Benign and MalignantBenign and Malignant
Lesions in RespiratoryLesions in Respiratory
CytologyCytology
MISS SURUTTAYA CHINNAWONGMISS SURUTTAYA CHINNAWONG
Respiratory CytologyRespiratory Cytology
• Major role:
– Diagnosis of malignant neoplasms
involving lung both primary and
metastatic
• Minor role:
– Opportunistic infection
– Specific inflammatory process
– Benign neoplasms, some
Sampling techniquesSampling techniques
• Exfoliative methods
– Sputum cytology
– Bronchial cytology (BW and BB)
– Bronchoalveolar lavage (BAL)
• Fine needle aspiration (FNA)
Exfoliative methodsExfoliative methods
• Factors influences diagnostic yields
– Tumor mass
• Location, size, histologic type
– Infiltrative lesion: inflammation
• Diffuse process or localized process
• Sensitivity and specificity
• False negative diagnoses
Sputum CytologySputum Cytology
• Symptomatic patients
• Techniques:
– ”pick and smear”
– Saccomanno
– Cytospin or monolayer
• Advantages:
• Disadvantages
Advantages of sputumAdvantages of sputum
• Noninvasive
• Reflect constituents from many regions of
lung
• Useful for centrally located malignancies
(Squamous cell/Small cell CA)
• High diagnostic yields: induced sputum, 3-5
samples continuously examined
• Chronic inflammations: Asthma, COPD
• Respiratory infections
Disadvantages of sputumDisadvantages of sputum
• Alveolar macrophages: lower respiratory
tract elements
• Localized lung lesion, peripheral lesion
• Adenocarcinoma, metastatic lesion,
lymphoma
• Benign tumor
Bronchial cytologyBronchial cytology
• Fiberoptic bronchoscopy
• Bronchoscope positions at the area
of abnormality
• Adequacy: large number of bronchial
epithelial cells and alveolar
macrophages
• Inadequate specimen: heavy oral
contamination, obscuring blood,
inflammatory process, dried artefact
Bronchial cytology:Bronchial cytology:
disadvantagesdisadvantages
• Limited area of the lung examined by
bronchoscopy
• Invasive procedure: unpleasant for the
patients
• Benign tumors, extremely peripheral
lesions
Bronchoalveolar lavageBronchoalveolar lavage
• The most distal airspaces
• Diffuse disease process
• Pulmonary infection: opportunistic
infections
• Interstitial lung disease
• Lymphoproliferative disorders
• Malignancy
BAL cytologyBAL cytology
• Adequacy: abundant alveolar
macrophages
• Inadequacy: bronchial epithelial cells
or squamous cells >75%
FNA cytologyFNA cytology
• Percutaneous transthoracic FNA
– Direct lung tap
– CT-guided FNAB
• Transbronchial (Wang’s needle) FNA
– Bronchoscopy
– Staging of lung tumors
• Hilar nodes
• Mediastinal nodes
• Subcarinal nodes
FNA lung lesionFNA lung lesion
• Sensitivity: 75-95%
• Specificity: 95-100%
• Classification of tumor: 70-85%
• Complications: lesion depth/size,
needle
– Pneumothorax: 5-10% need treatment
– Hemoptysis
– Air embolism
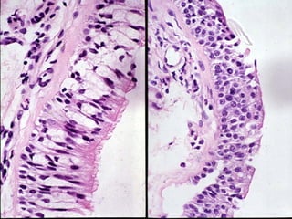
Normal ElementsNormal Elements
• Upper respiratory tract
– Nonkeratinizing stratified squamous cells
• Lower respiratory tract
– Ciliated columnar bronchial epithelial cells
– Goblet cells
– Alveolar pneumocytes
• Reactive changes
– Flat cohesive sheets
– Multinucleated ciliated cells
Benign cellularBenign cellular
proliferationsproliferations
• Creola body
– Bronchial cell hyperplasia
• Goblet cell hyperplasia
– Mucin vacuoles with small nuclei
• Reserved cell
– Basal cells with molded nuclei
Noncellular componentsNoncellular components
• Corpora amylacea: noncalcified
concretions
• Psammoma bodies
• Ferruginous bodies
• Charcot-Layden crystals
• Curschmann spirals
• Contaminants: pollen, food
Nonneoplastic lungNonneoplastic lung
diseasedisease
• Sarcoidosis
– Granulomatous inflammation of lung
parenchyma with hilar/mediastinal node
involement
– FNA diagnosis
– Diagnosis includes typical features of
nonnecrotizing granuloma and exclusion
of specific infectious etiology
– Culture and special stains needed
Noneoplastic lung diseaseNoneoplastic lung disease
• Pulmonary alveolar proteinosis
– BAL diagnosis
• Gross: cloudy/milky white with graular
debris
– Paucicellular sample of mononuclear
inflammatory cells
– Amorphous basophilic granular debris
– D/Dx: Pneumocystosis, Nocardia,
amyloidosis
erin pigments in alveolar macropha
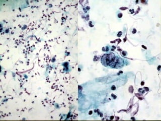
Pulmonary InfectionPulmonary Infection
• Viral infection
– BAL diagnosis
– Cilicytophthoria: detachment of cilia
• Adenovirus infection
– Reactive epithelial atypia
– Specific viral inclusions
Respiratory Cytology
Respiratory Cytology
Respiratory Cytology
Respiratory Cytology
Respiratory Cytology
Respiratory Cytology

Respiratory Cytology

  • 1.
    Benign and MalignantBenignand Malignant Lesions in RespiratoryLesions in Respiratory CytologyCytology MISS SURUTTAYA CHINNAWONGMISS SURUTTAYA CHINNAWONG
  • 2.
    Respiratory CytologyRespiratory Cytology •Major role: – Diagnosis of malignant neoplasms involving lung both primary and metastatic • Minor role: – Opportunistic infection – Specific inflammatory process – Benign neoplasms, some
  • 3.
    Sampling techniquesSampling techniques •Exfoliative methods – Sputum cytology – Bronchial cytology (BW and BB) – Bronchoalveolar lavage (BAL) • Fine needle aspiration (FNA)
  • 4.
    Exfoliative methodsExfoliative methods •Factors influences diagnostic yields – Tumor mass • Location, size, histologic type – Infiltrative lesion: inflammation • Diffuse process or localized process • Sensitivity and specificity • False negative diagnoses
  • 6.
    Sputum CytologySputum Cytology •Symptomatic patients • Techniques: – ”pick and smear” – Saccomanno – Cytospin or monolayer • Advantages: • Disadvantages
  • 7.
    Advantages of sputumAdvantagesof sputum • Noninvasive • Reflect constituents from many regions of lung • Useful for centrally located malignancies (Squamous cell/Small cell CA) • High diagnostic yields: induced sputum, 3-5 samples continuously examined • Chronic inflammations: Asthma, COPD • Respiratory infections
  • 8.
    Disadvantages of sputumDisadvantagesof sputum • Alveolar macrophages: lower respiratory tract elements • Localized lung lesion, peripheral lesion • Adenocarcinoma, metastatic lesion, lymphoma • Benign tumor
  • 9.
    Bronchial cytologyBronchial cytology •Fiberoptic bronchoscopy • Bronchoscope positions at the area of abnormality • Adequacy: large number of bronchial epithelial cells and alveolar macrophages • Inadequate specimen: heavy oral contamination, obscuring blood, inflammatory process, dried artefact
  • 10.
    Bronchial cytology:Bronchial cytology: disadvantagesdisadvantages •Limited area of the lung examined by bronchoscopy • Invasive procedure: unpleasant for the patients • Benign tumors, extremely peripheral lesions
  • 11.
    Bronchoalveolar lavageBronchoalveolar lavage •The most distal airspaces • Diffuse disease process • Pulmonary infection: opportunistic infections • Interstitial lung disease • Lymphoproliferative disorders • Malignancy
  • 12.
    BAL cytologyBAL cytology •Adequacy: abundant alveolar macrophages • Inadequacy: bronchial epithelial cells or squamous cells >75%
  • 14.
    FNA cytologyFNA cytology •Percutaneous transthoracic FNA – Direct lung tap – CT-guided FNAB • Transbronchial (Wang’s needle) FNA – Bronchoscopy – Staging of lung tumors • Hilar nodes • Mediastinal nodes • Subcarinal nodes
  • 15.
    FNA lung lesionFNAlung lesion • Sensitivity: 75-95% • Specificity: 95-100% • Classification of tumor: 70-85% • Complications: lesion depth/size, needle – Pneumothorax: 5-10% need treatment – Hemoptysis – Air embolism
  • 16.
    Normal ElementsNormal Elements •Upper respiratory tract – Nonkeratinizing stratified squamous cells • Lower respiratory tract – Ciliated columnar bronchial epithelial cells – Goblet cells – Alveolar pneumocytes • Reactive changes – Flat cohesive sheets – Multinucleated ciliated cells
  • 22.
    Benign cellularBenign cellular proliferationsproliferations •Creola body – Bronchial cell hyperplasia • Goblet cell hyperplasia – Mucin vacuoles with small nuclei • Reserved cell – Basal cells with molded nuclei
  • 28.
    Noncellular componentsNoncellular components •Corpora amylacea: noncalcified concretions • Psammoma bodies • Ferruginous bodies • Charcot-Layden crystals • Curschmann spirals • Contaminants: pollen, food
  • 33.
    Nonneoplastic lungNonneoplastic lung diseasedisease •Sarcoidosis – Granulomatous inflammation of lung parenchyma with hilar/mediastinal node involement – FNA diagnosis – Diagnosis includes typical features of nonnecrotizing granuloma and exclusion of specific infectious etiology – Culture and special stains needed
  • 34.
    Noneoplastic lung diseaseNoneoplasticlung disease • Pulmonary alveolar proteinosis – BAL diagnosis • Gross: cloudy/milky white with graular debris – Paucicellular sample of mononuclear inflammatory cells – Amorphous basophilic granular debris – D/Dx: Pneumocystosis, Nocardia, amyloidosis
  • 35.
    erin pigments inalveolar macropha
  • 37.
    Pulmonary InfectionPulmonary Infection •Viral infection – BAL diagnosis – Cilicytophthoria: detachment of cilia • Adenovirus infection – Reactive epithelial atypia – Specific viral inclusions

Editor's Notes

  • #4 Exfoliative methods/Fine needle aspiration (FNA) ทำยังไงคะหรือเอาไว้อธิบายปากเปล่า (มีรูปโชว์ไหม)