-DR. BHANUPRIYA SINGH
HCC- Malignant Liver
lesion
IMAGING TECHNIQUES
 plain radiography : gross hepatomegaly
 calcification
 USG / CE-USG
 CT
 MRI
 Angiography
 Scintigraphy:
 Sulfur colloid , Tc99m labelled RBC’s
 PET
CT SCAN
 Non contrast study:
 Contrast study: arterial phase: 20-40secs
Portal phase : 60-80secs
Early delayed: > 180 sec
, best at 4 mins
Late delayed : 4-6hrs
 100ml contrast @3ml/sec
Understanding the phases
 Liver -dual blood
supply
 Normal parenchyma -
80% portal vein
 20% -hepatic artery
 All liver tumors blood
supply from hepatic
artery
Arterial phase
 20- 40 sec
 Hypervascular tumors
enhance via the
hepatic artery
 Normal liver
parenchyma not yet
enhanced
 Hypervascular tumors
enhance optimally at
35 sec
Portal venous phase
 60- 80 sec
 To detect
hypovascular tumors
Delayed Phase
 Begins at about >
180 sec
 Best done at 4
minutes
Pre contrast Arterial Phase Portal venous
phase
Delayed
Hepatocelluar Ca Low attenuation Homogenous
enhancement
Washout of
lesion
Isodense
Adenoma Low attenuation Homogenous
enhancement 85%
Iso or
hypodense
Iso or hypodense
Haemangioma Low attenuation Peripheral puddles Partial Fill in Complete fill in
FNH Iso/Low
attenuation
Homogenous
enhancement
Hypodense Isodense
Hypervascular Mets Low attenuation Homogenous
enhancement
Hypodense
Metastasis Low attenuation Hypodense Hypodense
Cyst Low attenuation No enhancement
Abscess Low attenuation may
have irregular margins
Transient regional
enhancement
Ring
enhancement
Multiphasic CT of Liver
T1W T2W Gadolinium
Hepatocellular Ca
,iso or (fat degeneration)
Metastasis
Haemanigioma
++ (like CT)
Adenoma
often
FNH
+ delayed
FLC
+ delayed
MRI of Liver
FOCAL FAT SPARING
 Diagnostic confusion
with tumors
 Common sites
 Periportal region of the
medial segment of left
lobe (segment IV)
 Either side of falciform
ligament
 Cranial aspect of GB
fossa
 Characteristic features:
 Geographic appearance
 Lack of mass effect
 Vessels through the
lesion
FOCAL NODULAR LIVER
LESIONS:
• Regenerative nodule
• Cirrhotic nodule
• Low grade dysplastic nodule
(adenomatous
hyperplasia)
• High grade dysplastic nodule
(adenomatous
hyperplasia with atypia)
• Dysplastic nodule with subfoci of HCC
(early HCC)
• HCC (overt HCC)
Hepatocellular Carcinoma
 Most common primary malignancy of the liver
 Rising incidence, attributed to a rise in hepatitis B
and C infection
 Typically diagnosed in adults(late middle
age/elderly)
 Pt with cirrhosis present earlier
Risk factors:
 hepatitis B (HBV) infection
 hepatitis C (HCV) infection
 alcoholism
 biliary cirrhosis
 food toxins e.g. aflatoxins
 congenital biliary atresia
 inborn errors of metabolism
haemochromatosis
alpha-1 antitrypsin deficiency
type 1 glycogen storage disease
Wilson disease
Hepatocellular Carcinoma
USG
 USG - vary
 Small HCC’s (<3cms) ->
hypoechoic with posterior
acoustic enhancement ( fatty
change/ marked sinusoidal
dilatation)
 >3cms- mosaic or mixed pattern
 May invade poratl vein
 CD:central vascularity
CT SCAN
 3 patterns:
 Solitary
 Multicentric
 Diffuse
 Large hypodense
mass
 Central low
attenuation due to
necrosis
CT
 Focal calcification -
7.5%
 Majority -
hypervascular
 arterial phase
 Heterogenous
enhancement due to
central necrosis
 Isodense on delayed
images
 Angioinvasive: portal
vein /IVC
 Central Necrosis-
Hetrogeneous +C
Arterial phase
 Demonstration of
arterial branches
tumour
 Arterio portal shunts
Arterio-portal shunt: The arterial phase CT image shows a
large enhancing lesion (m) in the segments 3 and 4 of liver with
contrast in the left hepatic artery (arrow) and left branch of portal vein
(arrow head) suggesting arterio-portal shunting
Portal venous invasion by hepatocellular carcinoma.
portal phase-expanded low attenuation focus in right portal vein.
IVC invasion: The axial CT image shows
an exophytic
mass (m) arising from left lobe of liver
extending into the IVC (arrow)
MRI
 Small HCC’s v/s regenerative
 Cirrhotic nodule: hyper on T1 , hypo on T2
 HCC : hypo on T1, hyperintense on T2
HCC arising in a siderotic nodule: “nodule within a
nodule” appearance
HCC - a small focus of high signal intensity
within the low signal intensity nodule(T2).
Hepatocellular carcinoma and regenerative nodule.
T1w MRI (A) and T2w MRI (B) demonstrating a hepatocellular
carcinoma (white arrowhead) and an adjacent atypical regenerative
nodule (black arrowhead).
Majority of hepatomas have decreased signal intensity on T1WI
-increased signal -fat or glycogen content
MRI IN DETECTING EARLY
HEPATO-CARCINOGENESIS
BARCELONA CLINIC LIVER CANCER STAGING SYSTEM
THANK
YOU

HEPATOCELLULAR CARCINOMA RADIOLOGY

  • 1.
    -DR. BHANUPRIYA SINGH HCC-Malignant Liver lesion
  • 3.
    IMAGING TECHNIQUES  plainradiography : gross hepatomegaly  calcification  USG / CE-USG  CT  MRI  Angiography  Scintigraphy:  Sulfur colloid , Tc99m labelled RBC’s  PET
  • 4.
    CT SCAN  Noncontrast study:  Contrast study: arterial phase: 20-40secs Portal phase : 60-80secs Early delayed: > 180 sec , best at 4 mins Late delayed : 4-6hrs  100ml contrast @3ml/sec
  • 5.
    Understanding the phases Liver -dual blood supply  Normal parenchyma - 80% portal vein  20% -hepatic artery  All liver tumors blood supply from hepatic artery
  • 6.
    Arterial phase  20-40 sec  Hypervascular tumors enhance via the hepatic artery  Normal liver parenchyma not yet enhanced  Hypervascular tumors enhance optimally at 35 sec
  • 7.
    Portal venous phase 60- 80 sec  To detect hypovascular tumors
  • 8.
    Delayed Phase  Beginsat about > 180 sec  Best done at 4 minutes
  • 9.
    Pre contrast ArterialPhase Portal venous phase Delayed Hepatocelluar Ca Low attenuation Homogenous enhancement Washout of lesion Isodense Adenoma Low attenuation Homogenous enhancement 85% Iso or hypodense Iso or hypodense Haemangioma Low attenuation Peripheral puddles Partial Fill in Complete fill in FNH Iso/Low attenuation Homogenous enhancement Hypodense Isodense Hypervascular Mets Low attenuation Homogenous enhancement Hypodense Metastasis Low attenuation Hypodense Hypodense Cyst Low attenuation No enhancement Abscess Low attenuation may have irregular margins Transient regional enhancement Ring enhancement Multiphasic CT of Liver
  • 10.
    T1W T2W Gadolinium HepatocellularCa ,iso or (fat degeneration) Metastasis Haemanigioma ++ (like CT) Adenoma often FNH + delayed FLC + delayed MRI of Liver
  • 11.
    FOCAL FAT SPARING Diagnostic confusion with tumors  Common sites  Periportal region of the medial segment of left lobe (segment IV)  Either side of falciform ligament  Cranial aspect of GB fossa  Characteristic features:  Geographic appearance  Lack of mass effect  Vessels through the lesion
  • 12.
    FOCAL NODULAR LIVER LESIONS: •Regenerative nodule • Cirrhotic nodule • Low grade dysplastic nodule (adenomatous hyperplasia) • High grade dysplastic nodule (adenomatous hyperplasia with atypia) • Dysplastic nodule with subfoci of HCC (early HCC) • HCC (overt HCC)
  • 13.
    Hepatocellular Carcinoma  Mostcommon primary malignancy of the liver  Rising incidence, attributed to a rise in hepatitis B and C infection  Typically diagnosed in adults(late middle age/elderly)  Pt with cirrhosis present earlier
  • 14.
    Risk factors:  hepatitisB (HBV) infection  hepatitis C (HCV) infection  alcoholism  biliary cirrhosis  food toxins e.g. aflatoxins  congenital biliary atresia  inborn errors of metabolism haemochromatosis alpha-1 antitrypsin deficiency type 1 glycogen storage disease Wilson disease Hepatocellular Carcinoma
  • 16.
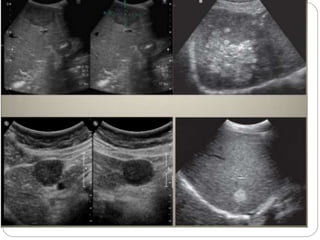
    USG  USG -vary  Small HCC’s (<3cms) -> hypoechoic with posterior acoustic enhancement ( fatty change/ marked sinusoidal dilatation)  >3cms- mosaic or mixed pattern  May invade poratl vein  CD:central vascularity
  • 22.
    CT SCAN  3patterns:  Solitary  Multicentric  Diffuse  Large hypodense mass  Central low attenuation due to necrosis
  • 23.
    CT  Focal calcification- 7.5%  Majority - hypervascular  arterial phase  Heterogenous enhancement due to central necrosis  Isodense on delayed images  Angioinvasive: portal vein /IVC  Central Necrosis- Hetrogeneous +C
  • 24.
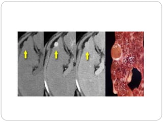
    Arterial phase  Demonstrationof arterial branches tumour  Arterio portal shunts Arterio-portal shunt: The arterial phase CT image shows a large enhancing lesion (m) in the segments 3 and 4 of liver with contrast in the left hepatic artery (arrow) and left branch of portal vein (arrow head) suggesting arterio-portal shunting
  • 26.
    Portal venous invasionby hepatocellular carcinoma. portal phase-expanded low attenuation focus in right portal vein.
  • 29.
    IVC invasion: Theaxial CT image shows an exophytic mass (m) arising from left lobe of liver extending into the IVC (arrow)
  • 30.
    MRI  Small HCC’sv/s regenerative  Cirrhotic nodule: hyper on T1 , hypo on T2  HCC : hypo on T1, hyperintense on T2 HCC arising in a siderotic nodule: “nodule within a nodule” appearance HCC - a small focus of high signal intensity within the low signal intensity nodule(T2).
  • 33.
    Hepatocellular carcinoma andregenerative nodule. T1w MRI (A) and T2w MRI (B) demonstrating a hepatocellular carcinoma (white arrowhead) and an adjacent atypical regenerative nodule (black arrowhead). Majority of hepatomas have decreased signal intensity on T1WI -increased signal -fat or glycogen content
  • 36.
    MRI IN DETECTINGEARLY HEPATO-CARCINOGENESIS
  • 43.
    BARCELONA CLINIC LIVERCANCER STAGING SYSTEM
  • 44.

Editor's Notes

  • #7 Tumors enhance in arterial phase. Liver will enhance in the portal venous phase
  • #8 Will be visible as hyperdense lesions in a relatively hypodense liver
  • #9 also called the hepatic phase because there already must be enhancement of the hepatic veins
  • #12 Metastasis
  • #17 after lung and stomach cancer
  • #18 HCC are typically diagnosed in adults in late middle age or elderly
  • #29 Small HCC seen only in arterial phase in a patient with cirrhosis