Lower Limb Vascular TraumaDr Saeed Al-ShomimiVascular UnitKFHU – Khobar – Saudi Arabia2006
IntroductionComplex extremity trauma involving both arterial and skeletal injuries is rare, comprising only 0.2% of all military and civilian trauma, and only 0.5%-1.7% of all extremity fractures and dislocations Combined arterial and skeletal extremity trauma imparts a substantially higher risk of limb loss and limb morbidity than do isolated skeletal and arterial injuries.
Debakey and Simeone documented this in WWII battle casualties, in which all injured arteries were ligated, reporting amputation in 60% of all combined injuries and 42% in isolated arterial injuries
Norman Rich , collecting further data    The amputation rate from vascular injury in the Korean War and the Vietnam War dropped to approximately 15%
Peripheral injuries account for 80% of all cases of vascular trauma.The lower extremities are involved in two thirds of all patients with vascular injuries. 90%  of patients with vascular trauma are male
EtiologyGunshot wounds, 70-80% of all vascular injuries requiring intervention.Stab wounds (5-10% of cases require intervention)Blunt trauma (5-10% of cases): Presence of fracture or dislocation increases the risk. Iatrogenic injury (5% of cases): Endovascular procedures central line placement
Clinical Presentation
Hard SignsActive or pulsatile hemorrhagePulsatile or expanding hematomaSigns of limb ischemia and elevated compartment pressure including the 5 "P's“:Pallorparesthesiapulse deficitparalysispainDiminished or absent pulsesBruit or thrill is( present in 45% of patients with an arteriovenous fistula)
Soft SignsHypotension or shockNeurologic deficit due to primary nerve injury occurs immediately after injury. In contrast, ischemic neuropathy is delayed in onset (minutes to hours).Stable, nonpulsatile or small hematomaProximity of the wound to major vascular structures ( Beware of bone fr. ! )
ComplicationsDelayed diagnosis and treatment may result inthrombosisEmbolizationRupture with hemorrhage. Risk factors for amputation includeelevated compartment pressurearterial transectionassociated open fracturesthe combination of injuries above and below the knee.
CAN VASCULAR TRAUMA HAVE A CHRONICPRESENTATION  ?Arteriovenous fistulaetypically take months to mature and often require surgical repair. Pseudoaneurysmsmay resolve completely or grow over time presenting months to years later. They may cause neuropathy due to compression or embolization, or they may present as a growing pulsatile mass.Intimal tears and flapsgenerally heal spontaneously.
Segmental narrowingcan present with diminished flow but intact pulses. This injury may resolve spontaneously with fluids and rest, or it occasionally may require surgical intervention.N.B. Approximately 10% of patients with nonocclusive, clinically occult injuries require repair within a month of initial injury. The remaining 90% of patients do not report symptoms or see a physician for vascular problems during long-term follow-up.
Patterns of Vascular InjuryComplete TransectionPartial TearContusion-ThrombosisSpasm
DiagnosisHard signs of Vascular Injury Diagnostic Adjuncts
Pulse Oximetry:A reduction in oximeter readings from one limb, as compared to another is suggestive of, but neither confirms nor excludes a significant vascular injury
Doppler UltrasoundA diminished, but palpable pulse is a soft sign of vascular injury. Similarly, a reduction in the anle-brachial pressure index (ABPI) in the presence of a palpable pulse does not indicate the presence of a vascular injury requiring intervention. Doppler ultrasound is therefore adds little to careful clinical examination.
Duplex UltrasoundDuplex can detect intimal tears, thrombosis, false aneurysms and arteriovenous fistulae. Its place in the assessment of vascular injury is as yet not completely definded, but it has a high sensitivity and may be appropriate for use as a screening tool.
AngiographyAngiography remains the gold-standard investigation for the further investigation and delineation of vascular injury. In most traumatic injury settings, angiography is best performed in the operating room, with the surgeon exposing the vessel proximal to the injury for control and expediency
Management
Immediate Haemorrhage ControlDirect pressure over the site of injury One individual to manually compress the site of haemorrhage.Deep knife or gunshot track -> catheterIf angiography is performed prior to surgery, it may be possible to obtain proximal control by passing an angioplasty balloon catheter into the proximal vessel and inflating the balloon
Volume resuscitationPrior to haemorrhage control :minimal fluids should be administered Raising the blood pressure will increase haemorrhage from the vessel injury and dislodge any clot that has already formed. Systolic blood pressure can be maintained at a level that is appropriate for perfusion of the brain
After:aggressive volume resuscitation to restore circulating blood volume. Warmed fluids -crystalloid, blood or clotting factors as necessary -are administered to correct acidosis, hypothermia and coagulopathy,
Operative StrategyLaceration:Suturingvein (or synthetic) patch
TransectionDirect suturing
Transectiongraft
Contusion- ThrombosisManaged in a similar way to transectionIn either way ,Thrombectomy is Part of the    Procedure
Damage Control SurgeryLigationLigation of the exteral iliac artery, common femoral or superficial femoral have a signficant risk of critical limb ischaemia following ligation. Ischaemia is more likely if there is significant soft tissue injury and distruction of supporting collateral circulationAlmost all veins, including the inferior vena cava, can be ligated where necessary
Shunting :Where there is a significant risk of limb loss, or other serios consequence of ligation, intraluminal shunts may be employed to temporarily restore flow. shunts can be rapidly constructed out of sterile intravenous tubing or chest tubes for larger calibre vessels. Where there is a vascular injury associated with a fracture, and there is a risk of orthopaedic manoeuvers disrupting an arterial repair, shunts may be employed to temporarily restore flow to an injured limb.
Lower Limb Vascular TraumaFeb – March KFU Experience(( Combined Orthopaedic + Vascular Trauma ))
38 yrs Indian male2 hrs Hx of brick wall falling on his Rt L.LPresented to ERHemodynamically stableOpen Fr. Rt tibial plateau (small puncture wound in lateral aspect of the leg)Cold & pale Rt foot  No associated injuries Intra-cranial
Intra-thoracic
Intra-abdominalCASE 1
The Pt referred to Ortho team initiallyBack slab applied to stabilize the Fr.The vascular team was called Prompt initial assessment revealed Absent pedal pulses on Rt lower limbPreserved sensations despite other signs of acute ischemia PulselessPalorParasthesiaPain
Prompt Doppler assessment revealed no detectable flow over D.pedis & P.tibialCT angiogram showed Normal flow till segment 2 of Popliteal artery Cut off contrast @ trifurcationThen refill of only distal P.T arteryNo visualization of A.Tibial artery Conventional angiogram confirmed the findings (Extent / Pedal arches)
Intra-operativelyTotally transected A.Tibial atrey     (crushed distally)Contusion thrombosis T.P trunkLigation of A.Tibial artery Excision of the contused T.P trunkEmbolectomy with Fogarty cathInterposition vein grafting
Progress Pt did well The vascularity remained intactHe developed foot drop (torn muscles)Not ischemic neuropathySkin grafting was done He was discharged with the Ex FixHe regained intact P.tibial pulse & well perfused foot
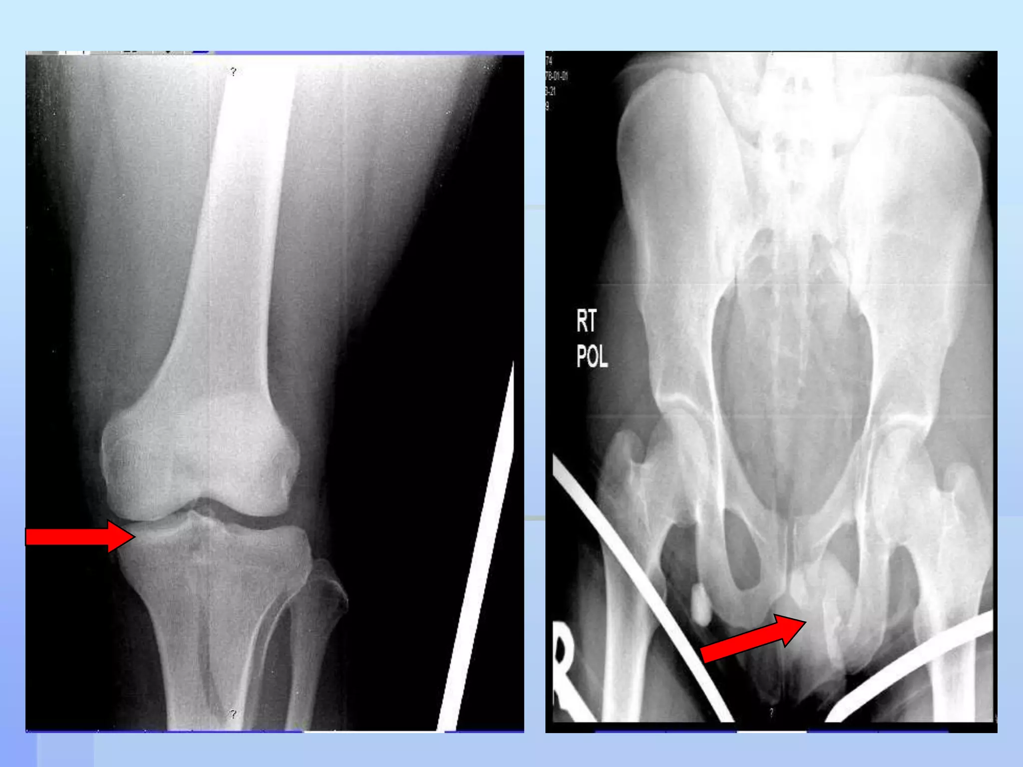
CASE 226 yrs Saudi, MaleRTA, intoxicatedBrought to ER Conscious, drowsy VS stable Bilateral knee pain & bruises Fracture Lt inferior ramus (pelvis)L.L. x-rays showed Rt tibial plateau fracture
CT angiogram was doneIt showed Vascular injury @ the level of             segment 2 of the Popliteal arteryNo distal run off
DP
PD
PD
DP

Lower Limb Vascular Trauma

  • 1.
    LowerLimb Vascular TraumaDr Saeed Al-ShomimiVascular UnitKFHU – Khobar – Saudi Arabia2006
  • 2.
    IntroductionComplex extremity traumainvolving both arterial and skeletal injuries is rare, comprising only 0.2% of all military and civilian trauma, and only 0.5%-1.7% of all extremity fractures and dislocations Combined arterial and skeletal extremity trauma imparts a substantially higher risk of limb loss and limb morbidity than do isolated skeletal and arterial injuries.
  • 3.
    Debakey and Simeonedocumented this in WWII battle casualties, in which all injured arteries were ligated, reporting amputation in 60% of all combined injuries and 42% in isolated arterial injuries
  • 4.
    Norman Rich ,collecting further data The amputation rate from vascular injury in the Korean War and the Vietnam War dropped to approximately 15%
  • 5.
    Peripheral injuries accountfor 80% of all cases of vascular trauma.The lower extremities are involved in two thirds of all patients with vascular injuries. 90% of patients with vascular trauma are male
  • 6.
    EtiologyGunshot wounds, 70-80%of all vascular injuries requiring intervention.Stab wounds (5-10% of cases require intervention)Blunt trauma (5-10% of cases): Presence of fracture or dislocation increases the risk. Iatrogenic injury (5% of cases): Endovascular procedures central line placement
  • 7.
  • 8.
    Hard SignsActive orpulsatile hemorrhagePulsatile or expanding hematomaSigns of limb ischemia and elevated compartment pressure including the 5 "P's“:Pallorparesthesiapulse deficitparalysispainDiminished or absent pulsesBruit or thrill is( present in 45% of patients with an arteriovenous fistula)
  • 9.
    Soft SignsHypotension orshockNeurologic deficit due to primary nerve injury occurs immediately after injury. In contrast, ischemic neuropathy is delayed in onset (minutes to hours).Stable, nonpulsatile or small hematomaProximity of the wound to major vascular structures ( Beware of bone fr. ! )
  • 10.
    ComplicationsDelayed diagnosis andtreatment may result inthrombosisEmbolizationRupture with hemorrhage. Risk factors for amputation includeelevated compartment pressurearterial transectionassociated open fracturesthe combination of injuries above and below the knee.
  • 11.
    CAN VASCULAR TRAUMAHAVE A CHRONICPRESENTATION ?Arteriovenous fistulaetypically take months to mature and often require surgical repair. Pseudoaneurysmsmay resolve completely or grow over time presenting months to years later. They may cause neuropathy due to compression or embolization, or they may present as a growing pulsatile mass.Intimal tears and flapsgenerally heal spontaneously.
  • 12.
    Segmental narrowingcan presentwith diminished flow but intact pulses. This injury may resolve spontaneously with fluids and rest, or it occasionally may require surgical intervention.N.B. Approximately 10% of patients with nonocclusive, clinically occult injuries require repair within a month of initial injury. The remaining 90% of patients do not report symptoms or see a physician for vascular problems during long-term follow-up.
  • 13.
    Patterns of VascularInjuryComplete TransectionPartial TearContusion-ThrombosisSpasm
  • 14.
    DiagnosisHard signs ofVascular Injury Diagnostic Adjuncts
  • 15.
    Pulse Oximetry:A reductionin oximeter readings from one limb, as compared to another is suggestive of, but neither confirms nor excludes a significant vascular injury
  • 16.
    Doppler UltrasoundA diminished,but palpable pulse is a soft sign of vascular injury. Similarly, a reduction in the anle-brachial pressure index (ABPI) in the presence of a palpable pulse does not indicate the presence of a vascular injury requiring intervention. Doppler ultrasound is therefore adds little to careful clinical examination.
  • 17.
    Duplex UltrasoundDuplex candetect intimal tears, thrombosis, false aneurysms and arteriovenous fistulae. Its place in the assessment of vascular injury is as yet not completely definded, but it has a high sensitivity and may be appropriate for use as a screening tool.
  • 18.
    AngiographyAngiography remains thegold-standard investigation for the further investigation and delineation of vascular injury. In most traumatic injury settings, angiography is best performed in the operating room, with the surgeon exposing the vessel proximal to the injury for control and expediency
  • 19.
  • 20.
    Immediate Haemorrhage ControlDirectpressure over the site of injury One individual to manually compress the site of haemorrhage.Deep knife or gunshot track -> catheterIf angiography is performed prior to surgery, it may be possible to obtain proximal control by passing an angioplasty balloon catheter into the proximal vessel and inflating the balloon
  • 21.
    Volume resuscitationPrior tohaemorrhage control :minimal fluids should be administered Raising the blood pressure will increase haemorrhage from the vessel injury and dislodge any clot that has already formed. Systolic blood pressure can be maintained at a level that is appropriate for perfusion of the brain
  • 22.
    After:aggressive volume resuscitationto restore circulating blood volume. Warmed fluids -crystalloid, blood or clotting factors as necessary -are administered to correct acidosis, hypothermia and coagulopathy,
  • 23.
  • 24.
  • 25.
  • 26.
    Contusion- ThrombosisManaged ina similar way to transectionIn either way ,Thrombectomy is Part of the Procedure
  • 27.
    Damage Control SurgeryLigationLigationof the exteral iliac artery, common femoral or superficial femoral have a signficant risk of critical limb ischaemia following ligation. Ischaemia is more likely if there is significant soft tissue injury and distruction of supporting collateral circulationAlmost all veins, including the inferior vena cava, can be ligated where necessary
  • 28.
    Shunting :Where thereis a significant risk of limb loss, or other serios consequence of ligation, intraluminal shunts may be employed to temporarily restore flow. shunts can be rapidly constructed out of sterile intravenous tubing or chest tubes for larger calibre vessels. Where there is a vascular injury associated with a fracture, and there is a risk of orthopaedic manoeuvers disrupting an arterial repair, shunts may be employed to temporarily restore flow to an injured limb.
  • 30.
    Lower Limb VascularTraumaFeb – March KFU Experience(( Combined Orthopaedic + Vascular Trauma ))
  • 31.
    38 yrs Indianmale2 hrs Hx of brick wall falling on his Rt L.LPresented to ERHemodynamically stableOpen Fr. Rt tibial plateau (small puncture wound in lateral aspect of the leg)Cold & pale Rt foot No associated injuries Intra-cranial
  • 32.
  • 33.
  • 35.
    The Pt referredto Ortho team initiallyBack slab applied to stabilize the Fr.The vascular team was called Prompt initial assessment revealed Absent pedal pulses on Rt lower limbPreserved sensations despite other signs of acute ischemia PulselessPalorParasthesiaPain
  • 36.
    Prompt Doppler assessmentrevealed no detectable flow over D.pedis & P.tibialCT angiogram showed Normal flow till segment 2 of Popliteal artery Cut off contrast @ trifurcationThen refill of only distal P.T arteryNo visualization of A.Tibial artery Conventional angiogram confirmed the findings (Extent / Pedal arches)
  • 42.
    Intra-operativelyTotally transected A.Tibialatrey (crushed distally)Contusion thrombosis T.P trunkLigation of A.Tibial artery Excision of the contused T.P trunkEmbolectomy with Fogarty cathInterposition vein grafting
  • 44.
    Progress Pt didwell The vascularity remained intactHe developed foot drop (torn muscles)Not ischemic neuropathySkin grafting was done He was discharged with the Ex FixHe regained intact P.tibial pulse & well perfused foot
  • 45.
    CASE 226 yrsSaudi, MaleRTA, intoxicatedBrought to ER Conscious, drowsy VS stable Bilateral knee pain & bruises Fracture Lt inferior ramus (pelvis)L.L. x-rays showed Rt tibial plateau fracture
  • 47.
    CT angiogram wasdoneIt showed Vascular injury @ the level of segment 2 of the Popliteal arteryNo distal run off
  • 50.
  • 51.
  • 52.
  • 53.
  • 54.
    Post OP Hehad arterial spasmConfirmed by CT angiogramHe recovered form the spasm in few hoursThe limb was warm with palpable pulsesBoth P.tibial & D.pedisWith good Doppler signalsTransferred to KFMC
  • 55.