23
     Microbial Diseases of the Cardiovascular
     and Lymphatic Systems
The Cardiovascular System
and Lymphatics System
 Blood: Transports nutrients to and wastes from
  cells.
 WBCs: Defend against infection.
 Lymphatics: Transport interstitial fluid to blood.
 Lymph nodes: Contain fixed macrophages.
The Lymphatic System




                       Figure 23.2
Sepsis and Septic Shock
 Sepsis: Bacteria
  growing in the blood
 Severe sepsis:
  Decrease in blood
  pressure
 Septic shock: Low
  blood pressure cannot
  be controlled



                          Figure 23.3
Sepsis
 Gram-negative sepsis
   Endotoxins caused blood pressure decrease.
   Antibiotics can worsen condition by killing bacteria.
 Gram-positive sepsis
   Nosocomial infections
        Staphylococcus aureus
        Streptococcus pyogenes
        Group B streptococcus
        Enterococcus faecium and E. faecalis
Sepsis
 Puerperal sepsis (childbirth fever)
   Streptococcus pyogenes
   Transmitted to mother during childbirth by attending
    physicians and midwives.
Bacterial Infections of the
 Heart
 Endocarditis: Inflammation of the endocardium
 Subacute bacterial endocarditis: Alpha-hemolytic
  streptococci from mouth
 Acute bacterial endocarditis: Staphylococcus aureus
  from mouth
 Pericarditis: Streptococci
Bacterial Infections of the
Heart




                              Figure 23.4
Rheumatic Fever
 Inflammation of heart valves
 Autoimmune complication of Streptococcus
  pyogenes infections




                                             Figure 23.5
RF
 RF is characterized by a constellation of findings
 major manifestations

   (1) migratory polyarthritis of the large joints
   (2) carditis,
   (3) subcutaneous nodules
   (4) erythema marginatum of the skin
   (5) Sydenham chorea, a neurologic disorder with
     involuntary purposeless, rapid movements.
RF
 minor manifestations (nonspecific signs and
  symptoms)
   fever, arthralgia
   elevated blood levels of acute phase reactants
     CRP, ESR, ASO
 The diagnosis is established by the so-called Jones
  criteria:
   evidence of a preceding group A streptococcal infection,
     with the presence of two of the major manifestations
     listed above or one major and two minor manifestations
RF
 After an initial attack, there is increased vulnerability to
  reactivation of the disease with subsequent pharyngeal
  infections, and the same manifestations are likely to
  appear with each recurrent attack.

 Carditis is likely to worsen with each recurrence, and
  damage is cumulative.

 valvular disease
   cardiac murmurs, cardiac hypertrophy and dilation, and heart
     failure, arrhythmias (particularly atrial fibrillation in the
     setting of mitral stenosis), thromboembolic complications,
     and infective endocarditis.
Tularemia
 Francisella tularensis,
  gram-negative rod
 Transmitted from
  rabbits and deer by
  deer flies.
 Bacteria reproduce in
  phagocytes.




                            Figure 23.6
Brucellosis (Undulant Fever)
 Brucella, gram-negative rods that grow in
    phagocytes.
   B. abortus (elk, bison, cows)
   B. suis (swine)
   B. melitensis (goats, sheep, camels)
   Undulating fever that spikes to 40°C each evening.
   Transmitted via milk from infected animals or
    contact with infected animals.
Anthrax
 Bacillus anthracis, gram-positive, endospore-
    forming aerobic rod
   Is found in soil.
   Cattle are routinely vaccinated.
   Treated with ciprofloxacin or doxycycline.
   Cutaneous anthrax
     Endospores enter through minor cut
     20% mortality
Anthrax
 Gastrointestinal
  anthrax
   Ingestion of
    undercooked food
    contaminated food
   50% mortality.
 Inhalational anthrax
   Inhalation of
    endospores.
   100% mortality.


                         Figure 23.7
Biological Weapons
 1346: Plague-ridden bodies used by Tartar army against Kaffa.
 1925: Plaque-carrying flea bombs used in the Sino-Japanese War.
 1950s: U.S. Army spraying of S. marcescens to test weapons dispersal.
 1972: International agreement to not possess biological weapons.
 1979: B. anthracis weapons plant explosion in the Soviet Union.
 1984: S. enterica used against the people of The Dalles.
 2001: B. anthracis distributed in the United States
Biological Weapons
Bacteria                      Viruses
Bacillus anthracis            “Eradicated” polio and measles
Brucella spp.                 Encephalitis viruses
Chlamydophila psittaci        Hermorrhagic fever viruses
Clostridium botulinum toxin   Influenza A (1918 strain)
Coxiella burnetti             Monkeypox
Francisella tularensis        Nipah virus
Rickettsia prowazekii         Smallpox
Shigella spp.                 Yellow fever
Vibrio cholerae
Yersinia pestis
Gangrene
 Ischemia: Loss of blood supply to tissue.
 Necrosis: Death of tissue.
 Gangrene        : Death of soft tissue.
 Gas gangrene
   Clostridium perfringens, gram-positive, endospore-
    forming anaerobic rod, grows in necrotic tissue
   Treatment includes surgical removal of necrotic tissue
    and/or hyperbaric chamber.
Animal Bites and Scratches

 Pasteurella multocida
 Clostridium
 Bacteroides
 Fusobacterium
 Bartonella hensellae: Cat-scratch disease
Plague
 Yersinia pestis, gram-negative rod
 Reservoir: Rats, ground squirrels, and prairie dogs
 Vector: Xenopsylla cheopsis
 Bubonic plague: Bacterial growth in blood and
  lymph
 Septicemia plague: Septic shock
 Pneumonic plague: Bacteria in the lungs
Plague




         Figures 23.10, 23.11
Relapsing Fever
 Borrelia spp., spirochete
 Reservoir: Rodents
 Vector: Ticks
 Successive relapses are less severe
Lyme Disease
 Borrelia burgdorferi
 Reservoir: Deer
 Vector: Ticks




                         Figures 23.13b–c
Lyme Disease




               Figure 23.13a
Lyme Disease
 First symptom:
  Bull's eye rash
 Second phase:
  Irregular
  heartbeat,
  encephalitis
 Third phase:
  Arthritis




                    Figure 23.14
Figure 23.12
Ehrlichiosis

 Ehrlichia, gram-negative, obligately intracellular
  (in white blood cells)
 Reservoir: Deer,
  rodents
 Vector: Ticks




                                                  Figure 23.15
Typhus
 Epidemic typhus
   Rickettsia prowazekii
   Reservoir: Rodents
   Vector: Pediculus humanus corporis
   Transmitted when louse feces rubbed into bite wound
Typhus
 Epidemic murine typhus:
   Rickettsia typhi
   Reservoir: Rodents
   Vector: Xenopsylla cheopsis
Spotted Fevers (Rocky Mountain
Spotted Fever)
  Rickettsia rickettsii
  Measles-like rash
   except that the rash
   appears on palms and
   soles too.




                                 Figure 23.18
Spotted Fevers (Rocky Mountain
Spotted Fever)




                                 Figure 23.16
Tick Life Cycle




                  Figure 23.17
Human Herpes Virus 4 Infections
Ebstein Barr Virus EBV
Infectious Mononucleosis
   Childhood infections are asymptomatic.
   Transmitted via saliva
   Characterized by proliferation of monocytes
Burkitt’s lymphoma
   Nasopharyngeal carcinoma
   Cancer in immunosuppressed individuals, and malaria
    and AIDS patients
Infectious Mononucleosis




                           Figure 23.20
Cytomegalovirus Infections
 Cytomegalovirus (Human herpesvirus 5)
 Infected cells swell (cyto-, mega-)
 Latent in white blood cells
 May be asymptomatic or mild
 Transmitted across the placenta; may cause mental
  retardation
 Transmitted sexually, by blood, or by transplanted
  tissue
Viral Hemorrhagic Fevers
             Pathogen     Portal of   Reservoir   Method of
                          entry                   transmission
Yellow fever Arbovirus    Skin        Monkeys     Aedes
                                                  aegypti
Dengue       Arbovirus    Skin        Humans      Aedes
                                                  aegypti;
                                                  A. Albopictus
Marburg,     Filovirus,   Mucous    Probably      Contact with
Ebola,       arenavirus   membranes fruit bats;   blood
Lassa                               other
                                    mammals
Hantavirus   Bunyavirus Respiratory Field mice    Inhalation
pulmonary               tract
syndrome
Ebola Virus




              Figure 23.21
American Trypanosomiasis (Chagas’
Disease)
 Trypanosoma cruzi
 Reservoir: Rodents,
  opossums, armadillos
 Vector: Reduviid bug




                             Figures 23.22, 12.33d
Toxoplasmosis
 Toxoplasma
 gondii




                Figure 23.23
Malaria
 Plasmodium vivax, P. ovale, P. malariae, P. falciparum
 Anopheles mosquito




                                                    Figure 12.31b
Malaria




          Figure 23.25
Malaria




          Figure 23.24
Malaria




          Figure 12.19
OTHER PROTOZOA
BLOOD and TISSUE PROTOZOA
  Plasmodium
  Babesia
  Trypanosoma brucei
  Trypanosoma cruzi
  Toxoplasma gondii
  Leishmania
PROTOZOA FROM OTHER BODY SITES
  Free-living Amebae
    Naegleria
    Acanthamoeba
  Trichomonas vaginalis
PLASMODIUM
  Disease: Malaria
    P. vivax: Benign tertian malaria
    P. malariae: Quartan malaria
    P. falciparum: Malignant tertian malaria
    P. ovale: Ovale tertian malaria
  Lab Dx: Giemsa stained thick and thin
  blood smears; IFA; PCR
 Infected RBC:
   P. vivax and P. ovale: reticulocytes
   P. malariae: senescent erythrocytes
   P. falciparum: erythrocytes of all ages
 Cyclic paroxysm of fever:
   P. vivax and P. ovale: every 48 hours
   P. malariae: every 72 hours
   P. falciparum: every 36-48 hours
P. falciparum: Blood
 Stage Parasites
 Thin Blood Smears



Fig. 1: Normal red cell;
Figs. 2-18: Trophozoites
(among these, Figs. 2-10
correspond to ring-stage
trophozoites);
Figs. 19-26: Schizonts (Fig.
26 is a ruptured schizont);
Figs. 27, 28: Mature
macrogametocytes (female);
Figs. 29, 30: Mature
microgametocytes (male).
Gametocytes of P. falciparum in thin blood
smears. Note the presence of a “Laveran’s bib”,
which is not always visible.
P. falciparum rings have delicate cytoplasm and 1 or 2 small
chromatin dots. Red blood cells (RBCs) that are infected are not
enlarged; multiple infection of RBCs more common in P. falciparum
than in other species. Occasional appliqué forms (rings appearing
on the periphery of the RBC) can be present.
P. falciparum schizonts: seldom seen in peripheral
blood. Mature schizonts have 8 to 24 small merozoites;
dark pigment, clumped in one mass.
Plasmodium
malariae: Blood
Stage Parasites
Thin Blood Smears


Fig. 1: Normal red cell;
Figs. 2-5: Young
trophozoites (rings);
Figs. 6-13: Trophozoites;
Figs. 14-22: Schizonts;
Fig. 23: Developing
gametocyte;
Fig. 24: Macrogametocyte
(female);
Fig. 25: Microgametocyte
(male).
P. malariae rings: have sturdy cytoplasm and a large
chromatin dot. The red blood cells (RBCs) are normal
to smaller than normal (3/4 ×) in size.
P. malariae schizonts: have 6 to 12 merozoites with large
nuclei, clustered around a mass of coarse, dark-brown
pigment. Merozoites can occasionally be arranged as a
rosette pattern.
P. malariae trophozoites: have compact cytoplasm and a
large chromatin dot. Occasional band forms and/or
"basket" forms with coarse, dark-brown pigment can be
seen.
Plasmodium
ovale: Blood Stage
Parasites




Fig. 1: Normal red cell;
Figs. 2-5: Young
trophozoites (Rings);
Figs. 6-
15: Trophozoites;
Figs. 16-23: Schizonts;
Fig. 24:
Macrogametocytes
(female);
Fig. 25: Microgametocyte
(male).
P. ovale gametocytes: round to oval, and may almost fill
the red blood cells (RBCs). Pigment is brown and more
coarse than that of P. vivax. RBCs are normal to slightly
enlarged (1 1/4 ×), may be round to oval, and are
sometimes fimbriated. Schüffner's dots are visible
under optimal conditions.
Plasmodium
vivax: Blood Stage
Parasites
Thin Blood Smears

Fig. 1: Normal red cell;
Figs. 2-6: Young
trophozoites (ring stage
parasites);
Figs. 7-18:
Trophozoites;
Figs. 19-27: Schizonts;
Figs. 28 and
29: Macrogametocytes
(female);
Fig. 30:
Microgametocyte (male).
P. vivax gametocytes: round to oval with scattered
brown pigment and may almost fill the red blood cell
(RBC). RBCs are enlarged 1 1/2 to 2 × and may be
distorted. Under optimal conditions, Schüffner's dots
may appear more fine than those seen in P. ovale.
P. vivax rings: have large chromatin dots and can show
amoeboid cytoplasm as they develop. RBCs can be normal
to enlarged up to 1 1/2 × and may be distorted. Under
optimal conditions, Schüffner's dots may be seen.
P. vivax schizonts: large, have 12 to 24 merozoites,
yellowish-brown, coalesced pigment, and may fill the
red blood cell (RBC).
P. vivax trophozoites: show amoeboid cytoplasm, large
chromatin dots, and have fine, yellowish-brown pigment.
Positive IFA result with P. malariae schizont antigen.
TRYPANOSOMA BRUCEI
  Disease: African trypanosomiasis
    T. b. gambiense: Gambian trypanosomiasis,
     West & Mid-African sleeping sickness
    T. b. rhodesiense: Rhodesian
     trypanosomiasis, East African sleeping
     sickness
  Lab Dx: Giemsa stained thick and thin blood
  smears or lymph exudate (early stage); Giemsa
  stained smears of CSF (late stage)
 Site in host: lymph glands, blood stream, brain
 Portal of entry: skin
 Source of infection: tsetse fly
 Winterbottom’s sign: enlargement of
 posterior cervical LNs
Trypomastigote: slender to fat and stumpy forms; in
Giemsa stained films – C or U shaped forms NOT seen;
small, oval kinetoplast located posterior to the nucleus; a
centrally located nucleus, an undulating membrane, and an
anterior flagellum. The trypanosomes length range is 14-
33 µm
A dividing parasite is seen at the right. Dividing forms
are seen in African trypanosomiasis, but not in American
trypanosomiasis (Chagas' disease)
Tsetse fly. The vector of African trypanosomiasis
Winterbottoms sign
TRYPANOSOMA CRUZI
  Disease: American trypanosomiasis, Chaga’s
     disease
    Lab Dx: Giemsa stained thick and thin blood
     smears for the trypomastigote; histopath
     exam for the amastigote
    Site in host: Tissues – heart; blood
    Portal of entry: skin
    Source of infection: Kissing bug Triatomidae
Trypomastigote: shape is short & stubby to long &
slender; in Giemsa stained blood films – C or U shaped;
kinetoplast is large, oval & located posterior to the
nucleus; anterior long free flagellum
Trypanosoma cruzi crithidia
Trypanosoma cruzi: Leishmanial form
Riduviid bug: the vector of American
trypanosomiasis
Ramana's sign: unilateral
conjunctivitis and orbital
edema
TOXOPLASMA GONDII
  Disease: Toxoplasmosis
  Site in host: All organs
  Portal of entry:
    Ingestion of oocyst contaminated water
    Aerosolization of oocyst contaminated dust or
     litter
    Consumption of raw or undercooked cyst
     infected meat
    Transplacental passage of the tachyzoite
- Definitive host: domestic cats
 - Intermediate host: infected rodents
 Accidental intermediate host: humans
 Lab Dx: IFAT and ELISA; Giemsa-stained
 smears of exudates, aspirates or tissues
T. gondii tachyzoites: crescentic to pyriform
shaped with a prominent, centrally placed nucleus.
Toxoplasma gondii cyst in brain tissue stained with
hematoxylin and eosin (100×).
T. gondii oocysts in a fecal floatation (100×).
A: Positive reaction (tachyzoites + human antibodies to
Toxoplasma + FITC-labelled antihuman IgG = fluorescence.)

B: Negative IFA for antibodies to T. gondii.
LEISHMANIA
- Disease:
 - L. tropica complex: Old Word Cutaneous
   leishmaniasis (oriental sore, Aleppo boil, Delhi
   ulcer, Baghdad boil)
 - L. mexicana complex: New Word Cutaneous
   leishmaniasis (chiclero ulcer, bay sore)
 - L. braziliensis complex: Mucocutaneus
   leishmaniasis (espundia, uta)
 - L. donovani: Visceral leishmaniasis (kala-azar or
   black disease, Dumdum fever)
- Lab Dx: Giemsa stained tissue sections or
  impression smears
- Site in host: Monocytes/macrophages of
  skin & mucosa
- Portal of entry: Skin
- Source of infection: Phlebotomus or
  Lutzomiya fly
L. tropica amastigotes: ovoid in shape; large & eccentric
nucleus; small, rodlike kinetoplast positioned opposite
the nucleus; rodlike axoneme perpendicular to the
kinetoplast
Leishmaniasis
Disease        Visceral        Cutaneous          Mucocutaneous Babesiosis
               leishmaniasis   leishmaniasis      leishmaniasis
               Fatal if        Papule that        Disfiguring       Replicates in
               untreated       ulcerates and                        RBCs
                               scars
Causative      Leishmania      L. Tropica         L. Braziliensis   Babesia
agent          donovani                                             microti
Vector         Sandflies       Sandflies          Sandflies         Ixodes ticks

Reservoir      Small           Small mammals      Small             Rodents
               mammals                            mammals
Treatment      Amphotericin    Amphotericin B     Amphotericin B    Atovaquone +
               B or            or miltefosine     or miltefosine    azithromycin
               miltefosine
Geographic     Asia, Africa,   Asia, Africa,      Rain forests of   United States
distribution   Southeast       Mediterranean,     Yucatan, South
               Asia            Central America,   America
                               South America
BABESIA
  Disease: Babesiosis
  Lab Dx: Giemsa stained thick and thin
  blood smears
Babesiosis




             Figures 23.26, 12.32
Babesia microti infection, Giemsa stained thin smear. The
organisms resemble P. falciparum; however Babesia
parasites present several distinguishing features: they
vary more in shape and in size; and they do not produce
pigment.
Infection with Babesia. Giemsa stained thin smears
showing the tetrad, a dividing form pathognomonic for
Babesia. Note also the variation in size and shape of the
ring stage parasites and the absence of pigment.
Schistosomiasis




                  Figure 23.28
Schistosomiasis

 Tissue damage (granulomas) in response to eggs
  lodging in tissues
S. haemotobium   Granulomas in urinary      Africa, Middle East
                 bladder wall
S. japonicum     Granulomas in intestinal   East Asia
                 wall
S. mansoni       Granulomas in intestinal   African, Middle East,
                 wall                       South American,
                                            Caribbean
Swimmer’s itch   Cutaneous allergic         U.S. parasite of
                 reaction to cercariae      wildfowl
Schistosomiasis




                  Figure 23.27a
SCHISTOSOMA MANSONI
- Disease: Schistosomiasis, intestinal
  schistosomiasis, bilharziasis “snail fever”
- Site in host: veins of LI
- Portal of entry: skin
- Definitive host: humans, baboons & rodents
- Intermediate host: snail (Biomphalaria sp &
  Tropicorbis sp)
- Infective stage: cercariae
- Lab Dx: eggs in stool; rectal or liver biopsy
Biomphalaria spp.
Schistosoma mansoni eggs: large (length 114 to 180 µm)
and have a characteristic shape, with a prominent lateral
spine near the posterior end. The anterior end is tapered
and slightly curved. When the eggs are excreted, they
contain a mature miracidium
Male and female schistosomes.
SCHISTOSOMA HAEMATOBIUM
- Disease: Urinary schistosomiasis,
  schistosomal hematuria, urinary bilharziasis
- Site in host: veins of urinary bladder
- Portal of entry: skin
- Definitive host: humans, monkeys & baboons
- Intermediate host: snail (Bulinus, Physopsis,
  and Biomphalaria sp)
- Infective stage: cercariae
- Lab Dx: eggs in stool; cystoscopy
Bulinus spp.
S. haematobium eggs: large and have a prominent
terminal spine at the posterior end
S.haematobium: adult schistosomes live in pairs in the pelvic veins
(especially in the venous plexus surrounding the bladder); males are
10-15 mm in lenght by 0,8-1 mm in diameter, and have a ventral
infolding from the ventral sucker to the posterior end forming the
gynecophoric canal. Adult male with female in the copulatory groove.
SCHISTOSOMA JAPONICUM
- Disease: Schistosomiasis, Katayama fever
- Site in host: veins of SI
- Portal of entry: skin
- Definitive host: humans, dogs, cats,
  horses, pigs, cattle, deer, caribou &
  rodents
- Intermediate host: snail (Oncomelania)
- Infective stage: cercariae
- Lab Dx: eggs in stool; liver biopsy
Onchomelania, hupensis spp.
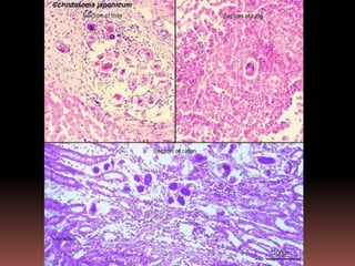
S. japonicum egg: typically oval or subspherical, and
has a vestigial spine (smaller than those of the other
species)
Cercaria
Schistosomiasis




                  Figure 23.27b

Bloodlytmphatic disease

  • 1.
    23 Microbial Diseases of the Cardiovascular and Lymphatic Systems
  • 3.
    The Cardiovascular System andLymphatics System  Blood: Transports nutrients to and wastes from cells.  WBCs: Defend against infection.  Lymphatics: Transport interstitial fluid to blood.  Lymph nodes: Contain fixed macrophages.
  • 5.
  • 6.
    Sepsis and SepticShock  Sepsis: Bacteria growing in the blood  Severe sepsis: Decrease in blood pressure  Septic shock: Low blood pressure cannot be controlled Figure 23.3
  • 7.
    Sepsis  Gram-negative sepsis  Endotoxins caused blood pressure decrease.  Antibiotics can worsen condition by killing bacteria.  Gram-positive sepsis  Nosocomial infections  Staphylococcus aureus  Streptococcus pyogenes  Group B streptococcus  Enterococcus faecium and E. faecalis
  • 8.
    Sepsis  Puerperal sepsis(childbirth fever)  Streptococcus pyogenes  Transmitted to mother during childbirth by attending physicians and midwives.
  • 9.
    Bacterial Infections ofthe Heart  Endocarditis: Inflammation of the endocardium  Subacute bacterial endocarditis: Alpha-hemolytic streptococci from mouth  Acute bacterial endocarditis: Staphylococcus aureus from mouth  Pericarditis: Streptococci
  • 10.
    Bacterial Infections ofthe Heart Figure 23.4
  • 11.
    Rheumatic Fever  Inflammationof heart valves  Autoimmune complication of Streptococcus pyogenes infections Figure 23.5
  • 13.
    RF  RF ischaracterized by a constellation of findings  major manifestations  (1) migratory polyarthritis of the large joints  (2) carditis,  (3) subcutaneous nodules  (4) erythema marginatum of the skin  (5) Sydenham chorea, a neurologic disorder with involuntary purposeless, rapid movements.
  • 14.
    RF  minor manifestations(nonspecific signs and symptoms)  fever, arthralgia  elevated blood levels of acute phase reactants CRP, ESR, ASO  The diagnosis is established by the so-called Jones criteria:  evidence of a preceding group A streptococcal infection, with the presence of two of the major manifestations listed above or one major and two minor manifestations
  • 15.
    RF  After aninitial attack, there is increased vulnerability to reactivation of the disease with subsequent pharyngeal infections, and the same manifestations are likely to appear with each recurrent attack.  Carditis is likely to worsen with each recurrence, and damage is cumulative.  valvular disease  cardiac murmurs, cardiac hypertrophy and dilation, and heart failure, arrhythmias (particularly atrial fibrillation in the setting of mitral stenosis), thromboembolic complications, and infective endocarditis.
  • 16.
    Tularemia  Francisella tularensis, gram-negative rod  Transmitted from rabbits and deer by deer flies.  Bacteria reproduce in phagocytes. Figure 23.6
  • 17.
    Brucellosis (Undulant Fever) Brucella, gram-negative rods that grow in phagocytes.  B. abortus (elk, bison, cows)  B. suis (swine)  B. melitensis (goats, sheep, camels)  Undulating fever that spikes to 40°C each evening.  Transmitted via milk from infected animals or contact with infected animals.
  • 18.
    Anthrax  Bacillus anthracis,gram-positive, endospore- forming aerobic rod  Is found in soil.  Cattle are routinely vaccinated.  Treated with ciprofloxacin or doxycycline.  Cutaneous anthrax  Endospores enter through minor cut  20% mortality
  • 19.
    Anthrax  Gastrointestinal anthrax  Ingestion of undercooked food contaminated food  50% mortality.  Inhalational anthrax  Inhalation of endospores.  100% mortality. Figure 23.7
  • 20.
    Biological Weapons  1346:Plague-ridden bodies used by Tartar army against Kaffa.  1925: Plaque-carrying flea bombs used in the Sino-Japanese War.  1950s: U.S. Army spraying of S. marcescens to test weapons dispersal.  1972: International agreement to not possess biological weapons.  1979: B. anthracis weapons plant explosion in the Soviet Union.  1984: S. enterica used against the people of The Dalles.  2001: B. anthracis distributed in the United States
  • 21.
    Biological Weapons Bacteria Viruses Bacillus anthracis “Eradicated” polio and measles Brucella spp. Encephalitis viruses Chlamydophila psittaci Hermorrhagic fever viruses Clostridium botulinum toxin Influenza A (1918 strain) Coxiella burnetti Monkeypox Francisella tularensis Nipah virus Rickettsia prowazekii Smallpox Shigella spp. Yellow fever Vibrio cholerae Yersinia pestis
  • 22.
    Gangrene  Ischemia: Lossof blood supply to tissue.  Necrosis: Death of tissue.  Gangrene : Death of soft tissue.  Gas gangrene  Clostridium perfringens, gram-positive, endospore- forming anaerobic rod, grows in necrotic tissue  Treatment includes surgical removal of necrotic tissue and/or hyperbaric chamber.
  • 23.
    Animal Bites andScratches  Pasteurella multocida  Clostridium  Bacteroides  Fusobacterium  Bartonella hensellae: Cat-scratch disease
  • 24.
    Plague  Yersinia pestis,gram-negative rod  Reservoir: Rats, ground squirrels, and prairie dogs  Vector: Xenopsylla cheopsis  Bubonic plague: Bacterial growth in blood and lymph  Septicemia plague: Septic shock  Pneumonic plague: Bacteria in the lungs
  • 25.
    Plague Figures 23.10, 23.11
  • 26.
    Relapsing Fever  Borreliaspp., spirochete  Reservoir: Rodents  Vector: Ticks  Successive relapses are less severe
  • 27.
    Lyme Disease  Borreliaburgdorferi  Reservoir: Deer  Vector: Ticks Figures 23.13b–c
  • 28.
    Lyme Disease Figure 23.13a
  • 29.
    Lyme Disease  Firstsymptom: Bull's eye rash  Second phase: Irregular heartbeat, encephalitis  Third phase: Arthritis Figure 23.14
  • 30.
  • 31.
    Ehrlichiosis  Ehrlichia, gram-negative,obligately intracellular (in white blood cells)  Reservoir: Deer, rodents  Vector: Ticks Figure 23.15
  • 32.
    Typhus  Epidemic typhus  Rickettsia prowazekii  Reservoir: Rodents  Vector: Pediculus humanus corporis  Transmitted when louse feces rubbed into bite wound
  • 33.
    Typhus  Epidemic murinetyphus:  Rickettsia typhi  Reservoir: Rodents  Vector: Xenopsylla cheopsis
  • 34.
    Spotted Fevers (RockyMountain Spotted Fever)  Rickettsia rickettsii  Measles-like rash except that the rash appears on palms and soles too. Figure 23.18
  • 35.
    Spotted Fevers (RockyMountain Spotted Fever) Figure 23.16
  • 36.
    Tick Life Cycle Figure 23.17
  • 37.
    Human Herpes Virus4 Infections Ebstein Barr Virus EBV Infectious Mononucleosis  Childhood infections are asymptomatic.  Transmitted via saliva  Characterized by proliferation of monocytes Burkitt’s lymphoma  Nasopharyngeal carcinoma  Cancer in immunosuppressed individuals, and malaria and AIDS patients
  • 39.
  • 40.
    Cytomegalovirus Infections  Cytomegalovirus(Human herpesvirus 5)  Infected cells swell (cyto-, mega-)  Latent in white blood cells  May be asymptomatic or mild  Transmitted across the placenta; may cause mental retardation  Transmitted sexually, by blood, or by transplanted tissue
  • 41.
    Viral Hemorrhagic Fevers Pathogen Portal of Reservoir Method of entry transmission Yellow fever Arbovirus Skin Monkeys Aedes aegypti Dengue Arbovirus Skin Humans Aedes aegypti; A. Albopictus Marburg, Filovirus, Mucous Probably Contact with Ebola, arenavirus membranes fruit bats; blood Lassa other mammals Hantavirus Bunyavirus Respiratory Field mice Inhalation pulmonary tract syndrome
  • 42.
    Ebola Virus Figure 23.21
  • 43.
    American Trypanosomiasis (Chagas’ Disease) Trypanosoma cruzi  Reservoir: Rodents, opossums, armadillos  Vector: Reduviid bug Figures 23.22, 12.33d
  • 44.
  • 45.
    Malaria  Plasmodium vivax,P. ovale, P. malariae, P. falciparum  Anopheles mosquito Figure 12.31b
  • 46.
    Malaria Figure 23.25
  • 47.
    Malaria Figure 23.24
  • 48.
    Malaria Figure 12.19
  • 49.
    OTHER PROTOZOA BLOOD andTISSUE PROTOZOA  Plasmodium  Babesia  Trypanosoma brucei  Trypanosoma cruzi  Toxoplasma gondii  Leishmania
  • 50.
    PROTOZOA FROM OTHERBODY SITES  Free-living Amebae  Naegleria  Acanthamoeba  Trichomonas vaginalis
  • 51.
    PLASMODIUM  Disease:Malaria  P. vivax: Benign tertian malaria  P. malariae: Quartan malaria  P. falciparum: Malignant tertian malaria  P. ovale: Ovale tertian malaria  Lab Dx: Giemsa stained thick and thin blood smears; IFA; PCR
  • 52.
     Infected RBC:  P. vivax and P. ovale: reticulocytes  P. malariae: senescent erythrocytes  P. falciparum: erythrocytes of all ages  Cyclic paroxysm of fever:  P. vivax and P. ovale: every 48 hours  P. malariae: every 72 hours  P. falciparum: every 36-48 hours
  • 54.
    P. falciparum: Blood Stage Parasites Thin Blood Smears Fig. 1: Normal red cell; Figs. 2-18: Trophozoites (among these, Figs. 2-10 correspond to ring-stage trophozoites); Figs. 19-26: Schizonts (Fig. 26 is a ruptured schizont); Figs. 27, 28: Mature macrogametocytes (female); Figs. 29, 30: Mature microgametocytes (male).
  • 55.
    Gametocytes of P.falciparum in thin blood smears. Note the presence of a “Laveran’s bib”, which is not always visible.
  • 56.
    P. falciparum ringshave delicate cytoplasm and 1 or 2 small chromatin dots. Red blood cells (RBCs) that are infected are not enlarged; multiple infection of RBCs more common in P. falciparum than in other species. Occasional appliqué forms (rings appearing on the periphery of the RBC) can be present.
  • 57.
    P. falciparum schizonts:seldom seen in peripheral blood. Mature schizonts have 8 to 24 small merozoites; dark pigment, clumped in one mass.
  • 58.
    Plasmodium malariae: Blood Stage Parasites ThinBlood Smears Fig. 1: Normal red cell; Figs. 2-5: Young trophozoites (rings); Figs. 6-13: Trophozoites; Figs. 14-22: Schizonts; Fig. 23: Developing gametocyte; Fig. 24: Macrogametocyte (female); Fig. 25: Microgametocyte (male).
  • 60.
    P. malariae rings:have sturdy cytoplasm and a large chromatin dot. The red blood cells (RBCs) are normal to smaller than normal (3/4 ×) in size.
  • 61.
    P. malariae schizonts:have 6 to 12 merozoites with large nuclei, clustered around a mass of coarse, dark-brown pigment. Merozoites can occasionally be arranged as a rosette pattern.
  • 62.
    P. malariae trophozoites:have compact cytoplasm and a large chromatin dot. Occasional band forms and/or "basket" forms with coarse, dark-brown pigment can be seen.
  • 63.
    Plasmodium ovale: Blood Stage Parasites Fig.1: Normal red cell; Figs. 2-5: Young trophozoites (Rings); Figs. 6- 15: Trophozoites; Figs. 16-23: Schizonts; Fig. 24: Macrogametocytes (female); Fig. 25: Microgametocyte (male).
  • 64.
    P. ovale gametocytes:round to oval, and may almost fill the red blood cells (RBCs). Pigment is brown and more coarse than that of P. vivax. RBCs are normal to slightly enlarged (1 1/4 ×), may be round to oval, and are sometimes fimbriated. Schüffner's dots are visible under optimal conditions.
  • 65.
    Plasmodium vivax: Blood Stage Parasites ThinBlood Smears Fig. 1: Normal red cell; Figs. 2-6: Young trophozoites (ring stage parasites); Figs. 7-18: Trophozoites; Figs. 19-27: Schizonts; Figs. 28 and 29: Macrogametocytes (female); Fig. 30: Microgametocyte (male).
  • 66.
    P. vivax gametocytes:round to oval with scattered brown pigment and may almost fill the red blood cell (RBC). RBCs are enlarged 1 1/2 to 2 × and may be distorted. Under optimal conditions, Schüffner's dots may appear more fine than those seen in P. ovale.
  • 67.
    P. vivax rings:have large chromatin dots and can show amoeboid cytoplasm as they develop. RBCs can be normal to enlarged up to 1 1/2 × and may be distorted. Under optimal conditions, Schüffner's dots may be seen.
  • 68.
    P. vivax schizonts:large, have 12 to 24 merozoites, yellowish-brown, coalesced pigment, and may fill the red blood cell (RBC).
  • 69.
    P. vivax trophozoites:show amoeboid cytoplasm, large chromatin dots, and have fine, yellowish-brown pigment.
  • 70.
    Positive IFA resultwith P. malariae schizont antigen.
  • 71.
    TRYPANOSOMA BRUCEI Disease: African trypanosomiasis  T. b. gambiense: Gambian trypanosomiasis, West & Mid-African sleeping sickness  T. b. rhodesiense: Rhodesian trypanosomiasis, East African sleeping sickness  Lab Dx: Giemsa stained thick and thin blood smears or lymph exudate (early stage); Giemsa stained smears of CSF (late stage)
  • 72.
     Site inhost: lymph glands, blood stream, brain  Portal of entry: skin  Source of infection: tsetse fly  Winterbottom’s sign: enlargement of posterior cervical LNs
  • 74.
    Trypomastigote: slender tofat and stumpy forms; in Giemsa stained films – C or U shaped forms NOT seen; small, oval kinetoplast located posterior to the nucleus; a centrally located nucleus, an undulating membrane, and an anterior flagellum. The trypanosomes length range is 14- 33 µm
  • 75.
    A dividing parasiteis seen at the right. Dividing forms are seen in African trypanosomiasis, but not in American trypanosomiasis (Chagas' disease)
  • 77.
    Tsetse fly. Thevector of African trypanosomiasis
  • 78.
  • 79.
    TRYPANOSOMA CRUZI Disease: American trypanosomiasis, Chaga’s disease  Lab Dx: Giemsa stained thick and thin blood smears for the trypomastigote; histopath exam for the amastigote  Site in host: Tissues – heart; blood  Portal of entry: skin  Source of infection: Kissing bug Triatomidae
  • 80.
    Trypomastigote: shape isshort & stubby to long & slender; in Giemsa stained blood films – C or U shaped; kinetoplast is large, oval & located posterior to the nucleus; anterior long free flagellum
  • 81.
  • 82.
  • 83.
    Riduviid bug: thevector of American trypanosomiasis
  • 84.
  • 85.
    TOXOPLASMA GONDII Disease: Toxoplasmosis  Site in host: All organs  Portal of entry:  Ingestion of oocyst contaminated water  Aerosolization of oocyst contaminated dust or litter  Consumption of raw or undercooked cyst infected meat  Transplacental passage of the tachyzoite
  • 86.
    - Definitive host:domestic cats - Intermediate host: infected rodents  Accidental intermediate host: humans  Lab Dx: IFAT and ELISA; Giemsa-stained smears of exudates, aspirates or tissues
  • 88.
    T. gondii tachyzoites:crescentic to pyriform shaped with a prominent, centrally placed nucleus.
  • 89.
    Toxoplasma gondii cystin brain tissue stained with hematoxylin and eosin (100×).
  • 90.
    T. gondii oocystsin a fecal floatation (100×).
  • 91.
    A: Positive reaction(tachyzoites + human antibodies to Toxoplasma + FITC-labelled antihuman IgG = fluorescence.) B: Negative IFA for antibodies to T. gondii.
  • 92.
    LEISHMANIA - Disease: -L. tropica complex: Old Word Cutaneous leishmaniasis (oriental sore, Aleppo boil, Delhi ulcer, Baghdad boil) - L. mexicana complex: New Word Cutaneous leishmaniasis (chiclero ulcer, bay sore) - L. braziliensis complex: Mucocutaneus leishmaniasis (espundia, uta) - L. donovani: Visceral leishmaniasis (kala-azar or black disease, Dumdum fever)
  • 93.
    - Lab Dx:Giemsa stained tissue sections or impression smears - Site in host: Monocytes/macrophages of skin & mucosa - Portal of entry: Skin - Source of infection: Phlebotomus or Lutzomiya fly
  • 95.
    L. tropica amastigotes:ovoid in shape; large & eccentric nucleus; small, rodlike kinetoplast positioned opposite the nucleus; rodlike axoneme perpendicular to the kinetoplast
  • 96.
    Leishmaniasis Disease Visceral Cutaneous Mucocutaneous Babesiosis leishmaniasis leishmaniasis leishmaniasis Fatal if Papule that Disfiguring Replicates in untreated ulcerates and RBCs scars Causative Leishmania L. Tropica L. Braziliensis Babesia agent donovani microti Vector Sandflies Sandflies Sandflies Ixodes ticks Reservoir Small Small mammals Small Rodents mammals mammals Treatment Amphotericin Amphotericin B Amphotericin B Atovaquone + B or or miltefosine or miltefosine azithromycin miltefosine Geographic Asia, Africa, Asia, Africa, Rain forests of United States distribution Southeast Mediterranean, Yucatan, South Asia Central America, America South America
  • 97.
    BABESIA  Disease:Babesiosis  Lab Dx: Giemsa stained thick and thin blood smears
  • 98.
    Babesiosis Figures 23.26, 12.32
  • 100.
    Babesia microti infection,Giemsa stained thin smear. The organisms resemble P. falciparum; however Babesia parasites present several distinguishing features: they vary more in shape and in size; and they do not produce pigment.
  • 101.
    Infection with Babesia.Giemsa stained thin smears showing the tetrad, a dividing form pathognomonic for Babesia. Note also the variation in size and shape of the ring stage parasites and the absence of pigment.
  • 102.
    Schistosomiasis Figure 23.28
  • 103.
    Schistosomiasis  Tissue damage(granulomas) in response to eggs lodging in tissues S. haemotobium Granulomas in urinary Africa, Middle East bladder wall S. japonicum Granulomas in intestinal East Asia wall S. mansoni Granulomas in intestinal African, Middle East, wall South American, Caribbean Swimmer’s itch Cutaneous allergic U.S. parasite of reaction to cercariae wildfowl
  • 104.
    Schistosomiasis Figure 23.27a
  • 105.
    SCHISTOSOMA MANSONI - Disease:Schistosomiasis, intestinal schistosomiasis, bilharziasis “snail fever” - Site in host: veins of LI - Portal of entry: skin - Definitive host: humans, baboons & rodents - Intermediate host: snail (Biomphalaria sp & Tropicorbis sp) - Infective stage: cercariae - Lab Dx: eggs in stool; rectal or liver biopsy
  • 107.
  • 108.
    Schistosoma mansoni eggs:large (length 114 to 180 µm) and have a characteristic shape, with a prominent lateral spine near the posterior end. The anterior end is tapered and slightly curved. When the eggs are excreted, they contain a mature miracidium
  • 113.
    Male and femaleschistosomes.
  • 114.
    SCHISTOSOMA HAEMATOBIUM - Disease:Urinary schistosomiasis, schistosomal hematuria, urinary bilharziasis - Site in host: veins of urinary bladder - Portal of entry: skin - Definitive host: humans, monkeys & baboons - Intermediate host: snail (Bulinus, Physopsis, and Biomphalaria sp) - Infective stage: cercariae - Lab Dx: eggs in stool; cystoscopy
  • 115.
  • 116.
    S. haematobium eggs:large and have a prominent terminal spine at the posterior end
  • 118.
    S.haematobium: adult schistosomeslive in pairs in the pelvic veins (especially in the venous plexus surrounding the bladder); males are 10-15 mm in lenght by 0,8-1 mm in diameter, and have a ventral infolding from the ventral sucker to the posterior end forming the gynecophoric canal. Adult male with female in the copulatory groove.
  • 119.
    SCHISTOSOMA JAPONICUM - Disease:Schistosomiasis, Katayama fever - Site in host: veins of SI - Portal of entry: skin - Definitive host: humans, dogs, cats, horses, pigs, cattle, deer, caribou & rodents - Intermediate host: snail (Oncomelania) - Infective stage: cercariae - Lab Dx: eggs in stool; liver biopsy
  • 120.
  • 121.
    S. japonicum egg:typically oval or subspherical, and has a vestigial spine (smaller than those of the other species)
  • 124.
  • 128.
    Schistosomiasis Figure 23.27b