X RAY CHEST
1. Patient particulars
2. View- PA / AP / LATERAL / OBLIQUE
3. Exposure/penetration
4. Centralisation
5. Skeleton
6. Lung fields
7. Cardiovascular silhouette
8. Mediastinum
9. Costo phrenic & cardio phrenic angles
10. Diaphragm
11. Soft tissue abn.
12. Conclusion
Radiologically, lung fields are divided into 3
ZONES……
UPPER ZONE - From above upto 2nd
costal
cartilage
MIDDLE ZONE - 2ND
TO 4TH
Costal cartilage
LOWER ZONE - Below 4th
costal cartilage
 Patient particulars
 View- Pa / AP / Lateral / Oblique
Should see ribs through
the heart
Barely see the spine
through the heart
Should see pulmonary
vessels nearly to the
edges of the lungs
OVERPENETRAT
ED FILM
• Lung fields darker
than normal—may
obscure subtle
pathologies
• See spine well beyond
the diaphragms
• Inadequate lung detail
Underpenetrated
Film
•Hemidiaphragms
are obscured
•Pulmonary
markings more
prominent than they
actually are
 Should be able to
count 9-10
posterior ribs
 Heart shadow
should not be
hidden by the
diaphragm
1
2
3
4
5
6
7
8
9
10
Medial ends of
bilateral clavicles
are equidistant from
the midline or
vertebral bodies
If spinous process appears closer to the right clavicle (red
arrow), the patient is rotated toward their own left side
If spinous process appears closer to the left clavicle (red arrow),
the patient is rotated toward their own right side
Check for
 Symmetry
 Deformities
 Fractures
 Masses
 Calcifications
 Lytic lesions
Check for
Cardiomegaly
Mediastinal and Hilar
contours
Trachea- upper med.
Apex of heart- lower med.
 Check sharpness of
borders
 Right is normally
higher than left
 Check for free air,
gastric bubble, pleural
effusions
 >1.5 cm - normal
 < 1.0 cm- flat diaphragm
 To help you
determine
abnormalities and
their location…
 Use silhouettes of
other thoracic
structures
This is chest radiograph, PA view with normal
exposure, no rotation and without any apparent
bony abnormality. Trachea is placed centrally & lung
fields are clear with normal broncho-vescicular
markings. Cardiovascular silhouette is within normal
limits with normal cardiothoracic ratio. Mediastinum,
costo-phrenic, cardio-phrenic angles, dome of
diaphragm & soft tissue shadow within normal limits.
Remember… be systematic!
Consolidation
a) PNEUMONIA
b) COLLAPSE
c) FIBROSIS
d) PULMONARY INFARCTION
e) CA LUNG
f) TUBERCULOSIS
Multiple bilateral cavitary lesions with air-
fluid levels
1. LUNG ABSCESS
2. HYDROPNEUMOTHORAX
3. INFECTED LUNG CYST
 PERICARDIAL EFFUSION
 DCMP
 RHD
 IHD
 ASD
 VSD
 SYST HTN
Non homogenious infiltrates
Non homogenious infiltrates
1. PULMONARY TB
2. RESOLVING BACTERIAL PNEUMONIA
3. ALVEOLAR CELL CA
4. PULMONARY EDEMA
5. FUNGAL INFECTION OF LUNG
Dextrocardia
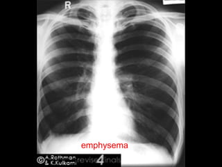
Emphysema
emphysema
1) EMPHYSEMA
2) B/L PNEUMOTHORAX
3) LARGE MULTIPLE BULLAE
4) B. ASTHMA
5) OVER EXPOSED FILM
Normal broncho-vescicular
markings
2/31/3
UPTO 2/3 – Normal
BEYOND 2/3 – Chronic bronchitis
 Fibosis
 Collapse
 infiltration
Foreign body
? Trachea
? esophagus
Ans. Is…Lateral X-Ray Chest.
& Symptoms
pneumothorax
1) Pneumothorax
2) Bullae
3) Lung cyst
4) Obtructive emphysema
5) Mastectomy
6) Poor technique
Miliary tuberculosis
1. Miliary tb
2. Tropical eosinophilia
3. Pneumoconiosis
4. Lymphangitis carcinomatosa
5. Extrisic allergic alveolitis
6. Haemosiderosis
7. Sarcoidosis
8. Fungal ds
Homogeneous opacity
Homogenious opacity
Homogenious opacity
Homogenious opacity
Homogenious opacity
1) Pleural effusion
2) Empyema thorasis
3) Collapse
4) Consolidation
5) Thickened pleura
6) Pleural mesothelioma
7) Agenesis of lung
8) Surgical removal
9) Fibrosis
Right lung opacity
Left lung opacity
 Ca lung
 Loculated pleural effusion
Thank you
all The besT

Chest x rays

Editor's Notes

  • #20 PA view of a patient with right middle lobe pneumonia, showing consolidation of the right middle lobe and loss of the right heart silhouette. Lateral view of the same patient. The right middle lobe appears wedge-shaped on this view.
  • #22 Patient with multiple bilateral pulmonary abscesses, due to tuberculosis. Note the air-fluid levels within several of these cavitary lesions.
  • #52 The chest x-ray shows a shadow in the left lung, which was later diagnosed as lung cancer