ď‚–
TEETH DISCOLORATION
ETIOLOGY AND MANAGEMENT
Prepared by :
Ahmed Salah Abbas .
Under supervision of :
Dr . Nermin Alsayed .
Lecturer of operative dentistry .
Minia university .
ď‚–Tooth discoloration varies with etiology, appearance,
localization, severity and adherence to the tooth structure.
It may be classified as extrinsic or intrinsic discoloration or
combination . In this presentation , we will talk about
classification , etiology , management of tooth
discoloration .
A. Intrinsic discoloration .
B. Extrinsic discoloration .
ď‚–
Intrinsic discoloration :
is defined as endogenous staining that has been
incorporated into the tooth matrix and thus can not be
removed by prophylaxis.
Intrinsic discoloration include the following :
A . Dental fluorosis :
is a dental defect results from increased level of flourides in
the drinking water during the period of teeth development .
With level >1.2 ppm .
ď‚–
Clinically :
there are several grades of dental flourosis :
Grade Description
Very mild Small paper white or chalky white areas less than 25 % of the surface .
Mild Opaque areas up to 50 % of the surface .
Moderate Paper white or brownish areas involving nearly the whole surface .
Severe The enamel is opaque , brown , pitted , brittle and easily chipped away
from the tooth surface .
ď‚–
ď‚–
Treatment :
A. bleaching : effective with simple cases as brown
staining on the surface , but it`s less effective for opaque
cases , it will make it less noticeable but will not remove it
completely .
B. veneering : can be applied for mild and moderate cases
and gives results better than bleaching in these cases .
C. crowns : indicated for severe cases where there is a
surface mottling .
ď‚–
Tetracycline is taken by calcifying tissues .
It produces its effect when given during teeth
development , so tetracycline is contraindicated for
pregnant woman and child under the age of (12) years
old.
When tetracycline stained teeth are exposed to sun light
,they convert from yellow to darker color ( brown , gray )
, this explains the lighter color of molars when compared
with anteriors due to longer duration of exposure to sun
light .
ď‚–
Clinically :
Grade Clinical description Treatment
First
degree
Light yellow or light gray , uniformly
distributed throughout the crown
without banding or concentrated in a
local area .
it`s highly amenable to vital
bleaching ,provides good results
within less than four sessions .
Second
degree
Darker or more extensive yellow
or gray staining without banding
It`s amenable to vital bleaching ,
but it takes more sessions .
Third
degree
Severe staining characterized by
dark gray or bluish discoloration
with banding .
Vital bleaching lighten the
discoloration but don`t give a
satisfactory result ,so veneers with
opaquers are necessary .
fourth
degree
stains that too dark for bleaching
and don’t`t follow one of the
previous categories .
Veneers with opaquers .
ď‚–
1. Porphria : a group of disorders of heme biosynthesis
,characterized by excessive excretion of porphyrins .
Clinically : occur in deciduous and permanent teeth , appear pink
or lavender in color , fluoresce bright red under ultraviolet light .
Treatment : bleaching .
ď‚–
2 . Erythroblastosis fetalis :
grave hemolytic anemia results from development of ( Rh –
antibody ) in response to (Rh –factor ) in the fetal blood .
Clinically : teeth are bluish or greenish in color .
Treatment : bleaching .
ď‚–
3 . Other systemic diseases : as amelogenesis
imperfecta, deficiency in vit. C , D .
Clinically : opaque white patches which may be stained in the cases of
hypomineralized enamel .
Pitted and grooved tooth surface in the cases of hypoplastic enamel .
Treatment : bleaching isn`t appropriate treatment , the treatment for
such cases is veneering or crowning for such teeth .
ď‚–
D. Aging :
With age there will be a change in the color of teeth due
to the enamel will be thin and dentin will be thicker due
to deposition of secondary dentin so the tooth will
appear darker , also there will be staining of teeth and
this will depend on individual variations of consumption
of tea , coffee , beverages , alcohol , smoking .
Clinically : the teeth more yellowish ,darker .
Treatment : bleaching is effective , especially when
there is a sufficient thickness of enamel .
ď‚–
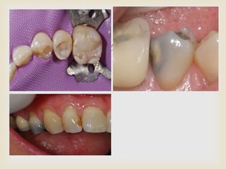
• Degraded tooth colored restorations can cause teeth
to appear gray or discolored .
• Also metallic restorations as amalgam and gold
restorations can reflect their colors through tooth
surfaces .
• In such cases replacement the old restorations by more
accurate and invisible restorations as composite
restorations and bleaching isn`t necessary in such
cases .
ď‚–
ď‚–
F . Non – vital teeth discoloration :
• In cases of teeth with necrotic pulps , teeth show gray
discoloration .
• In such cases we should perform endodontic treatment
to save the teeth , then we perform walking bleaching ,
in attempt to restore normal color of the teeth .
ď‚–
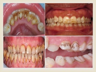
Extrinsic discoloration :
The most common discoloration of vital teeth , caused by
food and beverages as coffee , tea , somking , tobacco ,
marijuana .
Clinically : produces yellowish brown to black
discoloration usually on the cervical portion of the
lingual surface of teeth .
Treatment : microabrasion usually sufficient for such
cases , also vital bleaching can be performed if the
enamel is slightly stained .
ď‚–
ď‚–
Bleaching
• Because tooth bleaching does not affect the structural integrity of
the dentition, there is no relationship of tooth function and de-
coloration.
• In general, tooth de-coloration should be undertaken before
restorative treatment, but not for functional reasons. It makes
sense to establish the baseline coloration of the overall dentition
so that all restorative efforts can be directed toward a definitive
goal.
A. Vital bleaching .
B. Non – vital bleaching .
C. Home bleaching .
ď‚–
Factors affecting bleaching :
Surface Cleanliness
All extrinsic stains and surface films must be removed from the
tooth surface before bleaching. This will maximize the contact
area between the whitening agent and the tooth as well as minimize
the chance of diluting the bleaching agent.
Concentration
Higher concentrations of carbamide peroxide produce a more
rapid whitening effect15 as well as increased tooth sensitivity.2,15
This speed effect is not linear .
ď‚–
The Use of a Light
Meta-analysis studies on the use of light during in-office vital
bleaching demonstrated that light-activated systems produced better
immediate bleaching results than non-light systems when
lower concentrations of hydrogen peroxide (15%-20%) were
used.At higher concentrations of HP (25%-35%), no differences
were noted. In addition, light-activated systems produced a higher
percentage of tooth sensitivity than the non-light systems .
Temperature
increasing temperature doesn`t increase the speed of bleaching , but
cause overheating of the pulp .
ď‚–
Buffering Agents
To maintain a more neural pH, buffering agents are
added to the gel. These agents protect the pulp and promote the
continued production of free radicals .
Time
The longer the duration of bleach exposure, the greater the
degree of whitening. However, extended exposure to bleaching
agents increases the likelihood of sensitivity .
Whitening Gel Viscosity and Solubility
in-office gels are mixed with even higher viscosity
base to prevent the gel from running off the teeth. However,
high viscosity anhydrous bases exhibit high surface tension , which
can slow the absorption of gel into the microstructure of teeth .
Vital bleacing
In-office bleaching is useful in the removal of stains throughout the arch
(e.g., age, diet or tetracycline staining), for lightening a single tooth in
an arch (e.g., post-endodontically , non – vital bleaching )
Indications : • Developmental or acquired stains
• Stains in enamel and dentin
• Yellow-brown stains
• Age-yellowed smiles
• White or brown fluorosis
• Mild to moderate tetracycline stains
ď‚–
• Contraindications
A . should be avoided for teeth with large pulp chambers or those
that have exhibited sensitivity.
B. Patients with erosions, whether chemical, abrasive, or caused
by recession, may experience more bleaching sensitivity through
and after treatment.
C . Factors that can limit the success of bleaching are the degree
and quality of the discoloration. If the teeth are extremely dark, no
matter what the cause , so bleaching should be supported with
restorative treatment .
ď‚–
Bleaching agents :
either 30%-35% hydrogen peroxide or carbamide
peroxide concentrations that yield high concentrations of
hydrogen peroxide) in liquid or gel form.
Armamentarium:
A . Tinted protective eye glasses with side shields (for patient
and operator).
B . shade guide to record shade.
C . Bleaching agent .
D . Bite block/retractor .
E . Saliva ejectors .
ď‚–
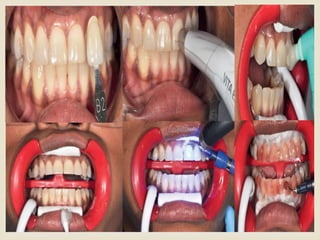
Clinical technique :
A . Pretreatment photographs .
B . Pretreatment shade determination .
C . Clean the teeth with flour of pumice in a prophylaxis cup .
D . Petroleum jelly can be applied to the lips for protection. Because
petroleum jelly can cause latex to degrade, nitrile gloves should be
used .
E . Place “liquid rubber dam” over the gingiva and polymerize with a
curing light according to the manufacturer’s instruction .
F . Apply bleaching agent for the time and duration as specified
in the manufacturer’s instructions .
ď‚–
G . After the appropriate bleaching time remove the gel with
copious amounts of water and suction .
H . Repeat the procedure according to the manufacturer’
instructions if required.
Note : Repeated bleaching sessions may be required to achieve the
desired results. It is important that the patient is aware of this and
that financial arrangements .
ď‚–
• Bleaching with an argon laser, a carbon dioxide laser, or a
combination of the twoas a light source have been introduced in
the past but sufficient long-term or controlled clinical studies of
safety and effectiveness currently are lacking .
• Studies have shown that the use of ultraviolet-assisted bleaching
did not significantly increase the intrapulpal temperature of
teeth when used for the recommended exposure time.
• Laser-assisted bleaching also may be no more effective than
nonlaser techniques .
Note : dentist and patient should wear protective eye glasses .
Note : A sensitivity prevention regimen of 5% potassium nitrate
toothpaste two times a day for 10 to 14 days before treatment
and 600 mg of Ibuprofen 1 hour before treatment can be prescribed
at this visit in cases in which sensitivity is a concern .
ď‚–
B . Non – vital bleaching :
Agent :
sodium perborate and 30% to 35% hydrogen peroxide used alone or in
combination.The most commonly used agent has been reported to be
30% hydrogen peroxide
Techniques : A . Walking bleaching .
B . Thermocatalytic technique .
Walking bleaching
1. Evaluate the high smile line.
2. If the gingival portion of the clinical crown is not visible during
function or maximum smiling, the incisal termination of the
base should be appropriately positioned to further reduce the
chance of external cervical root resorption .
5 . Remove excess gutta-percha and endodontic sealer. Remove
gutta-percha to 2 to 2.5 mm gingival to the gingival-most
point on the coronal extension of the planned base .
6 . Place a 2- to 2.5-mm thick protective base that conforms to
the predetermined design and location .
ď‚–
7 . Mix a thick paste of sodium perborate and sterile water on
a glass slab and place the mixture into the tooth.
8 . Tamp the mixture into place with a moist cotton pellet so
that appropriate space is provided for the temporary restorative
material .
9 . Seal the access with temporary restorative material .
10 . Schedule the next appointment for the patient for 3 days later.
11 . If a successful result is achieved after 3 days , Isolate the tooth
with rubber dam, remove the temporary filling, and carefully wash
the internal tooth chamber with water. Mix a thick paste of calcium
hydroxide powder and sterile water and place the mixture into the
tooth .
15 . After 7 to 14 days, remove the calcium hydroxide paste and
restore the tooth .
Note : External root resorption is a possible sequela of internal
bleaching.Hydrogen peroxide occasionally has been associated with
this development.The exact cause or causes of this response are still
not entirely understood .
ď‚–
Possible mechanisms of external root resorption :
A . In 10% of all teeth, the cementoenamel junction is defective or absent, resulting in
a portion of the tooth being devoid of cementum coverage.177 Thirty-five percent
hydrogen peroxide may denature the dentin, invoking a foreign body response .
B . Internally applied 35% hydrogen peroxide may directly contact the periodontal
membrane by passing through patent dentinal tubules179 or through lateral root
canals or accessory foramina.180 This may elicit an inflammatory reaction,
ultimately resulting in cervical resorption .
C . Bleaching agents may infiltrate between the gutta-perchaand the root canal walls.
They could then communicate with the periodontal membrane through the dentinal
tubules,lateral canals, or apex. This may invoke a resorptive process anywhere along
the root area, including the apical regions.
D . Heat application during treatment may invoke a resorptive process .
Patient self-application of bleaching agents performed at home is
perhaps the most popular method of bleaching vital teeth. It is
alternately referred to as “home bleaching” or “matrix bleaching.”
• Bleaching agent : 10% carbamide peroxide , decomposes into
approximately 3.5% hydrogen peroxide and 6.5% urea , Carbopol
and other thickeners often are incorporated to enhance the
material’s properties to produce a gel or paste.
• General Considerations : 1 . this technique should not be used by
pregnant women
• 2 . Calculus should be removed .
• 3 . Teeth to be bleached should be free of caries and have no defective
restorations .
ď‚–
• Technique
1 . The material options for at-home bleaching include bleaching trays .
2 . In most cases a custom-made tray is fabricated by the dental office or
laboratory and given to the patient .
3 . The patient injects the bleaching agent into the tray during the day,
overnight, or both .
4 . typically requires about 2 to 4 weeks .
ď‚–
Bleaching maintenance :
• Avoidance of chromogenic food as possible .
• Continuous brushing , flossing , scalling teeth from 2-4 times per
year .
• Rinsing mouth with water roughly after using mouth wash
preparations .
• It has been observed that bleaching effects regress over time. It is
not the bleaching effect that changes, but simply the dietary and
habit-induced staining that is undoing the whiteness of the teeth.
For many individuals, re-staining can take years, but for some,
particularly heavy drinkers of red wine and smokers .
ď‚–
Microabrasion
Definition : is a procedure in which a microscopic layer of enamel
is simultaneously abraded and eroded with special compound ,
leaving a perfect enamel surface behind , it`s used for treatment of
dysmineralization cases .
Difference between bleaching and microabrasion :
Bleaching : improves tooth color by whitening , lightening , preserving
fluoride rich layer of enamel .
Microabrasion : improves tooth color by removing discolored enamel
superficial layer which is permanent , usually used when isolated surface
discoloration is present .
ď‚–
Advantages :
Disadvantages:
ď‚–
Indications :
Contraindications :
ď‚–
Technique :
ď‚–
microabrasion results :
enamel appears smooth , lustrous , normally about 200µm of enamel
is removed or less . Remineralisation can occur , enamel appears not
to retain plaque , stains .
ď‚–
• References :
A . A concise textbook of oral pathology , Ain Shames
university .
B . Contemporary esthetics textbook .
C .Bleaching and related agents (Kenneth W. Aschheim ) .
D . Esthetics in dentistry textbook .
E . Linda Greenwall`s article .

Teeth discoloration

  • 1.
    ď‚– TEETH DISCOLORATION ETIOLOGY ANDMANAGEMENT Prepared by : Ahmed Salah Abbas . Under supervision of : Dr . Nermin Alsayed . Lecturer of operative dentistry . Minia university .
  • 2.
    ď‚–Tooth discoloration varieswith etiology, appearance, localization, severity and adherence to the tooth structure. It may be classified as extrinsic or intrinsic discoloration or combination . In this presentation , we will talk about classification , etiology , management of tooth discoloration .
  • 3.
    A. Intrinsic discoloration. B. Extrinsic discoloration .
  • 4.
    ď‚– Intrinsic discoloration : isdefined as endogenous staining that has been incorporated into the tooth matrix and thus can not be removed by prophylaxis. Intrinsic discoloration include the following : A . Dental fluorosis : is a dental defect results from increased level of flourides in the drinking water during the period of teeth development . With level >1.2 ppm .
  • 5.
    ď‚– Clinically : there areseveral grades of dental flourosis : Grade Description Very mild Small paper white or chalky white areas less than 25 % of the surface . Mild Opaque areas up to 50 % of the surface . Moderate Paper white or brownish areas involving nearly the whole surface . Severe The enamel is opaque , brown , pitted , brittle and easily chipped away from the tooth surface .
  • 6.
  • 7.
    ď‚– Treatment : A. bleaching: effective with simple cases as brown staining on the surface , but it`s less effective for opaque cases , it will make it less noticeable but will not remove it completely . B. veneering : can be applied for mild and moderate cases and gives results better than bleaching in these cases . C. crowns : indicated for severe cases where there is a surface mottling .
  • 8.
  • 9.
    Tetracycline is takenby calcifying tissues . It produces its effect when given during teeth development , so tetracycline is contraindicated for pregnant woman and child under the age of (12) years old. When tetracycline stained teeth are exposed to sun light ,they convert from yellow to darker color ( brown , gray ) , this explains the lighter color of molars when compared with anteriors due to longer duration of exposure to sun light .
  • 10.
     Clinically : Grade Clinicaldescription Treatment First degree Light yellow or light gray , uniformly distributed throughout the crown without banding or concentrated in a local area . it`s highly amenable to vital bleaching ,provides good results within less than four sessions . Second degree Darker or more extensive yellow or gray staining without banding It`s amenable to vital bleaching , but it takes more sessions . Third degree Severe staining characterized by dark gray or bluish discoloration with banding . Vital bleaching lighten the discoloration but don`t give a satisfactory result ,so veneers with opaquers are necessary . fourth degree stains that too dark for bleaching and don’t`t follow one of the previous categories . Veneers with opaquers .
  • 11.
  • 12.
    1. Porphria :a group of disorders of heme biosynthesis ,characterized by excessive excretion of porphyrins . Clinically : occur in deciduous and permanent teeth , appear pink or lavender in color , fluoresce bright red under ultraviolet light . Treatment : bleaching .
  • 13.
     2 . Erythroblastosisfetalis : grave hemolytic anemia results from development of ( Rh – antibody ) in response to (Rh –factor ) in the fetal blood . Clinically : teeth are bluish or greenish in color . Treatment : bleaching .
  • 14.
    ď‚– 3 . Othersystemic diseases : as amelogenesis imperfecta, deficiency in vit. C , D . Clinically : opaque white patches which may be stained in the cases of hypomineralized enamel . Pitted and grooved tooth surface in the cases of hypoplastic enamel . Treatment : bleaching isn`t appropriate treatment , the treatment for such cases is veneering or crowning for such teeth .
  • 15.
    ď‚– D. Aging : Withage there will be a change in the color of teeth due to the enamel will be thin and dentin will be thicker due to deposition of secondary dentin so the tooth will appear darker , also there will be staining of teeth and this will depend on individual variations of consumption of tea , coffee , beverages , alcohol , smoking . Clinically : the teeth more yellowish ,darker . Treatment : bleaching is effective , especially when there is a sufficient thickness of enamel .
  • 16.
  • 17.
    • Degraded toothcolored restorations can cause teeth to appear gray or discolored . • Also metallic restorations as amalgam and gold restorations can reflect their colors through tooth surfaces . • In such cases replacement the old restorations by more accurate and invisible restorations as composite restorations and bleaching isn`t necessary in such cases .
  • 18.
  • 19.
     F . Non– vital teeth discoloration : • In cases of teeth with necrotic pulps , teeth show gray discoloration . • In such cases we should perform endodontic treatment to save the teeth , then we perform walking bleaching , in attempt to restore normal color of the teeth .
  • 20.
    ď‚– Extrinsic discoloration : Themost common discoloration of vital teeth , caused by food and beverages as coffee , tea , somking , tobacco , marijuana . Clinically : produces yellowish brown to black discoloration usually on the cervical portion of the lingual surface of teeth . Treatment : microabrasion usually sufficient for such cases , also vital bleaching can be performed if the enamel is slightly stained .
  • 21.
  • 22.
     Bleaching • Because toothbleaching does not affect the structural integrity of the dentition, there is no relationship of tooth function and de- coloration. • In general, tooth de-coloration should be undertaken before restorative treatment, but not for functional reasons. It makes sense to establish the baseline coloration of the overall dentition so that all restorative efforts can be directed toward a definitive goal.
  • 23.
    A. Vital bleaching. B. Non – vital bleaching . C. Home bleaching .
  • 24.
    ď‚– Factors affecting bleaching: Surface Cleanliness All extrinsic stains and surface films must be removed from the tooth surface before bleaching. This will maximize the contact area between the whitening agent and the tooth as well as minimize the chance of diluting the bleaching agent. Concentration Higher concentrations of carbamide peroxide produce a more rapid whitening effect15 as well as increased tooth sensitivity.2,15 This speed effect is not linear .
  • 25.
    ď‚– The Use ofa Light Meta-analysis studies on the use of light during in-office vital bleaching demonstrated that light-activated systems produced better immediate bleaching results than non-light systems when lower concentrations of hydrogen peroxide (15%-20%) were used.At higher concentrations of HP (25%-35%), no differences were noted. In addition, light-activated systems produced a higher percentage of tooth sensitivity than the non-light systems . Temperature increasing temperature doesn`t increase the speed of bleaching , but cause overheating of the pulp .
  • 26.
    ď‚– Buffering Agents To maintaina more neural pH, buffering agents are added to the gel. These agents protect the pulp and promote the continued production of free radicals . Time The longer the duration of bleach exposure, the greater the degree of whitening. However, extended exposure to bleaching agents increases the likelihood of sensitivity . Whitening Gel Viscosity and Solubility in-office gels are mixed with even higher viscosity base to prevent the gel from running off the teeth. However, high viscosity anhydrous bases exhibit high surface tension , which can slow the absorption of gel into the microstructure of teeth .
  • 27.
    Vital bleacing In-office bleachingis useful in the removal of stains throughout the arch (e.g., age, diet or tetracycline staining), for lightening a single tooth in an arch (e.g., post-endodontically , non – vital bleaching ) Indications : • Developmental or acquired stains • Stains in enamel and dentin • Yellow-brown stains • Age-yellowed smiles • White or brown fluorosis • Mild to moderate tetracycline stains
  • 28.
     • Contraindications A .should be avoided for teeth with large pulp chambers or those that have exhibited sensitivity. B. Patients with erosions, whether chemical, abrasive, or caused by recession, may experience more bleaching sensitivity through and after treatment. C . Factors that can limit the success of bleaching are the degree and quality of the discoloration. If the teeth are extremely dark, no matter what the cause , so bleaching should be supported with restorative treatment .
  • 29.
    ď‚– Bleaching agents : either30%-35% hydrogen peroxide or carbamide peroxide concentrations that yield high concentrations of hydrogen peroxide) in liquid or gel form. Armamentarium: A . Tinted protective eye glasses with side shields (for patient and operator). B . shade guide to record shade. C . Bleaching agent . D . Bite block/retractor . E . Saliva ejectors .
  • 30.
     Clinical technique : A. Pretreatment photographs . B . Pretreatment shade determination . C . Clean the teeth with flour of pumice in a prophylaxis cup . D . Petroleum jelly can be applied to the lips for protection. Because petroleum jelly can cause latex to degrade, nitrile gloves should be used . E . Place “liquid rubber dam” over the gingiva and polymerize with a curing light according to the manufacturer’s instruction . F . Apply bleaching agent for the time and duration as specified in the manufacturer’s instructions .
  • 31.
     G . Afterthe appropriate bleaching time remove the gel with copious amounts of water and suction . H . Repeat the procedure according to the manufacturer’ instructions if required. Note : Repeated bleaching sessions may be required to achieve the desired results. It is important that the patient is aware of this and that financial arrangements .
  • 32.
  • 33.
    • Bleaching withan argon laser, a carbon dioxide laser, or a combination of the twoas a light source have been introduced in the past but sufficient long-term or controlled clinical studies of safety and effectiveness currently are lacking . • Studies have shown that the use of ultraviolet-assisted bleaching did not significantly increase the intrapulpal temperature of teeth when used for the recommended exposure time. • Laser-assisted bleaching also may be no more effective than nonlaser techniques .
  • 34.
    Note : dentistand patient should wear protective eye glasses . Note : A sensitivity prevention regimen of 5% potassium nitrate toothpaste two times a day for 10 to 14 days before treatment and 600 mg of Ibuprofen 1 hour before treatment can be prescribed at this visit in cases in which sensitivity is a concern .
  • 35.
     B . Non– vital bleaching : Agent : sodium perborate and 30% to 35% hydrogen peroxide used alone or in combination.The most commonly used agent has been reported to be 30% hydrogen peroxide Techniques : A . Walking bleaching . B . Thermocatalytic technique . Walking bleaching 1. Evaluate the high smile line. 2. If the gingival portion of the clinical crown is not visible during function or maximum smiling, the incisal termination of the base should be appropriately positioned to further reduce the chance of external cervical root resorption .
  • 36.
    5 . Removeexcess gutta-percha and endodontic sealer. Remove gutta-percha to 2 to 2.5 mm gingival to the gingival-most point on the coronal extension of the planned base . 6 . Place a 2- to 2.5-mm thick protective base that conforms to the predetermined design and location .
  • 37.
    ď‚– 7 . Mixa thick paste of sodium perborate and sterile water on a glass slab and place the mixture into the tooth. 8 . Tamp the mixture into place with a moist cotton pellet so that appropriate space is provided for the temporary restorative material . 9 . Seal the access with temporary restorative material . 10 . Schedule the next appointment for the patient for 3 days later. 11 . If a successful result is achieved after 3 days , Isolate the tooth with rubber dam, remove the temporary filling, and carefully wash the internal tooth chamber with water. Mix a thick paste of calcium hydroxide powder and sterile water and place the mixture into the tooth .
  • 38.
    15 . After7 to 14 days, remove the calcium hydroxide paste and restore the tooth . Note : External root resorption is a possible sequela of internal bleaching.Hydrogen peroxide occasionally has been associated with this development.The exact cause or causes of this response are still not entirely understood .
  • 39.
    ď‚– Possible mechanisms ofexternal root resorption : A . In 10% of all teeth, the cementoenamel junction is defective or absent, resulting in a portion of the tooth being devoid of cementum coverage.177 Thirty-five percent hydrogen peroxide may denature the dentin, invoking a foreign body response . B . Internally applied 35% hydrogen peroxide may directly contact the periodontal membrane by passing through patent dentinal tubules179 or through lateral root canals or accessory foramina.180 This may elicit an inflammatory reaction, ultimately resulting in cervical resorption . C . Bleaching agents may infiltrate between the gutta-perchaand the root canal walls. They could then communicate with the periodontal membrane through the dentinal tubules,lateral canals, or apex. This may invoke a resorptive process anywhere along the root area, including the apical regions. D . Heat application during treatment may invoke a resorptive process .
  • 41.
    Patient self-application ofbleaching agents performed at home is perhaps the most popular method of bleaching vital teeth. It is alternately referred to as “home bleaching” or “matrix bleaching.” • Bleaching agent : 10% carbamide peroxide , decomposes into approximately 3.5% hydrogen peroxide and 6.5% urea , Carbopol and other thickeners often are incorporated to enhance the material’s properties to produce a gel or paste. • General Considerations : 1 . this technique should not be used by pregnant women • 2 . Calculus should be removed . • 3 . Teeth to be bleached should be free of caries and have no defective restorations .
  • 42.
     • Technique 1 .The material options for at-home bleaching include bleaching trays . 2 . In most cases a custom-made tray is fabricated by the dental office or laboratory and given to the patient . 3 . The patient injects the bleaching agent into the tray during the day, overnight, or both . 4 . typically requires about 2 to 4 weeks .
  • 43.
     Bleaching maintenance : •Avoidance of chromogenic food as possible . • Continuous brushing , flossing , scalling teeth from 2-4 times per year . • Rinsing mouth with water roughly after using mouth wash preparations . • It has been observed that bleaching effects regress over time. It is not the bleaching effect that changes, but simply the dietary and habit-induced staining that is undoing the whiteness of the teeth. For many individuals, re-staining can take years, but for some, particularly heavy drinkers of red wine and smokers .
  • 44.
    ď‚– Microabrasion Definition : isa procedure in which a microscopic layer of enamel is simultaneously abraded and eroded with special compound , leaving a perfect enamel surface behind , it`s used for treatment of dysmineralization cases . Difference between bleaching and microabrasion : Bleaching : improves tooth color by whitening , lightening , preserving fluoride rich layer of enamel . Microabrasion : improves tooth color by removing discolored enamel superficial layer which is permanent , usually used when isolated surface discoloration is present .
  • 45.
  • 46.
  • 47.
  • 48.
     microabrasion results : enamelappears smooth , lustrous , normally about 200µm of enamel is removed or less . Remineralisation can occur , enamel appears not to retain plaque , stains .
  • 49.
     • References : A. A concise textbook of oral pathology , Ain Shames university . B . Contemporary esthetics textbook . C .Bleaching and related agents (Kenneth W. Aschheim ) . D . Esthetics in dentistry textbook . E . Linda Greenwall`s article .