Thalamus and its connection
Presented by:
Dr. Md. Akmol Hossain
Resident(phase-A), Neurology.
The gray matter of thalamus is
subdivided into three parts by Y-
shaped internal medullary lamina
1. Anterior part-Anterior thalamic nuclei
2. Medial part-Dorsomedial nucleus
3. Lateral part
Lateral Part again divided into
A. Dorsal tier of nuclei
1. Lateral dorsal nucleus
2. Lateral posterior nucleus
3. Pulvinar
B. Ventral tier of nuclei
1. Ventral anterior nucleus
2. Ventral lateral nucleus
3.Ventral posterior nucleus
a. Ventral posteromedial nucleus
b. Ventral posterolateral nucleus
Posterior view of the brainstem showing the thalamus and the tectum of the midbrain.
Coronal section of the cerebral hemispheres showing the position and relations of the thalamus.
Input to the Thalamus
Motor control and integration
Sensory relay - Ventral posterior group all sensation from body
and head, including pain
Motor control
and integration
Sensory relay
Ventral posterior group
all sensation from body and head,
including pain
Function of thalamus:
• Thalamus has four basic functional roles:
– Sensory
• All sensory information (except olfaction) is relayed to the
cortex via the thalamus
– Motor
• Motor system outputs from the basal ganglia and cerebellum
are relayed by the thalamus
– Emotion/memory
• The thalamus is part of the Papez circuit and helps control
some emotional and memory information going to limbic
cortex (cingulate gyrus)
– Vegetative
• The thalamus has some intrinsic nuclei associated with
alertness and arousal. Can be associated with disorders of
consciousness
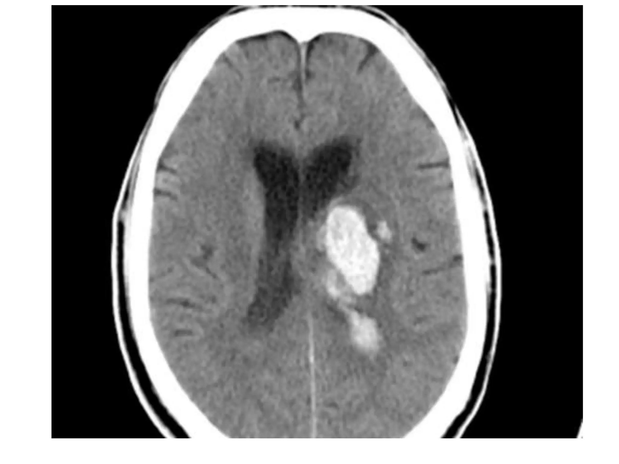
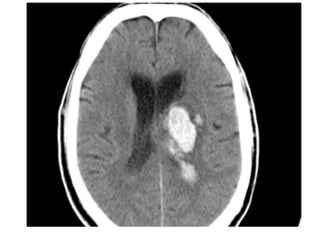
Lesions of Thalamus:
Damage to the ventral posteromedial
and ventral posterolateral nucleus will
result in the loss of all forms of
sensation , including light touch,
tactile localization and discrimination,
and muscle joint sense from the
opposite side of the body.
Thalamus and its connection
Thalamus and its connection

Thalamus and its connection

  • 1.
    Thalamus and itsconnection Presented by: Dr. Md. Akmol Hossain Resident(phase-A), Neurology.
  • 2.
    The gray matterof thalamus is subdivided into three parts by Y- shaped internal medullary lamina 1. Anterior part-Anterior thalamic nuclei 2. Medial part-Dorsomedial nucleus 3. Lateral part
  • 3.
    Lateral Part againdivided into A. Dorsal tier of nuclei 1. Lateral dorsal nucleus 2. Lateral posterior nucleus 3. Pulvinar B. Ventral tier of nuclei 1. Ventral anterior nucleus 2. Ventral lateral nucleus 3.Ventral posterior nucleus a. Ventral posteromedial nucleus b. Ventral posterolateral nucleus
  • 4.
    Posterior view ofthe brainstem showing the thalamus and the tectum of the midbrain.
  • 5.
    Coronal section ofthe cerebral hemispheres showing the position and relations of the thalamus.
  • 8.
    Input to theThalamus
  • 9.
    Motor control andintegration
  • 10.
    Sensory relay -Ventral posterior group all sensation from body and head, including pain
  • 11.
  • 12.
    Sensory relay Ventral posteriorgroup all sensation from body and head, including pain
  • 13.
    Function of thalamus: •Thalamus has four basic functional roles: – Sensory • All sensory information (except olfaction) is relayed to the cortex via the thalamus – Motor • Motor system outputs from the basal ganglia and cerebellum are relayed by the thalamus – Emotion/memory • The thalamus is part of the Papez circuit and helps control some emotional and memory information going to limbic cortex (cingulate gyrus) – Vegetative • The thalamus has some intrinsic nuclei associated with alertness and arousal. Can be associated with disorders of consciousness
  • 15.
    Lesions of Thalamus: Damageto the ventral posteromedial and ventral posterolateral nucleus will result in the loss of all forms of sensation , including light touch, tactile localization and discrimination, and muscle joint sense from the opposite side of the body.