THE CELL

Chapter 7
Microscopy
 Micrographs
   Photograph of the view through a microscope
 Light Microscopes
 Electron Microscopes
   Scanning EM
     To look at the surface of cells/specimen
     3-D images
   Transmission EM
     To look at internal structures of cells/specimen
Robert Hook (1665)

    Englishman
    cork
    “cells”
    Compound
     microscope
Anton van Leeuwenhoek
(1660’S)
  (LAY vun
   Hook)
  Holland
  Single lens
   microscope
  Pond water
  “animalcules”
Cell Theory

  3 parts and key people
Cells

  Basic units of life
Matthias Schleiden (1838)

  German botanist
  Plant cells
Theodor Schwann (1839)

  German biologist
  Animal cells
Rudolf Virchow (1855)

  German physician
  New cells could only
   come from the division
   of existing cells
Cell Theory

  All living things are composed of one or
   more cells
  Cells are the basic units of structure and
   function in living things
  New Cells are produced from existing
   cells
Lots of different shapes
   and sizes of cells
Sizes
 The body is made of 100 trillion cell (1014)
 Extremely small…The human eye can see
  .01 cm, a human cell is 5x smaller
 5 to 50 micrometers…µm
 How big is a micrometer?
 1m=100cm=1,000,000 micrometers
 1 micrometer=.000001m
 Basically you can’t see it
 Remember: KHDmDCM..micro..nano..pico
Chaos chaos
 Largest protozoan
 You can see without
  microscope
 1000 micrometers
 How many meters is this?
   .001 m
 How many centimeters is
  this?
   0.1 cm
2 things in every cell…

  Surrounded by a barrier, cell membrane
  At some point in their life they contain….
    DNA
What is a Nucleus?
   Plural: nuclei
   Large, membrane enclosed
    structure that contains the
    cell’s genetic material in the
    form of DNA
   What is a membrane?
     A thin layer of material that
      serves as a covering or lining
2 categories for cells…
 Prokaryotes (pro-care-ee-ohts)
   No nucleus
   Cell’s genetic material is not contained in the
    nucleus…found in NUCLEOID:
        Region in cytoplasm where DNA is found
     Less complicated that eukaryotes
     Some have internal membranes
     Do NOT have membrane bound organelles
     Carry out every activity associated with living
      things…which are…
 Eukaryotes (you-care-ee-othts)
   Contain nucleus in which the genetic
    material is separated from the rest of the cell
   Contains dozens of structures and internal
    membranes
   High Variety
   Single celled or multi-cellular
   Plants, animals, fungi, and protists
Eukaryotic cell
structure
The Cell factory
  Organelles
     Highly specialized structures within the cell
     Little organs
  2 major divisions of the eukaryotic cell
     Nucleus
        The “brain”
        DNA
     Cytoplasm
        Portion outside the nucleus but inside the cell membrane
2 types of Eukaryotic cells
  Plant cells
  Animal cells
  What are the differences? (write them down!!!)
Nucleus

  Brain of the cell
  Office of the factory
  Contains nearly all the cell’s DNA and
   with it the coded instructions for making
   PROTEINS and other important
   molecules
Nuclear envelope
 Surrounds nucleus
 Made of 2 membranes
 Dotted with thousands of nuclear pores
   How do we get messages, instructions and
    blueprints out of the office?
   Allow material to move in and out of nucleus by
    using “little runners” such as proteins, RNA and
    other molecules
Inside the nucleus we
see…
  Contain a granular material called…
  CHROMATIN
    Chromatin= DNA + protein
    Usually spread out in nucleus
    During cell division, chromatin clumps
     together or condenses…we call this….
    CHROMOSOMES
In the nucleus…

  Contain a granular material called…
  CHROMATIN
    Chromatin= DNA + protein
    Usually spread out in nucleus
    During cell division, chromatin clumps
     together or condenses…we call this….
    CHROMOSOMES
Chromosomes

 Threadlike structures that contain genetic
  information that is passed on from one
  generation to the next
Nucleolus

  Small dense region inside the nucleus
  Function: assembly of ribosomes begin…
Ribosomes
  Most important function of cell is…
     Making proteins
     Proteins regulate a zillion different things
     Like…
  Proteins are assembled ON Ribosomes
  Ribosomes are small particles of protein &
   RNA (what’s RNA?)
  They follow instructions from the nucleus to
   make proteins…follow the orders from the
   “head haunchos” in the main office
  Scattered throughout the cell
  They are like little factories
  If a cell’s main function is making proteins, how
   many ribosomes are you going to have?
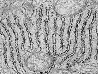
Endoplasmic reticulum
(ER)
  Internal membrane system
  The site where the lipid components of
   the cell membrane are assembled, along
   with proteins and other materials
   exported from the cell
  2 types
    Smooth ER
    Rough ER
Rough ER
 Involved in protein making (synthesis)
 So what are we going to see on it?
   ribosomes
 Once a protein is made, it leaves the
  ribosome and goes into the Rough ER
 The rough ER then modifies the protein
 All proteins that are exported by the cell
  are made on the RER
 Membrane proteins are made on the
  RER too
Smooth ER
 NO ribosomes on it
 Looks smooth
 Contains collections of ENZYMES that have
  specialized tasks
   What do enzymes do?
 Tasks include:
   Synthesis of membrane lipids
   Detoxification of drugs
   Liver cells
      Big in detox therefore….what do u think liver cells have a
       lot of?
Golgi Apparatus
  Discovered by Italian scientist Camillo Golgi
  Once proteins are done being “modified” in the
   RER, they move onto the Golgi apparatus
  Looks like a stack of pancakes
  Function: modify, sort, and package proteins
   and other materials from the ER for STORAGE
   or SECRETION outside the cell
    Proteins are “shipped” to final destination
  They are the CUSTOMIZATION SHOP
    Finishing touches on proteins before they leave
     factory
Lysosomes
 (Lie-so-soh-mz)
 The factory’s clean-up crew
 It’s an Organelle filled with
  enzymes
 Function: Digestion (break
  down) of
  lipids, carbohydrates, and
  proteins into smaller
  molecules that can be used
  by the cell
 Also digest organelles that
  have outlived their
  usefulness
What do you think happens if
    lysosomes malfunction?
 A bunch of “junk” build up in the
  cell…why?
 Is this good?
 Many human diseases result from
  malfunction of lysosome
    Tay-Sachs disease
    DNA does not make the enzyme
      hexoaminidase A that breaks down
      lipids in nerve cells
    Build up of lipids in nerve cells
      causes those cells to stop working
    Noticeable 3-6 months after birth,
      child lives to be about 4-5 years old
Vacuoles
 The factory’s storage place
 Only in certain cells
 Sac-like organelles
 Function: stores material such as
  water, salts, proteins, and carbohydrates
 Plant cells have a single, large central
  vacuole
     Pressure of central vacuole allows plants to
      support heavy structures
Single-celled organisms and
some animals also have
vacuoles…
  Paramecium
    Contractile vacuole
    Contracts rhythmically to pump excess water
     out…this maintains what?
      homeostasis
What is the one thing
all living things need
to
eat, breath, reproduce
, move and much
more?
 ENERGY!!!!
Two ways cells get
energy…
  From food molecules
  From the sun
Mithochondria

  Convert chemical energy stored in food
   into compounds that are more convienent
   for the cell to use
  Has 2 membranes
    Inner membrane
    Outer membrane
  In Animal AND Plant cells
  Nearly all come from the ovum
    You get your mitochondria from your mom!
Chloroplasts
 Plant and some Bacteria cells only ( NOT
  in animal cells)
 Capture energy from the sunlight and
  convert it into chemical energy…what is
  this process called?
   PHOTOSYNTHESIS
 Like solar power for plants
 2 membranes
 Inside: large stacks of other membranes
  that contain chlorphyll
Organelle DNA
 Chloroplasts and
  mitochondria contain their
  own genetic info
   In form of small, circular
    DNA molecules
   mDNA
Lynn Margulis

  American biologist
  Chloroplasts and
   mitochondria are
   descendents of
   prokaryotes
She said…
  Ancient Prokaryotes from wayyyyy back in the
   day had a symbiotic relationship with the
   ancient eukaryotes
    What is symbiotic? (review ecology!!!)
  The prokaryotes lived inside the eukaryotes
  There were prokaryotes that used oxygen to
   make energy (ATP)
    Mitochondria
  There were prokaryotes that used
   photosynthesis to get energy
    Chloroplasts
Endosymbiotic Theory

  Idea that
   mitochondria and
   chloroplasts evolved
   from prokaryotes
Cytoskeleton

 Supporting structure and
transportation system
 Network of protein filaments that helps
  the cell to maintain its shape and to help
  the cell move
 2 main type of filaments
   Microtubules
   Microfilaments
  (Intermediate filaments is a 3rd type)
Microfilaments

    Threadlike structures
    Made of protein called ACTIN
    Extensive networks
    Tough, flexible framework
    Help cells move
    Assembly and disassembly helps cells
     move (like amoebas)
Microtubules

    Hollow structures
    Made of proteins called TUBULINS
    Maintain cell’s shape
    Important in cell division
      Make mitotic spindle (separates
       chromosomes)
  Help build projections from cell surface…
Cilia and Flagella
 Plural: cilium and flagellum
 Cilia: hundreds of extension of the cell membrane that move like
  the oars of a boat
 Flagella: one or two long extensions off the cell that move in a
  whip like fashion
 Enable cells to swim rapidly through liquid
Centrioles

  Only animal cells
  Made of protein
   TUBULIN
    What else is made of
     tubulin?
  Near nucleus
  Help organize cell
   division
   Antwon van Leeuwenhook      Golgi apparatus            Microscope
   Robert Hook                 Micrometer                 Micrograph
   Cell                        Millimeter                 Magnifier
   bacteria                    Picameter                  Lens
   Cell Theory                 Lysosome
                                                            Contractile vacuole
   Electron microscope         Vacuole
   Prokaryote                  Mitochondria               Central Vacuole
   Eukaryote                   Chloroplast                Centrioles
   Organelles                  Cytoskeleton               Centrosomes
   Cytoplasm                   Centriole                  Nuclear pores
   Nuclear envelope            Mictrotubule               Nuclear-plasm
   Chromatin                   Microfilament              Stomata
   Nucleus                     Theodor Schwann            ATP synthase
   nucleolus                   Matthias Schleiden         Chlorophyll
   Ribosome                    Rudolph Virchow
                                                            Cell membrane
   Smooth ER                   Lynn Margulis
   Rough ER                    Endosymbiotic Theory       Cell Wall
   Chromosome                  Cilia                      Cellulose
   Vacuole                     Flagella                   Phospholipids
   Osmosis                     Photosynthesis             Thylakoid
   Endocytosis                 Pseudopodia                Cristae
   exocytosis                  Aquaporin                  Matrix
   Proteins                    Transmembrane protein      Inner membrane
   DNA                         Facilitated diffusion      Outer memebrane
   RNA
The cell factory
The cell factory
The cell factory

The cell factory

  • 1.
  • 2.
    Microscopy  Micrographs  Photograph of the view through a microscope  Light Microscopes  Electron Microscopes  Scanning EM  To look at the surface of cells/specimen  3-D images  Transmission EM  To look at internal structures of cells/specimen
  • 14.
    Robert Hook (1665)  Englishman  cork  “cells”  Compound microscope
  • 16.
    Anton van Leeuwenhoek (1660’S)  (LAY vun Hook)  Holland  Single lens microscope  Pond water  “animalcules”
  • 18.
    Cell Theory 3 parts and key people
  • 19.
    Cells  Basicunits of life
  • 20.
    Matthias Schleiden (1838)  German botanist  Plant cells
  • 21.
    Theodor Schwann (1839)  German biologist  Animal cells
  • 22.
    Rudolf Virchow (1855)  German physician  New cells could only come from the division of existing cells
  • 23.
    Cell Theory All living things are composed of one or more cells  Cells are the basic units of structure and function in living things  New Cells are produced from existing cells
  • 24.
    Lots of differentshapes and sizes of cells
  • 28.
    Sizes  The bodyis made of 100 trillion cell (1014)  Extremely small…The human eye can see .01 cm, a human cell is 5x smaller  5 to 50 micrometers…µm  How big is a micrometer?  1m=100cm=1,000,000 micrometers  1 micrometer=.000001m  Basically you can’t see it  Remember: KHDmDCM..micro..nano..pico
  • 30.
    Chaos chaos  Largestprotozoan  You can see without microscope  1000 micrometers  How many meters is this?  .001 m  How many centimeters is this?  0.1 cm
  • 31.
    2 things inevery cell…  Surrounded by a barrier, cell membrane  At some point in their life they contain….  DNA
  • 32.
    What is aNucleus?  Plural: nuclei  Large, membrane enclosed structure that contains the cell’s genetic material in the form of DNA  What is a membrane?  A thin layer of material that serves as a covering or lining
  • 34.
    2 categories forcells…  Prokaryotes (pro-care-ee-ohts)  No nucleus  Cell’s genetic material is not contained in the nucleus…found in NUCLEOID:  Region in cytoplasm where DNA is found  Less complicated that eukaryotes  Some have internal membranes  Do NOT have membrane bound organelles  Carry out every activity associated with living things…which are…
  • 35.
     Eukaryotes (you-care-ee-othts)  Contain nucleus in which the genetic material is separated from the rest of the cell  Contains dozens of structures and internal membranes  High Variety  Single celled or multi-cellular  Plants, animals, fungi, and protists
  • 36.
  • 37.
    The Cell factory  Organelles  Highly specialized structures within the cell  Little organs  2 major divisions of the eukaryotic cell  Nucleus  The “brain”  DNA  Cytoplasm  Portion outside the nucleus but inside the cell membrane
  • 38.
    2 types ofEukaryotic cells  Plant cells  Animal cells  What are the differences? (write them down!!!)
  • 39.
    Nucleus  Brainof the cell  Office of the factory  Contains nearly all the cell’s DNA and with it the coded instructions for making PROTEINS and other important molecules
  • 40.
    Nuclear envelope  Surroundsnucleus  Made of 2 membranes  Dotted with thousands of nuclear pores  How do we get messages, instructions and blueprints out of the office?  Allow material to move in and out of nucleus by using “little runners” such as proteins, RNA and other molecules
  • 41.
    Inside the nucleuswe see…  Contain a granular material called…  CHROMATIN  Chromatin= DNA + protein  Usually spread out in nucleus  During cell division, chromatin clumps together or condenses…we call this….  CHROMOSOMES
  • 42.
    In the nucleus…  Contain a granular material called…  CHROMATIN  Chromatin= DNA + protein  Usually spread out in nucleus  During cell division, chromatin clumps together or condenses…we call this….  CHROMOSOMES
  • 43.
    Chromosomes  Threadlike structuresthat contain genetic information that is passed on from one generation to the next
  • 44.
    Nucleolus  Smalldense region inside the nucleus  Function: assembly of ribosomes begin…
  • 46.
    Ribosomes  Mostimportant function of cell is…  Making proteins  Proteins regulate a zillion different things  Like…  Proteins are assembled ON Ribosomes  Ribosomes are small particles of protein & RNA (what’s RNA?)  They follow instructions from the nucleus to make proteins…follow the orders from the “head haunchos” in the main office  Scattered throughout the cell  They are like little factories  If a cell’s main function is making proteins, how many ribosomes are you going to have?
  • 48.
    Endoplasmic reticulum (ER) Internal membrane system  The site where the lipid components of the cell membrane are assembled, along with proteins and other materials exported from the cell  2 types  Smooth ER  Rough ER
  • 49.
    Rough ER  Involvedin protein making (synthesis)  So what are we going to see on it?  ribosomes  Once a protein is made, it leaves the ribosome and goes into the Rough ER  The rough ER then modifies the protein  All proteins that are exported by the cell are made on the RER  Membrane proteins are made on the RER too
  • 51.
    Smooth ER  NOribosomes on it  Looks smooth  Contains collections of ENZYMES that have specialized tasks  What do enzymes do?  Tasks include:  Synthesis of membrane lipids  Detoxification of drugs  Liver cells  Big in detox therefore….what do u think liver cells have a lot of?
  • 53.
    Golgi Apparatus Discovered by Italian scientist Camillo Golgi  Once proteins are done being “modified” in the RER, they move onto the Golgi apparatus  Looks like a stack of pancakes  Function: modify, sort, and package proteins and other materials from the ER for STORAGE or SECRETION outside the cell  Proteins are “shipped” to final destination  They are the CUSTOMIZATION SHOP  Finishing touches on proteins before they leave factory
  • 56.
    Lysosomes  (Lie-so-soh-mz)  Thefactory’s clean-up crew  It’s an Organelle filled with enzymes  Function: Digestion (break down) of lipids, carbohydrates, and proteins into smaller molecules that can be used by the cell  Also digest organelles that have outlived their usefulness
  • 57.
    What do youthink happens if lysosomes malfunction?  A bunch of “junk” build up in the cell…why?  Is this good?  Many human diseases result from malfunction of lysosome  Tay-Sachs disease  DNA does not make the enzyme hexoaminidase A that breaks down lipids in nerve cells  Build up of lipids in nerve cells causes those cells to stop working  Noticeable 3-6 months after birth, child lives to be about 4-5 years old
  • 58.
    Vacuoles  The factory’sstorage place  Only in certain cells  Sac-like organelles  Function: stores material such as water, salts, proteins, and carbohydrates  Plant cells have a single, large central vacuole  Pressure of central vacuole allows plants to support heavy structures
  • 60.
    Single-celled organisms and someanimals also have vacuoles…  Paramecium  Contractile vacuole  Contracts rhythmically to pump excess water out…this maintains what?  homeostasis
  • 61.
    What is theone thing all living things need to eat, breath, reproduce , move and much more? ENERGY!!!!
  • 62.
    Two ways cellsget energy…  From food molecules  From the sun
  • 63.
    Mithochondria  Convertchemical energy stored in food into compounds that are more convienent for the cell to use  Has 2 membranes  Inner membrane  Outer membrane  In Animal AND Plant cells  Nearly all come from the ovum  You get your mitochondria from your mom!
  • 66.
    Chloroplasts  Plant andsome Bacteria cells only ( NOT in animal cells)  Capture energy from the sunlight and convert it into chemical energy…what is this process called?  PHOTOSYNTHESIS  Like solar power for plants  2 membranes  Inside: large stacks of other membranes that contain chlorphyll
  • 69.
    Organelle DNA  Chloroplastsand mitochondria contain their own genetic info  In form of small, circular DNA molecules  mDNA
  • 70.
    Lynn Margulis American biologist  Chloroplasts and mitochondria are descendents of prokaryotes
  • 71.
    She said… Ancient Prokaryotes from wayyyyy back in the day had a symbiotic relationship with the ancient eukaryotes  What is symbiotic? (review ecology!!!)  The prokaryotes lived inside the eukaryotes  There were prokaryotes that used oxygen to make energy (ATP)  Mitochondria  There were prokaryotes that used photosynthesis to get energy  Chloroplasts
  • 72.
    Endosymbiotic Theory Idea that mitochondria and chloroplasts evolved from prokaryotes
  • 73.
    Cytoskeleton  Supporting structureand transportation system  Network of protein filaments that helps the cell to maintain its shape and to help the cell move  2 main type of filaments  Microtubules  Microfilaments (Intermediate filaments is a 3rd type)
  • 74.
    Microfilaments  Threadlike structures  Made of protein called ACTIN  Extensive networks  Tough, flexible framework  Help cells move  Assembly and disassembly helps cells move (like amoebas)
  • 77.
    Microtubules  Hollow structures  Made of proteins called TUBULINS  Maintain cell’s shape  Important in cell division  Make mitotic spindle (separates chromosomes)  Help build projections from cell surface…
  • 78.
    Cilia and Flagella Plural: cilium and flagellum  Cilia: hundreds of extension of the cell membrane that move like the oars of a boat  Flagella: one or two long extensions off the cell that move in a whip like fashion  Enable cells to swim rapidly through liquid
  • 80.
    Centrioles  Onlyanimal cells  Made of protein TUBULIN  What else is made of tubulin?  Near nucleus  Help organize cell division
  • 81.
    Antwon van Leeuwenhook  Golgi apparatus  Microscope  Robert Hook  Micrometer  Micrograph  Cell  Millimeter  Magnifier  bacteria  Picameter  Lens  Cell Theory  Lysosome  Contractile vacuole  Electron microscope  Vacuole  Prokaryote  Mitochondria  Central Vacuole  Eukaryote  Chloroplast  Centrioles  Organelles  Cytoskeleton  Centrosomes  Cytoplasm  Centriole  Nuclear pores  Nuclear envelope  Mictrotubule  Nuclear-plasm  Chromatin  Microfilament  Stomata  Nucleus  Theodor Schwann  ATP synthase  nucleolus  Matthias Schleiden  Chlorophyll  Ribosome  Rudolph Virchow  Cell membrane  Smooth ER  Lynn Margulis  Rough ER  Endosymbiotic Theory  Cell Wall  Chromosome  Cilia  Cellulose  Vacuole  Flagella  Phospholipids  Osmosis  Photosynthesis  Thylakoid  Endocytosis  Pseudopodia  Cristae  exocytosis  Aquaporin  Matrix  Proteins  Transmembrane protein  Inner membrane  DNA  Facilitated diffusion  Outer memebrane  RNA