VITAL PULP THERAPY
Physical / Chemical / Thermal injuries

Dental Caries

Pulpal Irritation

Inflammation

Reversible

Irreversible

Vital Pulp Therapy
Repair

Pulp Necrosis
Vital pulp therapy is defined as a treatment initiated to
preserve and maintain pulp tissue in a healthy state

→

tissue that has been compromised by caries, trauma or

restorative procedures.
OBJECTIVE
REPARATIVE

→
DENTIN

STIMULATE THE FORMATION OF
TO

RETAIN

THE

TOOTH

AS

FUNCTIONAL UNIT

VITAL PULP THERAPY

→

Capacity of the pulp for

repair in the absence of microbial contamination

A
Outcome of Vital Pulp Therapy will depend on:

 Age of the patient

 Size of the pulp chamber

 Bacterial contamination

 The pulp capping material

 Quality of final restoration
Most important aspects for the Vital Pulp Therapy are
 Diagnosis of pulpal condition

 Case selection
According to the American Academy of Pediatric Dentistry:

“ Teeth exhibiting provoked pain of short duration, that is
relieved upon the removal of the stimulus, with analgesics,
or by brushing , without signs and symptoms of irreversible
pulpitis are candidates for Vital pulp Therapy
Primary Goals

of

Vital Pulp Therapy

 Dentin bridge formation

 Continuation of root development

:
STIMULATION

UNDIFFERENTIATED MESENCHYMAL CELLS

PRE EXISTING ODONTOBLASTS

ODONTOBLAST LIKE CELLS

REPARATIVE DENTIN

REACTIONARY DENTIN

TERTIARY DENTIN
DENTINAL BRIDGE
VITAL PULP THERAPY
 Includes:
 Indirect Pulp Capping
 Direct Pulp Capping
 Pulpotomy

 Apexification
INDIRECT PULP CAPPING

A procedure in which a material is placed on a thin partition of
remaining carious dentin, that if removed, may expose the pulp

 Indirect pulp capping – stepwise excavation of caries

 Indirect pulp capping without re-entry and further excavation
Stepwise excavation of caries :

Technique in which caries is removed in increments in two or
three appointments over a few months to a year rather than
removing the caries in one sitting [ in deep carious lesions ]

Each time caries is removed

Glass ionomer base is placed

which may contribute to mineralization, followed by a well
sealing temporary restoration


The deeper

affected but not infected dentin may

remineralize and tertiary dentin may form

 Case selection :
No signs or symptoms of irreversible pulpitis

 Periodic follow up
•

Radiographs and

•

Pulp testing
TECHNIQUE
 Local Anesthesia
 Rubber dam isolation to keep bacterial count as low

as possible
 Removal of as much caries as leaving a thin layer
of affected dentin to permit placement of a

temporary restoration
 Large round bur less likely to cause accidental
exposure than spoon excavator
 Place a layer of Glass ionomer [or calcium hydroxide]
and restore the tooth with a provisional restoration
 The seal provided by the restoration is very important

 After 1-2 months remove the restoration and excavate
the remaining caries.
 If any exposure then – direct pulp capping

Pulpotomy
pulpectomy
If no exposure - permanent restoration
Indirect pulp capping without re-entry and further
excavation
This is similar to stepwise excavation but differs in the
sense that the innermost layer of

carious dentin is

deliberately and permanently left behind
DIRECT PULP CAPPING:

The treatment of an exposed vital pulp by sealing the
pulpal wound with a dental material placed directly on the

exposure site to facilitate the formation of reparative
dentin and maintenance of the vital pulp

Exposure of the pulp may be due to
 Traumatic exposure
 Mechanical exposure
 Caries removal
 Success rate for Mechanical exposure > Carious exposures

Materials commonly used
•
•

MTA [Mineral Trioxide Aggregate]
Calcium hydroxide

 These materials should be covered by a permanent
restoration with a good marginal seal
Success of Direct pulp capping depends on

Size of exposure
Presence of good isolation
Condition of the pulp
Absence of symptoms
Age of the patient

Restorative material used
PULPOTOMY

The pulpotomy procedure involves removing only part of the
pulp, eliminating tissue that has inflammatory or degenerative
changes and leaving intact the underlying healthy pulp tissue

The surgical amputation of the coronal portion of an exposed
pulp to protect and preserve the remaining radicular pulp’s
vitality and function
Indications:
 Exposed vital pulps in carious primary teeth
 Exposed
permanent

vital

pulps

teeth

(to

in

carious

allow

immature

continued

root

development prior to NSRCT)
 Traumatically exposed primary or permanent teeth
[mature or immature]
 As an emergency procedure prior to NSRCT
Prognosis for traumatic/mechanical exposures
exposures

Case selection
-Vital pulp
-Reversible pulpitis
-No symptoms of irreversible pulpitis

> carious
Steps:
 All the carious dentin and pulp to the level of radicular
pulp are removed
- level of CEJ in anteriors

- level of canal orifices in posteriors
 Bleeding from the pulp stump is controlled with moist
cotton pellets and gentle pressure

 The chamber is rinsed with Sodium hypochloride
 The severed pulp is capped with
-

Calcium hydroxide

-

MTA
 This is then covered with Glass ionomer and the tooth is
restored with a restoration that seals completely

 Follow up
•

No signs of irreversible pulpitis

•

No radiographic signs of
o

internal resorption

o

external resorption

o

calcification

o

periapical radioluscency
CVEK PULPOTOMY / PARTIAL PULPOTOMY:

The surgical removal of a small portion of the coronal portion
of a vital pulp as a means of preserving the remaining coronal
and radicular pulp.
OPEN APEX
 An open apex is the developing root of an immature tooth
until apical closure occurs .
 Apical closure occurs 2-3 yrs after tooth eruption
 Any injury to the pulp at this stage will stop the closure of

the apex
 Such a tooth will have short , thin walls at the apical
portion of the root
 Open apex can also be caused by extensive resorption of
a previously mature apex after orthodontic treatment or
severe periapical inflammation
Diagnosis and assessment:
 History
 Subjective symptoms

 Diagnostic tests
 Radio graphs

A radiolucent area usually surrounds the apex of an
immature root with a healthy pulp
OPEN APEX

VITAL PULP

APEXOGENESIS

NON VITAL PULP

APEXIFICATION
APEXOGENESIS

A

Vital Pulp Therapy procedure performed to encourage

continued physiologic development and formation of the root
end.

Since the main objective is to maintain the vitality of the
radicular pulp the pulp must be vital and capable of repair
Trauma / mechanical exposure / Caries

 Small exposure

-

Pulp capping

 Large exposures - Cvek pulpotomy
Pulpotomy
Technique:
1. Anesthesia and rubber dam isolation
2. The inflamed pulp tissue is removed using a sharp round
bur in a high speed hand piece with water coolant for
superficial 2-3mm of pulp amputaion [Cvek pulpotomy]
3. Or removal of the entire pulp to the level of the canal
orifices using a large Spoon excavator
4. Hemorrhage is controlled by pressure on a cotton pellet
moistened with saline.
[ failure to achieve hemorrhage indicates pulpal inflammation]
The exposed pulp is rinsed with 2.5% sodium hypochlorite
MTA

or

hard set calcium hydroxide is placed over the

amputated pulp.

MTA is prepared by mixing MTA powder with saline in the
ratio of 3:1 on a glass slab. The mixture is placed on

the exposed pulp and patted with a moist cotton
pellet.
MTA sets in the presence of moisture. Wet cotton
pellet is placed over MTA and the tooth is restored.
The patient is then put on a periodic recall for 1-2yrs at
every 6 month interval.

Commonly encountered
•

Calcific metamorphosis

•

Internal resorption

In such cases NSRCT initiated.
APEXIFICATION
Induction of a calcific barrier or creation of an artificial barrier
across an open apex

Technique:
Local anesthesia and Rubber Dam isolation

Access cavity preparation and extirpation of the pulp
Working length is established slightly short of the apex [to
prevent injury to apical tissues]

Instrumentation and copius irrigation
Drying the canal and introducing MTA into the canal
 Packing MTA using endodontic pluggers or special
system like MAP SYSTEM [Micro Apical placement]
 MTA acts as an artificial barrier against which Gutta

percha can be condensed.
 Calcium hydroxide produces a biologic barrier but takes
longer time.
TISSUE ENGINEERING :
Science of design and manufacturing of new tissues to
replace tissues lost to disease or trauma.

It involves three key elements

1. Stem cells/ progenitor cells

2. Signals or morphogens that induce morphogenesis
3. A scaffold that provides a 3D microenvironment for cell
growth and environment
Tissue Regeneration

Bone morphogenetic protein

scaffold

Undifferentiated
mesenchymal cells

Odontoblasts
1. The bone morphogenetic proteins are directly
applied over the exposed amputated pulp

2. Ex-vivo -

stem/progenitor cells are isolated from

the pulp and differentiated into odontoblasts with
recombinant BMP and BMP genes. These
odontoblasts are autogenously transplanted into the

exposed pulp.
Other techniques:
Revascularization
Retrograde MTA

Vital Pulp Therapy

  • 1.
  • 2.
    Physical / Chemical/ Thermal injuries Dental Caries Pulpal Irritation Inflammation Reversible Irreversible Vital Pulp Therapy Repair Pulp Necrosis
  • 3.
    Vital pulp therapyis defined as a treatment initiated to preserve and maintain pulp tissue in a healthy state → tissue that has been compromised by caries, trauma or restorative procedures.
  • 4.
    OBJECTIVE REPARATIVE → DENTIN STIMULATE THE FORMATIONOF TO RETAIN THE TOOTH AS FUNCTIONAL UNIT VITAL PULP THERAPY → Capacity of the pulp for repair in the absence of microbial contamination A
  • 5.
    Outcome of VitalPulp Therapy will depend on:  Age of the patient  Size of the pulp chamber  Bacterial contamination  The pulp capping material  Quality of final restoration
  • 6.
    Most important aspectsfor the Vital Pulp Therapy are  Diagnosis of pulpal condition  Case selection
  • 8.
    According to theAmerican Academy of Pediatric Dentistry: “ Teeth exhibiting provoked pain of short duration, that is relieved upon the removal of the stimulus, with analgesics, or by brushing , without signs and symptoms of irreversible pulpitis are candidates for Vital pulp Therapy
  • 9.
    Primary Goals of Vital PulpTherapy  Dentin bridge formation  Continuation of root development :
  • 10.
    STIMULATION UNDIFFERENTIATED MESENCHYMAL CELLS PREEXISTING ODONTOBLASTS ODONTOBLAST LIKE CELLS REPARATIVE DENTIN REACTIONARY DENTIN TERTIARY DENTIN DENTINAL BRIDGE
  • 11.
    VITAL PULP THERAPY Includes:  Indirect Pulp Capping  Direct Pulp Capping  Pulpotomy  Apexification
  • 12.
    INDIRECT PULP CAPPING Aprocedure in which a material is placed on a thin partition of remaining carious dentin, that if removed, may expose the pulp  Indirect pulp capping – stepwise excavation of caries  Indirect pulp capping without re-entry and further excavation
  • 13.
    Stepwise excavation ofcaries : Technique in which caries is removed in increments in two or three appointments over a few months to a year rather than removing the caries in one sitting [ in deep carious lesions ] Each time caries is removed Glass ionomer base is placed which may contribute to mineralization, followed by a well sealing temporary restoration
  • 14.
     The deeper affected butnot infected dentin may remineralize and tertiary dentin may form  Case selection : No signs or symptoms of irreversible pulpitis  Periodic follow up • Radiographs and • Pulp testing
  • 15.
    TECHNIQUE  Local Anesthesia Rubber dam isolation to keep bacterial count as low as possible  Removal of as much caries as leaving a thin layer of affected dentin to permit placement of a temporary restoration  Large round bur less likely to cause accidental exposure than spoon excavator
  • 16.
     Place alayer of Glass ionomer [or calcium hydroxide] and restore the tooth with a provisional restoration  The seal provided by the restoration is very important  After 1-2 months remove the restoration and excavate the remaining caries.  If any exposure then – direct pulp capping Pulpotomy pulpectomy If no exposure - permanent restoration
  • 17.
    Indirect pulp cappingwithout re-entry and further excavation This is similar to stepwise excavation but differs in the sense that the innermost layer of carious dentin is deliberately and permanently left behind
  • 18.
    DIRECT PULP CAPPING: Thetreatment of an exposed vital pulp by sealing the pulpal wound with a dental material placed directly on the exposure site to facilitate the formation of reparative dentin and maintenance of the vital pulp Exposure of the pulp may be due to  Traumatic exposure  Mechanical exposure  Caries removal
  • 19.
     Success ratefor Mechanical exposure > Carious exposures Materials commonly used • • MTA [Mineral Trioxide Aggregate] Calcium hydroxide  These materials should be covered by a permanent restoration with a good marginal seal
  • 20.
    Success of Directpulp capping depends on Size of exposure Presence of good isolation Condition of the pulp Absence of symptoms Age of the patient Restorative material used
  • 23.
    PULPOTOMY The pulpotomy procedureinvolves removing only part of the pulp, eliminating tissue that has inflammatory or degenerative changes and leaving intact the underlying healthy pulp tissue The surgical amputation of the coronal portion of an exposed pulp to protect and preserve the remaining radicular pulp’s vitality and function
  • 25.
    Indications:  Exposed vitalpulps in carious primary teeth  Exposed permanent vital pulps teeth (to in carious allow immature continued root development prior to NSRCT)  Traumatically exposed primary or permanent teeth [mature or immature]  As an emergency procedure prior to NSRCT
  • 26.
    Prognosis for traumatic/mechanicalexposures exposures Case selection -Vital pulp -Reversible pulpitis -No symptoms of irreversible pulpitis > carious
  • 27.
    Steps:  All thecarious dentin and pulp to the level of radicular pulp are removed - level of CEJ in anteriors - level of canal orifices in posteriors  Bleeding from the pulp stump is controlled with moist cotton pellets and gentle pressure  The chamber is rinsed with Sodium hypochloride  The severed pulp is capped with - Calcium hydroxide - MTA
  • 28.
     This isthen covered with Glass ionomer and the tooth is restored with a restoration that seals completely  Follow up • No signs of irreversible pulpitis • No radiographic signs of o internal resorption o external resorption o calcification o periapical radioluscency
  • 29.
    CVEK PULPOTOMY /PARTIAL PULPOTOMY: The surgical removal of a small portion of the coronal portion of a vital pulp as a means of preserving the remaining coronal and radicular pulp.
  • 30.
    OPEN APEX  Anopen apex is the developing root of an immature tooth until apical closure occurs .  Apical closure occurs 2-3 yrs after tooth eruption  Any injury to the pulp at this stage will stop the closure of the apex  Such a tooth will have short , thin walls at the apical portion of the root
  • 32.
     Open apexcan also be caused by extensive resorption of a previously mature apex after orthodontic treatment or severe periapical inflammation
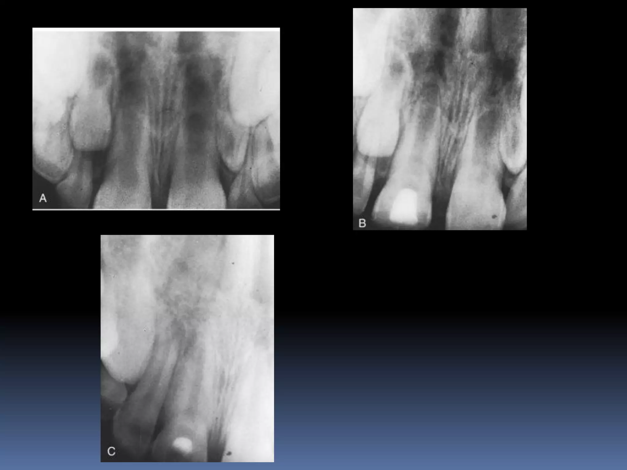
  • 33.
    Diagnosis and assessment: History  Subjective symptoms  Diagnostic tests  Radio graphs A radiolucent area usually surrounds the apex of an immature root with a healthy pulp
  • 34.
    OPEN APEX VITAL PULP APEXOGENESIS NONVITAL PULP APEXIFICATION
  • 35.
    APEXOGENESIS A Vital Pulp Therapyprocedure performed to encourage continued physiologic development and formation of the root end. Since the main objective is to maintain the vitality of the radicular pulp the pulp must be vital and capable of repair
  • 36.
    Trauma / mechanicalexposure / Caries  Small exposure - Pulp capping  Large exposures - Cvek pulpotomy Pulpotomy
  • 37.
    Technique: 1. Anesthesia andrubber dam isolation 2. The inflamed pulp tissue is removed using a sharp round bur in a high speed hand piece with water coolant for superficial 2-3mm of pulp amputaion [Cvek pulpotomy] 3. Or removal of the entire pulp to the level of the canal orifices using a large Spoon excavator 4. Hemorrhage is controlled by pressure on a cotton pellet moistened with saline. [ failure to achieve hemorrhage indicates pulpal inflammation]
  • 38.
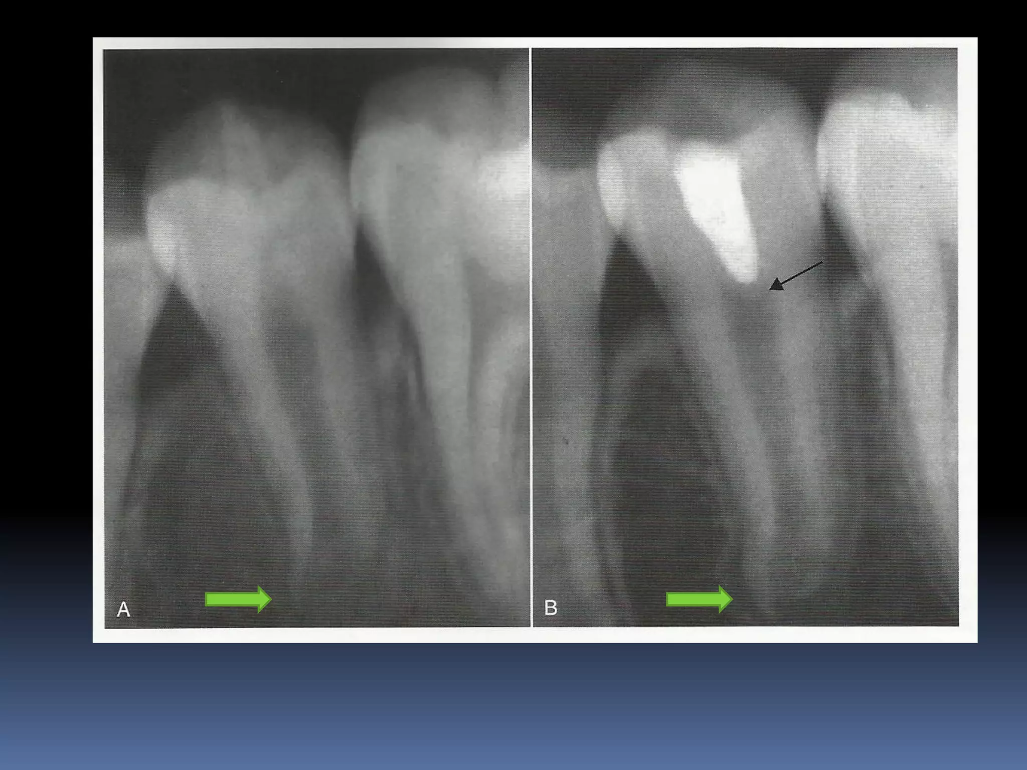
    The exposed pulpis rinsed with 2.5% sodium hypochlorite MTA or hard set calcium hydroxide is placed over the amputated pulp. MTA is prepared by mixing MTA powder with saline in the ratio of 3:1 on a glass slab. The mixture is placed on the exposed pulp and patted with a moist cotton pellet. MTA sets in the presence of moisture. Wet cotton pellet is placed over MTA and the tooth is restored.
  • 39.
    The patient isthen put on a periodic recall for 1-2yrs at every 6 month interval. Commonly encountered • Calcific metamorphosis • Internal resorption In such cases NSRCT initiated.
  • 41.
    APEXIFICATION Induction of acalcific barrier or creation of an artificial barrier across an open apex Technique: Local anesthesia and Rubber Dam isolation Access cavity preparation and extirpation of the pulp Working length is established slightly short of the apex [to prevent injury to apical tissues] Instrumentation and copius irrigation Drying the canal and introducing MTA into the canal
  • 42.
     Packing MTAusing endodontic pluggers or special system like MAP SYSTEM [Micro Apical placement]  MTA acts as an artificial barrier against which Gutta percha can be condensed.  Calcium hydroxide produces a biologic barrier but takes longer time.
  • 44.
    TISSUE ENGINEERING : Scienceof design and manufacturing of new tissues to replace tissues lost to disease or trauma. It involves three key elements 1. Stem cells/ progenitor cells 2. Signals or morphogens that induce morphogenesis 3. A scaffold that provides a 3D microenvironment for cell growth and environment
  • 45.
    Tissue Regeneration Bone morphogeneticprotein scaffold Undifferentiated mesenchymal cells Odontoblasts
  • 46.
    1. The bonemorphogenetic proteins are directly applied over the exposed amputated pulp 2. Ex-vivo - stem/progenitor cells are isolated from the pulp and differentiated into odontoblasts with recombinant BMP and BMP genes. These odontoblasts are autogenously transplanted into the exposed pulp.
  • 47.