The Acute abdomen
Presented by: Dr. Mahesh Chaudhary
Resident MD Radiology, BSMMU
Dhaka, Bangladesh
• The 'acute abdomen' is a clinical condition characterized by severe abdominal
pain, requiring the clinician to make an urgent therapeutic decision.
 Role of imaging
• To help surgeon decide whether or not a patient with acute abdomen needs to
have a surgery
• Whether operation needs to be done immediately or time can be spent on
further investigations
• To support the clinical findings.
 Causes of acute abdomen
• Perforation
• Intestinal obstruction
• Paralytic ileus
• Inflammatory causes
• Renal colic
• Leaking abdominal aneurysm
• Acute gynecological disorder
 Imaging modalities
• Plain radiographs
• Ultrasound
• CT-scan of abdomen
• Barium enema
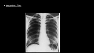
Plain abdominal film
Erect Chest Supine abdomen Erect abdomen Left lateral decubitus
Demonstrates-
-Small pneumoperitoneum
-Chest abnormalities
-Acute abdomen complicated
by chest pathology
-Acts as a baseline
Shows-
-Distribution of gas
-Caliber of bowel
-Displacement of bowel
-Obliteration of fat lines
Shows air-fluid level If patient cannot sit or stand
-Free gas between liver and
lateral abdominal wall
-Gas filled duodenal loop
-Calcification in aortic
aneurysm
 Role of USG in acute abdomen
• Real time USG allows confirmation of palpable masses and focal point of tenderness
• Evaluation of visible gas and fluid
• Perienteric soft tissue
• Evaluation of peristalsis
• Acute appendicitis
• Acute cholecystitis
Focused assessment with sonography for trauma ( FAST)
• Rapid bedside ultrasound examination performed by surgeons, emergency
physicians as a screening test for blood around the heart (pericardial
effusion) or abdominal organs (hemoperitoneum) after trauma.
• The four classic areas (4P) that are examined for free fluid are -
Perihepatic space (also called Morison's pouch or the hepatorenal recess)
Perisplenic space
Pericardium
Pelvis
• With this technique it is possible to identify the presence of intraperitoneal
or pericardial free fluid.
• In the context of traumatic injury, this fluid will usually be due to bleeding.
 Role of CT scan
• Most sensitive method for the detection of peritoneal free gas
• Confirm the diagnosis of intestinal obstruction
• H/O previous abdominal malignancy
• Extra luminal disease
• In acute pancreatitis, renal colic, leaking abdominal aneurysm, Intra abdominal
abscess
Bowel perforation
• The radiological hall mark of hollow viscus perforation is the presence of air and
fluid in the peritoneal cavity.
 Causes
• Peptic ulcer disease
• Inflammatory bowel disease
• Blunt or penetrating trauma
• Foreign body
• Neoplasm
• Obstruction
• Pancreatitis
Supine abdominal radiograph
• Oval/linear collection of gas
- Subhepatic space
- Morrison’s pouch
• Beneath the diaphragm(the cupola sign)
• In the center of the abdomen over a fluid collection(the football sign)
• Visualization of the outer as well as the inner wall of loop of bowel
(Rigler’s sign)
• Visualization of falciform ligament, medial and lateral umbilical ligament
and the urachus.
• In the fissure of ligamentum teres
11
• Erect chest film-
Supine abdominal radiograph
Rigler’s sign
 CT scan
• Most sensitive method for detecting peritoneal gas
• Gas tends to collect over the liver anteriorly, mid abdomen and peritoneal recess.
Gastric dilatation
Causes
• Paralytic ileus
• Mechanical bowel obstruction
• Gastric volvulus
• Air swallowing
X-ray abdomen-supine
Intestinal obstruction
Small bowel obstruction
Extrinsic Bowel wall Intraluminal
Adhesions Neoplasia Intussusception
Hernia Stricture Foreign body
Volvulus Intestinal ischemia Gallstone ileus
Abscess Bezoar
Peritoneal deposits
Causes
 Goals of imaging in a patient with suspected intestinal obstruction
• To confirm that it is a true obstruction and to differentiate it from an ileus
• To determine the level of obstruction
• To determine the cause of the obstruction
• To look for findings of strangulation
• To allow good management either medically or surgically by laparotomy or laparoscopy
On Plain films
• Dilated gas filled loops of small bowel.
• Multiple fluid level
• Dilated small bowel almost completely filled with fluid with small bubbles of gas
trapped in rows between the valvulae conniventes-”string of beads” sign.
• Dilated fluid-filled loops of small bowel may be identified as oval or round soft
tissue densities.
• Absent or little air in large bowel
Supine abdominal radiograph-shows multiple dilated loops of gas filled small bowel
Erect abdominal film-shows multiple fluid levels
Erect abdomen “string of beads “ sign
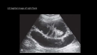
 Role of USG in bowel obstruction
• Presence of abundant gas produces images of non diagnostic quality
USG evaluation of potential MBO
• GIT caliber
• Content of dilated loop
• Peristaltic activity
• Site of obstruction
• Gut wall morphology
• Extrinsic soft tissues
US Sagittal image of right flank
 Role of CT scan
• CT can confirm the diagnosis of SBO, indicate the location of the obstruction
• Fluid filled levels clearly visible on CT
• Indicated with H/O –
- previous abdominal surgery
- extra luminal disease
• Effective at detective hernias
• A focal calibre change from dilated to collapsed bowel, the transition point,
indicates the level of obstruction.
• The small bowel is considered dilated when its diameter is greater than2.5 cm.
 Simple bowel obstruction
• Dilated small bowel leads into a mass at the point of transition to collapsed
small bowel
 Closed loop obstruction
• Two points in the segment of bowel is
obstructed
• When blood supply is compromised its
called strangulation
• CT is the imaging of choice
• A U-shaped loop of bowel is seen with a
transition point at either end.
• In severe cases, gas may be seen within the
bowel wall and within the portal venous
system
• U-Shaped or C-shaped loop
• Beak appearance at the point of obstruction
 SBO due to hernia
External hernia Internal hernia
Inguinal
Femoral
Umbilical
Incisional
Spigelian
Paraduodenal
Transmesenteric
 CT findings
• Free fluid collection within hernia sac
• Bowel wall thickening
• Abnormal bowel wall enhancement(hypo or hyper attenuating)
• Proximal bowel dilatation
• Herniated bowel segment and involved mesentery are shorter in length
CT scan showing midline incisional hernia containing a bowel loop
SBO due to gall stone ileus
• Is mechanical bowel obstruction due to gall stone/s in the intestine
• 2% of SBO
Signs of gall stone ileus
• Gas within the bile ducts or the gall bladder
• Complete or incomplete SBO
• Abnormal location of gall stone
• Change in position of gall stone
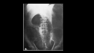
Supine film:
Appendicular abscess
Intussusception
 Characteristics
Invagination or prolapse of a segment of intestinal
tract ( intussusceptum) into the lumen of the
adjacent intestine ( intussuscipiens).
90% are ileocolic and ileo-ileocolic.
 Clinical features
• Severe colicky pain and vomiting.
• Initial stools passed at the start of symptoms
are unremarkable; blood and mucus
(‘redcurrant jelly’) stools are passed after 24
hours
Cont.
 Adult intussusception
• The majority arise from a pathological lead point.
• Causes include lipomas, carcinomas, metastases and lymphoma.
 Paediatric intussusception
• 90% of all paediatric intussusceptions have no pathological lead point and are
thought to be associated with lymphoid hyperplasia in Peyer’s patches of the
ileum.
• 10% have a lead point, which include a Meckel’s diverticulum, polyps and
duplication cysts.
• Intussusception usually occurs within the first 2 years.
Ultrasound
• A mass is usually demonstrated in the right upper quadrant adjacent to the
gallbladder, in ileocolic intussusceptions, which are the most common type in
paediatric patients.
• Transverse section through the mass reveals concentric alternating hyperechoic and
hypoechoic rings, representing compressed mucosal and serosal surfaces and
oedematous bowel wall respectively (target/doughnut sign).
• A longitudinal section through the mass demonstrates a hypoechoic mass with an
appearance very similar to a kidney (pseudo-kidney sign) .
Radiological features
Plain film
• There are multiple gas filled loops of dilated
small bowel
• Soft tissue mass in right iliac fossa
Small-bowel obstruction due to a small-bowel melanoma metastasis which has caused
jejunal intussusception.
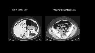
Mesenteric ischemia
• Due to thrombosis or embolism of SMA or vein.
 Plain films
• Gas filled slightly dilated loops of bowel with multiple fluid levels
• Thumb printing sign(20-30 %)
• Occasionally air in the intestinal wall
• Thickened valvulae conniventes
 CT Scan
• Low-density filling defects within an enhancing artery confirms the
presence of thrombus. Reduced or non-enhancement suggests
thrombosis or atherosclerotic narrowing.
• The bowel wall may demonstrate either low attenuation due to oedema
or high attenuation due to mural haemorrhage.
• Bowel-wall enhancement may be poor with a sharp cut-off between
normal and abnormal colon at the boundary of vascular territories.
• In complete occlusion there can be absent of enhancement of bowel wall.
• Dilated bowel loops with air fluid levels
• In severe cases gas may be seen within the bowel wall appearing as
intramural locules of low attenuation.
• Gas may also be seen in the portal venous system as branching
peripheral low attenuation usually in the left lobe of the liver .
• CT angiography allows the assessment of the coeliac axis, superior
and inferior mesenteric arteries
Contd.
Gas in portal vein Pneumatosis intestinalis
Axial Sagittal and coronal images demonstrating gas within the bowel
wall and portal venous system consistent with ischaemic small bowel
Large bowel obstruction
Etiology
• Carcinoma
• Volvulus
• Diverticular disease
3 types of patterns of obstruction
 Plain film signs of large bowel
• Depends on the state of competence of ileo caecal valve
• Few in number
• Large: above 5.0 cm diameter
• Tend to be peripheral
• Haustra : thick and widely separated and may or may not extend right
across the bowel
CT-Scan
• CT confirms obstruction with a colonic diameter of >5.5 cm (9 cm in
the caecum) considered abnormal.
• Identification of a transition point indicates the level of obstruction.
• CT clearly demonstrates intramural gas, perforation and abscess
formation.
Colonic carcinoma
• Focal irregular bowel-wall thickening with proximal dilatation.
• There may be inflammatory stranding in the adjacent fat.
Axial and coronal images demonstrating large-bowel obstruction (asterix)
secondary to a colonic carcinoma in the distal descending colon (arrow).
 Contrast enema maybe helpful:
• To differentiate pseudo-obstruction and may be indistinguishable on
plain film from mechanical of obstruction
• To localize the point of obstruction
• To diagnose the cause of obstruction e.g. tumour, inflammatory mass
Large bowel volvulus
• Prerequisite :Long and freely mobile mesentery must be present
 Sigmoid volvulus
• Common in old , mentally ill and instituionalised people
• Twisting occurs around the mesenteric axis
 Identification of loop in sigmoid volvulus
• Ahaustral margin
• Left flank overlap sign
• Apex at or above T10 level
• Apex under the left hemidiaphragm
• Inferior convergence on the left
• Liver overlap sign
Sigmoid volvulus. Supine film.
 Caecal volvulus
• Associated with degree of malrotation
• Accounts for less than 2% of adult intestinal obstruction
• Age -30-60 years
Diagnosis
• Pole of the caecum and the appendix lie in LUQ(50%)
• Caecum twists in axial plane and lies in the RLQ(50%)
• One or two haustral markings can usually be identified
• Seen as large gas filled or fluid filled viscus
• Identification of adjacent gas filled appendix confirms the diagnosis
• Left half of colon is usually collapsed
Caecal volvulus. Supine.
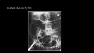
Paralytic ileus
• It occurs when intestinal peristalsis ceases and fluid and gas accumulate in the
bowel loops.
• Postoperative
• Peritonitis
• Inflammation
• Trauma
• Drugs
• CHF , Renal Failure
• Leaking abdominal aortic aneurysm
• Hypokalemia
• General debility or infection
• Vascular occlusion
• Pneumonia
 causes
Paralytic ileus. Supine film.
Inflammatory conditions
• Intra-abdominal abscess
• Acute appendicitis
• Acute cholecystitis
• Emphysematous cholecystitis
• Acute pancreatitis
 Intra-abdominal abscesses
• Abscess are mass lesions of soft tissue density
• Displacement of bowel or organ from their usual position
• Effacement of fat lines
• May contain gas
• Subphrenic space
• Subhepatic
• Omental bursa
• Pericolic
• Pelvic
• Posterior pararenal
• Anterior pararenal
• Liver abscess
Specific anatomic sites of abscess formation
 Sub-phrenic and Subhepatic abscess
On Chest X-ray
-raised hemidiaphragm(80%)
-Basal consolidation(70%)
-Pleural effusion(60%)
Other signs
• Decreased diaphragmatic movement
• Generalized or localized paralytic ileus
• Scoliosis toward the lesion
• Decreased organ mobility
 USG
• an effective test for abdominal collections, being sensitive for fluid collections or
gas–fluid collections.
• It can also be used for guided percutaneous drainage.
• Occasionally deep collections may be obscured by overlying bowel gas
 CT Scan
• Subphrenic abscess containing fluid and air
• A mass (15-35 HU)
• Ring enhancement after I.V contrast is
characteristic
Retroperitoneal abscess in the anterior and posterior pararenal spaces.
 Leucocyte scanning
• 111In-labelled leucocyte scans have been shown to have sensitivity ad specifity
greater than 90 % in the localization of intra abdominal sepsis
• Can identify sepsis at any site including prosthetic grafts and pre-exiting cysts.
 Acute appendicitis
• Appendix calculus(.5-6.0 cm)
• Sentinel loop
• Dilated caecum
• Widening of the properitoneal fat
• Blurring of the properitoneal fat
• Right lower quadrant haze due to fluid and edema
• Right lower quadrant mass indenting the caecum
• Blurring of right psoas outline
• Gas in the appendix-rare
On plain films---Signs of acute appendicitis
 USG signs
• Blind ending tubular structure at the point of tenderness
• Non-compressible
• Diameter 7mm or greater
• No peristalsis
• Appendicolith casting acoustic shadow
• High echogenicity non-compressible surrounding fat
• Surrounding fluid or abscess
• Edema of caecal pole
Ultrasound images showing an anechoic blind-ending tubular structure measuring 10mm in
diameter in the right iliac fossa (RIF): this was found to be non-peristaltic and non-
compressible.
An echogenic round body, with posterior acoustic shadowing seen within the tubular
structure, in keeping with an Appendicolith.
APP = dilated appendix, OMEN = surrounding echogenic inflamed omentum, BLD = bladder
 CT findings of acute appendicitis
• 90% diagnostic accuracy to detect acute appendicitis
• Failure of appendix to fill with oral contrast
• Tubular structure 6 mm in diameter or greater with a thickened wall
• Appendicolith
• Surrounding inflammatory changes
Acute appendicitis. CT showing
an appendix which contains a
dense Appendicolith
Appendix inflammatory mass. CT shows soft-
tissue density in the right iliac fossa containing an
Appendicolith..
 Acute cholecystitis
• Gallstones
• Duodenal ileus
• Ileus of hepatic flexure of colon
• Right hypochondrial mass due to
enlarged gallbladder
• Gas within the biliary system
Signs of acute cholecystitis
 Ultrasound : The mainstay of imaging in cholecystitis
• Gallbladder wall thickening (>3 mm), which may be poorly defined.
• Impacted calculi in the gallbladder neck or cystic duct. Gallstones are visualized
as echogenic foci with posterior acoustic shadowing.
• Biliary sludge may be seen as echogenic debris layering in the gallbladder.
• Pericholecystic fluid.
• Positive ultrasound Murphy’s sign
USG
 CT is not routinely required but may be utilized as part of the investigation of
nonspecific abdominal pain or to assess for secondary complications of
cholecystitis.
• Gallbladder wall thickening (>3 mm).
• Biliary calculi may be visualized as foci of high attenuation within the gallbladder.
• Inflammatory stranding in the pericholecystic fat
• Pericholecystic fluid/focal enhancing collections will appear as a low-attenuation
collection surrounding the gallbladder.
• Locules of free gas adjacent to the gallbladder secondary to necrosis/perforation.
• Cholecystoenteric fistulae are rare.
Axial and coronal images showing a thick-walled distended gallbladder with
pericholecystic stranding in keeping with acute cholecystitis .
 Acute pancreatitis
Etiology
• Gall stones
• Ethanol abuse
• Neoplasm
• Infection
• Traumatic
• Iatrogenic
 Role of USG
• To detect gallstones as a cause of acute pancreatitis
• Detect bile duct calculus and obstruction
• Diagnosis of unsuspected acute pancreatitis or confirm diagnosis
• Guide aspiration and drainage
• Enlargement of the gland
• Decreased gland echogenicity
• Peripancreatic inflammation
• Pancreatic duct dilatation
• Rarely echogenicity may increase due to hemorrhage
USG features
Acute pancreatitis . Transverse image shows
heterogeneous pancreas with focal hypoechoic area
Transverse image shows acute inflammation ventral
to the pancreas and ventral to the splenic vein–
superior mesenteric vein confluence . The pancreas
is enlarged and heterogeneous.
 Role of CECT
• Necrosis cannot be definitely diagnosed by USG .CECT is the modality of choice.
• Detect complications
• Diagnose unsuspected or confirm acute pancreatitis
• Diagnose conditions mimicking acute pancreatitis
• Guide aspiration and drainage
 CT findings
• Enlarged gland
• Low or heterogeneous glandular attenuation
• Peripancreatic fat-normal or hazy
• Focal areas of decreased or no enhancement represents areas of necrosis
CT grading-identifies subgroup of individuals at risk for morbidity and
mortality
Percentage
of necrosis
Severity
index
A. Normal pancreas 0 0 o
B. Focal or diffuse pancreatic enlargement 1 0 1
C. Inflammation of pancrease or
Peripancreatic fat
2 <30 %(2) 4
D. Single ill defined Peripancreatic fluid
collection
3 30-50%(4) 7
E. 2 or more Peripancreatic fluid collection 4 >50%(6) 10
Grade A –C: F/Up recommended only if clinical condition declines
Grade D and E: F/up scan needed at 7 to 10 days
:At the time of discharge
Acute pancreatitis.
Severe pancreatitis.
• Fluid collection
• Pancreatic necrosis
• Haemorrhage
• Pseudocysts
• Pseudoaneurysms
• Venous thrombosis
.
Complications
Acute colitis
• Acute inflammatory colitis
• Toxic megacolon
• Pseudomembranous colitis
• Ischemic colitis
 Plain film can assess
• the extent of the colitis
• the state of mucosa
 State of colonic mucosa can be assessed from :
- the faecal residue
- the width of the bowel lumen
-the mucosal edge
-the haustral pattern
Toxic megacolon
• A fulminating form of colitis with transmural inflammation, extensive &
deep ulceration & neuromuscular degeneration.
• Most often involves the transverse colon
• Radiological Findings:
Mucosal islands (=pseudopolyps) & dilatation (>5.5 cm)
Haustra will be effaced or blunted
• Common complication:
Perforation in the sigmoid & peritonitis
Supine film. Toxic megacolon in Crohn's disease.
Chron’s disease Ulcerative colitis
Ischemic colitis
-Etiology
• Vascular insufficiency
-C/F
• Sudden onset of severe abdominal pain followed by bloody diarrhoea
• Splenic flexure and descending colon preferentially involved
X-ray: Ischemic colitis
 CT scan
• Best diagnostic modality
• Mural thickening and peri-colonic stranding
• Thickening and mucosal hyper density
• Heterogeneous enhancement
• Loss of colonic Haustra
• Colon contour is shaggy
• Lumen dilated
• +/- gas in the bowel wall, portal vein and mesentery
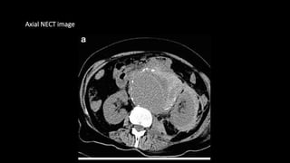
Leaking abdominal aortic aneurysm
Etiology
• Atherosclerosis
• Mycotic
• inflammatory
 Age: 65 yrs and older
 Site: below the origin of renal arteries
 C/F: prescence of pulsatile mass with sudden hypotension
: back pain
Imaging
Plain film
• Central soft tissue mass which may obscure psoas
outline on the left
• Frequently curvilinear calcification
• Obscured renal outline
Supine film.
Leaking aortic aneurysm.
CT scan
• Most common finding is retro peritoneal
hematoma(density>50 HU)
•Extension of blood into pararenal spaces and psoas
muscle
• On CECT active extravasation of the contrast
Axial NECT image
Axial and coronal arterial-phase images
Ectopic pregnancy
• Occurs in 2% of pregnancies and accounts for 9% of all pregnancy-
related deaths secondarily to venous thromboembolism.
• Many factors increase the risk of ectopic pregnancy by affecting the
migration of the embryo to the endometrial cavity.
• Usually presents by 7th week of pregnancy.
• Missed or delayed diagnosis can be devastating with massive
haemorrhage and possibly death.
 Risk factors
• pelvic inflammatory disease
• previous history of ectopic pregnancy
• prior tubal surgery
• assisted reproductive technology
• intra-uterine contraceptive devices,
• age >35 years and smoking.
Radiological features
• An extra-uterine sac containing a fetal pole or yolk sac with or without
cardiac motion is observed in <20% of cases and confirms an ectopic
pregnancy .
• A thick-walled cystic structure or a complex adnexal mass independent of
the ovary and uterus is also suggestive of ectopic pregnancy.
• Identification of a viable intra-uterine gestation sac virtually rules out an
ectopic pregnancy except in the rare circumstance of a heterotopic
pregnancy (incidence of 1 in 7,000 pregnancies)
 Ultrasound : The imaging modality of choice
Features
Cont.
• Other supportive findings include absence of an intra-uterine pregnancy at
6 weeks gestation pelvic free fluid or hyperechoic clot within the uterus,
hydro- or haematosalpinx or a thickened endometrium.
• A pseudogestational sac may be seen consisting of endometrial thickening
with an anechoic centre composed of haemorrhage.
• In cases of rupture, extensive anechoic intra-abdominal and pelvic
haemorrhage may be seen.
Longitudinal images demonstrating a normal uterus with no intra-uterine pregnancy .
Ovarian cyst torsion
• Commonest in women of childbearing age but can affect women of all ages.
• Caused by twisting of the vascular pedicle with associated venous or arterial
occlusion and subsequent infarction.
• Symptoms include lower abdominal pain, nausea , vomiting
• Risk factors include enlarged ovaries >6 cm, elongated ovarian ligaments
 USG
• Free fluid seen within the abdomen is suggestive of cyst rupture. In the absence
of a visible cyst, a review of previous ultrasound studies may be useful.
• Torsion is characterized by an heterogeneous enlarged ovary with internal echoes
and reduced or absent Doppler signal.
Ultrasound LA : Ovary
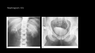
Renal colic
• Pain caused by the passage of a renal calculus through the ureter.
Clinical features
Renal colic: severe, spasmodic flank pain radiating to groin.
Imaging
The role of imaging is to confirm urolithiasis, identify the location and degree of
obstruction and identify potential complications.
Plain films
• Low sensitivity and specificity (45% and 75%) for urolithiasis limits its role in the
acute setting. Can provide a baseline for follow-up.
Intravenous urography (IVU)
• Traditionally the first-line imaging modality. Not ideal if there is poor renal
function.
Findings
• Direct visualization of a ureteric calculus.
• A delayed nephrogram and filling of the collecting system with a standing column
of contrast in the ureter to the level of the calculus which persists post
micturition.
• The length of delay in the appearance of contrast in the collecting system gives an
idea of the degree of obstruction.
• Affected kidney is modestly enlarged.
Nephrogram: IVU
 CT Scan
Findings
• Hydronephrosis / hydroureter down to the level of a ureteric
calculus.
• perinephric stranding and nephromegaly.
Thank you

Acute abdomen

  • 1.
    The Acute abdomen Presentedby: Dr. Mahesh Chaudhary Resident MD Radiology, BSMMU Dhaka, Bangladesh
  • 2.
    • The 'acuteabdomen' is a clinical condition characterized by severe abdominal pain, requiring the clinician to make an urgent therapeutic decision.  Role of imaging • To help surgeon decide whether or not a patient with acute abdomen needs to have a surgery • Whether operation needs to be done immediately or time can be spent on further investigations • To support the clinical findings.
  • 3.
     Causes ofacute abdomen • Perforation • Intestinal obstruction • Paralytic ileus • Inflammatory causes • Renal colic • Leaking abdominal aneurysm • Acute gynecological disorder
  • 4.
     Imaging modalities •Plain radiographs • Ultrasound • CT-scan of abdomen • Barium enema
  • 5.
    Plain abdominal film ErectChest Supine abdomen Erect abdomen Left lateral decubitus Demonstrates- -Small pneumoperitoneum -Chest abnormalities -Acute abdomen complicated by chest pathology -Acts as a baseline Shows- -Distribution of gas -Caliber of bowel -Displacement of bowel -Obliteration of fat lines Shows air-fluid level If patient cannot sit or stand -Free gas between liver and lateral abdominal wall -Gas filled duodenal loop -Calcification in aortic aneurysm
  • 7.
     Role ofUSG in acute abdomen • Real time USG allows confirmation of palpable masses and focal point of tenderness • Evaluation of visible gas and fluid • Perienteric soft tissue • Evaluation of peristalsis • Acute appendicitis • Acute cholecystitis
  • 8.
    Focused assessment withsonography for trauma ( FAST) • Rapid bedside ultrasound examination performed by surgeons, emergency physicians as a screening test for blood around the heart (pericardial effusion) or abdominal organs (hemoperitoneum) after trauma. • The four classic areas (4P) that are examined for free fluid are - Perihepatic space (also called Morison's pouch or the hepatorenal recess) Perisplenic space Pericardium Pelvis • With this technique it is possible to identify the presence of intraperitoneal or pericardial free fluid. • In the context of traumatic injury, this fluid will usually be due to bleeding.
  • 9.
     Role ofCT scan • Most sensitive method for the detection of peritoneal free gas • Confirm the diagnosis of intestinal obstruction • H/O previous abdominal malignancy • Extra luminal disease • In acute pancreatitis, renal colic, leaking abdominal aneurysm, Intra abdominal abscess
  • 10.
    Bowel perforation • Theradiological hall mark of hollow viscus perforation is the presence of air and fluid in the peritoneal cavity.  Causes • Peptic ulcer disease • Inflammatory bowel disease • Blunt or penetrating trauma • Foreign body • Neoplasm • Obstruction • Pancreatitis
  • 11.
    Supine abdominal radiograph •Oval/linear collection of gas - Subhepatic space - Morrison’s pouch • Beneath the diaphragm(the cupola sign) • In the center of the abdomen over a fluid collection(the football sign) • Visualization of the outer as well as the inner wall of loop of bowel (Rigler’s sign) • Visualization of falciform ligament, medial and lateral umbilical ligament and the urachus. • In the fissure of ligamentum teres 11
  • 12.
  • 13.
  • 14.
  • 15.
     CT scan •Most sensitive method for detecting peritoneal gas • Gas tends to collect over the liver anteriorly, mid abdomen and peritoneal recess.
  • 16.
    Gastric dilatation Causes • Paralyticileus • Mechanical bowel obstruction • Gastric volvulus • Air swallowing X-ray abdomen-supine Intestinal obstruction
  • 17.
    Small bowel obstruction ExtrinsicBowel wall Intraluminal Adhesions Neoplasia Intussusception Hernia Stricture Foreign body Volvulus Intestinal ischemia Gallstone ileus Abscess Bezoar Peritoneal deposits Causes
  • 18.
     Goals ofimaging in a patient with suspected intestinal obstruction • To confirm that it is a true obstruction and to differentiate it from an ileus • To determine the level of obstruction • To determine the cause of the obstruction • To look for findings of strangulation • To allow good management either medically or surgically by laparotomy or laparoscopy
  • 19.
    On Plain films •Dilated gas filled loops of small bowel. • Multiple fluid level • Dilated small bowel almost completely filled with fluid with small bubbles of gas trapped in rows between the valvulae conniventes-”string of beads” sign. • Dilated fluid-filled loops of small bowel may be identified as oval or round soft tissue densities. • Absent or little air in large bowel
  • 20.
    Supine abdominal radiograph-showsmultiple dilated loops of gas filled small bowel
  • 21.
    Erect abdominal film-showsmultiple fluid levels
  • 22.
    Erect abdomen “stringof beads “ sign
  • 23.
     Role ofUSG in bowel obstruction • Presence of abundant gas produces images of non diagnostic quality USG evaluation of potential MBO • GIT caliber • Content of dilated loop • Peristaltic activity • Site of obstruction • Gut wall morphology • Extrinsic soft tissues
  • 24.
    US Sagittal imageof right flank
  • 25.
     Role ofCT scan • CT can confirm the diagnosis of SBO, indicate the location of the obstruction • Fluid filled levels clearly visible on CT • Indicated with H/O – - previous abdominal surgery - extra luminal disease • Effective at detective hernias • A focal calibre change from dilated to collapsed bowel, the transition point, indicates the level of obstruction. • The small bowel is considered dilated when its diameter is greater than2.5 cm.
  • 26.
     Simple bowelobstruction • Dilated small bowel leads into a mass at the point of transition to collapsed small bowel
  • 27.
     Closed loopobstruction • Two points in the segment of bowel is obstructed • When blood supply is compromised its called strangulation • CT is the imaging of choice • A U-shaped loop of bowel is seen with a transition point at either end. • In severe cases, gas may be seen within the bowel wall and within the portal venous system
  • 28.
    • U-Shaped orC-shaped loop • Beak appearance at the point of obstruction
  • 29.
     SBO dueto hernia External hernia Internal hernia Inguinal Femoral Umbilical Incisional Spigelian Paraduodenal Transmesenteric
  • 30.
     CT findings •Free fluid collection within hernia sac • Bowel wall thickening • Abnormal bowel wall enhancement(hypo or hyper attenuating) • Proximal bowel dilatation • Herniated bowel segment and involved mesentery are shorter in length
  • 31.
    CT scan showingmidline incisional hernia containing a bowel loop
  • 32.
    SBO due togall stone ileus • Is mechanical bowel obstruction due to gall stone/s in the intestine • 2% of SBO Signs of gall stone ileus • Gas within the bile ducts or the gall bladder • Complete or incomplete SBO • Abnormal location of gall stone • Change in position of gall stone
  • 33.
  • 34.
  • 35.
    Intussusception  Characteristics Invagination orprolapse of a segment of intestinal tract ( intussusceptum) into the lumen of the adjacent intestine ( intussuscipiens). 90% are ileocolic and ileo-ileocolic.  Clinical features • Severe colicky pain and vomiting. • Initial stools passed at the start of symptoms are unremarkable; blood and mucus (‘redcurrant jelly’) stools are passed after 24 hours
  • 36.
    Cont.  Adult intussusception •The majority arise from a pathological lead point. • Causes include lipomas, carcinomas, metastases and lymphoma.  Paediatric intussusception • 90% of all paediatric intussusceptions have no pathological lead point and are thought to be associated with lymphoid hyperplasia in Peyer’s patches of the ileum. • 10% have a lead point, which include a Meckel’s diverticulum, polyps and duplication cysts. • Intussusception usually occurs within the first 2 years.
  • 37.
    Ultrasound • A massis usually demonstrated in the right upper quadrant adjacent to the gallbladder, in ileocolic intussusceptions, which are the most common type in paediatric patients. • Transverse section through the mass reveals concentric alternating hyperechoic and hypoechoic rings, representing compressed mucosal and serosal surfaces and oedematous bowel wall respectively (target/doughnut sign). • A longitudinal section through the mass demonstrates a hypoechoic mass with an appearance very similar to a kidney (pseudo-kidney sign) . Radiological features
  • 38.
    Plain film • Thereare multiple gas filled loops of dilated small bowel • Soft tissue mass in right iliac fossa
  • 39.
    Small-bowel obstruction dueto a small-bowel melanoma metastasis which has caused jejunal intussusception.
  • 40.
    Mesenteric ischemia • Dueto thrombosis or embolism of SMA or vein.  Plain films • Gas filled slightly dilated loops of bowel with multiple fluid levels • Thumb printing sign(20-30 %) • Occasionally air in the intestinal wall • Thickened valvulae conniventes
  • 41.
     CT Scan •Low-density filling defects within an enhancing artery confirms the presence of thrombus. Reduced or non-enhancement suggests thrombosis or atherosclerotic narrowing. • The bowel wall may demonstrate either low attenuation due to oedema or high attenuation due to mural haemorrhage. • Bowel-wall enhancement may be poor with a sharp cut-off between normal and abnormal colon at the boundary of vascular territories. • In complete occlusion there can be absent of enhancement of bowel wall.
  • 42.
    • Dilated bowelloops with air fluid levels • In severe cases gas may be seen within the bowel wall appearing as intramural locules of low attenuation. • Gas may also be seen in the portal venous system as branching peripheral low attenuation usually in the left lobe of the liver . • CT angiography allows the assessment of the coeliac axis, superior and inferior mesenteric arteries Contd.
  • 43.
    Gas in portalvein Pneumatosis intestinalis
  • 44.
    Axial Sagittal andcoronal images demonstrating gas within the bowel wall and portal venous system consistent with ischaemic small bowel
  • 45.
    Large bowel obstruction Etiology •Carcinoma • Volvulus • Diverticular disease 3 types of patterns of obstruction
  • 46.
     Plain filmsigns of large bowel • Depends on the state of competence of ileo caecal valve • Few in number • Large: above 5.0 cm diameter • Tend to be peripheral • Haustra : thick and widely separated and may or may not extend right across the bowel
  • 48.
    CT-Scan • CT confirmsobstruction with a colonic diameter of >5.5 cm (9 cm in the caecum) considered abnormal. • Identification of a transition point indicates the level of obstruction. • CT clearly demonstrates intramural gas, perforation and abscess formation.
  • 49.
    Colonic carcinoma • Focalirregular bowel-wall thickening with proximal dilatation. • There may be inflammatory stranding in the adjacent fat. Axial and coronal images demonstrating large-bowel obstruction (asterix) secondary to a colonic carcinoma in the distal descending colon (arrow).
  • 50.
     Contrast enemamaybe helpful: • To differentiate pseudo-obstruction and may be indistinguishable on plain film from mechanical of obstruction • To localize the point of obstruction • To diagnose the cause of obstruction e.g. tumour, inflammatory mass
  • 51.
    Large bowel volvulus •Prerequisite :Long and freely mobile mesentery must be present  Sigmoid volvulus • Common in old , mentally ill and instituionalised people • Twisting occurs around the mesenteric axis
  • 52.
     Identification ofloop in sigmoid volvulus • Ahaustral margin • Left flank overlap sign • Apex at or above T10 level • Apex under the left hemidiaphragm • Inferior convergence on the left • Liver overlap sign
  • 53.
  • 54.
     Caecal volvulus •Associated with degree of malrotation • Accounts for less than 2% of adult intestinal obstruction • Age -30-60 years Diagnosis • Pole of the caecum and the appendix lie in LUQ(50%) • Caecum twists in axial plane and lies in the RLQ(50%) • One or two haustral markings can usually be identified • Seen as large gas filled or fluid filled viscus • Identification of adjacent gas filled appendix confirms the diagnosis • Left half of colon is usually collapsed
  • 55.
  • 56.
    Paralytic ileus • Itoccurs when intestinal peristalsis ceases and fluid and gas accumulate in the bowel loops. • Postoperative • Peritonitis • Inflammation • Trauma • Drugs • CHF , Renal Failure • Leaking abdominal aortic aneurysm • Hypokalemia • General debility or infection • Vascular occlusion • Pneumonia  causes
  • 57.
  • 58.
    Inflammatory conditions • Intra-abdominalabscess • Acute appendicitis • Acute cholecystitis • Emphysematous cholecystitis • Acute pancreatitis
  • 59.
     Intra-abdominal abscesses •Abscess are mass lesions of soft tissue density • Displacement of bowel or organ from their usual position • Effacement of fat lines • May contain gas
  • 60.
    • Subphrenic space •Subhepatic • Omental bursa • Pericolic • Pelvic • Posterior pararenal • Anterior pararenal • Liver abscess Specific anatomic sites of abscess formation
  • 61.
     Sub-phrenic andSubhepatic abscess On Chest X-ray -raised hemidiaphragm(80%) -Basal consolidation(70%) -Pleural effusion(60%) Other signs • Decreased diaphragmatic movement • Generalized or localized paralytic ileus • Scoliosis toward the lesion • Decreased organ mobility
  • 62.
     USG • aneffective test for abdominal collections, being sensitive for fluid collections or gas–fluid collections. • It can also be used for guided percutaneous drainage. • Occasionally deep collections may be obscured by overlying bowel gas
  • 63.
     CT Scan •Subphrenic abscess containing fluid and air • A mass (15-35 HU) • Ring enhancement after I.V contrast is characteristic
  • 64.
    Retroperitoneal abscess inthe anterior and posterior pararenal spaces.
  • 65.
     Leucocyte scanning •111In-labelled leucocyte scans have been shown to have sensitivity ad specifity greater than 90 % in the localization of intra abdominal sepsis • Can identify sepsis at any site including prosthetic grafts and pre-exiting cysts.
  • 66.
     Acute appendicitis •Appendix calculus(.5-6.0 cm) • Sentinel loop • Dilated caecum • Widening of the properitoneal fat • Blurring of the properitoneal fat • Right lower quadrant haze due to fluid and edema • Right lower quadrant mass indenting the caecum • Blurring of right psoas outline • Gas in the appendix-rare On plain films---Signs of acute appendicitis
  • 67.
     USG signs •Blind ending tubular structure at the point of tenderness • Non-compressible • Diameter 7mm or greater • No peristalsis • Appendicolith casting acoustic shadow • High echogenicity non-compressible surrounding fat • Surrounding fluid or abscess • Edema of caecal pole
  • 68.
    Ultrasound images showingan anechoic blind-ending tubular structure measuring 10mm in diameter in the right iliac fossa (RIF): this was found to be non-peristaltic and non- compressible. An echogenic round body, with posterior acoustic shadowing seen within the tubular structure, in keeping with an Appendicolith. APP = dilated appendix, OMEN = surrounding echogenic inflamed omentum, BLD = bladder
  • 69.
     CT findingsof acute appendicitis • 90% diagnostic accuracy to detect acute appendicitis • Failure of appendix to fill with oral contrast • Tubular structure 6 mm in diameter or greater with a thickened wall • Appendicolith • Surrounding inflammatory changes
  • 70.
    Acute appendicitis. CTshowing an appendix which contains a dense Appendicolith Appendix inflammatory mass. CT shows soft- tissue density in the right iliac fossa containing an Appendicolith..
  • 71.
     Acute cholecystitis •Gallstones • Duodenal ileus • Ileus of hepatic flexure of colon • Right hypochondrial mass due to enlarged gallbladder • Gas within the biliary system Signs of acute cholecystitis
  • 72.
     Ultrasound :The mainstay of imaging in cholecystitis • Gallbladder wall thickening (>3 mm), which may be poorly defined. • Impacted calculi in the gallbladder neck or cystic duct. Gallstones are visualized as echogenic foci with posterior acoustic shadowing. • Biliary sludge may be seen as echogenic debris layering in the gallbladder. • Pericholecystic fluid. • Positive ultrasound Murphy’s sign
  • 73.
  • 74.
     CT isnot routinely required but may be utilized as part of the investigation of nonspecific abdominal pain or to assess for secondary complications of cholecystitis. • Gallbladder wall thickening (>3 mm). • Biliary calculi may be visualized as foci of high attenuation within the gallbladder. • Inflammatory stranding in the pericholecystic fat • Pericholecystic fluid/focal enhancing collections will appear as a low-attenuation collection surrounding the gallbladder. • Locules of free gas adjacent to the gallbladder secondary to necrosis/perforation. • Cholecystoenteric fistulae are rare.
  • 75.
    Axial and coronalimages showing a thick-walled distended gallbladder with pericholecystic stranding in keeping with acute cholecystitis .
  • 76.
     Acute pancreatitis Etiology •Gall stones • Ethanol abuse • Neoplasm • Infection • Traumatic • Iatrogenic
  • 77.
     Role ofUSG • To detect gallstones as a cause of acute pancreatitis • Detect bile duct calculus and obstruction • Diagnosis of unsuspected acute pancreatitis or confirm diagnosis • Guide aspiration and drainage • Enlargement of the gland • Decreased gland echogenicity • Peripancreatic inflammation • Pancreatic duct dilatation • Rarely echogenicity may increase due to hemorrhage USG features
  • 78.
    Acute pancreatitis .Transverse image shows heterogeneous pancreas with focal hypoechoic area Transverse image shows acute inflammation ventral to the pancreas and ventral to the splenic vein– superior mesenteric vein confluence . The pancreas is enlarged and heterogeneous.
  • 79.
     Role ofCECT • Necrosis cannot be definitely diagnosed by USG .CECT is the modality of choice. • Detect complications • Diagnose unsuspected or confirm acute pancreatitis • Diagnose conditions mimicking acute pancreatitis • Guide aspiration and drainage
  • 80.
     CT findings •Enlarged gland • Low or heterogeneous glandular attenuation • Peripancreatic fat-normal or hazy • Focal areas of decreased or no enhancement represents areas of necrosis
  • 81.
    CT grading-identifies subgroupof individuals at risk for morbidity and mortality Percentage of necrosis Severity index A. Normal pancreas 0 0 o B. Focal or diffuse pancreatic enlargement 1 0 1 C. Inflammation of pancrease or Peripancreatic fat 2 <30 %(2) 4 D. Single ill defined Peripancreatic fluid collection 3 30-50%(4) 7 E. 2 or more Peripancreatic fluid collection 4 >50%(6) 10 Grade A –C: F/Up recommended only if clinical condition declines Grade D and E: F/up scan needed at 7 to 10 days :At the time of discharge
  • 82.
  • 83.
  • 84.
    • Fluid collection •Pancreatic necrosis • Haemorrhage • Pseudocysts • Pseudoaneurysms • Venous thrombosis . Complications
  • 85.
    Acute colitis • Acuteinflammatory colitis • Toxic megacolon • Pseudomembranous colitis • Ischemic colitis
  • 86.
     Plain filmcan assess • the extent of the colitis • the state of mucosa  State of colonic mucosa can be assessed from : - the faecal residue - the width of the bowel lumen -the mucosal edge -the haustral pattern
  • 87.
    Toxic megacolon • Afulminating form of colitis with transmural inflammation, extensive & deep ulceration & neuromuscular degeneration. • Most often involves the transverse colon • Radiological Findings: Mucosal islands (=pseudopolyps) & dilatation (>5.5 cm) Haustra will be effaced or blunted • Common complication: Perforation in the sigmoid & peritonitis
  • 88.
    Supine film. Toxicmegacolon in Crohn's disease.
  • 90.
  • 91.
    Ischemic colitis -Etiology • Vascularinsufficiency -C/F • Sudden onset of severe abdominal pain followed by bloody diarrhoea • Splenic flexure and descending colon preferentially involved
  • 92.
  • 93.
     CT scan •Best diagnostic modality • Mural thickening and peri-colonic stranding • Thickening and mucosal hyper density • Heterogeneous enhancement • Loss of colonic Haustra • Colon contour is shaggy • Lumen dilated • +/- gas in the bowel wall, portal vein and mesentery
  • 94.
    Leaking abdominal aorticaneurysm Etiology • Atherosclerosis • Mycotic • inflammatory  Age: 65 yrs and older  Site: below the origin of renal arteries  C/F: prescence of pulsatile mass with sudden hypotension : back pain
  • 95.
    Imaging Plain film • Centralsoft tissue mass which may obscure psoas outline on the left • Frequently curvilinear calcification • Obscured renal outline
  • 96.
  • 97.
    CT scan • Mostcommon finding is retro peritoneal hematoma(density>50 HU) •Extension of blood into pararenal spaces and psoas muscle • On CECT active extravasation of the contrast
  • 98.
  • 99.
    Axial and coronalarterial-phase images
  • 100.
    Ectopic pregnancy • Occursin 2% of pregnancies and accounts for 9% of all pregnancy- related deaths secondarily to venous thromboembolism. • Many factors increase the risk of ectopic pregnancy by affecting the migration of the embryo to the endometrial cavity. • Usually presents by 7th week of pregnancy. • Missed or delayed diagnosis can be devastating with massive haemorrhage and possibly death.
  • 101.
     Risk factors •pelvic inflammatory disease • previous history of ectopic pregnancy • prior tubal surgery • assisted reproductive technology • intra-uterine contraceptive devices, • age >35 years and smoking.
  • 102.
    Radiological features • Anextra-uterine sac containing a fetal pole or yolk sac with or without cardiac motion is observed in <20% of cases and confirms an ectopic pregnancy . • A thick-walled cystic structure or a complex adnexal mass independent of the ovary and uterus is also suggestive of ectopic pregnancy. • Identification of a viable intra-uterine gestation sac virtually rules out an ectopic pregnancy except in the rare circumstance of a heterotopic pregnancy (incidence of 1 in 7,000 pregnancies)  Ultrasound : The imaging modality of choice Features
  • 103.
    Cont. • Other supportivefindings include absence of an intra-uterine pregnancy at 6 weeks gestation pelvic free fluid or hyperechoic clot within the uterus, hydro- or haematosalpinx or a thickened endometrium. • A pseudogestational sac may be seen consisting of endometrial thickening with an anechoic centre composed of haemorrhage. • In cases of rupture, extensive anechoic intra-abdominal and pelvic haemorrhage may be seen.
  • 104.
    Longitudinal images demonstratinga normal uterus with no intra-uterine pregnancy .
  • 105.
    Ovarian cyst torsion •Commonest in women of childbearing age but can affect women of all ages. • Caused by twisting of the vascular pedicle with associated venous or arterial occlusion and subsequent infarction. • Symptoms include lower abdominal pain, nausea , vomiting • Risk factors include enlarged ovaries >6 cm, elongated ovarian ligaments
  • 106.
     USG • Freefluid seen within the abdomen is suggestive of cyst rupture. In the absence of a visible cyst, a review of previous ultrasound studies may be useful. • Torsion is characterized by an heterogeneous enlarged ovary with internal echoes and reduced or absent Doppler signal.
  • 107.
  • 108.
    Renal colic • Paincaused by the passage of a renal calculus through the ureter. Clinical features Renal colic: severe, spasmodic flank pain radiating to groin. Imaging The role of imaging is to confirm urolithiasis, identify the location and degree of obstruction and identify potential complications.
  • 109.
    Plain films • Lowsensitivity and specificity (45% and 75%) for urolithiasis limits its role in the acute setting. Can provide a baseline for follow-up. Intravenous urography (IVU) • Traditionally the first-line imaging modality. Not ideal if there is poor renal function. Findings • Direct visualization of a ureteric calculus. • A delayed nephrogram and filling of the collecting system with a standing column of contrast in the ureter to the level of the calculus which persists post micturition. • The length of delay in the appearance of contrast in the collecting system gives an idea of the degree of obstruction. • Affected kidney is modestly enlarged.
  • 110.
  • 111.
     CT Scan Findings •Hydronephrosis / hydroureter down to the level of a ureteric calculus. • perinephric stranding and nephromegaly.
  • 112.

Editor's Notes

  • #12 Cupola sign- Large amount of gas beneath the diaphragm Football sign- Large gas in the center of abdomen over a fluid collection
  • #13 Erect chest film. Free intra-abdominal gas is clearly demonstrated under the right hemidiaphragm. Under the left hemidiaphragm a small triangular collection of free gas can be identified between loops of gas-filled bowel (arrow).
  • #14 Pneumoperitoneum. Abdomen, supine. A triangular collection of free gas is demonstrated in the subhepatic region (arrows). The falciform ligament is also outlined (arrowheads).
  • #15 Pneumoperitoneum. Abdomen, supine. Visualisation of both sides of the bowel wall (Rigler's sign). Both the inside and outside wall of multiple loops of small bowel can be clearly identified
  • #16 Free intraperitoneal gas. (A) On abdominal windows the free gas is not well seen anteriorly. (B) On wide window settings, the free gas is much more obvious.
  • #17 Abdomen, supine of A 38-year-old woman admitted in diabetic precoma. A case of Acute gastric dilatation.
  • #21 Small-bowel obstruction: (A) supine Multiple dilated loops of both gas-filled and fluid-filled small bowel loops There is little or no gas in the large bowel. A 77-year-old woman with a past history of several abdominal operations. The small-bowel obstruction was due to adhesions
  • #22 Multiple fluid levels are noted on erect film.
  • #23 The dilated proximal bowel is predominantly gas filled with few long fluid levels. More distally the small bowel is fluid filled and bubbles of gas are trapped between the valvulae conniventes producing chain of beads.
  • #25 Shows long loops of dilated fluid-filled small bowel in mechanical bowel obstruction
  • #27 Small-bowel obstruction due to a metastatic deposit. Very dilated small bowel leads into the mass at the point of transition to collapsed small bowel.
  • #32 CT demonstrating the midline incisional hernia containing a bowel loop
  • #34 Supine film of adomen. Multiple dilated loops of small bowel are seen. A band of gas is seen in the right hypochondrium (arrowhead) lies with the CBD.
  • #35 Appendix abscess causing small-bowel obstruction. A small gas bubble which lies within the abscess (arrow) is seen in the right iliac fossa. Age 11 years, vomiting with some diarrhoea for 1 week
  • #40 Intussesuception <3.5 cm is benign The grossly dilated loop of jejunum contains oral contrast medium and leads into the intussusception, which contains the characteristic central mesenteric fat (arrow)
  • #46 Type IA: Competent ileocaecal valve. Distended large bowel, particularly ascending colon and caecum. No distension of small bowel. Type I B: Competentileocaecal valve. Caecal distension and small-bowel distension. Type II: Incompetent ileocaecal valve. No distension of caecum and ascending colon but distension of small bowel. Caecal perforation is much more likely to occur in type I large-bowel obstruction.
  • #48 Large-bowel obstruction type IA (competent ileocaecal valve).Supine film. There is gaseous distension of the large bowel from the sigmoid backward including the ascending colon and caecum. The dilated caecum lies in the pelvis. There is no visible small-bowel distension.(Carcinoma of the sigmoid.)
  • #50 Axial and coronal images demonstrating large-bowel obstruction (asterix) secondary to a colonic carcinoma in the distal descending colon (arrow).
  • #54 Sigmoid volvulus. Supine film. The hugely dilated ahaustral loop of sigmoid can be seen rising out of the pelvis in the shape of an inverted U. Haustrated ascending and descending colon can be identified separate from the volved sigmoid loop.
  • #56 Caecal volvulus. Supine. The considerably distended caecum with its haustral markings readily identified lying low in the central abdomen. There is no significant small-bowel distension.
  • #58 Paralytic ileus. Supine film. There is generalised dilatation of both small and large bowel. An 84-year-old woman with generalised peritonitis following perforation of a gastric ulcer
  • #65 Retroperitoneal abscess in the anterior and posterior pararenal spaces. Fat is seen within the renal fascia bounded anteriorly by the fascia of Gerota and posteriorly by the Zuckerkandl fascia. The superior most extent of this retroperitoneal abscess continues in the bare area behind the liver.
  • #71 Acute appendicitis. CT showing an appendix which contains a dense appendicolith, with surrounding inflammatory changes. Appendix inflammatory mass. CT shows soft-tissue density in the right iliac fossa containing an appendicolith. Abscess formation was seen on adjacent images.
  • #73 Positive ultrasound Murphy’s sign – focal tenderness and inspiratory arrest upon direct pressure with the ultrasound probe in the RUQ, which is not elicited with pressure in the left upper quadrant (LUQ) – is present in 85% of cases
  • #75 Inflammatory adhesions form between the gallbladder and adjacent small-bowel wall, enabling a calculus to erode through the gallbladder wall into the bowel lumen. This in turn can lead to a rare cause of small-bowel obstruction secondary to calculus impaction, classically in the terminal ileum rather than the ileocaecal valve. Review images for air within the biliary tree secondary to fistulation
  • #76 Axial and coronal images showing a thick-walled distended gallbladder with pericholecystic stranding in keeping with acute cholecystitis .
  • #79 A: Acute pancreatitis . Transverse image shows heterogeneous pancreas with focal hypoechoic area B: Transverse image shows acute inflammation ventral to the pancreas and ventral to the splenic vein–superior mesenteric vein confluence . The pancreas is enlarged and heterogeneous.
  • #83 Axial CECT reveals a diffusely enlarged enhancing pancreas with an acute inflammatory fluid collection in the peri pancreatic regions. Follow-up CT after conservative management shows improvement in the pancreatic swelling with organization of the peri pancreatic inflammation.
  • #84 Severe pancreatitis. Axial CECT reveals a swollen pancreas that is replaced by inflammatory exudate in the region of the head and body .
  • #85 The fragility of the pseudoaneurysm wall increases risk of rupture and life threatening haemorrhage. The inflammatory process results in increased risk of thrombosis in adjacent veins, including the splenic and renal veins.
  • #87 Supine film. Loss of haustration and irregular mucosa in the transverse colon. Acute IBD In left-sided disease, the proximal limit of faecal residue will indicate the extent
  • #88 Mucosal line is irregular because of adjacent mucosal ulceration and sloughing-mucosal islandsAbdominal film showing more than 4 loops of gas filled small bowel failed medical therapy
  • #93 The wall of splenic flexure & descending colon is greatly thickened→ thumb printing Wall thickening due to submucosal haemrrhage and odema
  • #96 Soft tissue mass outside the calcified wall…..bowel gas displaced anteriorly……obscured
  • #97 The faintly calcified rim of an aortic aneurysm is identified (arrowheads). In addition, there is a large soft-tissue mass outside the aneurysm, indicating a retroperitoneal haematoma. The outlines of the psoas and renal margins on the left are lost.
  • #99 shows an abdominal aortic aneurysm with hyper attenuating crescent sign which represents an acute hematoma within the left aneurysm wall.
  • #100 demonstrating an aneurysmal abdominal aorta with crescentic low-attenuation thrombus adherent to its posterior wall.
  • #105 In the next figure : An extra-uterine gestation sac within the right adnexa .
  • #108 showing an enlarged appearance of the ovary with small peripheral cysts
  • #111 Which shows delay in appearance of contrast in the left collecting system. Contrast outlines a mildly dilated ureter down to stricture/calculus at left vesicoureteric junction