Síndrome Aórtico Agudo


       C. Benítez P
     CCVT HLV UG
Risk Conditions for Aortic Dissection
•   Connective tissue disorders
•   Hereditary fibrillinopathies
•   Marfan’s syndrome
•   Ehlers-Danlos syndrome
•   Hereditary vascular diseases
•   Bicuspid aortic valve
•   Coarctation
•   Chronic hypertension and atherosclerosis
•   Smoking, dyslipidemia, cocaine/crack
•   Vascular inflammation
•   Giant cell arteritis
•   Takayasu arteritis
•   Behcet’s disease
•   Syphilis
•   Ormond’s disease
•   Deceleration trauma and iatrogenic origin
•   Deceleration trauma (car accident, fall from height)
•   Iatrogenic factors
•   Catheter/instrument intervention
•   Valvular/aortic surgery
•   Side or cross clamping/aortotomy
•   Graft anastomosis
•   Patch aortoplasty
•   Cannulation site
• El punto del desgarro
  intimal da la
  deficinicón del tipo .
…………………….
………….. Y su pronóstico y
  tratamiento
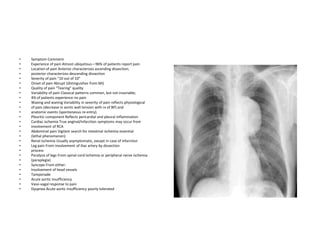
•   Symptom Comment
•   Experience of pain Almost ubiquitous—96% of patients report pain
•   Location of pain Anterior characterizes ascending dissection;
•   posterior characterizes descending dissection
•   Severity of pain “10 out of 10”
•   Onset of pain Abrupt (distinguishes from MI)
•   Quality of pain “Tearing” quality
•   Variability of pain Classical patterns common, but not invariable;
•   4% of patients experience no pain
•   Waxing and waning Variability in severity of pain reflects physiological
•   of pain (decrease in aortic wall tension with rx of BP) and
•   anatomic events (spontaneous re-entry).
•   Pleuritic component Reflects pericardial and pleural inflammation
•   Cardiac ischemia True anginal/infarction symptoms may occur from
•   involvement of RCA
•   Abdominal pain Vigilant search for intestinal ischemia essential
•   (lethal phenomenon)
•   Renal ischemia Usually asymptomatic, except in case of infarction
•   Leg pain From involvement of iliac artery by dissection
•   process
•   Paralysis of legs From spinal cord ischemia or peripheral nerve ischemia
•   (paraplegia)
•   Syncope From either:
•   Involvement of head vessels
•   Tamponade
•   Acute aortic insufficiency
•   Vaso-vagal response to pain
•   Dyspnea Acute aortic insufficiency poorly tolerated
Signs of Aortic Dissection
     Sign                                        Comment
• Hypertension (or hypotension)     Hypertension more common in descending
                                    dissection
•   Hypotension                    may signify tamponade
•   Aortic insufficiency           AI murmur may hide
•   Pulse deficits                 Most common in an arm: “pseudo-hypotension”
•   Fever                         Intense inflammatory response to dissection
•   Local signs in mediastinum    Hoarseness (stretch of recurrent laryngeal nerve)
•   Tracheal obstruction         (by aorta)
•   Hemoptysis                   (pulmonary rupture)
•   Hematemesis                 (esophageal rupture)
•   Continuous murmur (rupture into RA, RV, LA)
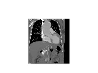
AngioTAC
AngioTAC 3d
MRI
MRI
  • Desventajas :
  Mayor tiempo
  Metales
  Pcte inestable
Eco TE

Objetiva

• Flap de Disección

• Flujo o trombosis en
  falso lumen
Recordar
Todo es igual ????
Asociados a Válvula Bicúspide
               • Recuerde

                2% de la población
                Válvula bicúspide
• Recuerde :

• Gradiente medio > 30

    = INTERVENCION
Que es mejor ???
Zonas de Landing
Clasificación de Crawford
Tipo I                  Desde el tercio superior de la aorta torácica hasta la
                        parte superior de la abdominal. Incluye arterias
                        viscerales.
Tipo II                 Desde el tercio proximal de la aorta descendente a la
                        aorta infrarrenal.
Tipo III                Empieza en los dos tercios distales de la aorta torácica y
                        se extiende por gran parte de la aorta abdominal
Tipo IV                 Confinado a la aorta abdominal, incluyendo vasos
                        viscerales
Identificação do real diametro do vaso
                               Lei de Laplace




Davies JE and Sundt TM (2007) Surgery Insight: the dilated ascending aorta—indications
                                    for surgical
Crecimiento Aneurisma




Coady M. A. et al.; J Thorac Cardiovasc Surg 1997;113:476-491
Manejo en Urgencia
         • Dx Diferencial:

         TEP masivo
         SCA
         Neumotórax a tensión
Manejo en Urgencia
       • Analgesia
       •   Stress de la Pared
                 Vasodilatadores
                 directos

                 Betabloqueo
        Descartar compromiso
         visceral precoz.
No lo Olvide


•   “There is no disease more conducive to
    clinical humility than aneurysms of the
    aorta”



                          Sir William Osler
                                 1900

Síndrome aórtico agudo

  • 1.
    Síndrome Aórtico Agudo C. Benítez P CCVT HLV UG
  • 2.
    Risk Conditions forAortic Dissection • Connective tissue disorders • Hereditary fibrillinopathies • Marfan’s syndrome • Ehlers-Danlos syndrome • Hereditary vascular diseases • Bicuspid aortic valve • Coarctation • Chronic hypertension and atherosclerosis • Smoking, dyslipidemia, cocaine/crack • Vascular inflammation • Giant cell arteritis • Takayasu arteritis • Behcet’s disease • Syphilis • Ormond’s disease • Deceleration trauma and iatrogenic origin • Deceleration trauma (car accident, fall from height) • Iatrogenic factors • Catheter/instrument intervention • Valvular/aortic surgery • Side or cross clamping/aortotomy • Graft anastomosis • Patch aortoplasty • Cannulation site
  • 4.
    • El puntodel desgarro intimal da la deficinicón del tipo . ……………………. ………….. Y su pronóstico y tratamiento
  • 5.
    Symptom Comment • Experience of pain Almost ubiquitous—96% of patients report pain • Location of pain Anterior characterizes ascending dissection; • posterior characterizes descending dissection • Severity of pain “10 out of 10” • Onset of pain Abrupt (distinguishes from MI) • Quality of pain “Tearing” quality • Variability of pain Classical patterns common, but not invariable; • 4% of patients experience no pain • Waxing and waning Variability in severity of pain reflects physiological • of pain (decrease in aortic wall tension with rx of BP) and • anatomic events (spontaneous re-entry). • Pleuritic component Reflects pericardial and pleural inflammation • Cardiac ischemia True anginal/infarction symptoms may occur from • involvement of RCA • Abdominal pain Vigilant search for intestinal ischemia essential • (lethal phenomenon) • Renal ischemia Usually asymptomatic, except in case of infarction • Leg pain From involvement of iliac artery by dissection • process • Paralysis of legs From spinal cord ischemia or peripheral nerve ischemia • (paraplegia) • Syncope From either: • Involvement of head vessels • Tamponade • Acute aortic insufficiency • Vaso-vagal response to pain • Dyspnea Acute aortic insufficiency poorly tolerated
  • 6.
    Signs of AorticDissection Sign Comment • Hypertension (or hypotension) Hypertension more common in descending dissection • Hypotension may signify tamponade • Aortic insufficiency AI murmur may hide • Pulse deficits Most common in an arm: “pseudo-hypotension” • Fever Intense inflammatory response to dissection • Local signs in mediastinum Hoarseness (stretch of recurrent laryngeal nerve) • Tracheal obstruction (by aorta) • Hemoptysis (pulmonary rupture) • Hematemesis (esophageal rupture) • Continuous murmur (rupture into RA, RV, LA)
  • 7.
  • 9.
  • 10.
  • 11.
    MRI •Desventajas : Mayor tiempo Metales Pcte inestable
  • 12.
    Eco TE Objetiva • Flapde Disección • Flujo o trombosis en falso lumen
  • 14.
  • 16.
  • 19.
    Asociados a VálvulaBicúspide • Recuerde 2% de la población Válvula bicúspide
  • 20.
    • Recuerde : •Gradiente medio > 30 = INTERVENCION
  • 21.
  • 22.
  • 23.
    Clasificación de Crawford TipoI Desde el tercio superior de la aorta torácica hasta la parte superior de la abdominal. Incluye arterias viscerales. Tipo II Desde el tercio proximal de la aorta descendente a la aorta infrarrenal. Tipo III Empieza en los dos tercios distales de la aorta torácica y se extiende por gran parte de la aorta abdominal Tipo IV Confinado a la aorta abdominal, incluyendo vasos viscerales
  • 24.
    Identificação do realdiametro do vaso Lei de Laplace Davies JE and Sundt TM (2007) Surgery Insight: the dilated ascending aorta—indications for surgical
  • 25.
    Crecimiento Aneurisma Coady M.A. et al.; J Thorac Cardiovasc Surg 1997;113:476-491
  • 26.
    Manejo en Urgencia • Dx Diferencial: TEP masivo SCA Neumotórax a tensión
  • 27.
    Manejo en Urgencia • Analgesia • Stress de la Pared Vasodilatadores directos Betabloqueo Descartar compromiso visceral precoz.
  • 28.
    No lo Olvide • “There is no disease more conducive to clinical humility than aneurysms of the aorta” Sir William Osler 1900