IINNFFEECCTTIIOOUUSS DDIISSEEAASSEESS
Categories of 
INFECTIOUS AGENTS 
• Prions 
• *Viruses 
• Bacteriophages, Plasmids, Transposons 
• *Bacteria 
• Chlamidiae, Rickettsiae, Mycoplasmas 
• *Fungi: Yeasts, Hyphae 
• Parasites: Protozoa, Worms, Arthropods
Classes of Human Pathogens and Their Habitats 
Taxonomic Size 
Site of 
Propagation Sample Species Disease 
Viruses 20–300 nm Obligate intracellular Poliovirus Poliomyelitis 
Chlamydiae 200–1000 nm Obligate intracellular Chlamydia trachomatis Trachoma, urethritis 
Rickettsiae 300–1200 nm Obligate intracellular Rickettsia prowazekii Typhus fever 
Mycoplasmas 125–350 nm Extracellular Mycoplasma pneumoniae Atypical pneumonia 
Bacteria 0.8–15 μm Cutaneous Staphylococcus aureus Wound 
Mucosal Vibrio cholerae Cholera 
Extracellular Streptococcus pneumoniae Pneumonia 
Facultative intracellular Mycobacterium tuberculosis Tuberculosis 
Fungi 2–200 μm Cutaneous Trichophyton sp. Tinea pedis (athlete's foot) 
Mucosal Candida albicans Thrush 
Extracellular Sporothrix schenckii Sporotrichosis 
Facultative intracellular Histoplasma capsulatum Histoplasmosis 
Protozoa 1–50 μm Mucosal Giardia lamblia Giardiasis 
Extracellular Trypanosoma gambiense Sleeping sickness 
Facultative intracellular Trypanosoma cruzi Chagas disease 
Obligate intracellular Leishmania donovani Kala-azar 
Helminths 3 mm–10 m Mucosal Enterobius vermicularis Enterobiasis 
Extracellular Wuchereria bancrofti Filariasis 
Intracellular Trichinella spiralis Trichinosis
PRIONS, “BSE” (Cows), “CJD”, Kuru (Humans) 
NON-Nucleic Acid 
PrP = Prion Protein 
Diagnostic Test
Bovine Spongiform Encephalitis, Creutsfeldt-Jakob Disease
VIRUSES • Less than ½ micron, usually MUCH 
less 
• DNA/RNA “CORE” (genome) 
• Protein “CAPSID” (protein –NA “coat”) 
• Sometimes a lipid “ENVELOPE” 
• Limited number of genes coding for all 
other structures 
•NO consistent naming system
Respiratory 
Adenovirus Adenoviridae DS DNA Upper and lower respiratory tract 
infections, conjunctivitis, diarrhea 
Rhinovirus Picornaviridae SS RNA Upper respiratory tract infection 
Coxsackievirus Picornaviridae SS RNA Pleurodynia, herpangina, hand-foot- 
and-mouth disease, SARS 
Coronavirus Coronaviridae SS RNA Upper respiratory tract infection 
Influenza 
viruses A, B 
Orthomyxoviridae SS RNA Influenza 
Respiratory 
syncytial virus 
Paramyxoviridae SS RNA Bronchiolitis, pneumonia
Digestive 
Mumps virus Paramyxoviridae SS RNA Mumps, pancreatitis, orchitis 
Rotavirus Reoviridae DS RNA Childhood diarrhea 
Norwalk agent Caliciviridae SS RNA Gastroenteritis 
Hepatitis A virus Picornaviridae SS RNA Acute viral hepatitis 
Hepatitis B virus Hepadnaviridae DS DNA Acute or chronic hepatitis 
Hepatitis D virus Viroid-like SS RNA With HBV, acute or chronic 
hepatitis 
Hepatitis C virus Flaviviridae SS RNA Acute or chronic hepatitis 
Hepatitis E virus Norwalk-like SS RNA Enterically transmitted 
hepatitis
Systemic with Skin Eruptions 
RNA Measles (rubeola) 
Measles virus ParamyxoviridaeSS 
RNA German measles (rubella) 
Rubella virus Togaviridae SS 
DNA Erythema infectiosum, 
Parvovirus Parvoviridae SS 
aplastic anemia 
DNA Smallpox vaccine 
Vaccinia virus Poxviridae DS 
DNA Chickenpox, shingles 
Varicella-zoster virus Herpesviridae DS 
DNA "Cold sore" 
Herpes simplex virus 1 Herpesviridae DS 
DNA Genital herpes 
Herpes simplex virus 2 Herpesviridae DS
Systemic with Hematopoietic Disorders 
Cytomegalovirus Herpesviridae DS DNA Cytomegalic inclusion disease 
Epstein-Barr virus Herpesviridae DS DNA Infectious mononucleosis 
HTLV-I Retroviridae SS RNA Adult T-cell leukemia; tropical 
spastic paraparesis 
HIV-1 and HIV-2 Retroviridae SS RNA AIDS 
Arboviral and Hemorrhagic Fevers 
Dengue virus 1–4 Togaviridae SS RNA Dengue, hemorrhagic fever 
Yellow fever virus Togaviridae SS RNA Yellow fever 
Regional hemorrhagic 
fever viruses 
Filoviridae SS RNA Ebola, disease 
Hantavirus SS RNA Korean, pneumonia
Warty Growths 
Papillomavirus Papovaviridae DS DNA Condyloma; cervical carcinoma 
Central Nervous System 
RNA Poliomyelitis 
Poliovirus Picornaviridae SS 
DNA Progressive Multifocal 
JC virus Papovaviridae DS 
Leukoencephalopathy 
(opportunistic) 
Arboviral 
encephalitis 
viruses 
RNA Eastern, Western, 
Togaviridae SS 
Venezuelan, St. Louis
BACTERIOPHAGES 
PLASMIDS 
TRANSPOSONS 
• INFECT BACTERIA, but may 
make a bacteria more difficult 
to treat because it may 
increase its “virulence” 
or its susceptibility to 
antibiotics
BACTERIA • GRAM staining with CRYSTAL VIOLET 
–POSITIVE: THICK wall, ONE phospholipid layer 
–NEGATIVE: THIN wall, TWO phospholipid 
layers 
• SHAPE 
– COCCI (balls) 
– BACILLI (rods) 
• OXYGEN requirements 
– AEROBIC (NEED O2) 
– ANAEROBIC (do NOT NEED O2)
Species Frequent Disease Presentations 
Infections by 
pyogenic cocci 
Staphylococcus aureus, S. 
epidermidis 
Abscess, cellulitis, pneumonia, septicemia 
Streptococcus pyogenes, β- 
hemolytic 
Upper respiratory tract infection, erysipelas, 
scarlet fever, septicemia 
Streptococcus pneumoniae 
(pneumoccoccus) 
Lobar pneumonia, meningitis 
Neisseria meningitidis 
(meningococcus) 
Cerebrospinal meningitis 
Neisseria gonorrhoeae 
(gonococcus) 
Gonorrhea 
Gram-negative 
infections, 
common 
Escherichia coli Urinary tract infection, wound infection, 
abscess, pneumonia, septicemia, 
endotoxemia, endocarditis 
Klebsiella pneumoniae “ 
Enterobacter (Aerobacter) 
“ 
aerogenes 
Proteus spp. (P. mirabilis, P. 
morgagni) 
“ 
Serratia marcescens “ 
Pseudomonas spp. (P. 
“ 
aeruginosa) 
Bacteroides spp. (B. fragilis) Anaerobic infection 
Legionella spp. (L. pneumophila) Legionnaires disease
Contagious childhood 
bacterial diseases 
Haemophilus influenzae Meningitis, upper and lower respiratory 
tract infections 
Bordetella pertussis Whooping cough 
Corynebacterium diphtheriae Diphtheria 
Enteropathic 
infections 
Enteropathogenic E. coli Invasive or noninvasive 
gastroenterocolitis, some with 
septicemia 
Shigella spp. 
Vibrio cholerae 
Campylobacter fetus, C. jejuni 
Yersinia enterocolitica 
Salmonella spp. (1000 strains) 
Salmonella typhi Typhoid fever 
Clostridial infections Clostridium tetani Tetanus (lockjaw) 
Clostridium botulinum Botulism (paralytic food poisoning) 
Clostridium perfringens, C. 
septicum 
Gas gangrene, necrotizing cellulitis 
Clostridium difficile Pseudomembranous colitis
Zoonotic 
bacterial 
infections 
Bacillus anthracis Anthrax (malignant pustule) 
Listeria monocytogenes Listeria meningitis, listeriosis 
Yersinia pestis Bubonic plague 
Francisella tularensis Tularemia 
Brucella melitensis, B. suis, 
Brucellosis (undulant fever) 
B. abortus 
Burkholderia mallei, B. 
pseudomallei 
Glanders, melioidosis 
Leptospira spp. (many 
groups) 
Leptospirosis, Weil disease 
Borrelia recurrentis Relapsing fever 
Borrelia burgdorferi Lyme borreliosis 
Bartonella henselae Cat-scratch disease; bacillary 
angiomatosis 
Spirillum minus, 
Streptobacillus moniliformis 
Rat-bite fever
Human treponemal 
infections 
Treponema pallidum Venereal, endemic syphilis 
(bejel) 
Treponema pertenue Yaws (frambesia) 
Treponema carateum (T. 
herrejoni) 
Pinta (carate, mal pinto) 
Mycobacterial 
infections 
Mycobacterium 
tuberculosis, M. bovis 
(Koch bacillus) 
Tuberculosis 
M. leprae (Hansen 
bacillus) 
Leprosy 
M. kansasii, M. avium, M. 
intracellulare 
Atypical mycobacterial 
infections 
M. ulcerans Buruli ulcer 
Actinomycetaceae Nocardia asteroides Nocardiosis 
Actinomyces israelii Actinomycosis
Chlamydiae 
Rickettsiae 
Mycoplasmas 
• Like Bacteria, but….. 
–NO cell wall (mycoplasma [MANY 
pneumonias]) 
–NO ATP (chlamydia [STD, worldwide 
blindness]) 
–NO life outside a cell (obligate 
intracellular, rickettsiae [RMSF])
FUNGI • YEASTS, HYPHAE 
•CANDIDA, by far, the MOST 
PREVALENT ONE 
• DERMATOPHYTES, (“tinea”), i.e., 
trichophyton, microsporum 
• DEEP FUNGI (GRANULOMAS) 
– HISTOPLASMOSIS 
–BLASTOMYCOSIS 
–COCCIDIOMYCOSIS
YEASTS, HYPHAE
PARASITES 
•PROTOZOA 
• “META”-ZOA 
(HELMINTHS) 
• “ECTO”-PARASITES, 
i.e., ARTHROPODS
PROTOZOA 
SINGLE CELL 
INTESTINAL or BLOOD 
• PLASMODIUM 
(MALARIA) 
• LEISHMANIA 
• ENTAMOEBA 
• TRYPANOSOMA 
• TOXOPLASMA 
• GIARDIA
Species Order Form, Size Disease 
Luminal or Epithelial 
Entamoeba histolytica Amebae Trophozoite 15–20 μm Amebic dysentery; liver abscess 
Balantidium coli Ciliates Trophozoite 50–100 μm Colitis 
Naegleria fowleri Ameboflagellates Trophozoite 10–20 μm Meningoencephalitis 
Acanthamoeba sp. Ameboflagellates Trophozoite 15–30 μm Meningoencephalitis or ophthalmitis 
Giardia lamblia Mastigophora Trophozoite 11–18 μm Diarrheal disease, malabsorption 
Isospora belli Coccidia Oocyst 10–20 μm Chronic enterocolitis or malabsorption or both 
Cryptosporidium sp. Coccidia Oocyst 5–6 μm 
Trichomonas vaginalis Mastigophora Trophozoite 10–30 μm Urethritis, vaginitis 
Bloodstream 
Plasmodium species Hemosporidia Trophozoites, schizonts, 
gametes (all small and inside red 
cells) 
Malaria 
Babesia microti, B. bovis Hemosporidia Trophozoites inside red cells Babesiosis 
Trypanosoma species Hemoflagellates Trypomastigote 14–33 μm African sleeping sickness 
Intracellular 
Trypanosoma cruzi Hemoflagellates Trypomastigote 20 μm Chagas disease 
Leishmania donovani Hemoflagellates Amastigote 2 μm Kala-azar 
Leishmania species Hemoflagellates Amastigote 2 μm Cutaneous and mucocutaneous leishmaniasis 
Toxoplasma gondii Coccidia Tachyzoite 4–6 μm (cyst larger) Toxoplasmosis
HELMINTHS 
(ROUND[nematode]), TAPE[cestode]) 
•Roundworms, Tapeworms 
• Complex Life Cycles: sexual, asexual 
• ROUNDWORMS (nematodes): 
ASCARIS, TOXOCARA (VLM), 
STRONGYLOIDES, ENTEROBIUS 
• TAPE(FLAT)WORMS (cestodes): 
TAENIA (solium vs. saginata), 
DIPHYLLOBOTHRIUM, Hymenolepsis
Ascaris life cycle
ARTHROPODS: 
INSECTS/ARACHNIDS 
• LICE 
• BEDBUGS 
• FLEAS 
• MITES 
• TICKS 
• SPIDERS
CLASS INSECTA 
C 
R 
A 
B 
L 
O 
U 
S 
E 
L 
O 
U 
S 
E 
BEDBUG 
FLEA
CLASS ARACHNIDA 
TICK LARVAL MITE ADULT MITE 
BLACK 
WIDOW 
BROWN 
<--RECLUSE
SCABIES
BARRIERS 
• ALL ANATOMIC MUCOSAL 
POSSIBILITIES 
–SKIN 
–GI 
–RESPIRATORY 
–UROGENITAL
SPREAD 
SAME AS TUMOR? 
•DIRECT EXTENSION 
•LYMPHATICS 
•BLOOD 
•NERVE
RELEASE 
(TRANSMISSION) 
• SKIN SHEDDING 
• COUGHING/SNEEZING 
• URINE 
• FECES 
• BLOOD 
• VECTORS, e.g., insects, “zoonosis” 
• “STDs” (Sexually Transmitted Diseases)
INFECTIVITY, GENERAL 
• AGENT HOST CELL 
• AGENT TOXINS NECROSIS 
• AGENTHOST CELLULAR 
REACTIONDAMAGE/DEATH
INFECTIVITY, VIRAL 
• ATTACHMENT 
• ENTRY 
• TRANSCRIPTION 
• TRANSLATION 
– INCLUSIONS 
–REDUCED HOST CELL FUNCTION 
–CELL INJURY, LYSIS, DEATH 
–LATENCY 
–NEOPLASM?
INFECTIVITY, BACTERIAL 
• ADHERENCE 
• ENTRY 
• TOXINS 
–ENDO, Gram - , bacterial 
components 
–EXO, Gram -/+, secreted 
proteins
IMMUNE EVASION 
• INACCESSIBILITY to host 
defense (Mr. Myagi) 
• VARYING (mutating) antigens 
• SHEDDING antigens 
• RESISTING INNATE (NATURAL) 
immunity 
• IMPAIRING T-CELLS
INFECTIONS 
of IMMUNOSUPPRESSED HOSTS 
• Protozoal/Helminthic: 
Cryptosporidium, PCP 
(Pneumocystis Carinii 
Pneumonia), Toxoplasmosis 
• Fungal: Candida, and the usual 3 
• Bacterial: TB, Nocardia, 
Salmonella 
• Viral: CMV, HSV, VZ
DIAGNOSTIC TECHNIQUES 
• DIRECT PATHOGEN IMAGING 
• GRAM STAIN 
• “SPECIAL” (NOT H&E) STAINS 
• AGAR, e.g., CULTURES 
• TISSUE CULTURE, CPE (CytoPathological 
Effect) 
• ANTIBODIES (SEROLOGY) 
• PCR, POLYMERASE CHAIN REACTION, e.g., 
viral “LOAD”
CELLULAR HOST RESPONSES 
• SUPPURATIVE (NEUTROPHILS, 
PMNs) 
• MONO-NUCLEAR, i.e., 
Lymphocytes, Macrophages (i.e., 
Monocytes), GRANULOMAS 
• FIBROSIS 
• HEMOSIDERIN 
• CALCIFICATION
ACUTE APPENDICITIS
AABBSSCCEESSSS
CCHHRROONNIICC ““MMOONNOONNUUCCLLEEAARR”” 
IINNFFLLAAMMMMAATTIIOONN
GRANULOMA
FIBROSIS
H 
E 
M 
O 
S 
I 
D 
E 
R 
I 
N 
H & E PRUSSIAN BLUE
CCaallcciiffiiccaattiioonn
The 4 Biggies 
•VIRAL 
•BACTERIAL 
•FUNGAL 
•PARASITIC
VIRAL • TRANSIENT, ACUTE, e.g. Measles, 
Mumps, Polio, West Nile 
• CHRONIC LATENT (HERPES 
FAMILY), HSV, CMV, VZ 
• CHRONIC (HEPATITIS), Hep A, B, C 
• “TRANSFORMING” (Epstein-Barr 
EBV, Human Papilloma, HPV)
BACTERIAL 
•Gram+ 
•Gram- 
• MYCO-bacteria 
• SPIROCHETES 
• ANAEROBIC 
• “OBLIGATE” INTRACELLULAR
FUNGAL 
• YEASTS 
–CANDIDA 
–CRYPTOCOCCOSIS 
• MOLDS (HYPHAL) 
–ASPERGILLIS 
–MUCORMYCOSIS (ZYGOMYCOSIS)
PARASITES 
•PROTOZOA (GI, 
BLOOD) 
•METAZOA 
(WORMS)
VIRAL • TRANSIENT, ACUTE 
–Measles: Skin, Lung, GI, Cornea, Brain 
–Mumps: Parotitis, Orchitis, Pancreas, CNS 
–Polio: Myelitis (Anterior horn motor neurons) 
–West Nile (arbo-): Meningoencephalitis
VIRAL •CHRONIC LATENT 
(HERPES FAMILY), HSV, 
CMV, VZ 
–Herpes Simplex Virus 
–CytoMegalo Virus 
–Varicella-Zoster Virus
HSV
BASOPHILIC 
CONGENITAL 
IMMUNOSUPPRESSED 
CMV pneumonia
VZ Virus
VIRAL • CHRONIC (HEPATITIS), Hep. A, B, C 
–A, Mildest, most universal 
–B, Most dangerous in the acute 
phase 
–C, Most common cause of persistent 
transaminitis
NNOORRMMAALL LIVER
ACUTE VIRAL HEPATITIS
VIRAL “TRANSFORMING” 
Epstein-Barr, EBV, lymphoma 
Human Papilloma, HPV, 
cervical cancer (squamous cell)
PHARYNX 
NODES 
SPLEEN 
LIVER 
HETEROPHILE 
MONONUCLEOSIS, caused by EBV
“MALIGNANT” cells on PAP smear, caused by HPV
BACTERIAL 
•Gram+ (Staph, Strep) 
•Gram- (rods) 
• MYCO-bacteria (TB) 
• SPIROCHETES (SYPHILIS) 
• ANAEROBIC (ABSCESSES) 
• “OBLIGATE” INTRACELLULAR
BACTERIAL 
• Gram+ cocci (Staph, 
Strep) 
SKIN 
RESPIRATORY 
TRACT
S 
T 
A 
P 
H
STREP: 
SKIN 
RESPIRATORY 
ERISIPELAS
GRAM POSITIVE 
RODS 
• DIPTHERIA 
• LISTERIA 
• ANTHRAX------ 
• NOCARDIA 
• CLOSTRIDIUM
GRAM NEGATIVE COCCI 
•Neisseria 
–GONORRHEA 
–MENINGITIS
GRAM NEGATIVE RODS 
• Bordetella pertussis 
• Pseudomonas aeruginosa 
• Klebsiela/Aerobacter 
• Yersinia pestis (plague) 
• Hemophilus ducreyi (chancroid) 
•E. COLI
MYCOBACTERIA 
(acid fast) 
•Tuberculosis 
• “Atypical” mycobacteria, the 
most important of which is 
MAC (Mycobacterium Avium 
Intercellulare Complex, in HIV 
patients) 
• Leprosy
MORE ACID-FAST BACILLI, AFB (MAC)
SPIROCHETES 
•SYPHILIS ( 
Treponema pallidum) 
• RELAPSING FEVER (Borrelia 
sp.) 
• LYME DISEASE (Borrelia 
burgdorferi)
SYPHILIS • PRIMARY (CHANCRE) 
• SECONDARY (MANY skin 
manifestations) 
• TERTIARY (GUMMAS, CNS, 
BONE) 
• CONGENITAL
ANAEROBES 
• Clostridium (Gram + bacillus) 
–Cause of many/most cases of “gas” 
gangrene
“OBLIGATE” 
intracellular bacteria 
• Chlamydia trachomatis 
–Conjunctivitis 
–LGV (LymphoGranuloma Venerium) 
– Urethritis 
• Rickettsia (Rocky Mountain Spotted 
Fever, Typhus) 
• Mycoplasma (very common cause of 
pneumonias)
RMSF
FUNGAL 
• YEASTS 
–CANDIDA 
–CRYPTOCOCCOSIS 
• MOLDS (HYPHAL) 
–ASPERGILLIS 
–MUCORMYCOSIS (ZYGOMYCOSIS)
Candida albicans 
• Oral 
• Vaginal 
• Esophageal 
• All of the above are “moist” non-keratinized 
squamous mucosa 
• Immunocompromised, e.g., HIV, 
Diabetes
Budding Yeasts and “PSEUDO” hyphae
Budding cryptococcal yeasts, India ink prep, CSF
MOLDS • Aspergillus 
• Zygomycosis 
(Mucormycosis)
DERMATOPHYTES 
(“TINEAS”) 
(superficial fungi) 
•EPIDERMOPHYTON 
•MICROSPORUM 
•TRICHOPHYTON
SIGNIFICANT FUNGI 
(deep) 
• HISTOPLASMOSIS 
• BLASTOMYCOSIS 
• COCCIDIOMYCOSIS
PROTOZOA 
• MALARIA (Plasmodium sp., of which 
falciparum is the most serius) 
• Babesiosis, transmitted by deer tick 
• Leishmaniasis 
• Trypanosomiasis (sleeping sickness) 
• Chagas disease (also a trypanosome) 
• Entamoeba histolytica
GAMETOCYTES 
Are COMMON 
And SAUSAGE 
shaped
SCHUFFNER 
‘S 
DOTS
Affected RBC’s are NOT enlarged 
NO SCHUFFNER’s DOTS
SCHUFFNER‘S 
DOTS 
“comets”
TRYPANOSOMIASIS
METAZOA 
(ROUNDworms/FLATworms) 
• Strongyloides (microscopic 
roundworm) 
• Tapeworms (Beef, Pork, flatworm) 
• Trichinosis (larva in skeletal muscle) 
• Schistosomiasis (bladder cancer) 
• Filariasis (elephantiasis) 
• VERY OFTEN, COMPLEX LIFE CYCLES
Ascaris life cycle
8 infectious

8 infectious

  • 1.
  • 2.
    Categories of INFECTIOUSAGENTS • Prions • *Viruses • Bacteriophages, Plasmids, Transposons • *Bacteria • Chlamidiae, Rickettsiae, Mycoplasmas • *Fungi: Yeasts, Hyphae • Parasites: Protozoa, Worms, Arthropods
  • 3.
    Classes of HumanPathogens and Their Habitats Taxonomic Size Site of Propagation Sample Species Disease Viruses 20–300 nm Obligate intracellular Poliovirus Poliomyelitis Chlamydiae 200–1000 nm Obligate intracellular Chlamydia trachomatis Trachoma, urethritis Rickettsiae 300–1200 nm Obligate intracellular Rickettsia prowazekii Typhus fever Mycoplasmas 125–350 nm Extracellular Mycoplasma pneumoniae Atypical pneumonia Bacteria 0.8–15 μm Cutaneous Staphylococcus aureus Wound Mucosal Vibrio cholerae Cholera Extracellular Streptococcus pneumoniae Pneumonia Facultative intracellular Mycobacterium tuberculosis Tuberculosis Fungi 2–200 μm Cutaneous Trichophyton sp. Tinea pedis (athlete's foot) Mucosal Candida albicans Thrush Extracellular Sporothrix schenckii Sporotrichosis Facultative intracellular Histoplasma capsulatum Histoplasmosis Protozoa 1–50 μm Mucosal Giardia lamblia Giardiasis Extracellular Trypanosoma gambiense Sleeping sickness Facultative intracellular Trypanosoma cruzi Chagas disease Obligate intracellular Leishmania donovani Kala-azar Helminths 3 mm–10 m Mucosal Enterobius vermicularis Enterobiasis Extracellular Wuchereria bancrofti Filariasis Intracellular Trichinella spiralis Trichinosis
  • 4.
    PRIONS, “BSE” (Cows),“CJD”, Kuru (Humans) NON-Nucleic Acid PrP = Prion Protein Diagnostic Test
  • 5.
    Bovine Spongiform Encephalitis,Creutsfeldt-Jakob Disease
  • 6.
    VIRUSES • Lessthan ½ micron, usually MUCH less • DNA/RNA “CORE” (genome) • Protein “CAPSID” (protein –NA “coat”) • Sometimes a lipid “ENVELOPE” • Limited number of genes coding for all other structures •NO consistent naming system
  • 7.
    Respiratory Adenovirus AdenoviridaeDS DNA Upper and lower respiratory tract infections, conjunctivitis, diarrhea Rhinovirus Picornaviridae SS RNA Upper respiratory tract infection Coxsackievirus Picornaviridae SS RNA Pleurodynia, herpangina, hand-foot- and-mouth disease, SARS Coronavirus Coronaviridae SS RNA Upper respiratory tract infection Influenza viruses A, B Orthomyxoviridae SS RNA Influenza Respiratory syncytial virus Paramyxoviridae SS RNA Bronchiolitis, pneumonia
  • 8.
    Digestive Mumps virusParamyxoviridae SS RNA Mumps, pancreatitis, orchitis Rotavirus Reoviridae DS RNA Childhood diarrhea Norwalk agent Caliciviridae SS RNA Gastroenteritis Hepatitis A virus Picornaviridae SS RNA Acute viral hepatitis Hepatitis B virus Hepadnaviridae DS DNA Acute or chronic hepatitis Hepatitis D virus Viroid-like SS RNA With HBV, acute or chronic hepatitis Hepatitis C virus Flaviviridae SS RNA Acute or chronic hepatitis Hepatitis E virus Norwalk-like SS RNA Enterically transmitted hepatitis
  • 9.
    Systemic with SkinEruptions RNA Measles (rubeola) Measles virus ParamyxoviridaeSS RNA German measles (rubella) Rubella virus Togaviridae SS DNA Erythema infectiosum, Parvovirus Parvoviridae SS aplastic anemia DNA Smallpox vaccine Vaccinia virus Poxviridae DS DNA Chickenpox, shingles Varicella-zoster virus Herpesviridae DS DNA "Cold sore" Herpes simplex virus 1 Herpesviridae DS DNA Genital herpes Herpes simplex virus 2 Herpesviridae DS
  • 10.
    Systemic with HematopoieticDisorders Cytomegalovirus Herpesviridae DS DNA Cytomegalic inclusion disease Epstein-Barr virus Herpesviridae DS DNA Infectious mononucleosis HTLV-I Retroviridae SS RNA Adult T-cell leukemia; tropical spastic paraparesis HIV-1 and HIV-2 Retroviridae SS RNA AIDS Arboviral and Hemorrhagic Fevers Dengue virus 1–4 Togaviridae SS RNA Dengue, hemorrhagic fever Yellow fever virus Togaviridae SS RNA Yellow fever Regional hemorrhagic fever viruses Filoviridae SS RNA Ebola, disease Hantavirus SS RNA Korean, pneumonia
  • 11.
    Warty Growths PapillomavirusPapovaviridae DS DNA Condyloma; cervical carcinoma Central Nervous System RNA Poliomyelitis Poliovirus Picornaviridae SS DNA Progressive Multifocal JC virus Papovaviridae DS Leukoencephalopathy (opportunistic) Arboviral encephalitis viruses RNA Eastern, Western, Togaviridae SS Venezuelan, St. Louis
  • 12.
    BACTERIOPHAGES PLASMIDS TRANSPOSONS • INFECT BACTERIA, but may make a bacteria more difficult to treat because it may increase its “virulence” or its susceptibility to antibiotics
  • 13.
    BACTERIA • GRAMstaining with CRYSTAL VIOLET –POSITIVE: THICK wall, ONE phospholipid layer –NEGATIVE: THIN wall, TWO phospholipid layers • SHAPE – COCCI (balls) – BACILLI (rods) • OXYGEN requirements – AEROBIC (NEED O2) – ANAEROBIC (do NOT NEED O2)
  • 14.
    Species Frequent DiseasePresentations Infections by pyogenic cocci Staphylococcus aureus, S. epidermidis Abscess, cellulitis, pneumonia, septicemia Streptococcus pyogenes, β- hemolytic Upper respiratory tract infection, erysipelas, scarlet fever, septicemia Streptococcus pneumoniae (pneumoccoccus) Lobar pneumonia, meningitis Neisseria meningitidis (meningococcus) Cerebrospinal meningitis Neisseria gonorrhoeae (gonococcus) Gonorrhea Gram-negative infections, common Escherichia coli Urinary tract infection, wound infection, abscess, pneumonia, septicemia, endotoxemia, endocarditis Klebsiella pneumoniae “ Enterobacter (Aerobacter) “ aerogenes Proteus spp. (P. mirabilis, P. morgagni) “ Serratia marcescens “ Pseudomonas spp. (P. “ aeruginosa) Bacteroides spp. (B. fragilis) Anaerobic infection Legionella spp. (L. pneumophila) Legionnaires disease
  • 15.
    Contagious childhood bacterialdiseases Haemophilus influenzae Meningitis, upper and lower respiratory tract infections Bordetella pertussis Whooping cough Corynebacterium diphtheriae Diphtheria Enteropathic infections Enteropathogenic E. coli Invasive or noninvasive gastroenterocolitis, some with septicemia Shigella spp. Vibrio cholerae Campylobacter fetus, C. jejuni Yersinia enterocolitica Salmonella spp. (1000 strains) Salmonella typhi Typhoid fever Clostridial infections Clostridium tetani Tetanus (lockjaw) Clostridium botulinum Botulism (paralytic food poisoning) Clostridium perfringens, C. septicum Gas gangrene, necrotizing cellulitis Clostridium difficile Pseudomembranous colitis
  • 16.
    Zoonotic bacterial infections Bacillus anthracis Anthrax (malignant pustule) Listeria monocytogenes Listeria meningitis, listeriosis Yersinia pestis Bubonic plague Francisella tularensis Tularemia Brucella melitensis, B. suis, Brucellosis (undulant fever) B. abortus Burkholderia mallei, B. pseudomallei Glanders, melioidosis Leptospira spp. (many groups) Leptospirosis, Weil disease Borrelia recurrentis Relapsing fever Borrelia burgdorferi Lyme borreliosis Bartonella henselae Cat-scratch disease; bacillary angiomatosis Spirillum minus, Streptobacillus moniliformis Rat-bite fever
  • 17.
    Human treponemal infections Treponema pallidum Venereal, endemic syphilis (bejel) Treponema pertenue Yaws (frambesia) Treponema carateum (T. herrejoni) Pinta (carate, mal pinto) Mycobacterial infections Mycobacterium tuberculosis, M. bovis (Koch bacillus) Tuberculosis M. leprae (Hansen bacillus) Leprosy M. kansasii, M. avium, M. intracellulare Atypical mycobacterial infections M. ulcerans Buruli ulcer Actinomycetaceae Nocardia asteroides Nocardiosis Actinomyces israelii Actinomycosis
  • 19.
    Chlamydiae Rickettsiae Mycoplasmas • Like Bacteria, but….. –NO cell wall (mycoplasma [MANY pneumonias]) –NO ATP (chlamydia [STD, worldwide blindness]) –NO life outside a cell (obligate intracellular, rickettsiae [RMSF])
  • 20.
    FUNGI • YEASTS,HYPHAE •CANDIDA, by far, the MOST PREVALENT ONE • DERMATOPHYTES, (“tinea”), i.e., trichophyton, microsporum • DEEP FUNGI (GRANULOMAS) – HISTOPLASMOSIS –BLASTOMYCOSIS –COCCIDIOMYCOSIS
  • 21.
  • 22.
    PARASITES •PROTOZOA •“META”-ZOA (HELMINTHS) • “ECTO”-PARASITES, i.e., ARTHROPODS
  • 23.
    PROTOZOA SINGLE CELL INTESTINAL or BLOOD • PLASMODIUM (MALARIA) • LEISHMANIA • ENTAMOEBA • TRYPANOSOMA • TOXOPLASMA • GIARDIA
  • 24.
    Species Order Form,Size Disease Luminal or Epithelial Entamoeba histolytica Amebae Trophozoite 15–20 μm Amebic dysentery; liver abscess Balantidium coli Ciliates Trophozoite 50–100 μm Colitis Naegleria fowleri Ameboflagellates Trophozoite 10–20 μm Meningoencephalitis Acanthamoeba sp. Ameboflagellates Trophozoite 15–30 μm Meningoencephalitis or ophthalmitis Giardia lamblia Mastigophora Trophozoite 11–18 μm Diarrheal disease, malabsorption Isospora belli Coccidia Oocyst 10–20 μm Chronic enterocolitis or malabsorption or both Cryptosporidium sp. Coccidia Oocyst 5–6 μm Trichomonas vaginalis Mastigophora Trophozoite 10–30 μm Urethritis, vaginitis Bloodstream Plasmodium species Hemosporidia Trophozoites, schizonts, gametes (all small and inside red cells) Malaria Babesia microti, B. bovis Hemosporidia Trophozoites inside red cells Babesiosis Trypanosoma species Hemoflagellates Trypomastigote 14–33 μm African sleeping sickness Intracellular Trypanosoma cruzi Hemoflagellates Trypomastigote 20 μm Chagas disease Leishmania donovani Hemoflagellates Amastigote 2 μm Kala-azar Leishmania species Hemoflagellates Amastigote 2 μm Cutaneous and mucocutaneous leishmaniasis Toxoplasma gondii Coccidia Tachyzoite 4–6 μm (cyst larger) Toxoplasmosis
  • 25.
    HELMINTHS (ROUND[nematode]), TAPE[cestode]) •Roundworms, Tapeworms • Complex Life Cycles: sexual, asexual • ROUNDWORMS (nematodes): ASCARIS, TOXOCARA (VLM), STRONGYLOIDES, ENTEROBIUS • TAPE(FLAT)WORMS (cestodes): TAENIA (solium vs. saginata), DIPHYLLOBOTHRIUM, Hymenolepsis
  • 27.
  • 30.
    ARTHROPODS: INSECTS/ARACHNIDS •LICE • BEDBUGS • FLEAS • MITES • TICKS • SPIDERS
  • 31.
    CLASS INSECTA C R A B L O U S E L O U S E BEDBUG FLEA
  • 32.
    CLASS ARACHNIDA TICKLARVAL MITE ADULT MITE BLACK WIDOW BROWN <--RECLUSE
  • 33.
  • 34.
    BARRIERS • ALLANATOMIC MUCOSAL POSSIBILITIES –SKIN –GI –RESPIRATORY –UROGENITAL
  • 35.
    SPREAD SAME ASTUMOR? •DIRECT EXTENSION •LYMPHATICS •BLOOD •NERVE
  • 36.
    RELEASE (TRANSMISSION) •SKIN SHEDDING • COUGHING/SNEEZING • URINE • FECES • BLOOD • VECTORS, e.g., insects, “zoonosis” • “STDs” (Sexually Transmitted Diseases)
  • 37.
    INFECTIVITY, GENERAL •AGENT HOST CELL • AGENT TOXINS NECROSIS • AGENTHOST CELLULAR REACTIONDAMAGE/DEATH
  • 38.
    INFECTIVITY, VIRAL •ATTACHMENT • ENTRY • TRANSCRIPTION • TRANSLATION – INCLUSIONS –REDUCED HOST CELL FUNCTION –CELL INJURY, LYSIS, DEATH –LATENCY –NEOPLASM?
  • 39.
    INFECTIVITY, BACTERIAL •ADHERENCE • ENTRY • TOXINS –ENDO, Gram - , bacterial components –EXO, Gram -/+, secreted proteins
  • 40.
    IMMUNE EVASION •INACCESSIBILITY to host defense (Mr. Myagi) • VARYING (mutating) antigens • SHEDDING antigens • RESISTING INNATE (NATURAL) immunity • IMPAIRING T-CELLS
  • 41.
    INFECTIONS of IMMUNOSUPPRESSEDHOSTS • Protozoal/Helminthic: Cryptosporidium, PCP (Pneumocystis Carinii Pneumonia), Toxoplasmosis • Fungal: Candida, and the usual 3 • Bacterial: TB, Nocardia, Salmonella • Viral: CMV, HSV, VZ
  • 42.
    DIAGNOSTIC TECHNIQUES •DIRECT PATHOGEN IMAGING • GRAM STAIN • “SPECIAL” (NOT H&E) STAINS • AGAR, e.g., CULTURES • TISSUE CULTURE, CPE (CytoPathological Effect) • ANTIBODIES (SEROLOGY) • PCR, POLYMERASE CHAIN REACTION, e.g., viral “LOAD”
  • 43.
    CELLULAR HOST RESPONSES • SUPPURATIVE (NEUTROPHILS, PMNs) • MONO-NUCLEAR, i.e., Lymphocytes, Macrophages (i.e., Monocytes), GRANULOMAS • FIBROSIS • HEMOSIDERIN • CALCIFICATION
  • 44.
  • 45.
  • 46.
  • 47.
  • 48.
  • 49.
    H E M O S I D E R I N H & E PRUSSIAN BLUE
  • 50.
  • 51.
    The 4 Biggies •VIRAL •BACTERIAL •FUNGAL •PARASITIC
  • 52.
    VIRAL • TRANSIENT,ACUTE, e.g. Measles, Mumps, Polio, West Nile • CHRONIC LATENT (HERPES FAMILY), HSV, CMV, VZ • CHRONIC (HEPATITIS), Hep A, B, C • “TRANSFORMING” (Epstein-Barr EBV, Human Papilloma, HPV)
  • 53.
    BACTERIAL •Gram+ •Gram- • MYCO-bacteria • SPIROCHETES • ANAEROBIC • “OBLIGATE” INTRACELLULAR
  • 54.
    FUNGAL • YEASTS –CANDIDA –CRYPTOCOCCOSIS • MOLDS (HYPHAL) –ASPERGILLIS –MUCORMYCOSIS (ZYGOMYCOSIS)
  • 55.
    PARASITES •PROTOZOA (GI, BLOOD) •METAZOA (WORMS)
  • 56.
    VIRAL • TRANSIENT,ACUTE –Measles: Skin, Lung, GI, Cornea, Brain –Mumps: Parotitis, Orchitis, Pancreas, CNS –Polio: Myelitis (Anterior horn motor neurons) –West Nile (arbo-): Meningoencephalitis
  • 61.
    VIRAL •CHRONIC LATENT (HERPES FAMILY), HSV, CMV, VZ –Herpes Simplex Virus –CytoMegalo Virus –Varicella-Zoster Virus
  • 62.
  • 63.
  • 64.
  • 65.
    VIRAL • CHRONIC(HEPATITIS), Hep. A, B, C –A, Mildest, most universal –B, Most dangerous in the acute phase –C, Most common cause of persistent transaminitis
  • 66.
  • 67.
  • 68.
    VIRAL “TRANSFORMING” Epstein-Barr,EBV, lymphoma Human Papilloma, HPV, cervical cancer (squamous cell)
  • 69.
    PHARYNX NODES SPLEEN LIVER HETEROPHILE MONONUCLEOSIS, caused by EBV
  • 70.
    “MALIGNANT” cells onPAP smear, caused by HPV
  • 71.
    BACTERIAL •Gram+ (Staph,Strep) •Gram- (rods) • MYCO-bacteria (TB) • SPIROCHETES (SYPHILIS) • ANAEROBIC (ABSCESSES) • “OBLIGATE” INTRACELLULAR
  • 72.
    BACTERIAL • Gram+cocci (Staph, Strep) SKIN RESPIRATORY TRACT
  • 73.
    S T A P H
  • 74.
  • 75.
    GRAM POSITIVE RODS • DIPTHERIA • LISTERIA • ANTHRAX------ • NOCARDIA • CLOSTRIDIUM
  • 76.
    GRAM NEGATIVE COCCI •Neisseria –GONORRHEA –MENINGITIS
  • 78.
    GRAM NEGATIVE RODS • Bordetella pertussis • Pseudomonas aeruginosa • Klebsiela/Aerobacter • Yersinia pestis (plague) • Hemophilus ducreyi (chancroid) •E. COLI
  • 79.
    MYCOBACTERIA (acid fast) •Tuberculosis • “Atypical” mycobacteria, the most important of which is MAC (Mycobacterium Avium Intercellulare Complex, in HIV patients) • Leprosy
  • 81.
  • 82.
    SPIROCHETES •SYPHILIS ( Treponema pallidum) • RELAPSING FEVER (Borrelia sp.) • LYME DISEASE (Borrelia burgdorferi)
  • 83.
    SYPHILIS • PRIMARY(CHANCRE) • SECONDARY (MANY skin manifestations) • TERTIARY (GUMMAS, CNS, BONE) • CONGENITAL
  • 84.
    ANAEROBES • Clostridium(Gram + bacillus) –Cause of many/most cases of “gas” gangrene
  • 85.
    “OBLIGATE” intracellular bacteria • Chlamydia trachomatis –Conjunctivitis –LGV (LymphoGranuloma Venerium) – Urethritis • Rickettsia (Rocky Mountain Spotted Fever, Typhus) • Mycoplasma (very common cause of pneumonias)
  • 87.
  • 88.
    FUNGAL • YEASTS –CANDIDA –CRYPTOCOCCOSIS • MOLDS (HYPHAL) –ASPERGILLIS –MUCORMYCOSIS (ZYGOMYCOSIS)
  • 89.
    Candida albicans •Oral • Vaginal • Esophageal • All of the above are “moist” non-keratinized squamous mucosa • Immunocompromised, e.g., HIV, Diabetes
  • 90.
    Budding Yeasts and“PSEUDO” hyphae
  • 91.
    Budding cryptococcal yeasts,India ink prep, CSF
  • 92.
    MOLDS • Aspergillus • Zygomycosis (Mucormycosis)
  • 93.
    DERMATOPHYTES (“TINEAS”) (superficialfungi) •EPIDERMOPHYTON •MICROSPORUM •TRICHOPHYTON
  • 100.
    SIGNIFICANT FUNGI (deep) • HISTOPLASMOSIS • BLASTOMYCOSIS • COCCIDIOMYCOSIS
  • 102.
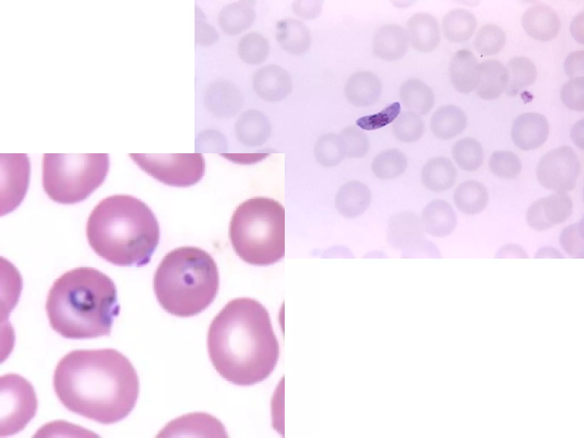
    PROTOZOA • MALARIA(Plasmodium sp., of which falciparum is the most serius) • Babesiosis, transmitted by deer tick • Leishmaniasis • Trypanosomiasis (sleeping sickness) • Chagas disease (also a trypanosome) • Entamoeba histolytica
  • 106.
    GAMETOCYTES Are COMMON And SAUSAGE shaped
  • 107.
  • 108.
    Affected RBC’s areNOT enlarged NO SCHUFFNER’s DOTS
  • 109.
  • 110.
  • 111.
    METAZOA (ROUNDworms/FLATworms) •Strongyloides (microscopic roundworm) • Tapeworms (Beef, Pork, flatworm) • Trichinosis (larva in skeletal muscle) • Schistosomiasis (bladder cancer) • Filariasis (elephantiasis) • VERY OFTEN, COMPLEX LIFE CYCLES
  • 112.

Editor's Notes

  • #5 Interest in “infectious” diseases caused by prions, i.e., NON-nucleic acid infectious agents, seems to be growing rapidly. PrP, also called prion related protein, or protease resistant protein, is the infectious substance, and discovering it led to a Noble Prize in 1997. PRI-ON itself Stands for PRO-teinaceous IN-fectious particle
  • #6 BSE, or “Mad Cow” diease is the animal counterpart to human CJD or Creutsfeld-Jakob Disease, also commonly called Jakob-Creutsfeld Disease. Vacoulization (sponginess) of CNS tissue is the consistent diagnostic finding (identify the vacuoles).
  • #7 Nucleic acid “core”, capsid, envelope are the three common features of all viruses.
  • #13 These primitive organisms are not often implicated in human diseases DIRECTLY, but indirectly.
  • #19 Gram + bacilli (rods) and Gram – cocci Remember the exception rule: Cocci are Gram+ EXCEPT for neisseria. Bacilli are Gram- EXCEPT for Bacillus (anthracis), Cornyebacterium, Clostridium, Lactobacillus, Listeria, Propionibacterium (acne) (ABCCLLP)
  • #20 The OBLIGATE intracellular organisms, because they are obliged to live IN human cells to survive. They have no cell walls, and no mitochondria, and therefore no ATP.
  • #21 Fungi occur in tissues
  • #23 ONE celled parasites are (Proto-zoans), multi-celled parasites (META-zoan) are worms (i.e., helminths) and arthropods
  • #26 Classical (top 4) human helminth diseases
  • #28 Ascaris life cycle
  • #29 Taenia solium (cysticercosis) life cycle
  • #30 T solium, T saginata, D latum, H nana,
  • #36 Infectious agents spread geographically in the body exactly via the same routes which tumor cells do.
  • #38 An infectious “agent” can attack a host cell directly, damage a host cell by its toxins, or by creating a host inflammatory response which damages host tissues
  • #41 Main concepts of an infectious agent’s immune evasion.
  • #42 By no surprise the common infections in immunosuppressed hosts theoretitally, parallels the common opportunistic infections seen in AIDS patients.
  • #43 Common diagnostic techniques for identifying infectious agents.
  • #44 The spectrum pattern of host responses parallels the entire spectrum of ALL inflammatory morphologies.
  • #48 Granulomatous reactions are commonly seen with mycobacteria, fungi, sarcoid, foreign bodies, and rarely with almost anything.
  • #53 Four types of viral infections: 1) Transient acute, 2) Chronic latent, 3) Chronic, 4) Transforming. There is no consistent uniformity for viral taxonomy, so viral diseases can be classified according to their severity and/or abruptness of clinical expressions.
  • #54 The common types of bacteria which infect humans. This is not at all a totally logical classification.
  • #55 Morphologic types of fungi: yeasts and mold, independent of whether they are superficial, deep, or systemic
  • #56 Protozoans are single celled organisms. Although metazoans technically are any multicellular organisms, they are often generally used synonymously with the word “worms”.
  • #57 Classical viral infections which are TRANSIENT and ACUTE
  • #58 Measles “giant” cell in measles pneumonia. The measles virus is a highly contagious airborne pathogen which spreads primarily via the respiratory system. The virus is transmitted in respiratory secretions, and can be passed from person to person via aerosol droplets containing virus particles, such as those produced by a coughing patient. Once transmission occurs, the virus infects the epithelial cells of its new host, and may also replicate in the urinary tract, lymphatic system, conjunctivae, blood vessels, and central nervous system
  • #59 Parotitis, orchitis.
  • #60 Poliovirus enters the body through the mouth, infecting the first cells it comes in contact with—the pharynx (throat) and intestinal mucosa. It gains entry by binding to a immunoglobulin-like receptor, known as the poliovirus receptor or CD155, on the cell surface.[26] The virus then hijacks the host cell&amp;apos;s own machinery, and begins to replicate. Poliovirus divides within gastrointestinal cells for about a week, from where it spreads to the tonsils (specifically the follicular dendritic cells residing within the tonsilar germinal centers), the intestinal lymph nodes including the M cells of Peyer&amp;apos;s patches, and the deep cervical and mesenteric lymph nodes, where it multiplies abundantly. The virus is subsequently absorbed into the bloodstream
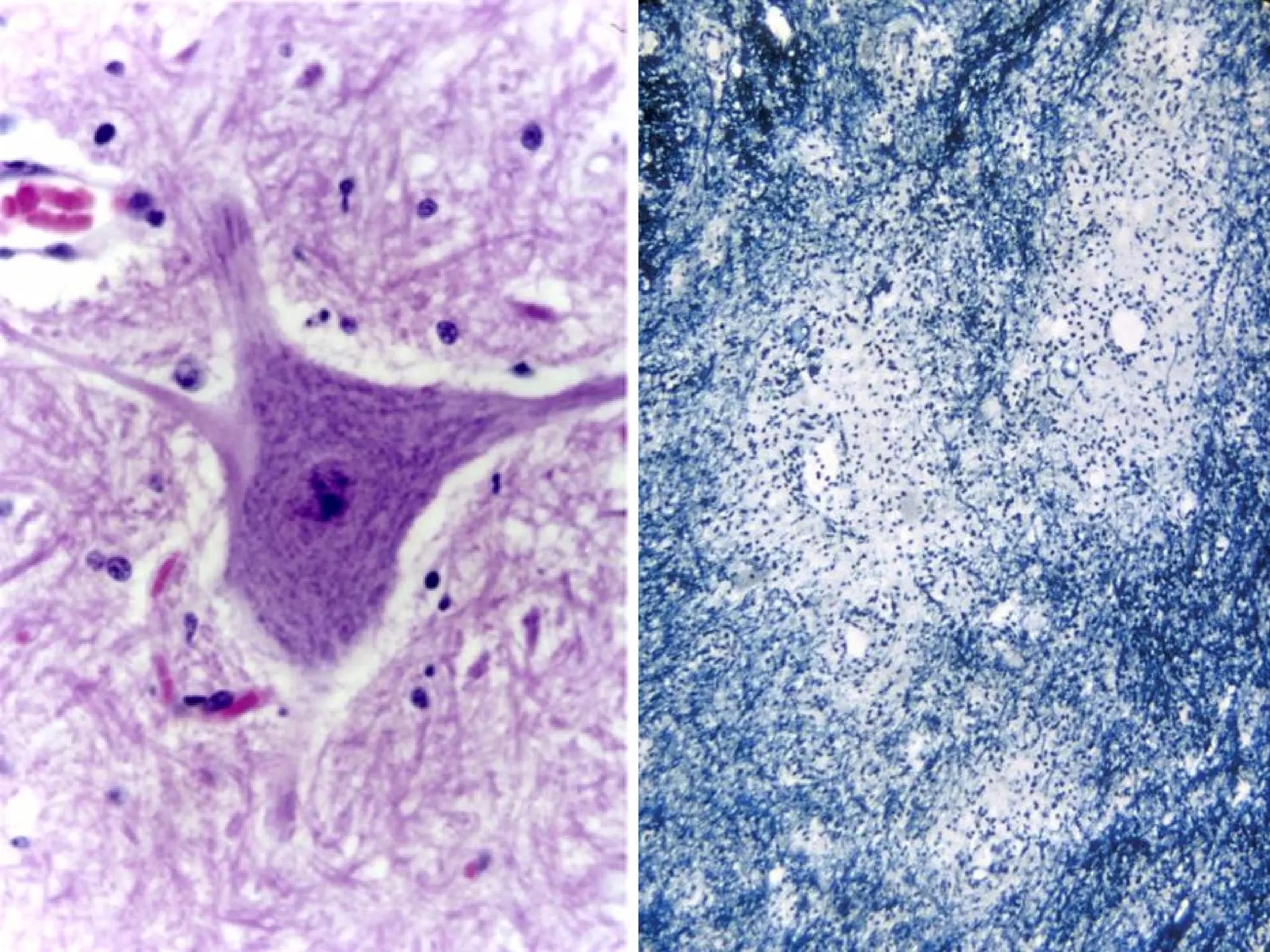
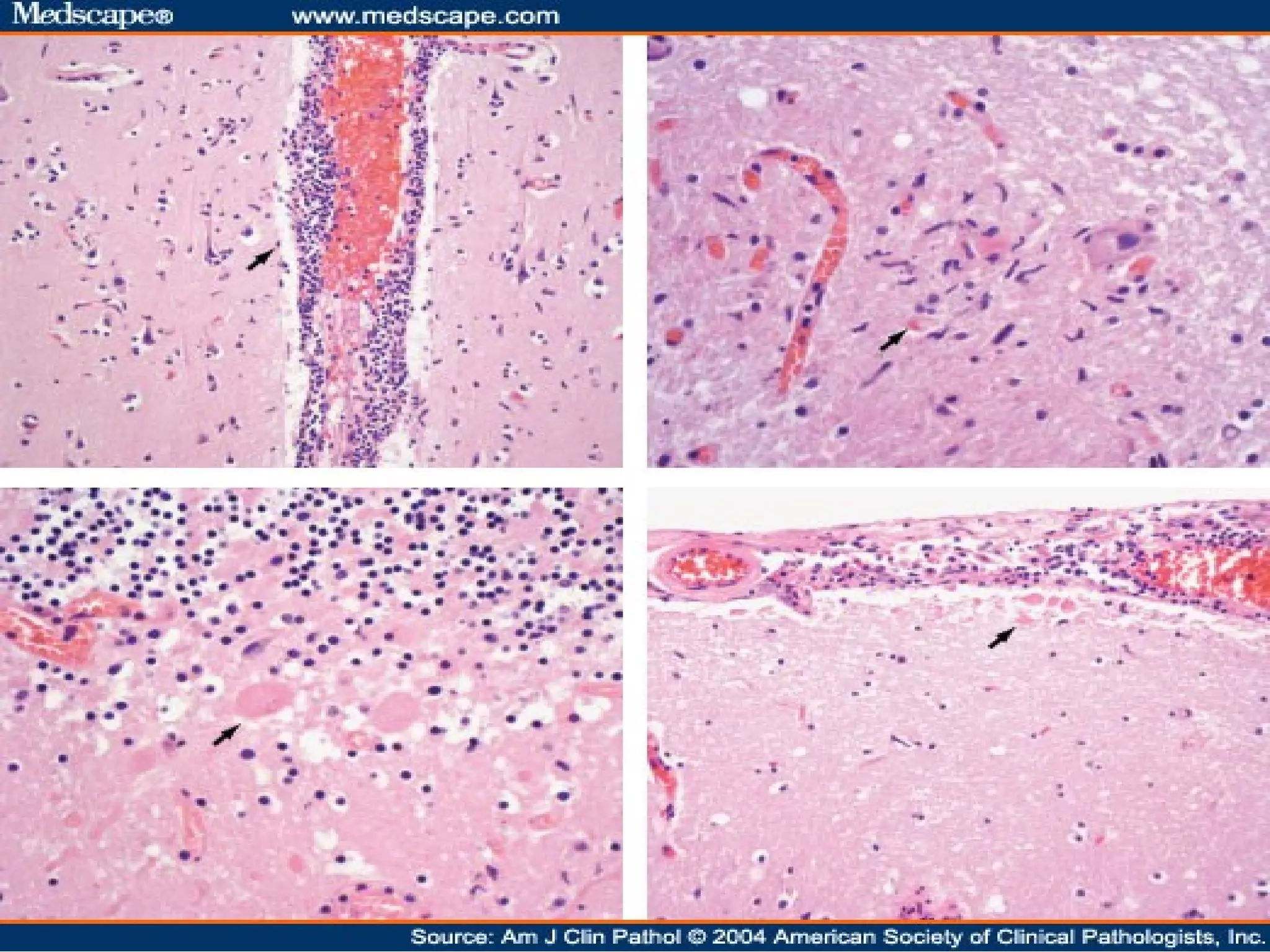
  • #61 Lymphocytic infiltrates in the “Virchow-Robbins” space IS classic for encephalitis.
  • #62 The viruses in the Herpes/CMV family are CHRONIC and LATENT, often recurrent, and often travel along nerves and involve skin.
  • #66 The hepatitis viruses are classifies as chronic
  • #68 The arrowed “Councilman” bodies are rather diagnostic of viral (B) hepatitis. The inflammatory pattern is periportal at first but can soon become PAN-lobular. Chronic hepatitis is chiefly periportal.
  • #69 Transforming viruses cause tumors.
  • #70 “Mono” is severe pharyngitism, adenopathy, splenomegaly, and hepatitis. The classical “mono” cells are really lymphocytes, and “heterophile” antibodies are fairly diagnostic.
  • #71 Bridging the gap between infection and neoplasms, HPV viruses cause squamous cell cancer of the cervix.
  • #72 Gram + bacilli (rods) and Gram – cocci Remember the exception rule: Cocci are Gram+ EXCEPT for neisseria. Bacilli are Gram- EXCEPT for Bacillus (anthracis), Cornyebacterium, Clostridium, Lactobacillus, Listeria, Propionibacterium (acne) (ABCCLLP)
  • #75 A strep infection in immunocompromised hosts, often the very old and very young.
  • #80 “MAC” is the most common and serious “atypical” mycobacterium, seen very often in AIDS patients.
  • #81 Necrotizing (i.e., caseating) granulomas filled with acid fast bacilli. This is CLASSIC for TB.
  • #82 The acid fast stain for acid fast bacteria is also called the Ziel-Neilseon stain, or simply AFB stain
  • #87 A leading cause of worlwide blindness, this keratoconjunctivitis affects 400 million people world wide.
  • #88 The agent of RMSF is an obligate intracellular Rickettsia rickettsii organism carried by the tick Dermacentor andersoni, evoking microvasculitis and thrombosis of small vessels. Other rickettsia cause typhus.
  • #89 Yeasts are balls, hyphae are long cylindrically shaped structures, often arising from yeasts
  • #90 Without a doubt, by far, the most common and ubiquitous of all fungal agents.
  • #91 Classical patterns of Candida, budding yeasts and PSEUDO-hyphae, staining very RED with the PAS stain and many others. The upper photo of budding yeasts could be from a culture because it has no tissue in it.
  • #93 Both of these “mold” diseases can cause human diseases often in immunocompromised hosts.
  • #94 Submit this to memory.
  • #95 Ringworm of scalp
  • #96 Tinea barbae
  • #97 Ringworm
  • #98 Tinea cruris, or jock itch
  • #99 Athlete’s foot, or tinea pedis
  • #100 Onychomycosis
  • #101 These usually evoke granulomatous reactions in tissues. Histoplasmosis organisms are very small and often pack histiocytes, blastomycosis and coccidiomycosis are much larger round balls.
  • #103 These should all be recognized as protozoal diseases.
  • #104 Anopheles species mosquito of malaria
  • #106 The various types of malaria are differntiated by the appearance of the RBCs and the forms of the parasites in them. Plasmodium falciparum is potentially the most deadly, and is gives rise to “blackwater fever”, i.e., marked hemoglobinuria and renal failure. Gametocytes (upper) are common to be seen in falciparum.
  • #111 This is a very serious concern in Africa, in which the bite of the tsetse fly transmits the protozoan. This is a classical diagnostic appearance on a routine blood smear. South American trypanosomiasis is called “Chagas” disease.
  • #113 Ascaris life cycle
  • #114 Taenia solium (cysticercosis) life cycle