ABDOMINAL XRAY
DR ARUSHI GUPTA
DNB RADIO-DIAGNOSIS
MODERATOR : DR MONIKA
GARG
INTRODUCTION
Patients with acute abdomen comprise the largest group of people
presenting as a general surgical emergency.
Following history and clinical examination , plain film radiograph
have tradionally been one of the first and most useful method of
further investigation..
INDICATIONS
Suspected bowel obstruction
 Suspected perforation
 Moderate to severe
undifferentiated abdominal pain
 Suspected foreign body
 Renal tract calculi follow up
For other clinical situations,
abdominal xray is not
recommended:
 Abdominal trauma
 Right upper quadrant pain
 Suspected intra-abdominal
collection
 Acute upper GIT bleed
 Suspected intra-abdominal
malignancy
 Constipation
VIEWS
The standard view is an anterior-
posterior (AP) supine abdominal
xray (AXR).
You should assume that an
abdominal radiograph is taken
AP supine unless otherwise
stated.
AP SUPINE ABDOMINAL X-RAY
•Patient lies supine
•Xray pass in AP direction
•Patient asked to hold breath.
•Easier for patients (ill or post op)
•Allows distribution of gas and the caliber of
bowel to be determined and may show
displacement of bowel by soft tissue
masses.
•Obliteration of fat lines normally visualized
eg psoas outline , may indicate fluid or
inflammatory exudate.
ERECT XRAY
CHEST XRAY
•Xray beam passing tangentially
to the free gas.
•Better exposure
•chest diseases such as
pneumonia, aortic dissection,
myocardial infarction present
with abdominal symptoms.
•Abd diseases get complicated eg
pancreatitis with pleural effusion
•valuable baseline for post-op
studies
ABDOMEN XRAY
•Xray beam passes at an oblique
angle and diverges.
•Exposure unfavorable (more
black and more radiation dose)
•assess number and length of any
air fluid levels . unreliable and
misleading.
It is essential that patients should be in a position for 10 min prior to allow free gas to rise
to the highest point.
LEFT LATERAL DECUBITUS AXR
•Small amounts of free gas can be detected
•Patient lies on left side with the xray beam
horizontal
•Free gas seen trapped between the edge of the
liver and lateral abdominal wall.
•Eg a gas filled duodenal loop , one of the
commonest signs of acute pancreatitis , is best
shown in this view..
AIR FLUID LEVELS
•Three to five air fluid levels less than 2.5cm are normal mostly in
RLQ.
•However , more than 2 AFL in dilated small bowel ( calibre >2.5cm)
is abnormal .
•Doesnot help in differentiating intestinal obstruction from paralytic
ileus.
•The transverse colon normally measures less than 5.5 cm across.
•Caecum is highly distensible , 9cm is a critical dimension beyond
which danger of perforation exists.
•Significance of AFL is often overstated.
SOME CAUSES OF SMALL BOWEL
AFL
1. Small bowel obstruction
2. Large bowel obstruction
3. Paralytic ileus
4. Gastroenteritis
5. Hypokalemia
6. Uraemia
7. Jejunal diverticulosis
8. Mesentric thrombosis
9. Saline cathartics
10. Peritoneal metastases
11. Cleansing enema
12. Normal (<2.5cm)
RADIOGRAPH QUALITY
INCLUSION
 From hemidiaphragm to the
pubis symphysis.
 The superior aspect of liver ,
spleen
 The lateral abdominal wall
 The pubic symphysis
EXPOSURE
 Under or over exposure.
 Check the spine should be clearly visualised
NORMAL ANATOMY ON AN
ABDOMINAL XRAY
1) RIGHT AND LEFT
Left side of the image is patients right
side.
Always describe findings according to
the patients side.
R
L
2) QUADRANTS AND REGIONS
Four quadrants
Nine regions
3) ABDOMINAL VISCERA 1
4) ABDOMINAL VISCERA 2
5) SKELETAL STRUCTURES
6) PELVIS
7) BOWEL
Normally most of the
bowel contains fluid/
faeces (light grey ) and
hence not visualized.
Colon most likely to
contain gas than the
small bowel , hence
easier to identify.
Stomach is visible if it
contains air .
8) LUNG BASES
PRESENTING AN ABDOMINAL
RADIOGRAPH
 Give the type of radiograph
 Give the patient’s name.
 Assess the radiograph quality
 Run through the ABCDE of abdominal radiograph
 Short summary at the end
A IS FOR AIR IN THE WRONG
PLACE
• Look for pneumoperitoneum and pneumoretroperitoneum
• Look for gas in the biliary tree and portal vein
B IS FOR BOWEL
• Look for dilated small and large bowel
• Look for volvulus
• Look for a distended stomach
• Look for a hernia
• Look for evidence of bowel wall thickening
• Faecal loading
• Faecal impaction
C IS FOR CALCIFICATION
• clinically significant calcified
structures eg. Calcified gall
stones , renal stones ,
pancreatic calcifications,
abdominal aortic aneurysm
Clinically significant calcified
structures
•Calcified gall stones
•Renal stones
•Bladder stones
•Nephrocalcinosis
•Adrenal calcifications
•abdominal aortic aneurysm
•pancreatic calcifications
•Foetus
Clinically insignificant calcified
structures
•Costal cartilage calcification
•Phleboliths
•mesentric lymph nodes
•calcified fibroids
•prostatic calcification
•Abdomianl arortic
calcification(normal calibre)
•Splenic artery calcifications
D IS FOR DISABILITY ( BONES AND
SOLID ORGANS)
•Bony skeleton for fracture pelvis – 3 rings test
•Sclerotic/lytic lesions
•Spine for vertebral body height, alignment, pedicles
•Solid organ enlargement
E IS FOR EVERYTHING ELSE
•Evidence of previous surgery or devices :
surgical clips, urinary catheter , supra-pubic catheter , NG and NJ tube
, flatus tube , surgical drain , nephrostomy catheter , peritoneal
dialysis catheter , gastric band device , syoma bag , stents , IVC filter ,
IUCD , pessary
•Foreign bodies:
Retained surgical swabs, Swallowed objects , Clothing artefacts,
Piercing , Body packer
•Lung bases.
PNEUMOPERITONEUM
•Free gas in peritoneal cavity
•Indicates bowel perforation
•Seen upto 3 weeks after abdominal surgery and in trauma
•Main causes :
Perforated peptic ulcer
Perforated appendix/bowel diverticulum
Post-surgery
Trauma
CAUSES OF PNEUMOPERITONEUM
WITHOUT PERITONITIS
1. Silent perforation of a viscus that has sealed itself , in aged ,
patient on steroid , unconscious patients or patients on ventilator.
2. Post-operative
3. Peritoneal dialysis
4. Perforated jejunal diverticulosis
5. Tracking down from pneumomediastinum
6. Leakage through a distended stomach (endoscopy)
7. Vaginal tube entry of air
An abdominal radiograph
and an erect chest
radiograph are requested
when looking for
pneumoperitoneum.
Erect radiograph is very
sensitive. Can detect 2-3
ml free gas .
RADIOLOGOCAL SIGNS
1. RIGLER’S SIGN – DOUBLE
WALL SIGN
When gas is present on both
sides of the intestinal wall .
Sometimes ,
two loops of
bowel lying
next to each
other may
mimic this
sign. This
can be
identified by
haustra or
valvulae.
2) GAS OUTLINING THE
LIVER
Normally liver(light
grey) is surrounded by
peritoneal fat(dark
grey).
If pneumoperitoneum ,
liver is outlined by
gas(black) giving
better contrast.
3) FALCIFORM
LIGAMENT SIGN
Is a ligament
attaching the liver
to the anterior
abdominal wall
(remnant of
umbilical vein).
Normally not
visible.
Visible if outlined
by free gas either
side in a supine
patient.
PNEUMORETROPERITONEUM
Rarely seen but always abnormal.
Contains kidneys, ureter, adrenal, aorta, IVC, most pancreas,
duodenum , ascending and descending colon.
Main causes :
1. bowel perforation:
Posterior duodenal perforation – PUD / post-op
Ascending and descending colon perforation
Rectal perforation
2. Post surgical ( residual air)
It may look similar to
pneumoperitoneum . The
key to identify is gas
surrounding all or part of
the kidneys.
Impossible to have both
pneumoperitoneum and
pneumoretroperitoneum at
the same time.
PNEUMOBILIA
Branching dark lines within the centre of
the liver , more prominent towards the
hilum.
Main causes :
1. Recent ERCP/ incompetent sphincter
of Oddi (post sphincterotomy)
2. External biliary drain insertion/
biliary stent insertion
3. Biliary-enteric connection
Surgical anastomoses (eg whipple’s
procedure)
Spontaneous (eg Gallstone ileus)
4. Infection(rare) – emphysematous
PORTAL VENOUS GAS
Branching dark lines within the periphery of the liver.
High mortality rate.
Main causes:
1. ischaemic bowel (most common)
2. necrotising enterocolitis (NEC) – most common in infants.
3. severe intra-abdominal sepsis
DILATED SMALL BOWEL
Is a sign of mechanical obstruction or ileus.
In normal individual the small bowel is not seen because it is
collapsed or contains fluid.
Two main processes :
1. Mechanical obstruction
Physical obstruction.
Proximal bowel is dilated.
More distal the occlusion , more loops are visible.
2. Ileus – disruption of the normal propulsive ability of the GIT.
Causes :
•Post –operative
•Intra abdominal infection or inflammation
•Anti-cholinergic drugs.
Mechanical obstruction and ileum appears identical and underlying
cause cannot be determined on a xray.
Radiological signs :
1. dilatation >3cm - for quick
comparison the adult vertebral
body measures 4cm.
2. central location
3. valvulae conniventes-
musical folds of the SI. Thin ,
closely spaced and classically
seen as a continuous thin line
across the entire width of the
bowel .
FIG. SENTINEL LOOP DILATATION
SPECIAL CASE: GALLSTONE ILEUS
Recurrent episodes of
cholecystitis cause adhesion of
the gallbladder to the bowel
(usually duodenum) and
eventually a fistula.
A large gallstone then enters the
bowel and cause obstruction ,
typically at the ilececal valve.
Rigler’s triad:
1. pneumobilia
2. small bowel obstruction
3. gallstone ( usually in RIF – only
in 30%)
DILATED LARGE BOWEL
Bowel proximal is dilated and distal is collapsed.
Causes:
1. malignancy ( colorectal carcinoma- MCC in adults)
2. diverticular stricture
3. faecal impaction
4. volvulus.
Radiographic appearance:
1. dilatation >5.5cm – caecum is allowed to reach
9cm before being called dilated.
2. circumferential location- peripherally located .
Exception is transverse colon – loops down towards
pelvis and can cross centre of the radiograph.
3. haustra : small pouches in the wall of LI. Taenia
coli (ribbons of smooth muscle which run along the
length of the colon) are shorter than the colon itself,
therefore the colon becomes sacculated between the
taenia coli forming the haustra.
Lines between the haustra are called haustral folds
and do not cross the entire width of the bowel
If the bowel is grossly distended, then the haustra
may not be seen.
COMPARISON :
DILATED SMALL
BOWEL
DIALTED LARGE
BOWEL
SIZE >3cm >5.5cm
>9cm for caecum
POSITION Central Peripheral
MUCOSAL/WALL
PATTERN
Valvulae conniventes Haustral folds
PRESENCE OF SOLID
FAECES IS THE ONLY
RELIABLE SIGN
VOLVULUS
Twisting of the bowel on its mesentry.
Causes partial or complete bowel obstruction.
Two commonest types : sigmoid and caecal volvulus.
Symptoms due to :
1. bowel obstruction – ‘closed-loop’ obstruction.
2. bowel ischaemia – and later necrosis.
SIGMOID VOLVULUS
Caused when the sigmoid colon twists on
its mesentery.
elderly/ institutionalised patients.
Radiological signs :
1. coffee bean sign – closed loop of colon
2. general lack of haustra.
3. distension of the ascending , transverse
and descending colon.
CAECAL VOLVULUS
Caecum is a retoperitoneal structure but in some
patients the caecum is intraperitoneal with a
mesentery.
Radiological signs :
1. Comma shaped – more rounded than a
sigmoid volvulus.
2. Haustra often visible- even when the bowel is
very distended.
3. Collapse of the ascending , transverse and
descending colon
DILATED STOMACH
If filled with gas or fluid.
Causes of gas filled stomach :
1. bowel obstruction (malignancy or scarring in the duodenum)
2. aerophagia (distressed patients or side effect of non-invasive ventilation)
Causes of fluid – filled stomach:
1. bowel obstruction
2. Chronic gastro paresis (autonomic neuropathy from poorly controlled
diabetes)
Radiological appearances:
Large stomach shaped gas
filled(dark) or fluid filled (light
grey) loop in the upper abdomen
(LUQ). If very large can extend
inferiorly over the centre of the
abdomen. Normal rugae may not
be seen.
Wall of the greater curvature
convex caudally and the pyloric
antrum pointing cranially.
HERNIA
Protrusion of an organ through the wall
of the cavity.
Only hernia seen on abdominal
radiograph is inguinal hernia –
containing a loop of bowel which
contains gas. If the bowel loop contains
fluid – will not be easily seen.
Radiological appearance :
1. loops of gas-filled bowel seen below
the level of inguinal ligament.
Quick way to see if above or below the
obturator foramen.
2. soft tissue swelling on the side of
hernia : loop of bowel (black) and soft
tissue (light grey) . This is due to
herniated mesenteric fat/ associated
oedema
BOWEL WALL INFLAMATION
Most commonly seen in large bowel – colitis.
Main causes :
1. IBD
2. Ischaemic bowel
3. infection (e.g. pseudomembranous colitis from clostridium difficile)
Impossible to differentiate the different causes of colitis on a xray.
UC – only large bowel
Crohns and infection – anywhere along the GIT
Ischaemic – along a specific vascular territory ( SMA- midgut , IMA – hindgut)
Radiological signs of bowel wall
inflammation:
1. Bowel wall thickening: inflammation
causes mucosal edema and later
thickening.
Thickened wall outlined by gas within
the lumen and peritoneal fat outside.
Thumb printing : mucosal edema cause
severe thickening of the haustral folds
of the colon , such that the folds appear
as ‘thumb-shaped’ projections into the
lumen.
Featureless bowel : chronic bowel
thickening causes complete loss of the
normal hausral markings. The colon
appears smooth walled. In chronic UC –
lead pipe appearance.
2. loss of formed faecal matter in the
SPECIAL CASE : TOXIC
MEGACOLON
Acute form of bowel dilatation
occurring as a complication of IBD
or infection.
Rapid dilatation of colon and signs
of septic shock.
1. large bowel dilatation to >6cm
diameter
2. inflammatory pseudopoylps
(mucosal islands) – lobulated
opacities in the bowel wall from the
areas of raised mucosal tissue
surrounded by areas of ulceration.
3. thumb printing and mucosal
FAECAL LOADING
Large volume of faecal matter in the
colon of any consistency.
Usually result of chronic
constipation.
Hardened faecal matter has a
characterstic appearance:
1. rounded masses
2. mottled or granular texture
Hardened faecal matter within the
right side of the colon – highly
suggestive of faecal loading as the
faecal material here normally of fluid
consistency.
FAECAL IMPACTION
More severe than faecal loading.
Solid, immobile bulk of faeces in
rectum
Result of chronic constipation –
elderly , immobile or
institutionalized
Appearance is fairly
characteristic : large bulk of
faeces in the rectum .
In severe cases – can extend into
sigmoid and even rest of large
bowel.
CHOLELITHIASIS
Only 15% are radio-opaque.
Seen over RUQ along the lower lobe
of the liver.
Appearances may be variable :
1. large or small
2. single or multiple
3. radio-opaque outline with a lucent
centre
4. polygonal shape (flat surface – due
to stones abutting one another)
5. laminated (concentric ring)
SPECIAL CASES :
1) Milk of calcium or ‘Limey’
Bile
Dense fluid containing
calcium carbonate.
RO gall bladder lumen
Gallstone outlined by bile.
2) Porcelain gallbladder
Heavily calcified walls.
Increased risk of GB
malignancy.
Rim of calcification outlining
the GB. Edge appearing more
UROLITHIASIS
90% renal calculi are radio-
opaque.
Radiological signs :
1. calcific density projected
over the kidney
2. calcific density projected
over the course of ureter :
medial aspect of the kidney
and inferiorly along the tips
of the transverse processes.
3. staghorn calculus.
BLADDER STONES
Main causes:
1. urinary stasis (most common)
- BOO
- bladder diverticulum
- neurogenic bladder
2. UTI
3. Migrated renal calculus
4. foreign material left for long
- long term urinary catheterisation
Appear as rounded or
oval shaped opacities
projected over the
lower pelvis near the
midline.
Often large and may
be multiple.
Some may have a
laminated appearance.
NEPHROCALCINOSIS
Abnormal deposition of calcium in the kidney parenchyma.
Medulla is far more commonly affected.
Usually associated with metabolic disorders.
1. hyperparathyroidism.
2. medullary sponge kidney
3. renal tubular acidosis.
Appears as :
Generalised Calcium deposition
Little clusters corresponding to the medullary pyramids.
PANCREATIC CALCIFICATION
Most commonly a sign
of chronic pancreatitis.
Most common
underlying cause is
alcohol abuse.
Not visualized in
normal patients ,
retroperitoneal and
crosses midline.
Appears as irregular
clusters or foci of
calcification crossing
the midline in the mid
abdomen. Can take the
ADRENAL CALCIFICATION
Incidental finding.
With previous
adrenal
hemorrhage or
tuberculosis.
Triangular shaped
area of irregular
calcification in
area near upper
pole of kidney
ABDOMINAL AORTIC ANEURYSM
CALCIFICATION
An AAA pronounced ‘triple-a’ is
abnormal dilatation of the abdominal
aorta to >3cm diameter.
Normally <2.5cm.
When AAA grows to >5.5cm the risk of
rupture increases and surgery is
recommended.
AAA are only seen when :
1. calcification in the wall of the aorta.
2. both sides of the aortic wall must be
visualized to diagnose AAA. If only one
side is seen bulging , can be tortous.
3. Most (>90%) are infra-renal.
FETUS
11 weeks to birth .
Very rare since radiation
should be avoided in
pregancy
Look for skeleton within the
abdomen.
Large circular opacity and a
linear array of smaller
opacities are seen.
CALCIFIED COSTAL CARTILAGE
Appear patchy and more
dense than the ribs.
Typically seen as a
continuation of the ribs ,
curving superiorly and
medially.
PHLEBOLITHS
Focal calcifictaions
within veins.
Small , rounded
opacities , sometimes
with a lucent centre.
If calculi are
suspected ,
unenhanced CT scan .
CALCIFIED MESENTERIC LYMPH
NODE
Incidental findings. Most in
elderly.
Secondary to a previous
granulomatous infection such
as TB.
Appear as oval , mottled areas
of calcification , usually 5-
15mm in size often in RLQ or
central abdomen.
Normally appear in clusters of
two or more.
NOTE : distinguish from renal
calculi.
1. mottled appearance
CALCIFIED UTERINE FIBROID
Leiomyomas are
benign tumor of
myometrial origin.
Long standing
fibroid may
calcify.
Appear as
rounded calcified
structure with
‘splatter like
calcification’
PROSTATE CALCIFICATION
Older men .
Fine or coarse
calcification in the
lower pelvis, just
below the urinary
bladder.
ABDOMINAL AORTIC
CALCIFICATION
With normal caliber.
In elderly and diabetic .
Indicative of atheromatous
processes in the wall of
vessel.
Linear areas of calcification
projected over the midline.
SPLENIC ARTERY CALCIFICATION
Seen projected over the
left upper quadrant and
has a distinctive tourtour
‘Chinese dragon’ like
appearance.
PELVIC FRACTURE
Three rings :
Pelvic ring – paired ilium ,
ischium and pubic bones along
with sacrum
Ring of bone surrounding the
right obturator foramen
Ring of bone surrounding the
left obturator foramen
If you see a fracture in one part
of the ring , look for the second
fracture.
It is impossible to have a
significant fracture in one place
SCLEROTIC AND LUCENT BONE
LESIONS
Sclerotic –
increased
density. Many
causes
including
malignancy.
Prostate
metastases.
Lucent –
abnormal area
of reduced
density. Many
causes
including mets.
SPINE PATHOLOGY
1. Vertebral body height
2. Alignment
3. Pedicles (metastases)
SOLID ORGAN ENLARGEMENT
Either by increase in the overall size of one of the solid organs or by a large
tumor in the abdomen.
Incidental finding as first IOC – ultrasound.
Common causes :
1)Solid organ
•Hepatomegaly – Riedel’s lobe : inferior , tongue like projection of the right
lobe of the liver. Normal variant in 17% population.
•Splenomegaly
2) Tumor
•Renal masses
•Pelvic masses
RADIOLOGICAL SIGNS :
•Large soft tissue density (light grey)mass
•Loops of bowel often displaced by the mass
•Location gives a clue
RUQ – liver , right kidney
LUQ – spleen ,left kidney , fluid filled stomach
Lower abdomen – ovaries,uterus , distended urinary bladder.
CHOLECYSTECTOMY CLIPS
Surgical clips , stapes and anastomoses are common findings on an
abdominal radiograph and it is important to recognize the differences
between them
FEMALE STERLISATION CLIPS
HEPATECTOMY CLIPS
SURGICAL STAPLES
HERNIA CLIPS
SURGICAL BOWEL ANASTOMOSES
URINARY CATHETER
Classical position in the
lower pelvis with their tip
projected over the position
of the urinary bladder.
Radio-opaque line along the
length of the catheter.
The inflated urinary catheter
balloon is not visualized as
it contains water , which is
the same density as the
urine.
SUPRA-PUBIC CATHETER
Hollow flexible tube
inserted into the urinary
bladder via an incision in
the anterior abdominal
wall.
Catheter is seen to enter
the bladder from above
rather than below.
NASO-GASTRIC TUBE
Plastic tube inserted
through the nose ,
down the oesphagus
and into the stomach.
Can be used for
short-term feeding ,
drug administration
and aspiration of
stomach contents.
NASO-JEJUNAL TUBE
A plastic tube
similar to NG Tube
passes through
stomach and
duodenum into the
jejunum.
Used inpatients
unable to tolerate
feeding into the
stomach.
FLATUS TUBE
Long soft tube
usually inserted into
the sigmoid colon
with the help of a
rigid or flexible
sigmoidoscope. It is
used to decompress
a sigmoid volvulus.
SURGICAL DRAIN
Used to drain /
prevent the
accumulation of
fluid/ blood/ pus
from the area of
surgery.
NEPHROSTOMY CATHETER
An artificial
connection
between the skin
and renal pelvis
,usually
maintained by a
drain to allow
direct drainage of
urine from the
kidney.
PERITONEAL DIALYSIS
Placed in the
peritoneal cavity and
used to introduce and
remove dialysate fluid
for patients
undergoing
peritoneal dialysis.
Easily recognized by
its large coiled tip.
GASTRIC BAND DEVICE
Inflatable ring inserted
surgically around the
top portion of the
stomach.
Used as a treatment for
obesity by creating a
smaller stomach pouch
to limit the amount of
food that can be
consumed at one sitting.
The inflatable ring is
attached to a small
access port placed just
under the skin to allow
re-adjustment of the
PEG/ RIG
A gastrostomy is a
tube passed into the
patients stomach
through the
abdominal wall.
Used to provide
feeding when oral
intake is not
adequate or safe.
A PEG – endoscopic
guidance
A RIG – radiological
guidance
STOMA BAG
A stoma is a surgically
created opening in the
abdomen to connect
bowel with the outside
environment.
Three main types –
ileostomy ,colostomy ,
urostomy.
On a radiograph you
may see a dense ring ,
which is the site of
attachment of the
stoma bag to the skin
around the stoma.
BILIARY STENT
Stent is a tube inserted into
a natural passage in the
body to improve flow or
prevent blockage.
Placed between common
bile duct and/or hepatic
duct and are usually
projected just to the right of
the midline in the upper
abdomen.
URETERIC STENT
DUODENAL STENT
COLONIC STENT
ENDOVASCULAR ANEURYSM
REPAIR STENT GRAFT
Used to treat
AAA.
A stent graft
is placed in
the lumen of
the aorta to
allow blood
to flow and
reduce
pressure in
the aneurysm
, preventing
rupture.
IVC FILTER
Umbrella like device
placed in IVC to reduce
the risk of large
pulmonary emboli.
Wires allow blood to
flow past and prevent
large clots from
reaching pulmonary
arteries.
Often used when anti-
coagulation is
contraindicated.
IUCD
Small often T
shaped device
which is
inserted into
the uterus.
Long-acting
reversible
contraception
PESSARY
Medical device
inserted into the
vagina to provide
structural support or
to deliver medication.
Come in all shapes
and sizes but ring
pessary is the most
common.
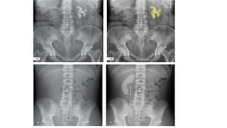
FOREIGN BODIES
• range and number of different items are limitless.
• don’t be surprised by some of the things people do.
RETAINED SURGICAL SWAB
SWALLOWED OBJECTS
CLOTHING ARTERFACT
PIERCINGS
BODY PACKER
•Smuggle illicit drugs by concealing
drugs in their GIT.
•Drugs are packed into a balloon,
latex glove or condom and
swallowed.
•Vary from a few to more than 200.
•Radiologically : multiple oval or
tubular soft tissue opacities ,
sometimes surrounded by a rim of
halo.
•Earlier managed by surgical retrieval
but high mortality.
•Nowadays , conservatively managed
by bowel irrigation.
LUNG BASES
•Metastasis :
rounded
opacities
projected over
lung bases
•Consolidation :
patchy
opacification.
•Large pleural
effusion/
collapse :
whiteout
THANK YOU !

Abdominal xray - imaging and interpretation

  • 1.
    ABDOMINAL XRAY DR ARUSHIGUPTA DNB RADIO-DIAGNOSIS MODERATOR : DR MONIKA GARG
  • 2.
    INTRODUCTION Patients with acuteabdomen comprise the largest group of people presenting as a general surgical emergency. Following history and clinical examination , plain film radiograph have tradionally been one of the first and most useful method of further investigation..
  • 3.
    INDICATIONS Suspected bowel obstruction Suspected perforation  Moderate to severe undifferentiated abdominal pain  Suspected foreign body  Renal tract calculi follow up For other clinical situations, abdominal xray is not recommended:  Abdominal trauma  Right upper quadrant pain  Suspected intra-abdominal collection  Acute upper GIT bleed  Suspected intra-abdominal malignancy  Constipation
  • 4.
    VIEWS The standard viewis an anterior- posterior (AP) supine abdominal xray (AXR). You should assume that an abdominal radiograph is taken AP supine unless otherwise stated.
  • 5.
    AP SUPINE ABDOMINALX-RAY •Patient lies supine •Xray pass in AP direction •Patient asked to hold breath. •Easier for patients (ill or post op) •Allows distribution of gas and the caliber of bowel to be determined and may show displacement of bowel by soft tissue masses. •Obliteration of fat lines normally visualized eg psoas outline , may indicate fluid or inflammatory exudate.
  • 6.
    ERECT XRAY CHEST XRAY •Xraybeam passing tangentially to the free gas. •Better exposure •chest diseases such as pneumonia, aortic dissection, myocardial infarction present with abdominal symptoms. •Abd diseases get complicated eg pancreatitis with pleural effusion •valuable baseline for post-op studies ABDOMEN XRAY •Xray beam passes at an oblique angle and diverges. •Exposure unfavorable (more black and more radiation dose) •assess number and length of any air fluid levels . unreliable and misleading. It is essential that patients should be in a position for 10 min prior to allow free gas to rise to the highest point.
  • 7.
    LEFT LATERAL DECUBITUSAXR •Small amounts of free gas can be detected •Patient lies on left side with the xray beam horizontal •Free gas seen trapped between the edge of the liver and lateral abdominal wall. •Eg a gas filled duodenal loop , one of the commonest signs of acute pancreatitis , is best shown in this view..
  • 8.
    AIR FLUID LEVELS •Threeto five air fluid levels less than 2.5cm are normal mostly in RLQ. •However , more than 2 AFL in dilated small bowel ( calibre >2.5cm) is abnormal . •Doesnot help in differentiating intestinal obstruction from paralytic ileus. •The transverse colon normally measures less than 5.5 cm across. •Caecum is highly distensible , 9cm is a critical dimension beyond which danger of perforation exists. •Significance of AFL is often overstated.
  • 9.
    SOME CAUSES OFSMALL BOWEL AFL 1. Small bowel obstruction 2. Large bowel obstruction 3. Paralytic ileus 4. Gastroenteritis 5. Hypokalemia 6. Uraemia 7. Jejunal diverticulosis 8. Mesentric thrombosis 9. Saline cathartics 10. Peritoneal metastases 11. Cleansing enema 12. Normal (<2.5cm)
  • 10.
    RADIOGRAPH QUALITY INCLUSION  Fromhemidiaphragm to the pubis symphysis.  The superior aspect of liver , spleen  The lateral abdominal wall  The pubic symphysis
  • 11.
    EXPOSURE  Under orover exposure.  Check the spine should be clearly visualised
  • 12.
    NORMAL ANATOMY ONAN ABDOMINAL XRAY 1) RIGHT AND LEFT Left side of the image is patients right side. Always describe findings according to the patients side. R L
  • 13.
    2) QUADRANTS ANDREGIONS Four quadrants Nine regions
  • 14.
  • 15.
  • 16.
  • 17.
  • 18.
    7) BOWEL Normally mostof the bowel contains fluid/ faeces (light grey ) and hence not visualized. Colon most likely to contain gas than the small bowel , hence easier to identify. Stomach is visible if it contains air .
  • 19.
  • 20.
    PRESENTING AN ABDOMINAL RADIOGRAPH Give the type of radiograph  Give the patient’s name.  Assess the radiograph quality  Run through the ABCDE of abdominal radiograph  Short summary at the end
  • 21.
    A IS FORAIR IN THE WRONG PLACE • Look for pneumoperitoneum and pneumoretroperitoneum • Look for gas in the biliary tree and portal vein
  • 22.
    B IS FORBOWEL • Look for dilated small and large bowel • Look for volvulus • Look for a distended stomach • Look for a hernia • Look for evidence of bowel wall thickening • Faecal loading • Faecal impaction
  • 23.
    C IS FORCALCIFICATION • clinically significant calcified structures eg. Calcified gall stones , renal stones , pancreatic calcifications, abdominal aortic aneurysm
  • 24.
    Clinically significant calcified structures •Calcifiedgall stones •Renal stones •Bladder stones •Nephrocalcinosis •Adrenal calcifications •abdominal aortic aneurysm •pancreatic calcifications •Foetus Clinically insignificant calcified structures •Costal cartilage calcification •Phleboliths •mesentric lymph nodes •calcified fibroids •prostatic calcification •Abdomianl arortic calcification(normal calibre) •Splenic artery calcifications
  • 25.
    D IS FORDISABILITY ( BONES AND SOLID ORGANS) •Bony skeleton for fracture pelvis – 3 rings test •Sclerotic/lytic lesions •Spine for vertebral body height, alignment, pedicles •Solid organ enlargement
  • 26.
    E IS FOREVERYTHING ELSE •Evidence of previous surgery or devices : surgical clips, urinary catheter , supra-pubic catheter , NG and NJ tube , flatus tube , surgical drain , nephrostomy catheter , peritoneal dialysis catheter , gastric band device , syoma bag , stents , IVC filter , IUCD , pessary •Foreign bodies: Retained surgical swabs, Swallowed objects , Clothing artefacts, Piercing , Body packer •Lung bases.
  • 27.
    PNEUMOPERITONEUM •Free gas inperitoneal cavity •Indicates bowel perforation •Seen upto 3 weeks after abdominal surgery and in trauma •Main causes : Perforated peptic ulcer Perforated appendix/bowel diverticulum Post-surgery Trauma
  • 28.
    CAUSES OF PNEUMOPERITONEUM WITHOUTPERITONITIS 1. Silent perforation of a viscus that has sealed itself , in aged , patient on steroid , unconscious patients or patients on ventilator. 2. Post-operative 3. Peritoneal dialysis 4. Perforated jejunal diverticulosis 5. Tracking down from pneumomediastinum 6. Leakage through a distended stomach (endoscopy) 7. Vaginal tube entry of air
  • 29.
    An abdominal radiograph andan erect chest radiograph are requested when looking for pneumoperitoneum. Erect radiograph is very sensitive. Can detect 2-3 ml free gas .
  • 30.
    RADIOLOGOCAL SIGNS 1. RIGLER’SSIGN – DOUBLE WALL SIGN When gas is present on both sides of the intestinal wall .
  • 32.
    Sometimes , two loopsof bowel lying next to each other may mimic this sign. This can be identified by haustra or valvulae.
  • 33.
    2) GAS OUTLININGTHE LIVER Normally liver(light grey) is surrounded by peritoneal fat(dark grey). If pneumoperitoneum , liver is outlined by gas(black) giving better contrast.
  • 34.
    3) FALCIFORM LIGAMENT SIGN Isa ligament attaching the liver to the anterior abdominal wall (remnant of umbilical vein). Normally not visible. Visible if outlined by free gas either side in a supine patient.
  • 35.
    PNEUMORETROPERITONEUM Rarely seen butalways abnormal. Contains kidneys, ureter, adrenal, aorta, IVC, most pancreas, duodenum , ascending and descending colon. Main causes : 1. bowel perforation: Posterior duodenal perforation – PUD / post-op Ascending and descending colon perforation Rectal perforation 2. Post surgical ( residual air)
  • 36.
    It may looksimilar to pneumoperitoneum . The key to identify is gas surrounding all or part of the kidneys. Impossible to have both pneumoperitoneum and pneumoretroperitoneum at the same time.
  • 38.
    PNEUMOBILIA Branching dark lineswithin the centre of the liver , more prominent towards the hilum. Main causes : 1. Recent ERCP/ incompetent sphincter of Oddi (post sphincterotomy) 2. External biliary drain insertion/ biliary stent insertion 3. Biliary-enteric connection Surgical anastomoses (eg whipple’s procedure) Spontaneous (eg Gallstone ileus) 4. Infection(rare) – emphysematous
  • 40.
    PORTAL VENOUS GAS Branchingdark lines within the periphery of the liver. High mortality rate. Main causes: 1. ischaemic bowel (most common) 2. necrotising enterocolitis (NEC) – most common in infants. 3. severe intra-abdominal sepsis
  • 42.
    DILATED SMALL BOWEL Isa sign of mechanical obstruction or ileus. In normal individual the small bowel is not seen because it is collapsed or contains fluid. Two main processes : 1. Mechanical obstruction Physical obstruction. Proximal bowel is dilated. More distal the occlusion , more loops are visible.
  • 44.
    2. Ileus –disruption of the normal propulsive ability of the GIT. Causes : •Post –operative •Intra abdominal infection or inflammation •Anti-cholinergic drugs. Mechanical obstruction and ileum appears identical and underlying cause cannot be determined on a xray.
  • 45.
    Radiological signs : 1.dilatation >3cm - for quick comparison the adult vertebral body measures 4cm. 2. central location 3. valvulae conniventes- musical folds of the SI. Thin , closely spaced and classically seen as a continuous thin line across the entire width of the bowel .
  • 47.
  • 48.
    SPECIAL CASE: GALLSTONEILEUS Recurrent episodes of cholecystitis cause adhesion of the gallbladder to the bowel (usually duodenum) and eventually a fistula. A large gallstone then enters the bowel and cause obstruction , typically at the ilececal valve. Rigler’s triad: 1. pneumobilia 2. small bowel obstruction 3. gallstone ( usually in RIF – only in 30%)
  • 49.
    DILATED LARGE BOWEL Bowelproximal is dilated and distal is collapsed. Causes: 1. malignancy ( colorectal carcinoma- MCC in adults) 2. diverticular stricture 3. faecal impaction 4. volvulus.
  • 50.
    Radiographic appearance: 1. dilatation>5.5cm – caecum is allowed to reach 9cm before being called dilated. 2. circumferential location- peripherally located . Exception is transverse colon – loops down towards pelvis and can cross centre of the radiograph. 3. haustra : small pouches in the wall of LI. Taenia coli (ribbons of smooth muscle which run along the length of the colon) are shorter than the colon itself, therefore the colon becomes sacculated between the taenia coli forming the haustra. Lines between the haustra are called haustral folds and do not cross the entire width of the bowel If the bowel is grossly distended, then the haustra may not be seen.
  • 53.
    COMPARISON : DILATED SMALL BOWEL DIALTEDLARGE BOWEL SIZE >3cm >5.5cm >9cm for caecum POSITION Central Peripheral MUCOSAL/WALL PATTERN Valvulae conniventes Haustral folds PRESENCE OF SOLID FAECES IS THE ONLY RELIABLE SIGN
  • 54.
    VOLVULUS Twisting of thebowel on its mesentry. Causes partial or complete bowel obstruction. Two commonest types : sigmoid and caecal volvulus. Symptoms due to : 1. bowel obstruction – ‘closed-loop’ obstruction. 2. bowel ischaemia – and later necrosis.
  • 55.
    SIGMOID VOLVULUS Caused whenthe sigmoid colon twists on its mesentery. elderly/ institutionalised patients. Radiological signs : 1. coffee bean sign – closed loop of colon 2. general lack of haustra. 3. distension of the ascending , transverse and descending colon.
  • 57.
    CAECAL VOLVULUS Caecum isa retoperitoneal structure but in some patients the caecum is intraperitoneal with a mesentery. Radiological signs : 1. Comma shaped – more rounded than a sigmoid volvulus. 2. Haustra often visible- even when the bowel is very distended. 3. Collapse of the ascending , transverse and descending colon
  • 59.
    DILATED STOMACH If filledwith gas or fluid. Causes of gas filled stomach : 1. bowel obstruction (malignancy or scarring in the duodenum) 2. aerophagia (distressed patients or side effect of non-invasive ventilation) Causes of fluid – filled stomach: 1. bowel obstruction 2. Chronic gastro paresis (autonomic neuropathy from poorly controlled diabetes)
  • 60.
    Radiological appearances: Large stomachshaped gas filled(dark) or fluid filled (light grey) loop in the upper abdomen (LUQ). If very large can extend inferiorly over the centre of the abdomen. Normal rugae may not be seen. Wall of the greater curvature convex caudally and the pyloric antrum pointing cranially.
  • 62.
    HERNIA Protrusion of anorgan through the wall of the cavity. Only hernia seen on abdominal radiograph is inguinal hernia – containing a loop of bowel which contains gas. If the bowel loop contains fluid – will not be easily seen. Radiological appearance : 1. loops of gas-filled bowel seen below the level of inguinal ligament. Quick way to see if above or below the obturator foramen. 2. soft tissue swelling on the side of hernia : loop of bowel (black) and soft tissue (light grey) . This is due to herniated mesenteric fat/ associated oedema
  • 63.
    BOWEL WALL INFLAMATION Mostcommonly seen in large bowel – colitis. Main causes : 1. IBD 2. Ischaemic bowel 3. infection (e.g. pseudomembranous colitis from clostridium difficile) Impossible to differentiate the different causes of colitis on a xray. UC – only large bowel Crohns and infection – anywhere along the GIT Ischaemic – along a specific vascular territory ( SMA- midgut , IMA – hindgut)
  • 64.
    Radiological signs ofbowel wall inflammation: 1. Bowel wall thickening: inflammation causes mucosal edema and later thickening. Thickened wall outlined by gas within the lumen and peritoneal fat outside. Thumb printing : mucosal edema cause severe thickening of the haustral folds of the colon , such that the folds appear as ‘thumb-shaped’ projections into the lumen. Featureless bowel : chronic bowel thickening causes complete loss of the normal hausral markings. The colon appears smooth walled. In chronic UC – lead pipe appearance. 2. loss of formed faecal matter in the
  • 66.
    SPECIAL CASE :TOXIC MEGACOLON Acute form of bowel dilatation occurring as a complication of IBD or infection. Rapid dilatation of colon and signs of septic shock. 1. large bowel dilatation to >6cm diameter 2. inflammatory pseudopoylps (mucosal islands) – lobulated opacities in the bowel wall from the areas of raised mucosal tissue surrounded by areas of ulceration. 3. thumb printing and mucosal
  • 67.
    FAECAL LOADING Large volumeof faecal matter in the colon of any consistency. Usually result of chronic constipation. Hardened faecal matter has a characterstic appearance: 1. rounded masses 2. mottled or granular texture Hardened faecal matter within the right side of the colon – highly suggestive of faecal loading as the faecal material here normally of fluid consistency.
  • 68.
    FAECAL IMPACTION More severethan faecal loading. Solid, immobile bulk of faeces in rectum Result of chronic constipation – elderly , immobile or institutionalized Appearance is fairly characteristic : large bulk of faeces in the rectum . In severe cases – can extend into sigmoid and even rest of large bowel.
  • 69.
    CHOLELITHIASIS Only 15% areradio-opaque. Seen over RUQ along the lower lobe of the liver. Appearances may be variable : 1. large or small 2. single or multiple 3. radio-opaque outline with a lucent centre 4. polygonal shape (flat surface – due to stones abutting one another) 5. laminated (concentric ring)
  • 70.
    SPECIAL CASES : 1)Milk of calcium or ‘Limey’ Bile Dense fluid containing calcium carbonate. RO gall bladder lumen Gallstone outlined by bile. 2) Porcelain gallbladder Heavily calcified walls. Increased risk of GB malignancy. Rim of calcification outlining the GB. Edge appearing more
  • 71.
    UROLITHIASIS 90% renal calculiare radio- opaque. Radiological signs : 1. calcific density projected over the kidney 2. calcific density projected over the course of ureter : medial aspect of the kidney and inferiorly along the tips of the transverse processes. 3. staghorn calculus.
  • 73.
    BLADDER STONES Main causes: 1.urinary stasis (most common) - BOO - bladder diverticulum - neurogenic bladder 2. UTI 3. Migrated renal calculus 4. foreign material left for long - long term urinary catheterisation
  • 74.
    Appear as roundedor oval shaped opacities projected over the lower pelvis near the midline. Often large and may be multiple. Some may have a laminated appearance.
  • 75.
    NEPHROCALCINOSIS Abnormal deposition ofcalcium in the kidney parenchyma. Medulla is far more commonly affected. Usually associated with metabolic disorders. 1. hyperparathyroidism. 2. medullary sponge kidney 3. renal tubular acidosis. Appears as : Generalised Calcium deposition Little clusters corresponding to the medullary pyramids.
  • 76.
    PANCREATIC CALCIFICATION Most commonlya sign of chronic pancreatitis. Most common underlying cause is alcohol abuse. Not visualized in normal patients , retroperitoneal and crosses midline. Appears as irregular clusters or foci of calcification crossing the midline in the mid abdomen. Can take the
  • 77.
    ADRENAL CALCIFICATION Incidental finding. Withprevious adrenal hemorrhage or tuberculosis. Triangular shaped area of irregular calcification in area near upper pole of kidney
  • 78.
    ABDOMINAL AORTIC ANEURYSM CALCIFICATION AnAAA pronounced ‘triple-a’ is abnormal dilatation of the abdominal aorta to >3cm diameter. Normally <2.5cm. When AAA grows to >5.5cm the risk of rupture increases and surgery is recommended. AAA are only seen when : 1. calcification in the wall of the aorta. 2. both sides of the aortic wall must be visualized to diagnose AAA. If only one side is seen bulging , can be tortous. 3. Most (>90%) are infra-renal.
  • 79.
    FETUS 11 weeks tobirth . Very rare since radiation should be avoided in pregancy Look for skeleton within the abdomen. Large circular opacity and a linear array of smaller opacities are seen.
  • 80.
    CALCIFIED COSTAL CARTILAGE Appearpatchy and more dense than the ribs. Typically seen as a continuation of the ribs , curving superiorly and medially.
  • 81.
    PHLEBOLITHS Focal calcifictaions within veins. Small, rounded opacities , sometimes with a lucent centre. If calculi are suspected , unenhanced CT scan .
  • 82.
    CALCIFIED MESENTERIC LYMPH NODE Incidentalfindings. Most in elderly. Secondary to a previous granulomatous infection such as TB. Appear as oval , mottled areas of calcification , usually 5- 15mm in size often in RLQ or central abdomen. Normally appear in clusters of two or more. NOTE : distinguish from renal calculi. 1. mottled appearance
  • 83.
    CALCIFIED UTERINE FIBROID Leiomyomasare benign tumor of myometrial origin. Long standing fibroid may calcify. Appear as rounded calcified structure with ‘splatter like calcification’
  • 84.
    PROSTATE CALCIFICATION Older men. Fine or coarse calcification in the lower pelvis, just below the urinary bladder.
  • 85.
    ABDOMINAL AORTIC CALCIFICATION With normalcaliber. In elderly and diabetic . Indicative of atheromatous processes in the wall of vessel. Linear areas of calcification projected over the midline.
  • 86.
    SPLENIC ARTERY CALCIFICATION Seenprojected over the left upper quadrant and has a distinctive tourtour ‘Chinese dragon’ like appearance.
  • 87.
    PELVIC FRACTURE Three rings: Pelvic ring – paired ilium , ischium and pubic bones along with sacrum Ring of bone surrounding the right obturator foramen Ring of bone surrounding the left obturator foramen If you see a fracture in one part of the ring , look for the second fracture. It is impossible to have a significant fracture in one place
  • 88.
    SCLEROTIC AND LUCENTBONE LESIONS Sclerotic – increased density. Many causes including malignancy. Prostate metastases. Lucent – abnormal area of reduced density. Many causes including mets.
  • 89.
    SPINE PATHOLOGY 1. Vertebralbody height 2. Alignment 3. Pedicles (metastases)
  • 91.
    SOLID ORGAN ENLARGEMENT Eitherby increase in the overall size of one of the solid organs or by a large tumor in the abdomen. Incidental finding as first IOC – ultrasound. Common causes : 1)Solid organ •Hepatomegaly – Riedel’s lobe : inferior , tongue like projection of the right lobe of the liver. Normal variant in 17% population. •Splenomegaly 2) Tumor •Renal masses •Pelvic masses
  • 92.
    RADIOLOGICAL SIGNS : •Largesoft tissue density (light grey)mass •Loops of bowel often displaced by the mass •Location gives a clue RUQ – liver , right kidney LUQ – spleen ,left kidney , fluid filled stomach Lower abdomen – ovaries,uterus , distended urinary bladder.
  • 95.
    CHOLECYSTECTOMY CLIPS Surgical clips, stapes and anastomoses are common findings on an abdominal radiograph and it is important to recognize the differences between them
  • 96.
  • 97.
  • 98.
  • 99.
  • 100.
  • 101.
    URINARY CATHETER Classical positionin the lower pelvis with their tip projected over the position of the urinary bladder. Radio-opaque line along the length of the catheter. The inflated urinary catheter balloon is not visualized as it contains water , which is the same density as the urine.
  • 102.
    SUPRA-PUBIC CATHETER Hollow flexibletube inserted into the urinary bladder via an incision in the anterior abdominal wall. Catheter is seen to enter the bladder from above rather than below.
  • 103.
    NASO-GASTRIC TUBE Plastic tubeinserted through the nose , down the oesphagus and into the stomach. Can be used for short-term feeding , drug administration and aspiration of stomach contents.
  • 104.
    NASO-JEJUNAL TUBE A plastictube similar to NG Tube passes through stomach and duodenum into the jejunum. Used inpatients unable to tolerate feeding into the stomach.
  • 105.
    FLATUS TUBE Long softtube usually inserted into the sigmoid colon with the help of a rigid or flexible sigmoidoscope. It is used to decompress a sigmoid volvulus.
  • 106.
    SURGICAL DRAIN Used todrain / prevent the accumulation of fluid/ blood/ pus from the area of surgery.
  • 107.
    NEPHROSTOMY CATHETER An artificial connection betweenthe skin and renal pelvis ,usually maintained by a drain to allow direct drainage of urine from the kidney.
  • 108.
    PERITONEAL DIALYSIS Placed inthe peritoneal cavity and used to introduce and remove dialysate fluid for patients undergoing peritoneal dialysis. Easily recognized by its large coiled tip.
  • 109.
    GASTRIC BAND DEVICE Inflatablering inserted surgically around the top portion of the stomach. Used as a treatment for obesity by creating a smaller stomach pouch to limit the amount of food that can be consumed at one sitting. The inflatable ring is attached to a small access port placed just under the skin to allow re-adjustment of the
  • 110.
    PEG/ RIG A gastrostomyis a tube passed into the patients stomach through the abdominal wall. Used to provide feeding when oral intake is not adequate or safe. A PEG – endoscopic guidance A RIG – radiological guidance
  • 111.
    STOMA BAG A stomais a surgically created opening in the abdomen to connect bowel with the outside environment. Three main types – ileostomy ,colostomy , urostomy. On a radiograph you may see a dense ring , which is the site of attachment of the stoma bag to the skin around the stoma.
  • 112.
    BILIARY STENT Stent isa tube inserted into a natural passage in the body to improve flow or prevent blockage. Placed between common bile duct and/or hepatic duct and are usually projected just to the right of the midline in the upper abdomen.
  • 113.
  • 114.
  • 115.
  • 116.
    ENDOVASCULAR ANEURYSM REPAIR STENTGRAFT Used to treat AAA. A stent graft is placed in the lumen of the aorta to allow blood to flow and reduce pressure in the aneurysm , preventing rupture.
  • 117.
    IVC FILTER Umbrella likedevice placed in IVC to reduce the risk of large pulmonary emboli. Wires allow blood to flow past and prevent large clots from reaching pulmonary arteries. Often used when anti- coagulation is contraindicated.
  • 118.
    IUCD Small often T shapeddevice which is inserted into the uterus. Long-acting reversible contraception
  • 119.
    PESSARY Medical device inserted intothe vagina to provide structural support or to deliver medication. Come in all shapes and sizes but ring pessary is the most common.
  • 120.
    FOREIGN BODIES • rangeand number of different items are limitless. • don’t be surprised by some of the things people do.
  • 121.
  • 122.
  • 123.
  • 124.
  • 125.
    BODY PACKER •Smuggle illicitdrugs by concealing drugs in their GIT. •Drugs are packed into a balloon, latex glove or condom and swallowed. •Vary from a few to more than 200. •Radiologically : multiple oval or tubular soft tissue opacities , sometimes surrounded by a rim of halo. •Earlier managed by surgical retrieval but high mortality. •Nowadays , conservatively managed by bowel irrigation.
  • 126.
    LUNG BASES •Metastasis : rounded opacities projectedover lung bases •Consolidation : patchy opacification. •Large pleural effusion/ collapse : whiteout
  • 127.