Sarcoidosis
Dr. Sagar A Gandhi
Resident
Department of pulmonary medicine
GMCH , Nagpur
Introduction
• Jonathan Hutchinson was the first to describe
a case of sarcoidosis in 1887;
• He called it Mortimer’s malady, after one of
his patients who presented with face and limb
skin lesions.
Sarcoidosis is a multisystem disorder of unknown
etiology characterized by non caseating granuloma
which affects mainly lungs but can also occur in other
organs .
Caseating granulomas
TB
Non caseating granulomas
Sarcoidosis
Epidemiology
• It occurs mainly in 3rd or 4th decade of life
• > 80 % cases in age group 20 – 50 yrs
• Prevalence is 10 to 40 cases / 100000.
• Persistent disease with greater mortality found in
blacks and women .
• Mortality is 1 to 5 %
Etiology and Pathogenesis
• Remains unknown, but several lines of evidence suggest
that it is a disease of disordered immune regulation in
genetically predisposed individual.
• The mycobacterial catalase-peroxidase protein (mKatG) is a
pathogenic antigen.
• Other mycobacterial antigens including
. mKatG,
. Mycobacterium tuberculosis ESAT-6,
. Ag85,
. superoxide dismutase
Etiology and Pathogenesis
Also suspected of having a causative role are
Borrelia burgdorferri
Chlymadia pneumonia
Rickettsia
Viruses
EBV,CMV, HHV-6, HTLV 1 :::::> B cell activation
Etiology and Pathogenesis
Genetic factors
Associated with
HLA class I, HLA B8, HLA-DR3,
HLA-DR B1-1101, HLA-DRB1-1501
Not associated with
Non HLA, ACE , Vit D, HLA DR1 , HLA DR4, HLA DR17
T cells, Macrophages
Chemoattractants
Growth Factors
Cellular proliferation
Granuloma
Fibrosis
Pathogenesis
• These process are driven by CD4+T Cell.
• Increase levels of T-cell derived TH 1 cytokines.
• The antigenic triggering agents cause activation of the
Helper T-cell and Macrophages.
• Activated Helper T-cell and Macrophages produce IL-2, IFN
and TNF.
• complex interaction of cytokines cause Inflammatory
response leading to granuloma.
Pathogenesis
Pathophysiology
• Granulomas are Pathologic hall mark of
sarcoidosis.
• Giant cells are collection of fused Macrophages-
Langerhans giant cells found in the central part of
the granuloma
• The central epithelioid and giant cells are
surrounded by a rim of lymphocytes,
mostly T-helper cells
Histologically
• All involved tissues show the classic well formed
non-caseating granuloma.
• composed of an aggregates of tightly clustered epithelioid
cell with langerhans or foreign body giant cell.
• central necrosis is unusual.
• With chronicity the granulomas may become enclosed
within fibrous rimes or may be eventually be replaced by
hyaline fibrous scars.
LANGHANS' GIANT CELL
Langhans' giant cell in center of granuloma is surrounded
by epithelioid cells
Asteroid bodies
stellate inclusion enclosed with in giant cells are formed in
approximately 60% of granulomas
Asteroid bodies
Asteroid bodies
CYTOPLASMIC INCLUSION BODY
Schaumann body (arrow)
laminated concentration composed of calcium and proteins
ADVANCED COLLAGENOUS FIBROSIS
Elongated fibroblasts (FB) with extensive collagenous tissue
(C). Giant cells (arrows)
Systems affected by sarcoidosis
Systems Percentage
Pulmonary 90%
Lymph nodes 70%
Hepatic 50-80%
Cardiac 30%
Cutaneous 25%
Ocular 20%
Spleen 18%
Bones 14%
Neurogenic 5%
C.P
Sarcoidosis
Asymptomatic
50%
Respiratory
symptoms
Cough
Dyspnea
expectoration
Constitutional
symptoms
Fatigue
Weight loss
Night sweats
Erythema
nodosum
Pulmonary Sarcoidosis
• It is the First site of involvement.
• Begin with alveolitis involving small bronchi and small
blood vessels.
• Alveolitis either clear up spontaneously or lead to
granuloma or fibrosis.
Pulmonary Sarcoidosis
Microscopically..
There is usually no demonstrable alteration , although in
advanced cases granuloma produce small nodule that are
palpable or visible as 1 to 2 cm noncaseating, noncavitary
consolidation.
Pulmonary Sarcoidosis
Histologically.
• The lesion are distributed primarily along the lymphatics,
around the bronchi and blood vessels.
Although alveolar lesion are also seen in relative frequency.
• The granulomas in the bronchial sub mucosa account for
the high diagnostic yield of bronchoscopic biopsy.
• There seems to be a strong tendency for lesion to heals in
the lungs, so varying stages of fibrosis, hyalinization are not
found.
CASEOUS NECROSIS
Cellular destruction in TB granuloma appears as clumped debris (arrows).
This necrosis does not occur in sarcoidosis.
Noncaseating granuloma in lung is the
characteristic lesion of sarcoidosis.
SUBPLEURAL GRANULOMA IN LUNG
Paradoxical response
One of the distinguishing features of sarcoidosis.
As the lung disease worsens,
the nodal enlargement usually regresses.
Nodal
enlargement Lung
disease
Parenchymal
sarcoidosis
Typical
Interstitial micro-nodules
Fibrosis
Atypical
Pulmonary nodules &
masses
Consolidation
Ground glass
opacification
Linear reticular
opacities
Fibrocystic changes
Miliary opacities
Airway involvement
Pleural disease
Interstitium
Central
Peribronchovascular
Peripheral
Interlobular Subpleural
Bilateral perihilar predominance
Atypical parenchymal sarcoidosis
Milliary opacities
CT shows well defined lung nodules less than 5mm in diameter.
Rare 1%
ALVEOLAR SARCOIDOSIS
Multiple lung masses are an unusual form of
Sarcoidosis, resembles lung metastases.
Atypical parenchymal sarcoidosis
Linear reticular opacities
15-20%
Atypical sarcoidosis
Pulmonary consolidation
10-20%
PNEUMONIC APPEARANCE
Confluent acinar opacities look similar to
pneumonic consolidation.
Atypical parenchymal sarcoidosis
Pulmonary nodules or masses
15-25 %
Sarcoid Galaxy sign
NODULAR PATTERN
Small 5mm nodules are subpleural, along fissures and
bronchovascular bundles. Give the vessels (arrow) and
fissures a beaded appearance.
Nodular thickening of the
peri-broncho-vascular interstitium
Sub-pleural nodules
Fissure nodules
Lymph nodes with rim (eggshell) calcification
are rare in sarcoidosis but common in silicosis.
Atypical parenchymal sarcoidosis
Patchy ground glass opacities
40%
Pleural disease
Rare < 1%
• Pleural effusion.
• Hemothorax.
• Chylothorax
(due to involvement of the mediastinal LN or thoracic duct).
Air way involvement
• May occur at any level
• Bronchial wall thickening
• Luminal abnormalities
• Obstruction of lobular or
segmental bronchi
• Mosaic perfusion
• Air-trapping on
expiration
Air trapping seen on expiration
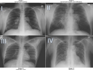
STAGE I
Thoracic Lymphadenopathy.
Normal lung parenchyma. (50%)
STAGE II
Hilar and mediastinal Lymphadenopathy.
Abnormal lung parenchyma. ( 30% )
STAGE III
pulmonary infiltrates with No Lymphadenopathy.
STAGE IV
Extensive pulmonary fibrosis is typically worst in
the upper lobes.
Upper lobe predominance
STAGE IV
Broad bands of fibrosis in the upper lobes
STAGE IV
Permanent lung fibrosis. (20%)
MOST COMMON PATTERN
Bilateral symmetric hilar and right paratracheal
mediastinal adenopathy.
Differential Diagnosis of
Noncaseating Granulomas
TB
Fungal infections
Lymphoma
Epithelioid tumors of the breast
Lung cancer
Clinical Presentation
– Most patients have the pulmonary manifestations,
most commonly presenting with incidental findings on
CXR.
– Interstitial disease
– Symptoms include dry cough, dyspnea, and chest
discomfort
– Unpredictable course
PROGNOSIS OF PULMONARY SARCOIDOSIS
Prognosis of
pulmonary
sarcoidosis
3/4
Complete resolution
of
hilar
lymphadenopathy
1/3
Complete resolution
of
parenchymal
disease
1/5
Irreversible
pulmonary
fibrosis
LYMPH NODESsarcoidosis
Sarcoidosis of Lymph nodes
Lymph nodes are involved in almost all cases
particularly the hilar and medistinal nodes.
Any other nodes may be involved.
Nodes are characteristically enlarged discrete and
sometimes calcified.
Tonsil may affected in about quarter to one third of
the cases
Lymphadenopathy
Sarcoidosis
Typical Atypical
Garland triad
Unilateral
hilar LN
Anterior or
posterior
mediastinal LN
LN calcification
Lymphadenopathy
Typical
Bilateral hilar & right paratracheal LN.
Middle mediastinal LN occur in 50% of cases.
Left paratracheal, aorto-pulmonary & subcarinal LN.
1-2-3 sign present in 95% of cases. This is called
Garland triad
Differential Diagnosis of
bilateral hilar LN
Granulomatous infections
TB
Histoplasmosis
Coccidiomycosis
Autoimmune disorders
Malignancy (Lymphoma)
Lymphadenopathy
Lymphadenopathy
Lymphadenopathy
Lymphadenopathy
Enlarged bilateral hilar, right paratracheal (arrow), and
aortopulmonary window (arrowhead) nodes.
Lymphadenopathy
Atypical
Unilateral hilar LN.
Anterior or posterior mediastinal LN.
LN calcification
(amorphus, punctate, popcorn or eggshell calcification).
DD of calcified hilar or mediastinal LN
• Silicosis
• Sarcoidosis.
• TB.
• Treated lymphoma.
Calcified hilar & mediastinal LN
Calcified hilar & mediastinal LN
PARACARDIAC LYMPH NODE
ABDOMINAL LYMPHADENOPATHY
Multiple enlarged paraaortic, paracaval, and porta
hepatis lymph nodes (arrows).
CUTANEOUS
sarcoidosis
Skin
 33% have skin lesions
 Cutaneous anergy is common.
NAKED GRANULOMA
Young granulomas (arrows) in the skin with no
surrounding rim of mononuclear cells.
ERYTHEMA NODOSUM
These reddish raised lesions
Erythema Nodosum
Erythema nodosum
Lofgren syndrome
• Acute sarcoidosis characterized by triad
• Also lupus pernio is never present in lofgren syndrome
Lofgren
syndrome
Bilateral
hilar
lymphadenopathy
Arthritis
Erythema
nodosum
Skin
Lupus pernio- by besnier
• indurated blue purple swollen shiny lesions on nose,
cheeks, lips, ears and fingers.
• Papules, nodules, and plaques
• Psoriatic like lesions
• Lesions in scars and tattoos
LUPUS PERNIO
Facial lesions are most common, but the
extremities and buttocks can be involved.
LUPUS PERNIO
Indurated and violaceous range from a few small
lesions to large lesions
PSORIASIS LIKE LESIONS
These small white lesions closely resemble psoriasis.
OCCULAR
sarcoidosis
Eyes
25% have eye lesions
Blurred vision, pain, photophobia and dry eyes
Chronic uveitis leads to glaucoma, cataracts and
blindness
Keratoconjunctivitis sicca
Papilloedema
CONJUNCTIVITIS
PAPILLEDEMA
Often associated with 7th nerve facial palsy.
Sarcoid Choreoretinitis
Heerfordt’s syndrome
• Acute sarcoidosis characterized by uveoparotitis
Heerfordt’s
syndrome
Uveitis Parotitis
Facial
palsy
Heerfordt’s syndrome
Bilateral parotitis
Panda sign
• Bilateral lacirmal gland, parotid gland &
normal nasopharyngelal uptake on
Ga-67 scintigraphy.
LIVER
sarcoidosis
Liver
• 33% have hepatomegaly or biochemical
evidence of disease
• Symptoms usually absent
• Cholestasis, fibrosis, cirrhosis, portal
hypertension, and the Budd-Chiari syndrome
have been seen
SPLEEN & LIVER GRANULOMAS
The small low attenuation lesions in the liver and
spleen in sarcoidosis.
MUSCULOSKELETAL
SARCOIDOSIS
Musculoskeletal sarcoidosis
• Arthralgia (Lofgren
syndrome).
Joints
• Myopathic type
• Nodular type.
Muscles
• Lace like lytic lesion + (tendosynovitis).
• Cytic lesions.
• Sclerotic lesions.
Osseous
sarcoidosis
Arthritis
Acute polyarthritis with fever is common
Arthritis is self limited
Polymyositis and chronic myopathy
Chronic destructive bone disease with deformity is
rare
Musclar nodular sarcoidosis
Low signal intensity centre due to fibrosis.
Sarcoid dacytilits
• Tenosynovitis + lace like lytic lesion
LACY TRABECULAR PATTERN
Osteolysis has left a lacy trabecular pattern in this
phalanx (arrow)
PUNCHED OUT LYTIC LESIONS
Focal osteolytic lesions in the fingers are most
common abnormality.
SCLEROTIC LESION
Rare and often in the axial skeleton.
NERVOUS
SYSTEM
SARCOIDOSIS
Neurosarcoidosis
• Periventricular white matter lesions
• Enhancing nodules or masses
Parenchymal S
• Dural masses.
• Diffuse dural thickening
Pachymeningeal S
• Basal cisterns.
• Cerebral sulci or cerebellar fissures.
• Virchow Robin perivascular spaces.
Leptomeningeal S
• Thickening & enhancement.Pituitary / hypothalamic S
• Optic nerves.
• Facial nerves.
Cranial nerve S
• Osteolytic lesion with well defined non
sclerotic margin.Calvarial sarcoidosis
Nervous System
Cranial nerves, and peripheral nerves can be
involved
7th nerve facial palsy is most common
Acute, transient, and can be unilateral or bilateral
KIDNEY
SARCOIDOSIS
Kidney
Granulomatous interstitial nephritis produces
renal failure
Develops over a period of weeks to months
Rapid response to steroid therapy
Kidney stones (nephrolithiasis) and
nephrocalcinosis are very unusual
secondary to hypercalcemia and hypercalciuria
Kidney
Increased calcium absorption in the gut
Related to high levels of circulating
1,25-dihydroxy vitamin D produced by
mononuclear phagocytes in granulomas
GASTRIC SARCOID
Granuloma involves the gastric antrum leading to
irregular nonspecific narrowing.
COLONIC SARCOID
Irregular narrowing of the rectosigmoid has the
appearance of inflammatory disease or malignancy.
Lab Abnormalities
 Lymphocytopenia
 Mild eosinphilia
 Increased E.S.R
 Hyperglobulinemia
Lab Abnormalities
Elevated level of angiotensin converting enzyme
(ACE)
Bronchioalveolar lavage shows increased
lymphocytes
Lab Abnormalities
• ACE levels elevated 60- 80%.
• Activated macrophages produce ACE.
• Non Specific-
Also in Hodgkins,histoplasma,leprosy
• ACE levels tested regularly to check the severity of
the disease and to monitor the response to therapy.
Lung Function Test
May be normal
Restrictive pattern
DLCO, FEV1, FVC
Obstructive impairment in advanced fibrocystic disease
Bronchial hyperresponsiveness responding to
bronchodilator therapy
Diagnosis
Identify noncaseating granulomas.
Variety of infections.
Difficult to differentiate from chronic infections, fungal
diseases, T.B. and lymphoma.
Based on combined
Clinical + radiological + histological findings.
Diagnosis
Transbronchial biopsies positive in 65-95%,
even if no lung parenchymal abnormalities imaged.
Tissue from mediastinoscopy positive in 95%
Scalene node biopsy positive in 80%
Diagnosis
KVEIM TEST
Involves injecting standardized preparation of
sarcoid tissue material into the skin.
Unique lump formed at the point of injection is
considered positive for sarcoidosis.
Kveim test - skin biopsy
Non-necrotizing granulomas
Prognosis
• Good
• In 15-20% remains active or reccurs
intermittently.
• 50% have some permanent organ
dysfunction
ADENOPATHY AT TIME OF DIAGNOSIS
Marked enlarged hilar and mediastinal lymph nodes.
ADENOPATHY DECREASED 2 YRS LATER
Lymph nodes are smaller and there is parenchymal
lung disease.
Treatment
• No known cure
• Corticosteroids, primary treatment for
inflammation and granuloma formation.
• Prednisolone, 1 mg/kg for 4-6 weeks
followed by slow taper over 2-3 months.
• Mostly given for 6 to 24 months
• Early taper results in relapse
• Inhaled steroid limited effect
• 20 % reccurance
Treatment
Cutaneous Sarcoidosis-
Topical steriods/Hydroxychloroquine.
Chloroquine in lupus pernio
IMMUNOSUPPRESANTS
• Methotrexate - Prednisolone not
tolerated/not effective/steriod sparing agent.
• MTX –Start with 10mg/week and maintain with 2.5
to 15mg/week.
• CBC,KFT,LFT/2months.
Treatment
ANTI-TNF
• Infliximab
• Etanercept
• Adalimumab
Sarcoidosis sagar gandhi

Sarcoidosis sagar gandhi