THE CELL

Chapter 7
Microscopy
ď‚§ Micrographs
  ď‚§ Photograph of the view through a microscope
ď‚§ Light Microscopes
ď‚§ Electron Microscopes
  ď‚§ Scanning EM
    ď‚§ To look at the surface of cells/specimen
    ď‚§ 3-D images
  ď‚§ Transmission EM
    ď‚§ To look at internal structures of cells/specimen
Robert Hook (1665)

 ď‚§   Englishman
 ď‚§   cork
    “cells”
 ď‚§   Compound
     microscope
Anton van Leeuwenhoek
(1660’S)
 ď‚§ (LAY vun
   Hook)
 ď‚§ Holland
 ď‚§ Single lens
   microscope
 ď‚§ Pond water
  “animalcules”
Cell Theory

 ď‚§ 3 parts and key people
Cells

 ď‚§ Basic units of life
Matthias Schleiden (1838)

 ď‚§ German botanist
 ď‚§ Plant cells
Theodor Schwann (1839)

 ď‚§ German biologist
 ď‚§ Animal cells
Rudolf Virchow (1855)

 ď‚§ German physician
 ď‚§ New cells could only
   come from the division
   of existing cells
Cell Theory

 ď‚§ All living things are composed of one or
   more cells
 ď‚§ Cells are the basic units of structure and
   function in living things
 ď‚§ New Cells are produced from existing
   cells
Lots of different shapes
   and sizes of cells
Microscopes
Sizes
ď‚§ The body is made of 100 trillion cell (1014)
 Extremely small…The human eye can see
  .01 cm, a human cell is 5x smaller
 5 to 50 micrometers…µm
ď‚§ How big is a micrometer?
ď‚§ 1m=100cm=1,000,000 micrometers
ď‚§ 1 micrometer=.000001m
 Basically you can’t see it
ď‚§ Remember: KHDmDCM..micro..nano..pico
Chaos chaos
ď‚§ Largest protozoan
ď‚§ You can see without
  microscope
ď‚§ 1000 micrometers
ď‚§ How many meters is this?
  ď‚§ .001 m
ď‚§ How many centimeters is
  this?
  ď‚§ 0.1 cm
2 things in every cell…

 ď‚§ Surrounded by a barrier, cell membrane
  At some point in their life they contain….
   ď‚§ DNA
What is a Nucleus?
  ď‚§ Plural: nuclei
  ď‚§ Large, membrane enclosed
    structure that contains the
    cell’s genetic material in the
    form of DNA
  ď‚§ What is a membrane?
    ď‚§ A thin layer of material that
      serves as a covering or lining
2 categories for cells…
ď‚§   Prokaryotes (pro-care-ee-       ď‚§   Eukaryotes (you-care-ee-othts)
    ohts)                                ď‚§ Contain nucleus in which the
     ď‚§ No nucleus                          genetic material is separated from
      Cell’s genetic material is          the rest of the cell
        not contained in the
        nucleus…found in                  Contains dozens of structures and
        NUCLEOID:                          internal membranes
          ď‚§ Region in cytoplasm          ď‚§ High Variety
            where DNA is found           ď‚§ Single celled or multi-cellular
     ď‚§ Less complicated that             ď‚§ Plants, animals, fungi, and protists
        eukaryotes
     ď‚§ Some have internal
        membranes
     ď‚§ Do NOT have membrane
        bound organelles
     ď‚§ Carry out every activity
        associated with living
        things…which are…
Eukaryotic cell
structure
The Cell factory
 ď‚§ Organelles
    ď‚§ Highly specialized structures within the cell
    ď‚§ Little organs
 ď‚§ 2 major divisions of the eukaryotic cell
    ď‚§ Nucleus
        The “brain”
       ď‚§ DNA
    ď‚§ Cytoplasm
       ď‚§ Portion outside the nucleus but inside the cell membrane
2 types of Eukaryotic cells
 ď‚§ Plant cells
 ď‚§ Animal cells
 ď‚§ What are the differences? (write them down!!!)
Nucleus

 ď‚§ Brain of the cell
 ď‚§ Office of the factory
  Contains nearly all the cell’s DNA and
   with it the coded instructions for making
   PROTEINS and other important
   molecules
Nuclear envelope
ď‚§ Surrounds nucleus
ď‚§ Made of 2 membranes
ď‚§ Dotted with thousands of nuclear pores
  ď‚§ How do we get messages, instructions and
    blueprints out of the office?
  ď‚§ Allow material to move in and out of nucleus by
    using “little runners” such as proteins, RNA and
    other molecules
Inside the nucleus we
see…
  Contain a granular material called…
 ď‚§ CHROMATIN
   ď‚§ Chromatin= DNA + protein
   ď‚§ Usually spread out in nucleus
   ď‚§ During cell division, chromatin clumps
     together or condenses…we call this….
   ď‚§ CHROMOSOMES
In the nucleus…

  Contain a granular material called…
 ď‚§ CHROMATIN
   ď‚§ Chromatin= DNA + protein
   ď‚§ Usually spread out in nucleus
   ď‚§ During cell division, chromatin clumps
     together or condenses…we call this….
   ď‚§ CHROMOSOMES
Chromosomes

ď‚§ Threadlike structures that contain genetic
  information that is passed on from one
  generation to the next
Nucleolus

 ď‚§ Small dense region inside the nucleus
  Function: assembly of ribosomes begin…
Ribosomes
  Most important function of cell is…
    ď‚§ Making proteins
    ď‚§ Proteins regulate a zillion different things
     Like…
 ď‚§ Proteins are assembled ON Ribosomes
 ď‚§ Ribosomes are small particles of protein &
   RNA (what’s RNA?)
 ď‚§ They follow instructions from the nucleus to
   make proteins…follow the orders from the
   “head haunchos” in the main office
 ď‚§ Scattered throughout the cell
 ď‚§ They are like little factories
  If a cell’s main function is making proteins, how
   many ribosomes are you going to have?
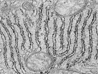
Endoplasmic reticulum
(ER)
 ď‚§ Internal membrane system
 ď‚§ The site where the lipid components of
   the cell membrane are assembled, along
   with proteins and other materials
   exported from the cell
 ď‚§ 2 types
   ď‚§ Smooth ER
   ď‚§ Rough ER
Rough ER
ď‚§ Involved in protein making (synthesis)
ď‚§ So what are we going to see on it?
  ď‚§ ribosomes
ď‚§ Once a protein is made, it leaves the
  ribosome and goes into the Rough ER
ď‚§ The rough ER then modifies the protein
ď‚§ All proteins that are exported by the cell
  are made on the RER
ď‚§ Membrane proteins are made on the
  RER too
Smooth ER
ď‚§ NO ribosomes on it
ď‚§ Looks smooth
ď‚§ Contains collections of ENZYMES that have
  specialized tasks
  ď‚§ What do enzymes do?
ď‚§ Tasks include:
  ď‚§ Synthesis of membrane lipids
  ď‚§ Detoxification of drugs
  ď‚§ Liver cells
      Big in detox therefore….what do u think liver cells have a
       lot of?
Golgi Apparatus
 ď‚§ Discovered by Italian scientist Camillo Golgi
  Once proteins are done being “modified” in the
   RER, they move onto the Golgi apparatus
 ď‚§ Looks like a stack of pancakes
 ď‚§ Function: modify, sort, and package proteins
   and other materials from the ER for STORAGE
   or SECRETION outside the cell
    Proteins are “shipped” to final destination
 ď‚§ They are the CUSTOMIZATION SHOP
   ď‚§ Finishing touches on proteins before they leave
     factory
Lysosomes
ď‚§ (Lie-so-soh-mz)
 The factory’s clean-up crew
 It’s an Organelle filled with
  enzymes
ď‚§ Function: Digestion (break
  down) of lipids,
  carbohydrates, and proteins
  into smaller molecules that
  can be used by the cell
ď‚§ Also digest organelles that
  have outlived their
  usefulness
What do you think happens if
    lysosomes malfunction?
 A bunch of “junk” build up in the
  cell…why?
ď‚§ Is this good?
ď‚§ Many human diseases result from
  malfunction of lysosome
   ď‚§ Tay-Sachs disease
   ď‚§ DNA does not make the enzyme
      hexoaminidase A that breaks down
      lipids in nerve cells
   ď‚§ Build up of lipids in nerve cells
      causes those cells to stop working
   ď‚§ Noticeable 3-6 months after birth,
      child lives to be about 4-5 years old
Vacuoles
 The factory’s storage place
ď‚§ Only in certain cells
ď‚§ Sac-like organelles
ď‚§ Function: stores material such as water,
  salts, proteins, and carbohydrates
ď‚§ Plant cells have a single, large central
  vacuole
    ď‚§ Pressure of central vacuole allows plants to
      support heavy structures
Single-celled organisms and
some animals also have
vacuoles…
 ď‚§ Paramecium
   ď‚§ Contractile vacuole
   ď‚§ Contracts rhythmically to pump excess water
     out…this maintains what?
     ď‚§ homeostasis
What is the one thing
all living things need
to eat, breath,
reproduce, move and
much more?
 ENERGY!!!!
Two ways cells get
energy…
 ď‚§ From food molecules
 ď‚§ From the sun
Mithochondria

 ď‚§ Convert chemical energy stored in food
   into compounds that are more convienent
   for the cell to use
 ď‚§ Has 2 membranes
   ď‚§ Inner membrane
   ď‚§ Outer membrane
 ď‚§ In Animal AND Plant cells
 ď‚§ Nearly all come from the ovum
   ď‚§ You get your mitochondria from your mom!
Chloroplasts
ď‚§ Plant and some Bacteria cells only ( NOT
  in animal cells)
ď‚§ Capture energy from the sunlight and
  convert it into chemical energy…what is
  this process called?
  ď‚§ PHOTOSYNTHESIS
ď‚§ Like solar power for plants
ď‚§ 2 membranes
ď‚§ Inside: large stacks of other membranes
  that contain chlorophyll
Organelle DNA
ď‚§ Chloroplasts and
  mitochondria contain their
  own genetic info
  ď‚§ In form of small, circular
    DNA molecules
  ď‚§ mDNA
Lynn Margulis

 ď‚§ American biologist
 ď‚§ Chloroplasts and
   mitochondria are
   descendents of
   prokaryotes
She said…
 ď‚§ Ancient Prokaryotes from wayyyyy back in the
   day had a symbiotic relationship with the
   ancient eukaryotes
   ď‚§ What is symbiotic? (review ecology!!!)
 ď‚§ The prokaryotes lived inside the eukaryotes
 ď‚§ There were prokaryotes that used oxygen to
   make energy (ATP)
   ď‚§ Mitochondria
 ď‚§ There were prokaryotes that used
   photosynthesis to get energy
   ď‚§ Chloroplasts
Endosymbiotic Theory

 ď‚§ Idea that
   mitochondria and
   chloroplasts evolved
   from prokaryotes
Cytoskeleton

ď‚§ Supporting structure and
transportation system
ď‚§ Network of protein filaments that helps
  the cell to maintain its shape and to help
  the cell move
ď‚§ 2 main type of filaments
  ď‚§ Microtubules
  ď‚§ Microfilaments
  (Intermediate filaments is a 3rd type)
Microfilaments

 ď‚§   Threadlike structures
 ď‚§   Made of protein called ACTIN
 ď‚§   Extensive networks
 ď‚§   Tough, flexible framework
 ď‚§   Help cells move
 ď‚§   Assembly and disassembly helps cells
     move (like amoebas)
Microtubules

 ď‚§   Hollow structures
 ď‚§   Made of proteins called TUBULINS
    Maintain cell’s shape
 ď‚§   Important in cell division
     ď‚§ Make mitotic spindle (separates
       chromosomes)
  Help build projections from cell surface…
Cilia and Flagella
ď‚§ Plural: cilium and flagellum
ď‚§ Cilia: hundreds of extension of the cell membrane that move like
  the oars of a boat
ď‚§ Flagella: one or two long extensions off the cell that move in a
  whip like fashion
ď‚§ Enable cells to swim rapidly through liquid
Centrioles

 ď‚§ Only animal cells
 ď‚§ Made of protein
   TUBULIN
   ď‚§ What else is made of
     tubulin?
 ď‚§ Near nucleus
 ď‚§ Help organize cell
   division
ď‚§   Antwon van Leeuwenhook   ď‚§   Golgi apparatus         ď‚§   Microscope
ď‚§   Robert Hook              ď‚§   Micrometer              ď‚§   Micrograph
ď‚§   Cell                     ď‚§   Millimeter              ď‚§   Magnifier
ď‚§   bacteria                 ď‚§   Picameter               ď‚§   Lens
ď‚§   Cell Theory              ď‚§   Lysosome
                                                         ď‚§   Contractile vacuole
ď‚§   Electron microscope      ď‚§   Vacuole
ď‚§   Prokaryote               ď‚§   Mitochondria            ď‚§   Central Vacuole
ď‚§   Eukaryote                ď‚§   Chloroplast             ď‚§   Centrioles
ď‚§   Organelles               ď‚§   Cytoskeleton            ď‚§   Centrosomes
ď‚§   Cytoplasm                ď‚§   Centriole               ď‚§   Nuclear pores
ď‚§   Nuclear envelope         ď‚§   Mictrotubule            ď‚§   Nuclear-plasm
ď‚§   Chromatin                ď‚§   Microfilament           ď‚§   Stomata
ď‚§   Nucleus                  ď‚§   Theodor Schwann         ď‚§   ATP synthase
ď‚§   nucleolus                ď‚§   Matthias Schleiden      ď‚§   Chlorophyll
ď‚§   Ribosome                 ď‚§   Rudolph Virchow
                                                         ď‚§   Cell membrane
ď‚§   Smooth ER                ď‚§   Lynn Margulis
ď‚§   Rough ER                 ď‚§   Endosymbiotic Theory    ď‚§   Cell Wall
ď‚§   Chromosome               ď‚§   Cilia                   ď‚§   Cellulose
ď‚§   Vacuole                  ď‚§   Flagella                ď‚§   Phospholipids
ď‚§   Osmosis                  ď‚§   Photosynthesis          ď‚§   Thylakoid
ď‚§   Endocytosis              ď‚§   Pseudopodia             ď‚§   Cristae
ď‚§   exocytosis               ď‚§   Aquaporin               ď‚§   Matrix
ď‚§   Proteins                 ď‚§   Transmembrane protein   ď‚§   Inner membrane
ď‚§   DNA                      ď‚§   Facilitated diffusion   ď‚§   Outer memebrane
ď‚§   RNA
The cell factory ppt
The cell factory ppt
The cell factory ppt

The cell factory ppt

  • 1.
  • 2.
    Microscopy ď‚§ Micrographs ď‚§ Photograph of the view through a microscope ď‚§ Light Microscopes ď‚§ Electron Microscopes ď‚§ Scanning EM ď‚§ To look at the surface of cells/specimen ď‚§ 3-D images ď‚§ Transmission EM ď‚§ To look at internal structures of cells/specimen
  • 14.
    Robert Hook (1665)  Englishman  cork  “cells”  Compound microscope
  • 16.
    Anton van Leeuwenhoek (1660’S)  (LAY vun Hook)  Holland  Single lens microscope  Pond water  “animalcules”
  • 18.
    Cell Theory ď‚§3 parts and key people
  • 19.
    Cells ď‚§ Basicunits of life
  • 20.
    Matthias Schleiden (1838) ď‚§ German botanist ď‚§ Plant cells
  • 21.
    Theodor Schwann (1839) ď‚§ German biologist ď‚§ Animal cells
  • 22.
    Rudolf Virchow (1855) ď‚§ German physician ď‚§ New cells could only come from the division of existing cells
  • 23.
    Cell Theory ď‚§All living things are composed of one or more cells ď‚§ Cells are the basic units of structure and function in living things ď‚§ New Cells are produced from existing cells
  • 24.
    Lots of differentshapes and sizes of cells
  • 28.
  • 29.
    Sizes  The bodyis made of 100 trillion cell (1014)  Extremely small…The human eye can see .01 cm, a human cell is 5x smaller  5 to 50 micrometers…µm  How big is a micrometer?  1m=100cm=1,000,000 micrometers  1 micrometer=.000001m  Basically you can’t see it  Remember: KHDmDCM..micro..nano..pico
  • 31.
    Chaos chaos ď‚§ Largestprotozoan ď‚§ You can see without microscope ď‚§ 1000 micrometers ď‚§ How many meters is this? ď‚§ .001 m ď‚§ How many centimeters is this? ď‚§ 0.1 cm
  • 32.
    2 things inevery cell…  Surrounded by a barrier, cell membrane  At some point in their life they contain….  DNA
  • 33.
    What is aNucleus?  Plural: nuclei  Large, membrane enclosed structure that contains the cell’s genetic material in the form of DNA  What is a membrane?  A thin layer of material that serves as a covering or lining
  • 35.
    2 categories forcells…  Prokaryotes (pro-care-ee-  Eukaryotes (you-care-ee-othts) ohts)  Contain nucleus in which the  No nucleus genetic material is separated from  Cell’s genetic material is the rest of the cell not contained in the nucleus…found in  Contains dozens of structures and NUCLEOID: internal membranes  Region in cytoplasm  High Variety where DNA is found  Single celled or multi-cellular  Less complicated that  Plants, animals, fungi, and protists eukaryotes  Some have internal membranes  Do NOT have membrane bound organelles  Carry out every activity associated with living things…which are…
  • 41.
  • 42.
    The Cell factory  Organelles  Highly specialized structures within the cell  Little organs  2 major divisions of the eukaryotic cell  Nucleus  The “brain”  DNA  Cytoplasm  Portion outside the nucleus but inside the cell membrane
  • 43.
    2 types ofEukaryotic cells ď‚§ Plant cells ď‚§ Animal cells ď‚§ What are the differences? (write them down!!!)
  • 44.
    Nucleus  Brainof the cell  Office of the factory  Contains nearly all the cell’s DNA and with it the coded instructions for making PROTEINS and other important molecules
  • 45.
    Nuclear envelope  Surroundsnucleus  Made of 2 membranes  Dotted with thousands of nuclear pores  How do we get messages, instructions and blueprints out of the office?  Allow material to move in and out of nucleus by using “little runners” such as proteins, RNA and other molecules
  • 46.
    Inside the nucleuswe see…  Contain a granular material called…  CHROMATIN  Chromatin= DNA + protein  Usually spread out in nucleus  During cell division, chromatin clumps together or condenses…we call this….  CHROMOSOMES
  • 47.
    In the nucleus…  Contain a granular material called…  CHROMATIN  Chromatin= DNA + protein  Usually spread out in nucleus  During cell division, chromatin clumps together or condenses…we call this….  CHROMOSOMES
  • 48.
    Chromosomes ď‚§ Threadlike structuresthat contain genetic information that is passed on from one generation to the next
  • 49.
    Nucleolus  Smalldense region inside the nucleus  Function: assembly of ribosomes begin…
  • 51.
    Ribosomes  Mostimportant function of cell is…  Making proteins  Proteins regulate a zillion different things  Like…  Proteins are assembled ON Ribosomes  Ribosomes are small particles of protein & RNA (what’s RNA?)  They follow instructions from the nucleus to make proteins…follow the orders from the “head haunchos” in the main office  Scattered throughout the cell  They are like little factories  If a cell’s main function is making proteins, how many ribosomes are you going to have?
  • 53.
    Endoplasmic reticulum (ER) ď‚§Internal membrane system ď‚§ The site where the lipid components of the cell membrane are assembled, along with proteins and other materials exported from the cell ď‚§ 2 types ď‚§ Smooth ER ď‚§ Rough ER
  • 54.
    Rough ER ď‚§ Involvedin protein making (synthesis) ď‚§ So what are we going to see on it? ď‚§ ribosomes ď‚§ Once a protein is made, it leaves the ribosome and goes into the Rough ER ď‚§ The rough ER then modifies the protein ď‚§ All proteins that are exported by the cell are made on the RER ď‚§ Membrane proteins are made on the RER too
  • 56.
    Smooth ER  NOribosomes on it  Looks smooth  Contains collections of ENZYMES that have specialized tasks  What do enzymes do?  Tasks include:  Synthesis of membrane lipids  Detoxification of drugs  Liver cells  Big in detox therefore….what do u think liver cells have a lot of?
  • 58.
    Golgi Apparatus Discovered by Italian scientist Camillo Golgi  Once proteins are done being “modified” in the RER, they move onto the Golgi apparatus  Looks like a stack of pancakes  Function: modify, sort, and package proteins and other materials from the ER for STORAGE or SECRETION outside the cell  Proteins are “shipped” to final destination  They are the CUSTOMIZATION SHOP  Finishing touches on proteins before they leave factory
  • 61.
    Lysosomes  (Lie-so-soh-mz)  Thefactory’s clean-up crew  It’s an Organelle filled with enzymes  Function: Digestion (break down) of lipids, carbohydrates, and proteins into smaller molecules that can be used by the cell  Also digest organelles that have outlived their usefulness
  • 62.
    What do youthink happens if lysosomes malfunction?  A bunch of “junk” build up in the cell…why?  Is this good?  Many human diseases result from malfunction of lysosome  Tay-Sachs disease  DNA does not make the enzyme hexoaminidase A that breaks down lipids in nerve cells  Build up of lipids in nerve cells causes those cells to stop working  Noticeable 3-6 months after birth, child lives to be about 4-5 years old
  • 63.
    Vacuoles  The factory’sstorage place  Only in certain cells  Sac-like organelles  Function: stores material such as water, salts, proteins, and carbohydrates  Plant cells have a single, large central vacuole  Pressure of central vacuole allows plants to support heavy structures
  • 65.
    Single-celled organisms and someanimals also have vacuoles…  Paramecium  Contractile vacuole  Contracts rhythmically to pump excess water out…this maintains what?  homeostasis
  • 66.
    What is theone thing all living things need to eat, breath, reproduce, move and much more? ENERGY!!!!
  • 67.
    Two ways cellsget energy…  From food molecules  From the sun
  • 68.
    Mithochondria ď‚§ Convertchemical energy stored in food into compounds that are more convienent for the cell to use ď‚§ Has 2 membranes ď‚§ Inner membrane ď‚§ Outer membrane ď‚§ In Animal AND Plant cells ď‚§ Nearly all come from the ovum ď‚§ You get your mitochondria from your mom!
  • 71.
    Chloroplasts  Plant andsome Bacteria cells only ( NOT in animal cells)  Capture energy from the sunlight and convert it into chemical energy…what is this process called?  PHOTOSYNTHESIS  Like solar power for plants  2 membranes  Inside: large stacks of other membranes that contain chlorophyll
  • 74.
    Organelle DNA ď‚§ Chloroplastsand mitochondria contain their own genetic info ď‚§ In form of small, circular DNA molecules ď‚§ mDNA
  • 75.
    Lynn Margulis ď‚§American biologist ď‚§ Chloroplasts and mitochondria are descendents of prokaryotes
  • 76.
    She said… Ancient Prokaryotes from wayyyyy back in the day had a symbiotic relationship with the ancient eukaryotes  What is symbiotic? (review ecology!!!)  The prokaryotes lived inside the eukaryotes  There were prokaryotes that used oxygen to make energy (ATP)  Mitochondria  There were prokaryotes that used photosynthesis to get energy  Chloroplasts
  • 77.
    Endosymbiotic Theory ď‚§Idea that mitochondria and chloroplasts evolved from prokaryotes
  • 78.
    Cytoskeleton ď‚§ Supporting structureand transportation system ď‚§ Network of protein filaments that helps the cell to maintain its shape and to help the cell move ď‚§ 2 main type of filaments ď‚§ Microtubules ď‚§ Microfilaments (Intermediate filaments is a 3rd type)
  • 79.
    Microfilaments ď‚§ Threadlike structures ď‚§ Made of protein called ACTIN ď‚§ Extensive networks ď‚§ Tough, flexible framework ď‚§ Help cells move ď‚§ Assembly and disassembly helps cells move (like amoebas)
  • 82.
    Microtubules  Hollow structures  Made of proteins called TUBULINS  Maintain cell’s shape  Important in cell division  Make mitotic spindle (separates chromosomes)  Help build projections from cell surface…
  • 83.
    Cilia and Flagella ď‚§Plural: cilium and flagellum ď‚§ Cilia: hundreds of extension of the cell membrane that move like the oars of a boat ď‚§ Flagella: one or two long extensions off the cell that move in a whip like fashion ď‚§ Enable cells to swim rapidly through liquid
  • 85.
    Centrioles ď‚§ Onlyanimal cells ď‚§ Made of protein TUBULIN ď‚§ What else is made of tubulin? ď‚§ Near nucleus ď‚§ Help organize cell division
  • 86.
    ď‚§ Antwon van Leeuwenhook ď‚§ Golgi apparatus ď‚§ Microscope ď‚§ Robert Hook ď‚§ Micrometer ď‚§ Micrograph ď‚§ Cell ď‚§ Millimeter ď‚§ Magnifier ď‚§ bacteria ď‚§ Picameter ď‚§ Lens ď‚§ Cell Theory ď‚§ Lysosome ď‚§ Contractile vacuole ď‚§ Electron microscope ď‚§ Vacuole ď‚§ Prokaryote ď‚§ Mitochondria ď‚§ Central Vacuole ď‚§ Eukaryote ď‚§ Chloroplast ď‚§ Centrioles ď‚§ Organelles ď‚§ Cytoskeleton ď‚§ Centrosomes ď‚§ Cytoplasm ď‚§ Centriole ď‚§ Nuclear pores ď‚§ Nuclear envelope ď‚§ Mictrotubule ď‚§ Nuclear-plasm ď‚§ Chromatin ď‚§ Microfilament ď‚§ Stomata ď‚§ Nucleus ď‚§ Theodor Schwann ď‚§ ATP synthase ď‚§ nucleolus ď‚§ Matthias Schleiden ď‚§ Chlorophyll ď‚§ Ribosome ď‚§ Rudolph Virchow ď‚§ Cell membrane ď‚§ Smooth ER ď‚§ Lynn Margulis ď‚§ Rough ER ď‚§ Endosymbiotic Theory ď‚§ Cell Wall ď‚§ Chromosome ď‚§ Cilia ď‚§ Cellulose ď‚§ Vacuole ď‚§ Flagella ď‚§ Phospholipids ď‚§ Osmosis ď‚§ Photosynthesis ď‚§ Thylakoid ď‚§ Endocytosis ď‚§ Pseudopodia ď‚§ Cristae ď‚§ exocytosis ď‚§ Aquaporin ď‚§ Matrix ď‚§ Proteins ď‚§ Transmembrane protein ď‚§ Inner membrane ď‚§ DNA ď‚§ Facilitated diffusion ď‚§ Outer memebrane ď‚§ RNA