Malignant Bone
tumors
Malignant vs. Benign Tumors
“Rapid growth, warmth, tenderness,
and ill defined edges are suggestive of
malignancy.”
Classification of malignant tumors of
bone:
1. Osteosarcoma (Osteogenic sarcoma)
2. Chondrosarcoma
3. Ewing’s sarcoma
4. Multiple myeloma
Osteosarcoma
(Osteogenic sarcoma)
 It is a malignant mesenchymal tumor in which
cancellous cell produce bone matrix.
 Most common primary malignant tumor of bone
 Occurs in all age group but has bimodal age distribution
 75% occur in person younger than 20 years of age
 Second peak occur in elderly who have predisposing
condition – Paget disease, bone infarct, prior irradiation
 Males> females
 Usually arise from metaphysis of long bones of
extremities, and almost 50% occur about the knee.
 Beyond the age of 25 years incidence in flat bones
and long bones is almost equal.
Pathogenesis
 Approx. 70% have acquired genetic abnormalities such as
ploidy changes and chromosomal aberrations, none of
which is specific for this tumor.
 Mutation of RB gene (cell cycle regulator) and p53 gene
(gene whose product regulate DNA repair and cellular
metabolism) frequently associated with osteosarcoma.
 Germline mutation in RB gene roughly 1000-fold
increase the risk of osteosarcoma
 Patient with Li-Fraumeni syndrome (germline p53
mutation) greatly elevate the incidence of osteosarcoma.
 Several subtypes of osteosarcoma are grouped according to –
1. Site of origin (intramedullary, intracortical or surface)
2. Degree of differentiation
3. Primary (underlying bone is unremarkable)or secondary to
preexisting disorders.
4. Histological features (osteoblastic, chondroblastic, fibroblastic,
telangiectatic, small cell and giant cell).
The most common subtype arises in metaphysis of long bones and is
primary, solitary, intramedullary and poorly differentiated.
Grossly, Osteosarcoma are big bulky tumors that are gritty, grey-
white, and often certain areas of hemorrhage and cystic degeneration.
Osteosarcoma
Osteosarcoma
Clinical features
 Localized pain and swelling
 Fast growing tumor
 Progressive weakness and weight loss
 Skin over the tumor is shiny and stretched with prominent veins
 Warm, tender and ill defined margins.
 Pulsatile tumor
 Movement of adjacent joint restricted due to mechanical
obstruction and effusion.
 Regional lymph node enlarged only in 25-30% cases.
 If distal neurovascular deficit present strongly suggest
malignancy.
 Lung metastasis occur in 10-12 months if left untreated.
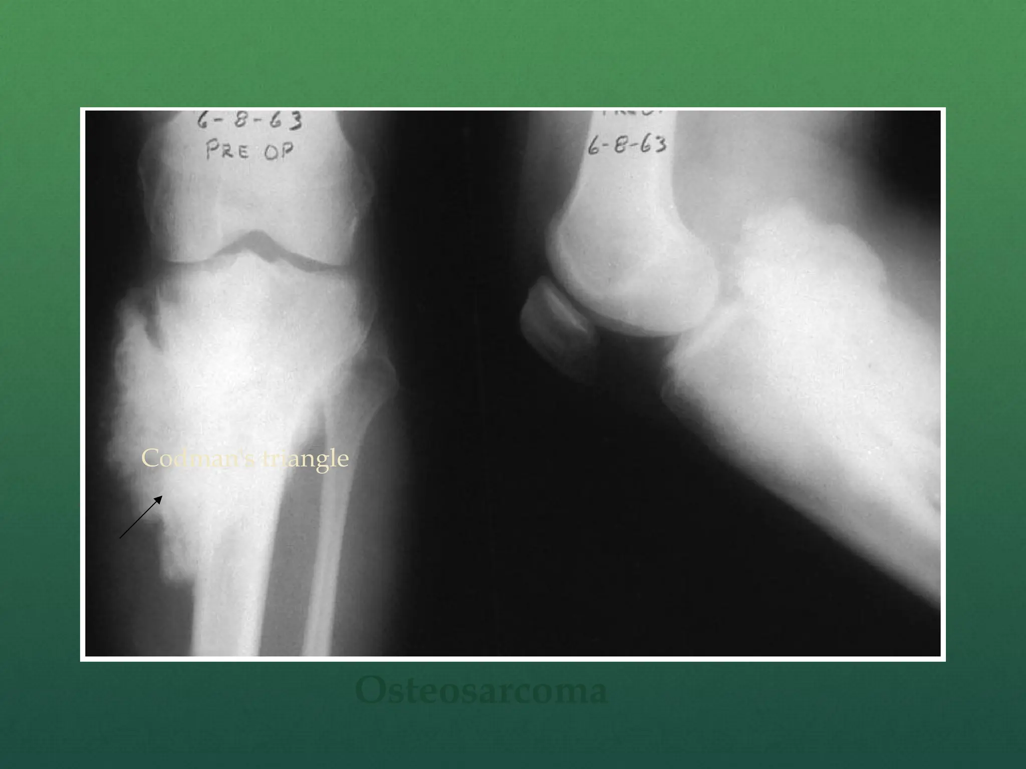
 Classic X-ray findings:
1. Codman's triangle (periosteal elevation)
2. Sunburst pattern/Sunrays appearance
3. Bone destruction
4. Ill-defined margins
Codman’s
triangle
Sunrays
appearance
Osteosarcoma
Codman's triangle
Osteosarcoma
Osteosarcoma
 Secondary osteosarcoma:
 Occurs in old people
 Associated with Paget’s disease or chronic osteomyelitis
 Highly aggressive
Differential diagnosis
 Among primary and secondary bone tumors
 Sub acute and chronic osteomyelitis
Treatment
 Classical
M.C.D
WLE
M.C.D
70% 5 yrs survival rate
M – Methotrexate
C – Cyclophosphamide
D - Doxorubicin
 T10 protocol
High dose MTX
WLE
Biopsy
> 95% necrosis < 95% necrosis
chemosensitive
chemoresistant
M.C.D Multiple drugs
(except MCD &
etoposide)
Surgery
 Disarticulation
 Amputation
 Resection with reconstruction/endoprosthesis
 Limb salvage surgery
 Resection of metastatic lesion (lobectomy in lung)
Limb salvage surgery
 Principle is to eradicate the bone tumor, retain integrity of
skeletal system and preserve the limb with useful function.
 After resection, skeletal reconstruction done by bone
grafting(auto or allograft) or by endoprosthesis (modular or
custom made).
 Prosthetic reconstruction is more effective
 As compared to the radical amputation and external
prosthetic fitting or limb sparing surgery with bone grafting
this treatment is more effective in early mobilization.
Chondrosarcoma
 Definition:
 Malignant tumor of chondroblasts cells
 Second most common malignant matrix producing tumor
 Etiology:
 The tumor may arise de novo (primary) or secondary to
preexisting enchondroma, exostosis (osteochondromas) or
Paget’s disease
 Primary chodrosarcoma is very uncommon, arises centrally in
the bone and found in children
 Chondrosarcoma sub classified according to –
 Site – Central (intramedullary)
Peripheral (juxtacortical and surface)
 Histologically - Conventional (hyaline/myxoid)
Clear cell
Dedifferentiated
Mesenchymal
Conventional central tumors constitute about 90% of
chondrosarcoma
 Occur more commonly after 40 years of age
 Clear cell and especially mesenchymal variant occur in
younger patients in their 20s.
 Male > female
 It is most common in the femur, humerus, ribs and on the
surface of the pelvis
 Patients with Ollier's disease (multiple enchondromatosis) or
Maffucci's syndrome (multiple enchondromas and
hemangiomas) are at much higher risk of chondrosarcoma
than the normal population.
Clinical features
 Presentation of chondrosarcoma depends on the grade of the
tumor.
 A high-grade, fast growing tumor can present with excruciating
pain.
 A low grade, more indolent tumor is more likely to present as an
older patient complaining of hip pain and swelling.
 Pelvic tumors present with urinary frequency or obstruction or
may masquerade as "groin muscle pulls".
Investigations
 X – ray –
Chondrosarcoma is a fusiform, lucent defect with
scalloping of the inner cortex and periosteal reaction.
Extension into the soft tissue may be present as well as
punctate or stippled calcification of the cartilage
matrix.
Chondrosarcoma
 C.T. scan –
Helpful in defining the integrity of the cortex and distribution of
calcification.
 MRI –
Surgical planning as it demonstrates the intraosseus and soft
tissue involvement of the tumor.
MRI is also helpful in evaluating possible malignant degeneration
of osteochondromas by allowing accurate measurements of the
cartilage cap
 Biopsy - Incisional biopsy
done
 Gross examination –
Chondrosarcoma is a
grayish-white, lobulated mass.
It may have focal calcification,
mucoid degeneration, or
necrosis
Chondrosarcoma
Treatment
 Treatment of chondrosarcoma is wide surgical
excision. There is a very limited role for
chemotherapy or radiation.
 Low grade tm. – Limb salvage surgery(WLE)
 High grade tm. - Amputation
Ewing’s sarcoma
 Malignant neoplasm of undifferentiated cells arising within
the bone marrow cavity
 Ewing's sarcoma is a highly malignant tumor that is a type
of peripheral primitive neuroectodermal tumor
 Found in the lower extremity more than the upper
extremity, but any long tubular bone may be affected.
 Most common sites are the diaphysis and metaphysis of the
femur followed by the tibia and humerus.
 Most common in the first and second decade
 Ratio of male to female is 3:2.
Clinical features
 Presented with pain, swelling and tenderness
 Erythema and warmth of the local area are sometimes seen
 Osteomyelitis is often the initial diagnosis based on
intermittent fevers, leukocytosis, anemia and an increased
ESR.
 Contain glycogen granule so can cause hyperglycemia
Investigation
 X-ray:
 Concentric, onion-skin layering of new periosteal bone
 This appearance is caused by and splitting and
thickening of the cortex by tumor cells.
 The lesion is usually lytic and central.
 CT is helpful in defining bone destruction.
 MRI is essential to elucidate the soft tissue involvement
Onion peel appearance
Differential Diagnosis
 Infection
 Neuroblastoma metastasis
 Lymphoma
 Leukemia
 Open biopsy for bone
lesions
 Grossly, the tumor is gray
to white in color and poorly
demarcated. The
consistency is soft and gray
and sometimes semi-liquid
especially after breaking
through the cortex. Areas of
hemorrhage and necrosis
are common.
Ewing sarcoma
Treatment
 Chemotherapy – A – Actinomycin D
B – Bleomycin
C – Cylophosphamide
D – Doxirubicin
 Surgery followed by adjuvant chemotherapy.
 Radiotherapy
Poor Prognostic Factor
 High grade tumour
 Age > 12 yrs
 Male
 H/O fever and increase TLC
 Proximal lesion
 Larger lesion
 Metastasis
 Chemoresistant
MULTIPLE MYELOMA/
PLASMACYTOMA
 Multiple myeloma is a malignant tumor of plasma cells that
causes widespread osteolytic bone damage.
 Multiple myeloma is the most common primary tumor of bone.
 Found in the spine, skull, ribs, sternum and pelvis but may
affect any bone with hematopoietic red marrow.
 There are chromosomal abnormalities that are associated with
MM, such as 14q32 and deletion of chromosome 13, and these
findings are more likely to be found in cases with poor
outcome.
 Other diseases, such as solitary plasmacytoma and monoclonal
gammopathy are associate with MM.
 Average age of the patients at diagnosis is 65 years.
 Men are slightly more likely to get multiple
myeloma than women.
Causes
 Multiple myeloma may occur spontaneously
 On exposure to ionizing radiation and the pesticide
dioxin
 Infection with some viruses (HIV and human
herpes 8) has also been associated with multiple
myeloma.
 No known risk factors are inherited.
SYMPTOMS
 Usually bone pain is main complain. Other symptoms include:
Fatigue
Feeling ill
Fever
Night sweats
 Weight loss is not common in the early stages.
 Patients are pale with diffuse bone tenderness, especially
around the sternum (breastbone) and pelvis (hips).
 Spine is the most common location for a pathological
fracture. It can also happen in the ribs and pelvis.
 Compression of the spinal cord in 10%-15%This causes pain
in the back and legs and numbness and weakness in the legs.
 Patients who have high levels of calcium in the blood may
experience nausea, fatigue, confusion, constipation, and
frequent urination.
 Patients with anemia may experience fatigue, weakness, and
shortness of breath with exercise.
 In advanced cases, patients typically have recurrent
infections and can have kidney failure.
Investigations
 Blood and urine tests –
Monoclonal immunoglobulin (Ig G)is found on serum
electrophoresis and on urinalysis. Immunoglobulin (Ig) is the
protein that is produced by the tumor cells. Light chain
subunits of immunoglobulin are called Bence Jones proteins
and are present in urine.
 Bone marrow aspiration and/or biopsy –
A procedure that involves taking a small amount of bone
marrow fluid (aspiration) and/or solid bone marrow tissue
(called a core biopsy), usually from the hip bones, to be
examined for the number, size, and maturity of blood cells
and/or abnormal cells.
DIAGNOSIS
 X-ray - a diagnostic test
 Punched out lesion in skull
 When only one lesion is found
it is called a plasmacytoma
Magnetic resonance imaging
(MRI)
- a diagnostic procedure.
Differential Diagnosis
 Ewing sarcoma
 Lymphoma
 Leukemia
 Acute infection
CHEMOTHERAPY
 The standard treatment medications are melphalan and
prednisone.
 The median survival rate is three years with this treatment
alone.
 For patients in whom this therapy is ineffective, alternatives
include:
 VBMCP (vincristine, carmustine, melphalan,
cyclophosphamide and prednisone)
 VAD (vincristine, adriamycin and dexamethasone)
 A recent advancement in the treatment of multiple
myeloma has increased, response rates and survival.
 This treatment consists of high-dose chemotherapy,
followed by autologous stem cell transplantation.
With this treatment, patients have a 20 percent chance
of living longer than 10 years.
 This stem cell transplantation involves:
1. Harvesting a patient's own blood cells
2. Conditioning them with very high doses of
melphalan
3. Re-infusing the blood cells back into the patient
RADIATION THERAPY
 Radiation therapy is reserved for decreasing the size
of symptomatic bone lesions.
SUPPORTIVE CARE
 Supportive care is critical. Supportive care includes managing the bone
disease, anemia, infections, kidney failure, and pain associated with
multiple myeloma.
 Bisphosphonates (medication) can prevent destructive bone lesions and
spine fractures.
 Erythropoetin or occasional blood transfusions can manage anemia.
 Antibody infusions and vaccinations can help patients with recurrent
infections.
 Corticosteroids and hydration can be used to treat high blood calcium
concentrations (from bone loss) and dehydration.
 Narcotics can decrease the pain associated with bone lesions.
 Operative intervention may be required to stabilize and control the pain
associated with bone fractures.
SURGICAL
TREATMENT
 Surgery will not cure multiple myeloma. Surgery is
used to treat fractures and impending fractures in
the spine, pelvis, hip, and shoulder. The goal of
these surgeries is to decrease pain and maintain
function.
 Internal fixation augmented with cement is
frequently recommended, as are joint replacements
and vertebroplasties (for spine fractures).
 Operative intervention does not alter the survival
rate, but it does increase the quality of life.
Bone Metastasis
 It is catastrophic complication for most patient of
cancer.
 Usually occur in elderly age group
 Clinical features –
 Pain
 Metastatic destruction of bone reduces load bearing
capacity.
 Usually manifests as complication like pathological
fracture, paraplegia (medullary compression), pressure
symptoms.
 M/C cause – Lung Carcinoma
 Male – Prostate Carcinoma
 Female – Breast Carcinoma
 M/C Area – D-L Spine
 In prostate carcinoma –
Pelvis > Lumber spine > Dorsal spine
 M/C lesion – Lytic lesion
 Purely osteoblastic sec. – Prostate
- Carcinoid
Metastasis do not cross elbow and knee
 Bone tm. Which have bony metastasis –
1. Osteosarcoma
2. Neuroblastoma
3. Ewing sarcoma
THANK YOU

bone_tm3 2.pptx bone tumors discussion d

  • 1.
  • 2.
    Malignant vs. BenignTumors “Rapid growth, warmth, tenderness, and ill defined edges are suggestive of malignancy.”
  • 3.
    Classification of malignanttumors of bone: 1. Osteosarcoma (Osteogenic sarcoma) 2. Chondrosarcoma 3. Ewing’s sarcoma 4. Multiple myeloma
  • 4.
    Osteosarcoma (Osteogenic sarcoma)  Itis a malignant mesenchymal tumor in which cancellous cell produce bone matrix.  Most common primary malignant tumor of bone  Occurs in all age group but has bimodal age distribution  75% occur in person younger than 20 years of age  Second peak occur in elderly who have predisposing condition – Paget disease, bone infarct, prior irradiation  Males> females
  • 5.
     Usually arisefrom metaphysis of long bones of extremities, and almost 50% occur about the knee.  Beyond the age of 25 years incidence in flat bones and long bones is almost equal.
  • 6.
    Pathogenesis  Approx. 70%have acquired genetic abnormalities such as ploidy changes and chromosomal aberrations, none of which is specific for this tumor.  Mutation of RB gene (cell cycle regulator) and p53 gene (gene whose product regulate DNA repair and cellular metabolism) frequently associated with osteosarcoma.  Germline mutation in RB gene roughly 1000-fold increase the risk of osteosarcoma  Patient with Li-Fraumeni syndrome (germline p53 mutation) greatly elevate the incidence of osteosarcoma.
  • 7.
     Several subtypesof osteosarcoma are grouped according to – 1. Site of origin (intramedullary, intracortical or surface) 2. Degree of differentiation 3. Primary (underlying bone is unremarkable)or secondary to preexisting disorders. 4. Histological features (osteoblastic, chondroblastic, fibroblastic, telangiectatic, small cell and giant cell). The most common subtype arises in metaphysis of long bones and is primary, solitary, intramedullary and poorly differentiated. Grossly, Osteosarcoma are big bulky tumors that are gritty, grey- white, and often certain areas of hemorrhage and cystic degeneration.
  • 8.
  • 9.
  • 10.
    Clinical features  Localizedpain and swelling  Fast growing tumor  Progressive weakness and weight loss  Skin over the tumor is shiny and stretched with prominent veins  Warm, tender and ill defined margins.  Pulsatile tumor  Movement of adjacent joint restricted due to mechanical obstruction and effusion.  Regional lymph node enlarged only in 25-30% cases.  If distal neurovascular deficit present strongly suggest malignancy.  Lung metastasis occur in 10-12 months if left untreated.
  • 11.
     Classic X-rayfindings: 1. Codman's triangle (periosteal elevation) 2. Sunburst pattern/Sunrays appearance 3. Bone destruction 4. Ill-defined margins
  • 12.
  • 13.
  • 14.
  • 15.
     Secondary osteosarcoma: Occurs in old people  Associated with Paget’s disease or chronic osteomyelitis  Highly aggressive
  • 16.
    Differential diagnosis  Amongprimary and secondary bone tumors  Sub acute and chronic osteomyelitis
  • 17.
    Treatment  Classical M.C.D WLE M.C.D 70% 5yrs survival rate M – Methotrexate C – Cyclophosphamide D - Doxorubicin  T10 protocol High dose MTX WLE Biopsy > 95% necrosis < 95% necrosis chemosensitive chemoresistant M.C.D Multiple drugs (except MCD & etoposide)
  • 18.
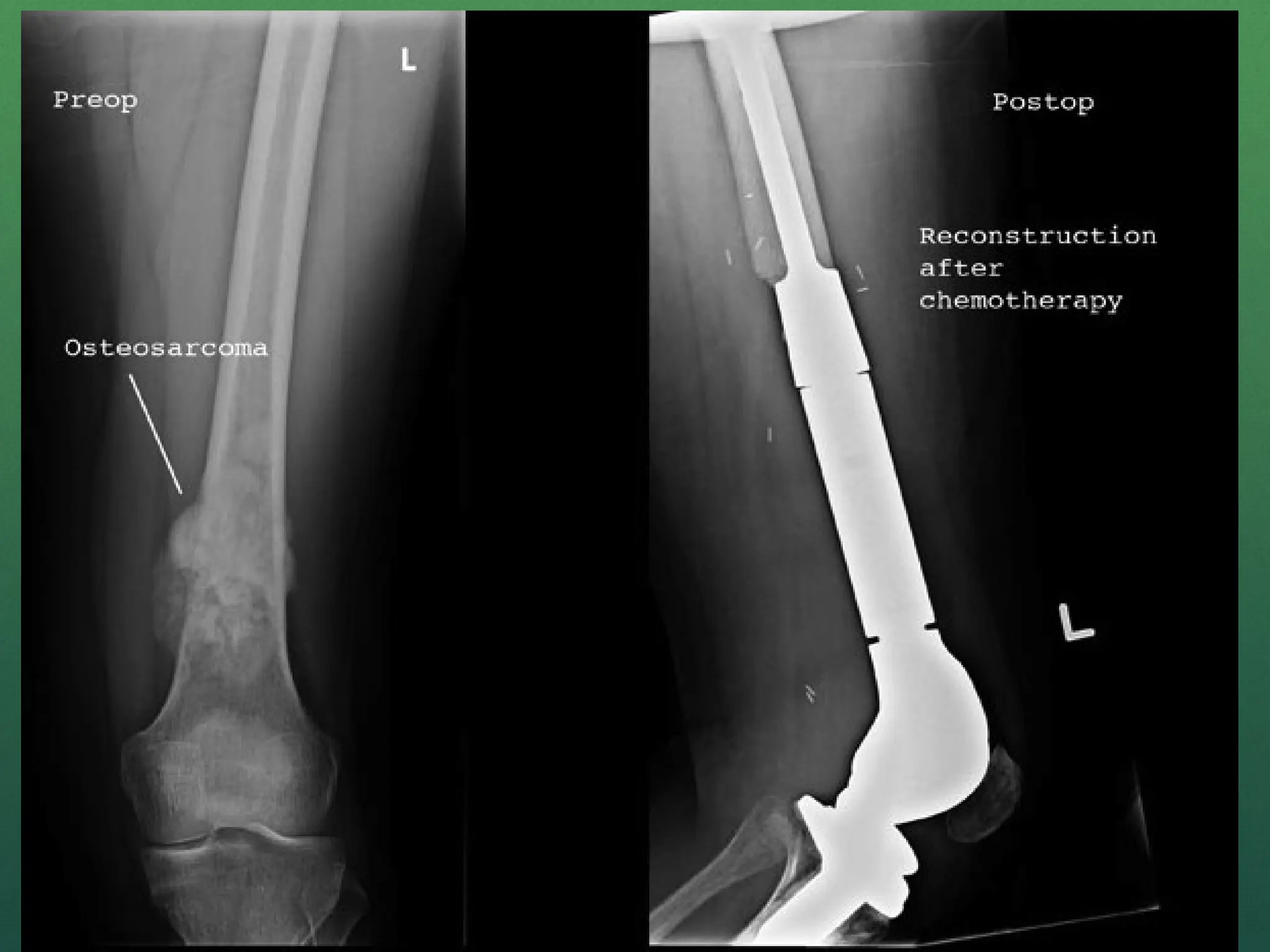
    Surgery  Disarticulation  Amputation Resection with reconstruction/endoprosthesis  Limb salvage surgery  Resection of metastatic lesion (lobectomy in lung)
  • 19.
    Limb salvage surgery Principle is to eradicate the bone tumor, retain integrity of skeletal system and preserve the limb with useful function.  After resection, skeletal reconstruction done by bone grafting(auto or allograft) or by endoprosthesis (modular or custom made).  Prosthetic reconstruction is more effective  As compared to the radical amputation and external prosthetic fitting or limb sparing surgery with bone grafting this treatment is more effective in early mobilization.
  • 22.
    Chondrosarcoma  Definition:  Malignanttumor of chondroblasts cells  Second most common malignant matrix producing tumor  Etiology:  The tumor may arise de novo (primary) or secondary to preexisting enchondroma, exostosis (osteochondromas) or Paget’s disease  Primary chodrosarcoma is very uncommon, arises centrally in the bone and found in children
  • 23.
     Chondrosarcoma subclassified according to –  Site – Central (intramedullary) Peripheral (juxtacortical and surface)  Histologically - Conventional (hyaline/myxoid) Clear cell Dedifferentiated Mesenchymal Conventional central tumors constitute about 90% of chondrosarcoma
  • 24.
     Occur morecommonly after 40 years of age  Clear cell and especially mesenchymal variant occur in younger patients in their 20s.  Male > female  It is most common in the femur, humerus, ribs and on the surface of the pelvis  Patients with Ollier's disease (multiple enchondromatosis) or Maffucci's syndrome (multiple enchondromas and hemangiomas) are at much higher risk of chondrosarcoma than the normal population.
  • 25.
    Clinical features  Presentationof chondrosarcoma depends on the grade of the tumor.  A high-grade, fast growing tumor can present with excruciating pain.  A low grade, more indolent tumor is more likely to present as an older patient complaining of hip pain and swelling.  Pelvic tumors present with urinary frequency or obstruction or may masquerade as "groin muscle pulls".
  • 26.
    Investigations  X –ray – Chondrosarcoma is a fusiform, lucent defect with scalloping of the inner cortex and periosteal reaction. Extension into the soft tissue may be present as well as punctate or stippled calcification of the cartilage matrix.
  • 27.
  • 28.
     C.T. scan– Helpful in defining the integrity of the cortex and distribution of calcification.  MRI – Surgical planning as it demonstrates the intraosseus and soft tissue involvement of the tumor. MRI is also helpful in evaluating possible malignant degeneration of osteochondromas by allowing accurate measurements of the cartilage cap
  • 29.
     Biopsy -Incisional biopsy done  Gross examination – Chondrosarcoma is a grayish-white, lobulated mass. It may have focal calcification, mucoid degeneration, or necrosis
  • 30.
  • 31.
    Treatment  Treatment ofchondrosarcoma is wide surgical excision. There is a very limited role for chemotherapy or radiation.  Low grade tm. – Limb salvage surgery(WLE)  High grade tm. - Amputation
  • 32.
    Ewing’s sarcoma  Malignantneoplasm of undifferentiated cells arising within the bone marrow cavity  Ewing's sarcoma is a highly malignant tumor that is a type of peripheral primitive neuroectodermal tumor  Found in the lower extremity more than the upper extremity, but any long tubular bone may be affected.  Most common sites are the diaphysis and metaphysis of the femur followed by the tibia and humerus.  Most common in the first and second decade  Ratio of male to female is 3:2.
  • 33.
    Clinical features  Presentedwith pain, swelling and tenderness  Erythema and warmth of the local area are sometimes seen  Osteomyelitis is often the initial diagnosis based on intermittent fevers, leukocytosis, anemia and an increased ESR.  Contain glycogen granule so can cause hyperglycemia
  • 34.
    Investigation  X-ray:  Concentric,onion-skin layering of new periosteal bone  This appearance is caused by and splitting and thickening of the cortex by tumor cells.  The lesion is usually lytic and central.  CT is helpful in defining bone destruction.  MRI is essential to elucidate the soft tissue involvement
  • 35.
  • 36.
    Differential Diagnosis  Infection Neuroblastoma metastasis  Lymphoma  Leukemia
  • 37.
     Open biopsyfor bone lesions  Grossly, the tumor is gray to white in color and poorly demarcated. The consistency is soft and gray and sometimes semi-liquid especially after breaking through the cortex. Areas of hemorrhage and necrosis are common. Ewing sarcoma
  • 38.
    Treatment  Chemotherapy –A – Actinomycin D B – Bleomycin C – Cylophosphamide D – Doxirubicin  Surgery followed by adjuvant chemotherapy.  Radiotherapy
  • 39.
    Poor Prognostic Factor High grade tumour  Age > 12 yrs  Male  H/O fever and increase TLC  Proximal lesion  Larger lesion  Metastasis  Chemoresistant
  • 40.
    MULTIPLE MYELOMA/ PLASMACYTOMA  Multiplemyeloma is a malignant tumor of plasma cells that causes widespread osteolytic bone damage.  Multiple myeloma is the most common primary tumor of bone.  Found in the spine, skull, ribs, sternum and pelvis but may affect any bone with hematopoietic red marrow.  There are chromosomal abnormalities that are associated with MM, such as 14q32 and deletion of chromosome 13, and these findings are more likely to be found in cases with poor outcome.  Other diseases, such as solitary plasmacytoma and monoclonal gammopathy are associate with MM.
  • 41.
     Average ageof the patients at diagnosis is 65 years.  Men are slightly more likely to get multiple myeloma than women.
  • 42.
    Causes  Multiple myelomamay occur spontaneously  On exposure to ionizing radiation and the pesticide dioxin  Infection with some viruses (HIV and human herpes 8) has also been associated with multiple myeloma.  No known risk factors are inherited.
  • 43.
    SYMPTOMS  Usually bonepain is main complain. Other symptoms include: Fatigue Feeling ill Fever Night sweats  Weight loss is not common in the early stages.  Patients are pale with diffuse bone tenderness, especially around the sternum (breastbone) and pelvis (hips).
  • 44.
     Spine isthe most common location for a pathological fracture. It can also happen in the ribs and pelvis.  Compression of the spinal cord in 10%-15%This causes pain in the back and legs and numbness and weakness in the legs.  Patients who have high levels of calcium in the blood may experience nausea, fatigue, confusion, constipation, and frequent urination.  Patients with anemia may experience fatigue, weakness, and shortness of breath with exercise.  In advanced cases, patients typically have recurrent infections and can have kidney failure.
  • 45.
    Investigations  Blood andurine tests – Monoclonal immunoglobulin (Ig G)is found on serum electrophoresis and on urinalysis. Immunoglobulin (Ig) is the protein that is produced by the tumor cells. Light chain subunits of immunoglobulin are called Bence Jones proteins and are present in urine.  Bone marrow aspiration and/or biopsy – A procedure that involves taking a small amount of bone marrow fluid (aspiration) and/or solid bone marrow tissue (called a core biopsy), usually from the hip bones, to be examined for the number, size, and maturity of blood cells and/or abnormal cells.
  • 46.
    DIAGNOSIS  X-ray -a diagnostic test  Punched out lesion in skull  When only one lesion is found it is called a plasmacytoma Magnetic resonance imaging (MRI) - a diagnostic procedure.
  • 47.
    Differential Diagnosis  Ewingsarcoma  Lymphoma  Leukemia  Acute infection
  • 48.
    CHEMOTHERAPY  The standardtreatment medications are melphalan and prednisone.  The median survival rate is three years with this treatment alone.  For patients in whom this therapy is ineffective, alternatives include:  VBMCP (vincristine, carmustine, melphalan, cyclophosphamide and prednisone)  VAD (vincristine, adriamycin and dexamethasone)
  • 49.
     A recentadvancement in the treatment of multiple myeloma has increased, response rates and survival.  This treatment consists of high-dose chemotherapy, followed by autologous stem cell transplantation. With this treatment, patients have a 20 percent chance of living longer than 10 years.  This stem cell transplantation involves: 1. Harvesting a patient's own blood cells 2. Conditioning them with very high doses of melphalan 3. Re-infusing the blood cells back into the patient
  • 50.
    RADIATION THERAPY  Radiationtherapy is reserved for decreasing the size of symptomatic bone lesions.
  • 51.
    SUPPORTIVE CARE  Supportivecare is critical. Supportive care includes managing the bone disease, anemia, infections, kidney failure, and pain associated with multiple myeloma.  Bisphosphonates (medication) can prevent destructive bone lesions and spine fractures.  Erythropoetin or occasional blood transfusions can manage anemia.  Antibody infusions and vaccinations can help patients with recurrent infections.  Corticosteroids and hydration can be used to treat high blood calcium concentrations (from bone loss) and dehydration.  Narcotics can decrease the pain associated with bone lesions.  Operative intervention may be required to stabilize and control the pain associated with bone fractures.
  • 52.
    SURGICAL TREATMENT  Surgery willnot cure multiple myeloma. Surgery is used to treat fractures and impending fractures in the spine, pelvis, hip, and shoulder. The goal of these surgeries is to decrease pain and maintain function.  Internal fixation augmented with cement is frequently recommended, as are joint replacements and vertebroplasties (for spine fractures).  Operative intervention does not alter the survival rate, but it does increase the quality of life.
  • 53.
    Bone Metastasis  Itis catastrophic complication for most patient of cancer.  Usually occur in elderly age group  Clinical features –  Pain  Metastatic destruction of bone reduces load bearing capacity.  Usually manifests as complication like pathological fracture, paraplegia (medullary compression), pressure symptoms.
  • 54.
     M/C cause– Lung Carcinoma  Male – Prostate Carcinoma  Female – Breast Carcinoma  M/C Area – D-L Spine  In prostate carcinoma – Pelvis > Lumber spine > Dorsal spine
  • 55.
     M/C lesion– Lytic lesion  Purely osteoblastic sec. – Prostate - Carcinoid Metastasis do not cross elbow and knee
  • 56.
     Bone tm.Which have bony metastasis – 1. Osteosarcoma 2. Neuroblastoma 3. Ewing sarcoma
  • 57.