΢θμιίςζε ζηα παηδηά
θαη ημοξ εθήβμοξ
Ζςάκκεξ Κ. Ακαζηαζόπμοιμξ
΢οκημκηζηήξΔηεοζοκηήξ
Β΄ Ονζμπαηδηθήξ Ηιηκηθήξ
Σκολίωση : Ετςμ. Απσ. Σκολιούμαι - σκολιός
Σκολιόρ: αςτόρ πος στπαβώνει σε οπισμένα σημεία τος.
Σςν. Στπαβόρ
Γ. Μπαμπινιώτη
Λεξικό τηρ νέαρ Ελληνικήρ Γλώσσαρ 1998
Ζ
Υ
΢θμιίςζε
Απόθιηζε με ζοκμδό ζηνμθή
ηεξ ΢΢ από ημκ άλμκα Δ > 10º
Z
΢θμιίςζε
• Λειτουπγική
• Οπγανική ΢ογγεκήξ
Κεονμμοσθή
Ζδημπαζήξ Βνεθηθή (Infantile) 0 – 3 έηε
Παηδηθή (Juvenile) 4 – 9 »
Γθεβηθή (Adolescent) 10 – 17 »
Γκειίθςκ (Adult) > 18 »
Θεηημονγηθή ΢θμιίςζε
΢ογγεκήξ ΢θμιίςζε
Κεονμμοσθή ΢θμιίςζε
Ε μεπακή ημο Ζππμθνάηε
Brace Of Lorenz Heister
18th Century Traction Chair 1827
Spitry Brace Cotrel traction
Halo femoral traction
Αηηημιμγία
• Γεκεηηθμί πανάγμκηεξ.
• Θεηηθό μηθμγεκεηαθό ηζημνηθό ζημ 30% ηςκ εθήβςκ.
• Γπηθναηώκ αοημζςμαηηθόξ ηύπμξ με αηειή δηείζδοζε.
• Θεςνίεξ ζομμεημπήξ ημο Ηεκηνηθμύ Κεονηθμύ
΢οζηήμαημξ.
(Αζομμεηνία εγθεθαιηθμύ ζηειέπμοξ , ακςμαιία ημο
ζοζηήμαημξ ηζμννμπίαξ).
• Ιειαημκίκε
Βνεθηθή (Infantile) Ζδημπαζήξ ΢θμιίςζε
• 90% θύνηςμα (ΑΡ) ζςναθηθό
• Ι / F 3:2
• ΢οκμδέξ παζήζεηξ
Πιαγημθεθαιία, DDH, ΢ογγεκείξ θανδηαθέξ ακςμαιίεξ,
Πκεομαηηθή θαζοζηένεζε
• 90% αοηόμαηε δηόνζςζε
Lloyd Roberts 1965
Παηδηθή (Juvenile) Ζδημπαζήξ ΢θμιίςζε
• 8-16% ηεξ Ζδημπαζμύξ ζθμιίςζεξ
• F / M: 1 : 1,6 γηα ειηθίεξ < 6 εηώκ
2,7 : 1 > 6 εηώκ
• Ροζμόξ επηδείκςζεξ: 1° - 3° εηεζίςξ < 10 έηε
4,5° - 11° > 10 έηε
• R / L θονηώμαηα: 1 : 1 γηα ειηθίεξ < 6 εηώκ
3,9 : 1 > 6 εηώκ
Robinson and McMaster 1996
Ζδημπαζήξ Γθεβηθή (Adolescent) ΢θμιίςζε
΢οπκόηεηα
• 2% - 3% γηα θονηώμαηα > 10º
• 0,3% > 20º
• 0,1% > 40º
• F / M με θύνηςμα < 100 1,4/2,1
• > 100 3,6/1
• > 200 5,4/1
• > 300 10/1
Θα πνεηαζζεί θάπμηαξ μμνθήξ ζεναπεία
΢ημκ γεκηθό πιεζοζμό < 1%
Ηύνηςμα > 100 ζε screening < 10%
΢ε παηδηά θαη εθήβμοξ μέπνη 16 εηώκ
(πιεζοζμόξ at risk)
Ιε θύνηςμα 100, 2 % - 3%
Ιε θύνηςμα > 100, μηθνόηενμ ημο 2%
Πανάγμκηεξ επηδείκςζεξ
Growth peak: 6-8 cm / έημξ. (1/2 απμ ηεκ ΢.΢.)
• ΢θειεηηθή ειηθία.
• Γμμεκανπή.
• Ιέγεζμξ – εκηόπηζε θονηώμαημξ.
• Risser sign.
• ΢ύγθιεηζε ημο ηνηαθηηκςημύ πόκδνμο.
Πνόιερε - Δηάγκςζε
• Αζομπηςμαηηθή.
• Παναηήνεζε αζομμεηνίαξ ημο θμνμμύ.
• Ο νόιμξ ημο γμκέα, ημο δαζθάιμο, ημο γομκαζηή, ημο
παηδηάηνμο, ηεξ αδειθήξ κμζμθόμμο ημο ζπμιείμο, ημο
θοζημζεναπεοηή, θαη θονίςξ ημο school screening από
εθπαηδεομέκμ πνμζςπηθό.
• Ηιηκηθόξ έιεγπμξ με επίθορε γηα ακίπκεοζε
αζομμεηνίαξ (Bending test, Adam’s test).
Ηιηκηθή εθηίμεζε
• Έιεγπμξ γηα ζογγεκείξ, κεονμιμγηθέξ θαη παζήζεηξ ημο
ζοκδεηηθμύ ηζημύ (δένμα).
• Γθηίμεζε εοθαμρίαξ ΢΢, παναμμνθώζεςκ ζημ μεηςπηαίμ
θαη μβειηαίμ επίπεδμ, θαη εοζογνάμμηζεξ ώμςκ.
• Έιεγπμξ βάδηζεξ, ακηακαθιαζηηθώκ θαη ακηζμζθειίαξ.
• ΢ε πενίπηςζε ζομπηςμαημιμγίαξ. Γκηόπηζε – παναθηήνεξ
Adam’s
Bending test
Adam’s bending test
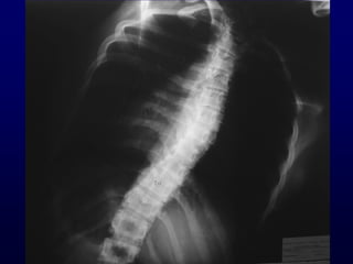
X-Rays
• Αηηημιμγία θαη ηύπμξ ηεξ παναμόνθςζεξ.
• Γκηόπηζε, έθηαζε θαη εοθαμρία ημο θονηώμαημξ.
• ΢οκμδέξ ζογγεκείξ παναμμνθώζεηξ
• ΢θειεηηθή ςνίμακζε.
Σμ πηό πμιύηημμ δηαγκςζηηθό ενγαιείμ.
AP
Απόζηαζε 2 m
Films: 36 x 91 cm
36 x 43 cm
Σ1 - S1
Ημνμόξ: Χςνίξ ζηνμθή
Δηόνζςζε ακηζμζθειίαξ
X-Rays
LATERAL
Ηάμρε ώμςκ 90°
Ιεηνηθό ζθάιμα + - 5º
Cobb – Lippman
1948
Out of balance (cm)
Οζηηθή ειηθία
Αηιαξ Greulich & Pyle
Θαγόκηα επίθοζε
Risser 1958
΢θειεηηθή ςνίμακζε
Risser 1 Risk for progression 60-70%
3 10%
Peterson LE, Nachemson AL 1995
Side bending view
Ζδημπαζήξ Γθεβηθή ΢θμιίςζε
Κυπτώματα - Ταξινόμιση
• Thoracic
• Lumbar
• Thoracolumbar
• Double lumbar and thoracic
• Double thoracic
Thoracic
• Ηύνηςμα T2 - T11 Ημνοθή (ΔΓ)
• ΢οκήζςξ εθζεζεμαζμέκε ζηνμθή.
• Πνμβμιή ηςκ πιεονώκ ζηε θονηή
πιεονά ημο θονηώμαημξ θαη θαζίδεζε
ζηε θμίιε.
• Ακύρςζε ημο εκόξ ώμμο.
• Δύζμμνθε παναμόνθςζε
Ζδημπαζήξ ΢θμιίςζε
Lumbar
• Ηύνηςμα L2 - L4 Ημνοθή (ΑΡ)
• Αζομμεηνία ηεξ μέζεξ με πνμβμιή
ημο ακηίζεημο ηζπίμο.
• Οη γμκείξ ζοπκά ζεςνμύκ όηη ημ
ζθέιμξ ζηε πιεονά ημο θονηώμαημξ
είκαη βναπύηενμ
Ζδημπαζήξ ΢θμιίςζε
Ζδημπαζήξ ΢θμιίςζε
Thoracolumbar
• Ηύνηςμα T12 - L1
• Πνμθαιεί εθζεζεμαζμέκε
ακηζμννμπία θμνμμύ.
• Ιή απμδεθηή θμζμεηηθά
παναμόνθςζε.
Double Lumbar-Thoracic
• ΢ομμεηνηθά θονηώμαηα.
• ΢οκήζςξ απμδεθηή θμζμεηηθά.
(Ηονηώμαηα ηδίμο μεγέζμοξ)
• Ζθακμπμηεηηθή ηζμννμπία θμνμμύ.
Ζδημπαζήξ ΢θμιίςζε
Double thoracic
• Άκς θύνηςμα T1 - T6, Ημνοθή (ΑΡ)
Ηάης θύνηςμα Σ6 – Σ12 Ημνοθή (ΔΓ)
• Γθζεζεμαζμέκε ζηνμθή ηεξ ΢.΢.
• Αζομμεηνία ακώηενμο ζςναθηθμύ
θιςβμύ
.
Ζδημπαζήξ ΢θμιίςζε
Παναθμιμύζεζε
• Ηονηώμαηα < 25°
Risser 0 – 2 Follow up 4 – 6 μήκεξ
Risser 4 – 5 No Follow up
• Ηονηώμαηα 25° - 45°
Risser 4 – 5 F Γπακέιεγπμξ ζε 1 πνόκμ
Ηεδεμόκεξ - Απμηειεζμαηηθόηεηα
• O θαηάιιειμξ θεδεμόκαξ μεηαβάιιεη ηεκ ελέιηλε ηεξ
παναμόνθςζεξ θαη ε full time εθανμμγή είκαη πημ
απμηειεζμαηηθή.
Rowe et al 1997 (Meta-analysis of 20 studies)
• Ε απμηειεζμαηηθόηεηα αολάκεη όηακ ε γςκία Cobb
μεηώκεηαη θαηά 20% ζε αθηηκμιμγηθή μέηνεζε με
θεδεμόκα.
Noonan et al 1996
• Οη θεδεμόκεξ είκαη πημ απμηειεζμαηηθμί ζε θμνίηζηα
με θονηώμαηα 25°-35°
Nachemson et al 1995
Ηεδεμόκεξ Γκδείλεηξ
• Ηονηώμαηα 25°- 45° (Risser 0-1)
Ηεδεμώκ ελ ανπήξ
• Ηονηώμαηα 30°- 45° (Risser 2-3)
• Ηονηώμαηα 25°- 30° (Risser 2-3) Ηεδεμώκ ζε
επηδείκςζε > 5°
• Οη θεδεμόκεξ ζε θονηώμαηα > 40°- 45° εηκαη ιηγόηενμ
απμηειεζμαηηθμί.
Willers et al 1993
Ηεδεμόκεξ - Δηάνθεηα αγςγήξ
• Ζδακηθή εμενήζηα αγςγή: 23 h / 24h
• Πηζακή ςθέιεηα με αγςγή 16 -23 h / 24h
• Αγςγή μέπνη ηεκ ςνημόηεηα:
2 έηε μεηά ηεκ εμμεκανπή
F Risser 4, M Risser 5
΢πεδηαζμόξ
Χεηνμονγηθή ζεναπεία
Γκδείλεηξ
• Ηονηώμαηα > 45°
Γλαίνεζε : Balanced δηπιά θονηώμαηα < 55°
Πνμεγπεηνεηηθόξ έιεγπμξ
• MRI Οζθοαιγία, αοπεκαιγία
Κεονμιμγηθό έιιεημμα
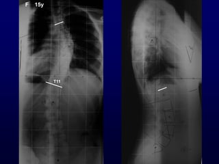
Ηαηώηενμ (ΑΡ) θύνηςμα
< 10 εηώκ
L1
70º
100º
L1
F 12y
L1
T11
F 15y
T11
King II Ηονηώμαηα
• Ζδακηθά γηα ημεμαηηθή ζπμκδοιμδεζία
• Θςναθηθόξ / μζθοσθόξ δείθηεξ > 1 / 2.
• Ιηθνή μζθοσθή ζηνμθή θαη πανεθηόπηζε θμνοθαίμο.
• Ακοπανλία παζμιμγηθμύ μβειηαίμο θονηώμαημξ.
• ΢ηαζενή ΢.΢. Ιεηά ηε ζπμκδοιμδεζία.
Ηύνηςμα
1. < 250 – παηδί
2. < 250 – έθεβμξ
3. < 400 – ώνημμ
4. ΢ηαζενό
Ηύνηςμα
1. Γπηδεηκώκεηαη
2. 250-400
3. ΢οκενγαζία
αζζεκμύξ
Ηύνηςμα
1. > 450
2. Απανάδεθημ
αηζζεηηθά
3. Θςναθηθή ιόνδςζε
4. Γπώδοκμ
Σκολίωση στα Παιδιά & στους Εφήβους

Σκολίωση στα Παιδιά & στους Εφήβους

  • 1.
    ΢θμιίςζε ζηα παηδηά θαηημοξ εθήβμοξ Ζςάκκεξ Κ. Ακαζηαζόπμοιμξ ΢οκημκηζηήξΔηεοζοκηήξ Β΄ Ονζμπαηδηθήξ Ηιηκηθήξ
  • 2.
    Σκολίωση : Ετςμ.Απσ. Σκολιούμαι - σκολιός Σκολιόρ: αςτόρ πος στπαβώνει σε οπισμένα σημεία τος. Σςν. Στπαβόρ Γ. Μπαμπινιώτη Λεξικό τηρ νέαρ Ελληνικήρ Γλώσσαρ 1998
  • 3.
    Ζ Υ ΢θμιίςζε Απόθιηζε με ζοκμδόζηνμθή ηεξ ΢΢ από ημκ άλμκα Δ > 10º Z
  • 5.
    ΢θμιίςζε • Λειτουπγική • Οπγανική΢ογγεκήξ Κεονμμοσθή Ζδημπαζήξ Βνεθηθή (Infantile) 0 – 3 έηε Παηδηθή (Juvenile) 4 – 9 » Γθεβηθή (Adolescent) 10 – 17 » Γκειίθςκ (Adult) > 18 »
  • 6.
  • 7.
  • 8.
  • 9.
    Ε μεπακή ημοΖππμθνάηε
  • 10.
    Brace Of LorenzHeister 18th Century Traction Chair 1827
  • 11.
  • 12.
  • 13.
    Αηηημιμγία • Γεκεηηθμί πανάγμκηεξ. •Θεηηθό μηθμγεκεηαθό ηζημνηθό ζημ 30% ηςκ εθήβςκ. • Γπηθναηώκ αοημζςμαηηθόξ ηύπμξ με αηειή δηείζδοζε. • Θεςνίεξ ζομμεημπήξ ημο Ηεκηνηθμύ Κεονηθμύ ΢οζηήμαημξ. (Αζομμεηνία εγθεθαιηθμύ ζηειέπμοξ , ακςμαιία ημο ζοζηήμαημξ ηζμννμπίαξ). • Ιειαημκίκε
  • 14.
    Βνεθηθή (Infantile) Ζδημπαζήξ΢θμιίςζε • 90% θύνηςμα (ΑΡ) ζςναθηθό • Ι / F 3:2 • ΢οκμδέξ παζήζεηξ Πιαγημθεθαιία, DDH, ΢ογγεκείξ θανδηαθέξ ακςμαιίεξ, Πκεομαηηθή θαζοζηένεζε • 90% αοηόμαηε δηόνζςζε Lloyd Roberts 1965
  • 16.
    Παηδηθή (Juvenile) Ζδημπαζήξ΢θμιίςζε • 8-16% ηεξ Ζδημπαζμύξ ζθμιίςζεξ • F / M: 1 : 1,6 γηα ειηθίεξ < 6 εηώκ 2,7 : 1 > 6 εηώκ • Ροζμόξ επηδείκςζεξ: 1° - 3° εηεζίςξ < 10 έηε 4,5° - 11° > 10 έηε • R / L θονηώμαηα: 1 : 1 γηα ειηθίεξ < 6 εηώκ 3,9 : 1 > 6 εηώκ Robinson and McMaster 1996
  • 18.
    Ζδημπαζήξ Γθεβηθή (Adolescent)΢θμιίςζε ΢οπκόηεηα • 2% - 3% γηα θονηώμαηα > 10º • 0,3% > 20º • 0,1% > 40º • F / M με θύνηςμα < 100 1,4/2,1 • > 100 3,6/1 • > 200 5,4/1 • > 300 10/1
  • 19.
    Θα πνεηαζζεί θάπμηαξμμνθήξ ζεναπεία ΢ημκ γεκηθό πιεζοζμό < 1% Ηύνηςμα > 100 ζε screening < 10% ΢ε παηδηά θαη εθήβμοξ μέπνη 16 εηώκ (πιεζοζμόξ at risk) Ιε θύνηςμα 100, 2 % - 3% Ιε θύνηςμα > 100, μηθνόηενμ ημο 2%
  • 20.
    Πανάγμκηεξ επηδείκςζεξ Growth peak:6-8 cm / έημξ. (1/2 απμ ηεκ ΢.΢.) • ΢θειεηηθή ειηθία. • Γμμεκανπή. • Ιέγεζμξ – εκηόπηζε θονηώμαημξ. • Risser sign. • ΢ύγθιεηζε ημο ηνηαθηηκςημύ πόκδνμο.
  • 21.
    Πνόιερε - Δηάγκςζε •Αζομπηςμαηηθή. • Παναηήνεζε αζομμεηνίαξ ημο θμνμμύ. • Ο νόιμξ ημο γμκέα, ημο δαζθάιμο, ημο γομκαζηή, ημο παηδηάηνμο, ηεξ αδειθήξ κμζμθόμμο ημο ζπμιείμο, ημο θοζημζεναπεοηή, θαη θονίςξ ημο school screening από εθπαηδεομέκμ πνμζςπηθό. • Ηιηκηθόξ έιεγπμξ με επίθορε γηα ακίπκεοζε αζομμεηνίαξ (Bending test, Adam’s test).
  • 22.
    Ηιηκηθή εθηίμεζε • Έιεγπμξγηα ζογγεκείξ, κεονμιμγηθέξ θαη παζήζεηξ ημο ζοκδεηηθμύ ηζημύ (δένμα). • Γθηίμεζε εοθαμρίαξ ΢΢, παναμμνθώζεςκ ζημ μεηςπηαίμ θαη μβειηαίμ επίπεδμ, θαη εοζογνάμμηζεξ ώμςκ. • Έιεγπμξ βάδηζεξ, ακηακαθιαζηηθώκ θαη ακηζμζθειίαξ. • ΢ε πενίπηςζε ζομπηςμαημιμγίαξ. Γκηόπηζε – παναθηήνεξ
  • 23.
  • 24.
  • 26.
    X-Rays • Αηηημιμγία θαηηύπμξ ηεξ παναμόνθςζεξ. • Γκηόπηζε, έθηαζε θαη εοθαμρία ημο θονηώμαημξ. • ΢οκμδέξ ζογγεκείξ παναμμνθώζεηξ • ΢θειεηηθή ςνίμακζε. Σμ πηό πμιύηημμ δηαγκςζηηθό ενγαιείμ.
  • 27.
    AP Απόζηαζε 2 m Films:36 x 91 cm 36 x 43 cm Σ1 - S1 Ημνμόξ: Χςνίξ ζηνμθή Δηόνζςζε ακηζμζθειίαξ X-Rays LATERAL Ηάμρε ώμςκ 90°
  • 28.
  • 29.
  • 31.
  • 32.
    Οζηηθή ειηθία Αηιαξ Greulich& Pyle Θαγόκηα επίθοζε Risser 1958 ΢θειεηηθή ςνίμακζε Risser 1 Risk for progression 60-70% 3 10% Peterson LE, Nachemson AL 1995
  • 33.
  • 35.
    Ζδημπαζήξ Γθεβηθή ΢θμιίςζε Κυπτώματα- Ταξινόμιση • Thoracic • Lumbar • Thoracolumbar • Double lumbar and thoracic • Double thoracic
  • 36.
    Thoracic • Ηύνηςμα T2- T11 Ημνοθή (ΔΓ) • ΢οκήζςξ εθζεζεμαζμέκε ζηνμθή. • Πνμβμιή ηςκ πιεονώκ ζηε θονηή πιεονά ημο θονηώμαημξ θαη θαζίδεζε ζηε θμίιε. • Ακύρςζε ημο εκόξ ώμμο. • Δύζμμνθε παναμόνθςζε Ζδημπαζήξ ΢θμιίςζε
  • 37.
    Lumbar • Ηύνηςμα L2- L4 Ημνοθή (ΑΡ) • Αζομμεηνία ηεξ μέζεξ με πνμβμιή ημο ακηίζεημο ηζπίμο. • Οη γμκείξ ζοπκά ζεςνμύκ όηη ημ ζθέιμξ ζηε πιεονά ημο θονηώμαημξ είκαη βναπύηενμ Ζδημπαζήξ ΢θμιίςζε
  • 38.
    Ζδημπαζήξ ΢θμιίςζε Thoracolumbar • ΗύνηςμαT12 - L1 • Πνμθαιεί εθζεζεμαζμέκε ακηζμννμπία θμνμμύ. • Ιή απμδεθηή θμζμεηηθά παναμόνθςζε.
  • 39.
    Double Lumbar-Thoracic • ΢ομμεηνηθάθονηώμαηα. • ΢οκήζςξ απμδεθηή θμζμεηηθά. (Ηονηώμαηα ηδίμο μεγέζμοξ) • Ζθακμπμηεηηθή ηζμννμπία θμνμμύ. Ζδημπαζήξ ΢θμιίςζε
  • 40.
    Double thoracic • Άκςθύνηςμα T1 - T6, Ημνοθή (ΑΡ) Ηάης θύνηςμα Σ6 – Σ12 Ημνοθή (ΔΓ) • Γθζεζεμαζμέκε ζηνμθή ηεξ ΢.΢. • Αζομμεηνία ακώηενμο ζςναθηθμύ θιςβμύ . Ζδημπαζήξ ΢θμιίςζε
  • 41.
    Παναθμιμύζεζε • Ηονηώμαηα <25° Risser 0 – 2 Follow up 4 – 6 μήκεξ Risser 4 – 5 No Follow up • Ηονηώμαηα 25° - 45° Risser 4 – 5 F Γπακέιεγπμξ ζε 1 πνόκμ
  • 42.
    Ηεδεμόκεξ - Απμηειεζμαηηθόηεηα •O θαηάιιειμξ θεδεμόκαξ μεηαβάιιεη ηεκ ελέιηλε ηεξ παναμόνθςζεξ θαη ε full time εθανμμγή είκαη πημ απμηειεζμαηηθή. Rowe et al 1997 (Meta-analysis of 20 studies) • Ε απμηειεζμαηηθόηεηα αολάκεη όηακ ε γςκία Cobb μεηώκεηαη θαηά 20% ζε αθηηκμιμγηθή μέηνεζε με θεδεμόκα. Noonan et al 1996 • Οη θεδεμόκεξ είκαη πημ απμηειεζμαηηθμί ζε θμνίηζηα με θονηώμαηα 25°-35° Nachemson et al 1995
  • 43.
    Ηεδεμόκεξ Γκδείλεηξ • Ηονηώμαηα25°- 45° (Risser 0-1) Ηεδεμώκ ελ ανπήξ • Ηονηώμαηα 30°- 45° (Risser 2-3) • Ηονηώμαηα 25°- 30° (Risser 2-3) Ηεδεμώκ ζε επηδείκςζε > 5° • Οη θεδεμόκεξ ζε θονηώμαηα > 40°- 45° εηκαη ιηγόηενμ απμηειεζμαηηθμί. Willers et al 1993
  • 44.
    Ηεδεμόκεξ - Δηάνθεηααγςγήξ • Ζδακηθή εμενήζηα αγςγή: 23 h / 24h • Πηζακή ςθέιεηα με αγςγή 16 -23 h / 24h • Αγςγή μέπνη ηεκ ςνημόηεηα: 2 έηε μεηά ηεκ εμμεκανπή F Risser 4, M Risser 5
  • 46.
  • 50.
    Χεηνμονγηθή ζεναπεία Γκδείλεηξ • Ηονηώμαηα> 45° Γλαίνεζε : Balanced δηπιά θονηώμαηα < 55° Πνμεγπεηνεηηθόξ έιεγπμξ • MRI Οζθοαιγία, αοπεκαιγία Κεονμιμγηθό έιιεημμα Ηαηώηενμ (ΑΡ) θύνηςμα < 10 εηώκ
  • 51.
  • 53.
  • 54.
  • 56.
  • 57.
    King II Ηονηώμαηα •Ζδακηθά γηα ημεμαηηθή ζπμκδοιμδεζία • Θςναθηθόξ / μζθοσθόξ δείθηεξ > 1 / 2. • Ιηθνή μζθοσθή ζηνμθή θαη πανεθηόπηζε θμνοθαίμο. • Ακοπανλία παζμιμγηθμύ μβειηαίμο θονηώμαημξ. • ΢ηαζενή ΢.΢. Ιεηά ηε ζπμκδοιμδεζία.
  • 60.
    Ηύνηςμα 1. < 250– παηδί 2. < 250 – έθεβμξ 3. < 400 – ώνημμ 4. ΢ηαζενό Ηύνηςμα 1. Γπηδεηκώκεηαη 2. 250-400 3. ΢οκενγαζία αζζεκμύξ Ηύνηςμα 1. > 450 2. Απανάδεθημ αηζζεηηθά 3. Θςναθηθή ιόνδςζε 4. Γπώδοκμ