Dr. Abdullah Mohammad
Phase- A resident (R-12)
Radiology & Imaging Department
BSMMU
Role of imaging
Definition
The ‘acute abdomen’ is a clinical condition
characterized by severe non-traumatic abdominal
pain, requiring the clinician to make an urgent
therapeutic decision.
Clinical presentation
-The clinical presentation of patients with an
acute abdomen is often nonspecific.
-Both surgical and nonsurgical diseases may
present with a similar clinical history and
symptoms.
-Findings may be normal in patients who need
emergency surgery (such as appendicitis) and
may be abnormal in patients without a surgical
disease (like salpingitis).
Self limiting
• Gastroenteritis
• Lymphadenitis
• Epiploic
appendagitis
• Appendicitis
• Cholecystitis
• Sigmoid
diverticulitis
• Salpingitis
Life
threatening
• Bowel
obstruction
• GIT perforation
• Ruptured
abdominal
aortic aneurism
• Pancreatitis
Causes
Role of imaging
• To help surgeon decide whether or not a patient
with acute abdomen needs to have a surgery
• Whether operation needs to be done immediately
or time can be spent on resuscitation or further
investigations
• To support the clinical findings.
• To narrow down the differential diagnosis
Imaging modalities
• Plain radiographs
• Ultrasound
• CT-scan of abdomen
• Others- Barium enema, MRI
Role of plain radiograph
A plain abdominal film has a limited value in the
evaluation of abdominal pain.
A normal film does not exclude an ileus or other
pathology and may falsely reassure the clinician.
Plain film is useful for-
•Radioopaque stone / calcification detection
•Air / air-fluid pattern detection
Role of USG in acute abdomen
• Real time USG allows confirmation of palpable masses
and focal point of tenderness
• Evaluation of visible gas and fluid
• Perienteric soft tissue mass
• Evaluation of peristalsis
• Acute appendicitis
• Acute cholecystitis
• No ionizing radiation
Focused assessment with sonography for
trauma ( FAST)
• Rapid bedside ultrasound examination performed by
surgeons, emergency physicians as a screening test for
blood around the heart (pericardial effusion) or
abdominal organs (hemoperitoneum) after trauma.
• The four classic areas (4P) that are examined for free
fluid are -
Perihepatic space (also called Morison's pouch or the
hepatorenal recess)
Perisplenic space
Pericardium
Pelvis
• With this technique it is possible to identify the
presence of intraperitoneal or pericardial free fluid.
• In the context of traumatic injury, this fluid will usually
be due to bleeding.
Role of CT scan
• Most sensitive method for the detection of peritoneal
free gas
• Confirm the diagnosis of intestinal obstruction
• H/O previous abdominal malignancy
• Extra luminal disease
• In acute pancreatitis, renal colic, leaking abdominal
aneurysm, Intra abdominal abscess
Prerequisite
• Before imaging- clinical history, relevant physical
examination & laboratory investigation findings,
top diagnosis and possible differentials have to
be obtained.
• This helps in choosing the appropriate imaging
modality as well as narrows down the area to be
concentrated.
Approach
We may follow this following two step approach-
• Confirm or exclude the most common diseases.
• Screen for general signs of pathology.
Confirm or exclude the most common diseases….
RUQ
Acute cholecystitis
RLQ
Acute appendicitis
LLQ
Acute sigmoid
diverticulitis
Diffuse pain-
•Bowel obstruction (Small &
Large)
•GIT perforation
Pain in RUQ
Acute cholecystitis
ACUTE Cholecystitis
Occurs when a calculus
obstructs the cystic duct. The
trapped bile causes
inflammation of the
gallbladder wall.
U S G is the preferred
imaging method for the
evaluation of cholecystitis,
also allowing assessment
of the compressibility of
the gallbladder.
 Acute cholecystitis
Signs of acute cholecystitis on
plain film
Usually insensitive for acute
cholecystitis
• Gallstone seen in
20%
• Duodenal ileus
• Ileus of hepatic
flexure of colon
• Right hypochondrial
mass due to enlarged
gallbladder
• Gas within the biliary
system
One or two tube-like branching
lucencies in the RUQ, confined to
location of major bile ducts
“Normal” if Sphincter of Oddi incompetence
Previous surgery including sphincterotomy or
transplantation of CBD
Pathology (uncommon)
■ Gallstone ileus: gallstone erodes through wall of GB
into the duodenum producing a fistula between the
bowel and the biliary system.
■ Stone impacts in small bowel = mechanical SBO.
“ileus” misnomer
Portal venous air
usually associated
with bowel
necrosis -noted
within 2 cm of
the liver capsule
Air is peripheral
rather than central
Numerous
branching
structures
 Ultrasound : The mainstay of imaging in cholecystitis
• Gallbladder wall thickening (>3 mm), which may be poorly
defined.
• Impacted calculi in the gallbladder neck or cystic duct.
Gallstones are visualized as echogenic foci with posterior
acoustic shadowing.
• Biliary sludge may be seen as echogenic debris layering in
the gallbladder.
• Pericholecystic fluid.
• Positive sonographic Murphy’s sign
 CT is not routinely required but may be utilized as part
of the investigation of nonspecific abdominal pain or
to assess for secondary complications of cholecystitis.
• Gallbladder wall thickening (>3 mm).
• Biliary calculi may be visualized as foci of high attenuation
within the gallbladder.
• Inflammatory stranding in the pericholecystic fat
• Pericholecystic fluid/focal enhancing collections will
appear as a low-attenuation collection surrounding the
gallbladder.
• Locules of free gas adjacent to the gallbladder secondary to
necrosis/perforation.
• Cholecystoenteric fistulae are rare.
Pain in RLQ
Acute appendicitis
NormalAppendix
At sonography and CT the appendix is seen as
a blind-ending nonperistaltic tubular structure
arising from the base of the cecum.
May mistake a small bowel loop for the
appendix.
The outer-to-outer diameter of the appendix is
the most important imaging criterion.
Signs of acute appendicitis in plain film
• Appendix calculus (0.5-6 cm)
• Sentinel loop-dilated atonic ileum containing a fluid level
• Dilated caecum
• Widening of the properitoneal fat line
• Blurring of the properitoneal fat line
• Right lower quadrant haze due to fluid and oedema
• Scoliosis concave to the right
• Right lower quadrant mass indenting the caecum
• Blurring of the right psoas outline-unreliable
• Gas in the appendix-rare, unreliable
Sign of acute appendicitis in ultrasound
• Blind-ending tubular structure at the point of tenderness
• Non-compressible
• Diameter 7 mm or greater
• No peristalsis
• Appendicolith casting acoustic shadow
• High echogenicity non-compressible surrounding fat
• Surrounding fluid or abscess
• Oedema of caecal pole
• Hypervascularity on power Doppler
Long Axis Short Axis
TARGET SIGN
USG
Appendicitis
Ultrasound images showing an anechoic blind-ending tubular structure
measuring 10mm in diameter in the right iliac fossa (RIF): this was
found to be non-peristaltic and non- compressible.
An echogenic round body, with posterior acoustic shadowing seen
within the tubular structure, in keeping with an Appendicolith.
CT findings in acute appendicitis
90% diagnostic accuracy to detect acute appendicitis
• An appendix measuring greater than 6 mm in diameter
• Failure of the appendix to fill with oral contrast or air up to
its tip
• An appendicolith
• Enhancement of its wall with intravenous contrast
• Surrounding inflammatory changes include increased fat
attenuation, fluid, inflammatory phlegmon, caecal
thickening, abscess, extraluminal gas and
lymphadenopathy
Acute appendicitis. CT
showing an appendix which
contains a dense
Appendicolith
Appendix inflammatory mass. CT
shows soft- tissue density in the
right iliac fossa containing an
Appendicolith..
Pain in LLQ
Acute sigmoid
diverticulutis
It is a very common condition in older patients
Diverticula- A characteristic muscle abnormality in
the sigmoid colon with typical ‘out pouching’ from
the colonic wall
Diverticulosis - presence of diverticula
Diverticulitis – refers to inflammatory changes
within one or more diverticula
Diverticular disease
USG and CT show diverticulosis with segmental
colonic wall thickening and inflammatory changes
in the fat surrounding a diverticulum
Complications of Diverticulitis such as abscess
formation or perforation, can best be excluded with
CT.
Diverticulitis
USG
CT
Screen for general signs of pathology-
Free air/ Air-fluid pattern
Free fluid
Inflammed fat
Ileus
Bowel wall thickening
Causes-
Rupture of a hollow viscus-
• Perforated peptic ulcer
• Trauma
• Perforated diverticulitis (usually seals off)
• Perforated carcinoma
Post-op - 3-7 days normal, should get
less with successive studies
Free air / Pneumoperitoneum
Abdomen erect / Upright chest / Left lateral decubitus /
Supine abdomen ?
Uprigh chest P/A Left lateral decubitus
The patient should be positioned sitting
upright for 10-20 minutes prior to
acquiring the erect chest X-ray image.
This allows any free intra-abdominal gas to rise
up, forming a crescent beneath the diaphragm.
It is said that as little as 1ml of gas can be
detected in this way.
Crescent sign
Riglers sign
Football sign
Falciform ligament sign
Triangle sign
Free air under the diaphragm
Best demonstrated on
upright chest x rays or
left lat decubitus
Easier to see under
right diaphragm
Crescent sign
Bowel wall visualised on both sides due to intra and extraluminal air
Usually large amounts of free air
May be confused with overlapping loops of bowel, confirm with upright
view
Rigler’s sign
Seen with massive
pneumoperitoneum
Most often in
children with
necrotising
enterocolitis
Paediatric Adult
In supine
position air
collects anterior
to abdominal
viscera
Football sign
Normally
invisible.
Supine film,
free air rises
over anterior
surface of
liver
Falciform ligament sign
Sufficient free air, left and right
hemi- diaphragms
appear continous
Continuous diaphragm sign
The triangle sign
refers to small
triangles of free gas
that can typically be
positioned between
the large bowel and
the flank
Triangle sign
May mimic air under
the diaphragm
Look for haustral folds
Get left lateral
decubitus to confirm
In patients who have
cirrhosis or flattened
diaphragms due to lung
hyperinflation, a void is
created within the upper
abdomen above the liver.
This space may be filled by
bowel. If this bowel is air
filled then it may mimic free
gas.
Chilaiditi sign
CT scan
-Most sensitive method
-Lung window settings
Small bowel obstruction
Large bowel obstruction
Intestinal obstruction
Causes-
•Adhesions 75-80%
•Hernia 8%
•Tumors, intussusception, midgut volvulus,
etc.
Small bowel obstruction
On Plain films
• Dilated gas & fluid filled loops of small bowel.
• Multiple fluid level
• Dilated fluid-filled loops of small bowel may be
identified as oval or round soft tissue densities that
changes with position.
• Absent or little air in large bowel
SBO Supine
Air fluid levels
Maximum Normal Diameter of bowel
Small bowel
Large bowel
Caecum
3cm
6cm
9cm
String of pearls sign in a patient with small-bowel obstruction (SBO).
Erect radiograph of the abdomen demonstrates a row of small air
bubbles (arrows), which represents air trapped between the valvulae
conniventes.
 Role of USG in bowel obstruction
• Presence of abundant gas produces images of non diagnostic
quality.
• USG may be used for evaluation of
• GIT caliber
• Peristaltic activity
• Site of obstruction
• Gut wall morphology
• Extrinsic soft tissues
US Sagittal image of right flank
 Role of CT scan
• CT can confirm the diagnosis of SBO, indicate the location
of the obstruction
• Fluid filled bowels are clearly visible on CT
• Indicated with H/O –
- previous abdominal surgery
- extra luminal disease
• Effective at detective hernias
• A focal calibre change from dilated to collapsed bowel, the
transition point, indicates the level of obstruction.
• The small bowel is considered dilated when its diameter is
greater than 3 cm.
The 'Small Bowel Feces Sign' (SBFS) - seen
at the zone of transition thus facilitating
identification of the cause of the obstruction.
Small bowel faeces sign
SBO due to gall stone ileus
• Is mechanical bowel obstruction due to gall
stone/s in the intestine
• 2% of SBO
Signs of gall stone ileus
• Gas within the bile ducts and / or the gall bladder
• Complete or incomplete SBO
• Abnormal location of gall stone
• Change in position of gall stone
Supine film
Intussusception
 Characteristics
Invagination or prolapse of a
segment of intestinal tract (
intussusceptum) into the lumen of
the adjacent intestine (
intussuscipiens).
90% are ileocolic and ileo-ileocolic.
 Clinical features
• Severe colicky pain and vomiting.
• Initial stools passed at the start
of symptoms are unremarkable;
blood and mucus
(‘redcurrant jelly’) stools are passed
after 24
hours
Plain film
• There are multiple gas filled
loops of dilated
small bowel
• Soft tissue mass in right iliac
fossa
Seen in infants
Represents dilatation of the proximal duodenum and
stomach.
It is seen in both radiographs and ultrasound, and
can be identified antenatally
Seen in duodenal atresia.
Duodenal
Atresia
Largebowelobstruction
Etiology
• Carcinoma
• Volvulus
• Diverticular
disease
3 types of patterns of obstruction
Plain film signs of large bowel obstruction
• Depends on the state of competence of ileo caecal
valve
• Distended bowel is few in number
• Large: above 5.0 cm diameter
• Large amount of air is peripheraly placed
• Haustra : thick and widely separated
CT-Scan
• CT confirms obstruction with a colonic diameter
of >5.5 cm (9 cm in the caecum) considered
abnormal.
• Identification of a transition point indicates the
level of obstruction.
• CT clearly demonstrates intramural gas,
perforation and abscess formation.
Colonic carcinoma
• Focal irregular bowel-wall thickening with proximal
dilatation.
• There may be inflammatory stranding in the
adjacent fat.
Axial and coronal images demonstrating large-bowel
obstruction (asterix) secondary to a colonic carcinoma
in the distal descending colon (arrow).
 Contrast enema maybe helpful
• To differentiate pseudo-obstruction from
mechanical obstruction
• To localize the point of obstruction
• To diagnose the cause of obstruction e.g. tumour,
inflammatory mass
Largebowelvolvulus
 Sigmoid volvulus
 Caecal volvulus
 Identification of loop in sigmoid volvulus
Massively dilated sigmoid loop (an air-filled, dilated viscus)
arising from the pelvis.
• Ahaustral margin
• Left flank overlap sign
• Apex at or above T10 level
• Apex under the left hemidiaphragm
• Inferior convergence on the left (upper sacral
segments)
• Liver overlap sign
• Inverted U -shaped appearance, with the limbs of the
sigmoid loop directed toward the pelvis
Sigmoid volvulus
Coffee bean sign
Ba. enema study
-contrast material
shows abrupt
termination of the
contrast material
column in a beaklike
point.
 Caecal volvulus
• Associated with degree of malrotation
• Accounts for less than 2% of adult intestinal obstruction
• Age -30-60 years
Diagnosis
• Pole of the caecum and the appendix lie in LUQ(50%)
• Caecum twists in axial plane and lies in the central part
on right half of abdomen(50%)
• One or two haustral markings can usually be identified
• Seen as large gas filled or fluid filled viscus
• Identification of adjacent gas filled appendix confirms the
diagnosis
• Left half of colon is usually collapsed
Caecal volvuls Gastric dilatation
Paralyticileus
• Postoperative
• Peritonitis
• Inflammation
• Trauma
• Drugs
• CHF , Renal
Failure
• Leaking abdominal aortic
aneurysm
• Hypokalemia
• General debility or
infection
• Vascular occlusion
• Pneumonia
• It occurs when intestinal peristalsis ceases and fluid and
gas accumulate in the bowel loops.
 causes
Paralytic ileus- Supine film
Summary
Take home message
References
Thank you

Acute abdomen.pptx

  • 1.
    Dr. Abdullah Mohammad Phase-A resident (R-12) Radiology & Imaging Department BSMMU Role of imaging
  • 2.
    Definition The ‘acute abdomen’is a clinical condition characterized by severe non-traumatic abdominal pain, requiring the clinician to make an urgent therapeutic decision.
  • 3.
    Clinical presentation -The clinicalpresentation of patients with an acute abdomen is often nonspecific. -Both surgical and nonsurgical diseases may present with a similar clinical history and symptoms. -Findings may be normal in patients who need emergency surgery (such as appendicitis) and may be abnormal in patients without a surgical disease (like salpingitis).
  • 4.
    Self limiting • Gastroenteritis •Lymphadenitis • Epiploic appendagitis • Appendicitis • Cholecystitis • Sigmoid diverticulitis • Salpingitis Life threatening • Bowel obstruction • GIT perforation • Ruptured abdominal aortic aneurism • Pancreatitis Causes
  • 5.
    Role of imaging •To help surgeon decide whether or not a patient with acute abdomen needs to have a surgery • Whether operation needs to be done immediately or time can be spent on resuscitation or further investigations • To support the clinical findings. • To narrow down the differential diagnosis
  • 6.
    Imaging modalities • Plainradiographs • Ultrasound • CT-scan of abdomen • Others- Barium enema, MRI
  • 7.
    Role of plainradiograph A plain abdominal film has a limited value in the evaluation of abdominal pain. A normal film does not exclude an ileus or other pathology and may falsely reassure the clinician. Plain film is useful for- •Radioopaque stone / calcification detection •Air / air-fluid pattern detection
  • 10.
    Role of USGin acute abdomen • Real time USG allows confirmation of palpable masses and focal point of tenderness • Evaluation of visible gas and fluid • Perienteric soft tissue mass • Evaluation of peristalsis • Acute appendicitis • Acute cholecystitis • No ionizing radiation
  • 11.
    Focused assessment withsonography for trauma ( FAST) • Rapid bedside ultrasound examination performed by surgeons, emergency physicians as a screening test for blood around the heart (pericardial effusion) or abdominal organs (hemoperitoneum) after trauma. • The four classic areas (4P) that are examined for free fluid are - Perihepatic space (also called Morison's pouch or the hepatorenal recess) Perisplenic space Pericardium Pelvis • With this technique it is possible to identify the presence of intraperitoneal or pericardial free fluid. • In the context of traumatic injury, this fluid will usually be due to bleeding.
  • 12.
    Role of CTscan • Most sensitive method for the detection of peritoneal free gas • Confirm the diagnosis of intestinal obstruction • H/O previous abdominal malignancy • Extra luminal disease • In acute pancreatitis, renal colic, leaking abdominal aneurysm, Intra abdominal abscess
  • 13.
    Prerequisite • Before imaging-clinical history, relevant physical examination & laboratory investigation findings, top diagnosis and possible differentials have to be obtained. • This helps in choosing the appropriate imaging modality as well as narrows down the area to be concentrated.
  • 14.
    Approach We may followthis following two step approach- • Confirm or exclude the most common diseases. • Screen for general signs of pathology.
  • 15.
    Confirm or excludethe most common diseases….
  • 16.
    RUQ Acute cholecystitis RLQ Acute appendicitis LLQ Acutesigmoid diverticulitis Diffuse pain- •Bowel obstruction (Small & Large) •GIT perforation
  • 17.
    Pain in RUQ Acutecholecystitis
  • 18.
    ACUTE Cholecystitis Occurs whena calculus obstructs the cystic duct. The trapped bile causes inflammation of the gallbladder wall. U S G is the preferred imaging method for the evaluation of cholecystitis, also allowing assessment of the compressibility of the gallbladder.
  • 19.
     Acute cholecystitis Signsof acute cholecystitis on plain film Usually insensitive for acute cholecystitis • Gallstone seen in 20% • Duodenal ileus • Ileus of hepatic flexure of colon • Right hypochondrial mass due to enlarged gallbladder • Gas within the biliary system
  • 22.
    One or twotube-like branching lucencies in the RUQ, confined to location of major bile ducts
  • 23.
    “Normal” if Sphincterof Oddi incompetence Previous surgery including sphincterotomy or transplantation of CBD Pathology (uncommon) ■ Gallstone ileus: gallstone erodes through wall of GB into the duodenum producing a fistula between the bowel and the biliary system. ■ Stone impacts in small bowel = mechanical SBO. “ileus” misnomer
  • 24.
    Portal venous air usuallyassociated with bowel necrosis -noted within 2 cm of the liver capsule Air is peripheral rather than central Numerous branching structures
  • 25.
     Ultrasound :The mainstay of imaging in cholecystitis • Gallbladder wall thickening (>3 mm), which may be poorly defined. • Impacted calculi in the gallbladder neck or cystic duct. Gallstones are visualized as echogenic foci with posterior acoustic shadowing. • Biliary sludge may be seen as echogenic debris layering in the gallbladder. • Pericholecystic fluid. • Positive sonographic Murphy’s sign
  • 27.
     CT isnot routinely required but may be utilized as part of the investigation of nonspecific abdominal pain or to assess for secondary complications of cholecystitis. • Gallbladder wall thickening (>3 mm). • Biliary calculi may be visualized as foci of high attenuation within the gallbladder. • Inflammatory stranding in the pericholecystic fat • Pericholecystic fluid/focal enhancing collections will appear as a low-attenuation collection surrounding the gallbladder. • Locules of free gas adjacent to the gallbladder secondary to necrosis/perforation. • Cholecystoenteric fistulae are rare.
  • 29.
    Pain in RLQ Acuteappendicitis
  • 30.
    NormalAppendix At sonography andCT the appendix is seen as a blind-ending nonperistaltic tubular structure arising from the base of the cecum. May mistake a small bowel loop for the appendix. The outer-to-outer diameter of the appendix is the most important imaging criterion.
  • 31.
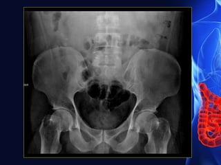
    Signs of acuteappendicitis in plain film • Appendix calculus (0.5-6 cm) • Sentinel loop-dilated atonic ileum containing a fluid level • Dilated caecum • Widening of the properitoneal fat line • Blurring of the properitoneal fat line • Right lower quadrant haze due to fluid and oedema • Scoliosis concave to the right • Right lower quadrant mass indenting the caecum • Blurring of the right psoas outline-unreliable • Gas in the appendix-rare, unreliable
  • 34.
    Sign of acuteappendicitis in ultrasound • Blind-ending tubular structure at the point of tenderness • Non-compressible • Diameter 7 mm or greater • No peristalsis • Appendicolith casting acoustic shadow • High echogenicity non-compressible surrounding fat • Surrounding fluid or abscess • Oedema of caecal pole • Hypervascularity on power Doppler
  • 35.
    Long Axis ShortAxis TARGET SIGN USG
  • 36.
  • 37.
    Ultrasound images showingan anechoic blind-ending tubular structure measuring 10mm in diameter in the right iliac fossa (RIF): this was found to be non-peristaltic and non- compressible. An echogenic round body, with posterior acoustic shadowing seen within the tubular structure, in keeping with an Appendicolith.
  • 38.
    CT findings inacute appendicitis 90% diagnostic accuracy to detect acute appendicitis • An appendix measuring greater than 6 mm in diameter • Failure of the appendix to fill with oral contrast or air up to its tip • An appendicolith • Enhancement of its wall with intravenous contrast • Surrounding inflammatory changes include increased fat attenuation, fluid, inflammatory phlegmon, caecal thickening, abscess, extraluminal gas and lymphadenopathy
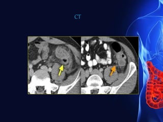
  • 39.
    Acute appendicitis. CT showingan appendix which contains a dense Appendicolith Appendix inflammatory mass. CT shows soft- tissue density in the right iliac fossa containing an Appendicolith..
  • 41.
    Pain in LLQ Acutesigmoid diverticulutis
  • 42.
    It is avery common condition in older patients Diverticula- A characteristic muscle abnormality in the sigmoid colon with typical ‘out pouching’ from the colonic wall Diverticulosis - presence of diverticula Diverticulitis – refers to inflammatory changes within one or more diverticula Diverticular disease
  • 43.
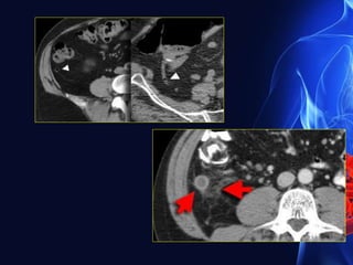
    USG and CTshow diverticulosis with segmental colonic wall thickening and inflammatory changes in the fat surrounding a diverticulum Complications of Diverticulitis such as abscess formation or perforation, can best be excluded with CT. Diverticulitis
  • 44.
  • 45.
  • 46.
    Screen for generalsigns of pathology- Free air/ Air-fluid pattern Free fluid Inflammed fat Ileus Bowel wall thickening
  • 47.
    Causes- Rupture of ahollow viscus- • Perforated peptic ulcer • Trauma • Perforated diverticulitis (usually seals off) • Perforated carcinoma Post-op - 3-7 days normal, should get less with successive studies Free air / Pneumoperitoneum
  • 49.
    Abdomen erect /Upright chest / Left lateral decubitus / Supine abdomen ? Uprigh chest P/A Left lateral decubitus
  • 50.
    The patient shouldbe positioned sitting upright for 10-20 minutes prior to acquiring the erect chest X-ray image. This allows any free intra-abdominal gas to rise up, forming a crescent beneath the diaphragm. It is said that as little as 1ml of gas can be detected in this way.
  • 51.
    Crescent sign Riglers sign Footballsign Falciform ligament sign Triangle sign
  • 52.
    Free air underthe diaphragm Best demonstrated on upright chest x rays or left lat decubitus Easier to see under right diaphragm Crescent sign
  • 53.
    Bowel wall visualisedon both sides due to intra and extraluminal air Usually large amounts of free air May be confused with overlapping loops of bowel, confirm with upright view Rigler’s sign
  • 54.
    Seen with massive pneumoperitoneum Mostoften in children with necrotising enterocolitis Paediatric Adult In supine position air collects anterior to abdominal viscera Football sign
  • 55.
    Normally invisible. Supine film, free airrises over anterior surface of liver Falciform ligament sign
  • 56.
    Sufficient free air,left and right hemi- diaphragms appear continous Continuous diaphragm sign
  • 57.
    The triangle sign refersto small triangles of free gas that can typically be positioned between the large bowel and the flank Triangle sign
  • 58.
    May mimic airunder the diaphragm Look for haustral folds Get left lateral decubitus to confirm In patients who have cirrhosis or flattened diaphragms due to lung hyperinflation, a void is created within the upper abdomen above the liver. This space may be filled by bowel. If this bowel is air filled then it may mimic free gas. Chilaiditi sign
  • 59.
    CT scan -Most sensitivemethod -Lung window settings
  • 60.
    Small bowel obstruction Largebowel obstruction Intestinal obstruction
  • 61.
    Causes- •Adhesions 75-80% •Hernia 8% •Tumors,intussusception, midgut volvulus, etc. Small bowel obstruction
  • 62.
    On Plain films •Dilated gas & fluid filled loops of small bowel. • Multiple fluid level • Dilated fluid-filled loops of small bowel may be identified as oval or round soft tissue densities that changes with position. • Absent or little air in large bowel
  • 63.
  • 64.
    Maximum Normal Diameterof bowel Small bowel Large bowel Caecum 3cm 6cm 9cm
  • 65.
    String of pearlssign in a patient with small-bowel obstruction (SBO). Erect radiograph of the abdomen demonstrates a row of small air bubbles (arrows), which represents air trapped between the valvulae conniventes.
  • 66.
     Role ofUSG in bowel obstruction • Presence of abundant gas produces images of non diagnostic quality. • USG may be used for evaluation of • GIT caliber • Peristaltic activity • Site of obstruction • Gut wall morphology • Extrinsic soft tissues
  • 67.
    US Sagittal imageof right flank
  • 68.
     Role ofCT scan • CT can confirm the diagnosis of SBO, indicate the location of the obstruction • Fluid filled bowels are clearly visible on CT • Indicated with H/O – - previous abdominal surgery - extra luminal disease • Effective at detective hernias • A focal calibre change from dilated to collapsed bowel, the transition point, indicates the level of obstruction. • The small bowel is considered dilated when its diameter is greater than 3 cm.
  • 69.
    The 'Small BowelFeces Sign' (SBFS) - seen at the zone of transition thus facilitating identification of the cause of the obstruction. Small bowel faeces sign
  • 70.
    SBO due togall stone ileus • Is mechanical bowel obstruction due to gall stone/s in the intestine • 2% of SBO Signs of gall stone ileus • Gas within the bile ducts and / or the gall bladder • Complete or incomplete SBO • Abnormal location of gall stone • Change in position of gall stone
  • 71.
  • 72.
    Intussusception  Characteristics Invagination orprolapse of a segment of intestinal tract ( intussusceptum) into the lumen of the adjacent intestine ( intussuscipiens). 90% are ileocolic and ileo-ileocolic.  Clinical features • Severe colicky pain and vomiting. • Initial stools passed at the start of symptoms are unremarkable; blood and mucus (‘redcurrant jelly’) stools are passed after 24 hours
  • 73.
    Plain film • Thereare multiple gas filled loops of dilated small bowel • Soft tissue mass in right iliac fossa
  • 74.
    Seen in infants Representsdilatation of the proximal duodenum and stomach. It is seen in both radiographs and ultrasound, and can be identified antenatally Seen in duodenal atresia.
  • 75.
  • 76.
    Largebowelobstruction Etiology • Carcinoma • Volvulus •Diverticular disease 3 types of patterns of obstruction
  • 77.
    Plain film signsof large bowel obstruction • Depends on the state of competence of ileo caecal valve • Distended bowel is few in number • Large: above 5.0 cm diameter • Large amount of air is peripheraly placed • Haustra : thick and widely separated
  • 79.
    CT-Scan • CT confirmsobstruction with a colonic diameter of >5.5 cm (9 cm in the caecum) considered abnormal. • Identification of a transition point indicates the level of obstruction. • CT clearly demonstrates intramural gas, perforation and abscess formation.
  • 80.
    Colonic carcinoma • Focalirregular bowel-wall thickening with proximal dilatation. • There may be inflammatory stranding in the adjacent fat. Axial and coronal images demonstrating large-bowel obstruction (asterix) secondary to a colonic carcinoma in the distal descending colon (arrow).
  • 81.
     Contrast enemamaybe helpful • To differentiate pseudo-obstruction from mechanical obstruction • To localize the point of obstruction • To diagnose the cause of obstruction e.g. tumour, inflammatory mass
  • 82.
  • 83.
     Identification ofloop in sigmoid volvulus Massively dilated sigmoid loop (an air-filled, dilated viscus) arising from the pelvis. • Ahaustral margin • Left flank overlap sign • Apex at or above T10 level • Apex under the left hemidiaphragm • Inferior convergence on the left (upper sacral segments) • Liver overlap sign • Inverted U -shaped appearance, with the limbs of the sigmoid loop directed toward the pelvis
  • 84.
  • 85.
  • 86.
    Ba. enema study -contrastmaterial shows abrupt termination of the contrast material column in a beaklike point.
  • 87.
     Caecal volvulus •Associated with degree of malrotation • Accounts for less than 2% of adult intestinal obstruction • Age -30-60 years Diagnosis • Pole of the caecum and the appendix lie in LUQ(50%) • Caecum twists in axial plane and lies in the central part on right half of abdomen(50%) • One or two haustral markings can usually be identified • Seen as large gas filled or fluid filled viscus • Identification of adjacent gas filled appendix confirms the diagnosis • Left half of colon is usually collapsed
  • 88.
  • 89.
    Paralyticileus • Postoperative • Peritonitis •Inflammation • Trauma • Drugs • CHF , Renal Failure • Leaking abdominal aortic aneurysm • Hypokalemia • General debility or infection • Vascular occlusion • Pneumonia • It occurs when intestinal peristalsis ceases and fluid and gas accumulate in the bowel loops.  causes
  • 90.
  • 91.
  • 92.
  • 93.
  • 94.