Radiological imaging of obstructive jaundice.
Dr/ ABD ALLAH NAZEER. MD.
Imaging Studies
Plain radiographs are of limited utility to help detect abnormalities in
the biliary system. Frequently, calculi are not visualized because few
are radiopaque.
Ultrasonography (US) is the least expensive, safest, and most sensitive
technique for visualizing the biliary system, particularly the
gallbladder. Current accuracy is close to 95%.US is the procedure of
choice for the initial evaluation of cholestasis and for helping
differentiate extrahepatic from intrahepatic causes of jaundice.
Extrahepatic obstruction is suggested by the presence of dilated bile
ducts, but the presence of normal bile ducts does not exclude
obstruction that may be new or intermittent.
Visualization of the pancreas, kidney, and blood vessels is also possible.
US is considered somewhat limited in its overall ability to help detect
the specific cause and level of obstruction. US is not as useful for CBD
stones (bowel gas may obscure visualization of the CBD). The cystic
duct is also poorly imaged. In addition, it is less useful diagnostically in
individuals who are obese.
CT scan has limited value in helping diagnose CBD stones because many
of them are radiolucent and CT scan can only image calcified stones. It is
also less useful in the diagnosis of cholangitis because the findings that
specifically suggest bile duct infection (increased attenuation due to pus,
bile duct wall thickening, and gas) are seen infrequently.
Lastly, CT scan is expensive and involves exposure to radiation, both of
which lessen the routine use CT scans compared to US examinations.
Spiral (helical) CT scan improves biliary tract imaging by providing
several overlapping images in a shorter time than traditional CT scan
and by improving resolution by reducing the presence of respiratory
artifacts. CT cholangiography by the helical CT technique is used most
often to image the biliary system and makes possible visualization of
radiolucent stones and other biliary pathology.[6]
Limitations of helical CT cholangiography include reactions to the
contrast, which are becoming less frequent. Also, as serum bilirubin
levels increase, the ability to visualize the biliary tree diminishes and the
ability to fully delineate tumors decreases. Patients are required to hold
their breath while images are acquired.
Magnetic resonance cholangiopancreatography (MRCP) is a noninvasive way
to visualize the hepatobiliary tree. It takes advantage of the fact that fluid
(e.g, that found in the biliary tree) is hyperintense on T2-weighted images.
The surrounding structures do not enhance and can be suppressed during
image analysis. However, in its early stages, it was limited in its ability to
detect nondilated bile ducts. The advent of rapid acquisition with relaxation
enhancement (RARE) sequences and half-Fourier RARE (also known as half-
Fourier acquisition single-shot turbo spin-echo or HASTE) sequences can
reduce imaging time to a few seconds. This can facilitate imaging in different
patient positions to distinguish air from a stone. As with helical CT scan,
MRCP gives radiologists the ability to analyze source images and 2- and 3-
dimensional projections. Although some techniques require patients to hold
their breath for the highest quality images, the time required to complete the
scan is decreasing as imaging techniques improve, and alternative
procedures capture images between patient breaths.
MRCP provides a sensitive noninvasive method of detecting biliary and
pancreatic duct stones, strictures, or dilatations within the biliary system. It is
also sensitive for helping detect cancer. MRCP combined with conventional
MR imaging of the abdomen can also provide information about the
surrounding structures (e.g, pseudocysts, masses).
While ERCP and MRCP may be similarly effective in detecting malignant
hilar and perihilar obstruction, MRCP has been shown to be better able to
determine the extent and type of tumor as compared to ERCP. In addition,
unlike ERCP, MRCP does not require contrast material to be injected to
visualize the ductal system, thereby avoiding the morbidity associated
with injected contrast.
The limitations of MRCP include the contraindications to magnetic
resonance imaging. Absolute contraindications include the presence of a
cardiac pacemaker, cerebral aneurysm clips, ocular or cochlear implants,
and ocular foreign bodies. Relative contraindications include the presence
of cardiac prosthetic valves, neurostimulators, metal prostheses, and
penile implants.
Fluid stasis in the adjacent duodenum or in ascitic fluid may produce
image artifacts on MRCP, making it difficult to clearly visualize the biliary
tree.
The risk of MRCP during pregnancy is not known.
Although MRCP currently does not have the capability for the therapeutic
applications of the more invasive ERCP, it can be useful for diagnostic
purposes and poses less risk to the patient as compared to ERCP.
ERCP is an outpatient procedure that combines endoscopic and radiologic
modalities to visualize both the biliary and pancreatic duct systems.
Endoscopically, the ampulla of Vater is identified and cannulated. A contrast agent
is injected into these ducts, and x-ray images are taken to evaluate their caliber,
length, and course. It is especially useful for lesions distal to the bifurcation of the
hepatic ducts. Besides being a diagnostic modality, ERCP has a therapeutic
application because obstructions can potentially be relieved by the removal of
stones, sphincterotomy, and the placement of stents and drains. The addition of
cholangioscopy to the ERCP, by advancing a smaller "baby" scope through the
endoscope into the common duct, allows for biopsies and brushings within the
ducts and better identification of lesions seen on cholangiogram.
ERCP has a limited capacity to image the biliary tree proximal to the site of
obstruction. Also, it cannot be performed if altered anatomy prevents endoscopic
access to the ampulla (e.g, Roux loop).
Complications of this technique include pancreatitis, perforation, biliary
peritonitis, sepsis, hemorrhage, and adverse effects from the dye and the drug
used to relax the duodenum. The risk of any complication is less than 10%. Severe
complications occur in less than 1%.
The sensitivity and specificity of ERCP are 89-98% and 89-100%, respectively. ERCP
is still considered the criterion standard for imaging the biliary system, particularly
if therapeutic intervention is planned.
Percutaneous transhepatic cholangiogram (PTC) is performed by a
radiologist using fluoroscopic guidance.[7] The liver is punctured to enter
the peripheral intrahepatic bile duct system. An iodine-based contrast
medium is injected into the biliary system and flows through the ducts.
Obstruction can be identified on the fluoroscopic monitor. It is especially
useful for lesions proximal to the common hepatic duct.
The technique is not easy and requires considerable experience. More than
25% of attempts fail (most often when the ducts cannot be well visualized
because they are not dilated, i.e., not obstructed.)
Complications of this procedure include the possibility of allergic reaction
to the contrast medium, peritonitis with possible intraperitoneal
hemorrhage, sepsis, cholangitis, subphrenic abscess, and lung collapse.
Severe complications occur in approximately 3% of cases.
The accuracy of PTC in elucidating the cause and site of obstructive
jaundice is 90-100% for causes within the biliary tract. The biliary tree can
be successfully visualized in 99% of patients with dilated bile ducts and in
40-90% if the bile ducts are not dilated. Still, ERCP is generally preferred,
and PTC is reserved for use if ERCP fails or when altered anatomy precludes
accessing the ampulla.
Endoscopic ultrasound (EUS) combines endoscopy and US to
provide remarkably detailed images of the pancreas and
biliary tree. It uses higher-frequency ultrasonic waves
compared to traditional US (3.5 MHz vs 20 MHz) and allows
diagnostic tissue sampling via EUS-guided fine-needle
aspiration (EUS-FNA).[8]Although endoscopic retrograde
cholangiography is the procedure of choice for biliary
decompression in obstructive jaundice, biliary access is not
always achievable, in which case, interventional endoscopic
ultrasound-guided cholangiography (IEUC) may offer an
alternative to percutaneous transhepatic cholangiography
(PTC). Maranki et al reported their 5-year experience with IEUC
in patients who had unsuccessful treatment with ERCP.The
investigators used either a transgastric-transhepatic or
transenteric-transcholedochal approach to the targeted biliary
duct, then advanced a stent over the wire into the biliary tree.
Extrahepatic causes of obstructive jaundice
Benign pathologies Malignant pathologies
-Stones of the bile ducts and
Choledocholithiasis.
-Complicated hydatid cyst.
-Benign bile duct strictures.
-Sclerosing cholangitis.
-Pancreatic pseudo-cysts.
-Chronic pancreatitis.
-Choledochal cyst.
- Pancreatic carcinoma.
-Cholangiocarcinoma of either
the proximal or distal duct.
- Ampullary tumors.
-Biliary compression by lymph
nodes.
-Carcinoma of gallbladder.
-Metastatic cancer.
-Tumor infiltration.
Intrahepatic causes of cholestatic jaundice
- Hepatitis (alcoholic, non-alcoholic and autoimmune hepatitis)
- Cirrhosis.
- Drug-induced jaundice.
- Primary sclerosing cholangitis.
- Infiltrative and granulomatous diseases.
Traumatic evaluation Iatrogenic strictures are common postoperative complications in the
biliary tract. These can be caused from clamp injury, inclusion of a portion of the duct in a
surgical ligature, local duct ischemia caused by dissection around the duct with injury to
arterial supply, inflammation resulting from bile leakage, trauma to the duct from
instrumentation during duct exploration, or anastomotic strictures. These short segment
strictures are usually visualized at CT, ultrasound, or MR due to the proximal duct
dilatation with gradual tapering of the duct diameter. Biliary dilatation may be mild or
absent if a coexistent bile leak decompresses the proximal biliary tree. The lack of a
surrounding soft-tissue mass to suggest tumor or inflammation can suggest the diagnosis,
given the appropriate clinical history.
Post surgical bile duct strictures A 41 years-old woman, with a history of cholecystectomy 2 years ago, has
recurrent abdominal pain and jaundice appeared 3 days ago. Abdominal CT scan shows: (a) dilatation of
intrahepatic bile duct. (b,c) dilatation of the CBP upstream sub-hilar stenosis (Bismuth type II). This stenosis is
secondary to the metal clip cholecystectomy. (d) the CBD is not dilated in its retro-pancreatic portion.
Choledochal cysts: The etiology of
choledochal cysts is unknown. In 1959,
Alonso-Lej et al. classified choledochal
cysts into three types: I, fusiform dilation
of a portion or entire extrahepatic bile
duct system; II, saccular diverticular-like
outpouching in extrahepatic ducts; and
III, focal dilation of distal common bile
duct segment (or common
pancreatobiliary channel) within the wall
of the duodenum. Type III is also called a
choledochocele. Todani et al. expanded
this system in 1977 to better reflect a
surgical approach. The Todani
modification subdivides type I cysts into
Ia, aneurysmal dilation; Ib, segmental
dilation; and Ic, diffuse, cylindrical
dilation; and also includes type IV cysts:
IVa, multiple intra- and extrahepatic duct
cysts; and IVb, multiple extrahepatic
cysts only. Also added was a type V:
single or multiple intrahepatic duct cysts.
Stones in the ducts Probably the most common biliary
tract disease is duct stones, which occur in 8% to 20%
of patients undergoing cholecystectomy and 2% to 4%
of patients after cholecystectomy. Small calculi may
intermittently cause colicky pain as they obstruct at
the ampulla of Vater, but generally pass into the
duodenum. Larger stones 5 to 10mm are difficult to
pass and can result in intermittent long-term
obstructive symptoms and sequelae, such as
cholangitis and sepsis. Detecting stones in the ducts is
easiest when biliary dilatation is also present.
Unfortunately, because biliary dilatation is present in
only about two-thirds to three-fourths of patients, it
can be difficult to image stones in many patients.
Choledocholithiasis A 35 years old female presented with jaundice. (a) US imaging
shows a dilated CBD obstructed by a stone with a posterior acoustic shadow. (b) CT
(coronal oblique reconstruction without injection) shows the dilatation of the CBD
Magnetic resonance cholangiopancreatography (MRCP) showing 5 gallstones in the common bile duct
(arrows). In this image, bile in the duct appears white; stones appear as dark-filling defects. Similar images
can be obtained by taking plain radiographs after injection of radiocontrast material in the common bile duct,
either endoscopically (endoscopic retrograde cholangiography) or percutaneously under fluoroscopic
guidance (percutaneous transhepatic cholangiography), but these approaches are more invasive.
Mirizzi syndrome is produced by a gallstone impacting
either in the neck of the gallbladder or within the cystic
duct and secondarily obstructing the hepatic duct. The
initial classification of a gallstone either simply
compressing adjacent bile ducts as part of an acute
episode or a cholecystocholedochal fistula forming on a
chronic basis was subsequently expanded to include: Type
I: hepatic duct stenosis due to a stone impacting in the
cystic duct or gallbladder neck. This is the most common.
Type II: hepatic duct fistula due to a stone impacting in the
cystic duct or gallbladder neck. Type III: hepatic duct
stenosis due to a stone at the duct confluence. Type IV:
hepatic duct stenosis as a complication of cholecystitis and
no impacted calculus.
Mirizzi syndrome.
Mirizzi syndrome. a: Oblique coronal T2-weighted sequence. b: MRI cholangiography
with volume rendering. In this case, the presence of impacted gallstone in the cystic duct,
causing dilatation of the biliary tract and compression of the common hepatic duct.
Mirizzi syndrome. A 45-year-
old man presented with right
upper quadrant pain and
jaundice. Radial thick slab
MRCP image (A) demonstrates
cholelithiasis (short arrow),
dilated intrahepatic ducts and
common hepatic duct (block
arrow), but normal caliber of
the common bile duct (blue
arrow). There is a filling defect
at the insertion of the cystic
duct (long arrow). Axial single-
shot T2 TSE image (B) shows
an impacted stone (arrow) at
the insertion of the cystic duct
causing obstruction
of the common hepatic duct.
ERCP (C) confirmed the
obstructing stone (arrow).
Endoscopic retrograde
cholangiopancreatogra
phy showing gradual
resolve of dilated
biliary tree (A) and
indirect signs of Mirizzi
syndrome (B and C)
when the patient was
placed in an anti-
Trendelenburg position.
Extrinsic pancreatic disease obstructing the biliary system One of the
more common causes of biliary obstruction is extrinsic disease-benign and malignant.
Pancreatic carcinoma commonly obstructs the distal CBD, and jaundice is often the first
sign of the tumor. As with the primary biliary tract tumors described above, the
characteristic finding at CT, US, or MR is that of abnormal dilatation of the extrahepatic
bile duct to the level of the tumor. Abrupt termination of the bile duct with a short
transition from dilated to nonvisualization is characteristic. Small pancreatic
carcinomas, although not always apparent at imaging, may be critically placed to
cause obstruction. The use of CT and MR contrast techniques that optimize pancreatic
parenchymal enhancement during the late arterial phase can be an aid in visualizing
small tumors. Chronic pancreatitis often creates mass effect surrounding the distal CBD
with biliary obstruction. Calcifications within the head of the pancreas, associated with
chronic pancreatitis, can aid in distinguishing chronic inflammation from pancreatic
adenocarcinoma. Pancreatic carcinoma can occur within chronic pancreatitis, however,
making differentiation difficult. The changes that are caused by chronic pancreatitis on
the biliary tree are usually different from those caused by pancreatic carcinoma.
Rather than the mass causing abrupt termination of the bile duct with a short
transition zone, it is more common for chronic pancreatitis to cause gradual narrowing
of the duct with a longer, tapered transition zone when imaged at CT, ultrasound, or
MR. These are only guidelines, however, because severe cases of pancreatitis can
occasionally cause a focal mass with abrupt termination of the bile duct.
Pancreatic carcinoma A 59 years old men presented with painless jaundice over past
several days. Contrast enhanced CT (with multiplanar and MIP reconstructions) showed:
(a) intra hepatic dilated bile ducts. (b) the ‘double duct’ sign with dilatation of both the
CBD and pancreatic duct (arrows) and distension of the gallbladder. (c,d,e,f,g) irregular
pancreatic head mass with heterogeneous enhancement and central necrosis.
Tumors of the bile ducts Cholangiocarcinoma The most common
tumor of the bile ducts is cholangiocarcinoma. Many cases are
associated with predisposing conditions such as PSC, liver fluke disease,
choledochal cysts, and thorium dioxide (Thorotrast) exposure.
Cholangiocarcinomas generally can be classified as (1) intrahepatic
(peripheral) lesions; (2) hilar lesions occurring just past the confluence
of the right and left hepatic ducts, commonly referred to as ''Klatskin''
tumors; and (3) distal ductal tumors. Cholangiocarcinomas also may
occur in locations in between these general locations. Understanding
the pathologic basis for these tumors is essential to understanding
their imaging appearances. Morphologic tumor types seen are most
commonly scirrhous infiltrating neoplasms causing duct stricture of the
larger ducts; exophytic bulky masses (most commonly in the
intrahepatic peripheral location); and, rarely, polypoid intraluminal
ductal lesions (most commonly seen distally in the duct). The tumor
stroma is composed of two major elements that affect imaging-fibrous
tissue and mucin-producing glandular tumor, which, as we will see,
dramatically impacts the CT and MR imaging appearances.
Intrahepatic cholangiocarcinoma About 20% to 30% of
cholangiocarcinomas are peripheral intrahepatic masses.
These masses often appear similar to metastases, and can
easily be misdiagnosed as adenocarcinoma metastases of
unknown primary. Sonographically these masses may have
mixed echogenicity, or predominantly hypoechogenicity or
hyperechogenicity, depending on the predominant underlying
stroma, fibrous tissues versus mucin producing glandular
material. CT and MR appearances are often nonspecific. The
tumors are of lesser attenuation than liver on unenhanced CT
and have a variable enhancement pattern: usually not strongly
enhancing during arterial phases of enhancement, but
showing patchy and usually peripheral enhancement that may
start mildly during the arterial contrast phase and become
more prominent during the portal venous phase.
Intra-hepatic cholangiocarcinoma; A, computed tomography (CT)
image; B, cholangiogram (ERCP) image. Arrows designate the tumor.
Intrahepatic cholangiocarcinoma.
Hilar cholangiocarcinoma The most common
location for cholangiocarcinoma is either at the
confluence of the right and left hepatic ducts, or at
the proximal CHD, and has been termed a ''Klatskin
tumor.'' These tumors can be small and difficult to
visualize early at imaging. Hilar
cholangiocarcinoma can usually be differentiated
from adjacent adenopathy or extrinsic masses
causing biliary obstruction due to the latter
causing compression and displacement of the duct.
Occasionally large masses can envelope the biliary
tree, in which case the site of origin may be
difficult to determine.
Klatskin tumor (hilar cholangiocarcinoma).
A 79-year-old female with type IV hilar cholangiocarcinoma. (A) Noncontrast CT scan shows low density mass at
porta hepatis (single black arrow). (B) Transverse CT scan in arterial phase shows hypoattenuating tumor (single
black arrow) encasing the hepatic artery (double black arrow). (C) Note the invasion of the adjacent liver parenchyma
(single black arrow) and the small node in lesser sac (double black arrow). (D) Post-contrast delayed image shows
retention of contrast material within the tumor (single black arrow). Type IV mass-forming tumor is very well
detected on axial T2W images with (E) and without fat suppression (F) in different patients (single white arrow).
MRCP image (G) shows isolation of bilateral sectoral ducts (single white arrow).
(A-D): Hilar cholangiocarcinoma with early enhancement. (A) Axial unenhanced CT shows a low density
mass (white single arrow) anterior to portal vein (white double arrow). (B) Axial arterial phase scan shows
hyperattenuating mass at primary confluence (white single arrow). (C and D) Progressively decreased
attenuation of mass on venous (white single arrow in C) and delayed phase (white single arrow in D)
Distal duct cholangiocarcinoma The least common location for
cholangiocarcinoma is in the distal duct. When
cholangiocarcinoma is scirrhous and compressing the duct, it is
virtually indistinguishable at imaging from small pancreatic
carcinoma. These lesions have a better prognosis than the more
proximal hilar tumors and pancreatic carcinoma, and thus the
differentiation is important clinically. Although papillary
cholangiocarcinoma is uncommon, when present it occurs more
often distally Such papillary lesions can be seen best with US,
which, by virtue of its real-time acquisition of images and
multiplanar capabilities, can best demonstrate the surrounding bile
around the mass. Small masses of the distal CBD are extremely
difficult to visualize with ultrasound, CT, or MR and cannot be
differentiated from critically placed pancreatic or ampullary
carcinoma. The use of multiplanar reformatted images can be
helpful to denote an extrinsic location of a distal obstructing mass.
Cholangiocarcinoma of the extrahepatic bile ducts.
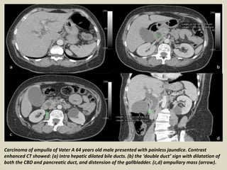
Carcinoma of ampulla of Vater A 64 years old male presented with painless jaundice. Contrast
enhanced CT showed: (a) intra hepatic dilated bile ducts. (b) the ‘double duct’ sign with dilatation of
both the CBD and pancreatic duct, and distension of the gallbladder. (c,d) ampullary mass (arrow).
Carcinoma of ampulla of Vater MRI (e) CoronalT1-FS-Gado, (f) CoronalT2, and (g) MRCP)
showed intrahepatic and common bile ducts dilatation with abrupt distal termination
Carcinoma of gallbladder Irregular mass at the gallbladder
fundus with peri-hilar lymph nodes compression.
Carcinoma of gallbladder with biliary compression by metastatic lymph nodes A 52 years
old woman presented with obstructive jaundice. (a,b) CT image revealed lymph nodal mass
at the porta hepatis (arrow) with intrahepatic biliary ducts dilatation. (c) The CBD is not
dilated in its distal portion. (d)A gallbladder focal lesion highly enhanced at the fundus.
Tumoral invasion of the bile ducts Most extrinsic tumors displace
the biliary tree, or occasionally will encircle it, narrowing the duct
lumen and causing obstruction. The classic tumor narrowing the
bile duct in this way is pancreatic carcinoma. Extension of
gallbladder carcinoma through the hepatic hilum can entrap and
narrow the bile duct. Other less common tumors with extension
include duodenal and gastric tumors. In rare occasions,
lymphoma can encircle the bile duct and, similar to its effect in
the intestinal tract, has a propensity initially to encircle the duct
with minimal obstructive effects. Intrahepatic metastatic disease
may displace the biliary tree, but rarely directly invades the
biliary system. Primary hepatocellular carcinoma (HCC), however,
which has a propensity to invade hepatic vessels, also may invade
the biliary tree. It is important to differentiate HCC invading the
biliary tree from a primary biliary tumor with liver metastases,
because treatments for these tumors are quite different.
Hydatid cyst ruptured into the biliary tract A 45 years old female, with a history of cholecystectomy 10
years ago, presented with abdominal pain. (a) Abdominal US revealed a multivesicular hydatid cyst of
the liver dome (Gharbi type III). (b) Communication of the hydatid cyst with the right bile duct, and
presence of a hydatid material in the bile duct. (c,d) CT shows the dilated bile ducts, the communication
of the cyst with the right bile duct, and the presence of hydatid material into the biliary tract. (e)
Intraoperative cholangiography showed the presence of hydatid vesicles in the lower bile duct.
MRCP images showing communication between the echinococcal cyst and the right hepatic duct.
The common hepatic duct and the common bile duct are full with material of unknown origin.
(A) Cholangiopancreatography. (B) Cross-section image. (C) Frontal-section A B C image.
Endoscopic retrograde cholangiopancreatography demonstrating
hydatid material within the lower common bile duct.
Computed tomographic scan showing
a hydatid cyst biliary communication.
Thank You.

Presentation1.pptx, radiological imaging of obstructive jaundice.

  • 1.
    Radiological imaging ofobstructive jaundice. Dr/ ABD ALLAH NAZEER. MD.
  • 2.
    Imaging Studies Plain radiographsare of limited utility to help detect abnormalities in the biliary system. Frequently, calculi are not visualized because few are radiopaque. Ultrasonography (US) is the least expensive, safest, and most sensitive technique for visualizing the biliary system, particularly the gallbladder. Current accuracy is close to 95%.US is the procedure of choice for the initial evaluation of cholestasis and for helping differentiate extrahepatic from intrahepatic causes of jaundice. Extrahepatic obstruction is suggested by the presence of dilated bile ducts, but the presence of normal bile ducts does not exclude obstruction that may be new or intermittent. Visualization of the pancreas, kidney, and blood vessels is also possible. US is considered somewhat limited in its overall ability to help detect the specific cause and level of obstruction. US is not as useful for CBD stones (bowel gas may obscure visualization of the CBD). The cystic duct is also poorly imaged. In addition, it is less useful diagnostically in individuals who are obese.
  • 3.
    CT scan haslimited value in helping diagnose CBD stones because many of them are radiolucent and CT scan can only image calcified stones. It is also less useful in the diagnosis of cholangitis because the findings that specifically suggest bile duct infection (increased attenuation due to pus, bile duct wall thickening, and gas) are seen infrequently. Lastly, CT scan is expensive and involves exposure to radiation, both of which lessen the routine use CT scans compared to US examinations. Spiral (helical) CT scan improves biliary tract imaging by providing several overlapping images in a shorter time than traditional CT scan and by improving resolution by reducing the presence of respiratory artifacts. CT cholangiography by the helical CT technique is used most often to image the biliary system and makes possible visualization of radiolucent stones and other biliary pathology.[6] Limitations of helical CT cholangiography include reactions to the contrast, which are becoming less frequent. Also, as serum bilirubin levels increase, the ability to visualize the biliary tree diminishes and the ability to fully delineate tumors decreases. Patients are required to hold their breath while images are acquired.
  • 4.
    Magnetic resonance cholangiopancreatography(MRCP) is a noninvasive way to visualize the hepatobiliary tree. It takes advantage of the fact that fluid (e.g, that found in the biliary tree) is hyperintense on T2-weighted images. The surrounding structures do not enhance and can be suppressed during image analysis. However, in its early stages, it was limited in its ability to detect nondilated bile ducts. The advent of rapid acquisition with relaxation enhancement (RARE) sequences and half-Fourier RARE (also known as half- Fourier acquisition single-shot turbo spin-echo or HASTE) sequences can reduce imaging time to a few seconds. This can facilitate imaging in different patient positions to distinguish air from a stone. As with helical CT scan, MRCP gives radiologists the ability to analyze source images and 2- and 3- dimensional projections. Although some techniques require patients to hold their breath for the highest quality images, the time required to complete the scan is decreasing as imaging techniques improve, and alternative procedures capture images between patient breaths. MRCP provides a sensitive noninvasive method of detecting biliary and pancreatic duct stones, strictures, or dilatations within the biliary system. It is also sensitive for helping detect cancer. MRCP combined with conventional MR imaging of the abdomen can also provide information about the surrounding structures (e.g, pseudocysts, masses).
  • 5.
    While ERCP andMRCP may be similarly effective in detecting malignant hilar and perihilar obstruction, MRCP has been shown to be better able to determine the extent and type of tumor as compared to ERCP. In addition, unlike ERCP, MRCP does not require contrast material to be injected to visualize the ductal system, thereby avoiding the morbidity associated with injected contrast. The limitations of MRCP include the contraindications to magnetic resonance imaging. Absolute contraindications include the presence of a cardiac pacemaker, cerebral aneurysm clips, ocular or cochlear implants, and ocular foreign bodies. Relative contraindications include the presence of cardiac prosthetic valves, neurostimulators, metal prostheses, and penile implants. Fluid stasis in the adjacent duodenum or in ascitic fluid may produce image artifacts on MRCP, making it difficult to clearly visualize the biliary tree. The risk of MRCP during pregnancy is not known. Although MRCP currently does not have the capability for the therapeutic applications of the more invasive ERCP, it can be useful for diagnostic purposes and poses less risk to the patient as compared to ERCP.
  • 6.
    ERCP is anoutpatient procedure that combines endoscopic and radiologic modalities to visualize both the biliary and pancreatic duct systems. Endoscopically, the ampulla of Vater is identified and cannulated. A contrast agent is injected into these ducts, and x-ray images are taken to evaluate their caliber, length, and course. It is especially useful for lesions distal to the bifurcation of the hepatic ducts. Besides being a diagnostic modality, ERCP has a therapeutic application because obstructions can potentially be relieved by the removal of stones, sphincterotomy, and the placement of stents and drains. The addition of cholangioscopy to the ERCP, by advancing a smaller "baby" scope through the endoscope into the common duct, allows for biopsies and brushings within the ducts and better identification of lesions seen on cholangiogram. ERCP has a limited capacity to image the biliary tree proximal to the site of obstruction. Also, it cannot be performed if altered anatomy prevents endoscopic access to the ampulla (e.g, Roux loop). Complications of this technique include pancreatitis, perforation, biliary peritonitis, sepsis, hemorrhage, and adverse effects from the dye and the drug used to relax the duodenum. The risk of any complication is less than 10%. Severe complications occur in less than 1%. The sensitivity and specificity of ERCP are 89-98% and 89-100%, respectively. ERCP is still considered the criterion standard for imaging the biliary system, particularly if therapeutic intervention is planned.
  • 7.
    Percutaneous transhepatic cholangiogram(PTC) is performed by a radiologist using fluoroscopic guidance.[7] The liver is punctured to enter the peripheral intrahepatic bile duct system. An iodine-based contrast medium is injected into the biliary system and flows through the ducts. Obstruction can be identified on the fluoroscopic monitor. It is especially useful for lesions proximal to the common hepatic duct. The technique is not easy and requires considerable experience. More than 25% of attempts fail (most often when the ducts cannot be well visualized because they are not dilated, i.e., not obstructed.) Complications of this procedure include the possibility of allergic reaction to the contrast medium, peritonitis with possible intraperitoneal hemorrhage, sepsis, cholangitis, subphrenic abscess, and lung collapse. Severe complications occur in approximately 3% of cases. The accuracy of PTC in elucidating the cause and site of obstructive jaundice is 90-100% for causes within the biliary tract. The biliary tree can be successfully visualized in 99% of patients with dilated bile ducts and in 40-90% if the bile ducts are not dilated. Still, ERCP is generally preferred, and PTC is reserved for use if ERCP fails or when altered anatomy precludes accessing the ampulla.
  • 8.
    Endoscopic ultrasound (EUS)combines endoscopy and US to provide remarkably detailed images of the pancreas and biliary tree. It uses higher-frequency ultrasonic waves compared to traditional US (3.5 MHz vs 20 MHz) and allows diagnostic tissue sampling via EUS-guided fine-needle aspiration (EUS-FNA).[8]Although endoscopic retrograde cholangiography is the procedure of choice for biliary decompression in obstructive jaundice, biliary access is not always achievable, in which case, interventional endoscopic ultrasound-guided cholangiography (IEUC) may offer an alternative to percutaneous transhepatic cholangiography (PTC). Maranki et al reported their 5-year experience with IEUC in patients who had unsuccessful treatment with ERCP.The investigators used either a transgastric-transhepatic or transenteric-transcholedochal approach to the targeted biliary duct, then advanced a stent over the wire into the biliary tree.
  • 9.
    Extrahepatic causes ofobstructive jaundice Benign pathologies Malignant pathologies -Stones of the bile ducts and Choledocholithiasis. -Complicated hydatid cyst. -Benign bile duct strictures. -Sclerosing cholangitis. -Pancreatic pseudo-cysts. -Chronic pancreatitis. -Choledochal cyst. - Pancreatic carcinoma. -Cholangiocarcinoma of either the proximal or distal duct. - Ampullary tumors. -Biliary compression by lymph nodes. -Carcinoma of gallbladder. -Metastatic cancer. -Tumor infiltration. Intrahepatic causes of cholestatic jaundice - Hepatitis (alcoholic, non-alcoholic and autoimmune hepatitis) - Cirrhosis. - Drug-induced jaundice. - Primary sclerosing cholangitis. - Infiltrative and granulomatous diseases.
  • 10.
    Traumatic evaluation Iatrogenicstrictures are common postoperative complications in the biliary tract. These can be caused from clamp injury, inclusion of a portion of the duct in a surgical ligature, local duct ischemia caused by dissection around the duct with injury to arterial supply, inflammation resulting from bile leakage, trauma to the duct from instrumentation during duct exploration, or anastomotic strictures. These short segment strictures are usually visualized at CT, ultrasound, or MR due to the proximal duct dilatation with gradual tapering of the duct diameter. Biliary dilatation may be mild or absent if a coexistent bile leak decompresses the proximal biliary tree. The lack of a surrounding soft-tissue mass to suggest tumor or inflammation can suggest the diagnosis, given the appropriate clinical history.
  • 12.
    Post surgical bileduct strictures A 41 years-old woman, with a history of cholecystectomy 2 years ago, has recurrent abdominal pain and jaundice appeared 3 days ago. Abdominal CT scan shows: (a) dilatation of intrahepatic bile duct. (b,c) dilatation of the CBP upstream sub-hilar stenosis (Bismuth type II). This stenosis is secondary to the metal clip cholecystectomy. (d) the CBD is not dilated in its retro-pancreatic portion.
  • 15.
    Choledochal cysts: Theetiology of choledochal cysts is unknown. In 1959, Alonso-Lej et al. classified choledochal cysts into three types: I, fusiform dilation of a portion or entire extrahepatic bile duct system; II, saccular diverticular-like outpouching in extrahepatic ducts; and III, focal dilation of distal common bile duct segment (or common pancreatobiliary channel) within the wall of the duodenum. Type III is also called a choledochocele. Todani et al. expanded this system in 1977 to better reflect a surgical approach. The Todani modification subdivides type I cysts into Ia, aneurysmal dilation; Ib, segmental dilation; and Ic, diffuse, cylindrical dilation; and also includes type IV cysts: IVa, multiple intra- and extrahepatic duct cysts; and IVb, multiple extrahepatic cysts only. Also added was a type V: single or multiple intrahepatic duct cysts.
  • 18.
    Stones in theducts Probably the most common biliary tract disease is duct stones, which occur in 8% to 20% of patients undergoing cholecystectomy and 2% to 4% of patients after cholecystectomy. Small calculi may intermittently cause colicky pain as they obstruct at the ampulla of Vater, but generally pass into the duodenum. Larger stones 5 to 10mm are difficult to pass and can result in intermittent long-term obstructive symptoms and sequelae, such as cholangitis and sepsis. Detecting stones in the ducts is easiest when biliary dilatation is also present. Unfortunately, because biliary dilatation is present in only about two-thirds to three-fourths of patients, it can be difficult to image stones in many patients.
  • 22.
    Choledocholithiasis A 35years old female presented with jaundice. (a) US imaging shows a dilated CBD obstructed by a stone with a posterior acoustic shadow. (b) CT (coronal oblique reconstruction without injection) shows the dilatation of the CBD
  • 23.
    Magnetic resonance cholangiopancreatography(MRCP) showing 5 gallstones in the common bile duct (arrows). In this image, bile in the duct appears white; stones appear as dark-filling defects. Similar images can be obtained by taking plain radiographs after injection of radiocontrast material in the common bile duct, either endoscopically (endoscopic retrograde cholangiography) or percutaneously under fluoroscopic guidance (percutaneous transhepatic cholangiography), but these approaches are more invasive.
  • 24.
    Mirizzi syndrome isproduced by a gallstone impacting either in the neck of the gallbladder or within the cystic duct and secondarily obstructing the hepatic duct. The initial classification of a gallstone either simply compressing adjacent bile ducts as part of an acute episode or a cholecystocholedochal fistula forming on a chronic basis was subsequently expanded to include: Type I: hepatic duct stenosis due to a stone impacting in the cystic duct or gallbladder neck. This is the most common. Type II: hepatic duct fistula due to a stone impacting in the cystic duct or gallbladder neck. Type III: hepatic duct stenosis due to a stone at the duct confluence. Type IV: hepatic duct stenosis as a complication of cholecystitis and no impacted calculus.
  • 26.
  • 27.
    Mirizzi syndrome. a:Oblique coronal T2-weighted sequence. b: MRI cholangiography with volume rendering. In this case, the presence of impacted gallstone in the cystic duct, causing dilatation of the biliary tract and compression of the common hepatic duct.
  • 28.
    Mirizzi syndrome. A45-year- old man presented with right upper quadrant pain and jaundice. Radial thick slab MRCP image (A) demonstrates cholelithiasis (short arrow), dilated intrahepatic ducts and common hepatic duct (block arrow), but normal caliber of the common bile duct (blue arrow). There is a filling defect at the insertion of the cystic duct (long arrow). Axial single- shot T2 TSE image (B) shows an impacted stone (arrow) at the insertion of the cystic duct causing obstruction of the common hepatic duct. ERCP (C) confirmed the obstructing stone (arrow).
  • 30.
    Endoscopic retrograde cholangiopancreatogra phy showinggradual resolve of dilated biliary tree (A) and indirect signs of Mirizzi syndrome (B and C) when the patient was placed in an anti- Trendelenburg position.
  • 31.
    Extrinsic pancreatic diseaseobstructing the biliary system One of the more common causes of biliary obstruction is extrinsic disease-benign and malignant. Pancreatic carcinoma commonly obstructs the distal CBD, and jaundice is often the first sign of the tumor. As with the primary biliary tract tumors described above, the characteristic finding at CT, US, or MR is that of abnormal dilatation of the extrahepatic bile duct to the level of the tumor. Abrupt termination of the bile duct with a short transition from dilated to nonvisualization is characteristic. Small pancreatic carcinomas, although not always apparent at imaging, may be critically placed to cause obstruction. The use of CT and MR contrast techniques that optimize pancreatic parenchymal enhancement during the late arterial phase can be an aid in visualizing small tumors. Chronic pancreatitis often creates mass effect surrounding the distal CBD with biliary obstruction. Calcifications within the head of the pancreas, associated with chronic pancreatitis, can aid in distinguishing chronic inflammation from pancreatic adenocarcinoma. Pancreatic carcinoma can occur within chronic pancreatitis, however, making differentiation difficult. The changes that are caused by chronic pancreatitis on the biliary tree are usually different from those caused by pancreatic carcinoma. Rather than the mass causing abrupt termination of the bile duct with a short transition zone, it is more common for chronic pancreatitis to cause gradual narrowing of the duct with a longer, tapered transition zone when imaged at CT, ultrasound, or MR. These are only guidelines, however, because severe cases of pancreatitis can occasionally cause a focal mass with abrupt termination of the bile duct.
  • 35.
    Pancreatic carcinoma A59 years old men presented with painless jaundice over past several days. Contrast enhanced CT (with multiplanar and MIP reconstructions) showed: (a) intra hepatic dilated bile ducts. (b) the ‘double duct’ sign with dilatation of both the CBD and pancreatic duct (arrows) and distension of the gallbladder. (c,d,e,f,g) irregular pancreatic head mass with heterogeneous enhancement and central necrosis.
  • 36.
    Tumors of thebile ducts Cholangiocarcinoma The most common tumor of the bile ducts is cholangiocarcinoma. Many cases are associated with predisposing conditions such as PSC, liver fluke disease, choledochal cysts, and thorium dioxide (Thorotrast) exposure. Cholangiocarcinomas generally can be classified as (1) intrahepatic (peripheral) lesions; (2) hilar lesions occurring just past the confluence of the right and left hepatic ducts, commonly referred to as ''Klatskin'' tumors; and (3) distal ductal tumors. Cholangiocarcinomas also may occur in locations in between these general locations. Understanding the pathologic basis for these tumors is essential to understanding their imaging appearances. Morphologic tumor types seen are most commonly scirrhous infiltrating neoplasms causing duct stricture of the larger ducts; exophytic bulky masses (most commonly in the intrahepatic peripheral location); and, rarely, polypoid intraluminal ductal lesions (most commonly seen distally in the duct). The tumor stroma is composed of two major elements that affect imaging-fibrous tissue and mucin-producing glandular tumor, which, as we will see, dramatically impacts the CT and MR imaging appearances.
  • 38.
    Intrahepatic cholangiocarcinoma About20% to 30% of cholangiocarcinomas are peripheral intrahepatic masses. These masses often appear similar to metastases, and can easily be misdiagnosed as adenocarcinoma metastases of unknown primary. Sonographically these masses may have mixed echogenicity, or predominantly hypoechogenicity or hyperechogenicity, depending on the predominant underlying stroma, fibrous tissues versus mucin producing glandular material. CT and MR appearances are often nonspecific. The tumors are of lesser attenuation than liver on unenhanced CT and have a variable enhancement pattern: usually not strongly enhancing during arterial phases of enhancement, but showing patchy and usually peripheral enhancement that may start mildly during the arterial contrast phase and become more prominent during the portal venous phase.
  • 40.
    Intra-hepatic cholangiocarcinoma; A,computed tomography (CT) image; B, cholangiogram (ERCP) image. Arrows designate the tumor.
  • 41.
  • 43.
    Hilar cholangiocarcinoma Themost common location for cholangiocarcinoma is either at the confluence of the right and left hepatic ducts, or at the proximal CHD, and has been termed a ''Klatskin tumor.'' These tumors can be small and difficult to visualize early at imaging. Hilar cholangiocarcinoma can usually be differentiated from adjacent adenopathy or extrinsic masses causing biliary obstruction due to the latter causing compression and displacement of the duct. Occasionally large masses can envelope the biliary tree, in which case the site of origin may be difficult to determine.
  • 45.
    Klatskin tumor (hilarcholangiocarcinoma).
  • 46.
    A 79-year-old femalewith type IV hilar cholangiocarcinoma. (A) Noncontrast CT scan shows low density mass at porta hepatis (single black arrow). (B) Transverse CT scan in arterial phase shows hypoattenuating tumor (single black arrow) encasing the hepatic artery (double black arrow). (C) Note the invasion of the adjacent liver parenchyma (single black arrow) and the small node in lesser sac (double black arrow). (D) Post-contrast delayed image shows retention of contrast material within the tumor (single black arrow). Type IV mass-forming tumor is very well detected on axial T2W images with (E) and without fat suppression (F) in different patients (single white arrow). MRCP image (G) shows isolation of bilateral sectoral ducts (single white arrow).
  • 47.
    (A-D): Hilar cholangiocarcinomawith early enhancement. (A) Axial unenhanced CT shows a low density mass (white single arrow) anterior to portal vein (white double arrow). (B) Axial arterial phase scan shows hyperattenuating mass at primary confluence (white single arrow). (C and D) Progressively decreased attenuation of mass on venous (white single arrow in C) and delayed phase (white single arrow in D)
  • 49.
    Distal duct cholangiocarcinomaThe least common location for cholangiocarcinoma is in the distal duct. When cholangiocarcinoma is scirrhous and compressing the duct, it is virtually indistinguishable at imaging from small pancreatic carcinoma. These lesions have a better prognosis than the more proximal hilar tumors and pancreatic carcinoma, and thus the differentiation is important clinically. Although papillary cholangiocarcinoma is uncommon, when present it occurs more often distally Such papillary lesions can be seen best with US, which, by virtue of its real-time acquisition of images and multiplanar capabilities, can best demonstrate the surrounding bile around the mass. Small masses of the distal CBD are extremely difficult to visualize with ultrasound, CT, or MR and cannot be differentiated from critically placed pancreatic or ampullary carcinoma. The use of multiplanar reformatted images can be helpful to denote an extrinsic location of a distal obstructing mass.
  • 51.
    Cholangiocarcinoma of theextrahepatic bile ducts.
  • 52.
    Carcinoma of ampullaof Vater A 64 years old male presented with painless jaundice. Contrast enhanced CT showed: (a) intra hepatic dilated bile ducts. (b) the ‘double duct’ sign with dilatation of both the CBD and pancreatic duct, and distension of the gallbladder. (c,d) ampullary mass (arrow).
  • 53.
    Carcinoma of ampullaof Vater MRI (e) CoronalT1-FS-Gado, (f) CoronalT2, and (g) MRCP) showed intrahepatic and common bile ducts dilatation with abrupt distal termination
  • 54.
    Carcinoma of gallbladderIrregular mass at the gallbladder fundus with peri-hilar lymph nodes compression.
  • 55.
    Carcinoma of gallbladderwith biliary compression by metastatic lymph nodes A 52 years old woman presented with obstructive jaundice. (a,b) CT image revealed lymph nodal mass at the porta hepatis (arrow) with intrahepatic biliary ducts dilatation. (c) The CBD is not dilated in its distal portion. (d)A gallbladder focal lesion highly enhanced at the fundus.
  • 56.
    Tumoral invasion ofthe bile ducts Most extrinsic tumors displace the biliary tree, or occasionally will encircle it, narrowing the duct lumen and causing obstruction. The classic tumor narrowing the bile duct in this way is pancreatic carcinoma. Extension of gallbladder carcinoma through the hepatic hilum can entrap and narrow the bile duct. Other less common tumors with extension include duodenal and gastric tumors. In rare occasions, lymphoma can encircle the bile duct and, similar to its effect in the intestinal tract, has a propensity initially to encircle the duct with minimal obstructive effects. Intrahepatic metastatic disease may displace the biliary tree, but rarely directly invades the biliary system. Primary hepatocellular carcinoma (HCC), however, which has a propensity to invade hepatic vessels, also may invade the biliary tree. It is important to differentiate HCC invading the biliary tree from a primary biliary tumor with liver metastases, because treatments for these tumors are quite different.
  • 62.
    Hydatid cyst rupturedinto the biliary tract A 45 years old female, with a history of cholecystectomy 10 years ago, presented with abdominal pain. (a) Abdominal US revealed a multivesicular hydatid cyst of the liver dome (Gharbi type III). (b) Communication of the hydatid cyst with the right bile duct, and presence of a hydatid material in the bile duct. (c,d) CT shows the dilated bile ducts, the communication of the cyst with the right bile duct, and the presence of hydatid material into the biliary tract. (e) Intraoperative cholangiography showed the presence of hydatid vesicles in the lower bile duct.
  • 63.
    MRCP images showingcommunication between the echinococcal cyst and the right hepatic duct. The common hepatic duct and the common bile duct are full with material of unknown origin. (A) Cholangiopancreatography. (B) Cross-section image. (C) Frontal-section A B C image.
  • 64.
    Endoscopic retrograde cholangiopancreatographydemonstrating hydatid material within the lower common bile duct. Computed tomographic scan showing a hydatid cyst biliary communication.
  • 65.