelling appears after a few days &
progressively increases
4) An antalgic limp
5) Great majority of patients do not have fever, wt loss,
cachexia, except for disease at primary site
SIGNS
 fusiform swelling
 consistency : variegated
 dilated veins
 skin stretched and shiny
 local rise of temperature
tenderness
pulmonary signs with metastasis
GROSS APPEARANCE
 Situated in metaphysis of long bones (lower end
of femur,upper end of tibia and humerus)
 Appears as large tumor with destruction of inner
cortex as it extends into subperiosteal space.
 Stony hard to soft,gritty consistency
 Color reflects its components-fibrous looks
white,osseous-yellowish white,cartilagenous-
bluish white.
 Necrotic foci and areas of degeneration are seen
Pathological Features
• ‘Mutton leg’
appearance
• Grayish white
• Edge stops at
epiphyseal
cartilage
Microsopy
• primarily osteoblastic,
fibroblastic, or
chondroblastic
• spindle cells
• malignant osteoid
producing cells
• variable appearance
polyhedral/round/
cuboidal / columnar
• intense hypercellularity,
• abundant mitotic figures,
• marked nuclear
pleomorphism
• intercellular matrix
scanty/ considerable amount
• myxomatous/cartilagenous/
osseous
• osteoclastic cell type – when
there is rapid destruction of
the bone.
• cartilage cells-
chondroblastic
osteosarcoma
TYPES
• PRIMARY OSTEOSARCOMA
 CONVENTIONAL OSTEOSARCOMA ( HIGH – GRADE)
 PERIOSTEAL OSTEOSARCOMA
 PAROSTEAL OSTEOSARCOMA
 LOW-GRADE INTRAMEDULLARY OSTEOSARCOMA
 HIGH-GRADE SURFACE OSTEOSARCOMA
 TELANGIECTATIC OSTEOSARCOMA
 SMALL CELL OSTEOSARCOMA
• SECONDARY OSTEOSARCOMA
CONVENTIONAL OSTEOSARCOMA
 begin in intramedullary location – break
through cortex - form a soft tissue mass.
 histologically –
osteoblastic/ fibroblastic / chondroblastic
 osteoid production from tumor cells.
 high grade spindle cell component.
RADIOGRAPH showing typical malignant features including permeative-motheaten
pattern of destruction, irregular cortical destruction and aggressive (interrupted)
periosteal reaction.
Radiological Features
•Plain radiographs are most valuable tool for correct
diagnosis
•Most common is – aggressive lesion in the
metaphysis of long bone(90%).( 10% diaphyseal &
1% epiphyseal)
•Predominantly blastic / lytic
•Lesions are quite permeative & ill defined
•Codman’s triangle, Sunburst / hair on end
appearance may be seen.
OSTEOID MATRIX
Cloud-like bone formation in
osteosarcoma.
Notice the aggressive, interrupted
periosteal reaction
Trabecular ossification pattern
in osteoid osteoma.
Notice osteolytic nidus (arrow).
Wide zone of transition indicates malignancy or infection or
eosinophilic granuloma
An ill-defined border with a broad zone of transition is a sign of aggressive
growth It is a feature of malignant bone tumors.
There are two tumor-like lesions which may mimic a malignancy and have to be
included in the differential diagnosis. These are infections and eosinophilic
granuloma
PERIOSTEAL REACTION
non-specific reaction and will occur whenever
the periosteum is irritated by a malignant
tumor, benign tumor, infection or trauma
two patterns of periosteal reaction:
a benign and
an aggressive type.
PERIOSTEAL REACTION
 The periosteum is a membrane
several cell layers thick that covers
entire bone except area covered by
cartilage.
 Besides covering the bone and
sharing some of its blood supply
with the bone, it also produces
bone when it is stimulated
appropriately
25
PERIOSTEAL REACTION
 With slow-growing lesions, the
periosteum has time to produce new
bone
 With rapidly growing lesions, the
periosteum cannot produce new bone
as fast. An interrupted pattern results,
which may be:
 a thin shell of calcified new bone
 one or more concentric shells of new bone
over the lesion, sometimes called lamellated
or "onion-skin" periosteal reaction.
26
PERIOSTEAL REACTION
 If the lesion grows rapidly but
steadily, the periosteum will not
have enough time to lay down
even a thin shell of bone
 In such cases, the tiny fibers that
connect the periosteum to the
bone (Sharpey's fibers) become
stretched out perpendicular to
the bone.
 When these fibers ossify, they
produce a pattern sometimes
called "sunburstsunburst" or "hair-on-hair-on-
endend" periosteal reaction,
depending of how much of the
bone is involved by the process.
27
A benign type of periosteal reaction is a thick, wavy and uniform
callus formation resulting from chronic irritation.
Benign periosteal reaction in an osteoid osteoma
Aggressive periosteal reaction
Osteosarcoma with
interrupted periosteal
reaction and Codman's
triangle proximally.
Ewing sarcoma with
lamellated and focally
interrupted periosteal
reaction
Infection with a
multilayered periosteal
reaction
osteoid
osteoma
chr. Osteomyelitis
Ewing’
s
A)hair on end –
Ewing’s
B) Sunburst-
Osteosarcoma
Anteroposterior and lateral radiographs of
proximal tibia with chondroblastic
osteosarcoma.
CT scan
 the neoplastic bone appears amorphous .
 used to evaluate the chest for pulmonary metastases.
 approximately 10% to 20% of patients with
osteosarcoma present with radiographically detectable
metastases at diagnosis. most of these are in the lungs.
 chest ct is superior to plain radiography in
demonstrating these metastases, and spiral ct is
superior to conventional ct for this purpose.
M R I
 largely replaced ct as the optimal modality for
imaging the primary tumor.
 demonstrates the degree of soft tissue extension
and the relationship of the extracompartmental
tumor to fascial planes and neurovascular
structures.
 best feature is its ability to precisely evaluate the
extent of tumor in the medullary cavity.
 occult skip metastases of 2 mm or more in long
bones are well seen on MRI
Anteroposterior view of proximal humerus with
osteoblastic osteosarcoma.
MRI shows extent of tumor within bone and soft tissue
better.
Bone scan
 bone scan with technetium 99m shows a marked increase in the
uptake due to active formation of new tumor and host bone as
well as the vascularity of the lesion.
 radionuclide bone scintigraphy is used to look for bony
metastases in the involved bone (skip metastases) and at other
skeletal sites.
 mineralized metastases are more likely to be detected by bone
scans than are nonmineralized ones at extrapulmonary sites.
 the intensity of the uptake increases with the vascularity of the
lesion.
• gallium scans
are the most sensitive tests for locating
nonpulmonary metastases.
• positron emission tomography
• useful in
-staging,
- planning the biopsy,
- evaluating the response to chemotherapy, and
helping to direct subsequent treatment.
BIOPSY
single most important step in
- staging,
- histological diagnosis and
- to plan type and extent of treatment.
TYPES
Incisional biopsy-
- Less sampling error,
- provides the most tissue for additional diagnostic
studies, such as cytogenetics and flow cytometry.
- complication rates are high.
core biopsy-
- can provide an accurate diagnosis in 90% of cases.
- the limited amount of tissue obtained may not be
adequate
excisional biopsy- done in benign tumors.
Needle biopsy
• may be 90% accurate at determining
malignancy; however, its accuracy at determining
specific tumor type is much lower.
• the absence of malignant cells on fine needle
aspiration is less reassuring than a negative
incisional biopsy
BIOPSY PRECAUTIONS
• Placement of the biopsy is a crucial decision because the
biopsy track needs to be excised en bloc with the
tumor
• Transverse incisions should be avoided because they
are extremely difficult or impossible to excise with the
specimen.
•The deep incision should go through a single
muscle compartment rather than contaminating
an intermuscular plane
The periphery of a lesion usually contains the most
viable tissue and is the best tissue on which
diagnosis is based
If hole must be made in bone during biopsy, defect should be round to
minimize stress concentration, which otherwise could lead to
pathological fracture.
poorly performed biopsies.
Biopsy resulted in irregular defect in bone, which led to pathological fracture.
Transverse incisions should not be used. Multiple needle tracks contaminate quadriceps
Needle biopsy track
contaminated patellar
tendon.
Drain site was not
placed in line with
incision.
STAGING of
Osteosarcoma
Enneking System for Staging
Malignant Tumors
Stage Grade Site Metastases
IA Low Intracompartmental None
IB Low Extracompartmental None
IIA High Intracompartmental None
IIB High Extracompartmental None
III Any Any Regional or distant
metastases
American Joint Committee on Cancer
System for Staging Soft-Tissue
Sarcomas
Stage Grade Size Depth Metastases
I Low Any Any None
II Low ≤5 cm Any None
High >5 cm Superficial None
III High >5 cm Deep None
IV Any Any Any Regional or
distant
TNM STAGING OF BONE TUMORS
Lab investigations
 CBC - usually normal
 ESR - elevated, not specific.
 ALP - elevated in osteosarcoma, reflecting
osteogenesis in the neoplastic tissue.
degree of elevation of this enzyme depend on
activity of the neoplastic osteoblasts within the
lesion and
size of the tumor.
 an elevated ALP level has been associated with a
worse prognosis.
 the course of osteosarcoma can be monitored by serial
determination of serum alkaline phosphatase levels.
 following ablation of the tumor, the enzyme level falls to near
normal; it rises with the development of metastases and with
recurrence.
 in some studies, the LDH level has been shown to be of
prognostic importance.
 an ELEVATED LDH level is associated with a
worse prognosis
PERIOSTEAL OSTEOSARCOMA
 an intermediate-grade chondroblastic
osteosarcoma that arises on the surface of the
bone.
 the most common locations are the diaphysis of
femur and tibia
 it occurs in a slightly older and broader age group.
 histological examination
strands of osteoid-producing spindle cells
radiating between lobules of cartilage.
PAROSTEAL OSTEOSARCOMA
 low grade fibroblastic or juxtracortical
osteosarcoma.
 4 % of all osteosarcoma.
 occurs at late age , females
 slow growing
 arises from surface of the bone
 it invade the medullary cavity in the late stages
 it has a peculiar tendency to occur as a lobulated
ossified mass on the posterior aspect of the distal
femur.
• it usually appears on the surface ( rather than
intracortically ) producing large homogeonenous
lobulated new bone outside the bone shell and
into the soft tissue- often palpable.
• histologically
trabeculae of malignant bone
& osteoid tissue with
definite malignant connective
tissue stroma,
encapsulated by fibrous
tissue.
D/D
• osteochondroma-
shows a medullary cavity containing marrow in
continuity with the medullary canal of the
involved bone
• myositis ossificans-
the ossification in myositis ossificans is more
mature at the periphery of the lesion, whereas the
center of a parosteal osteosarcoma is more
heavily ossified
LOW-GRADE INTRAMEDULLARY
OSTEOSARCOMA
• rare type
• an indolent course with relatively benign features on
radiograph.
• mistaken radiographically and histologically for an
osteoblastoma or fibrous dysplasia.
• located in an intramedullary location and erodes
through the cortex only very late.
• histologically
slightly atypical spindle cells producing slightly
irregular osseous trabeculae.
prognosis
 GENERAL PROGNOSIS IS BETTER THAN
CONVENTIONAL OS
 PRI. AMPUTATION – 50 – 70 % 5 YR
SURVIVAL
 FOR SMALL LESIONS, EARLY WIDE
RESECTIONS SHOW 80 – 90 % LONG TERM
SURVIVAL.
HIGH-GRADE SURFACE
OSTEOSARCOMA
• least common type.
• an aggressive tumor arising on the outer aspect of
the cortex.
• radiographs show an invasive lesion with ill-defined
borders.
• the microscopic appearance is similar to
conventional osteosarcoma.
• in contrast to parosteal osteosarcoma, medullary
involvement is common at the time of diagnosis.
TELANGIECTACTIC OSTEOSARCOMA
• purely lytic
• x-ray may show invasive lesion or ballooned out
appearance similar to ABC
• grossly , resembles a blood filled cyst with very
small solid portion
• on low power microscope it resembles ABC with
blood filled spaces separated by septa but high
power will reveal that cells in the septa are frankly
malignant.
SMALL CELL OSTEOSARCOMA
 high grade lesion
 consists of blue cells resembling ewing’s
sarcoma or lymphoma
 cytogenetic and immunohistochemistry
needed to differentiate them.
SECONDARY OSTEOSARCOMA
• rare in young but constitutes almost of the
osteosarcomas in pts. older then 50 yrs of age.
• most common factors associated with it are
1. paget disease
2. previous radiation treatment
• pagets osteosar. -6th – 8th
decade of life and
pelvis is the mc site.
• radiation osteos. occurs in pts who have been
treated with greater then 2500 cgy and occurs in
unusal locations like skull, spine, clavicle, ribs,
scapula and pelvis
a Resection of proximal tibia with typical features of osteosarcoma.
Mapping of the specimen is done in order to evaluate the response to given preop
chemotherapy. b Pretreatment biopsy of high-grade osteoblastic
osteosarcoma. c After treatment the tumor is replaced by a network
of
acellular mineralized bone indicating good response. d Active fracture callus
may show features resembling osteosarcoma but lack true anaplasia. e
Resection of lower leg showing a telangiectatic osteosarcoma in the
distal tibia. f Telangiectatic osteosarcoma resembles an aneurysmal bone
• other conditions
 fibrous dysplasia
 bony infarcts
 osteochondromas
 chronic osteomyelitis
 dedifferentiated chondrosarcomas
 osteogenesis imperfecta
CHEMOTHERAPY
• ADJUVANT CHEMOTHERAPY -chemotherapy administered
postoperatively to treat presumed micrometastases.
• neoadjuvant chemotherapy chemotherapy administered before
surgical resection of the primary tumor
 currently most orthopaedic oncologists favor preoperative
chemotherapy with the definitive procedure performed 3 to 4 weeks
after the last dose has been administered.

 chemotherapy is restarted 2 weeks postoperatively if the wound has
healed.
TREATMENT
 chemotherapy drugs are most effective when the
tumor against which they are directed is small.
 combinations of these drugs are more effective than
single agents.
 dosage, sequence of drugs, and schedule seem to be
important in achieving the maximal response.
 all have toxicity for normal tissues
Advantages of neoadjuvant
chemotherapy over adjuvant
chemotherapy. Preoperative chemotherapy frequently causes regression
of the primary tumor, making a successful limb salvage
operation easier.
 . Neoadjuvant chemotherapy followed by surgical
resection allows for histological evaluation of the
effectiveness of treatment.
 This is one of the most valuable prognostic indicators of
successful long-term outcome.
Preoperative chemotherapy theoretically may
decrease the spread of tumor cells at the time of
surgery.
neoadjuvant chemotherapy usually can be started
immediately, effectively treating
micrometastases at the earliest time possible.
 Prevents tumor progression, which may occur
during any delay before surgery.
CHEMOTHERAPEUTIC AGENTS
 DOXORUBICIN
 Glycoside antibiotic,binds to DNA and inhibits
RNA synthesis.
 Toxic effects-
 Reversible and dose related are leukemia,transient
alopecia,cardiomyopathy.
 Dose-30 mg/sq mt BSA for 3 days,repeated every 4
wks,6 cycles.
METHOTREXATE
 Binds to di-hydro folate reductase and cessation
of DNA synthesis
 Dose-
 Vincristine is given 2 mg/sq m I.V half an hour
before methotrexate as it promotes its uptake.
 Methotrexate(1.5 gm/sq m) given as I.V infusion
over 6 hr.
 Repeated every 2 weekly and dose is gradually
increased upto 7.5 gm/sq m
 Toxic effects-bone marrow suppression,oral
mucositis,vomiting and transient elevation of liver
enzymes,candida superinfection.
CHEMOTHERAPY REGIMEN
 Doxorubicin and cisplatin therapy
 Doxorubicin 25 mg/m2 IV on days 1-3 plus cisplatin 100
mg/m2 IV on day 1; repeat cycle every 21 days.
 High-dose methotrexate, cisplatin, and
doxorubicin regimen
 Neoadjuvant setting:
 High-dose methotrexate 12 g/m2 IV given over 4h on
weeks 0, 1, 5, 6, 13, 14, 18,19, 23, 24, 37, and 38,
alternating with cisplatin 60 mg/m2 IV plus doxorubicin
37.5 mg/m2/day IV for 2d each on weeks 2, 7, 25, and 28.
Chemotherapy contd
 Adjuvant
 High-dose methotrexate 12 g/m2 IV given over 4h on
weeks 3, 4, 8, 9, 13, 14, 18, 19,23, 24, 37, and 38,
alternating with cisplatin 60 mg/m2 IV plus doxorubicin
37.5 mg/m2/day IV for 2d each on weeks 5, 10, 25, and 28
 2 cycles are given preoperatively, and 4 cycles are
usually given postoperatively
 Requires administration of 15 mg leucovorin every 6h for
10 doses, starting 24h after initiation of high dose
 Doxorubicin, cisplatin, ifosfamide, and high-
dose methotrexate
Ifosfamide 15 g/m2 plus methotrexate 12 g/m2plus
cisplatin 120 mg/m2plus doxorubicin 75 mg/m2
Postoperatively, patients receive 2 cycles of doxorubicin
90 mg/m2 and 3 cycles each of high-dose ifosfamide,
methotrexate, and cisplatin 120-150 mg/m2
Granulocyte colony-stimulating factor (G-CSF) support is
mandatory after the high-dose
PRINCIPLES OF SURGERY
 Amputation versus Limb Salvage
 Simon described four issues that must be considered whenever
contemplating limb salvage instead of an amputation, as
follows:
 1. Would survival be affected by the treatment choice?

2. How do the short-term and long-term morbidity compare?

3. How would the function of a salvaged limb compare with
that of a prosthesis?

4. Are there any psychosocial consequences?
AMPUTATION
Irrespective of the method chosen to treat
osteosarcoma, the local tumor must be
completely excised with negative margins.
Although amputation is performed less
frequently than in the past, it remains the gold
standard of local control.
Indications for amputation
 very young age, when limb length inequality would be a major
problem
 displaced pathologic fractures
 large soft tissue masses involving neurovascular structures;
disease progression during chemotherapy;
 local recurrence following limb salvage procedures.
 In the upper extremity, attempt is made to preserve at least
hand function, because prosthetic replacements are not nearly
as good as a functional hand.
 However, in the lower extremity, modern prosthetics are very
functional.
 The level of amputation is determined by close scrutiny of
conventional radiographs, bone scans, and MRI.
 The entire involved bone should be carefully evaluated by MRI
for skip metastases.
 Most frequently, a wide cross-bone amputation is performed
rather than a radical amputation.
 Exceptions might be a young child with a tibial osteosarcoma,
in whom knee disarticulation or above-knee amputation is
performed, or a hindfoot osteosarcoma requiring a below-knee
amputation.
 In very young children, residual limb overgrowth may be a
problem.
 For below-knee amputations, this can be addressed by placing a
metacarpal plug in the distal tibial canal if the ipsilateral foot is
uninvolved by tumor.
 Further, in very young children, the predicted length of the
residual limb at maturity may be very short if a growth plate is
resected.
 For foot tumors, this can be addressed with a Syme's-type
amputation rather than a below-knee amputation
 in proximal tibial lesions, a knee disarticulation may be
preferable to an above-knee amputation. These can be revised
at maturity if necessary for prosthetic fitting.
 In “expendable” bones such as the clavicle, fibula, scapula, and
rib, resection without reconstruction can be considered.
 Lesions of the radius and ulna are rare and can usually be
resected with minimal reconstruction or with fibular autografts
or allografts used for reconstruction.
 Lesions of the hands and feet usually require amputation,
although ray amputation and partial amputations that preserve
some hand or foot function can sometimes be performed.
 For lesions of the extremities that are deemed resectable, the
reconstruction can be complex and depends on the age of the
patient and the location of the tumor in reference to joints and
growth plates.
 For most distal femoral and proximal tibial osteosarcomas, an
intracompartmental, intra-articular resection can be carried out.
 The same is usually possible for lesions of the proximal
humerus.
 Reconstruction is achieved either with an osteoarticular
allograft or with a metallic prosthesis.
SALVAGE V/S AMPUTATIUON
 more extensive surgical procedure
 greater amount of morbidity
 multiple future operations
 periprosthetic fractures, prosthetic loosening,
allograft fracture, length discrepancy and late
infection.
 after initial salvage 33% may later have
amputation
 durability of reconstructions in long term
survivors
 none of the reconstruction will give normal
function
 ultimately choice depends upon patient’s
expectations and quality of life
 Limb salvage –
 is considered if there has been no progression of disease
locally or distantly and if the nerves and blood vessels are
free of tumor.
 The most important issue is the ability to completely
resect the tumor with wide margins. The adjacent joint
and growth plates are assessed for tumor involvement.
 The thickness of the soft tissue margin depends on the
type of tissue. A fascial margin is considered a more
substantial barrier to tumor spread than a similar
thickness of fat.
 The resection should be planned with the goal of
achieving local control; reconstruction options are a
secondary consideration
BARRIERS TO LIMB SALVAGE
 poorly placed biopsy incision
 major vascular involvement
 encasement of major motor nerve
 pathological fracture of involved bone
PHASES OF LIMB SALVAGE
 RESECTION OF TUMOR
 SKELETAL RECONSTRUCTION
 SOFT TISSUE AND MUSCLE TRANSFER
“THREE STRIKE RULE”
SURGICAL
MARGIN
An intralesional margin --plane of surgical
dissection is within the tumor.
A marginal margin --closest plane of
dissection passes through the pseudocapsule.
Wide margins --plane of dissection is in
normal tissue
Radical margins --all the compartments
that contain tumor are removed en bloc
Resections and
reconstructions currently, most musculoskeletal malignancies are
treated local resection and reconstruction.
 goal of resection -- is to achieve wide surgical
margins if possible.
 if this is impossible because of anatomical
constraints, a marginal resection combined with
adjuvant or neoadjuvant treatment (e.g., radiation
for a soft-tissue sarcoma) may be preferable to an
amputation
 a marginal resection usually is adequate for most
benign neoplasms
 reconstructions often are done on young patients
who are extremely active.
 most reconstructions involve preserving a mobile
joint, for which these general options are available:
 osteoarticular allograft reconstruction,
 endoprosthetic reconstruction,
 allograft-prosthesis composite reconstruction.
 rotationplasty
RECONSTRUCTION OF BONE DEFECT
A. SPONTANEOUS REPAIR
B. BONE GRAFTING
C. PROSTHETIC REPLACEMENT
D. COMBINATION OF ABOVE
SPONTANEOUS REPAIR
A. is synonymous with fracture healing
B. small cavities produced by subtotal
curettage
C. defects following wide or marginal
excision(stability provided by remaining
bone and internal fixation)
BONE GRAFTING
A. AUTOGENOUS-
 CANCELLOUS
 CORTICAL
 COMBINED
 AUTOCLAVED
 VASCULARISED
AUTOCLAVED AUTOGRAFTS
 tumor and bone are excised, majority of lesion is
removed from bone and remaining bone is
autoclaved for 20mins.
 advantage is easy to procure and absence of
donor morbidity
 disadvantage is high incidence of nonunion,
fatigue failure and infection.
OSTEOARTICULAR ALLOGRAFTS
 ADVANTAGES
 ability to replace ligaments, tendons, and
intraarticular structures
 Complications
 nonunion at the graft-host junction
 fatigue fracture
articular collapse
dislocation
degenerative joint disease
 failure of ligament and tendon attachments.
Osteoarticular allografts may have a role as a
temporary measure to preserve an adjacent
physis in an immature patient
A proximal tibial osteoarticular allograft could be used
in an immature patient in an attempt to preserve the
distal femoral physis until skeletal maturity.
This could be converted later to an endoprosthetic
reconstruction when it becomes necessary.
ALLOGRAFT-PROSTHESIS COMPOSITES
 may provide a long-term solution for some
patients.
 avoid the complications of degenerative joint
disease and articular collapse, while still
preserving the ability to attach soft-tissue
structures directly, such as the patella tendon or
the hip abductors.
 associated, however, with fatigue fracture,
infection, and nonunion at the graft-host
junction. .
 main indication for an allograft-
prosthesis composite
is an inadequate length of
remaining host bone to secure
the stem of an endoprosthesis.
ENDOPROSTHETIC RECONSTUCTION
 provide long-term function for some patient
advantage
 predictable immediate stability that allows for
quicker rehabilitation with immediate full weight
bearing.
 most endoprostheses are modular, allowing for
incremental limb lengthening as an immature
patient grows.
long-term complications
polyethylene wear is still a limiting factor for
articulating surfaces
 fatigue fracture can occur at the rotating hinge, but
this too is easily replaceable.
fatigue fracture at the base of the intramedullary stem
where it attaches to the body of the prosthesis is more
problematic
for pediatric patients, future limb-length inequality
must be considered.
 For patients who are near skeletal maturity
1) the reconstructed limb can be lengthened 1 cm at the initial
procedure.
2)epiphysiodesis of the contralateral limb can be done at the
appropriate age to preserve limb-length equality (or to minimize
inequality).
 For younger patients,
 amputation and rotationplasty
 repiphysis expandable prosthesis
distal femur of 7-year-old girl with telangiectatic osteosarcoma. C,
Intraoperative photograph of resected specimen and custom Repiphysis
prosthesis. D, Intraoperative photograph after placement of prosthesis. E,
Anteroposterior radiograph
Repiphysis lengthening procedure. A, Locking mechanism (arrow) located.
B, The patient's leg is marked at this site. C, Electromagnetic coil is
placed around the patient's leg at the level of the locking mechanism. D,
Device activated. E and F, Preexpansion and postexpansion radiographs
• Rotationplasty is a procedure which allows the ankle to
substitute as the knee after 180 degree rotation of the limb.
•The original idea was conceived by Borggreve in 1927 to treat
a shortened lower limb with stiff knee after tuberculosis .
• Later popularized by Van Ness for management of proximal
focal femoral deficiency.
•Salzer in 1974 first used it for malignant tumors around the
knee.
ROTATIONPLASTY
 Winkelmann classified rotationplasty into five groups, as
follows:
GROUP AI - lesion in distal femur.
the distal femur, knee joint, and proximal tibia
are resected;
the lower leg is rotated 180 degrees;
tibia is joined to the remaining femur.
 .
GROUP AII
 lesion in the proximal tibia.
 distalmost femur, knee joint, and
proximal tibia are resected.
 after rotation of 180 degrees, the distal
tibia is joined to the distal femur
  GROUP BI
• lesion in the proximal femur sparing the hip joint
and gluteal muscles.
• the upper femur and hip joint are resected, and the
leg is rotated 180 degrees.
• the distal femur is joined to the pelvis so that the
knee functions as the hip, and the ankle functions as
the knee .
  
ROTATIONPLASTY CONTD..
 GROUP BII —lesion in the proximal femur with
involvement of hip joint and contiguous soft
tissue.
 upper femur, hip joint, and lower hemipelvis are
resected, and the leg is rotated 180 degrees
 remaining femur is joined to the remnant of the
ilium so that the knee functions as a hinged hip
joint and the ankle functions as the knee
GROUP BIII. – lesion in mid femur
the entire femur is resected.
the tibia is attached to the pelvis using
an endoprosthesis
Long term prognosis
 In patients who are long-term survivors after resection
of an extremity sarcoma, the probability of limb
survival is associated with
 1) type of reconstruction
 2) the location of the tumor.
Regarding prosthetic or allograft-prosthetic composite
reconstructions
location is the most important issue proximal
reconstructions generally outlasting more distal
reconstructions.
(This is the inverse of the prognosis for overall patient survival,
with distal sarcomas having a better prognosis than proximal
sarcomas.)
Proximal femoral reconstructions generally outlast distal
femoral reconstructions, which generally outlast proximal tibial
reconstructions
RADIOTHERAPY
Osteosarcoma is a relatively radioresistant malignancy.
For this reason, adjuvant chemotherapy and surgery have
been the mainstays of therapy.
Radiation therapy in the primary local control setting
should be reserved on a case-by-case basis for patients with
unresectable tumors and/or where margins of resection are
positive .
 Typically these tumors involve the head and neck or spinal
region.
For definitive radiation therapy, doses of 55–60 Gy are
given with conventional daily fractionation of 1.8 Gy.
 modern radiation delivery techniques such as
intensity modulated radiation therapy and proton
beam therapy can be used.
 Here the delivery of radiation to a target volume is
improved while scatter to surrounding organs can
be minimized.
 Radiation therapy can be used as an effective
palliative measure particularly for painful bony
metastases.
BRACHYTHERAPY
 hollow catheters are implanted in the tumor bed at the
time of resection.
 These catheters exit through the skin.
 Postoperative radiographic evaluation and computer
calculations determine the optimal loading of the
catheters with radioisotopes.
 High doses to be delivered to the target tissues.
 The radiation levels fall off rapidly at the edges of the
field, sparing normal tissues
Brachytherapy catheters woven through polyglactin 910 (Vicryl) mesh to
help maintain proper spacing. Catheters placed along vessels and bone
(where margins were close) exiting through separate stab wounds.
soft-tissue sarcoma
Megavoltage radiotherapy
 principle
1. radical dose levels of 7000 – 8000 rads.
2. distribute the dose according to probable disribution
of tumor cells.
3. exclude all normal tissue and biopsy scar.
 with proper treatment
1. painless & nonedematous limb is attained
2. reduced incidence of fibrotic, atrophic limb
 disadvantage -pathological # can occcur.
 HIGH TUMOR DOSE OF 6000- 7000 RADS
(SOMETIMES 8000 RADS)
 230 RADS/DAY OR 1000 RADS/WKLY.
 PRECAUTIONS-
 WHEN BIOPSY IS DONE PRIOR TO FULL COURSE
OF IRRADIATION - BIOPSY SCAR SHOULD BE HELD
LESS THAN 2 CM. TO PREVENT RADIATION
NECROSIS & SKIN BREAKDOWN FOLLOWED BY
INF & HAEMORRHAGE.
 NEEDLE BIOPSY SHOULD PREFERRED IN SUCH
CASES.
Newer agents
 liposomal muramyl tripeptide-phosphatidyl-
ethanolamine(mifamurtide)- an agent derived from
BCG that activates macrophages and increases
circulating cytokine levels.
 Transtuzumab (Herceptin)- a monoclonal antibody
to HER2/erbB-2
prognosis
• most series report long-term survival of
60% to 75% for patients with high-grade
osteosarcoma without metastases at initial
presentation and 90% for low-grade
lesions.
Prognostic factors
1. THE EXTENT OF THE DISEASE.(MOST
IMPORTANT )
2. GRADE OF LESION
3. SIZE OF PRIMARY TUMOR
4. SKELETAL LOCATION
5. LOCAL RECURRENCE
• POOR PROGNOSTIC FACTORS
1. RAPID RELAPSE AFTER COMPLETION OF INITIAL
TREATEMENT
2. MANY, LARGE, UNRESECTABLE PULMONARY
NODULES
THANK YOU

Osteosarcoma ppt

  • 1.
  • 2.
  • 3.
    Osteosarcoma  Malignant tumorcharacterized by production of osteoid by malignant cells.  composed of sarcomatous stroma & malignant osteoblasts that directly form tumor osteoid , although fibrous or cartilagenous elements coexists or predominate.  arises in the metaphysis of long bone where normally growth is more active.
  • 4.
    • 2nd m.c primarymalignancy of the bone • most common malignant tumor of bone in children & young adult • accounts for 20% of primary malignacies of the bone • incidence 1 to 3 per 1 million per year
  • 5.
     all skeletallocations can be affected ; however, most primary osteosarcomas occur at the sites of the most rapid bone growth.  most common sites are  the distal end of femur  the proximal end of tibia (accounts for more than 50 % of cases)  the proximal end of humerus  the proximal end of femur.
  • 6.
  • 7.
    10 20 3040 50 60 70 yrs Osteogenic Sarcoma
  • 8.
     may affectany age.  Generally between 10- 25 yrs.  primary high-grade osteosarcoma - second decade of life.  parosteal osteosarcoma - peak incidence in the third and fourth decades.  secondary osteosarcomas - in older individuals  male > female except parosteal osteosarcoma which is more common in females
  • 9.
    ETIOLOGY  Oncogenic viruseslike Harvey and Moloney mouse sarcoma virus(RNA virus) and polyoma and SV 40 (DNA virus)  Radiation exposure above 2000 rads with latent period of 4 yrs.  Chemical agents like 20-methyl cholanthrene,beryllium compounds.
  • 11.
    Clinical features • Symptoms 1)Progressivepain- results from microinfarctions . 2)night pain only about 25% of patients experience this phenomenon 3)Swelling appears after a few days & progressively increases 4) An antalgic limp 5) Great majority of patients do not have fever, wt loss, cachexia, except for disease at primary site
  • 12.
    SIGNS  fusiform swelling consistency : variegated  dilated veins  skin stretched and shiny  local rise of temperature tenderness pulmonary signs with metastasis
  • 14.
    GROSS APPEARANCE  Situatedin metaphysis of long bones (lower end of femur,upper end of tibia and humerus)  Appears as large tumor with destruction of inner cortex as it extends into subperiosteal space.  Stony hard to soft,gritty consistency  Color reflects its components-fibrous looks white,osseous-yellowish white,cartilagenous- bluish white.  Necrotic foci and areas of degeneration are seen
  • 15.
    Pathological Features • ‘Muttonleg’ appearance • Grayish white • Edge stops at epiphyseal cartilage
  • 16.
    Microsopy • primarily osteoblastic, fibroblastic,or chondroblastic • spindle cells • malignant osteoid producing cells • variable appearance polyhedral/round/ cuboidal / columnar • intense hypercellularity, • abundant mitotic figures, • marked nuclear pleomorphism
  • 17.
    • intercellular matrix scanty/considerable amount • myxomatous/cartilagenous/ osseous • osteoclastic cell type – when there is rapid destruction of the bone. • cartilage cells- chondroblastic osteosarcoma
  • 18.
    TYPES • PRIMARY OSTEOSARCOMA CONVENTIONAL OSTEOSARCOMA ( HIGH – GRADE)  PERIOSTEAL OSTEOSARCOMA  PAROSTEAL OSTEOSARCOMA  LOW-GRADE INTRAMEDULLARY OSTEOSARCOMA  HIGH-GRADE SURFACE OSTEOSARCOMA  TELANGIECTATIC OSTEOSARCOMA  SMALL CELL OSTEOSARCOMA • SECONDARY OSTEOSARCOMA
  • 19.
    CONVENTIONAL OSTEOSARCOMA  beginin intramedullary location – break through cortex - form a soft tissue mass.  histologically – osteoblastic/ fibroblastic / chondroblastic  osteoid production from tumor cells.  high grade spindle cell component.
  • 20.
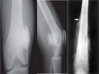
    RADIOGRAPH showing typicalmalignant features including permeative-motheaten pattern of destruction, irregular cortical destruction and aggressive (interrupted) periosteal reaction.
  • 21.
    Radiological Features •Plain radiographsare most valuable tool for correct diagnosis •Most common is – aggressive lesion in the metaphysis of long bone(90%).( 10% diaphyseal & 1% epiphyseal) •Predominantly blastic / lytic •Lesions are quite permeative & ill defined •Codman’s triangle, Sunburst / hair on end appearance may be seen.
  • 22.
    OSTEOID MATRIX Cloud-like boneformation in osteosarcoma. Notice the aggressive, interrupted periosteal reaction Trabecular ossification pattern in osteoid osteoma. Notice osteolytic nidus (arrow).
  • 23.
    Wide zone oftransition indicates malignancy or infection or eosinophilic granuloma An ill-defined border with a broad zone of transition is a sign of aggressive growth It is a feature of malignant bone tumors. There are two tumor-like lesions which may mimic a malignancy and have to be included in the differential diagnosis. These are infections and eosinophilic granuloma
  • 24.
    PERIOSTEAL REACTION non-specific reactionand will occur whenever the periosteum is irritated by a malignant tumor, benign tumor, infection or trauma two patterns of periosteal reaction: a benign and an aggressive type.
  • 25.
    PERIOSTEAL REACTION  Theperiosteum is a membrane several cell layers thick that covers entire bone except area covered by cartilage.  Besides covering the bone and sharing some of its blood supply with the bone, it also produces bone when it is stimulated appropriately 25
  • 26.
    PERIOSTEAL REACTION  Withslow-growing lesions, the periosteum has time to produce new bone  With rapidly growing lesions, the periosteum cannot produce new bone as fast. An interrupted pattern results, which may be:  a thin shell of calcified new bone  one or more concentric shells of new bone over the lesion, sometimes called lamellated or "onion-skin" periosteal reaction. 26
  • 27.
    PERIOSTEAL REACTION  Ifthe lesion grows rapidly but steadily, the periosteum will not have enough time to lay down even a thin shell of bone  In such cases, the tiny fibers that connect the periosteum to the bone (Sharpey's fibers) become stretched out perpendicular to the bone.  When these fibers ossify, they produce a pattern sometimes called "sunburstsunburst" or "hair-on-hair-on- endend" periosteal reaction, depending of how much of the bone is involved by the process. 27
  • 28.
    A benign typeof periosteal reaction is a thick, wavy and uniform callus formation resulting from chronic irritation. Benign periosteal reaction in an osteoid osteoma
  • 29.
    Aggressive periosteal reaction Osteosarcomawith interrupted periosteal reaction and Codman's triangle proximally. Ewing sarcoma with lamellated and focally interrupted periosteal reaction Infection with a multilayered periosteal reaction
  • 30.
    osteoid osteoma chr. Osteomyelitis Ewing’ s A)hair onend – Ewing’s B) Sunburst- Osteosarcoma
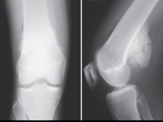
  • 33.
    Anteroposterior and lateralradiographs of proximal tibia with chondroblastic osteosarcoma.
  • 34.
    CT scan  theneoplastic bone appears amorphous .  used to evaluate the chest for pulmonary metastases.  approximately 10% to 20% of patients with osteosarcoma present with radiographically detectable metastases at diagnosis. most of these are in the lungs.  chest ct is superior to plain radiography in demonstrating these metastases, and spiral ct is superior to conventional ct for this purpose.
  • 35.
    M R I largely replaced ct as the optimal modality for imaging the primary tumor.  demonstrates the degree of soft tissue extension and the relationship of the extracompartmental tumor to fascial planes and neurovascular structures.  best feature is its ability to precisely evaluate the extent of tumor in the medullary cavity.  occult skip metastases of 2 mm or more in long bones are well seen on MRI
  • 36.
    Anteroposterior view ofproximal humerus with osteoblastic osteosarcoma. MRI shows extent of tumor within bone and soft tissue better.
  • 37.
    Bone scan  bonescan with technetium 99m shows a marked increase in the uptake due to active formation of new tumor and host bone as well as the vascularity of the lesion.  radionuclide bone scintigraphy is used to look for bony metastases in the involved bone (skip metastases) and at other skeletal sites.  mineralized metastases are more likely to be detected by bone scans than are nonmineralized ones at extrapulmonary sites.  the intensity of the uptake increases with the vascularity of the lesion.
  • 38.
    • gallium scans arethe most sensitive tests for locating nonpulmonary metastases. • positron emission tomography • useful in -staging, - planning the biopsy, - evaluating the response to chemotherapy, and helping to direct subsequent treatment.
  • 39.
    BIOPSY single most importantstep in - staging, - histological diagnosis and - to plan type and extent of treatment.
  • 40.
    TYPES Incisional biopsy- - Lesssampling error, - provides the most tissue for additional diagnostic studies, such as cytogenetics and flow cytometry. - complication rates are high. core biopsy- - can provide an accurate diagnosis in 90% of cases. - the limited amount of tissue obtained may not be adequate excisional biopsy- done in benign tumors.
  • 41.
    Needle biopsy • maybe 90% accurate at determining malignancy; however, its accuracy at determining specific tumor type is much lower. • the absence of malignant cells on fine needle aspiration is less reassuring than a negative incisional biopsy
  • 42.
    BIOPSY PRECAUTIONS • Placementof the biopsy is a crucial decision because the biopsy track needs to be excised en bloc with the tumor • Transverse incisions should be avoided because they are extremely difficult or impossible to excise with the specimen.
  • 43.
    •The deep incisionshould go through a single muscle compartment rather than contaminating an intermuscular plane The periphery of a lesion usually contains the most viable tissue and is the best tissue on which diagnosis is based
  • 44.
    If hole mustbe made in bone during biopsy, defect should be round to minimize stress concentration, which otherwise could lead to pathological fracture.
  • 45.
    poorly performed biopsies. Biopsyresulted in irregular defect in bone, which led to pathological fracture. Transverse incisions should not be used. Multiple needle tracks contaminate quadriceps
  • 46.
    Needle biopsy track contaminatedpatellar tendon. Drain site was not placed in line with incision.
  • 47.
  • 48.
    Enneking System forStaging Malignant Tumors Stage Grade Site Metastases IA Low Intracompartmental None IB Low Extracompartmental None IIA High Intracompartmental None IIB High Extracompartmental None III Any Any Regional or distant metastases
  • 49.
    American Joint Committeeon Cancer System for Staging Soft-Tissue Sarcomas Stage Grade Size Depth Metastases I Low Any Any None II Low ≤5 cm Any None High >5 cm Superficial None III High >5 cm Deep None IV Any Any Any Regional or distant
  • 51.
    TNM STAGING OFBONE TUMORS
  • 52.
    Lab investigations  CBC- usually normal  ESR - elevated, not specific.  ALP - elevated in osteosarcoma, reflecting osteogenesis in the neoplastic tissue. degree of elevation of this enzyme depend on activity of the neoplastic osteoblasts within the lesion and size of the tumor.  an elevated ALP level has been associated with a worse prognosis.
  • 53.
     the courseof osteosarcoma can be monitored by serial determination of serum alkaline phosphatase levels.  following ablation of the tumor, the enzyme level falls to near normal; it rises with the development of metastases and with recurrence.  in some studies, the LDH level has been shown to be of prognostic importance.  an ELEVATED LDH level is associated with a worse prognosis
  • 55.
    PERIOSTEAL OSTEOSARCOMA  anintermediate-grade chondroblastic osteosarcoma that arises on the surface of the bone.  the most common locations are the diaphysis of femur and tibia  it occurs in a slightly older and broader age group.  histological examination strands of osteoid-producing spindle cells radiating between lobules of cartilage.
  • 57.
    PAROSTEAL OSTEOSARCOMA  lowgrade fibroblastic or juxtracortical osteosarcoma.  4 % of all osteosarcoma.  occurs at late age , females  slow growing  arises from surface of the bone  it invade the medullary cavity in the late stages  it has a peculiar tendency to occur as a lobulated ossified mass on the posterior aspect of the distal femur.
  • 59.
    • it usuallyappears on the surface ( rather than intracortically ) producing large homogeonenous lobulated new bone outside the bone shell and into the soft tissue- often palpable. • histologically trabeculae of malignant bone & osteoid tissue with definite malignant connective tissue stroma, encapsulated by fibrous tissue.
  • 60.
    D/D • osteochondroma- shows amedullary cavity containing marrow in continuity with the medullary canal of the involved bone • myositis ossificans- the ossification in myositis ossificans is more mature at the periphery of the lesion, whereas the center of a parosteal osteosarcoma is more heavily ossified
  • 61.
    LOW-GRADE INTRAMEDULLARY OSTEOSARCOMA • raretype • an indolent course with relatively benign features on radiograph. • mistaken radiographically and histologically for an osteoblastoma or fibrous dysplasia. • located in an intramedullary location and erodes through the cortex only very late. • histologically slightly atypical spindle cells producing slightly irregular osseous trabeculae.
  • 62.
    prognosis  GENERAL PROGNOSISIS BETTER THAN CONVENTIONAL OS  PRI. AMPUTATION – 50 – 70 % 5 YR SURVIVAL  FOR SMALL LESIONS, EARLY WIDE RESECTIONS SHOW 80 – 90 % LONG TERM SURVIVAL.
  • 63.
    HIGH-GRADE SURFACE OSTEOSARCOMA • leastcommon type. • an aggressive tumor arising on the outer aspect of the cortex. • radiographs show an invasive lesion with ill-defined borders. • the microscopic appearance is similar to conventional osteosarcoma. • in contrast to parosteal osteosarcoma, medullary involvement is common at the time of diagnosis.
  • 64.
    TELANGIECTACTIC OSTEOSARCOMA • purelylytic • x-ray may show invasive lesion or ballooned out appearance similar to ABC • grossly , resembles a blood filled cyst with very small solid portion • on low power microscope it resembles ABC with blood filled spaces separated by septa but high power will reveal that cells in the septa are frankly malignant.
  • 65.
    SMALL CELL OSTEOSARCOMA high grade lesion  consists of blue cells resembling ewing’s sarcoma or lymphoma  cytogenetic and immunohistochemistry needed to differentiate them.
  • 66.
    SECONDARY OSTEOSARCOMA • rarein young but constitutes almost of the osteosarcomas in pts. older then 50 yrs of age. • most common factors associated with it are 1. paget disease 2. previous radiation treatment • pagets osteosar. -6th – 8th decade of life and pelvis is the mc site. • radiation osteos. occurs in pts who have been treated with greater then 2500 cgy and occurs in unusal locations like skull, spine, clavicle, ribs, scapula and pelvis
  • 67.
    a Resection ofproximal tibia with typical features of osteosarcoma. Mapping of the specimen is done in order to evaluate the response to given preop chemotherapy. b Pretreatment biopsy of high-grade osteoblastic osteosarcoma. c After treatment the tumor is replaced by a network of acellular mineralized bone indicating good response. d Active fracture callus may show features resembling osteosarcoma but lack true anaplasia. e Resection of lower leg showing a telangiectatic osteosarcoma in the distal tibia. f Telangiectatic osteosarcoma resembles an aneurysmal bone
  • 68.
    • other conditions fibrous dysplasia  bony infarcts  osteochondromas  chronic osteomyelitis  dedifferentiated chondrosarcomas  osteogenesis imperfecta
  • 69.
    CHEMOTHERAPY • ADJUVANT CHEMOTHERAPY-chemotherapy administered postoperatively to treat presumed micrometastases. • neoadjuvant chemotherapy chemotherapy administered before surgical resection of the primary tumor  currently most orthopaedic oncologists favor preoperative chemotherapy with the definitive procedure performed 3 to 4 weeks after the last dose has been administered.   chemotherapy is restarted 2 weeks postoperatively if the wound has healed. TREATMENT
  • 70.
     chemotherapy drugsare most effective when the tumor against which they are directed is small.  combinations of these drugs are more effective than single agents.  dosage, sequence of drugs, and schedule seem to be important in achieving the maximal response.  all have toxicity for normal tissues
  • 71.
    Advantages of neoadjuvant chemotherapyover adjuvant chemotherapy. Preoperative chemotherapy frequently causes regression of the primary tumor, making a successful limb salvage operation easier.  . Neoadjuvant chemotherapy followed by surgical resection allows for histological evaluation of the effectiveness of treatment.  This is one of the most valuable prognostic indicators of successful long-term outcome.
  • 72.
    Preoperative chemotherapy theoreticallymay decrease the spread of tumor cells at the time of surgery. neoadjuvant chemotherapy usually can be started immediately, effectively treating micrometastases at the earliest time possible.  Prevents tumor progression, which may occur during any delay before surgery.
  • 73.
    CHEMOTHERAPEUTIC AGENTS  DOXORUBICIN Glycoside antibiotic,binds to DNA and inhibits RNA synthesis.  Toxic effects-  Reversible and dose related are leukemia,transient alopecia,cardiomyopathy.  Dose-30 mg/sq mt BSA for 3 days,repeated every 4 wks,6 cycles.
  • 74.
    METHOTREXATE  Binds todi-hydro folate reductase and cessation of DNA synthesis  Dose-  Vincristine is given 2 mg/sq m I.V half an hour before methotrexate as it promotes its uptake.  Methotrexate(1.5 gm/sq m) given as I.V infusion over 6 hr.  Repeated every 2 weekly and dose is gradually increased upto 7.5 gm/sq m  Toxic effects-bone marrow suppression,oral mucositis,vomiting and transient elevation of liver enzymes,candida superinfection.
  • 75.
    CHEMOTHERAPY REGIMEN  Doxorubicinand cisplatin therapy  Doxorubicin 25 mg/m2 IV on days 1-3 plus cisplatin 100 mg/m2 IV on day 1; repeat cycle every 21 days.  High-dose methotrexate, cisplatin, and doxorubicin regimen  Neoadjuvant setting:  High-dose methotrexate 12 g/m2 IV given over 4h on weeks 0, 1, 5, 6, 13, 14, 18,19, 23, 24, 37, and 38, alternating with cisplatin 60 mg/m2 IV plus doxorubicin 37.5 mg/m2/day IV for 2d each on weeks 2, 7, 25, and 28.
  • 76.
    Chemotherapy contd  Adjuvant High-dose methotrexate 12 g/m2 IV given over 4h on weeks 3, 4, 8, 9, 13, 14, 18, 19,23, 24, 37, and 38, alternating with cisplatin 60 mg/m2 IV plus doxorubicin 37.5 mg/m2/day IV for 2d each on weeks 5, 10, 25, and 28  2 cycles are given preoperatively, and 4 cycles are usually given postoperatively  Requires administration of 15 mg leucovorin every 6h for 10 doses, starting 24h after initiation of high dose
  • 77.
     Doxorubicin, cisplatin,ifosfamide, and high- dose methotrexate Ifosfamide 15 g/m2 plus methotrexate 12 g/m2plus cisplatin 120 mg/m2plus doxorubicin 75 mg/m2 Postoperatively, patients receive 2 cycles of doxorubicin 90 mg/m2 and 3 cycles each of high-dose ifosfamide, methotrexate, and cisplatin 120-150 mg/m2 Granulocyte colony-stimulating factor (G-CSF) support is mandatory after the high-dose
  • 78.
    PRINCIPLES OF SURGERY Amputation versus Limb Salvage  Simon described four issues that must be considered whenever contemplating limb salvage instead of an amputation, as follows:  1. Would survival be affected by the treatment choice?  2. How do the short-term and long-term morbidity compare?  3. How would the function of a salvaged limb compare with that of a prosthesis?  4. Are there any psychosocial consequences?
  • 79.
    AMPUTATION Irrespective of themethod chosen to treat osteosarcoma, the local tumor must be completely excised with negative margins. Although amputation is performed less frequently than in the past, it remains the gold standard of local control.
  • 80.
    Indications for amputation very young age, when limb length inequality would be a major problem  displaced pathologic fractures  large soft tissue masses involving neurovascular structures; disease progression during chemotherapy;  local recurrence following limb salvage procedures.  In the upper extremity, attempt is made to preserve at least hand function, because prosthetic replacements are not nearly as good as a functional hand.  However, in the lower extremity, modern prosthetics are very functional.
  • 81.
     The levelof amputation is determined by close scrutiny of conventional radiographs, bone scans, and MRI.  The entire involved bone should be carefully evaluated by MRI for skip metastases.  Most frequently, a wide cross-bone amputation is performed rather than a radical amputation.  Exceptions might be a young child with a tibial osteosarcoma, in whom knee disarticulation or above-knee amputation is performed, or a hindfoot osteosarcoma requiring a below-knee amputation.
  • 82.
     In veryyoung children, residual limb overgrowth may be a problem.  For below-knee amputations, this can be addressed by placing a metacarpal plug in the distal tibial canal if the ipsilateral foot is uninvolved by tumor.  Further, in very young children, the predicted length of the residual limb at maturity may be very short if a growth plate is resected.  For foot tumors, this can be addressed with a Syme's-type amputation rather than a below-knee amputation  in proximal tibial lesions, a knee disarticulation may be preferable to an above-knee amputation. These can be revised at maturity if necessary for prosthetic fitting.
  • 83.
     In “expendable”bones such as the clavicle, fibula, scapula, and rib, resection without reconstruction can be considered.  Lesions of the radius and ulna are rare and can usually be resected with minimal reconstruction or with fibular autografts or allografts used for reconstruction.  Lesions of the hands and feet usually require amputation, although ray amputation and partial amputations that preserve some hand or foot function can sometimes be performed.
  • 84.
     For lesionsof the extremities that are deemed resectable, the reconstruction can be complex and depends on the age of the patient and the location of the tumor in reference to joints and growth plates.  For most distal femoral and proximal tibial osteosarcomas, an intracompartmental, intra-articular resection can be carried out.  The same is usually possible for lesions of the proximal humerus.  Reconstruction is achieved either with an osteoarticular allograft or with a metallic prosthesis.
  • 85.
    SALVAGE V/S AMPUTATIUON more extensive surgical procedure  greater amount of morbidity  multiple future operations  periprosthetic fractures, prosthetic loosening, allograft fracture, length discrepancy and late infection.  after initial salvage 33% may later have amputation
  • 86.
     durability ofreconstructions in long term survivors  none of the reconstruction will give normal function  ultimately choice depends upon patient’s expectations and quality of life
  • 87.
     Limb salvage–  is considered if there has been no progression of disease locally or distantly and if the nerves and blood vessels are free of tumor.  The most important issue is the ability to completely resect the tumor with wide margins. The adjacent joint and growth plates are assessed for tumor involvement.  The thickness of the soft tissue margin depends on the type of tissue. A fascial margin is considered a more substantial barrier to tumor spread than a similar thickness of fat.  The resection should be planned with the goal of achieving local control; reconstruction options are a secondary consideration
  • 88.
    BARRIERS TO LIMBSALVAGE  poorly placed biopsy incision  major vascular involvement  encasement of major motor nerve  pathological fracture of involved bone
  • 89.
    PHASES OF LIMBSALVAGE  RESECTION OF TUMOR  SKELETAL RECONSTRUCTION  SOFT TISSUE AND MUSCLE TRANSFER “THREE STRIKE RULE”
  • 90.
  • 91.
    An intralesional margin--plane of surgical dissection is within the tumor. A marginal margin --closest plane of dissection passes through the pseudocapsule. Wide margins --plane of dissection is in normal tissue Radical margins --all the compartments that contain tumor are removed en bloc
  • 94.
    Resections and reconstructions currently,most musculoskeletal malignancies are treated local resection and reconstruction.  goal of resection -- is to achieve wide surgical margins if possible.  if this is impossible because of anatomical constraints, a marginal resection combined with adjuvant or neoadjuvant treatment (e.g., radiation for a soft-tissue sarcoma) may be preferable to an amputation  a marginal resection usually is adequate for most benign neoplasms
  • 95.
     reconstructions oftenare done on young patients who are extremely active.  most reconstructions involve preserving a mobile joint, for which these general options are available:  osteoarticular allograft reconstruction,  endoprosthetic reconstruction,  allograft-prosthesis composite reconstruction.  rotationplasty
  • 96.
    RECONSTRUCTION OF BONEDEFECT A. SPONTANEOUS REPAIR B. BONE GRAFTING C. PROSTHETIC REPLACEMENT D. COMBINATION OF ABOVE
  • 97.
    SPONTANEOUS REPAIR A. issynonymous with fracture healing B. small cavities produced by subtotal curettage C. defects following wide or marginal excision(stability provided by remaining bone and internal fixation)
  • 98.
    BONE GRAFTING A. AUTOGENOUS- CANCELLOUS  CORTICAL  COMBINED  AUTOCLAVED  VASCULARISED
  • 99.
    AUTOCLAVED AUTOGRAFTS  tumorand bone are excised, majority of lesion is removed from bone and remaining bone is autoclaved for 20mins.  advantage is easy to procure and absence of donor morbidity  disadvantage is high incidence of nonunion, fatigue failure and infection.
  • 100.
    OSTEOARTICULAR ALLOGRAFTS  ADVANTAGES ability to replace ligaments, tendons, and intraarticular structures  Complications  nonunion at the graft-host junction  fatigue fracture articular collapse dislocation degenerative joint disease  failure of ligament and tendon attachments.
  • 101.
    Osteoarticular allografts mayhave a role as a temporary measure to preserve an adjacent physis in an immature patient A proximal tibial osteoarticular allograft could be used in an immature patient in an attempt to preserve the distal femoral physis until skeletal maturity. This could be converted later to an endoprosthetic reconstruction when it becomes necessary.
  • 103.
    ALLOGRAFT-PROSTHESIS COMPOSITES  mayprovide a long-term solution for some patients.  avoid the complications of degenerative joint disease and articular collapse, while still preserving the ability to attach soft-tissue structures directly, such as the patella tendon or the hip abductors.  associated, however, with fatigue fracture, infection, and nonunion at the graft-host junction. .
  • 104.
     main indicationfor an allograft- prosthesis composite is an inadequate length of remaining host bone to secure the stem of an endoprosthesis.
  • 105.
    ENDOPROSTHETIC RECONSTUCTION  providelong-term function for some patient advantage  predictable immediate stability that allows for quicker rehabilitation with immediate full weight bearing.  most endoprostheses are modular, allowing for incremental limb lengthening as an immature patient grows.
  • 106.
    long-term complications polyethylene wearis still a limiting factor for articulating surfaces  fatigue fracture can occur at the rotating hinge, but this too is easily replaceable. fatigue fracture at the base of the intramedullary stem where it attaches to the body of the prosthesis is more problematic for pediatric patients, future limb-length inequality must be considered.
  • 107.
     For patientswho are near skeletal maturity 1) the reconstructed limb can be lengthened 1 cm at the initial procedure. 2)epiphysiodesis of the contralateral limb can be done at the appropriate age to preserve limb-length equality (or to minimize inequality).  For younger patients,  amputation and rotationplasty  repiphysis expandable prosthesis
  • 114.
    distal femur of7-year-old girl with telangiectatic osteosarcoma. C, Intraoperative photograph of resected specimen and custom Repiphysis prosthesis. D, Intraoperative photograph after placement of prosthesis. E, Anteroposterior radiograph
  • 115.
    Repiphysis lengthening procedure.A, Locking mechanism (arrow) located. B, The patient's leg is marked at this site. C, Electromagnetic coil is placed around the patient's leg at the level of the locking mechanism. D, Device activated. E and F, Preexpansion and postexpansion radiographs
  • 116.
    • Rotationplasty isa procedure which allows the ankle to substitute as the knee after 180 degree rotation of the limb. •The original idea was conceived by Borggreve in 1927 to treat a shortened lower limb with stiff knee after tuberculosis . • Later popularized by Van Ness for management of proximal focal femoral deficiency. •Salzer in 1974 first used it for malignant tumors around the knee. ROTATIONPLASTY
  • 118.
     Winkelmann classifiedrotationplasty into five groups, as follows: GROUP AI - lesion in distal femur. the distal femur, knee joint, and proximal tibia are resected; the lower leg is rotated 180 degrees; tibia is joined to the remaining femur.  .
  • 119.
    GROUP AII  lesionin the proximal tibia.  distalmost femur, knee joint, and proximal tibia are resected.  after rotation of 180 degrees, the distal tibia is joined to the distal femur
  • 120.
      GROUP BI •lesion in the proximal femur sparing the hip joint and gluteal muscles. • the upper femur and hip joint are resected, and the leg is rotated 180 degrees. • the distal femur is joined to the pelvis so that the knee functions as the hip, and the ankle functions as the knee .   
  • 121.
    ROTATIONPLASTY CONTD..  GROUPBII —lesion in the proximal femur with involvement of hip joint and contiguous soft tissue.  upper femur, hip joint, and lower hemipelvis are resected, and the leg is rotated 180 degrees  remaining femur is joined to the remnant of the ilium so that the knee functions as a hinged hip joint and the ankle functions as the knee
  • 122.
    GROUP BIII. –lesion in mid femur the entire femur is resected. the tibia is attached to the pelvis using an endoprosthesis
  • 126.
    Long term prognosis In patients who are long-term survivors after resection of an extremity sarcoma, the probability of limb survival is associated with  1) type of reconstruction  2) the location of the tumor.
  • 127.
    Regarding prosthetic orallograft-prosthetic composite reconstructions location is the most important issue proximal reconstructions generally outlasting more distal reconstructions. (This is the inverse of the prognosis for overall patient survival, with distal sarcomas having a better prognosis than proximal sarcomas.) Proximal femoral reconstructions generally outlast distal femoral reconstructions, which generally outlast proximal tibial reconstructions
  • 128.
    RADIOTHERAPY Osteosarcoma is arelatively radioresistant malignancy. For this reason, adjuvant chemotherapy and surgery have been the mainstays of therapy. Radiation therapy in the primary local control setting should be reserved on a case-by-case basis for patients with unresectable tumors and/or where margins of resection are positive .  Typically these tumors involve the head and neck or spinal region. For definitive radiation therapy, doses of 55–60 Gy are given with conventional daily fractionation of 1.8 Gy.
  • 129.
     modern radiationdelivery techniques such as intensity modulated radiation therapy and proton beam therapy can be used.  Here the delivery of radiation to a target volume is improved while scatter to surrounding organs can be minimized.  Radiation therapy can be used as an effective palliative measure particularly for painful bony metastases.
  • 130.
    BRACHYTHERAPY  hollow cathetersare implanted in the tumor bed at the time of resection.  These catheters exit through the skin.  Postoperative radiographic evaluation and computer calculations determine the optimal loading of the catheters with radioisotopes.  High doses to be delivered to the target tissues.  The radiation levels fall off rapidly at the edges of the field, sparing normal tissues
  • 131.
    Brachytherapy catheters woventhrough polyglactin 910 (Vicryl) mesh to help maintain proper spacing. Catheters placed along vessels and bone (where margins were close) exiting through separate stab wounds. soft-tissue sarcoma
  • 132.
    Megavoltage radiotherapy  principle 1.radical dose levels of 7000 – 8000 rads. 2. distribute the dose according to probable disribution of tumor cells. 3. exclude all normal tissue and biopsy scar.  with proper treatment 1. painless & nonedematous limb is attained 2. reduced incidence of fibrotic, atrophic limb  disadvantage -pathological # can occcur.
  • 133.
     HIGH TUMORDOSE OF 6000- 7000 RADS (SOMETIMES 8000 RADS)  230 RADS/DAY OR 1000 RADS/WKLY.  PRECAUTIONS-  WHEN BIOPSY IS DONE PRIOR TO FULL COURSE OF IRRADIATION - BIOPSY SCAR SHOULD BE HELD LESS THAN 2 CM. TO PREVENT RADIATION NECROSIS & SKIN BREAKDOWN FOLLOWED BY INF & HAEMORRHAGE.  NEEDLE BIOPSY SHOULD PREFERRED IN SUCH CASES.
  • 134.
    Newer agents  liposomalmuramyl tripeptide-phosphatidyl- ethanolamine(mifamurtide)- an agent derived from BCG that activates macrophages and increases circulating cytokine levels.  Transtuzumab (Herceptin)- a monoclonal antibody to HER2/erbB-2
  • 135.
    prognosis • most seriesreport long-term survival of 60% to 75% for patients with high-grade osteosarcoma without metastases at initial presentation and 90% for low-grade lesions.
  • 136.
    Prognostic factors 1. THEEXTENT OF THE DISEASE.(MOST IMPORTANT ) 2. GRADE OF LESION 3. SIZE OF PRIMARY TUMOR 4. SKELETAL LOCATION 5. LOCAL RECURRENCE • POOR PROGNOSTIC FACTORS 1. RAPID RELAPSE AFTER COMPLETION OF INITIAL TREATEMENT 2. MANY, LARGE, UNRESECTABLE PULMONARY NODULES
  • 137.