CEREBELLUM
ANATOMY
2 MIN NEUROSCIENCE:
CEREBELLUM
https://www.youtube.com/watch?v=Fir-v6EoZNE
CEREBELLUM
OVERVIEW
▸ The cerebellum, which stands for “little brain”, is
a structure of the central nervous system
▸ It has an important role in motor control, with
cerebellar dysfunction often presenting with motor
signs
▸ In particular, it is active in the coordination, precision
and timing of movements, as well as in motor
learning
CEREBELLUM
OVERVIEW
▸ During embryonic development, the anterior portion of the neural tube
forms three parts that give rise to the brain and associated structures:
▸ Forebrain (prosencephalon)
▸ Midbrain (mesencephalon)
▸ Hindbrain (rhombencephalon)
▸ The hindbrain subsequently divides into the metencephalon  (superior)
and the myelencephalon (inferior)
▸ The cerebellum develops from the metencephalon division
CEREBELLUM
ANATOMICAL LOCATION
▸ The cerebellum is located at the back of the brain,
immediately inferior to the occipital and temporal 
lobes, and within the posterior cranial fossa
▸ It is separated from these lobes by the tentorium
cerebelli, a tough layer of dura mater
▸ It lies at the same level of and posterior to the pons,
from which it is separated by the fourth ventricle
https://teachmeanatomy.info/neuroanatomy/structures/cerebellum/
CEREBELLUM
ANATOMICAL STRUCTURE AND DIVISIONS
▸ The cerebellum consists of two hemispheres which are
connected by the vermis, a narrow midline area
▸ There are three ways that the cerebellum can be
subdivided
▸ anatomical lobes
▸ zones
▸ functional divisions
CEREBELLUM
ANATOMICAL STRUCTURE AND DIVISIONS
▸ Like other structures in the central nervous system, the cerebellum
consists of grey matter and white matter:
▸ Grey matter
▸ Located on the surface of the cerebellum
▸ It is tightly folded, forming the cerebellar cortex
▸ White matter
▸ Located underneath the cerebellar cortex
▸ Embedded in the white matter are the four cerebellar nuclei (the
dentate, emboliform, globose, and fastigi nuclei)
CEREBELLUM
ANATOMICAL STRUCTURE AND DIVISIONS
Anatomical Lobes
▸ There are three anatomical lobes that can be distinguished in the cerebellum
▸ the anterior lobe
▸ the posterior lobe
▸ the flocculonodular lobe
▸ These lobes are divided by two fissures
▸ primary fissure 
▸ posterolateral fissure
https://teachmeanatomy.info/neuroanatomy/structures/cerebellum/
CEREBELLUM
ANATOMICAL STRUCTURE AND DIVISIONS
Zones
▸ There are three cerebellar zones
▸ In the midline of the cerebellum is the vermis
▸ Either side of the vermis is the intermediate zone
▸ Lateral to the intermediate zone are the lateral hemispheres
▸ There is no difference in gross structure between the lateral
hemispheres and intermediate zones
https://teachmeanatomy.info/neuroanatomy/structures/cerebellum/
CEREBELLUM
ANATOMICAL STRUCTURE AND DIVISIONS - FUNCTIONAL DIVISIONS
▸ The cerebellum can also be divided by function
▸ There are three functional areas of the
cerebellum:
▸ the cerebrocerebellum
▸ the spinocerebellum
▸ the vestibulocerebellum
CEREBELLUM
ANATOMICAL STRUCTURE AND DIVISIONS - FUNCTIONAL DIVISIONS
Cerebrocerebellum
▸ the largest division, formed by the lateral hemispheres
▸ involved in planning movements and motor learning
▸ receives inputs from the cerebral cortex and pontine
nuclei, and sends outputs to the thalamus and red nucleus
▸ this area also regulates coordination of muscle activation
and is important in visually guided movements
CEREBELLUM
ANATOMICAL STRUCTURE AND DIVISIONS - FUNCTIONAL DIVISIONS
Spinocerebellum
▸ comprised of the vermis and intermediate
zone of the cerebellar hemispheres
▸ is involved in regulating body movements
by allowing for error correction
▸ also receives proprioceptive information
CEREBELLUM
ANATOMICAL STRUCTURE AND DIVISIONS - FUNCTIONAL DIVISIONS
Vestibulocerebellum
▸ the functional equivalent to the flocculonodular
lobe
▸ is involved in controlling balance and ocular
reflexes, mainly fixation on a target
▸ receives inputs from the vestibular system, and
sends outputs back to the vestibular nuclei
CEREBELLUM
VASCULATURE
▸ The cerebellum receives its blood supply
from three paired arteries:
▸ Superior cerebellar artery (SCA)
▸ Anterior inferior cerebellar artery (AICA)
▸ Posterior inferior cerebellar artery (PICA)
CEREBELLUM
VASCULATURE
▸ The SCA and AICA are branches of the basilar artery,
which wraps around the anterior aspect of the pons
before reaching the cerebellum
▸ The PICA is a branch of the vertebral artery
▸ Venous drainage of the cerebellum is by the superior 
and inferior cerebellar veins
▸ They drain into the superior petrosal, transverse and
straight dural venous sinuses
https://www.enteducationswansea.org/acute-vestibular-syndrome
CEREBELLUM
CLINICAL RELEVANCE: CEREBELLAR DYSFUNCTION
▸ Dysfunction of the cerebellum can
produce a wide range of symptoms and
signs
▸ The etiology is varied; causes include
stroke, physical trauma, tumours and
chronic alcohol excess
CEREBELLUM
CLINICAL RELEVANCE: CEREBELLAR DYSFUNCTION
▸ The clinical picture is dependent on the
functional area of the cerebellum that is affected
▸ Damage to the cerebrocerebellum and
spinocerebellum presents with problems in
carrying out skilled and planned movements 
and in motor learning
▸ A wide variety of manifestations are possible
https://teachmeanatomy.info/neuroanatomy/structures/cerebellum/
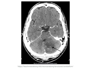
Fig 1.4 – CT scan of a left sided cerebellar stroke.
CEREBELLUM
CLINICAL RELEVANCE: CEREBELLAR DYSFUNCTION
▸ These can be remembered using the acronym ‘DANISH‘:
▸ Dysdiadochokinesia (difficulty in carrying out rapid, alternating movements)
▸ Ataxia
▸ Nystagmus (coarse)
▸ Intention tremor
▸ Scanning speech
▸ Hypotonia
▸ Damage to the vestibulocerebellum can manifest with loss of balance, abnormal
gait with a wide stance
CEREBELLUM
REVIEW QUESTIONS
▸ From which structure is the cerebellum embryonically derived?
▸ Myelencephalon
▸ Metencephalon
▸ Telencephalon
▸ Diencephalon
CEREBELLUM
REVIEW QUESTIONS
▸ The cerebellum is derived from the
metencephalon, the superior division of
the rhombencephalon
CEREBELLUM
REVIEW QUESTIONS
▸ What structure separates the cerebellum from
the occipital and temporal lobes?
▸ Tentorium cerebelli
▸ Longitudinal fissure
▸ Falx cerebri
▸ Fourth ventricle
CEREBELLUM
REVIEW QUESTIONS
▸ The tentorium cerebelli is a tough layer
of dura mater that separates the
cerebellum from the occipital and
temporal lobes
CEREBELLUM
REVIEW QUESTIONS
▸ Which functional division is responsible for
balance?
▸ Cerebrocerebellum
▸ Spinocerebellum
▸ Vestibulocerebellum
▸ None of the above
CEREBELLUM
REVIEW QUESTIONS
▸ The vestibulocerebellum is involved in
controlling balance and ocular reflexes
References
▸ These slide reflect a summary of the contents of
TeachMeAnatomy.info and are to be used for
educational purposes only in compliance with the
terms of use policy.
Specific portions referenced in this summary are as
follows:
▸ https://teachmeanatomy.info/neuroanatomy/
structures/cerebellum/
Additional sources are referenced on the slide
containing that specific content.

Cerebellum

  • 1.
  • 2.
  • 3.
    CEREBELLUM OVERVIEW ▸ The cerebellum,which stands for “little brain”, is a structure of the central nervous system ▸ It has an important role in motor control, with cerebellar dysfunction often presenting with motor signs ▸ In particular, it is active in the coordination, precision and timing of movements, as well as in motor learning
  • 4.
    CEREBELLUM OVERVIEW ▸ During embryonicdevelopment, the anterior portion of the neural tube forms three parts that give rise to the brain and associated structures: ▸ Forebrain (prosencephalon) ▸ Midbrain (mesencephalon) ▸ Hindbrain (rhombencephalon) ▸ The hindbrain subsequently divides into the metencephalon  (superior) and the myelencephalon (inferior) ▸ The cerebellum develops from the metencephalon division
  • 5.
    CEREBELLUM ANATOMICAL LOCATION ▸ Thecerebellum is located at the back of the brain, immediately inferior to the occipital and temporal  lobes, and within the posterior cranial fossa ▸ It is separated from these lobes by the tentorium cerebelli, a tough layer of dura mater ▸ It lies at the same level of and posterior to the pons, from which it is separated by the fourth ventricle
  • 6.
  • 7.
    CEREBELLUM ANATOMICAL STRUCTURE ANDDIVISIONS ▸ The cerebellum consists of two hemispheres which are connected by the vermis, a narrow midline area ▸ There are three ways that the cerebellum can be subdivided ▸ anatomical lobes ▸ zones ▸ functional divisions
  • 8.
    CEREBELLUM ANATOMICAL STRUCTURE ANDDIVISIONS ▸ Like other structures in the central nervous system, the cerebellum consists of grey matter and white matter: ▸ Grey matter ▸ Located on the surface of the cerebellum ▸ It is tightly folded, forming the cerebellar cortex ▸ White matter ▸ Located underneath the cerebellar cortex ▸ Embedded in the white matter are the four cerebellar nuclei (the dentate, emboliform, globose, and fastigi nuclei)
  • 9.
    CEREBELLUM ANATOMICAL STRUCTURE ANDDIVISIONS Anatomical Lobes ▸ There are three anatomical lobes that can be distinguished in the cerebellum ▸ the anterior lobe ▸ the posterior lobe ▸ the flocculonodular lobe ▸ These lobes are divided by two fissures ▸ primary fissure  ▸ posterolateral fissure
  • 10.
  • 11.
    CEREBELLUM ANATOMICAL STRUCTURE ANDDIVISIONS Zones ▸ There are three cerebellar zones ▸ In the midline of the cerebellum is the vermis ▸ Either side of the vermis is the intermediate zone ▸ Lateral to the intermediate zone are the lateral hemispheres ▸ There is no difference in gross structure between the lateral hemispheres and intermediate zones
  • 12.
  • 13.
    CEREBELLUM ANATOMICAL STRUCTURE ANDDIVISIONS - FUNCTIONAL DIVISIONS ▸ The cerebellum can also be divided by function ▸ There are three functional areas of the cerebellum: ▸ the cerebrocerebellum ▸ the spinocerebellum ▸ the vestibulocerebellum
  • 14.
    CEREBELLUM ANATOMICAL STRUCTURE ANDDIVISIONS - FUNCTIONAL DIVISIONS Cerebrocerebellum ▸ the largest division, formed by the lateral hemispheres ▸ involved in planning movements and motor learning ▸ receives inputs from the cerebral cortex and pontine nuclei, and sends outputs to the thalamus and red nucleus ▸ this area also regulates coordination of muscle activation and is important in visually guided movements
  • 15.
    CEREBELLUM ANATOMICAL STRUCTURE ANDDIVISIONS - FUNCTIONAL DIVISIONS Spinocerebellum ▸ comprised of the vermis and intermediate zone of the cerebellar hemispheres ▸ is involved in regulating body movements by allowing for error correction ▸ also receives proprioceptive information
  • 16.
    CEREBELLUM ANATOMICAL STRUCTURE ANDDIVISIONS - FUNCTIONAL DIVISIONS Vestibulocerebellum ▸ the functional equivalent to the flocculonodular lobe ▸ is involved in controlling balance and ocular reflexes, mainly fixation on a target ▸ receives inputs from the vestibular system, and sends outputs back to the vestibular nuclei
  • 17.
    CEREBELLUM VASCULATURE ▸ The cerebellumreceives its blood supply from three paired arteries: ▸ Superior cerebellar artery (SCA) ▸ Anterior inferior cerebellar artery (AICA) ▸ Posterior inferior cerebellar artery (PICA)
  • 18.
    CEREBELLUM VASCULATURE ▸ The SCAand AICA are branches of the basilar artery, which wraps around the anterior aspect of the pons before reaching the cerebellum ▸ The PICA is a branch of the vertebral artery ▸ Venous drainage of the cerebellum is by the superior  and inferior cerebellar veins ▸ They drain into the superior petrosal, transverse and straight dural venous sinuses
  • 19.
  • 20.
    CEREBELLUM CLINICAL RELEVANCE: CEREBELLARDYSFUNCTION ▸ Dysfunction of the cerebellum can produce a wide range of symptoms and signs ▸ The etiology is varied; causes include stroke, physical trauma, tumours and chronic alcohol excess
  • 21.
    CEREBELLUM CLINICAL RELEVANCE: CEREBELLARDYSFUNCTION ▸ The clinical picture is dependent on the functional area of the cerebellum that is affected ▸ Damage to the cerebrocerebellum and spinocerebellum presents with problems in carrying out skilled and planned movements  and in motor learning ▸ A wide variety of manifestations are possible
  • 22.
  • 23.
    CEREBELLUM CLINICAL RELEVANCE: CEREBELLARDYSFUNCTION ▸ These can be remembered using the acronym ‘DANISH‘: ▸ Dysdiadochokinesia (difficulty in carrying out rapid, alternating movements) ▸ Ataxia ▸ Nystagmus (coarse) ▸ Intention tremor ▸ Scanning speech ▸ Hypotonia ▸ Damage to the vestibulocerebellum can manifest with loss of balance, abnormal gait with a wide stance
  • 24.
    CEREBELLUM REVIEW QUESTIONS ▸ Fromwhich structure is the cerebellum embryonically derived? ▸ Myelencephalon ▸ Metencephalon ▸ Telencephalon ▸ Diencephalon
  • 25.
    CEREBELLUM REVIEW QUESTIONS ▸ Thecerebellum is derived from the metencephalon, the superior division of the rhombencephalon
  • 26.
    CEREBELLUM REVIEW QUESTIONS ▸ Whatstructure separates the cerebellum from the occipital and temporal lobes? ▸ Tentorium cerebelli ▸ Longitudinal fissure ▸ Falx cerebri ▸ Fourth ventricle
  • 27.
    CEREBELLUM REVIEW QUESTIONS ▸ Thetentorium cerebelli is a tough layer of dura mater that separates the cerebellum from the occipital and temporal lobes
  • 28.
    CEREBELLUM REVIEW QUESTIONS ▸ Whichfunctional division is responsible for balance? ▸ Cerebrocerebellum ▸ Spinocerebellum ▸ Vestibulocerebellum ▸ None of the above
  • 29.
    CEREBELLUM REVIEW QUESTIONS ▸ Thevestibulocerebellum is involved in controlling balance and ocular reflexes
  • 30.
    References ▸ These slidereflect a summary of the contents of TeachMeAnatomy.info and are to be used for educational purposes only in compliance with the terms of use policy. Specific portions referenced in this summary are as follows: ▸ https://teachmeanatomy.info/neuroanatomy/ structures/cerebellum/ Additional sources are referenced on the slide containing that specific content.