The Cell
The basic unit of life
 All living organisms are made of cells.
 A cell is a small, membrane enclosed
structure filled with an aqueous solution
where organelles and other subcellular
structures are found.
 Cells are of different size and shape.
 The cell’s size and shape can be
related to its specific function.
Prokaryotic Cell
Cell membrane
Cell membrane
Cytoplasm
Cytoplasm
Nucleus
Organelles
Eukaryotic Cell
3. Internal Organization
Prokaryotes Eukaryotes
Cell membrane
Contain DNA
Ribosomes
Cytoplasm
Nucleus
Endoplasmic reticulum
Golgi apparatus
Lysosomes
Vacuoles
Mitochondria
Cytoskeleton
Compare and Contrast
Prokaryotic Examples
ONLY Bacteria
EUKARYOTIC CELLS
Two Kinds:
Plant and Animal
Eukaryotic Example
Plant Cell
Nuclear
envelope
Ribosome
(attached)
Ribosome
(free)
Smooth endoplasmic
reticulum
Nucleus
Rough endoplasmic reticulum
Nucleolus
Golgi
apparatus
Mitochondrion
Cell wall
Cell
Membrane
Chloroplast
Vacuole
Section 7-2
Animal Cells Plant Cells
Centrioles
Cell membrane
Ribosomes
Nucleus
Endoplasmic reticulum
Golgi apparatus
Lysosomes
Vacuoles
Mitochondria
Cytoskeleton
Cell Wall
Chloroplasts
Compare and Contrast
Venn Diagrams
Internal Organization
 Cells contain
ORGANELLES.
 Cell Components
that PERFORMS
SPECIFIC
FUNCTIONS FOR
THE CELL.
Cellular Organelles
 The Plasma
membrane
 The boundary of the
cell.
 Composed of three
distinct layers.
 Two layers of fat and
one layer of protein.
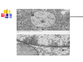
The Nucleus
 Brain of Cell
 Bordered by a porous
membrane - nuclear
envelope.
 Contains thin fibers of DNA
and protein called
Chromatin.
 Rod Shaped Chromosomes
 Contains a small round
nucleolus
 produces ribosomal RNA
which makes ribosomes.
 The nucleus of eukaryotic cells is
contained by the nuclear envelope,
which is made of two membranes (inner
and outer) decorated with pore
complexes
 Inside the nucleus, chromatin (DNA +
DNA associated proteins) and a
nucleolus are present
 The nuclear lamina (made of
intermediate filaments) covers the inner
nuclear membrane, helping in the
maintenance of nuclear shape
 The nucleus hosts the genetic material
(DNA and RNA)
Ribosomes
 Small non-membrane
bound organelles.
 Contain two sub units
 Site of protein synthesis.
 Protein factory of the cell
 Either free floating or
attached to the
Endoplasmic Reticulum.
Endoplasmic Reticulum
 Complex network of
transport channels.
 Two types:
1. Smooth-
2. Rough -
 Smooth ER lacks ribosomes.
 It is a network of pipe-like
interconnected tubes.
 Functions of the SER include synthesis
of lipids/steroids, processing of sugars,
and detoxification of drugs and poisons
 Rough ER has ribosomes attached to
the outside. The RER is in fact an
extension of the outer nuclear
membrane. Functions of the RER
include anchorage of newly synthesize
proteins, and the finishing of proteins
Golgi Apparatus
 A series of flattened
sacs that modifies,
packages, stores,
and transports
materials out of the
cell.
 Works with the
ribosomes and
Endoplasmic
Reticulum.
Lysosomes
 Recycling Center
 Recycle cellular debris
 Membrane bound
organelle containing a
variety of enzymes.
 Internal pH is 5.
Lysosomes
 Digest material or microbes ingested by
the cell
 Remove old/damaged organelles
 Self destruct (autolyze/autophagy)
Centrioles
 Found only in animal
cells
 Paired organelles
found together near the
nucleus, at right angles
to each other.
 Role in building cilia
and flagella
 Play a role in cellular
reproduction (division)
Cell membrane
Endoplasmic
reticulum
Microtubule
Microfilament
Ribosomes Mitochondrion
Cytoskeleton
Cytoskeleton
 Framework of the cell
 Contains small microfilaments and larger
microtubules.
 They support the cell, giving it its shape
and help with the movement of its
organelles.
Mitochondrion
 Mitochondria are
double membrane-
bounded organelles
present in nearly all
eukaryotic cells
(plant, animals, fungi,
etc.).
Mitochondrion
 Mitochondria process
macromolecules to obtain
energy through a process
termed aerobic
respiration. Mitochondria
have their own DNA
mitochondrial DNA,
mDNA) and ribosomes in
their matrix.
The Chloroplast
 Double membrane
 Center section contains
grana
 Thylakoid (coins) make
up the grana.
 Stroma - gel-like
material surrounding
grana
The Chloroplast
 Chloroplast are plastids that contain the green
pigment chlorophyll along with other
photosynthetic pigments.
 Chloroplasts perform photosynthesis
 In the stroma, chloroplast DNA and ribosomes
can be found
The Vacuole
 The vacuole is a
membrane-bound
organelle containing
water and other
enzymes that function
during the life of the
plant.
 Structurally, the
central vacuole is
surrounded by a
phospholipid
bilayer.
Plant Cell
Cell Wall
 Extra structure surrounding its plasma
membrane in plants, fungi, and
bacteria.
 Cellulose – Plants
 Chitin – Fungi
 Peptidoglycan - Bacteria
The Plant Cell Wall
 The plant cell wall is the outermost layer
of plant cells
 It provides extra protection to the plant
and cohesiveness among neighboring
plant cells.
 Cell walls of adjacent plant cells are in
close communication through
plasmodesmata
Plasmodesmata
 Plasmodesmata are
narrow channels that
act as intercellular
cytoplasmic bridges to
facilitate
communication and
transport of materials
between plant cells.
Size of organelles
 Nucleus- 5-10 Micrometers in diameter.
Nucleolus- Depends on metabolic needs of cell. Can be up
to 25% of nucleus.
Mitochondria- .5-1 Micrometers in diameter.
ER- Typically 1-2 Micrometers long, but can be up to 7
Micrometers.
Lysosome- .05-.5 Micrometers in diameter.
Golgi- 2.5 Micrometers in length.
 Ribosome- .025 Micrometers in diameter.

 Chloroplast- .2-.4 Micrometers in diameter.
Centrioles- .5 Micrometers in length.
Cilia- Depends on the size of the cell. .25
Micrometers in diameter.
Flagella- Depends on the size of the cell. .
02 Micrometers in diameter and can be up
to 2-3 times the length of the cell.

Introduction cell

  • 1.
    The Cell The basicunit of life
  • 2.
     All livingorganisms are made of cells.  A cell is a small, membrane enclosed structure filled with an aqueous solution where organelles and other subcellular structures are found.
  • 3.
     Cells areof different size and shape.  The cell’s size and shape can be related to its specific function.
  • 4.
    Prokaryotic Cell Cell membrane Cellmembrane Cytoplasm Cytoplasm Nucleus Organelles Eukaryotic Cell 3. Internal Organization
  • 5.
    Prokaryotes Eukaryotes Cell membrane ContainDNA Ribosomes Cytoplasm Nucleus Endoplasmic reticulum Golgi apparatus Lysosomes Vacuoles Mitochondria Cytoskeleton Compare and Contrast
  • 6.
  • 7.
  • 8.
  • 9.
    Plant Cell Nuclear envelope Ribosome (attached) Ribosome (free) Smooth endoplasmic reticulum Nucleus Roughendoplasmic reticulum Nucleolus Golgi apparatus Mitochondrion Cell wall Cell Membrane Chloroplast Vacuole Section 7-2
  • 10.
    Animal Cells PlantCells Centrioles Cell membrane Ribosomes Nucleus Endoplasmic reticulum Golgi apparatus Lysosomes Vacuoles Mitochondria Cytoskeleton Cell Wall Chloroplasts Compare and Contrast Venn Diagrams
  • 11.
    Internal Organization  Cellscontain ORGANELLES.  Cell Components that PERFORMS SPECIFIC FUNCTIONS FOR THE CELL.
  • 12.
    Cellular Organelles  ThePlasma membrane  The boundary of the cell.  Composed of three distinct layers.  Two layers of fat and one layer of protein.
  • 13.
    The Nucleus  Brainof Cell  Bordered by a porous membrane - nuclear envelope.  Contains thin fibers of DNA and protein called Chromatin.  Rod Shaped Chromosomes  Contains a small round nucleolus  produces ribosomal RNA which makes ribosomes.
  • 16.
     The nucleusof eukaryotic cells is contained by the nuclear envelope, which is made of two membranes (inner and outer) decorated with pore complexes
  • 17.
     Inside thenucleus, chromatin (DNA + DNA associated proteins) and a nucleolus are present
  • 18.
     The nuclearlamina (made of intermediate filaments) covers the inner nuclear membrane, helping in the maintenance of nuclear shape  The nucleus hosts the genetic material (DNA and RNA)
  • 19.
    Ribosomes  Small non-membrane boundorganelles.  Contain two sub units  Site of protein synthesis.  Protein factory of the cell  Either free floating or attached to the Endoplasmic Reticulum.
  • 20.
    Endoplasmic Reticulum  Complexnetwork of transport channels.  Two types: 1. Smooth- 2. Rough -
  • 21.
     Smooth ERlacks ribosomes.  It is a network of pipe-like interconnected tubes.  Functions of the SER include synthesis of lipids/steroids, processing of sugars, and detoxification of drugs and poisons
  • 24.
     Rough ERhas ribosomes attached to the outside. The RER is in fact an extension of the outer nuclear membrane. Functions of the RER include anchorage of newly synthesize proteins, and the finishing of proteins
  • 25.
    Golgi Apparatus  Aseries of flattened sacs that modifies, packages, stores, and transports materials out of the cell.  Works with the ribosomes and Endoplasmic Reticulum.
  • 26.
    Lysosomes  Recycling Center Recycle cellular debris  Membrane bound organelle containing a variety of enzymes.  Internal pH is 5.
  • 27.
    Lysosomes  Digest materialor microbes ingested by the cell  Remove old/damaged organelles  Self destruct (autolyze/autophagy)
  • 28.
    Centrioles  Found onlyin animal cells  Paired organelles found together near the nucleus, at right angles to each other.  Role in building cilia and flagella  Play a role in cellular reproduction (division)
  • 29.
  • 30.
    Cytoskeleton  Framework ofthe cell  Contains small microfilaments and larger microtubules.  They support the cell, giving it its shape and help with the movement of its organelles.
  • 31.
    Mitochondrion  Mitochondria are doublemembrane- bounded organelles present in nearly all eukaryotic cells (plant, animals, fungi, etc.).
  • 32.
    Mitochondrion  Mitochondria process macromoleculesto obtain energy through a process termed aerobic respiration. Mitochondria have their own DNA mitochondrial DNA, mDNA) and ribosomes in their matrix.
  • 33.
    The Chloroplast  Doublemembrane  Center section contains grana  Thylakoid (coins) make up the grana.  Stroma - gel-like material surrounding grana
  • 34.
    The Chloroplast  Chloroplastare plastids that contain the green pigment chlorophyll along with other photosynthetic pigments.  Chloroplasts perform photosynthesis  In the stroma, chloroplast DNA and ribosomes can be found
  • 35.
    The Vacuole  Thevacuole is a membrane-bound organelle containing water and other enzymes that function during the life of the plant.
  • 36.
     Structurally, the centralvacuole is surrounded by a phospholipid bilayer.
  • 37.
  • 38.
    Cell Wall  Extrastructure surrounding its plasma membrane in plants, fungi, and bacteria.  Cellulose – Plants  Chitin – Fungi  Peptidoglycan - Bacteria
  • 39.
    The Plant CellWall  The plant cell wall is the outermost layer of plant cells  It provides extra protection to the plant and cohesiveness among neighboring plant cells.  Cell walls of adjacent plant cells are in close communication through plasmodesmata
  • 40.
    Plasmodesmata  Plasmodesmata are narrowchannels that act as intercellular cytoplasmic bridges to facilitate communication and transport of materials between plant cells.
  • 42.
    Size of organelles Nucleus- 5-10 Micrometers in diameter. Nucleolus- Depends on metabolic needs of cell. Can be up to 25% of nucleus. Mitochondria- .5-1 Micrometers in diameter. ER- Typically 1-2 Micrometers long, but can be up to 7 Micrometers. Lysosome- .05-.5 Micrometers in diameter. Golgi- 2.5 Micrometers in length.  Ribosome- .025 Micrometers in diameter. 
  • 43.
     Chloroplast- .2-.4Micrometers in diameter. Centrioles- .5 Micrometers in length. Cilia- Depends on the size of the cell. .25 Micrometers in diameter. Flagella- Depends on the size of the cell. . 02 Micrometers in diameter and can be up to 2-3 times the length of the cell.