Patterns of FNAC
in benign & malignant
breast lesions
Dr Neha Mahajan
MD Pathology
Copyright © Wondershare Software
• Diagnosis of simple cysts
• The investigation of suspected recurrence or metastasis in
cases of previously diagnosed cancer
• Confirmation of inoperable, locally advanced cancer
• Preoperative confirmation of clinically suspected cancer
• Investigation of any clinically palpable lump, clinically benign
or malignant as a guide to clinical management
• As a complement to mammography in the screening
situation
• To obtain tumor cells for special diagnosis

Copyright © Wondershare Software
Adequacy of smears:
Presence of at least six clusters of epithelial cells in all
smears
or
Presence of 10 or more myoepithelial (bipolar cells) in 10
consecutive medium power viewing fields

Copyright © Wondershare Software
 Normal
 Inflammatory
 Benign
 Suspicious of malignancy
 Atypical/indeterminate
 Malignant
 Unsatisfactory

Copyright © Wondershare Software
Copyright © Wondershare Software
Copyright © Wondershare Software
CLASSIFICATION OF LESIONS OF FEMALE BREAST
INFLAMMATORY LESIONS
Acute & chronic inflammatory processes
LESIONS CAUSED BY TRAUMA
Fat necrosis
Reaction to foreign bodies
Lesions resulting from breast aumentation /reduction
BENIGN PROLIFERATIVE DISEASES
Cysts
Fibrous mastopathy & other fibrous lesions
BENIGN TUMORS
Fibroadenoma
Lactating Adenoma
Intraductal papilloma
Granular cell tumor
MALIGNANT TUMORS
Carcinomas of various types
Sarcomas
Rare tumor & tumor like conditions

METASTATIC TUMORS

Copyright © Wondershare Software
 Uncommon, account for <1% of women with breast
symptoms
 Erythematous, swollen, painful breast
 Inflammatory breast cancer mimics inflammation

Copyright © Wondershare Software
Mastitis:
 A benign bimodal component of non neoplastic
breast tissue
 Inflammatory cells, chronic/acute
 Regenerative epithelial atypia
 Histiocytes, epitheloid cells, multinucleated giant
cells and plasma cells(granulomatous pattern)
 Microorganisms(infectious mastitis)

Copyright © Wondershare Software
Breast abscess
Plenty of PMN`s
scattered ductal cells
necrotic material

Copyright © Wondershare Software
Subareolar abscess
 Young & nulliparous women
 Squamous metaplasia of lactiferous ducts
 Painful subareolar mass

 D.D: Contaminant squamous epithelium
Ruptured Epidermoid cysts

Copyright © Wondershare Software
Subareolar abscess
Aspirate :Purulent
inflammation
Keratin flakes & debris
Mature squamous cells

Copyright © Wondershare Software
Fat necrosis
 Painless,palpable mass,thickening or retraction of
skin
 History of breast trauma ,repeated palpation or
aspiration or surgery
 D.D: Lipid cyst
Macrophages mistaken for atypical epithelial cells
Carcinoma cells with macrophage like appearance

Copyright © Wondershare Software
Fat necrosis
Dirty background of
granular debris, fat
droplets & fragments of
adipose tissue
Foamy macrophages,
multinucleated giant
cells & adipocytes with
bubbly cytoplasm

Absence of epithelial
cells
Copyright © Wondershare Software
Lipoma
A well defined rounded
soft mass,firm,tender
Empty sensation on
needling
Fat only in multiple
aspirates-fat vacuoles &
fragments of adipose
tissue
Copyright © Wondershare Software
BENIGN EPITHELIAL BREAST LESIONS

Non proliferative breast
disease/fibrocystic changes
Cysts with apocrine
metaplasia
Fibrosis
Adenosis

Proliferative disease
with atypia
Atypical ductal hyperplasia
Atypical lobular
hyperplasia

Proliferative disease
without atypia
Epithelial hyperplasia
Sclerosing adenosis
Complex sclerosing scar
Papillomas
Copyright © Wondershare Software
 Clinician LUMPY BUMPY breast
 Radiologists Dense breast with cysts
 Pathologist Benign breast lesion
 Sequential proliferation & atrophy of ducts &
lobules and fibrosis of parenchyma of breast
 On cytology, impossible to differentiate subgroups

Copyright © Wondershare Software
 Sheets of ductal epithelial cells of apocrine type
 Fragments of usual epithelial cells
 Scattered single bare bipolar nuclei
 Background of variable amounts of cyst fluid and
macrophages
 Fibrous stroma

Copyright © Wondershare Software
Apocrine cells

Copyright © Wondershare Software
Fibrocystic changes

Copyright © Wondershare Software
Cytology

Histopathology
Copyright © Wondershare Software
 Complete dissapearance of the lump after
aspiration of the fluid
 Absence of altered blood or necrotic material in the
aspirated fluid
 Cyst macrophages and more or less degenerate
oxyphil/apocrine epithelial cells
 Inflammatory cells(polymorphs) variable

Copyright © Wondershare Software
Fibroadenoma
A high yield of cells, myxoid substance & some
macroscopically visible tissue fragment
Large ,branching sheets of bland epithelial
cells(staghorn pattern of epithelial cells)
Numerous single, bare bipolar nuclei
Fragments of fibromyxoid stroma

Copyright © Wondershare Software
Staghorn
clusters

Copyright © Wondershare Software
Intracanalicular

Pericanalicular

Copyright © Wondershare Software
 Overlap with other hyperplastic lesions(papilloma)
 Epithelial atypia mimicking
carcinoma(premenopausal & HRT)
 Fibromyxoid stroma occuring in some invasive
cancers
 Cystic/mucinous change
 Distinction from phylloides tumor

Copyright © Wondershare Software
• Solitary/multiple freely movable breast mass during
pregnancy/puerperium
• Numerous densely packed lobular units in clusters
or as isolated structures with myoepithelial cells at
the periphery

Copyright © Wondershare Software
Lactating adenoma
Cell rich smears
Poorly cohesive mainly
dispersed cells of acinar
type
Cells have abundant
fragile cytoplasm,some bare
nuclei
Rounded vesicular nuclei
& central nucleoli
Background of abundant
lipid secretion

Copyright © Wondershare Software
 Lobular ca(alveolar variant)
 Ca breast during pregnancy & lactation
 Secretory activity unrelated to pregnancy &
lactation
 Galactocoele with unusual features

Copyright © Wondershare Software
 Solitary subareolar mass
 Bloody nipple discharge
 Papillary lesions cannot be distinguished on
cytology, diagnosis left to histology
 All papillary lesions should be excised

Copyright © Wondershare Software
Papilloma
Cellular smears
Complex folded &
branching epithelial sheets
& finger like fragments
True papillary fragments
with stromal cores
Dispersed epithelial cells
with mild nuclear atypia
Rows of pallisaded
columnar epithelial cells
Macrophages & variable
amount of cyst fluid
Bare bipolar nuclei

Copyright © Wondershare Software
• Low grade papillary carcinoma
• Cell dispersed mimicking a malignant smear pattern
• Pseudopapillary structures in smears of low grade
invasive duct carcinoma
• Overlap with fibroadenoma
• Infarcted papilloma

Copyright © Wondershare Software
 Uncommon, benign ,firm tumor of breast clinically
mimics carcinoma
 Large cells with abundant granular cytoplasm,
monotonous ,generally spherical small nuclei
 In smears ,break up of cytoplasm results in naked nuclei
 Often confuses with large cell duct carcinoma

Copyright © Wondershare Software
Granular cell tumor

Copyright © Wondershare Software
• Cohesive fragments of highly cellular stroma
composed of spindle cells with nuclear atypia and
background atypical bare spindle nuclei, are highly
suggestive of phylloides tumor
• Marked nuclear pleomorphism & mitotic activity
seen in frank malignant phylloides tumor .

Copyright © Wondershare Software
Phyllodes tumor

Copyright © Wondershare Software
Leaf like architecture

Malignant stroma

Copyright © Wondershare Software
• Is the lesion an ordinary fibroadenoma? Or can it
quantify as a phyllodes??
• In case of marked abnormalities of stromal cells ,is
it a phyllodes or carcinoma??

Copyright © Wondershare Software
CARCINOMAS OF MAMMARY DUCT
 Infiltrating duct
 Inflammatory
 Medullar
 Colloid/mucinous
 Signet ring type
 Apocrine
 Tubular
 Papillary
Copyright © Wondershare Software
INTRADUCTAL CARCINOMA(IN SITU Ca OF DUCTS)
Solid type
Comedo type
Solid papillary carcinoma
CARCINOMA OF MAMMARY LOBULES
Infiltrating lobular carcinoma
Lobular carcinoma in situ
MIXED TYPES
RARE:
Spindle cell
Adenoid cystic
Metaplastic
Ca mimicking giant cell tumor of bone
Secretoty/juvenille ca

Copyright © Wondershare Software
• Abundant pure population of tumor cells ,singly &
in clusters
• Backround no inflammation/necrosis
• Clusters of aspirated cancer cells are 3D, either
loosely arranged,cells at the periphery become
detached
• Isolated cancer cells show N:C ratio,nuclear
abnormalities
• Absence of myoepithelial cells

Copyright © Wondershare Software
 Diagnosis of DCIS in tissue section includes
assessment of nuclear grade, growth pattern,
presence or absence of necrosis & calcification
 Specific diagnosis or classification of DCIS cannot
be made on FNAC
 Lesions with high nuclear grade, invasion cannot be
predicted accurately

Copyright © Wondershare Software
 Epithelial cells mainly cohesive forming large
sheets,often with holes or papillary fragments
 Bare bipolar nuclei absent
 Variable ,mild to moderate epithelial atypia
 Necrotic debris, often calcium granules
 Macrophages

Copyright © Wondershare Software
High gradeDCIS
(solid or comedo growth pattern)
Soft, boggy, palpable mass with highly cellular indicates
significant intraductal lesion worthy of excision.
Neoplastic cells in sheets, irregular aggregates and single
pleomorphic cells showing obvious malignant nuclear
features .
Necrotic debris, granular debris, granular calcium
,lymphocytes and vacuolated cytoplasm.

Copyright © Wondershare Software
DCIS(comedocarcinoma)

Copyright © Wondershare Software
Copyright © Wondershare Software
 Findings of tubular or angular epithelial structures,
malignant cells adherent to fibrous stroma
 Presence of intracytoplasmic neolumina in
malignant cells
 Fibroblast proliferation
 Fragments of elastoid stroma

Copyright © Wondershare Software
Invasion

Copyright © Wondershare Software
 Cell rich smears, single population of epithelial cells
no myoepithelial cells,no single bare bipolar nuclei
 Variable loss of cell cohesion irregular clusters and
single cells
 Single epithelial cells with intact cytoplasm
 Mod to severe nuclear atypia, enlargement,
pleomorphism, irregular nuclear membrane&
chromatin
 Fibroblasts & fragments of collagen( stromal
desmoplasia) a/w atypical cells
 Intracytoplasmic neolumina in some cases
 Necrosis unusual
Copyright © Wondershare Software
Infiltrating carcinoma

Copyright © Wondershare Software
Copyright © Wondershare Software
•
•
•
•
•

Representative sampling
Smearing artefacts
Fibrosclerotic lesions
In situ & low grade carcinoma
Nuclear atypia in other lesions

Copyright © Wondershare Software
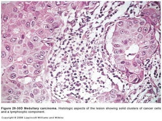
Medullary carcinoma
Soft, fleshy well defined mass mimics benign
6th decade
L.N metastasis common
Prognosis favourable

Copyright © Wondershare Software
Medullary carcinoma
Highly Cellular
smears
Large pleomorphic
,undifferentiated
malignant cells with
irregular coarsely
granular nuclei with v
large nucleoli
Many lymphocytes
in background

Copyright © Wondershare Software
Copyright © Wondershare Software
 Metastatic malignancy (melanoma) to axillary
nodes
 Malignant lymphoma
 High grade DCIS(comedocarcinoma)

Copyright © Wondershare Software
Colloid Carcinoma/Mucinous carcinoma
Elderly women circumscribed tumor
Abundant background mucin
Atypical cells in small solid aggregates, runs single files,
singly
Moderate nuclear atypia
Benign epithelial cells & bipolar nuclei absent
Chicken wire blood vessels
Can confuse with mucocele like lesions

Copyright © Wondershare Software
Colloid/mucinous carcinoma

Copyright © Wondershare Software
Colloid carcinoma (tumor cells floating in mucin pools)

Copyright © Wondershare Software
 Lack of nuclear pleomorphism
 Mucinous DCIS or ADH
 Mucocoele like lesions
 Mucinous fibroadenoma
 Myxoid stromal matrix resembling mucin
 Metastatic carcinoma
 Ultrasound gel

Copyright © Wondershare Software
Apocrine carcinoma
Elderly women
Cellular smears with large cells with eosinophilic granular
cytoplasm similar to that of benign apocrine cells
Nuclei are large with multiple nucleoli

Copyright © Wondershare Software
Copyright © Wondershare Software
Apocrine carcinoma

Copyright © Wondershare Software
Tubular carcinoma
Moderately cellular smears
Cohesive 3D complex, often branching & angulated
tubular clusters of epithelial cells
Single bipolar nuclei of benign type with fat in the
background
Nuclear abnormalities are trivial
May mimic fibroadenoma

Copyright © Wondershare Software
Copyright © Wondershare Software
Copyright © Wondershare Software
 Fibroadenoma
 Mixed tubular & usual ductal carcinoma
 Complex sclerosing lesion/scar, adenosis

Copyright © Wondershare Software
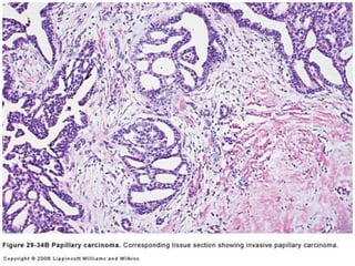
Papillary Carcinoma
Rare tumors
Cell clusters resembling benign papillomas
Nuclear enlargement & evidence of mitotic activity
Definitive diagnosis cannot be made
Confirmation by histopath

Copyright © Wondershare Software
Copyright © Wondershare Software
Copyright © Wondershare Software
Lobular carcinoma
Difficult to aspirate because of fibrosis
Small monotonous cancer cells showing cytoplasmic
vacuolation
Cells either dispersed, clusters or singe files
Nuclei granular of similar sizes
Cytoplasmic vacuolation with central condensed mucus in
cancer cells(air dried geimsa) Target cells

Copyright © Wondershare Software
Lobular carcinoma

Copyright © Wondershare Software
Lobular carcinoma ( H&E ) L.P

Copyright © Wondershare Software
 Sparse cellularity
 Resemblance to non neoplastic breast tissue in L.P
 Component of benign epithelium
 Lobular hyperplasia in pregnancy & lactation
 Distinction from low grade ductal carcinoma
 Intracytoplasmic neolumina in other lesions

Copyright © Wondershare Software
Copyright © Wondershare Software
 Aspirate shows hyaline globules surrouned by
epithelial hyperplasia
 Have to be distinguished from collageous
spherulosis
 Prognosis significantly better

Copyright © Wondershare Software
Adenoid cystic carcinoma

Copyright © Wondershare Software
• Highly aggressive malignant tumor combine features
of carcinoma with that of well differentiated
sarcoma(lipoma,oste or chondroSa,fibrosarcoma)
• Diagnostic: two or more population of malignant
cells
• Spindle cell variant resembles soft tissue sarcoma,
difficult to distinguish from phyllodes

Copyright © Wondershare Software
Metaplastic carcinoma

Copyright © Wondershare Software
 Smears cell rich composed of dispersed small &
relatively uniform cells with coarse granular nuclear
chromatin resembling carcinoid
 Mistaken for lymphoma,look for possibility of
metatstatic neuroendocrine ca

Copyright © Wondershare Software
Ca with neuroendocrine features

Copyright © Wondershare Software
• Aspiration : plenty of blood, few tumor cells(low
grade)
• Tumor cells spindly, attenuated basophilic cytoplasm
without distinct borders& have dark pleomorphic,
elongated or plump spindle nuclei(High grade )
mistaken for sarcoma

Copyright © Wondershare Software
Angiosarcoma

Copyright © Wondershare Software
Gynecomastia
Smears similar to fibroadenoma
Sheets of cuboidal ductal cells & fragments of loose
connective tissue stroma
Bipolar, spindly myoepithelial cells & oncocytes
Fragments of fibrous stroma & adipose tissue

Copyright © Wondershare Software
Cytology

Histopath

Copyright © Wondershare Software
 Bloody nipple secretions are more likely to be
malignant
 Two subtypes in spontaneous nipple secretions:
1.Solid/papillary ductal carcinoma
2.Ductal carcinoma with paget`s disease

Copyright © Wondershare Software
• Cancer cells desquamate singly or in clusters
• Clusters may be loosely structured, and are
sometimes thick or spherical, but may show a
relatively orderly arrangement of cancer cells in
papillary clusters
• Necrosis is common comedo type DCIS

Copyright © Wondershare Software
 Background of keratin, squamous cells, inflammatory
cells & debris(scrape smears from nipple)
 Large malignant cells, single and in small groups, closely
associated with squamous & inflammatory cells
 Abundant pale cytoplasm with distinct borders
 Obvious nuclear features of malignancy

Copyright © Wondershare Software
Paget`s disease smear

Copyright © Wondershare Software
Copyright © Wondershare Software
• If cytological pattern does not fit any of the
recognised types of primary breast cancer,then
possibility of metastasis need to be considered
• Mets are common from melanoma, SCC of cervix,
bronchogenic carcinoma, mucin secreting
adenocarcinoma stomach, ovarian adenoca,
alveolar RMS, soft tissue sarcoma

Copyright © Wondershare Software
Copyright © Wondershare Software
False positive
1. Papillary lesions
2. Epithelial hyperplasia with nuclear atypia
3. Radial scar/complex sclerosing lesion
4. Fibroadenoma
5. Regenerative epithelial atypia
6. Pregnancy & lactation
7. Skin adnexal tumor

Copyright © Wondershare Software
False negative
1. Tumors with central necrosis/sclerosis
2. Small carcinoma next to a dominant benign lesion
3. Complex proliferative lesion
4. Low grade ductal carcinoma
5. Lobular carcinoma Ca and small cell ductal Ca

Copyright © Wondershare Software
Copyright © Wondershare Software
Cytoarchitectural pattern
Favourable
Extremely bad
Bad
Tubular
Lobular carcinoma
Squamous cell ca
Cribriform
(Signet ring ca)
Metaplastic Ca
Medullary
Carcinoma with
Pure mucinous
neuroendocrine
Papillary
Adenoid cystic
Secretory/juvenille
Copyright © Wondershare Software
• As the prognosis and thereby the line of
management of each group of breast lesions varies,
it is important to recognize the spectrum of
morphological changes seen and separate them into
benign, premalignant and malignant categories.

Copyright © Wondershare Software








Masood et al, cytological grading system based on
Cellular arrangement (relationship of cells to one another in
a sheet of ductal epithelial cells),
The degree of cellular pleomorphism (the variation in cell
size of the ductal epithelial cells),
Anisonucleosis,
The presence of myoepithelial cells,
Nucleoli
The status of chromatin pattern like clumping of chromatin

Copyright © Wondershare Software
1
2
3
4

Copyright © Wondershare Software
Copyright © Wondershare Software
 Leopald G.Koss,Myron R.Melamed`s Koss` Diagnostic Cytology and its
histopathologic bases.5th ed.New York:Lippincott & Williams &
Wilkins;2006;p1148-1185.vol 2.
 Svante R Orell,Gregory F Sterrett,Darell Whitaker`s Fine Needle Aspiration
Cytology.4th ed.Australia:Churchilll Living An Imprint of Elsevier,2005;p165276.
 Vinay Kumar,Abul.Kabbas,Nelson Fausto. Robbins & Cotran Pathological
Basis of Disease.8th ed. Chicago,Illinois:Elsevier.2010 .p. 905-969
 Stephen S sternburg,Donald A.A,Daryl.Carter,Stacey.E,Oberman
H.A.Diagnostic Surgicl Pathology.3rd ed.Newyork:Lippincort Williams
&Wilkins;1999.p.1701-1784.
 Rosai Juan.Rosai and Ackerman`s Surgical Payhology.9
ed.Milan,Italy:Elsevier;2005.p.1164-1316
 Nandini NM,Rekha TS,Manjunath GV,Evalaution of scoring system in
cytoloical diagnosis & management of breast lesion.Indian jounal of
cancer;2011 vol28,p240 -245
Copyright © Wondershare Software
Copyright © Wondershare Software

Fnac breast

  • 1.
    Patterns of FNAC inbenign & malignant breast lesions Dr Neha Mahajan MD Pathology Copyright © Wondershare Software
  • 2.
    • Diagnosis ofsimple cysts • The investigation of suspected recurrence or metastasis in cases of previously diagnosed cancer • Confirmation of inoperable, locally advanced cancer • Preoperative confirmation of clinically suspected cancer • Investigation of any clinically palpable lump, clinically benign or malignant as a guide to clinical management • As a complement to mammography in the screening situation • To obtain tumor cells for special diagnosis Copyright © Wondershare Software
  • 3.
    Adequacy of smears: Presenceof at least six clusters of epithelial cells in all smears or Presence of 10 or more myoepithelial (bipolar cells) in 10 consecutive medium power viewing fields Copyright © Wondershare Software
  • 4.
     Normal  Inflammatory Benign  Suspicious of malignancy  Atypical/indeterminate  Malignant  Unsatisfactory Copyright © Wondershare Software
  • 5.
  • 6.
  • 7.
    CLASSIFICATION OF LESIONSOF FEMALE BREAST INFLAMMATORY LESIONS Acute & chronic inflammatory processes LESIONS CAUSED BY TRAUMA Fat necrosis Reaction to foreign bodies Lesions resulting from breast aumentation /reduction BENIGN PROLIFERATIVE DISEASES Cysts Fibrous mastopathy & other fibrous lesions BENIGN TUMORS Fibroadenoma Lactating Adenoma Intraductal papilloma Granular cell tumor MALIGNANT TUMORS Carcinomas of various types Sarcomas Rare tumor & tumor like conditions METASTATIC TUMORS Copyright © Wondershare Software
  • 8.
     Uncommon, accountfor <1% of women with breast symptoms  Erythematous, swollen, painful breast  Inflammatory breast cancer mimics inflammation Copyright © Wondershare Software
  • 9.
    Mastitis:  A benignbimodal component of non neoplastic breast tissue  Inflammatory cells, chronic/acute  Regenerative epithelial atypia  Histiocytes, epitheloid cells, multinucleated giant cells and plasma cells(granulomatous pattern)  Microorganisms(infectious mastitis) Copyright © Wondershare Software
  • 10.
    Breast abscess Plenty ofPMN`s scattered ductal cells necrotic material Copyright © Wondershare Software
  • 11.
    Subareolar abscess  Young& nulliparous women  Squamous metaplasia of lactiferous ducts  Painful subareolar mass  D.D: Contaminant squamous epithelium Ruptured Epidermoid cysts Copyright © Wondershare Software
  • 12.
    Subareolar abscess Aspirate :Purulent inflammation Keratinflakes & debris Mature squamous cells Copyright © Wondershare Software
  • 13.
    Fat necrosis  Painless,palpablemass,thickening or retraction of skin  History of breast trauma ,repeated palpation or aspiration or surgery  D.D: Lipid cyst Macrophages mistaken for atypical epithelial cells Carcinoma cells with macrophage like appearance Copyright © Wondershare Software
  • 14.
    Fat necrosis Dirty backgroundof granular debris, fat droplets & fragments of adipose tissue Foamy macrophages, multinucleated giant cells & adipocytes with bubbly cytoplasm Absence of epithelial cells Copyright © Wondershare Software
  • 15.
    Lipoma A well definedrounded soft mass,firm,tender Empty sensation on needling Fat only in multiple aspirates-fat vacuoles & fragments of adipose tissue Copyright © Wondershare Software
  • 16.
    BENIGN EPITHELIAL BREASTLESIONS Non proliferative breast disease/fibrocystic changes Cysts with apocrine metaplasia Fibrosis Adenosis Proliferative disease with atypia Atypical ductal hyperplasia Atypical lobular hyperplasia Proliferative disease without atypia Epithelial hyperplasia Sclerosing adenosis Complex sclerosing scar Papillomas Copyright © Wondershare Software
  • 17.
     Clinician LUMPYBUMPY breast  Radiologists Dense breast with cysts  Pathologist Benign breast lesion  Sequential proliferation & atrophy of ducts & lobules and fibrosis of parenchyma of breast  On cytology, impossible to differentiate subgroups Copyright © Wondershare Software
  • 18.
     Sheets ofductal epithelial cells of apocrine type  Fragments of usual epithelial cells  Scattered single bare bipolar nuclei  Background of variable amounts of cyst fluid and macrophages  Fibrous stroma Copyright © Wondershare Software
  • 19.
    Apocrine cells Copyright ©Wondershare Software
  • 20.
  • 21.
  • 22.
     Complete dissapearanceof the lump after aspiration of the fluid  Absence of altered blood or necrotic material in the aspirated fluid  Cyst macrophages and more or less degenerate oxyphil/apocrine epithelial cells  Inflammatory cells(polymorphs) variable Copyright © Wondershare Software
  • 23.
    Fibroadenoma A high yieldof cells, myxoid substance & some macroscopically visible tissue fragment Large ,branching sheets of bland epithelial cells(staghorn pattern of epithelial cells) Numerous single, bare bipolar nuclei Fragments of fibromyxoid stroma Copyright © Wondershare Software
  • 24.
  • 25.
  • 26.
     Overlap withother hyperplastic lesions(papilloma)  Epithelial atypia mimicking carcinoma(premenopausal & HRT)  Fibromyxoid stroma occuring in some invasive cancers  Cystic/mucinous change  Distinction from phylloides tumor Copyright © Wondershare Software
  • 27.
    • Solitary/multiple freelymovable breast mass during pregnancy/puerperium • Numerous densely packed lobular units in clusters or as isolated structures with myoepithelial cells at the periphery Copyright © Wondershare Software
  • 28.
    Lactating adenoma Cell richsmears Poorly cohesive mainly dispersed cells of acinar type Cells have abundant fragile cytoplasm,some bare nuclei Rounded vesicular nuclei & central nucleoli Background of abundant lipid secretion Copyright © Wondershare Software
  • 29.
     Lobular ca(alveolarvariant)  Ca breast during pregnancy & lactation  Secretory activity unrelated to pregnancy & lactation  Galactocoele with unusual features Copyright © Wondershare Software
  • 30.
     Solitary subareolarmass  Bloody nipple discharge  Papillary lesions cannot be distinguished on cytology, diagnosis left to histology  All papillary lesions should be excised Copyright © Wondershare Software
  • 31.
    Papilloma Cellular smears Complex folded& branching epithelial sheets & finger like fragments True papillary fragments with stromal cores Dispersed epithelial cells with mild nuclear atypia Rows of pallisaded columnar epithelial cells Macrophages & variable amount of cyst fluid Bare bipolar nuclei Copyright © Wondershare Software
  • 32.
    • Low gradepapillary carcinoma • Cell dispersed mimicking a malignant smear pattern • Pseudopapillary structures in smears of low grade invasive duct carcinoma • Overlap with fibroadenoma • Infarcted papilloma Copyright © Wondershare Software
  • 33.
     Uncommon, benign,firm tumor of breast clinically mimics carcinoma  Large cells with abundant granular cytoplasm, monotonous ,generally spherical small nuclei  In smears ,break up of cytoplasm results in naked nuclei  Often confuses with large cell duct carcinoma Copyright © Wondershare Software
  • 34.
    Granular cell tumor Copyright© Wondershare Software
  • 35.
    • Cohesive fragmentsof highly cellular stroma composed of spindle cells with nuclear atypia and background atypical bare spindle nuclei, are highly suggestive of phylloides tumor • Marked nuclear pleomorphism & mitotic activity seen in frank malignant phylloides tumor . Copyright © Wondershare Software
  • 36.
    Phyllodes tumor Copyright ©Wondershare Software
  • 37.
    Leaf like architecture Malignantstroma Copyright © Wondershare Software
  • 38.
    • Is thelesion an ordinary fibroadenoma? Or can it quantify as a phyllodes?? • In case of marked abnormalities of stromal cells ,is it a phyllodes or carcinoma?? Copyright © Wondershare Software
  • 39.
    CARCINOMAS OF MAMMARYDUCT  Infiltrating duct  Inflammatory  Medullar  Colloid/mucinous  Signet ring type  Apocrine  Tubular  Papillary Copyright © Wondershare Software
  • 40.
    INTRADUCTAL CARCINOMA(IN SITUCa OF DUCTS) Solid type Comedo type Solid papillary carcinoma CARCINOMA OF MAMMARY LOBULES Infiltrating lobular carcinoma Lobular carcinoma in situ MIXED TYPES RARE: Spindle cell Adenoid cystic Metaplastic Ca mimicking giant cell tumor of bone Secretoty/juvenille ca Copyright © Wondershare Software
  • 41.
    • Abundant purepopulation of tumor cells ,singly & in clusters • Backround no inflammation/necrosis • Clusters of aspirated cancer cells are 3D, either loosely arranged,cells at the periphery become detached • Isolated cancer cells show N:C ratio,nuclear abnormalities • Absence of myoepithelial cells Copyright © Wondershare Software
  • 42.
     Diagnosis ofDCIS in tissue section includes assessment of nuclear grade, growth pattern, presence or absence of necrosis & calcification  Specific diagnosis or classification of DCIS cannot be made on FNAC  Lesions with high nuclear grade, invasion cannot be predicted accurately Copyright © Wondershare Software
  • 43.
     Epithelial cellsmainly cohesive forming large sheets,often with holes or papillary fragments  Bare bipolar nuclei absent  Variable ,mild to moderate epithelial atypia  Necrotic debris, often calcium granules  Macrophages Copyright © Wondershare Software
  • 44.
    High gradeDCIS (solid orcomedo growth pattern) Soft, boggy, palpable mass with highly cellular indicates significant intraductal lesion worthy of excision. Neoplastic cells in sheets, irregular aggregates and single pleomorphic cells showing obvious malignant nuclear features . Necrotic debris, granular debris, granular calcium ,lymphocytes and vacuolated cytoplasm. Copyright © Wondershare Software
  • 45.
  • 46.
  • 47.
     Findings oftubular or angular epithelial structures, malignant cells adherent to fibrous stroma  Presence of intracytoplasmic neolumina in malignant cells  Fibroblast proliferation  Fragments of elastoid stroma Copyright © Wondershare Software
  • 48.
  • 49.
     Cell richsmears, single population of epithelial cells no myoepithelial cells,no single bare bipolar nuclei  Variable loss of cell cohesion irregular clusters and single cells  Single epithelial cells with intact cytoplasm  Mod to severe nuclear atypia, enlargement, pleomorphism, irregular nuclear membrane& chromatin  Fibroblasts & fragments of collagen( stromal desmoplasia) a/w atypical cells  Intracytoplasmic neolumina in some cases  Necrosis unusual Copyright © Wondershare Software
  • 50.
  • 51.
  • 52.
    • • • • • Representative sampling Smearing artefacts Fibroscleroticlesions In situ & low grade carcinoma Nuclear atypia in other lesions Copyright © Wondershare Software
  • 53.
    Medullary carcinoma Soft, fleshywell defined mass mimics benign 6th decade L.N metastasis common Prognosis favourable Copyright © Wondershare Software
  • 54.
    Medullary carcinoma Highly Cellular smears Largepleomorphic ,undifferentiated malignant cells with irregular coarsely granular nuclei with v large nucleoli Many lymphocytes in background Copyright © Wondershare Software
  • 55.
  • 56.
     Metastatic malignancy(melanoma) to axillary nodes  Malignant lymphoma  High grade DCIS(comedocarcinoma) Copyright © Wondershare Software
  • 57.
    Colloid Carcinoma/Mucinous carcinoma Elderlywomen circumscribed tumor Abundant background mucin Atypical cells in small solid aggregates, runs single files, singly Moderate nuclear atypia Benign epithelial cells & bipolar nuclei absent Chicken wire blood vessels Can confuse with mucocele like lesions Copyright © Wondershare Software
  • 58.
  • 59.
    Colloid carcinoma (tumorcells floating in mucin pools) Copyright © Wondershare Software
  • 60.
     Lack ofnuclear pleomorphism  Mucinous DCIS or ADH  Mucocoele like lesions  Mucinous fibroadenoma  Myxoid stromal matrix resembling mucin  Metastatic carcinoma  Ultrasound gel Copyright © Wondershare Software
  • 61.
    Apocrine carcinoma Elderly women Cellularsmears with large cells with eosinophilic granular cytoplasm similar to that of benign apocrine cells Nuclei are large with multiple nucleoli Copyright © Wondershare Software
  • 62.
  • 63.
    Apocrine carcinoma Copyright ©Wondershare Software
  • 64.
    Tubular carcinoma Moderately cellularsmears Cohesive 3D complex, often branching & angulated tubular clusters of epithelial cells Single bipolar nuclei of benign type with fat in the background Nuclear abnormalities are trivial May mimic fibroadenoma Copyright © Wondershare Software
  • 65.
  • 66.
  • 67.
     Fibroadenoma  Mixedtubular & usual ductal carcinoma  Complex sclerosing lesion/scar, adenosis Copyright © Wondershare Software
  • 68.
    Papillary Carcinoma Rare tumors Cellclusters resembling benign papillomas Nuclear enlargement & evidence of mitotic activity Definitive diagnosis cannot be made Confirmation by histopath Copyright © Wondershare Software
  • 69.
  • 70.
  • 71.
    Lobular carcinoma Difficult toaspirate because of fibrosis Small monotonous cancer cells showing cytoplasmic vacuolation Cells either dispersed, clusters or singe files Nuclei granular of similar sizes Cytoplasmic vacuolation with central condensed mucus in cancer cells(air dried geimsa) Target cells Copyright © Wondershare Software
  • 72.
    Lobular carcinoma Copyright ©Wondershare Software
  • 73.
    Lobular carcinoma (H&E ) L.P Copyright © Wondershare Software
  • 74.
     Sparse cellularity Resemblance to non neoplastic breast tissue in L.P  Component of benign epithelium  Lobular hyperplasia in pregnancy & lactation  Distinction from low grade ductal carcinoma  Intracytoplasmic neolumina in other lesions Copyright © Wondershare Software
  • 75.
  • 76.
     Aspirate showshyaline globules surrouned by epithelial hyperplasia  Have to be distinguished from collageous spherulosis  Prognosis significantly better Copyright © Wondershare Software
  • 77.
    Adenoid cystic carcinoma Copyright© Wondershare Software
  • 78.
    • Highly aggressivemalignant tumor combine features of carcinoma with that of well differentiated sarcoma(lipoma,oste or chondroSa,fibrosarcoma) • Diagnostic: two or more population of malignant cells • Spindle cell variant resembles soft tissue sarcoma, difficult to distinguish from phyllodes Copyright © Wondershare Software
  • 79.
  • 80.
     Smears cellrich composed of dispersed small & relatively uniform cells with coarse granular nuclear chromatin resembling carcinoid  Mistaken for lymphoma,look for possibility of metatstatic neuroendocrine ca Copyright © Wondershare Software
  • 81.
    Ca with neuroendocrinefeatures Copyright © Wondershare Software
  • 82.
    • Aspiration :plenty of blood, few tumor cells(low grade) • Tumor cells spindly, attenuated basophilic cytoplasm without distinct borders& have dark pleomorphic, elongated or plump spindle nuclei(High grade ) mistaken for sarcoma Copyright © Wondershare Software
  • 83.
  • 84.
    Gynecomastia Smears similar tofibroadenoma Sheets of cuboidal ductal cells & fragments of loose connective tissue stroma Bipolar, spindly myoepithelial cells & oncocytes Fragments of fibrous stroma & adipose tissue Copyright © Wondershare Software
  • 85.
  • 86.
     Bloody nipplesecretions are more likely to be malignant  Two subtypes in spontaneous nipple secretions: 1.Solid/papillary ductal carcinoma 2.Ductal carcinoma with paget`s disease Copyright © Wondershare Software
  • 87.
    • Cancer cellsdesquamate singly or in clusters • Clusters may be loosely structured, and are sometimes thick or spherical, but may show a relatively orderly arrangement of cancer cells in papillary clusters • Necrosis is common comedo type DCIS Copyright © Wondershare Software
  • 88.
     Background ofkeratin, squamous cells, inflammatory cells & debris(scrape smears from nipple)  Large malignant cells, single and in small groups, closely associated with squamous & inflammatory cells  Abundant pale cytoplasm with distinct borders  Obvious nuclear features of malignancy Copyright © Wondershare Software
  • 89.
    Paget`s disease smear Copyright© Wondershare Software
  • 90.
  • 91.
    • If cytologicalpattern does not fit any of the recognised types of primary breast cancer,then possibility of metastasis need to be considered • Mets are common from melanoma, SCC of cervix, bronchogenic carcinoma, mucin secreting adenocarcinoma stomach, ovarian adenoca, alveolar RMS, soft tissue sarcoma Copyright © Wondershare Software
  • 92.
  • 93.
    False positive 1. Papillarylesions 2. Epithelial hyperplasia with nuclear atypia 3. Radial scar/complex sclerosing lesion 4. Fibroadenoma 5. Regenerative epithelial atypia 6. Pregnancy & lactation 7. Skin adnexal tumor Copyright © Wondershare Software
  • 94.
    False negative 1. Tumorswith central necrosis/sclerosis 2. Small carcinoma next to a dominant benign lesion 3. Complex proliferative lesion 4. Low grade ductal carcinoma 5. Lobular carcinoma Ca and small cell ductal Ca Copyright © Wondershare Software
  • 95.
  • 96.
    Cytoarchitectural pattern Favourable Extremely bad Bad Tubular Lobularcarcinoma Squamous cell ca Cribriform (Signet ring ca) Metaplastic Ca Medullary Carcinoma with Pure mucinous neuroendocrine Papillary Adenoid cystic Secretory/juvenille Copyright © Wondershare Software
  • 97.
    • As theprognosis and thereby the line of management of each group of breast lesions varies, it is important to recognize the spectrum of morphological changes seen and separate them into benign, premalignant and malignant categories. Copyright © Wondershare Software
  • 98.
          Masood et al,cytological grading system based on Cellular arrangement (relationship of cells to one another in a sheet of ductal epithelial cells), The degree of cellular pleomorphism (the variation in cell size of the ductal epithelial cells), Anisonucleosis, The presence of myoepithelial cells, Nucleoli The status of chromatin pattern like clumping of chromatin Copyright © Wondershare Software
  • 99.
  • 100.
  • 101.
     Leopald G.Koss,MyronR.Melamed`s Koss` Diagnostic Cytology and its histopathologic bases.5th ed.New York:Lippincott & Williams & Wilkins;2006;p1148-1185.vol 2.  Svante R Orell,Gregory F Sterrett,Darell Whitaker`s Fine Needle Aspiration Cytology.4th ed.Australia:Churchilll Living An Imprint of Elsevier,2005;p165276.  Vinay Kumar,Abul.Kabbas,Nelson Fausto. Robbins & Cotran Pathological Basis of Disease.8th ed. Chicago,Illinois:Elsevier.2010 .p. 905-969  Stephen S sternburg,Donald A.A,Daryl.Carter,Stacey.E,Oberman H.A.Diagnostic Surgicl Pathology.3rd ed.Newyork:Lippincort Williams &Wilkins;1999.p.1701-1784.  Rosai Juan.Rosai and Ackerman`s Surgical Payhology.9 ed.Milan,Italy:Elsevier;2005.p.1164-1316  Nandini NM,Rekha TS,Manjunath GV,Evalaution of scoring system in cytoloical diagnosis & management of breast lesion.Indian jounal of cancer;2011 vol28,p240 -245 Copyright © Wondershare Software
  • 102.