Streptococcus pneumoniae
BY DR HASAN ASKARI
BDS MS PHD FDS DDS MJDS MFDS MD –PRESIDENT OF
INTERNATIONAL DENTAL RESEARCH UNIT LONDON
PNEUMOCOCCI
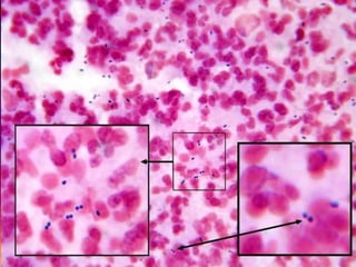
• MORHOLOGY
• Shape lancet shaped
• Arrangement diplococci sometime short
chains
• Capsule encapsulated
• Motility non motile
• Spore non spore forming
PNEUMOCOCCI
PNEUMOCOCCI
PNEUMOCOCCI
• Staining
• Gram staining
• Gram +ve staining
• Violet coloured
PNEUMOCOCCI
• Culture media
• Blood agar and chocolate agar
• Colonies
• Small rounded colconies at first dome shaped later
develop a central plateau with elevated rim
• Alpha hemolysis on blood agar
• Transformation
• When uncapsulated pnemococci are cultured in the
presence of DNA extracted from a capsulated
pneumococcus encapsulated puneumococci of later
type are formed this is called transformation.
PNEUMOCOCCI
PNEUMOCOCCI
• Lysis of colonies
• Pneumococcal colonies are sensitive to lysis by
an autolytic enzymes L alanine muramyl
amidase that cleaves bond linking L alanine
peptide to muramic acid of peptidoglycan
wall.
PNEUMOCOCCI
• Growth characteristics
• Oxygen requirements: aerobic and facultative
anaerobes.
• Peptostreptococci are obligate anaerobes
• Energy source is ferment sugar produces lactic
acid but not gas. Lactic acid limits the growth.
• Temperature 37degree c
• 5-10% co2 promotes growth.
PNEUMOCOCCI
• Antigen
• Capsular polysaccharide
• A distinct for each of more than 80 serologic types.
• B virulence is due to capsule which protect it from
phagocytosis.
• B cells response which provide type specific immunity.
• M protein
• Characteristics for each type.
• C CHO
• It is group specific common to all pnemococci.
PNEUMOCOCCI
PNEUMOCOCCI
• Enzymes
• IgA protease
• It enhances organism ability to colonizes mucosa
of upper respiratory tract.
• Toxin
• Pnemolysin
• Binds to cholestrol in host cell membrane.
• Inhibit antimicrobial properties of neutrophils
and opsonic activity of serum.
PNEUMOCOCCI
• Habitat and transmission
• Habitat
• Normal inhabitant of u.respiratory tract.
• Transmission
• Via respiratory droplets
PNEUMOCOCCI
• Pathogenes and clinical finding
• pnemococcal lobar pneumonia:
• It is characterized by exudation of fibrinous edema fluid
into alveoli following by RBC and leukocytes many
pnemococci are also present in alveoli. This causes
consloidation of portion of lung.
• Clinical finding
• A sudden onset of high fever with violent , shaking chills
• B sharp pleutal pain and friction rub.
• C cough at first dry or productive of thin watery sputum :
later bloody or rusty sputum.
PNEUMOCOCCI
PNEUMOCOCCI
• Bacteremia with its complication
• From alveolar exudates organism reach bloodstream
via lymphatics and causes bacteremia which have a
traid of serious complication
• Meningitis
• Endocarditis
• Septic arthritis
• Sinusitis
• Pericardiditis
• Empyema
• Otitis media
PNEUMOCOCCI
• Meningitis
• Pneumococcus is the second common bacterial pathogen
that causes meningitis in adults.
• Pathogenesis:
• It may arises as a complication of pnemonia in which
pneumococci reach the meninges by way of blood stream.
• It results from a skull fracture ,permitting pnemococci from
nasopharynx to enter the meninges.
• Otitis media
• Pnemococci is the etilogic agent of about 50% cases of
otitis media in chidren.
Pericardium
PNEUMOCOCCI
• Diagnostic laboratory test
• Specimen blood pus sputum CSF
• Microscopy gram +ve diplococci
• Culture blood agar chocolate agar
• Capsule swelling test quelling test
• Omni antisera test
• opotochin disk test
• Animal inoculation test
PNEUMOCOCCI
• Immunity
• Type specific immunity to reinfection with
pnemococci develops. It is due to type specfic
anticapsular antibodies.
PNEUMOCOCCI
• Treatment
• Penicillin
• Erythromycin
• Cephaothin
• Chloramphenical
• Prevention and control
• Immunization with polyvalent ( ploysaccharide
vaccine)
• Vaccine provides protection for 5 years.
PNEUMOCOCCI
• Difference b/w lobar pneumonia and
bronchopneumonia
• Lobar pneumonia
• Cased 90% by pneumococci few cases by klebsiella
pnemoniae, staph aureus.
• Occurs in otherwise healthy individual b/w 30-50 years
• Onset is sudden with high grade fever, shaking chills
and bloody or rust sputum
• Conslidation of whole lobe.
• Complication bacteremia, meningitis,endocarditis,
septic arthritis.
PNEUMOCOCCI
• Bronchopneumonia
• Caused by staphylococci streptococci, H
influenzae proteus and pseudomonas.
• Occurs infants ,old and those suffering chronic
debiliating illness or immunosuppression.
• Onset is insiduous with low grade fever and
cough productive of purulent sputum.
• Patchy pneumonic consolidation.
• Complications: fibrosis, bronchiectasis,lung
abscess.
Difference b/w lobar pneumonia and bronchopneumonia
Difference b/w lobar pneumonia and bronchopneumonia
Difference b/w lobar pneumonia and bronchopneumonia
Time out
Difference b/w lobar pneumonia and bronchopneumonia

Streptococcus pneumoniae

  • 1.
    Streptococcus pneumoniae BY DRHASAN ASKARI BDS MS PHD FDS DDS MJDS MFDS MD –PRESIDENT OF INTERNATIONAL DENTAL RESEARCH UNIT LONDON
  • 3.
    PNEUMOCOCCI • MORHOLOGY • Shapelancet shaped • Arrangement diplococci sometime short chains • Capsule encapsulated • Motility non motile • Spore non spore forming
  • 4.
  • 5.
  • 6.
    PNEUMOCOCCI • Staining • Gramstaining • Gram +ve staining • Violet coloured
  • 8.
    PNEUMOCOCCI • Culture media •Blood agar and chocolate agar • Colonies • Small rounded colconies at first dome shaped later develop a central plateau with elevated rim • Alpha hemolysis on blood agar • Transformation • When uncapsulated pnemococci are cultured in the presence of DNA extracted from a capsulated pneumococcus encapsulated puneumococci of later type are formed this is called transformation.
  • 9.
  • 10.
    PNEUMOCOCCI • Lysis ofcolonies • Pneumococcal colonies are sensitive to lysis by an autolytic enzymes L alanine muramyl amidase that cleaves bond linking L alanine peptide to muramic acid of peptidoglycan wall.
  • 11.
    PNEUMOCOCCI • Growth characteristics •Oxygen requirements: aerobic and facultative anaerobes. • Peptostreptococci are obligate anaerobes • Energy source is ferment sugar produces lactic acid but not gas. Lactic acid limits the growth. • Temperature 37degree c • 5-10% co2 promotes growth.
  • 12.
    PNEUMOCOCCI • Antigen • Capsularpolysaccharide • A distinct for each of more than 80 serologic types. • B virulence is due to capsule which protect it from phagocytosis. • B cells response which provide type specific immunity. • M protein • Characteristics for each type. • C CHO • It is group specific common to all pnemococci.
  • 13.
  • 14.
    PNEUMOCOCCI • Enzymes • IgAprotease • It enhances organism ability to colonizes mucosa of upper respiratory tract. • Toxin • Pnemolysin • Binds to cholestrol in host cell membrane. • Inhibit antimicrobial properties of neutrophils and opsonic activity of serum.
  • 15.
    PNEUMOCOCCI • Habitat andtransmission • Habitat • Normal inhabitant of u.respiratory tract. • Transmission • Via respiratory droplets
  • 16.
    PNEUMOCOCCI • Pathogenes andclinical finding • pnemococcal lobar pneumonia: • It is characterized by exudation of fibrinous edema fluid into alveoli following by RBC and leukocytes many pnemococci are also present in alveoli. This causes consloidation of portion of lung. • Clinical finding • A sudden onset of high fever with violent , shaking chills • B sharp pleutal pain and friction rub. • C cough at first dry or productive of thin watery sputum : later bloody or rusty sputum.
  • 17.
  • 20.
    PNEUMOCOCCI • Bacteremia withits complication • From alveolar exudates organism reach bloodstream via lymphatics and causes bacteremia which have a traid of serious complication • Meningitis • Endocarditis • Septic arthritis • Sinusitis • Pericardiditis • Empyema • Otitis media
  • 21.
    PNEUMOCOCCI • Meningitis • Pneumococcusis the second common bacterial pathogen that causes meningitis in adults. • Pathogenesis: • It may arises as a complication of pnemonia in which pneumococci reach the meninges by way of blood stream. • It results from a skull fracture ,permitting pnemococci from nasopharynx to enter the meninges. • Otitis media • Pnemococci is the etilogic agent of about 50% cases of otitis media in chidren.
  • 24.
  • 25.
    PNEUMOCOCCI • Diagnostic laboratorytest • Specimen blood pus sputum CSF • Microscopy gram +ve diplococci • Culture blood agar chocolate agar • Capsule swelling test quelling test • Omni antisera test • opotochin disk test • Animal inoculation test
  • 26.
    PNEUMOCOCCI • Immunity • Typespecific immunity to reinfection with pnemococci develops. It is due to type specfic anticapsular antibodies.
  • 27.
    PNEUMOCOCCI • Treatment • Penicillin •Erythromycin • Cephaothin • Chloramphenical • Prevention and control • Immunization with polyvalent ( ploysaccharide vaccine) • Vaccine provides protection for 5 years.
  • 28.
    PNEUMOCOCCI • Difference b/wlobar pneumonia and bronchopneumonia • Lobar pneumonia • Cased 90% by pneumococci few cases by klebsiella pnemoniae, staph aureus. • Occurs in otherwise healthy individual b/w 30-50 years • Onset is sudden with high grade fever, shaking chills and bloody or rust sputum • Conslidation of whole lobe. • Complication bacteremia, meningitis,endocarditis, septic arthritis.
  • 29.
    PNEUMOCOCCI • Bronchopneumonia • Causedby staphylococci streptococci, H influenzae proteus and pseudomonas. • Occurs infants ,old and those suffering chronic debiliating illness or immunosuppression. • Onset is insiduous with low grade fever and cough productive of purulent sputum. • Patchy pneumonic consolidation. • Complications: fibrosis, bronchiectasis,lung abscess.
  • 30.
    Difference b/w lobarpneumonia and bronchopneumonia
  • 31.
    Difference b/w lobarpneumonia and bronchopneumonia
  • 32.
    Difference b/w lobarpneumonia and bronchopneumonia
  • 33.
    Time out Difference b/wlobar pneumonia and bronchopneumonia